Cerebellar Venous Hemangioma: Two Case Reports and Literature Review
Abstract
1. Introduction
2. Methods
2.1. Case Presentation
2.2. Review of the Literature
3. Results
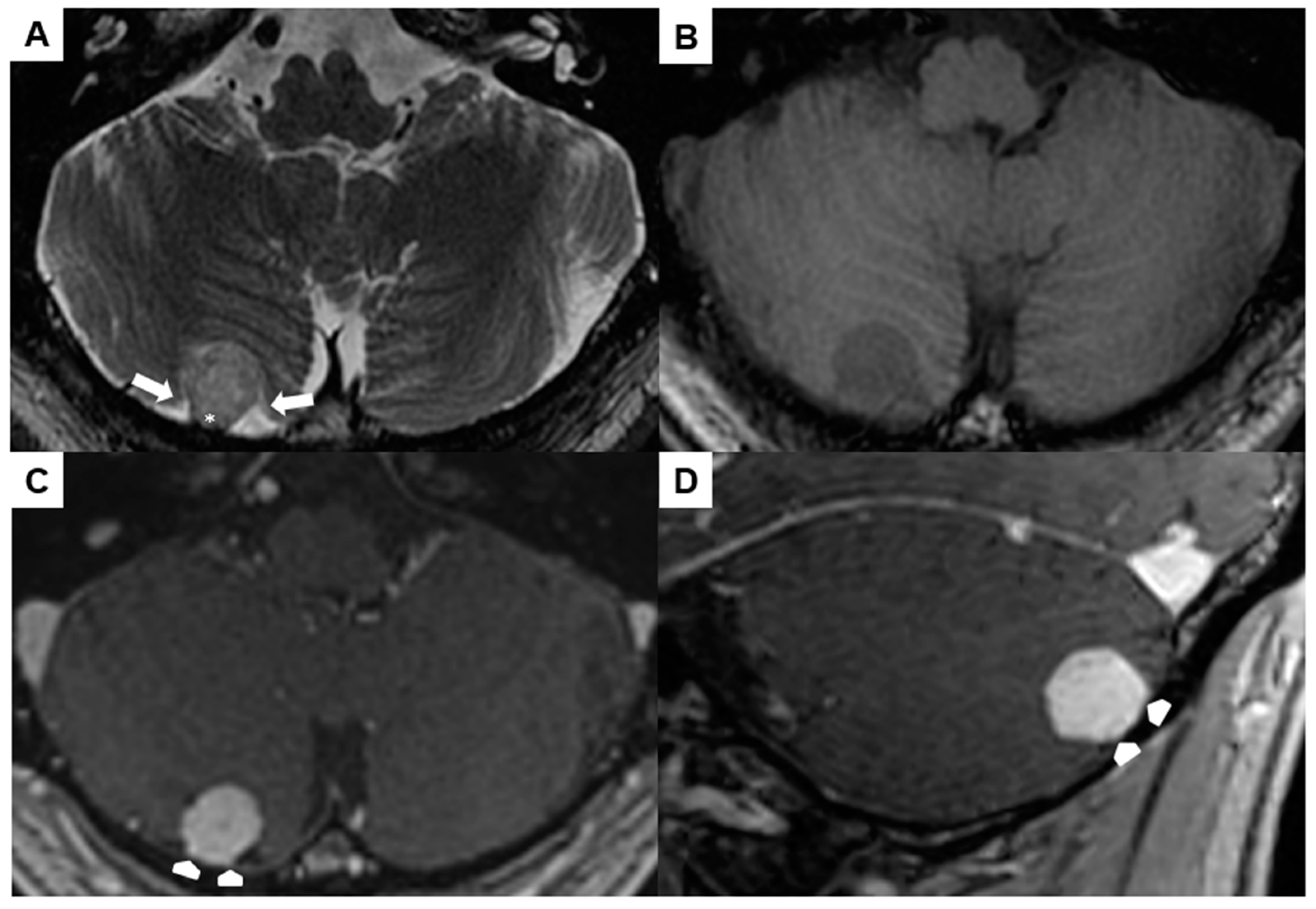
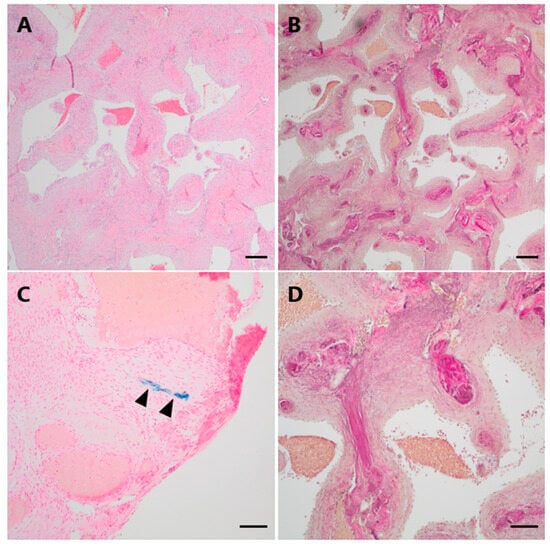
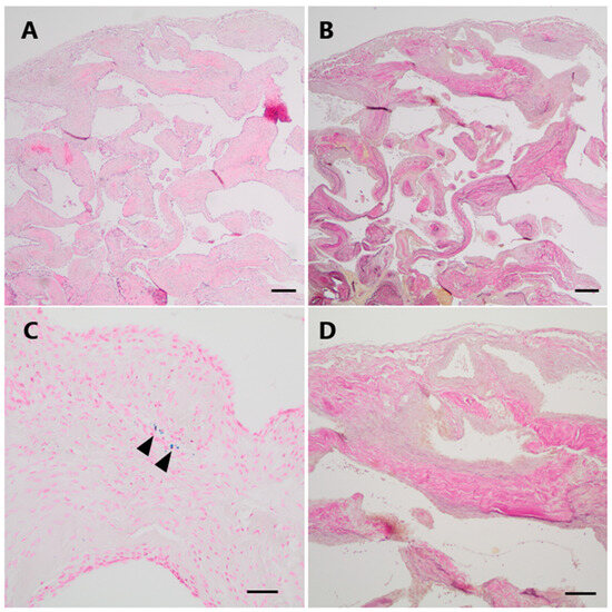
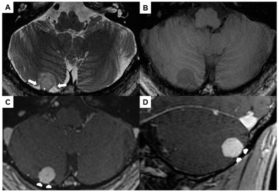
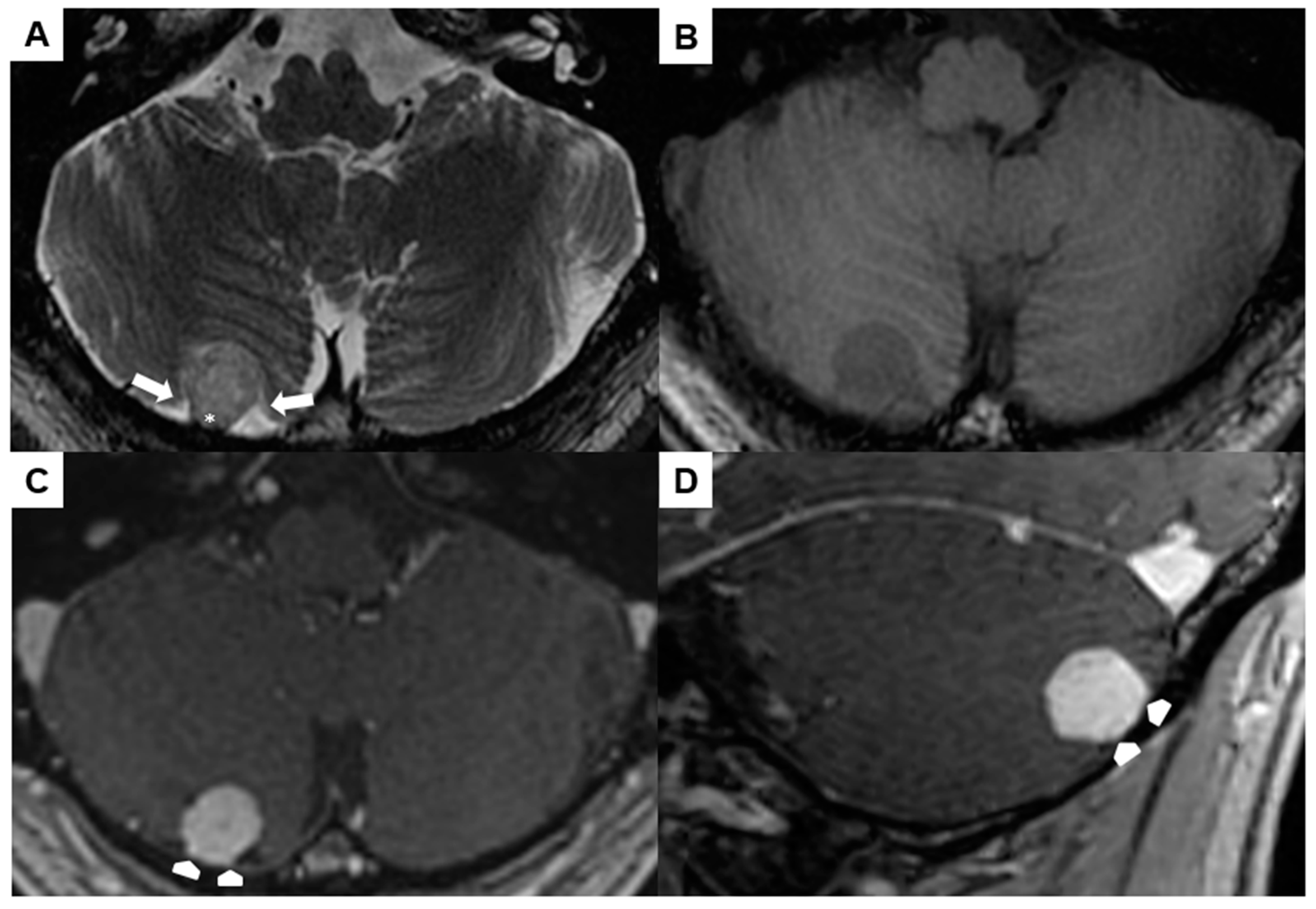
3.1. Case Presentation
- Case 1
- Case 2
3.2. Review of the Literature
4. Discussion
5. Conclusions
Author Contributions
Funding
Informed Consent Statement
Data Availability Statement
Conflicts of Interest
References
- Moore, G.F.; Johnson, P.J.; McComb, R.D.; Leibrock, L.G. Venous hemangioma of the internal auditory canal. Otolaryngol. Head Neck Surg. 1995, 113, 305–309. [Google Scholar] [CrossRef] [PubMed]
- Oya, S.; Prayson, R.; Lee, J. A Tentorial Venous Hemangioma Presenting As an Extra-Axial Mass in the Ambient Cistern: A Case Report. J. Neurol. Surg. Rep. 2012, 73, 037–040. [Google Scholar] [CrossRef] [PubMed][Green Version]
- Monin, D.L.; Blumner, K.; Cohen, N.A.; Brooks, J.S.; Chen, C.; Kennedy, D.W. Endoscopic resection of a venous hemangioma of the optic nerve sheath. Ear. Nose Throat J. 2005, 84, 586–592. [Google Scholar] [CrossRef] [PubMed]
- Fermaglich, J.; Kattah, J.; Manz, H. Venous angioma of the optic chiasm. Ann. Neurol. 1978, 4, 470–471. [Google Scholar] [CrossRef] [PubMed]
- Solomon, R.A.; Connolly, E.S., Jr. Arteriovenous Malformations of the Brain. N. Engl. J. Med. 2017, 376, 1859–1866. [Google Scholar] [CrossRef]
- Gross, B.A.; Du, R. Natural history of cerebral arteriovenous malformations: A meta-analysis. J. Neurosurg. 2013, 118, 437–443. [Google Scholar] [CrossRef]
- Chen, C.-J.; Ding, D.; Derdeyn, C.P.; Lanzino, G.; Friedlander, R.M.; Southerland, A.M.; Lawton, M.T.; Sheehan, J.P. Brain arteriovenous malformations: A Review of Natural History, Pathobiology, and Interventions. Neurology 2020, 95, 917–927. [Google Scholar] [CrossRef]
- Stapleton, C.J.; Barker, F.G., 2nd. Cranial Cavernous Malformations: Natural History and Treatment. Stroke 2018, 49, 1029–1035. [Google Scholar] [CrossRef]
- Taslimi, S.; Modabbernia, A.; Amin-Hanjani, S.; Barker, F.G., 2nd; Macdonald, R.L. Natural history of cavernous malformation: Systematic review and meta-analysis of 25 studies. Neurology 2016, 86, 1984–1991. [Google Scholar] [CrossRef]
- Raychaudhuri, R.; Batjer, H.H.; Awad, I.A. Intracranial cavernous angioma: A practical review of clinical and biological aspects. Surg. Neurol. 2005, 63, 319–328; discussion 328. [Google Scholar] [CrossRef]
- Santoro, G.; Piccirilli, M.; Chiarella, V.; Greco, N.; Berra, L.V.; Santoro, A. Intracranial capillary hemangiomas: Literature review in pediatric and adult population. Neurosurg. Rev. 2021, 44, 1977–1985. [Google Scholar] [CrossRef] [PubMed]
- Phi, J.H.; Kim, S.K.; Cho, A.; Kim, D.G.; Paek, S.H.; Park, S.H.; Wang, K.C. Intracranial capillary hemangioma: Extra-axial tumorous lesions closely mimicking meningioma. J. Neurooncol. 2012, 109, 177–185. [Google Scholar] [CrossRef] [PubMed]
- Simon, S.L.; Moonis, G.; Judkins, A.R.; Scobie, J.; Burnett, M.G.; Riina, H.A.; Judy, K.D. Intracranial capillary hemangioma: Case report and review of the literature. Surg. Neurol. 2005, 64, 154–159. [Google Scholar] [CrossRef] [PubMed]
- Kunimoto, K.; Yamamoto, Y.; Jinnin, M. ISSVA Classification of Vascular Anomalies and Molecular Biology. Int. J. Mol. Sci. 2022, 23, 2358. [Google Scholar] [CrossRef] [PubMed]
- Steiner, J.E.; Drolet, B.A. Classification of Vascular Anomalies: An Update. Semin. Interv. Radiol. 2017, 34, 225–232. [Google Scholar] [CrossRef]
- Leblanc, G.G.; Golanov, E.; Awad, I.A.; Young, W.L.; Biology of Vascular Malformations of the Brain, N.W.C. Biology of vascular malformations of the brain. Stroke 2009, 40, e694–e702. [Google Scholar] [CrossRef]
- Castillo-Rangel, C.; Marin, G.; Hernandez-Contreras, K.A.; Zarate-Calderon, C.; Vichi-Ramirez, M.M.; Cortez-Saldias, W.; Rodriguez-Florido, M.A.; Riley-Moguel, A.E.; Pichardo, O.; Torres-Pineda, O.; et al. Atlas of Nervous System Vascular Malformations: A Systematic Review. Life 2022, 12, 1199. [Google Scholar] [CrossRef]
- Butnariu, L.I.; Gorduza, E.V.; Florea, L.; Tarca, E.; Moisa, S.M.; Trandafir, L.M.; Stoleriu, S.; Badescu, M.C.; Luca, A.C.; Popa, S.; et al. The Genetic Architecture of Vascular Anomalies: Current Data and Future Therapeutic Perspectives Correlated with Molecular Mechanisms. Int. J. Mol. Sci. 2022, 23, 12199. [Google Scholar] [CrossRef]
- Mansur, A.; Radovanovic, I. Vascular malformations: An overview of their molecular pathways, detection of mutational profiles and subsequent targets for drug therapy. Front. Neurol. 2023, 14, 1099328. [Google Scholar] [CrossRef]
- Queisser, A.; Seront, E.; Boon, L.M.; Vikkula, M. Genetic Basis and Therapies for Vascular Anomalies. Circ. Res. 2021, 129, 155–173. [Google Scholar] [CrossRef]
- Venugopal, V.; Sumi, S. Molecular Biomarkers and Drug Targets in Brain Arteriovenous and Cavernous Malformations: Where Are We? Stroke 2022, 53, 279–289. [Google Scholar] [CrossRef]





| Authors | Patient Age | Patient Sex | Location | Symptoms | Signs of Hemorrhage | Observation Period until Surgery | Follow-up after Surgery and Outcome |
|---|---|---|---|---|---|---|---|
| Our first case | 34 | F | Extra-axial infratentorial on the right | Dizziness, headache, migraine (unrelated to venous hemangioma/no improvement of symptoms postoperatively) | No | 6 years | No recurrence at 3 months, No neurological deficits |
| Our second case | 52 | M | Extra-axial infratentorial on the right | Asymptomatic | No | 1.5 months | No recurrence at 5 months, No neurological deficits |
| Oya et al. [2] | 32 | F | Left ambient cistern | Asymptomatic | No | 4 years | Not reported, no neurological deficits |
| Moore et al. [1] | 65 | F | Right internal auditory canal | Right-sided hearing loss and vague imbalance | No | - | 15 months, transient facial nerve paralysis, headache |
| Fermaglich et al. [4] | 30 | M | Suprasellar cistern, intrachiasmal | Progressive vision and visual field loss on the right eye, dyschromatopsia, pulsating headaches, nausea, vomiting | Yes, subarachnoid hemorrhage with blood clots | - | Improvement of central vision |
| Monin et al. [3] | 28 | M | Left orbital apex in the optic nerve sheath | Progressive vision and visual field loss on the left eye, dyschromatopsia | No | - | Improvement of visual acuity |
| Differential Diagnoses | Common Radiological Features |
|---|---|
| Venous hemangioma | Extra-axial location adjacent to dural structures, distinct contrast-enhancement, absent edema, no diffusion restriction |
| Cavernoma | Typically intra-axial location, “Popcorn”-like matrix, perifocal hemosiderin rim, distinct blooming (susceptibility-weighted imaging), acute/subacute hemorrhage |
| Arteriovenous Malformation (AVM) | Intra-axial, nidus, AV-shunt, flow-associated aneurysms, enlarged veins, +/− edema, +/− hemorrhage |
| Hemangioblastoma | Typically intra-axial tumor of the posterior fossa, nodular contrast-enhancement and cyst, enlarged associated vessels, von Hippel-Lindau syndrome |
| Meningioma | Extra-axial location with dural tail, singular or multiple lesions, distinct contrast-enhancement, +/− edema, +/− diffusion restriction |
| Epidermoid cyst | Extra-axial (commonly basal cisterns) and rarely intraosseous location, no contrast-enhancement, absent edema, distinct diffusion restriction |
| Dermoid cyst | Extra-axial location, no contrast-enhancement, absent edema, no diffusion restriction, fatty signal (hyperintense in T1w and T2w, CT HU -100 - 0), calcifications, risk of rupture and aseptic arachnoiditis/malresorptive hydrocephalus |
| Low-grade glioma | Intra-axial location, circumscribed or diffuse morphology, no or minor contrast-enhancement, no or minor edema, no diffusion restriction |
| Pilocytic astrocytoma | Intra-axial location (commonly infratentorial in children and young adults), heterogeneous morphology (mixed enhancing/non-enhancing components and cysts), +/− edema, no diffusion restriction |
| Arachnoid (Pacchioni) granulation | Association to venous sinus (most frequently within the transverse sinus), T2w-isointense to cerebrospinal fluid, tiny venous structures within the granulation, no contrast-enhancement, no edema, no diffusion restriction |
| Differential Diagnoses | Histopathological Features |
|---|---|
| Venous hemangioma | Closely packed thick-walled vessels of venous differentiation (i.e., without internal elastic membrane), sometimes with venous valves; usually only a sparse amount of hemosiderin is observed |
| Cavernoma | Densely packed, often dilated blood vessels of variable wall thickness without intervening brain parenchyma (back-to-back) and without distinct venous or arterial differentiation; typically surrounded by substantial amounts of hemosiderin indicating recurrent leakage of blood |
| Arteriovenous Malformation (AVM) | Tight network of irregular vascular channels of varying wall thickness and size embedded within abnormal brain parenchyma; vessels exhibit at least in part arterial (internal elastic lamina) or venous differentiation; usually no or only minor hemosiderin deposits |
| Hemangioblastoma | Highly vascularized lesion consisting of stromal cells and abundant thin-walled small blood vessels |
| Angiomatous (vascular) meningioma | Numerous, partially hyalinized small to medium sized blood vessels that constitute a majority of the tumor mass; intervening tumor cells are sometimes hardly discernible |
Disclaimer/Publisher’s Note: The statements, opinions and data contained in all publications are solely those of the individual author(s) and contributor(s) and not of MDPI and/or the editor(s). MDPI and/or the editor(s) disclaim responsibility for any injury to people or property resulting from any ideas, methods, instructions or products referred to in the content. |
© 2024 by the authors. Licensee MDPI, Basel, Switzerland. This article is an open access article distributed under the terms and conditions of the Creative Commons Attribution (CC BY) license (https://creativecommons.org/licenses/by/4.0/).
Share and Cite
Harapan, B.N.; Ruf, V.; Herms, J.; Forbrig, R.; Schichor, C.; Thorsteinsdottir, J. Cerebellar Venous Hemangioma: Two Case Reports and Literature Review. J. Clin. Med. 2024, 13, 5813. https://doi.org/10.3390/jcm13195813
Harapan BN, Ruf V, Herms J, Forbrig R, Schichor C, Thorsteinsdottir J. Cerebellar Venous Hemangioma: Two Case Reports and Literature Review. Journal of Clinical Medicine. 2024; 13(19):5813. https://doi.org/10.3390/jcm13195813
Chicago/Turabian StyleHarapan, Biyan Nathanael, Viktoria Ruf, Jochen Herms, Robert Forbrig, Christian Schichor, and Jun Thorsteinsdottir. 2024. "Cerebellar Venous Hemangioma: Two Case Reports and Literature Review" Journal of Clinical Medicine 13, no. 19: 5813. https://doi.org/10.3390/jcm13195813
APA StyleHarapan, B. N., Ruf, V., Herms, J., Forbrig, R., Schichor, C., & Thorsteinsdottir, J. (2024). Cerebellar Venous Hemangioma: Two Case Reports and Literature Review. Journal of Clinical Medicine, 13(19), 5813. https://doi.org/10.3390/jcm13195813

