Coronary Artery Disease, Family History, and Screening Perspectives: An Up-to-Date Review
Abstract
1. Background
2. Framingham Heart Study
3. Evidence from Genetics Analysis
4. Degree of Kinship in Family History and Evidence of Coronary Artery Disease
5. Acute Coronary Syndromes and Family History for Coronary Artery Disease
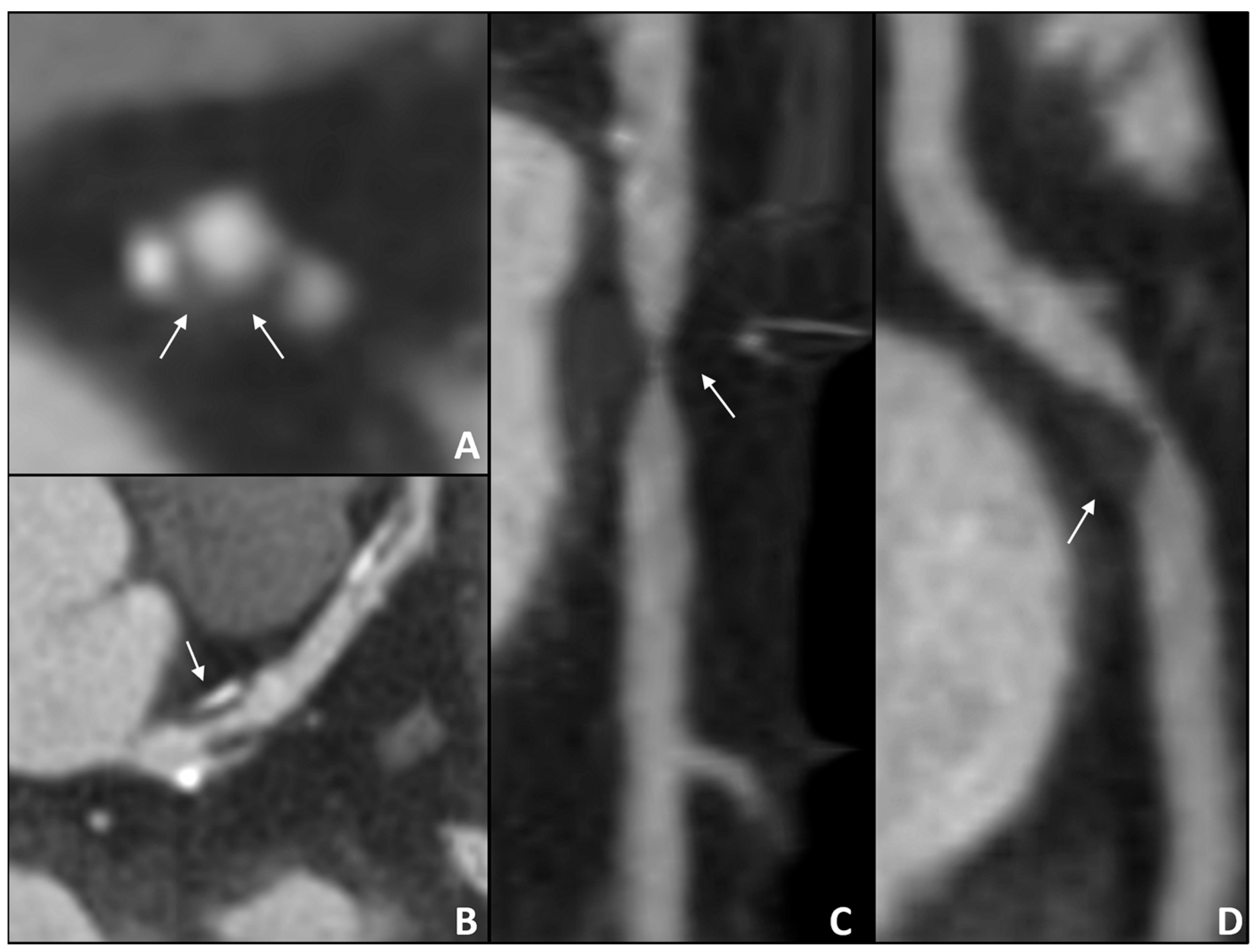
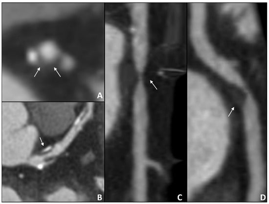
6. Computer Tomography Screening Role in Patients with Family History for Coronary Artery Disease
7. Family History for Coronary Artery Disease and Vascular Disease
8. Limitations of Considering Family History for Coronary Artery Disease as Cardiovascular Risk Factor
- -
- Sensitivity and specificity of FH: The sensitivity of a reported FH for premature CHD ranges from 68% to 86%, while specificity is higher (86% to 98%); this implies that some individuals with a positive FH of CHD are erroneously classified as negative (false negatives), leading to an underestimation of the risk associated with FH.
- -
- Self-reporting and memory: Collecting information on FH often relies on self-reporting, which can be influenced by memory errors or a lack of knowledge about relatives’ medical conditions. This leads to recall bias, reducing the accuracy of FH data [33].
- -
- Inaccurate measurement: Misclassification can also occur in MCVRFs themselves: if these are not correctly identified, it can be difficult to determine the independent effect of FH on CAD risk.
- -
- Independence of FH from MCVRFs: when premature CAD FH coexists with several MCVRFs, it may be difficult to discern the exact contribution of FH compared to MCVRFs in determining CAD risk.
- -
- Cumulative risk: Individuals with premature CAD FH often share environmental and behavioral risk factors with their relatives, such as dietary habits, physical activity levels, and smoking tendencies. These factors can cumulatively increase the risk of CAD, making it complex to isolate the impact of FH from MCVRFs [33].
- -
- Confounding from unmeasured factors: Unmeasured genetic or environmental factors can influence both FH and MCVRFs; genetic variants that predispose to dyslipidemia or hypertension increase CAD risk independently of FH.
- -
- Heritability of MCVRFs: Some MCVRFs, such as hypertension and diabetes, have a significant genetic component. Therefore, an FH of premature CAD might partly reflect the heritability of these MCVRFs rather than an independent genetic risk for CAD [33].
9. Clinical Diagnostic and Treatment Implications
10. Conclusions
Author Contributions
Funding
Conflicts of Interest
References
- Blankstein, R.; Foody, J.M. Screening for Coronary Artery Disease in Patients With Family History…How, When, and in Whom? Circ. Cardiovasc. Imaging 2014, 7, 417–419. [Google Scholar] [CrossRef] [PubMed]
- Wilson, P.W.F.; D’Agostino, R.B.; Levy, D.; Belanger, A.M.; Silbershatz, H.; Kannel, W.B. Prediction of Coronary Heart Disease Using Risk Factor Categories. Circulation 1998, 97, 1837–1847. [Google Scholar] [CrossRef] [PubMed]
- Conroy, R. Estimation of ten-year risk of fatal cardiovascular disease in Europe: The SCORE project. Eur. Heart J. 2003, 24, 987–1003. [Google Scholar] [CrossRef] [PubMed]
- Hippisley-Cox, J.; Coupland, C.; Brindle, P. Development and validation of QRISK3 risk prediction algorithms to estimate future risk of cardiovascular disease: Prospective cohort study. BMJ 2017, 357, j2099. [Google Scholar] [CrossRef]
- Nielsen, M.; Andersson, C.; Gerds, T.A.; Andersen, P.K.; Jensen, T.B.; Køber, L.; Gislason, G.; Torp-Pedersen, C. Familial clustering of myocardial infarction in first-degree relatives: A nationwide study. Eur. Heart J. 2013, 34, 1198–1203. [Google Scholar] [CrossRef]
- Nasir, K.; Michos, E.D.; Rumberger, J.A.; Braunstein, J.B.; Post, W.S.; Budoff, M.J.; Blumenthal, R.S. Coronary Artery Calcification and Family History of Premature Coronary Heart Disease. Circulation 2004, 110, 2150–2156. [Google Scholar] [CrossRef]
- Wahrenberg, A.; Magnusson, P.K.E.; Discacciati, A.; Ljung, L.; Jernberg, T.; Frick, M.; Linder, R.; Svensson, P. Family history of coronary artery disease is associated with acute coronary syndrome in 28,188 chest pain patients. Eur. Heart J. Acute Cardiovasc. Care 2020, 9, 741–747. [Google Scholar] [CrossRef]
- Wahrenberg, A.; Kuja-Halkola, R.; Magnusson, P.K.E.; Häbel, H.; Warnqvist, A.; Hambraeus, K.; Jernberg, T.; Svensson, P. Cardiovascular Family History Increases the Risk of Disease Recurrence After a First Myocardial Infarction. J. Am. Heart Assoc. 2021, 10, e022264. [Google Scholar] [CrossRef]
- Vrints, C.; Andreotti, F.; Koskinas, K.C.; Rossello, X.; Adamo, M.; Ainslie, J.; Banning, A.P.; Budaj, A.; Buechel, R.R.; Chiariello, G.A.; et al. 2024 ESC Guidelines for the management of chronic coronary syndromes. Eur. Heart J. 2024, 45, ehae177. [Google Scholar] [CrossRef]
- Kral, B.G.; Becker, L.C.; Vaidya, D.; Yanek, L.R.; Qayyum, R.; Zimmerman, S.L.; Dey, D.; Berman, D.S.; Moy, T.F.; Fishman, E.K.; et al. Noncalcified Coronary Plaque Volumes in Healthy People With a Family History of Early Onset Coronary Artery Disease. Circ. Cardiovasc. Imaging 2014, 7, 446–453. [Google Scholar] [CrossRef]
- Williams, M.C.; Kwiecinski, J.; Doris, M.; McElhinney, P.; D’Souza, M.S.; Cadet, S.; Adamson, P.D.; Moss, A.J.; Alam, S.; Hunter, A.; et al. Low-Attenuation Noncalcified Plaque on Coronary Computed Tomography Angiography Predicts Myocardial Infarction. Circulation 2020, 141, 1452–1462. [Google Scholar] [CrossRef] [PubMed]
- Andreini, D.; Magnoni, M.; Conte, E.; Masson, S.; Mushtaq, S.; Berti, S.; Canestrari, M.; Casolo, G.; Gabrielli, D.; Latini, R.; et al. Coronary Plaque Features on CTA Can Identify Patients at Increased Risk of Cardiovascular Events. JACC Cardiovasc. Imaging 2020, 13, 1704–1717. [Google Scholar] [CrossRef] [PubMed]
- Roncaglioni, M.C.; Santoro, L.; D’Avanzo, B.; Negri, E.; Nobili, A.; Ledda, A.; Pietropaolo, F.; Franzosi, M.G.; La Vecchia, C.; Feruglio, G.A. Role of family history in patients with myocardial infarction. An Italian case-control study. GISSI-EFRIM Investigators. Circulation 1992, 85, 2065–2072. [Google Scholar] [CrossRef] [PubMed]
- Ciruzzi, M.; Schargrodsky, H.; Rozlosnik, J.; Pramparo, P.; Delmonte, H.; Rudich, V.; Piskorz, D.; Negri, E.; Soifer, S.; La Vecchia, C. Frequency of Family History of Acute Myocardial Infarction in Patients With Acute Myocardial Infarction. Am. J. Cardiol. 1997, 80, 122–127. [Google Scholar] [CrossRef]
- Yunyun, W.; Tong, L.; Yingwu, L.; Bojiang, L.; Yu, W.; Xiaomin, H.; Xin, L.; Wenjin, P.; Li, J. Analysis of risk factors of ST-segment elevation myocardial infarction in young patients. BMC Cardiovasc. Disord. 2014, 14, 179. [Google Scholar] [CrossRef]
- Paixao, A.R.M.; Berry, J.D.; Neeland, I.J.; Ayers, C.R.; Rohatgi, A.; de Lemos, J.A.; Khera, A. Coronary Artery Calcification and Family History of Myocardial Infarction in the Dallas Heart Study. JACC Cardiovasc. Imaging 2014, 7, 679–686. [Google Scholar] [CrossRef]
- Chow, C.K.; Islam, S.; Bautista, L.; Rumboldt, Z.; Yusufali, A.; Xie, C.; Anand, S.S.; Engert, J.C.; Rangarajan, S.; Yusuf, S. Parental History and Myocardial Infarction Risk Across the World. J. Am. Coll. Cardiol. 2011, 57, 619–627. [Google Scholar] [CrossRef]
- Sunman, H.; Yorgun, H.; Canpolat, U.; Hazırolan, T.; Kaya, E.B.; Ateş, A.H.; Dural, M.; Aytemir, K.; Tokgözoğlu, L.; Kabakçı, G.; et al. Association between family history of premature coronary artery disease and coronary atherosclerotic plaques shown by multidetector computed tomography coronary angiography. Int. J. Cardiol. 2013, 164, 355–358. [Google Scholar] [CrossRef]
- Lloyd-Jones, D.M.; Nam, B.-H.; D’Agostino, R.B.; Levy, D.; Murabito, J.M.; Wang, T.J.; Wilson, P.W.F.; O’Donnell, C.J. Parental Cardiovascular Disease as a Risk Factor for Cardiovascular Disease in Middle-aged Adults. JAMA 2004, 291, 2204–2211. [Google Scholar] [CrossRef]
- Murabito, J.M. Sibling Cardiovascular Disease as a Risk Factor for Cardiovascular Disease in Middle-aged Adults. JAMA 2005, 294, 3117–3123. [Google Scholar] [CrossRef]
- Sivapalaratnam, S.; Boekholdt, S.M.; Trip, M.D.; Sandhu, M.S.; Luben, R.; Kastelein, J.J.P.; Wareham, N.J.; Khaw, K.-T. Family history of premature coronary heart disease and risk prediction in the EPIC-Norfolk prospective population study. Heart 2010, 96, 1985–1989. [Google Scholar] [CrossRef] [PubMed]
- Banerjee, A. A review of family history of cardiovascular disease: Risk factor and research tool. Int. J. Clin. Pract. 2012, 66, 536–543. [Google Scholar] [CrossRef] [PubMed]
- Dawber, T.R.; Meadors, G.F.; Moore, F.E. Epidemiological Approaches to Heart Disease: The Framingham Study. Am. J. Public Health Nations Health 1951, 41, 279–286. [Google Scholar] [CrossRef] [PubMed]
- Hu, P.; Dharmayat, K.I.; Stevens, C.A.T.; Sharabiani, M.T.A.; Jones, R.S.; Watts, G.F.; Genest, J.; Ray, K.K.; Vallejo-Vaz, A.J. Prevalence of Familial Hypercholesterolemia Among the General Population and Patients With Atherosclerotic Cardiovascular Disease. Circulation 2020, 141, 1742–1759. [Google Scholar] [CrossRef]
- Lambert, S.A.; Abraham, G.; Inouye, M. Towards clinical utility of polygenic risk scores. Hum. Mol. Genet. 2019, 28, R133–R142. [Google Scholar] [CrossRef]
- Inouye, M.; Abraham, G.; Nelson, C.P.; Wood, A.M.; Sweeting, M.J.; Dudbridge, F.; Lai, F.Y.; Kaptoge, S.; Brozynska, M.; Wang, T.; et al. Genomic Risk Prediction of Coronary Artery Disease in 480,000 Adults. J. Am. Coll. Cardiol. 2018, 72, 1883–1893. [Google Scholar] [CrossRef]
- Tada, H.; Melander, O.; Louie, J.Z.; Catanese, J.J.; Rowland, C.M.; Devlin, J.J.; Kathiresan, S.; Shiffman, D. Risk prediction by genetic risk scores for coronary heart disease is independent of self-reported family history. Eur. Heart J. 2016, 37, 561–567. [Google Scholar] [CrossRef]
- Khera, A.V.; Chaffin, M.; Zekavat, S.M.; Collins, R.L.; Roselli, C.; Natarajan, P.; Lichtman, J.H.; D’Onofrio, G.; Mattera, J.; Dreyer, R.; et al. Whole-Genome Sequencing to Characterize Monogenic and Polygenic Contributions in Patients Hospitalized With Early-Onset Myocardial Infarction. Circulation 2019, 139, 1593–1602. [Google Scholar] [CrossRef]
- Natarajan, P.; Young, R.; Stitziel, N.O.; Padmanabhan, S.; Baber, U.; Mehran, R.; Sartori, S.; Fuster, V.; Reilly, D.F.; Butterworth, A.; et al. Polygenic Risk Score Identifies Subgroup With Higher Burden of Atherosclerosis and Greater Relative Benefit From Statin Therapy in the Primary Prevention Setting. Circulation 2017, 135, 2091–2101. [Google Scholar] [CrossRef]
- Kathiresan, S.; Melander, O.; Anevski, D.; Guiducci, C.; Burtt, N.P.; Roos, C.; Hirschhorn, J.N.; Berglund, G.; Hedblad, B.; Groop, L.; et al. Polymorphisms Associated with Cholesterol and Risk of Cardiovascular Events. N. Engl. J. Med. 2008, 358, 1240–1249. [Google Scholar] [CrossRef]
- Abraham, G.; Havulinna, A.S.; Bhalala, O.G.; Byars, S.G.; De Livera, A.M.; Yetukuri, L.; Tikkanen, E.; Perola, M.; Schunkert, H.; Sijbrands, E.J.; et al. Genomic prediction of coronary heart disease. Eur. Heart J. 2016, 37, 3267–3278. [Google Scholar] [CrossRef] [PubMed]
- Andersson, C.; Vasan, R.S. Is There a Role for Coronary Artery Calcium Scoring for Management of Asymptomatic Patients at Risk for Coronary Artery Disease? Circ. Cardiovasc. Imaging 2014, 7, 390–397. [Google Scholar] [CrossRef] [PubMed]
- Nasir, K.; Budoff, M.J.; Wong, N.D.; Scheuner, M.; Herrington, D.; Arnett, D.K.; Szklo, M.; Greenland, P.; Blumenthal, R.S. Family History of Premature Coronary Heart Disease and Coronary Artery Calcification. Circulation 2007, 116, 619–626. [Google Scholar] [CrossRef] [PubMed]
- Perone, F.; Bernardi, M.; Redheuil, A.; Mafrica, D.; Conte, E.; Spadafora, L.; Ecarnot, F.; Tokgozoglu, L.; Santos-Gallego, C.G.; Kaiser, S.E.; et al. Role of Cardiovascular Imaging in Risk Assessment: Recent Advances, Gaps in Evidence, and Future Directions. J. Clin. Med. 2023, 12, 5563. [Google Scholar] [CrossRef] [PubMed]
- Suh, B.; Shin, D.W.; Lee, S.-P.; Lee, H.; Lee, H.; Park, E.-A.; Cho, B. Family history of coronary heart disease is more strongly associated with coronary than with carotid atherosclerosis in healthy asymptomatic adults. Atherosclerosis 2014, 233, 584–589. [Google Scholar] [CrossRef]
- Lee, S.-E.; Chang, H.-J.; Sung, J.M.; Park, H.-B.; Heo, R.; Rizvi, A.; Lin, F.Y.; Kumar, A.; Hadamitzky, M.; Kim, Y.J.; et al. Effects of Statins on Coronary Atherosclerotic Plaques. JACC Cardiovasc. Imaging 2018, 11, 1475–1484. [Google Scholar] [CrossRef]
- van Rosendael, S.E.; van den Hoogen, I.J.; Lin, F.Y.; Andreini, D.; Al-Mallah, M.H.; Budoff, M.J.; Cademartiri, F.; Chinnaiyan, K.; Choi, J.H.; Conte, E.; et al. Clinical and Coronary Plaque Predictors of Atherosclerotic Nonresponse to Statin Therapy. JACC Cardiovasc. Imaging 2023, 16, 495–504. [Google Scholar] [CrossRef]


| Authors, Year | Population (n) | Median Age | Males % | Study Design | Primary Endpoint | Results |
|---|---|---|---|---|---|---|
| GISSI-EFRIM Investigators, 1992 [13] | 2022 (916 cases, 1106 controls) | 56 | 88% | Case–control study | Myocardial infarction | FH of AMI is an independent risk factor for MI; no. of relatives and age at AMI is related to OR. |
| Argentine FRICAS Investigators, 1997 [14] | 1060 (cases, 1071 controls) | 40 | / | Case–control study | Myocardial infarction | OR for any family history of AMI was 2.83 in women; 2.01 in men. Similar OR if the mother (1.98), the father (2.13), or a sibling (2.48) had had an AMI. |
| Wang Yunyun et al., 2014 [15] | 230 (86 young cases, 65 old cases, 79 controls) | 40 (young), 69 (old) | 69% | Case–control study | STEMI | Young STEMI pts compared to old had more frequent FH of early CAD (54.65 vs. 18.46%; p < 0.01); logistic regression analysis showed association of FH of early CAD (OR 3.194) with STEMI in young pts. |
| Andre R.M. Paixao et al., 2014 [16] | 2390 | 45 | 95% | Population cohort study | Composite of CHD-related death, AMI, PCI | In multivariate models adjusted for traditional risk factors, FH was independently associated with CHD (HR 2.6). FH and CAC were additive. |
| Mia Nielsen et al., 2013 [5] | 259.613 | 40–50 | / | Retrospective register-based cohort study | Myocardial infarction | FH for MI raises risk for MI in patients, especially if with maternal or sibling FH. |
| Dallas Heart Study, 2007 [16] | 1824 (young)/919 (older) | 40 (young), 55 (older) | 66% (young), 34% (older) | Population-based probability sample | FHMI is a more important predictor of CAD in young compared with older adults; among young, in those with multiple CVRFs. | |
| Khurram Nasir et al., 2004 [6] | 8549 | 48 | 69% | Cross-sectional study | Subclinical Atherosclerosis documented at CT scan | FH (and more specifically sibling FH) for premature CHD associates with CAC. |
| INTERHEART study, 2011 [17] | 12,149 cases/14,467 controls | 57 | 74% | Case–control study | Myocardial infarction | FH positively adjusted for MCVRFs correlates with premature MI (OR 1.84) |
| Hamza Sunman et al., 2013 [18] | 349 | 58 | 58% | Retrospective cohort study | Non-calcified atherosclerosis at MDCT coronary angiography | FH of premature CAD is associated with severity, extent, and non-calcified CAP at CT |
| Agnes Wahrenberg et al., 2021 [8] | 25,615 | 62 | 72% | Register-based cohort study | Recurrent ASCVD after first MI | FH of early ASCVD is associated with recurrent ASCVD after MI, independently of traditional MCVRFs |
| Donald M. Lloyd-Jones et al., 2004 [19] | 2302 | 44 | 49% | Prospective epidemiologic cohort study | CVD events | FH for at least one parent with premature CVD has greater risk for CV events (OR 2 for men, 1.7 for women) |
| Joanne M. Murabito et al., 2005 [20] | 5479 | 51 | 46% | Prospective epidemiologic cohort study | CVD events | Sibling CVD confers increased risk of CVD events above and beyond established risk factors. |
| EPIC-Norfolk study, 2010 [21] | 22,841 | 58 | 45% | Prospective cohort study | CHD (unstable angina, stable angina, MI) | FH of CHD is an independent risk factor of future CHD. |
| Brian G. Kral et al., 2014 [10] | 805 | 51 | 44% | Retrospective cohort study | Subclinical CAD detected at coronary CT | Apparently healthy men and women from families with early-onset CAD have a high prevalence of subclinical CAD, composed primarily of non-calcified plaque. |
Disclaimer/Publisher’s Note: The statements, opinions and data contained in all publications are solely those of the individual author(s) and contributor(s) and not of MDPI and/or the editor(s). MDPI and/or the editor(s) disclaim responsibility for any injury to people or property resulting from any ideas, methods, instructions or products referred to in the content. |
© 2024 by the authors. Licensee MDPI, Basel, Switzerland. This article is an open access article distributed under the terms and conditions of the Creative Commons Attribution (CC BY) license (https://creativecommons.org/licenses/by/4.0/).
Share and Cite
Di Lenarda, F.; Balestrucci, A.; Terzi, R.; Lopes, P.; Ciliberti, G.; Marchetti, D.; Schillaci, M.; Doldi, M.; Melotti, E.; Ratti, A.; et al. Coronary Artery Disease, Family History, and Screening Perspectives: An Up-to-Date Review. J. Clin. Med. 2024, 13, 5833. https://doi.org/10.3390/jcm13195833
Di Lenarda F, Balestrucci A, Terzi R, Lopes P, Ciliberti G, Marchetti D, Schillaci M, Doldi M, Melotti E, Ratti A, et al. Coronary Artery Disease, Family History, and Screening Perspectives: An Up-to-Date Review. Journal of Clinical Medicine. 2024; 13(19):5833. https://doi.org/10.3390/jcm13195833
Chicago/Turabian StyleDi Lenarda, Francesca, Angela Balestrucci, Riccardo Terzi, Pedro Lopes, Giuseppe Ciliberti, Davide Marchetti, Matteo Schillaci, Marco Doldi, Eleonora Melotti, Angelo Ratti, and et al. 2024. "Coronary Artery Disease, Family History, and Screening Perspectives: An Up-to-Date Review" Journal of Clinical Medicine 13, no. 19: 5833. https://doi.org/10.3390/jcm13195833
APA StyleDi Lenarda, F., Balestrucci, A., Terzi, R., Lopes, P., Ciliberti, G., Marchetti, D., Schillaci, M., Doldi, M., Melotti, E., Ratti, A., Provera, A., Paolisso, P., Andreini, D., & Conte, E. (2024). Coronary Artery Disease, Family History, and Screening Perspectives: An Up-to-Date Review. Journal of Clinical Medicine, 13(19), 5833. https://doi.org/10.3390/jcm13195833

