Heterotopic Ossifications Following Intramedullary Stabilization of Femoral Fractures in Polytraumatized Patients
Abstract
1. Introduction
2. Materials and Methods
2.1. Patients and Study Design
2.2. Data Collection
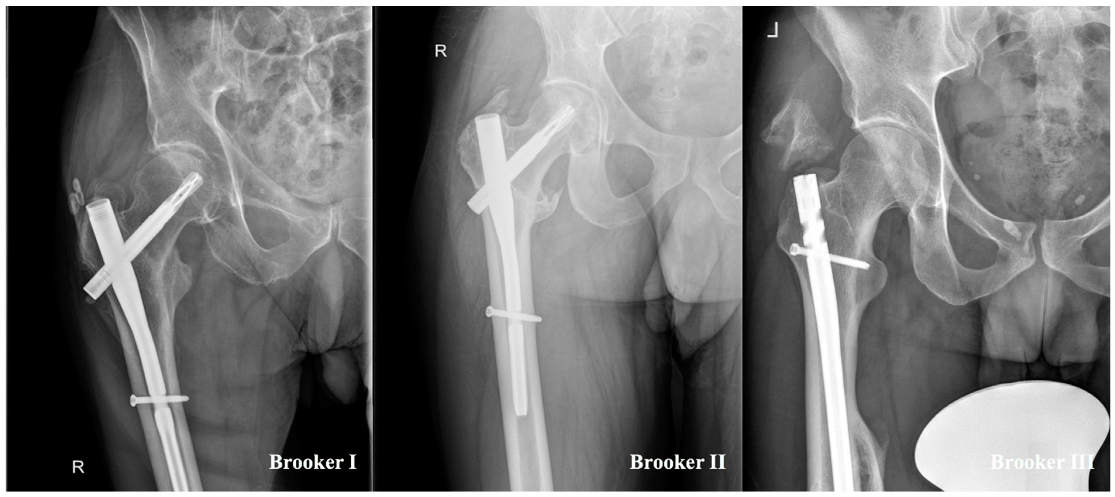
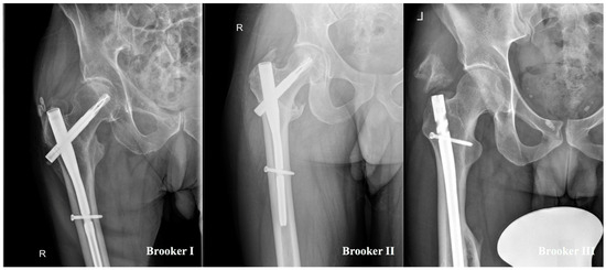
2.3. Evaluation of Heterotopic Ossifications
2.4. Statistical Analysis
3. Results
3.1. Study Population
3.2. Heterotopic Ossifications
3.3. Polytrauma
4. Discussion
5. Limitations
6. Conclusions
Author Contributions
Funding
Institutional Review Board Statement
Informed Consent Statement
Data Availability Statement
Conflicts of Interest
References
- Spinarelli, A.; Patella, V.; Petrera, M.; Abate, A.; Pesce, V.; Patella, S. Heterotopic ossification after total hip arthroplasty: Our experience. Musculoskelet. Surg. 2011, 95, 1–5. [Google Scholar] [CrossRef] [PubMed]
- Baird, E.O.; Kang, Q.K. Prophylaxis of heterotopic ossification—An updated review. J. Orthop. Surg. Res. 2009, 4, 12. [Google Scholar] [CrossRef] [PubMed]
- Willburger, R.E.; Brinkhoff, F.; Nottenkämper, J.; Krapp, J.; Oberberg, S. Heterotopic ossification after total hip arthroplasty: When is development completed? J. Orthop. Surg. Res. 2022, 17, 147. [Google Scholar] [CrossRef] [PubMed]
- Ranganathan, K.; Loder, S.; Agarwal, S.; Wong, V.W.; Forsberg, J.; Davis, T.A.; Wang, S.; James, A.W.; Levi, B. Heterotopic Ossification: Basic-Science Principles and Clinical Correlates. J. Bone Jt. Surg. Am. 2015, 97, 1101–1111. [Google Scholar] [CrossRef]
- Cao, G.; Zhang, S.; Wang, Y.; Quan, S.; Yue, C.; Yao, J.; Alexander, P.G.; Tan, H. Pathogenesis of acquired heterotopic ossification: Risk factors, cellular mechanisms, and therapeutic implications. Bone 2023, 168, 116655. [Google Scholar] [CrossRef]
- Potter, B.K.; Forsberg, J.A.; Davis, T.A.; Evans, K.N.; Hawksworth, J.S.; Tadaki, D.; Brown, T.S.; Crane, N.J.; Burns, T.C.; O’Brien, F.P.; et al. Heterotopic ossification following combat-related trauma. J. Bone Jt. Surg. Am. 2010, 92, 74–89. [Google Scholar] [CrossRef]
- Wong, K.R.; Mychasiuk, R.; O’Brien, T.J.; Shultz, S.R.; McDonald, S.J.; Brady, R.D. Neurological heterotopic ossification: Novel mechanisms, prognostic biomarkers and prophylactic therapies. Bone Res. 2020, 8, 42. [Google Scholar] [CrossRef]
- Brooker, A.F.; Bowerman, J.W.; Robinson, R.A.; Riley, L.H.J. Ectopic ossification following total hip replacement. Incidence and a method of classification. J. Bone Jt. Surg. Am. 1973, 55, 1629–1632. [Google Scholar] [CrossRef]
- Hug, K.T.; Alton, T.B.; Gee, A.O. Classifications in brief: Brooker classification of heterotopic ossification after total hip arthroplasty. Clin. Orthop. Relat. Res. 2015, 473, 2154–2157. [Google Scholar] [CrossRef]
- Gautschi, O.P.; Cadosch, D.; Bauer, S.; Filgueira, L.; Zellweger, R. Heterotopic ossification—From the aetiology to the current management. Unfallchirurg 2008, 111, 523–534. [Google Scholar] [CrossRef]
- Garland, D.E. A clinical perspective on common forms of acquired heterotopic ossification. Clin. Orthop. Relat. Res. 1991, 263, 13–29. [Google Scholar] [CrossRef]
- Łęgosz, P.; Otworowski, M.; Sibilska, A.; Starszak, K.; Kotrych, D.; Kwapisz, A.; Synder, M. Heterotopic Ossification: A Challenging Complication of Total Hip Arthroplasty: Risk Factors, Diagnosis, Prophylaxis, and Treatment. BioMed. Res. Int. 2019, 2019, 3860142. [Google Scholar] [CrossRef] [PubMed]
- Sun, E.; Hanyu-Deutmeyer, A.A. Heterotopic Ossification; StatPearls Publishing: Treasure Island, FL, USA, 2023. [Google Scholar]
- Lawand, J.; Loeffelholz, Z.; Khurshid, B.; Barcak, E. Heterotopic Ossification after Trauma. Orthop. Clin. N. Am. 2023, 54, 37–46. [Google Scholar] [CrossRef] [PubMed]
- Bosse, M.J.; Poka, A.; Reinert, C.M.; Ellwanger, F.; Slawson, R.; McDevitt, E.R. Heterotopic ossification as a complication of acetabular fracture. Prophylaxis with low-dose irradiation. J. Bone Jt. Surg. Am. 1988, 70, 1231–1237. [Google Scholar] [CrossRef]
- Dey, D.; Wheatley, B.M.; Cholok, D.; Agarwal, S.; Yu, P.B.; Levi, B.; Davis, T.A. The traumatic bone: Trauma-induced heterotopic ossification. Transl. Res. 2017, 186, 95–111. [Google Scholar] [CrossRef]
- Brumback, R.J.; Wells, J.D.; Lakatos, R.; Poka, A.; Bathon, G.H.; Burgess, A.R. Heterotopic ossification about the hip after intramedullary nailing for fractures of the femur. J. Bone Jt. Surg. Am. 1990, 72, 1067–1073. [Google Scholar] [CrossRef]
- Juengteerapanich, S.; Udomkiat, P.; Mahaisavariya, B. Heterotopic ossification after closed femoral nailing. J. Med. Assoc. Thai. 2012, 95, S99–S103. [Google Scholar]
- Zeckey, C.; Hildebrand, F.; Mommsen, P.; Schumann, J.; Frink, M.; Pape, H.-C.; Krettek, C.; Probst, C. Risk of symptomatic heterotopic ossification following plate osteosynthesis in multiple trauma patients: An analysis in a level-1 trauma centre. Scand. J. Trauma Resusc. Emerg. Med. 2009, 17, 55. [Google Scholar] [CrossRef][Green Version]
- Xu, Y.; Huang, M.; He, W.; He, C.; Chen, K.; Hou, J.; Huang, M.; Jiao, Y.; Liu, R.; Zou, N.; et al. Heterotopic Ossification: Clinical Features, Basic Researches, and Mechanical Stimulations. Front. Cell Dev. Biol. 2022, 10, 770931. [Google Scholar] [CrossRef]
- Huang, Y.; Wang, X.; Zhou, D.; Zhou, W.; Dai, F.; Lin, H. Macrophages in heterotopic ossification: From mechanisms to therapy. npj Regen. Med. 2021, 6, 70. [Google Scholar] [CrossRef]
- Feng, H.; Xing, W.; Han, Y.; Sun, J.; Kong, M.; Gao, B.; Yang, Y.; Yin, Z.; Chen, X.; Zhao, Y.; et al. Tendon-derived cathepsin K-expressing progenitor cells activate Hedgehog signaling to drive heterotopic ossification. J. Clin. Investig. 2020, 130, 6354–6365. [Google Scholar] [CrossRef] [PubMed]
- Kan, C.; Chen, L.; Hu, Y.; Ding, N.; Li, Y.; McGuire, T.L.; Lu, H.; Kessler, J.A.; Kan, L. Gli1-labeled adult mesenchymal stem/progenitor cells and hedgehog signaling contribute to endochondral heterotopic ossification. Bone 2018, 109, 71–79. [Google Scholar] [CrossRef] [PubMed]
- Olmsted-Davis, E.A.; Salisbury, E.A.; Hoang, D.; Davis, E.L.; Lazard, Z.; Sonnet, C.; Davis, T.A.; Forsberg, J.A.; Davis, A.R. Progenitors in Peripheral Nerves Launch Heterotopic Ossification. Stem Cells Transl. Med. 2017, 6, 1109–1119. [Google Scholar] [CrossRef]
- Yu, T.; Zhang, J.; Zhu, W.; Wang, X.; Bai, Y.; Feng, B.; Zhuang, Q.; Han, C.; Wang, S.; Hu, Q.; et al. Chondrogenesis mediates progression of ankylosing spondylitis through heterotopic ossification. Bone Res. 2021, 9, 19. [Google Scholar] [CrossRef] [PubMed]
- Guisasola, M.C.; Ortiz, A.; Chana, F.; Alonso, B.; Vaquero, J. Early inflammatory response in polytraumatized patients: Cytokines and heat shock proteins. A pilot study. Orthop. Traumatol. Surg. Res. 2015, 101, 607–611. [Google Scholar] [CrossRef]
- Mukhametov, U.; Lyulin, S.; Borzunov, D.; Ilyasova, T.; Gareev, I.; Sufianov, A. Immunologic response in patients with polytrauma. Non-Coding RNA Res. 2023, 8, 8–17. [Google Scholar] [CrossRef]
- Shehab, D.; Elgazzar, A.H.; Collier, B.D. Heterotopic Ossification*. J. Nucl. Med. 2002, 43, 346–353. [Google Scholar]
- Meyers, C.; Lisiecki, J.; Miller, S.; Levin, A.; Fayad, L.; Ding, C.; Sono, T.; McCarthy, E.; Levi, B.; James, A.W. Heterotopic Ossification: A Comprehensive Review. JBMR Plus 2019, 3, e10172. [Google Scholar] [CrossRef]
- van de Langerijt, O.N.; Groot, O.Q.; Janssen, M.M.A. Heterotopic Ossification of Bilateral Hips Post-COVID-19 and Prolonged Immobilization: A Case Report. JBJS Case Connect. 2024, 14, 14. [Google Scholar] [CrossRef]
- Stoira, E.; Elzi, L.; Puligheddu, C.; Garibaldi, R.; Voinea, C.; Chiesa, A.F. High prevalence of heterotopic ossification in critically ill patients with severe COVID-19. Clin. Microbiol. Infect. Off. Publ. Eur. Soc. Clin. Microbiol. Infect. Dis. 2021, 27, 1049–1050. [Google Scholar] [CrossRef]
- Williams, S.E.; Forbush, D. Immobilization Induced Hypercalcemia and Heterotopic Ossification in a Burn Patient [abstract]. PM&R 2020, 12, S1. Available online: https://pmrjabstracts.org/abstract/immobilization-induced-hypercalcemia-and-heterotopic-ossification-in-a-. (accessed on 4 September 2024).
- Garland, D.E.; Blum, C.E.; Waters, R.L. Periarticular heterotopic ossification in head-injured adults. Incidence and location. J. Bone Jt. Surg. Am. 1980, 62, 1143–1146. [Google Scholar] [CrossRef]
- Sullivan, M.P.; Torres, S.J.; Mehta, S.; Ahn, J. Heterotopic ossification after central nervous system trauma: A current review. Bone Jt. Res. 2013, 2, 51–57. [Google Scholar] [CrossRef] [PubMed]
- Cadosch, D.; Toffoli, A.M.; Gautschi, O.P.; Frey, S.P.; Zellweger, R.; Skirving, A.P.; Filgueira, L. Serum after traumatic brain injury increases proliferation and supports expression of osteoblast markers in muscle cells. J. Bone Jt. Surg. Am. 2010, 92, 645–653. [Google Scholar] [CrossRef] [PubMed]
- Ranganathan, K.; Peterson, J.; Agarwal, S.; Oluwatobi, E.; Loder, S.; Forsberg, J.A.; Davis, T.A.; Buchman, S.R.; Wang, S.C.; Levi, B. Role of gender in burn-induced heterotopic ossification and mesenchymal cell osteogenic differentiation. Plast. Reconstr. Surg. 2015, 135, 1631–1641. [Google Scholar] [CrossRef]


| PT (n = 12) | Single Extremity (n = 24) | p-Value | |
|---|---|---|---|
| Sex | |||
| Male, n (%) | 11 (91.7) | 22 (91.7) | 1.000 |
| Female, n (%) | 1 (8.3) | 2 (8.3) | |
| Age (years) | |||
| M ± SD | 39.5 ± 17.6 | 39.3 ± 17.7 | 0.979 |
| Occurrence of HO, n (%) | 9 (75.0) | 5 (20.8) | 0.003 |
| Brooker | |||
| I, n (%) | 4 (44.4) | 3 (60.0) | |
| II, n (%) | 4 (44.4) | 2 (40.0) | |
| III, n (%) | 1 (11.1) | 0 (0.0) | |
| IV, n (%) | 0 (0.0) | 0 (0.0) | |
| Fracture type | |||
| Femoral shaft, n (%) | 6 (50.0) | 6 (25.0) | 0.157 |
| Intertrochanteric, n (%) | 6 (50.0) | 18 (75.0) |
| Characteristics | PT (n = 12) |
|---|---|
| TBI, n (%) | 3 (25.0) |
| Spinal cord injury, n (%) | 2 (16.7) |
| Fatalities, n (%) | 0 (0.0) |
| Stay at the ICU (days), median (IQR) | 11.0 (14.8) |
| Length of hospital stay (days), median (IQR) | 62.5 (57.3) |
| ISS, median (IQR) | 28.0 (13.3) |
| AIS | |
| AIS head ≥3, n (%) | 3 (25.0) |
| AIS abdomen ≥3, n (%) | 5 (41.7) |
| AIS chest ≥3, n (%) | 5 (41.7) |
| AIS face ≥3, n (%) | 3 (25.0) |
| AIS extremities ≥3, n (%) | 12 (100.0) |
| AIS external ≥3, n (%) | 0 (0.0) |
Disclaimer/Publisher’s Note: The statements, opinions and data contained in all publications are solely those of the individual author(s) and contributor(s) and not of MDPI and/or the editor(s). MDPI and/or the editor(s) disclaim responsibility for any injury to people or property resulting from any ideas, methods, instructions or products referred to in the content. |
© 2024 by the authors. Licensee MDPI, Basel, Switzerland. This article is an open access article distributed under the terms and conditions of the Creative Commons Attribution (CC BY) license (https://creativecommons.org/licenses/by/4.0/).
Share and Cite
Wollner, G.; Hruska, F.; Koenig, F.R.M.; Haider, T.; Negrin, L.L. Heterotopic Ossifications Following Intramedullary Stabilization of Femoral Fractures in Polytraumatized Patients. J. Clin. Med. 2024, 13, 5557. https://doi.org/10.3390/jcm13185557
Wollner G, Hruska F, Koenig FRM, Haider T, Negrin LL. Heterotopic Ossifications Following Intramedullary Stabilization of Femoral Fractures in Polytraumatized Patients. Journal of Clinical Medicine. 2024; 13(18):5557. https://doi.org/10.3390/jcm13185557
Chicago/Turabian StyleWollner, Gregor, Florian Hruska, Felix R. M. Koenig, Thomas Haider, and Lukas L. Negrin. 2024. "Heterotopic Ossifications Following Intramedullary Stabilization of Femoral Fractures in Polytraumatized Patients" Journal of Clinical Medicine 13, no. 18: 5557. https://doi.org/10.3390/jcm13185557
APA StyleWollner, G., Hruska, F., Koenig, F. R. M., Haider, T., & Negrin, L. L. (2024). Heterotopic Ossifications Following Intramedullary Stabilization of Femoral Fractures in Polytraumatized Patients. Journal of Clinical Medicine, 13(18), 5557. https://doi.org/10.3390/jcm13185557

