Tubal Cancer Clinical Management: Two Exceptional Scenarios and a Review of the Literature
Abstract
1. Introduction
2. Materials and Methods
3. Results
3.1. Tubal Cancer: From Precancerous Lesion to Invasive Carcinoma
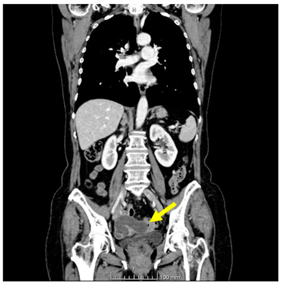
3.2. Imaging Diagnosis
3.3. Anatomopathological Diagnosis
3.4. Staging and Management
3.5. Preventive Management and Fertility-Sparing Options
3.6. Exceptional Scenarios
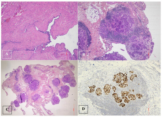
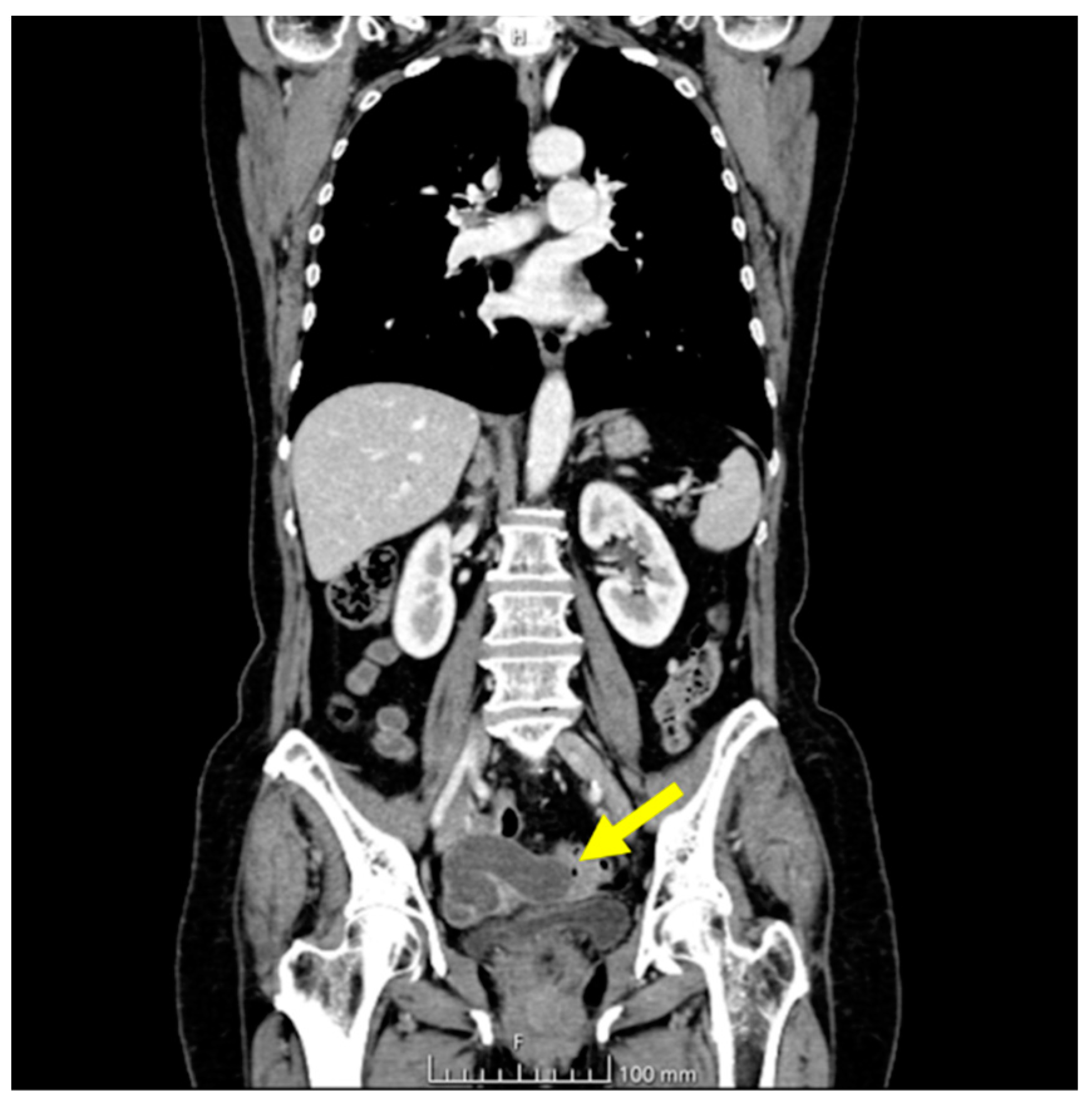
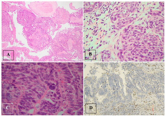
3.6.1. Case 1
3.6.2. Case 2
4. Discussion
5. Conclusions
Author Contributions
Funding
Institutional Review Board Statement
Informed Consent Statement
Data Availability Statement
Acknowledgments
Conflicts of Interest
References
- Gottschau, M.; Mellemkjaer, L.; Hannibal, C.G.; Kjaer, S.K. Ovarian and tubal cancer in Denmark: An update on incidence and survival. Acta Obstet. Gynecol. Scand. 2016, 95, 1181–1189. [Google Scholar] [CrossRef]
- Ludovisi, M.; De Blasis, I.; Virgilio, B.; Fischerova, D.; Franchi, D.; Pascual, M.A.; Savelli, L.; Epstein, E.; Van Holsbeke, C.; Guerriero, S.; et al. Imaging in gynecological disease (9): Clinical and ultrasound characteristics of tubal cancer. Ultrasound Obstet. Gynecol. 2014, 43, 328–335. [Google Scholar] [CrossRef]
- Kurman, R.J.; Shih, I.M. The Dualistic Model of Ovarian Carcinogenesis: Revisited, Revised, and Expanded. Am. J. Pathol. 2016, 186, 733–747. [Google Scholar] [CrossRef]
- Siegel, R.L.; Miller, K.D.; Fuchs, H.E.; Jemal, A. Cancer statistics, 2022. CA Cancer J. Clin. 2022, 72, 7–33. [Google Scholar] [CrossRef]
- Bogaerts, J.M.A.; Steenbeek, M.P.; van Bommel, M.H.D.; Bulten, J.; van der Laak, J.A.W.M.; de Hullu, J.A.; Simons, M. Recommendations for diagnosing STIC: A systematic review and meta-analysis. Virchows Arch. 2022, 480, 725–737. [Google Scholar] [CrossRef]
- Stanciu, P.I.; Ind, T.E.J.; Barton, D.P.J.; Butler, J.B.; Vroobel, K.M.; Attygalle, A.D.; Nobbenhuis, M.A.E. Development of Peritoneal Carcinoma in women diagnosed with Serous Tubal Intraepithelial Carcinoma (STIC) following Risk-Reducing Salpingo-Oophorectomy (RRSO). J. Ovarian Res. 2019, 12, 50. [Google Scholar] [CrossRef]
- Colombo, N.; Sessa, C.; du Bois, A.; Ledermann, J.; McCluggage, W.G.; McNeish, I.; Morice, P.; Pignata, S.; Ray-Coquard, I.; Vergote, I.; et al. ESMO-ESGO consensus conference recommendations on ovarian cancer: Pathology and molecular biology, early and advanced stages, borderline tumours and recurrent disease. Ann. Oncol. 2019, 30, 672–705. [Google Scholar] [CrossRef]
- Daly, M.B.; Pal, T.; Maxwell, K.N.; Churpek, J.; Kohlmann, W.; AlHilli, Z.; Arun, B.; Buys, S.S.; Cheng, H.; Domchek, S.M.; et al. NCCN Guidelines® Insights: Genetic/Familial High-Risk Assessment: Breast, Ovarian, and Pancreatic, Version 2.2024. J. Natl. Compr. Canc. Netw. 2023, 21, 1000–1010. [Google Scholar] [CrossRef]
- Page, M.J.; McKenzie, J.E.; Bossuyt, P.M.; Boutron, I.; Hoffmann, T.C.; Mulrow, C.D.; Shamseer, L.; Tetzlaff, J.M.; Akl, E.A.; Brennan, S.E.; et al. The PRISMA 2020 statement: An updated guideline for reporting systematic reviews. BMJ 2021, 372, n71. [Google Scholar] [CrossRef] [PubMed]
- Sherman, M.E.; Piedmonte, M.; Mai, P.L.; Ioffe, O.B.; Ronnett, B.M.; Van Le, L.; Ivanov, I.; Bell, M.C.; Blank, S.V.; DiSilvestro, P.; et al. Pathologic findings at risk-reducing salpingo-oophorectomy: Primary results from Gynecologic Oncology Group Trial GOG-0199. J. Clin. Oncol. 2014, 32, 3275–3283. [Google Scholar] [CrossRef] [PubMed]
- Terada, K.Y.; Ahn, H.J.; Kessel, B. Differences in risk for type 1 and type 2 ovarian cancer in a large cancer screening trial. J. Gynecol. Oncol. 2016, 27, e25. [Google Scholar] [CrossRef] [PubMed]
- Onda, T.; Satoh, T.; Saito, T.; Kasamatsu, T.; Nakanishi, T.; Nakamura, K.; Wakabayashi, M.; Takehara, K.; Saito, M.; Ushijima, K.; et al. Comparison of treatment invasiveness between upfront debulking surgery versus interval debulking surgery following neoadjuvant chemotherapy for stage III/IV ovarian, tubal, and peritoneal cancers in a phase III randomised trial: Japan Clinical Oncology Group Study JCOG0602. Eur. J. Cancer 2016, 64, 22–31. [Google Scholar] [PubMed]
- Gentry-Maharaj, A.; Glazer, C.; Burnell, M.; Ryan, A.; Berry, H.; Kalsi, J.; Woolas, R.; Skates, S.J.; Campbell, S.; Parmar, M.; et al. Changing trends in reproductive/lifestyle factors in UK women: Descriptive study within the UK Collaborative Trial of Ovarian Cancer Screening (UKCTOCS). BMJ Open 2017, 7, e011822. [Google Scholar] [CrossRef]
- Rouzier, R.; Gouy, S.; Selle, F.; Lambaudie, E.; Floquet, A.; Fourchotte, V.; Pomel, C.; Colombo, P.E.; Kalbacher, E.; Martin-Francoise, S.; et al. Efficacy and safety of bevacizumab-containing neoadjuvant therapy followed by interval debulking surgery in advanced ovarian cancer: Results from the ANTHALYA trial. Eur. J. Cancer 2017, 70, 133–142. [Google Scholar] [CrossRef] [PubMed]
- Onda, T.; Satoh, T.; Ogawa, G.; Saito, T.; Kasamatsu, T.; Nakanishi, T.; Mizutani, T.; Takehara, K.; Okamoto, A.; Ushijima, K.; et al. Comparison of survival between primary debulking surgery and neoadjuvant chemotherapy for stage III/IV ovarian, tubal and peritoneal cancers in phase III randomised trial. Eur. J. Cancer 2020, 130, 114–125. [Google Scholar] [CrossRef] [PubMed]
- Onda, T.; Tanaka, Y.O.; Kitai, S.; Manabe, T.; Ishikawa, M.; Hasumi, Y.; Miyamoto, K.; Ogawa, G.; Satoh, T.; Saito, T.; et al. Stage III disease of ovarian, tubal and peritoneal cancers can be accurately diagnosed with pre-operative CT. Japan Clinical Oncology Group Study JCOG0602. Jpn. J. Clin. Oncol. 2021, 51, 205–212. [Google Scholar] [CrossRef] [PubMed]
- Taylor, J.A.; Burnell, M.; Ryan, A.; Karpinskyj, C.; Kalsi, J.K.; Taylor, H.; Apostolidou, S.; Sharma, A.; Manchanda, R.; Woolas, R.; et al. Association of hysterectomy and invasive epithelial ovarian and tubal cancer: A cohort study within UKCTOCS. BJOG 2022, 129, 110–118. [Google Scholar] [CrossRef]
- Maurer, T.; Belau, M.H.; von Grundherr, J.; Schlemmer, Z.; Patra, S.; Becher, H.; Schulz, K.H.; Zyriax, B.C.; Schmalfeldt, B.; Chang-Claude, J. Randomised controlled trial testing the feasibility of an exercise and nutrition intervention for patients with ovarian cancer during and after first-line chemotherapy (BENITA-study). BMJ Open 2022, 12, e054091. [Google Scholar] [CrossRef]
- van Bommel, M.H.D.; Steenbeek, M.P.; IntHout, J.; Hermens, R.P.M.G.; Hoogerbrugge, N.; Harmsen, M.G.; van Doorn, H.C.; Mourits, M.J.E.; van Beurden, M.; Zweemer, R.P.; et al. Cancer worry among BRCA1/2 pathogenic variant carriers choosing surgery to prevent tubal/ovarian cancer: Course over time and associated factors. Support. Care Cancer 2022, 30, 3409–3418. [Google Scholar] [CrossRef]
- Menon, U.; Gentry-Maharaj, A.; Burnell, M.; Ryan, A.; Kalsi, J.K.; Singh, N.; Dawnay, A.; Fallowfield, L.; McGuire, A.J.; Campbell, S.; et al. Mortality impact, risks, and benefits of general population screening for ovarian cancer: The UKCTOCS randomised controlled trial. Health Technol. Assess. 2023, 11, 1–81. [Google Scholar] [CrossRef]
- Corzo, C.; Iniesta, M.D.; Patrono, M.G.; Lu, K.H.; Ramirez, P.T. Role of Fallopian Tubes in the Development of Ovarian Cancer. J. Minim. Invasive Gynecol. 2017, 24, 230–234. [Google Scholar] [CrossRef]
- Ludovisi, M.; Bruno, M.; Capanna, G.; Di Florio, C.; Calvisi, G.; Guido, M. Sonographic features of pelvic tuberculosis mimicking ovarian-tubal-peritoneal carcinoma. Ultrasound Obstet. Gynecol. 2023, 61, 536–538. [Google Scholar] [CrossRef]
- Shih, I.M.; Wang, Y.; Wang, T.L. The Origin of Ovarian Cancer Species and Precancerous Landscape. Am. J. Pathol. 2021, 191, 26–39. [Google Scholar] [CrossRef]
- Bogaerts, J.M.A.; van Bommel, M.H.D.; Hermens, R.P.M.G.; Steenbeek, M.P.; de Hullu, J.A.; van der Laak, J.A.W.M.; STIC consortium; Simons, M. Consensus based recommendations for the diagnosis of serous tubal intraepithelial carcinoma: An international Delphi study. Histopathology 2023, 83, 67–79. [Google Scholar] [CrossRef]
- Rabban, J.T.; Garg, K.; Crawford, B.; Chen, L.M.; Zaloudek, C.J. Early detection of high-grade tubal serous carcinoma in women at low risk for hereditary breast and ovarian cancer syndrome by systematic examination of fallopian tubes incidentally removed during benign surgery. Am. J. Surg. Pathol. 2014, 38, 729–742. [Google Scholar] [CrossRef]
- Li, H.X.; Lu, Z.H.; Shen, K.; Cheng, W.J.; Malpica, A.; Zhang, J.; Wei, J.J.; Zhang, Z.H.; Liu, J. Advances in serous tubal intraepithelial carcinoma: Correlation with high grade serous carcinoma and ovarian carcinogenesis. Int. J. Clin. Exp. Pathol. 2014, 7, 848–857. [Google Scholar]
- Patrono, M.G.; Iniesta, M.D.; Malpica, A.; Lu, K.H.; Fernandez, R.O.; Salvo, G.; Ramirez, P.T. Clinical outcomes in patients with isolated serous tubal intraepithelial carcinoma (STIC): A comprehensive review. Gynecol. Oncol. 2015, 139, 568–572. [Google Scholar] [CrossRef]
- Steenbeek, M.P.; van Bommel, M.H.D.; Bulten, J.; Hulsmann, J.A.; Bogaerts, J.; Garcia, C.; Cun, H.T.; Lu, K.H.; van Beekhuizen, H.J.; Minig, L.; et al. Risk of Peritoneal Carcinomatosis After Risk-Reducing Salpingo-Oophorectomy: A Systematic Review and Individual Patient Data Meta-Analysis. J. Clin. Oncol. 2022, 40, 1879–1891. [Google Scholar] [CrossRef] [PubMed]
- van der Ven, J.; Linz, V.C.; Anic, K.; Schmidt, M.W.; Loewe, A.; Krajnak, S.; Schmidt, M.; Kommoss, S.; Schmalfeldt, B.; Sehouli, J.; et al. A questionnaire-based survey on the diagnostic and therapeutic approaches for patients with STIC in Germany. Arch. Gynecol. Obstet. 2023, 308, 527–534. [Google Scholar] [CrossRef] [PubMed]
- Tongsong, T.; Wanapirak, C.; Tantipalakorn, C.; Tinnangwattana, D. Sonographic Diagnosis of Tubal Cancer with IOTA Simple Rules Plus Pattern Recognition. Asian Pac. J. Cancer Prev. 2017, 18, 3011–3015. [Google Scholar]
- Fedoua, W.; Mouna, H.; Hasana, S.; Boufettal, H.; Mahdaoui, S.; Samouh, N. Tubal adenocarcinoma: Report of 3 cases and review of the literature. Int. J. Surg. Case Rep. 2023, 109, 108494. [Google Scholar] [CrossRef] [PubMed]
- Berek, J.S.; Renz, M.; Kehoe, S.; Kumar, L.; Friedlander, M. Cancer of the ovary, fallopian tube, and peritoneum: 2021 update. Int. J. Gynaecol. Obstet. 2021, 155 (Suppl. S1), 61–85. [Google Scholar] [CrossRef] [PubMed]
- Howitt, B.E.; Hanamornroongruang, S.; Lin, D.I.; Conner, J.E.; Schulte, S.; Horowitz, N.; Crum, C.P.; Meserve, E.E. Evidence for a Dualistic Model of High-grade Serous Carcinoma. Am. J. Surg. Pathol. 2015, 39, 287–293. [Google Scholar] [CrossRef]
- Fagotti, A.; Perelli, F.; Pedone, L.; Scambia, G. Current Recommendations for Minimally Invasive Surgical Staging in Ovarian Cancer. Curr. Treat. Options Oncol. 2016, 17, 3. [Google Scholar] [CrossRef]
- Fagotti, A.; Ferrandina, G.; Fanfani, F.; Garganese, G.; Vizzielli, G.; Carone, V.; Salerno, M.G.; Scambia, G. Prospective validation of a laparoscopic predictive model for optimal cytoreduction in advanced ovarian carcinoma. Am. J. Obstet. Gynecol. 2008, 199, 642.e1–642.e6. [Google Scholar] [CrossRef]
- Han, J.; Sadiq, N.M. Anatomy, Abdomen and Pelvis: Fallopian Tube. In StatPearls [Internet]; StatPearls Publishing: Treasure Island, FL, USA, 2024. [Google Scholar]
- Visvanathan, K.; Shaw, P.; May, B.J.; Bahadirli-Talbott, A.; Kaushiva, A.; Risch, H.; Narod, S.; Wang, T.L.; Parkash, V.; Vang, R.; et al. Fallopian Tube Lesions in Women at High Risk for Ovarian Cancer: A Multicenter Study. Cancer Prev. Res. 2018, 11, 697–706. [Google Scholar] [CrossRef] [PubMed]
- Vizzielli, G.; Costantini, B.; Tortorella, L.; Pitruzzella, I.; Gallotta, V.; Fanfani, F.; Gueli Alletti, S.; Cosentino, F.; Nero, C.; Scambia, G.; et al. A laparoscopic risk-adjusted model to predict major complications after primary debulking surgery in ovarian cancer: A single-institution assessment. Gynecol. Oncol. 2016, 142, 19–24. [Google Scholar] [CrossRef]





| First Author, Year, Title [Ref] | Country, Duration of Observation | Type of Study | Aim of the Study | Tubal/ Ovarian/ Peritoneal Cancer Patients | Primary Tubal Cancer Patients N (%) | PDS N (%) | IDS N (%) |
|---|---|---|---|---|---|---|---|
| Sherman, 2014 [10] Pathologic Findings at Risk-Reducing Salpingo-Oophorectomy: Primary Results From Gynecologic Oncology Group Trial GOG-0199 | United States and Australia, from June 2003 to November 2006 | Prospective Trial Gynecologic Oncology Group Protocol-0199 (GOG-0199), the National Ovarian Cancer Prevention and Early Detection Study | This trial looked at detecting tubal/ovarian/peritoneal cancer during risk-reducing salpingo-oophorectomy (RRSO). A total of 2605 high-risk women enrolled in the GOG-0199 trial, with 966 women undergoing RRSO to assess cancer prevalence at the baseline surgery. | 25 | 10 (40%) | 25 100%) | 0 |
| Terada, 2016 [11] Differences in risk for type 1 and type 2 ovarian cancer in a large cancer screening trial | United States, from November 1993 to July 2001 | Prospective trial Prostate, Lung, Colorectal, and Ovarian (PLCO) cancer screening trial | This study investigated the impact of previous gynecologic surgery, hormone use and non-steroidal anti-inflammatory drugs on the risk of type 1 and type 2 ovarian cancer (OC). Data from the Prostate, Lung, Colorectal, and Ovarian (PLCO) cancer screening trial were utilized, dividing OC into three groups. Ibuprofen use was linked to a decreased risk of type 1 OC, while tubal ligation, oral contraceptive use and a history of ectopic pregnancy were associated with decreased risks of type 2 OC. The findings suggested that the fallopian tube plays a significant role in carcinogenesis for both OC types. | 486 | - | - | - |
| Onda, 2016 [12] Comparison of treatment invasiveness between upfront debulking surgery versus interval debulking surgery following neoadjuvant chemotherapy for stage III/IV ovarian, tubal, and peritoneal cancers in a phase III randomised trial: Japan Clinical Oncology Group Study JCOG0602 | Japan, from November 2006 to October 2011 | Phase III prospective randomised trial Japan Clinical Oncology Group Study JCOG0602 | This trial compared upfront primary debulking surgery (PDS) and interval debulking surgery (IDS) after neoadjuvant chemotherapy (NACT) for stage III/IV ovarian/tubal/peritoneal cancers. The findings indicated that NACT treatment is less invasive than standard treatment. | 301 | 5 (1.6%) | 149 (49.5%) | 152 (50.5%) |
| Gentry-Maharaj, 2017 [13] Changing trends in reproductive/lifestyle factors in UK women: descriptive study within the UK Collaborative Trial of Ovarian Cancer Screening (UKCTOCS) | United Kingdom, from April 2001 to October 2006 | Prospective birth cohort analysis UK Collaborative Trial of Ovarian Cancer Screening (UKCTOCS) | In this trial, with 202,638 postmenopausal women recruited, differences in reproductive factors were registered across UK birth cohorts. Younger cohorts reported a lower age of menarche, a smaller family size, and increased use of oral contraceptives and infertility treatments, along with a decrease in menopause age post-1945. These shifts in hormone exposure may contribute to trends in breast, endometrial and ovarian cancers, osteoporosis, heart disease and neurodegenerative disorders. Further study could clarify their impact on disease incidence and mortality in detail. | - | - | - | - |
| Rouzier, 2017 [14] Efficacy and safety of bevacizumab-containing neoadjuvant therapy followed by interval debulking surgery in advanced ovarian cancer: Results from the ANTHALYA trial | France, from January 2013 to June 2014 | Prospective phase II study ANTHALYA trial | This study compared two neoadjuvant chemotherapeutic regimens, carboplatin-paclitaxel (CP) vs. bevacizumab-carboplatin-paclitaxel (BCP), for patients with initially unresectable stage IIIC/IV ovarian, tubal, or peritoneal cancer. The results showed that the complete response rate (CRR) with BCP was significantly higher than the reference rate. This study suggests that adding bevacizumab to the preoperative program for non-optimally resectable patients may be safe and beneficial, regardless of the final surgical decision. | 205 | - | 71 (34.6%) | 134 (65.4%) |
| Onda, 2020 [15] Comparison of survival between primary debulking surgery and neoadjuvant chemotherapy for stage III/IV ovarian, tubal and peritoneal cancers in phase III randomised trial | Japan, from November 2006 to October 2011 | Phase III prospective randomised trial Japan Clinical Oncology Group Study JCOG0602 | This study investigated the comparison between primary debulking surgery (PDS) and neoadjuvant chemotherapy (NACT) for stage III/IV ovarian, tubal, and peritoneal cancers. The EORTC55971, the CHORUS study and the preliminary analysis published by Onda et al. in 2016 showed that NACT was noninferior to PDS. However, a final analysis, including overall survival (OS) as the primary endpoint, did not confirm the noninferiority of NACT. This study suggests that NACT may not always be a substitute for PDS, but due to the smaller sample size, the findings of previous studies supporting NACT’s noninferiority cannot be dismissed. | 301 | 5 (1.6%) | 149 (49.5%) | 152 (50.5%) |
| Onda, 2021 [16] Stage III disease of ovarian, tubal and peritoneal cancers can be accurately diagnosed with pre-operative CT. Japan Clinical Oncology Group Study JCOG0602 | Japan, from November 2006 to October 2011 | Phase III prospective randomised trial Japan Clinical Oncology Group Study JCOG0602 | This study compared computed tomography (CT) staging with surgico-pathological staging in advanced ovarian cancer patients undergoing neoadjuvant chemotherapy (NACT). CT staging showed high accuracy for identifying surgical stage III disease but was less reliable for specific details like small extra-pelvic peritoneal disease. While CT staging can be a reliable surrogate for diagnosing stage III disease without surgical diagnosis, its reliability for diagnosing stage IIIB disease (lesions smaller than 2 cm) is inadequate. | 301 | 5 (1.6%) | 149 (49.5%) | 152 (50.5%) |
| Taylor 2021 [17] Association of hysterectomy and invasive epithelial ovarian and tubal cancer: a cohort study within UKCTOCS | United Kingdom, from 2001 to 2005, follow-up until December 2014 | Prospective study UK Collaborative Trial of Ovarian Cancer Screening (UKCTOCS) | This study investigated, through questionnaires, 202,506 postmenopausal women from the UK Collaborative Trial of Ovarian Cancer Screening (UKCTOCS). It explored if hysterectomy with conservation of the adnexa affected ovarian/tubal cancer risk. The results showed that 0.55% of women with hysterectomy and 0.59% with intact uteri were diagnosed with ovarian/tubal cancer, indicating no significant association. This study reinforces that hysterectomy does not alter invasive ovarian and tubal cancer risk. These findings are crucial for clinical counseling and improving risk prediction models. | 1176 (178 type I, 890 type II, 108 type uncertain) | - | - | - |
| Maurer, 2022 [18] Randomised controlled trial testing the feasibility of an exercise and nutrition intervention for patients with ovarian cancer during and after first-line chemotherapy (BENITA-study) | Germany, from April 2018 to Sept 2019 | Randomized controlled Trial The BENITA (Bewegungs- und Ernährungsintervention bei Ovarialkrebs) study | This pilot study evaluated a combined exercise and nutrition intervention’s safety and acceptance during and after first-line chemotherapy for advanced ovarian cancer following primary or interval debulking surgery. This study, conducted as a randomized controlled trial (RCT), demonstrated the intervention’s safety and acceptance. The larger BENITA study aims to investigate the intervention’s impact on quality of life, fatigue and survival, with plans to integrate it into oncology guidelines and clinical practice. | 15 | - | 12 | 3 |
| vanBommel, 2022 [19] Cancer worry among BRCA1/2 pathogenic variant carriers choosing surgery to prevent tubal/ovarian cancer: course over time and associated factors | Netherlands, from 2015 to present | Prospective study Prospective TUBA-study (NCT02321228): Early Salpingectomy (Tubectomy) With Delayed Oophorectomy in BRCA1/2 Gene Mutation Carriers (TUBA) | This study evaluated 577 BRCA1/2-PV carriers: 57% had high cancer worry pre-surgery, decreasing to 54% post-surgery. Factors influencing high worry were age, unemployment, prior breast cancer, lower education and recent diagnosis. While most saw decreased worry after surgery, a subset (6%) maintained major concerns even a year later, suggesting the need for extra support for this group. | - | - | - | - |
| Menon, 2023 [20] Mortality impact, risks, and benefits of general population screening for ovarian cancer: the UKCTOCS randomised controlled trial | United Kingdom: 27 primary care trusts adjacent to 13 trial centers based at NHS Trusts in England, Wales and Northern Ireland, from April 2001 to September 2005, screening until December 2011, follow-up until 2020. | Randomized controlled trial. UK Collaborative Trial of Ovarian Cancer Screening (UKCTOCS) | This study compared two screening methods, multimodal screening (MMS) and ultrasound screening (USS), with a control group receiving no screening. Postmenopausal women aged 50–74 with intact ovaries and no history of ovarian or non-ovarian cancer were divided into three groups. Over a 16.3-year follow-up, both MMS and USS did not show a significant reduction in deaths due to ovarian or tubal cancer compared to the control group. The MMS group had higher rates of detecting early-stage cancer, while the USS group did not show a difference in cancer stage detection compared to the control group. | 2055 (1% of all enrolled women) 522 of 50,625 in the blood group 517 of 50,623 in the scan group 1016 of 101,314 in the no-screening group | - | - | - |
| Precursor Lesions | Epidemiology | Clinical Presentation | Diagnostic Aspects Hematoxylin and Eosin | Immunohistochemistry | Evolution |
|---|---|---|---|---|---|
| STIC Serous tubal intraepithelial carcinoma | Found in 4% of tubes in patients undergoing salpingectomy for non-neoplastic indications | Usually asymptomatic, occasional diagnosis during salpingectomy or salpingo-oophorectomy | * -Irregular luminal surface -Epithelial stratification -Cellular or nuclear pleomorphism -Nuclear enlargement -Nuclear hyperchromasia -Mitotic figures, prominent nucleoli and/or apoptotic bodies | p53 mutant type and a high Ki-67/MIB-1 index (≥10%) | HGSC ovarian carcinoma in 10% Time to carcinoma progression: 7 years |
| STIL Serous intraepithelial lesion of the fallopian tube | Found in 9% of tubes in patients undergoing salpingectomy for non-neoplastic indications | Usually asymptomatic, occasional diagnosis during salpingectomy or salpingo-oophorectomy | Resembles STIC but shows less than three features required for STIC diagnosis on hematoxylin and eosin staining | p53 negative and/or low Ki-67 | Possibile “precursor escape” |
| TILT Tubal intraepithelial lesion in transition | Found in 3.2% of tubes in patients undergoing salpingectomy for non-neoplastic indications | Usually asymptomatic, occasional diagnosis during salpingectomy or salpingo-oophorectomy | Resembles STIC but shows less than three features required for STIC diagnosis on hematoxylin and eosin staining | p53 negative and/or low Ki-67 | When diagnosed in isolation, remains unclarified |
| SCOUT Secretory or stem cell outgrowths | Found in 45% of tubes in patients undergoing salpingectomy for non-neoplastic indications | Usually asymptomatic, occasional diagnosis during salpingectomy or salpingo-oophorectomy | Linear segments with continuous population of ≥30 secretory cells without intervening ciliated cells | Bcl-2 ** positivity in ≥30 cells Not associated with p53 mutation | Although there is no evidence that they are directly related, there is an increased rate in women with serous carcinoma |
| p53 SIGNATURE | Found in 2% of tubes in patients undergoing salpingectomy for non-neoplastic indications | Usually asymptomatic, occasional diagnosis during salpingectomy or salpingo-oophorectomy | No clear cytomorphological atypia on hematoxylin and eosin staining | Morphologically normal epithelium with aberrant p53 staining pattern in at least 12 adjacent cells | Early event in the pathway to serous carcinoma |
Disclaimer/Publisher’s Note: The statements, opinions and data contained in all publications are solely those of the individual author(s) and contributor(s) and not of MDPI and/or the editor(s). MDPI and/or the editor(s) disclaim responsibility for any injury to people or property resulting from any ideas, methods, instructions or products referred to in the content. |
© 2024 by the authors. Licensee MDPI, Basel, Switzerland. This article is an open access article distributed under the terms and conditions of the Creative Commons Attribution (CC BY) license (https://creativecommons.org/licenses/by/4.0/).
Share and Cite
Colombi, I.; D’Indinosante, M.; Lazzeri, L.; Zupi, E.; Pisaneschi, S.; Giusti, M.; Mattei, A.; Debonis, E.V.; Cassisa, A.; Cavaliere, A.F.; et al. Tubal Cancer Clinical Management: Two Exceptional Scenarios and a Review of the Literature. J. Clin. Med. 2024, 13, 5075. https://doi.org/10.3390/jcm13175075
Colombi I, D’Indinosante M, Lazzeri L, Zupi E, Pisaneschi S, Giusti M, Mattei A, Debonis EV, Cassisa A, Cavaliere AF, et al. Tubal Cancer Clinical Management: Two Exceptional Scenarios and a Review of the Literature. Journal of Clinical Medicine. 2024; 13(17):5075. https://doi.org/10.3390/jcm13175075
Chicago/Turabian StyleColombi, Irene, Marco D’Indinosante, Lucia Lazzeri, Errico Zupi, Silvia Pisaneschi, Marco Giusti, Alberto Mattei, Elisa Valentina Debonis, Angelo Cassisa, Anna Franca Cavaliere, and et al. 2024. "Tubal Cancer Clinical Management: Two Exceptional Scenarios and a Review of the Literature" Journal of Clinical Medicine 13, no. 17: 5075. https://doi.org/10.3390/jcm13175075
APA StyleColombi, I., D’Indinosante, M., Lazzeri, L., Zupi, E., Pisaneschi, S., Giusti, M., Mattei, A., Debonis, E. V., Cassisa, A., Cavaliere, A. F., & Perelli, F. (2024). Tubal Cancer Clinical Management: Two Exceptional Scenarios and a Review of the Literature. Journal of Clinical Medicine, 13(17), 5075. https://doi.org/10.3390/jcm13175075

