Differences in Brain Atrophy Pattern between People with Multiple Sclerosis and Systemic Diseases with Central Nervous System Involvement Based on Two-Dimensional Linear Measures
Abstract
1. Introduction
2. Materials and Methods
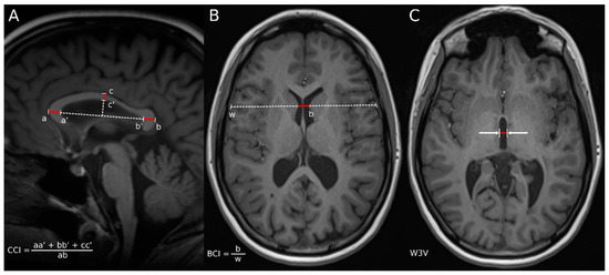
2.1. MRI Acquisition
2.2. MRI Postprocessing
2.3. Statistical Analysis
3. Results
3.1. Patients
3.2. MRI Results
4. Discussion
Limitations
5. Conclusions
Author Contributions
Funding
Institutional Review Board Statement
Informed Consent Statement
Data Availability Statement
Acknowledgments
Conflicts of Interest
References
- Thompson, A.J.; Banwell, B.L.; Barkhof, F.; Carroll, W.M.; Coetzee, T.; Comi, G.; Correale, J.; Fazekas, F.; Filippi, M.; Freedman, M.S.; et al. Diagnosis of multiple sclerosis: 2017 revisions of the McDonald criteria. Lancet Neurol. 2018, 17, 162–173. [Google Scholar] [CrossRef] [PubMed]
- Solomon, A.J. Diagnosis, Differential Diagnosis, and Misdiagnosis of Multiple Sclerosis. Contin. Lifelong Learn. Neurol. 2019, 25, 611–635. [Google Scholar] [CrossRef] [PubMed]
- Solomon, A.J.; Naismith, R.T.; Cross, A.H. Misdiagnosis of multiple sclerosis: Impact of the 2017 McDonald criteria on clinical practice. Neurology 2019, 92, 26–33. [Google Scholar] [CrossRef] [PubMed]
- Midaglia, L.; Sastre-Garriga, J.; Pappolla, A.; Quibus, L.; Carvajal, R.; Vidal-Jordana, A.; Arrambide, G.; Río, J.; Comabella, M.; Nos, C.; et al. The frequency and characteristics of MS misdiagnosis in patients referred to the multiple sclerosis centre of Catalonia. Mult. Scler. J. 2021, 27, 913–921. [Google Scholar] [CrossRef]
- Wildner, P.; Stasiolek, M.; Matysiak, M. Differential diagnosis of multiple sclerosis and other inflammatory CNS diseases. Mult. Scler. Relat. Disord. 2020, 37, 101452. [Google Scholar] [CrossRef]
- Mey, G.M.; Mahajan, K.R.; DeSilva, T.M. Neurodegeneration in multiple sclerosis. WIREs Mech. Dis. 2023, 15, e1583. [Google Scholar] [CrossRef]
- Kolb, H.; Al-Louzi, O.; Beck, E.S.; Sati, P.; Absinta, M.; Reich, D.S. From pathology to MRI and back: Clinically relevant biomarkers of multiple sclerosis lesions. Neuroimage Clin. 2022, 36, 103194. [Google Scholar] [CrossRef]
- Sastre-Garriga, J.; Pareto, D.; Battaglini, M.; Rocca, M.A.; Ciccarelli, O.; Enzinger, C.; Wuerfel, J.; Sormani, M.P.; Barkhof, F.; Yousry, T.A.; et al. MAGNIMS consensus recommendations on the use of brain and spinal cord atrophy measures in clinical practice. Nat. Rev. Neurol. 2020, 16, 171–182. [Google Scholar] [CrossRef]
- Sastre-Garriga, J.; Pareto, D.; Rovira, A. Brain atrophy in multiple sclerosis: Clinical relevance and technical aspects. Neuroimaging Clin. N. Am. 2017, 27, 289–300. [Google Scholar] [CrossRef]
- Rocca, M.A.; Battaglini, M.; Benedict, R.H.; De Stefano, N.; Geurts, J.J.; Henry, R.G.; Horsfield, M.A.; Jenkinson, M.; Pagani, E.; Filippi, M. Brain MRI atrophy quantification in MS: From methods to clinical application. Neurology 2017, 88, 403–413. [Google Scholar] [CrossRef]
- Simmons, S.B.; Schippling, S.; Giovannoni, G.; Ontaneda, D. Predicting disability worsening in relapsing and progressive multiple sclerosis. Curr. Opin. Neurol. 2021, 34, 312–321. [Google Scholar] [CrossRef] [PubMed]
- Bagnato, F.; Gauthier, S.A.; Laule, C.; Moore, G.R.W.; Bove, R.; Cai, Z.; Cohen-Adad, J.; Harrison, D.M.; Klawiter, E.C.; Morrow, S.A.; et al. Imaging Mechanisms of Disease Progression in Multiple Sclerosis: Beyond Brain Atrophy. J. Neuroimaging 2020, 30, 251–266. [Google Scholar] [CrossRef] [PubMed]
- Rościszewska-Żukowska, I.; Podyma, M.; Stasiołek, M.; Siger, M. Thalamus Atrophy in the Peri-Pregnancy Period in Clinically Stable Multiple Sclerosis Patients: Preliminary Results. Brain Sci. 2021, 11, 1270. [Google Scholar] [CrossRef] [PubMed]
- Lie, I.A.; Weeda, M.M.; Mattiesing, R.M.; Mol, M.A.; Pouwels, P.J.; Barkhof, F.; Torkildsen, Ø.; Bø, L.; Myhr, K.-M.; Vrenken, H. Relationship Between White Matter Lesions and Gray Matter Atrophy in Multiple Sclerosis: A Systematic Review. Neurology 2022, 98, e1562–e1573. [Google Scholar] [CrossRef] [PubMed]
- Kalinowska-Lyszczarz, A.; Pawlak, M.A.; Pietrzak, A.; Pawlak-Bus, K.; Leszczynski, P.; Puszczewicz, M.; Paprzycki, W.; Kozubski, W.; Michalak, S. Distinct regional brain atrophy pattern in multiple sclerosis and neuropsychiatric systemic lupus erythematosus patients. Lupus 2018, 27, 1624–1635. [Google Scholar] [CrossRef] [PubMed]
- Sarbu, N.; Toledano, P.; Calvo, A.; Roura, E.; Sarbu, M.I.; Espinosa, G.; Lladó, X.; Cervera, R.; Bargalló, N. Advanced MRI techniques: Biomarkers in neuropsychiatric lupus. Lupus 2017, 26, 510–516. [Google Scholar] [CrossRef] [PubMed]
- Wattjes, M.P.; Ciccarelli, O.; Reich, D.S.; Banwell, B.; de Stefano, N.; Enzinger, C.; Fazekas, F.; Filippi, M.; Frederiksen, J.; Gasperini, C.; et al. MAGNIMS-CMSC-NAIMS consensus recommendations on the use of MRI in patients with multiple sclerosis. Lancet Neurol. 2021, 20, 653–670. [Google Scholar] [CrossRef] [PubMed]
- Popescu, V.; Ran, N.C.; Barkhof, F.; Chard, D.T.; Wheeler-Kingshott, C.A.; Vrenken, H. Accurate GM atrophy quantification in MS using lesion-filling with co-registered 2D lesion masks. Neuroimage Clin. 2014, 4, 366–373. [Google Scholar] [CrossRef]
- Pontillo, G.; Cocozza, S.; Di Stasi, M.; Carotenuto, A.; Paolella, C.; Cipullo, M.B.; Perillo, T.; Vola, E.A.; Russo, C.; Masullo, M.; et al. 2D linear measures of ventricular enlargement may be relevant markers of brain atrophy and long-term disability progression in multiple sclerosis. Eur. Radiol. 2020, 30, 3813–3822. [Google Scholar] [CrossRef]
- Cappelle, S.; Pareto, D.; Tintoré, M.; Vidal-Jordana, A.; Alyafeai, R.; Alberich, M.; Sastre-Garriga, J.; Auger, C.; Montalban, X.; Rovira, À. A validation study of manual atrophy measures in patients with Multiple Sclerosis. Neuroradiology 2020, 62, 955–964. [Google Scholar] [CrossRef]
- Ajitomi, S.; Fujimori, J.; Nakashima, I. Usefulness of two-dimensional measurements for the evaluation of brain volume and disability in multiple sclerosis. Mult. Scler. J. Exp. Transl. Clin. 2022, 8, 20552173211070749. [Google Scholar] [CrossRef] [PubMed]
- Świderek-Matysiak, M.; Oset, M.; Domowicz, M.; Galazka, G.; Namiecińska, M.; Stasiołek, M. Cerebrospinal Fluid Biomarkers in Differential Diagnosis of Multiple Sclerosis and Systemic Inflammatory Diseases with Central Nervous System Involvement. Biomedicines 2023, 11, 425. [Google Scholar] [CrossRef] [PubMed]
- Kurtzke, J.F. Rating neurologic impairment in multiple sclerosis: An expanded disability status scale (EDSS). Neurology 1983, 33, 1444–1452. [Google Scholar] [CrossRef] [PubMed]
- Sąsiadek, M.; Hartel, M.; Siger, M.; Katulska, K.; Majos, A.; Kluczewska, E.; Bartosik-Psujek, H.; Kułakowska, A.; Słowik, A.; Steinborn, B.; et al. Recommendations of the Polish Medical Society of Radiology and the Polish Society of Neurology for a protocol concerning routinely used magnetic resonance imaging in patients with multiple sclerosis. Neurol. Neurochir. Pol. 2020, 54, 410–415. [Google Scholar] [CrossRef] [PubMed]
- Figueira, F.F.; Santos, V.S.; Figueira, G.M.; Silva, A.C. Corpus callosum index: A practical method for long-term follow-up in multiple sclerosis. Arq. Neuro-Psiquiatr. 2007, 65, 931–935. [Google Scholar] [CrossRef]
- Fujimori, J.; Uryu, K.; Fujihara, K.; Wattjes, M.P.; Suzuki, C.; Nakashima, I. Measurements of the corpus callosum index and fractional anisotropy of the corpus callosum and their cutoff values are useful to assess global brain volume loss in multiple sclerosis. Mult. Scler. Relat. Disord. 2020, 45, 102388. [Google Scholar] [CrossRef] [PubMed]
- Gonçalves, L.I.; Dos Passos, G.R.; Conzatti, L.P.; Burger, J.L.P.; Tomasi, G.H.; Zandoná, M.É.; Azambuja, L.S.; Gomes, I.; Franco, A.; Sato, D.K.; et al. Correlation between the corpus callosum index and brain atrophy, lesion load, and cognitive dysfunction in multiple sclerosis. Mult. Scler. Relat. Disord. 2018, 20, 154–158. [Google Scholar] [CrossRef]
- Bermel, R.A.; Bakshi, R.; Tjoa, C.; Puli, S.R.; Jacobs, L. Bicaudate ratio as a magnetic resonance imaging marker of brain atrophy in multiple sclerosis. Arch. Neurol. 2002, 59, 275–280. [Google Scholar] [CrossRef]
- Bermel, R.A.; Bakshi, R. The measurement and clinical relevance of brain atrophy in multiple sclerosis. Lancet Neurol. 2006, 5, 158–170. [Google Scholar] [CrossRef]
- Granberg, T.; Bergendal, G.; Shams, S.; Aspelin, P.; Kristoffersen-Wiberg, M.; Fredrikson, S.; Martola, J. MRI-Defined Corpus Callosal Atrophy in Multiple Sclerosis: A Comparison of Volumetric Measurements, Corpus Callosum Area and Index. J. Neuroimaging 2015, 25, 996–1001. [Google Scholar] [CrossRef]
- Kim, J.-H. Estimating classification error rate: Repeated cross-validation, repeated hold-out and bootstrap. Comput. Stat. Data Anal. 2009, 53, 3735–3745. [Google Scholar] [CrossRef]
- Simone, B.; Di Ciaccio, A. Measuring the prediction error. A comparison of cross-validation, bootstrap and covariance penalty methods. Comput. Stat. Data Anal. 2010, 54, 2976–2989. [Google Scholar]
- Butzkueven, H.; Kolbe, S.C.; Jolley, D.J.; Brown, J.Y.; Cook, M.J.; van der Mei, I.A.; Groom, P.S.; Carey, J.; Eckholdt, J.; Rubio, J.P.; et al. Validation of linear cerebral atrophy markers in multiple sclerosis. J. Clin. Neurosci. 2008, 15, 130–137. [Google Scholar] [CrossRef] [PubMed]
- Martola, J.; Stawiarz, L.; Fredrikson, S.; Hillert, J.; Bergstrom, J.; Flodmark, O.; Aspelin, P.; Kristoffersen Wiberg, M. Rate of ventricular enlargement in multiple sclerosis: A nine-year magnetic resonance imaging follow-up study. Acta Radiol. 2008, 49, 570–579. [Google Scholar] [CrossRef] [PubMed]
- Muller, M.; Esser, R.; Kotter, K.; Voss, J.; Muller, A.; Stellmes, P. Third ventricular enlargement in early stages of multiple sclerosis is a predictor of motor and neuropsychological deficits: A crosssectional study. BMJ Open 2013, 3, e003582. [Google Scholar] [CrossRef]
- Yaldizli, Ö.; Atefy, R.; Gass, A.; Sturm, D.; Glassl, S.; Tettenborn, B.; Putzki, N. Corpus callosum index and long-term disability in multiple sclerosis patients. J. Neurol. 2010, 257, 1256–1264. [Google Scholar] [CrossRef] [PubMed]
- Ciampi, E.; Pareto, D.; Sastre-Garriga, J.; Vidal-Jordana, A.; Tur, C.; Río, J.; Tintoré, M.; Auger, C.; Rovira, A.; Montalban, X. Grey matter atrophy is associated with disability increase in natalizumab-treated patients. Mult. Scler. J. 2017, 23, 556–566. [Google Scholar] [CrossRef]
- Sánchez, M.P.; Nieto, A.; Barroso, J.; Martín, V.; Hernández, M.A. Brain atrophy as a marker of cognitive impairment in mildly disabling relapsing-remitting multiple sclerosis. Eur. J. Neurol. 2008, 15, 1091–1099. [Google Scholar] [CrossRef]
- Appenzeller, S.; Rondina, J.M.; Li, L.M.; Costallat, L.T.L.; Cendes, F. Cerebral and corpus callosum atrophy in systemic lupus erythematosus. Arthritis Rheum. 2005, 52, 2783–2789. [Google Scholar] [CrossRef]
- Appenzeller, S.; Bonilha, L.; Rio, P.A.; Li, L.M.; Costallat, L.T.; Cendes, F. Longitudinal analysis of gray and white matter loss in patients with systemic lupus erythematosus. Neuroimage 2007, 34, 694–701. [Google Scholar] [CrossRef]
- Cagnoli, P.C.; Sundgren, P.C.; Kairys, A.; Graft, C.C.; Clauw, D.J.; Gebarski, S.; McCune, W.J.; Schmidt-Wilcke, T. Changes in regional brain morphology in neuropsychiatric systemic lupus erythematosus. J. Rheumatol. 2012, 39, 959–967. [Google Scholar] [CrossRef] [PubMed]
- Zivadinov, R.; Shucard, J.L.; Hussein, S.; Durfee, J.; Cox, J.L.; Bergsland, N.; Dwyer, M.G.; Benedict, R.; Ambrus, J.; Shucard, D.W. Multimodal imaging in systemic lupus erythematosus patients with diffuse neuropsychiatric involvement. Lupus 2013, 22, 675–683. [Google Scholar] [CrossRef] [PubMed]
- Lapa, A.T.; Postal, M.; Sinicato, N.A.; Ferreira, W.G.; Bellini, B.S.; Fernandes, P.T.; Rittner, L.; Marini, R.; Cendes, F.; Appenzeller, S. Reduction of Cerebral and Corpus Callosum Volumes in Childhood-Onset Systemic Lupus Erythematosus: A Volumetric Magnetic Resonance Imaging Analysis. Arthritis Rheumatol. 2016, 68, 2193–2199. [Google Scholar] [CrossRef] [PubMed]
- Nishizawa, K.; Fujimori, J.; Nakashima, I. Two-dimensional measurements with cut-off values are useful for assessing brain volume, physical disability, and processing speed in multiple sclerosis. Mult. Scler. Relat. Disord. 2022, 59, 103543. [Google Scholar] [CrossRef]
- Muscal, E.; Traipe, E.; de Guzman, M.M.; Myones, B.L.; Brey, R.L.; Hunter, J.V. Cerebral and cerebellar volume loss in children and adolescents with systemic lupus erythematosus: A review of clinically acquired brain magnetic resonance imaging. J. Rheumatol. 2010, 37, 1768–1775. [Google Scholar] [CrossRef]
- Sotgiu, M.A.; Piga, G.; Mazzarello, V.; Zarbo, I.R.; Carta, A.; Saderi, L.; Sotgiu, S.; Conti, M.; Saba, L.; Crivelli, P. Corpus callosum volumetrics and clinical progression in early multiple sclerosis. Eur. Rev. Med. Pharmacol. Sci. 2022, 26, 225–231. [Google Scholar] [CrossRef]
- Platten, M.; Ouellette, R.; Herranz, E.; Barletta, V.; Treaba, C.A.; Mainero, C.; Granberg, T. Cortical and white matter lesion topology influences focal corpus callosum atrophy in multiple sclerosis. J. Neuroimaging 2022, 32, 471–479. [Google Scholar] [CrossRef]
- Caon, C.; Zvartau-Hind, M.; Ching, W.; Lisak, R.P.; Tselis, A.C.; Khan, O.A. Intercaudate nucleus ratio as a linear measure of brain atrophy in multiple sclerosis. Neurology 2003, 60, 323–325. [Google Scholar] [CrossRef]
- Serag, D.; Ragab, E. Bi-caudate ratio as a MRI marker of white matter atrophy in multiple sclerosis and ischemic leukocencephalopathy. Egypt. J. Radiol. Nucl. Med. 2019, 50, 99. [Google Scholar] [CrossRef]
- Lutz, T.; Bellenberg, B.; Schneider, R.; Weiler, F.; Köster, O.; Lukas, C. Central Atrophy Early in Multiple Sclerosis: Third Ventricle Volumetry versus Planimetry. J. Neuroimaging 2017, 27, 348–354. [Google Scholar] [CrossRef]
- Okada, K.; Kakeda, S.; Tahara, M. Olfactory identification associates with cognitive function and the third ventricle width in patients with relapsing-remitting multiple sclerosis. Mult. Scler. Relat. Disord. 2020, 38, 101507. [Google Scholar] [CrossRef] [PubMed]
- Paolillo, A.; Pozzilli, C.; Gasperini, C.; Giugni, E.; Mainero, C.; Giuliani, S.; Tomassini, V.; Millefiorini, E.; Bastianello, S. Brain atrophy in relapsing-remitting multiple sclerosis: Relationship with ’black holes’, disease duration and clinical disability. J. Neurol. Sci. 2000, 174, 85–91. [Google Scholar] [CrossRef] [PubMed]
- Yaldizli, Ö.; Penner, I.K.; Frontzek, K.; Naegelin, Y.; Amann, M.; Papadopoulou, A.; Sprenger, T.; Kuhle, J.; Calabrese, P.; Radü, E.W.; et al. The relationship between total and regional corpus callosum atrophy, cognitive impairment and fatigue in multiple sclerosis patients. Mult. Scler. J. 2014, 20, 356–364. [Google Scholar] [CrossRef] [PubMed]
- Thomas, A.M.; Barkhof, F.; Bulte, J.W.M. Opportunities for Molecular Imaging in Multiple Sclerosis Management: Linking Probe to Treatment. Radiology 2022, 303, 486–497. [Google Scholar] [CrossRef] [PubMed]
- Ben-Shalom, I.; Karni, A.; Kolb, H. The Role of Molecular Imaging as a Marker of Remyelination and Repair in Multiple Sclerosis. Int. J. Mol. Sci. 2021, 23, 474. [Google Scholar] [CrossRef]
- Lee, S.P.; Wu, C.S.; Cheng, J.Z.; Chen, C.M.; Chen, Y.C.; Chou, M.C. Automatic Segmentation of the Corpus Callosum Using a Cell-Competition Algorithm: Diffusion Tensor Imaging-Based Evaluation of Callosal Atrophy and Tissue Alterations in Patients with Systemic Lupus Erythematosus. J. Comput. Assist. Tomogr. 2015, 39, 781–786. [Google Scholar] [CrossRef]
- Cannerfelt, B.; Nystedt, J.; Jönsen, A.; Lätt, J.; van Westen, D.; Lilja, A.; Bengtsson, A.; Nilsson, P.; Mårtensson, J.; Sundgren, P.C. White matter lesions and brain atrophy in systemic lupus erythematosus patients: Correlation to cognitive dysfunction in a cohort of systemic lupus erythematosus patients using different definition models for neuropsychiatric systemic lupus erythematosus. Lupus 2018, 27, 1140–1149. [Google Scholar] [CrossRef]
- Pongratz, V.; Bussas, M.; Schmidt, P.; Grahl, S.; Gasperi, C.; El Husseini, M.; Harabacz, L.; Pineker, V.; Sepp, D.; Grundl, L.; et al. Lesion location across diagnostic regions in multiple sclerosis. Neuroimage Clin. 2023, 37, 103311. [Google Scholar] [CrossRef]


| Characteristic | MS n = 58 | SDCNS n = 41 | p-Value |
|---|---|---|---|
| Age (years) mean | 36.69 | 44.15 | 0.001 # |
| Age (years) range (SD) | 33.92–39.45 (10.43) | 40.52–47.76 (11.33) | |
| Female-to-male ratio | 17/41 | 5/36 | 0.08 |
| Disease duration (years) mean (SD) | 2.37 (2.74) | 3.27 (5.86) | 0.51 |
| EDSS median | 1.25 (1.00) | n/a | n/a |
| Variable | Index | MS | SDCNS | ||
|---|---|---|---|---|---|
| β | p-Value | β | p-Value | ||
| age | CCI | 0.0002 | 0.768 | –0.0017 | 0.005 # |
| BCR | 0.0009 | 0.001 # | 0.0012 | <0.001 # | |
| W3V | 0.0576 | 0.015 # | 0.1090 | <0.001 # | |
| gender | CCI | −0.0120 | 0.360 | −0.0241 | 0.282 |
| BCR | −0.0099 | 0.116 | 0.0026 | 0.822 | |
| W3V | −0.5127 | 0.353 | 1.0128 | 0.354 | |
| disease duration | CCI | 0.0042 | 0.734 | 0.0002 | 0.985 |
| BCR | 0.0089 | 0.133 | –0.0008 | 0.899 | |
| W3V | 0.8982 | 0.081 | –0.1638 | 0.778 | |
| T1LV | CCI | –0.0165 | 0.015 # | 0.0062 | 0.336 |
| BCR | 0.0076 | 0.020 # | –0.0027 | 0.414 | |
| W3V | 0.7467 | 0.009 # | –0.2589 | 0.396 | |
| T2LV | CCI | –0.0188 | 0.050 | –0.0026 | 0.729 |
| BCR | 0.0112 | 0.015 # | 0.0046 | 0.212 | |
| W3V | 1.0467 | 0.009 # | 0.3882 | 0.271 | |
| Parameter/Groups | MS (n = 58) | SDCNS (n = 41) | p-Value |
|---|---|---|---|
| BCR mean, (SD) | 0.09 (0.02) | 0.10 (0.02) | 0.01 # |
| CCI mean, (SD) | 0.39 (0.04) | 0.47 (0.04) | 0.01 # |
| W3V mm mean, (SD) | 1.73 (1.78) | 2.34 (2.01) | 0.16 |
| T2LV mL (SD) | 3.70 (5.73) | 0.66 (0.97) | <0.001 # |
| T1LV mL (SD) | 1.77 (3.48) | 0.14 (0.27) | <0.001 # |
Disclaimer/Publisher’s Note: The statements, opinions and data contained in all publications are solely those of the individual author(s) and contributor(s) and not of MDPI and/or the editor(s). MDPI and/or the editor(s) disclaim responsibility for any injury to people or property resulting from any ideas, methods, instructions or products referred to in the content. |
© 2024 by the authors. Licensee MDPI, Basel, Switzerland. This article is an open access article distributed under the terms and conditions of the Creative Commons Attribution (CC BY) license (https://creativecommons.org/licenses/by/4.0/).
Share and Cite
Siger, M.; Wydra, J.; Wildner, P.; Podyma, M.; Puzio, T.; Matera, K.; Stasiołek, M.; Świderek-Matysiak, M. Differences in Brain Atrophy Pattern between People with Multiple Sclerosis and Systemic Diseases with Central Nervous System Involvement Based on Two-Dimensional Linear Measures. J. Clin. Med. 2024, 13, 333. https://doi.org/10.3390/jcm13020333
Siger M, Wydra J, Wildner P, Podyma M, Puzio T, Matera K, Stasiołek M, Świderek-Matysiak M. Differences in Brain Atrophy Pattern between People with Multiple Sclerosis and Systemic Diseases with Central Nervous System Involvement Based on Two-Dimensional Linear Measures. Journal of Clinical Medicine. 2024; 13(2):333. https://doi.org/10.3390/jcm13020333
Chicago/Turabian StyleSiger, Małgorzata, Jacek Wydra, Paula Wildner, Marek Podyma, Tomasz Puzio, Katarzyna Matera, Mariusz Stasiołek, and Mariola Świderek-Matysiak. 2024. "Differences in Brain Atrophy Pattern between People with Multiple Sclerosis and Systemic Diseases with Central Nervous System Involvement Based on Two-Dimensional Linear Measures" Journal of Clinical Medicine 13, no. 2: 333. https://doi.org/10.3390/jcm13020333
APA StyleSiger, M., Wydra, J., Wildner, P., Podyma, M., Puzio, T., Matera, K., Stasiołek, M., & Świderek-Matysiak, M. (2024). Differences in Brain Atrophy Pattern between People with Multiple Sclerosis and Systemic Diseases with Central Nervous System Involvement Based on Two-Dimensional Linear Measures. Journal of Clinical Medicine, 13(2), 333. https://doi.org/10.3390/jcm13020333

