Single-Shot Ultra-Widefield Polarization-Diversity Optical Coherence Tomography for Assessing Retinal and Choroidal Pathologies
Abstract
1. Introduction
2. Methods
2.1. Patient Recruitment and Data Collection
2.2. System Configuration and Imaging Protocol
2.3. Field-of-View Characterization
2.4. Post-Processing and Feature Extraction
3. Results and Discussion
3.1. Retinitis Pigmentosa
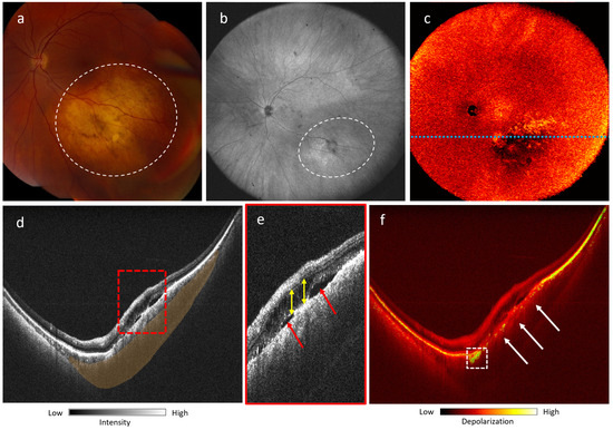
3.2. Choroidal Nevi
3.3. Multifocal Choroiditis
3.4. Choroideremia
4. Discussion
5. Conclusions
Author Contributions
Funding
Institutional Review Board Statement
Informed Consent Statement
Data Availability Statement
Conflicts of Interest
References
- Huang, D.; Swanson, E.A.; Lin, C.P.; Schuman, J.S.; Stinson, W.G.; Chang, W.; Hee, M.R.; Flotte, T.; Gregory, K.; Puliafito, C.A.; et al. Optical Coherence Tomography. Science 1991, 254, 1178–1181. [Google Scholar] [CrossRef] [PubMed]
- Drexler, W.; Liu, M.; Kumar, A.; Kamali, T.; Unterhuber, A.; Leitgeb, R.A. Optical coherence tomography today: Speed, contrast, and multimodality. J. Biomed. Opt. 2014, 19, 071412. [Google Scholar] [CrossRef] [PubMed]
- Song, S.; Xu, J.; Wang, R.K. Long-range and wide field of view optical coherence tomography for in vivo 3D imaging of large volume object based on akinetic programmable swept source. Biomed. Opt. Express 2016, 7, 4734–4748. [Google Scholar] [CrossRef] [PubMed]
- Ni, S.; Nguyen, T.T.P.; Ng, R.; Khan, S.; Ostmo, S.; Jia, Y.; Chiang, M.F.; Huang, D.; Campbell, J.P.; Jian, Y. 105∘ field of view non-contact handheld swept-source optical coherence tomography. Opt. Lett. 2021, 46, 5878–5881. [Google Scholar] [CrossRef] [PubMed]
- McNabb, R.P.; Grewal, D.S.; Mehta, R.; Schuman, S.G.; Izatt, J.A.; Mahmoud, T.H.; Jaffe, G.J.; Mruthyunjaya, P.; Kuo, A.N. Wide field of view swept-source optical coherence tomography for peripheral retinal disease. Br. J. Ophthalmol. 2016, 100, 1377–1382. [Google Scholar] [CrossRef]
- Ni, S.; Liang, G.B.; Ng, R.; Ostmo, S.; Jia, Y.; Chiang, M.F.; Huang, D.; Skalet, A.H.; Young, B.K.; Campbell, J.P.; et al. Panretinal handheld OCT angiography for pediatric retinal imaging. Biomed. Opt. Express 2024, 15, 3412–3424. [Google Scholar] [CrossRef]
- de Boer, J.F.; Hitzenberger, C.K.; Yasuno, Y. Polarization sensitive optical coherence tomography—A review [Invited]. Biomed. Opt. Express 2017, 8, 1838–1873. [Google Scholar] [CrossRef]
- Yamanari, M.; Mase, M.; Obata, R.; Matsuzaki, M.; Minami, T.; Takagi, S.; Yamamoto, M.; Miyamoto, N.; Ueda, K.; Koide, N.; et al. Melanin concentration and depolarization metrics measurement by polarization-sensitive optical coherence tomography. Sci. Rep. 2020, 10, 19513. [Google Scholar] [CrossRef]
- Miura, M.; Makita, S.; Yasuno, Y.; Iwasaki, T.; Azuma, S.; Mino, T.; Yamaguchi, T. Evaluation of choroidal melanin-containing tissue in healthy Japanese subjects by polarization-sensitive optical coherence tomography. Sci. Rep. 2022, 12, 4048. [Google Scholar] [CrossRef]
- Hu, D.N.; Simon, J.D.; Sarna, T. Role of Ocular Melanin in Ophthalmic Physiology and Pathology†. Photochem. Photobiol. 2008, 84, 639–644. [Google Scholar] [CrossRef]
- Baumann, B.; Baumann, S.O.; Konegger, T.; Pircher, M.; Götzinger, E.; Schlanitz, F.; Schütze, C.; Sattmann, H.; Litschauer, M.; Schmidt-Erfurth, U.; et al. Polarization sensitive optical coherence tomography of melanin provides intrinsic contrast based on depolarization. Biomed. Opt. Express 2012, 3, 1670–1683. [Google Scholar] [CrossRef] [PubMed]
- Sakai, D.; Takagi, S.; Totani, K.; Yamamoto, M.; Matsuzaki, M.; Yamanari, M.; Sugiyama, S.; Yokota, S.; Maeda, A.; Hirami, Y.; et al. Retinal pigment epithelium melanin imaging using polarization-sensitive optical coherence tomography for patients with retinitis pigmentosa. Sci. Rep. 2022, 12, 7115. [Google Scholar] [CrossRef] [PubMed]
- Hsu, D.; Kwon, J.H.; Ng, R.; Makita, S.; Yasuno, Y.; Sarunic, M.V.; Ju, M.J. Quantitative multi-contrast in vivo mouse imaging with polarization diversity optical coherence tomography and angiography. Biomed. Opt. Express 2020, 11, 6945–6961. [Google Scholar] [CrossRef] [PubMed]
- Miao, Y.; Jung, H.; Hsu, D.; Song, J.; Ni, S.; Ma, D.; Jian, Y.; Makita, S.; Yasuno, Y.; Sarunic, M.V.; et al. Polarization-Diversity Optical Coherence Tomography Assessment of Choroidal Nevi. Investig. Ophthalmol. Vis. Sci. 2023, 64, 6. [Google Scholar] [CrossRef] [PubMed]
- Choudhry, N.; Duker, J.S.; Freund, K.B.; Kiss, S.; Querques, G.; Rosen, R.; Sarraf, D.; Souied, E.H.; Stanga, P.E.; Staurenghi, G.; et al. Classification and Guidelines for Widefield Imaging: Recommendations from the International Widefield Imaging Study Group. Ophthalmol. Retin. 2019, 3, 843–849. [Google Scholar] [CrossRef]
- DRCR Retina Network—Public Site. Available online: https://public.jaeb.org/drcrnet (accessed on 5 September 2024).
- Nissen, A.H.K.; Vergmann, A.S. Clinical Utilisation of Wide-Field Optical Coherence Tomography and Angiography: A Narrative Review. Ophthalmol. Ther. 2024, 13, 903–915. [Google Scholar] [CrossRef]
- Mori, K.; Kanno, J.; Gehlbach, P.L. Retinochoroidal morphology described By wide-field montage imaging of spectral domain optical coherence tomography. Retina 2016, 36, 375. [Google Scholar] [CrossRef]
- Ripa, M.; Motta, L.; Florit, T.; Sahyoun, J.Y.; Matello, V.; Parolini, B. The Role of Widefield and Ultra Widefield Optical Coherence Tomography in the Diagnosis and Management of Vitreoretinal Diseases. Diagnostics 2022, 12, 2247. [Google Scholar] [CrossRef]
- Patel, S.N.; Shi, A.; Wibbelsman, T.D.; Klufas, M.A. Ultra-widefield retinal imaging: An update on recent advances. Ther. Adv. Ophthalmol. 2020, 12, 2515841419899495. [Google Scholar] [CrossRef]
- Domalpally, A.; Clemons, T.E.; Danis, R.P.; Sadda, S.R.; Cukras, C.A.; Toth, C.A.; Friberg, T.R.; Chew, E.Y. Peripheral Retinal Changes Associated with Age-Related Macular Degeneration in the Age-Related Eye Disease Study 2: Age-Related Eye Disease Study 2 Report Number 12 by the Age-Related Eye Disease Study 2 Optos PEripheral RetinA (OPERA) Study Research Group. Ophthalmology 2017, 124, 479–487. [Google Scholar] [CrossRef]
- Duan, J.; Qi, H.; Shang, Q. Ultrawide-field En face OCT of Multiple Evanescent White Dot Syndrome. Ophthalmology 2024, 131, 29. [Google Scholar] [CrossRef] [PubMed]
- Zheng, F.; He, J.; Fang, X. Ultrawide-field Swept Source-OCT Angiography of Retinitis Pigmentosa. Ophthalmology 2023, 130, 67. [Google Scholar] [CrossRef] [PubMed]
- Skalet, A.H.; Campbell, J.P.; Jian, Y. Ultrawide-field OCT for Retinoblastoma. Ophthalmology 2022, 129, 718. [Google Scholar] [CrossRef] [PubMed]
- Ni, S.; Wei, X.; Ng, R.; Ostmo, S.; Chiang, M.F.; Huang, D.; Jia, Y.; Campbell, J.P.; Jian, Y. High-speed and widefield handheld swept-source OCT angiography with a VCSEL light source. Biomed. Opt. Express 2021, 12, 3553–3570. [Google Scholar] [CrossRef] [PubMed]
- Yasuno, Y.; Madjarova, V.D.; Makita, S.; Akiba, M.; Morosawa, A.; Chong, C.; Sakai, T.; Chan, K.P.; Itoh, M.; Yatagai, T. Three-dimensional and high-speed swept-source optical coherence tomography for in vivo investigation of human anterior eye segments. Opt. Express 2005, 13, 10652–10664. [Google Scholar] [CrossRef]
- Makita, S.; Hong, Y.J.; Miura, M.; Yasuno, Y. Degree of polarization uniformity with high noise immunity using polarization-sensitive optical coherence tomography. Opt. Lett. 2014, 39, 6783–6786. [Google Scholar] [CrossRef]
- Yasuno, Y.; Hong, Y.; Makita, S.; Yamanari, M.; Akiba, M.; Miura, M.; Yatagai, T. In vivo high-contrast imaging of deep posterior eye by 1-μm swept source optical coherence tomography and scattering optical coherence angiography. Opt. Express 2007, 15, 6121–6139. [Google Scholar] [CrossRef]
- Ju, M.J.; Hong, Y.J.; Makita, S.; Lim, Y.; Kurokawa, K.; Duan, L.; Miura, M.; Tang, S.; Yasuno, Y. Advanced multi-contrast Jones matrix optical coherence tomography for Doppler and polarization sensitive imaging. Opt. Express 2013, 21, 19412–19436. [Google Scholar] [CrossRef]
- Yushkevich, P.A.; Piven, J.; Hazlett, H.C.; Smith, R.G.; Ho, S.; Gee, J.C.; Gerig, G. User-guided 3D active contour segmentation of anatomical structures: Significantly improved efficiency and reliability. NeuroImage 2006, 31, 1116–1128. [Google Scholar] [CrossRef]
- Hartong, D.T.; Berson, E.L.; Dryja, T.P. Retinitis pigmentosa. Lancet 2006, 368, 1795–1809. [Google Scholar] [CrossRef]
- Menghini, M.; Cehajic-Kapetanovic, J.; MacLaren, R.E. Monitoring progression of retinitis pigmentosa: Current recommendations and recent advances. Expert Opin. Orphan Drugs 2020, 8, 67–78. [Google Scholar] [CrossRef] [PubMed]
- Milam, A.H.; Li, Z.Y.; Fariss, R.N. Histopathology of the human retina in retinitis pigmentosa. Prog. Retin. Eye Res. 1998, 17, 175–205. [Google Scholar] [CrossRef] [PubMed]
- Sujirakul, T.; Lin, M.K.; Duong, J.; Wei, Y.; Lopez-Pintado, S.; Tsang, S.H. Multimodal Imaging of Central Retinal Disease Progression in a 2-Year Mean Follow-up of Retinitis Pigmentosa. Am. J. Ophthalmol. 2015, 160, 786–798.e4. [Google Scholar] [CrossRef] [PubMed]
- Jauregui, R.; Takahashi, V.K.L.; Park, K.S.; Cui, X.; Takiuti, J.T.; Lima de Carvalho, J.R.; Tsang, S.H. Multimodal structural disease progression of retinitis pigmentosa according to mode of inheritance. Sci. Rep. 2019, 9, 10712. [Google Scholar] [CrossRef]
- Ritter, M.; Zotter, S.; Schmidt, W.M.; Bittner, R.E.; Deak, G.G.; Pircher, M.; Sacu, S.; Hitzenberger, C.K.; Schmidt-Erfurth, U.M. Characterization of Stargardt Disease Using Polarization-Sensitive Optical Coherence Tomography and Fundus Autofluorescence Imaging. Investig. Ophthalmol. Vis. Sci. 2013, 54, 6416–6425. [Google Scholar] [CrossRef]
- Kellner, U.; Kellner, S.; Weber, B.H.F.; Fiebig, B.; Weinitz, S.; Ruether, K. Lipofuscin- and melanin-related fundus autofluorescence visualize different retinal pigment epithelial alterations in patients with retinitis pigmentosa. Eye 2009, 23, 1349–1359. [Google Scholar] [CrossRef]
- Chien, J.L.; Sioufi, K.; Surakiatchanukul, T.; Shields, J.A.; Shields, C.L. Choroidal nevus: A review of prevalence, features, genetics, risks, and outcomes. Curr. Opin. Ophthalmol. 2017, 28, 228–237. [Google Scholar] [CrossRef]
- Greenstein, M.B.; Myers, C.E.; Meuer, S.M.; Klein, B.E.K.; Cotch, M.F.; Wong, T.Y.; Klein, R. Prevalence and Characteristics of Choroidal Nevi: The Multi-Ethnic Study of Atherosclerosis. Ophthalmology 2011, 118, 2468–2473. [Google Scholar] [CrossRef]
- Singh, A.D.; Kalyani, P.; Topham, A. Estimating the risk of malignant transformation of a choroidal nevus. Ophthalmology 2005, 112, 1784–1789. [Google Scholar] [CrossRef]
- Shields, C.L.; Pellegrini, M.; Ferenczy, S.R.; Shields, J.A. Enhanced depth imaging optical coherence tomography of intraocular tumors: From placid to seasick to rock and rolling topography–the 2013 Francesco Orzalesi Lecture. Retina 2014, 34, 1495–1512. [Google Scholar] [CrossRef]
- Dreyer, R.F.; Gass, J.D.M. Multifocal Choroiditis and Panuveitis: A Syndrome That Mimics Ocular Histoplasmosis. Arch. Ophthalmol. 1984, 102, 1776–1784. [Google Scholar] [CrossRef] [PubMed]
- Abu-Yaghi, N.E.; Hartono, S.P.; Hodge, D.O.; Pulido, J.S.; Bakri, S.J. White Dot Syndromes: A 20-year Study of Incidence, Clinical Features, and Outcomes. Ocul. Immunol. Inflamm. 2011, 19, 426–430. [Google Scholar] [CrossRef] [PubMed]
- Tavallali, A.; Yannuzzi, L.A. Idiopathic Multifocal Choroiditis. J. Ophthalmic Vis. Res. 2016, 11, 429–432. [Google Scholar] [CrossRef] [PubMed]
- de Groot, E.L.; Ten Dam-van Loon, N.H.; Kouwenberg, C.V.; de Boer, J.H.; Ossewaarde-van Norel, J. Exploring Imaging Characteristics Associated with Disease Activity in Idiopathic Multifocal Choroiditis: A Multimodal Imaging Approach. Am. J. Ophthalmol. 2023, 252, 45–58. [Google Scholar] [CrossRef] [PubMed]
- Matsumoto, Y.; Francis, J.; Yannuzzi, L. Curvilinear Streaks in Multifocal Choroiditis. Eur. J. Ophthalmol. 2007, 17, 448–450. [Google Scholar] [CrossRef] [PubMed]
- Dimopoulos, I.S.; Radziwon, A.; St Laurent, C.D.; MacDonald, I.M. Choroideremia. Curr. Opin. Ophthalmol. 2017, 28, 410–415. [Google Scholar] [CrossRef]
- Preising, M.N.; Wegscheider, E.; Friedburg, C.; Poloschek, C.M.; Wabbels, B.K.; Lorenz, B. Fundus Autofluorescence in Carriers of Choroideremia and Correlation with Electrophysiologic and Psychophysical Data. Ophthalmology 2009, 116, 1201–1209.e2. [Google Scholar] [CrossRef]
- Dugel, P.U.; Zimmer, C.N.; Shahidi, A.M. A case study of choroideremia carrier—Use of multi-spectral imaging in highlighting clinical features. Am. J. Ophthalmol. Case Rep. 2016, 2, 18–22. [Google Scholar] [CrossRef]
- Aguilera, N.; Liu, T.; Bower, A.J.; Li, J.; Abouassali, S.; Lu, R.; Giannini, J.; Pfau, M.; Bender, C.; Smelkinson, M.G.; et al. Widespread subclinical cellular changes revealed across a neural-epithelial-vascular complex in choroideremia using adaptive optics. Commun. Biol. 2022, 5, 1–12. [Google Scholar] [CrossRef]
- Lippok, N.; Villiger, M.; Bouma, B.E. Degree of polarization (uniformity) and depolarization index: Unambiguous depolarization contrast for optical coherence tomography. Opt. Lett. 2015, 40, 3954–3957. [Google Scholar] [CrossRef]
- Lippok, N.; Braaf, B.; Villiger, M.; Oh, W.Y.; Vakoc, B.J.; Bouma, B.E. Quantitative depolarization measurements for fiber-based polarization-sensitive optical frequency domain imaging of the retinal pigment epithelium. J. Biophotonics 2019, 12, e201800156. [Google Scholar] [CrossRef] [PubMed]









Disclaimer/Publisher’s Note: The statements, opinions and data contained in all publications are solely those of the individual author(s) and contributor(s) and not of MDPI and/or the editor(s). MDPI and/or the editor(s) disclaim responsibility for any injury to people or property resulting from any ideas, methods, instructions or products referred to in the content. |
© 2024 by the authors. Licensee MDPI, Basel, Switzerland. This article is an open access article distributed under the terms and conditions of the Creative Commons Attribution (CC BY) license (https://creativecommons.org/licenses/by/4.0/).
Share and Cite
Tse, T.; Jung, H.; Shahidul Islam, M.; Song, J.; Soo, G.; Abbas, K.; Ni, S.; Sumita, F.; Paton, K.; Miao, Y.; et al. Single-Shot Ultra-Widefield Polarization-Diversity Optical Coherence Tomography for Assessing Retinal and Choroidal Pathologies. J. Clin. Med. 2024, 13, 5415. https://doi.org/10.3390/jcm13185415
Tse T, Jung H, Shahidul Islam M, Song J, Soo G, Abbas K, Ni S, Sumita F, Paton K, Miao Y, et al. Single-Shot Ultra-Widefield Polarization-Diversity Optical Coherence Tomography for Assessing Retinal and Choroidal Pathologies. Journal of Clinical Medicine. 2024; 13(18):5415. https://doi.org/10.3390/jcm13185415
Chicago/Turabian StyleTse, Tiffany, Hoyoung Jung, Mohammad Shahidul Islam, Jun Song, Grace Soo, Khaldon Abbas, Shuibin Ni, Fernando Sumita, Katherine Paton, Yusi Miao, and et al. 2024. "Single-Shot Ultra-Widefield Polarization-Diversity Optical Coherence Tomography for Assessing Retinal and Choroidal Pathologies" Journal of Clinical Medicine 13, no. 18: 5415. https://doi.org/10.3390/jcm13185415
APA StyleTse, T., Jung, H., Shahidul Islam, M., Song, J., Soo, G., Abbas, K., Ni, S., Sumita, F., Paton, K., Miao, Y., Jian, Y., Mammo, Z., Navajas, E. V., & Ju, M. J. (2024). Single-Shot Ultra-Widefield Polarization-Diversity Optical Coherence Tomography for Assessing Retinal and Choroidal Pathologies. Journal of Clinical Medicine, 13(18), 5415. https://doi.org/10.3390/jcm13185415

