Unexpected Infective Endocarditis: Towards a New Alert for Clinicians
Abstract
1. Introduction
2. Infective Endocarditis Pathophysiology
3. The Diagnosis of Infective Endocarditis: The Expected Paradigm
4. The Diagnosis of Infective Endocarditis: The Unexpected Scenario
4.1. Infective Endocarditis in Healthy Subjects
4.1.1. Athletes
4.1.2. Piercing
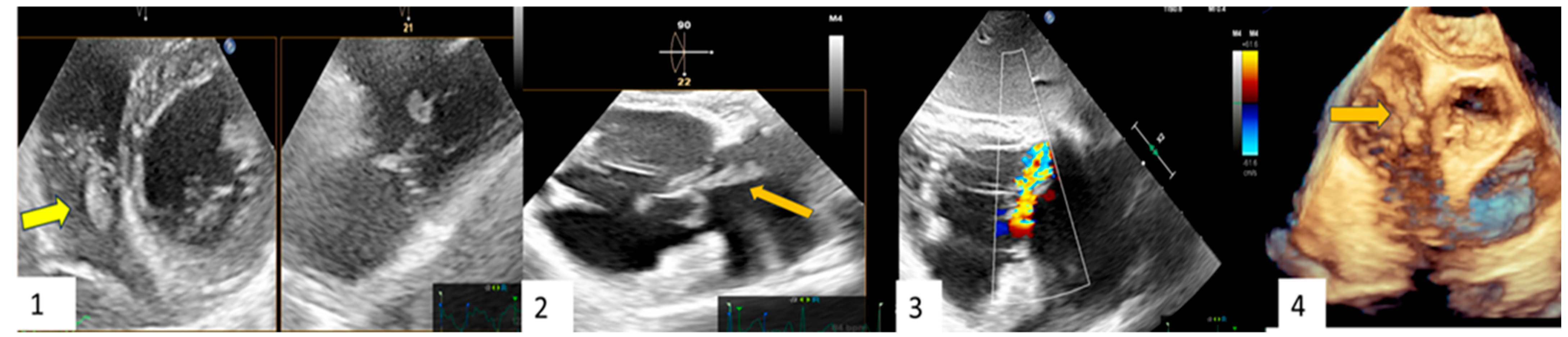
| Clinical Case 1. A 38-year-old woman without pre-existing cardiac disease was admitted for 10-day mild fever associated with progressive epigastric pain and vomit one month following piercing implant. Clinical examination revealed a painful hepato-splenomegaly. Cardiovascular evaluation showed tachycardia (120 beat/min), arterial hypotension (75/45 mm Hg) without any cardiac murmur. Abdomen echo scan confirmed a normally structured hepatosplenomegaly, together with inferior vena cava enlargement suggesting venous congestion. Blood chemistry showed increased white cell count (12,860) and severe anemia (Hb3.9), requiring urgent transfusion. C-reactive protein was moderately high (16.5). Blood culture was positive for methicillin sensitive S. aureus. TT (1) and subsequent TEE (2,3,4) showed a large iso-echogenic vegetation (yellow arrow), which was attached to the atrial surface of the anterior leaflet of the tricuspid valve, prolapsing into the right atrium during the systole and determining related severe valve regurgitation. The patient underwent culture-guided antibiotic therapy with disappearance of the vegetation and reduction in tricuspid regurgitation to a moderate degree at subsequent echocardiographic examination.  | 
4.2. Comorbidities and Infective Endocarditis
4.2.1. Diabetes
4.2.2. Hemodialysis Patients
4.2.3. Cancer Patients
4.3. Subclinical Valve Disease in the Elderly
5. Unexpected Infective Endocarditis Syndrome: An Intriguing Clinical Challenge
| Clinical Case 2. Unexpected endocarditis at opprtunistic echocardiography follow-up. A 60-year-old woman was observed at our heart valve clinic for a scheduled 3-month survey following surgical mitral valve repair of prolapse-related mitral regurgitation. The patient was asymptomatic under medical therapy, including a beta-blocking agent and routine early anticoagulation with dicumarol. Clinical examination was normal. Transthoracic echocardiography showed a small iso-echogenic mass on the atrial side of the posterior mitral leaflet. The subsequent transesophageal echocardiography (1 = 2D-TEE, 2 = 3D-TEE), showed a large iso-echogenic mass with an annular infiltrative appearance suggesting active valve vegetation. Blood cultures and phlogistic indices were normal. A PET examination (3 = PET) showed moderate mitral ring uptake, coherent with the recent surgical procedure. Due to the unexpected findings suggesting IE without clinical and microbiological associated criteria, TEE was re-evaluated following seven-day treatment with iv Heparin and empirical antibiotic therapy (Vancomicin, Gentamicin, Rifampicin). Owing to the persistence of mitral valve mass at high embolic risk, the patient underwent surgery. Surgical inspection (4 = surgical specimen) and histological examination confirmed IE diagnosis with a microbiological tissue culture for Enterobacter Cloacae. Following mitral valve replacement the clinical course was favorable with 1-month focused antibiotic therapy, without IE recurrence at long-term follow-up. This case underscores the importance of a careful and systematic survey following cardiac surgery to exclude silent unexpected endocarditis, especially during the first year after heart valve surgery.  | 
5.1. Clinical Phenotypes of Unexpected Infective Endocarditis Syndrome
5.1.1. Hidden Subtle Clinical Phenotype
| Clinical Case 3. Unexpected IE in at-risk patient. Female, 80 years old, who underwent previous breast cancer treatment (surgery, chemotherapy, radio therapy). Due to symptomatic severe mitral regurgitation, the patient underwent surgical mitral valve replacement with a biological prosthesis. A 3-month follow-up transthoracic echocardiogram (TTE) showed a normally functioning bioprosthesis. Six months after surgery, the patient was hospitalized for pulmonary edema coincident with high-ventricular rate atrial fibrillation responsive to medical treatment. During the subsequent month, the patient showed transient low-grade fever with a mild increase in PCR and leucocytes together with X-ray evidence of pulmonary infiltrate suggesting pneumonia. Thus, empirical antibiotic therapy was started in addition to cardiac medications (beta-blocking agent, angiotensin II inhibitor, edoxaban). A subsequent 3-day TTE (picture A) showed an unexpected iso-echogenic mass on the atrial surface of the mitral bioprosthesis. Due to concomitant anticoagulant therapy, IE was suspected instead of valve thrombosis with admission to our hospital. On admission the patient showed a stable clinical condition without fever or symptoms. Clinical examination showed a normal clinical condition with sinusal rhythm. Despite a low clinical probability of IE, due to echo-imaging, blood culture was carried out showing S. epidermidis. Focused antibiotic therapy, including Tazocin and Daptomicin, was started. Subsequent 6 h fasting Transesophageal Echocardiography (picture A = 2D-TEE; pictures 1–3 = 3D-TEE) showed a large iso-echogenic mass with bifurcated morphology (maximum diameter 25 × 10 mm). The mass was inserted on the atrial surface of the posterior prosthetic leaflet with annular infiltration and diastolic prolapse in the valvular ostium. Due to the high risk of embolism, the patient underwent a total body CT scan to exclude systemic embolization and subsequent emergency surgery. Surgical inspection (4, yellow arrow) and histological examination together with S. epidermidis isolation confirmed IE diagnosis. The clinical course was uneventful. This clinical case underscores the importance of clinical alert for unexpected at-risk IE requiring emergency surgery, despite a subtle and atypical clinical presentation.  | 
5.1.2. Long-Term Extracardiac Symptoms
5.1.3. Infective Endocarditis with Dominant Spondylodiscitis


5.1.4. Healthy Subjects
5.1.5. Deceptive Acute Clinical Context
| Clinical Case 5. Streptococcus pneumoniae infection with meningitis, pneumonia, and fulminant endocarditis (“Austrian syndrome”). A 72-year-old female was admitted after 3 days of fever, shortness of breath, and abrupt headache with nausea and vomiting. On admission, the patient appeared confused and troubled. Clinical examination revealed nuchal rigidity without focal neurologic signs. Her temperature was 39 °C, arterial blood pressure 115/60 mm Hg. The clinical diagnosis was initially addressed toward bacterial or viral meningitis vs. COVID-19 with meningoencephalitis phenotype. Lumbar puncture was carried out; cerebrospinal fluid analysis showed hypoglycorrhachia and hyperproteinorrhachia, supporting a diagnosis of probable bacterial meningitis. Empirical antibiotic therapy with intravenous Ceftriaxone, Vancomycin and Dexametasone, was promptly started. A brain CT was negative for intracranial lesions. Baseline and contrast CT showed normal pulmonary findings without parenchymal consolidation or signs of thromboembolism. Pneumococcal antigen in urine was positive and blood culture (BC) showed Gram-positive cocci. Nasopharyngeal Swab (NS) was negative for COVID-19. The final BC result confirms S. pneuomoniae bacteremia, supporting a bacterial meningitis etiology. Targeted antibiotic therapy was introduced, including levofloxacin. After 12 h, the patient showed abrupt cognitive impairment with arterial blood hypotension (80/50 mm Hg) and severe hypoxemia requiring endotracheal intubation. The patient was admitted to the intensive care unit with a diagnosis of pneumococcal meningitis and septic shock. After two days, due to significant clinical improvement, endotracheal intubation was removed. However, during the subsequent two hours the patient showed atrial fibrillation with a high ventricular rate that was reverted with iv amiodarone. Clinical examination revealed a new diastolic regurgitant murmur at cardiac auscultation. Temperature was 37.5°, blood pressure 155/50 mm Hg. Large vegetation with severe AR was shown by TTE. Subsequent TEE confirmed AR due to extensive damage of three valve leaflets with large iso-echogenic (like myocardium echogenicity) vegetation, inserted at the level of the ventricular surface of the right coronary cusps (dimension 20 × 7 mm) and prolapsing in the left ventricular outflow tract. There was moderate MR, pulmonary artery hypertension (sPAP 70 mm Hg), and severe TR. Left ventricular dimension and ejection fraction were normal. A fresh thrombus was found in the left atrial appendage. Inotropic support, with furosemide and heparin infusion, was started. Due to high systemic embolic risk (large aortic valve vegetations and left atrial appendage thrombosis), total body CT was performed. Brain CT was normal, while the thoracic scan revealed bilateral parenchymal consolidation and large pleural effusion with parenchymal edema (Figure 1). Additional NPS and BAL excluded COVID-19. Final diagnosis was “Austrian syndrome” (6), including meningitis, with subsequent pneumoniae and endocarditis due to S. pneumoniae. Although clinically indicated, cardiac surgery was postponed due to the unavailability of an operating room during the COVID-19 outbreak. The next day, hemodynamics remained stable under inotropic, diuretic, and mechanical ventilation support. A new TEE showed unchanged findings, apart from the disappearance of the thrombus in the left atrial appendage. The following day, the patient underwent contrast CT, showing significant improvement of pulmonary findings, a normal coronary anatomy, and double bulging of the aortic root below the coronary artery ostium. Immediate TEE was performed showing, in addition to the previous findings, an intimal tear with a new cavity of the anterior wall of the aortic root at the site of systolic contact of vegetation, suggesting a “kissing” mycotic pseudoaneurysm. In addition, TEE revealed normalization of sPAP and related TR. The patient, due to the added risk of impending root rupture, underwent emergency cardiac surgery. Anatomical inspection confirmed large vegetation and extensive leaflet damage of the tricuspid aortic valve, with a large paravalvular mycotic pseudoaneurysm (Figure 1). The operating strategy involved drainage of purulent material and pseudoaneurysm patch repair, followed by biological valve prosthesis implantation. The leaflet aortic culture was positive for S. Pneumoniae. The postoperative clinical course was uneventful, with complete recovery of the clinical condition. Comment. This case outlines the importance of careful daily clinical examination to target the appropriate pathway for the identification and management of unexpected fulminant IE, which can be superimposed in the deceptive context of meningitis and pneumonia due to S. pneumoniae infection (so-called Austrian syndrome).  | 
| Transesophageal echocardiography and computed tomography of fulminant aortic endocarditis. TEE images: (A) two-dimensional; (B) three-dimensional; (C): photorealistic three-dimensional showing large vegetation (arrow) on the aortic valve prolapsing during diastole into LVOT, increasing at 24 h TEE images (D–F) together with an intimal tear communicating with a neocavity (star) on the aortic anterior wall at the site of vegetation contact (dotted arrow), suggesting a mycotic pseudoaneurysm; (I): three-dimensional computed tomography showing double bulging of the anterior aortic wall (dotted circle) overlapping photorealistic 3D images (G,H) and surgical specimen findings (AS). Computed tomography showing bilateral pulmonary parenchymal consolidation and large pleural effusion (CT1), which improved following thoracentesis and intensive medical therapy (CT2). | 
6. Conclusions
Supplementary Materials
Author Contributions
Funding
Institutional Review Board Statement
Informed Consent Statement
Acknowledgments
Conflicts of Interest
References
- Cahill, T.J.; Prendergast, B.D. Infective endocarditis. Lancet 2016, 387, 882. [Google Scholar] [CrossRef] [PubMed]
- Habib, G.; Erba, P.A.; Lung, B.; Donal, E.; Cosyns, B.; Laroche, C.; Popescu, B.A.; Prendergast, B.; Tornos, P.; Sadeghpour, A.; et al. Clinical presentation, aetiology, and outcome of infectious endocarditis. Results of the ESC-EORP EURO-ENDO (European infectious endocarditis) registry: A prospective cohort study. Eur. Heart J. 2019, 40, 3222–3232. [Google Scholar] [CrossRef]
- Murdoch, D.R.; Corey, G.R.; Hoen, B.; Miro, J.M.; Fowler, V.G., Jr.; Bayer, A.S.; Karchmer, A.W.; Olaison, L.; Pappas, P.A.; Moreillon, P.; et al. Clinical presentation, etiology, and outcome of infective endocarditis in the 21st century: The International Collaboration on Endocarditis–prospective cohort study. Arch. Intern. Med. 2009, 169, 463–473. [Google Scholar] [CrossRef]
- Sevilla, T.; Lopez, J.; Gomez, I.; Vilacosta, I.; Sarria, C.; Garcia-Granja, P.E.; Olmos, C.; Di Stefano, S.; Maroto, L.; San Román, J.A. Evolution of prognosis in left-sided infective endocarditis: A propensity score analysis of 2 decades. J. Am. Coll. Cardiol. 2017, 69, 111–112. [Google Scholar] [CrossRef] [PubMed]
- Baddour, L.M.; Wilson, W.R.; Bayer, A.S.; Fowler, V.G., Jr.; Tleyjeh, I.M.; Rybak, M.J.; Barsic, B.; Lockhart, P.B.; Gewitz, M.H.; Levison, M.E.; et al. Infective Endocarditis in Adults: Diagnosis, Antimicrobial Therapy, and Management of Complications: A Scientific Statement for Healthcare Professionals from the American Heart Association. Circulation 2015, 132, 1435. [Google Scholar] [CrossRef]
- Delgado, V.; Ajmone Marsan, N.; de Waha, S.; Bonaros, N.; Brida, M.; Burri, H.; Caselli, S.; Doenst, T.; Ederhy, S.; Erba, P.A.; et al. 2023 ESC Guidelines for the management of endocarditis. Eur. Heart J. 2023, 14, 3948–4042. [Google Scholar] [CrossRef]
- Showler, A.; Burry, L.; Bai, D.A.; Steinberg, M.; Ricciuto, D.R.; Fernandes, T.; Chiu, A.; Raybardhan, S.; Science, M.; Fernando, E.; et al. Use of Transthoracic Echocardiography in the Management of Low-Risk Staphylococcus aureus Bacteremia. Results From a Retrospective Multicenter Cohort Study. J. Am. Coll. Cardiol. Imaging 2015, 8, 924–931. [Google Scholar] [CrossRef] [PubMed]
- Calderón-Parra, J.; Diego-Yagüe, I.; Santamarina-Alcantud, B.; Mingo-Santos, S.; Mora-Vargas, A.; Vázquez-Comendador, J.M.; Fernández-Cruz, A.; Muñez-Rubio, E.; Gutiérrez-Villanueva, A.; Sánchez-Romero, I.; et al. Unreliability of Clinical Prediction Rules to Exclude without Echocardiography Infective Endocarditis in Staphylococcus aureus Bacteremia. J. Clin. Med. 2022, 11, 1502. [Google Scholar] [CrossRef]
- Prendergast, B.D. The changing face of infective endocarditis. Heart 2006, 92, 879–885. [Google Scholar] [CrossRef]
- Cecchi, E.; Imazio, M.; Trinchero, R. The changing face of infective endocarditis. Heart 2006, 92, 1365–1366. [Google Scholar] [CrossRef]
- Holland, D.J.; Simos, P.A.; Yoon, J.; Sivabalan, P.; Ramnarain, J.; Runnegar, N.J. Infective Endocarditis: A Contemporary Study of Microbiology, Echocardiography and Associated Clinical Outcomes at a Major Tertiary Referral Centre. Heart Lung Circ. 2020, 29, 840–850. [Google Scholar] [CrossRef]
- Ambrosioni, J.; Hernandez-Meneses, M.; Téllez, A.; Pericàs, J.; Falces, C.; Tolosana, J.M.; Vidal, B.; Almela, M.; Quintana, E.; Llopis, J.; et al. The changing epidemiology of infectious endocarditis in the twenty-first century. Curr. Infect. Dis. Rep. 2017, 19, 21. [Google Scholar] [CrossRef] [PubMed]
- Ambrosioni, J.; Hernandez-Meneses, M.; Durante-Mangoni, E.; Tattevin, P.; Olaison, L.; Freiberger, T.; Hurley, J.; Hannan, M.M.; Chu, V.; Hoen, B.; et al. Changes and Improvement in Outcomes of Infective Endocarditis in Europe in the Twenty-First Century: An International Collaboration on Endocarditis (ICE) Prospective Cohort Study (2000–2012). Infect. Dis. Ther. 2023, 12, 1083–1101. [Google Scholar] [CrossRef]
- Olmos, C.; Vilacosta, I.; Fernández-Pérez, C.; Bernal, J.L.; Ferrera, C.; García-Arribas, D.; Pérez-García, C.N.; San Román, A.; Maroto, L.; Macaya, C.; et al. The Evolving Nature of Infective Endocarditis in Spain A Population-Based Study (2003 to 2014). J. Am. Coll. Cardiol. 2017, 70, 2795–2804. [Google Scholar] [CrossRef]
- Østergaard, L.; Valeur, N.; Wang, A.; Bundgaard, H.; Aslam, M.; Gislason, G.; Torp-Pederse, C.; Bruun, N.E.; Søndergaard, L.; Køber, L.; et al. Incidence of infective endocarditis in patients considered at moderate risk. Eur. Heart J. 2019, 40, 1355–1361. [Google Scholar] [CrossRef] [PubMed]
- Petrovic, J.; Sobic-Saranovic, D.; Trifunovic, D.; Draskovic, D.; Ivanovic, B. Unexpected and unique 18F-FDG PET/CT finding in a patient with prosthetic valves and septicaemia. Eur. Heart J. Cardiovasc. Imaging 2019, 20, 1181. [Google Scholar] [CrossRef]
- Starosta, R.T.; Rivero, R.; de Oliveira, F.H.; Lopes, E.; Cerski, M.R. Misdiagnosis of Streptococcus gallolyticus endocarditis. Autops. Case Rep. 2016, 30, 29–33. [Google Scholar] [CrossRef] [PubMed][Green Version]
- Chirillo, F.; Boccaletto, F.; Scotton, P.; Possamai, M.; Olivari, Z. Complete and partly unexpected diagnostic findings at 18F-FDG-PET/CT scanning in patients with suspected prosthetic valve endocarditis. Eur. Heart J. Cardiovasc. Imaging 2014, 15, 1057. [Google Scholar] [CrossRef]
- Gigante, B.; Levy, J.H.; Gorp, E.R.V.; Bartoloni, A.; Bochaton-Piallat, M.-L.; Bäck, M.; ten Cate, H.; Christersson, C.; Ferreiro, J.L.; Geisler, T.; et al. Management of patients on antithrombotic therapy with severe infections: A joint clinical consensus statement of the ESC Working Group on Thrombosis, the ESC Working Group on Atherosclerosis and Vascular Biology, and the International Society on Thrombosis and Haemostasis. Eur. Heart J. 2023, 44, 3040–3058. [Google Scholar]
- Liesenborghs, L.; Meyers, S.; Vanassche, T.; Verhamm, P. Coagulation: At the heart of infective endocarditis. J. Thromb. Haemost. 2020, 18, 995–1008. [Google Scholar] [CrossRef]
- Werdan, K.; Dietz, S.; Löffler, B.; Niemann, S.; Bushnaq, H.; Silber, R.-E.; Peters, G.; Müller-Werdan, U. Mechanisms of infective endocarditis: Pathogen–host interaction and risk states. Nat. Rev. Cardiol. 2014, 11, 35–50. [Google Scholar] [CrossRef] [PubMed]
- Holland, T.L.; Baddour, L.M.; Bayer, A.S.; Hoen, B.; Miro, J.M.; Fowler, V.G., Jr. Infective endocarditis. Nat. Rev. Dis. Primers 2016, 2, 16059. [Google Scholar] [CrossRef] [PubMed]
- Que, Y.-A.; Moreillon, P. Infective endocarditis. Nat. Rev. Cardiol. 2011, 8, 322–336. [Google Scholar] [CrossRef] [PubMed]
- Fowler, V.G.; Durack, D.T.; Selton-Suty, C.; Athan, E.; Bayer, A.S.; Chamis, A.L.; Dahl, A.; DiBernardo, L.; Durante-Mangoni, E.; Duval, X.; et al. The 2023 Duke-International Society for Cardiovascular Infectious Diseases Criteria for Infective Endocarditis: Updating the Modified Duke Criteria. Clin. Infect. Dis. 2023, 22, 518–526. [Google Scholar] [CrossRef]
- van der Vaart, T.W.; Bossuyt, P.M.M.; Durack, D.T.; Baddour, L.M.; Bayer, A.S.; Durante-Magoni, E.; Holland, T.L.; Karchmer, A.W.; Miro, J.M.; Moreillon, P.; et al. External Validation of the 2023 Duke—International Society for Cardiovascular Infectious Diseases Diagnostic Criteria for Infective Endocarditis. Clin. Infect. Dis. 2024, 78, 922–929. [Google Scholar] [CrossRef]
- Papadimitriou-Olivgeris, M.; Monney, P.; Frank, M.; Tzimas, G.; Tozzi, P.; Kirsch, M.; Van Hemelrijck, M.; Bauernschmitt, R.; Epprecht, J.; Guery, B.; et al. Evaluation of the 2023 Duke-International Society of Cardiovascular Infectious Diseases Criteria in a Multicenter Cohort of Patients With Suspected Infective Endocarditis. Clin Infect. Dis. 2024, 10, 949–955. [Google Scholar] [CrossRef]
- Bourque, J.M.; Birgersdotter-Green, U.; Bravo, P.E.; Budde, R.P.J.; Chen, W.; Chu, V.H.; Dilsizian, V.; Erba, P.A.; Gallegos Kattan, C.; Habib, G.; et al. 18F-FDG PET/CT and Radiolabeled Leukocyte SPECT/CT Imaging for the Evaluation of Cardiovascular Infection in the Multimodality Context: ASNC Imaging Indications (ASNC I2) Series Expert Consensus Recommendations from ASNC, AATS, ACC, AHA, ASE, EANM, HRS, IDSA, SCCT, SNMMI, and STS. JACC Cardiovasc. Imaging 2024, 17, 669–701. [Google Scholar] [CrossRef]
- Palraj, B.R.; Baddour, L.M.; Hess, E.P.; Steckelberg, J.M.; Wilson, W.R.; Lahr, B.D.; Sohail, M.R. Predicting Risk of Endocarditis Using a Clinical Tool (PREDICT): Scoring System to Guide Use of Echocardiography in the Management of Staphylococcus aureus Bacteremia. Clin. Infect. Dis. 2015, 61, 18–28. [Google Scholar] [CrossRef]
- Tubiana, S.; Duval, X.; Alla, F.; Selton-Suty, C.; Tattevin, P.; Delahaye, F.; Piroth, L.; Chirouze, C.; Lavigne, J.P.; Erpelding, M.L.; et al. The VIRSTA score, a prediction score to estimate risk of infective endocarditis and determine priority for echocardiography in patients with Staphylococcus aureus bacteremia. J. Infect. 2016, 72, 544–553. [Google Scholar] [CrossRef]
- Kahn, F.; Resman, F.; Bergmark, S.; Filiptsev, P.; Nilson, B.; Gilje, P.; Rasmussen, M. Time to blood culture positivity in Staphylococcus aureus bacteraemia to determine risk of infective endocarditis. Clin. Microbiol. Infect. 2021, 27, 1345.e7–1345.e12. [Google Scholar] [CrossRef]
- Sunnerhagen, T.; Törnell, A.; Vikbrant, M.; Nilson, B.; Rasmussen, M. HANDOC: A Handy Score to Determine the Need for Echocardiography in Non-beta-Hemolytic Streptococcal Bacteremia. Clin. Infect. Dis. 2018, 66, 693–698. [Google Scholar] [CrossRef] [PubMed]
- Bouza, E.; Kestler, M.; Beca, T.; Mariscal, G.; Rodríguez-Créixems, M.; Bermejo, J.; Fernández-Cruz, A.; Fernández-Avilés, F.; Muñoz, P. The NOVA score: A proposal to reduce the need for transesophageal echocardiography in patients with enterococcal bacteremia. Clin. Infect. Dis. 2015, 60, 528–535. [Google Scholar] [CrossRef] [PubMed]
- Dahl, A.; Lauridsen, T.K.; Arpi, M.; Sørensen, L.L.; Østergaard, C.; Sogaard, P.; Bruun, N.E. Risk Factors of Endocarditis in Patients With Enterococcus faecalis Bacteremia: External Validation of the NOVA Score. Clin. Infect. Dis. 2016, 63, 771–775. [Google Scholar] [CrossRef]
- Pérez-Rodríguez, M.T.; Lima, O.; Garrido, M.; Rincón, A.; Martínez-Lamas, L.; Pérez-González, A.; Araújo, A.; Amoedo, A.; Sousa, A.; López, A.; et al. The role of time to positive blood cultures in enhancing the predictive capability of DENOVA score for diagnosing infective endocarditis in patients with Enterococcus faecalis bacteremia. Eur. J. Clin. Microbiol. Infect. Dis. 2024, 43, 1481–1486. [Google Scholar] [CrossRef]
- Radjabaly, M.; Filippetti, L.; Goehringer, F.; Duval, X.; Botelho-Nevers, E.; Tribouilloy, C.; Huguet, R.; Chirouze, C.; Erpelding, M.L.; Hoen, B.; et al. Characteristics of patients with infective endocarditis and no underlying cardiac conditions. Infect. Dis. 2022, 54, 656–665. [Google Scholar] [CrossRef]
- Castillo, F.J.; Anguita, M.; Castillo, J.C.; Ruiz, M.; Mesa, D.; De Lezo, J.S. Changes in Clinical Profile, Epidemiology and Prognosis of Left-sided Native-valve Infective Endocarditis without Predisposing Heart Conditions. Rev. Esp. Cardiol. 2015, 68, 445–448. [Google Scholar] [CrossRef]
- Wu, Z.; Chen, Y.; Xiao, T.; Niu, T.; Shi, O.; Xiao, Y. Epidemiology and risk factors of infective endocarditis in a tertiary hospital in China from 2007 to 2016. BMC Infect. Dis. 2020, 20, 428. [Google Scholar] [CrossRef]
- Cresti, A.; Chiavarelli, M.; Scalese, M.; Nencioni, C.; Valentini, S.; Guerrini, F.; D’Aiello, I.; Picchi, A.; De Sensi, F.; Habib, G. Epidemiological and mortality trends in infective endocarditis, a 17-year population-based prospective study. Cardiovasc. Diagn. Ther. 2017, 7, 27–35. [Google Scholar] [CrossRef] [PubMed]
- Selton-Suty, C.; Célard, M.; Le Moing, V.; Doco-Lecompte, T.; Chirouze, C.; Iung, B.; Strady, C.; Revest, M.; Vandenesch, F.; Bouvet, A.; et al. Preeminence of Staphylococcus aureus in infective endocarditis: A 1-year population-based survey. Clin. Infect. Dis. 2012, 54, 1230–1239. [Google Scholar] [CrossRef]
- Fowler, V.G., Jr.; Miro, J.M.; Hoen, B.; Cabell, C.H.; Abrutyn, E.; Rubinstein, E.; Corey, G.R.; Spelman, D.; Bradley, S.F.; Barsic, B.; et al. Staphylococcus aureus endocarditis: A consequence of medical progress. JAMA 2005, 293, 3012. [Google Scholar] [CrossRef]
- Kazakova, S.V.; Hageman, J.C.; Matava, M.; Srinivasan, A.; Phelan, L.; Garfinkel, B.; Boo, T.; McAllister, S.; Anderson, J.; Jensen, B.; et al. A Clone of methicillin-resistant Staphylococcus aureus among professional football players. N. Engl. J. Med. 2005, 352, 468–475. [Google Scholar] [CrossRef] [PubMed]
- Karanika, S.; Kinamon, T.; Grigoras, C.; Mylonakis, E. Colonization with methicillin-resistant Staphylococcus aureus and risk for infection among asymptomatic athletes: A systematic review and meta-analysis. Clin. Infect. Dis. 2016, 63, 195–204. [Google Scholar] [CrossRef]
- Brancaccio, M.; Mennitti, C.; Laneri, S.; Franco, A.; De Biasi, M.G.; Cesaro, A.; Fimiani, F.; Moscarella, E.; Gragnano, F.; Mazzaccara, C.; et al. Methicillin-Resistant Staphylococcus aureus: Risk for General Infection and Endocarditis among Athletes. Antibiotics 2020, 9, 332. [Google Scholar] [CrossRef] [PubMed]
- Jiménez-Truque, N.; Saye, E.J.; Soper, N.; Saville, B.R.; Thomsen, I.; Edwards, K.M.; Creech, C.B. Association between contact sports and colonization with Staphylococcus aureus in a prospective cohort of collegiate athletes. Sports Med. 2017, 47, 1011–1019. [Google Scholar] [CrossRef] [PubMed]
- Braun, T.; Kahanov, L.; Dannelly, K.; Lauber, C. CA-MRSA Infection Incidence and Care in High School and Intercollegiate Athletics. Med. Sci. Sports Exerc. 2016, 48, 1530–1538. [Google Scholar] [CrossRef]
- Sindoni, A.; Valeriani, F.; Protano, C.; Liguori, G.; Romano Spica, V.; Vitali, M.; Gallè, F. Health risks for body pierced community: A systematic review. Public Health 2022, 205, 202–215. [Google Scholar] [CrossRef]
- Stirn, A. Body piercing: Medical consequences and psychological motivation. Lancet 2003, 361, 1205–1215. [Google Scholar] [CrossRef]
- Bagot, M. Complications des tatouages: Classification clinique, histologique, physiopathologique, cinétique des particules. Bull. Acad. Natl. Med. 2020, 204, 607–610. [Google Scholar] [CrossRef]
- Messahel, A.; Musgrove, B. Infective complications of tattouages in gands kin piercing. J. Infect. Public Health 2009, 2, 7–13. [Google Scholar] [CrossRef]
- Becher, P.M.; Goßling, A.; Fluschnik, N.; Schrage, B.; Moritz, M.; Schofer, N.; Blankenberg, S.; Kirchhof, P.; Westermann, D.; Kalbacher, D. Temporal trends in incidence, patient characteristics, microbiology and in-hospital mortality in patients with infective endocarditis: A contemporary analysis of 86,469 cases between 2007 and 2019. Clinic. Res. Cardiol. 2024, 113, 205–215. [Google Scholar] [CrossRef]
- De Miguel-Yanes, J.M.; Jiménez-García, R.; Hernández-Barrera, V.; de Miguel-Díez, J.; Méndez-Bailón, M.; Muñoz-Rivas, N.; Pérez-Farinós, N.; López-de-Andrés, A. Infective endocarditis according to type 2 diabetes mellitus status: An observational study in Spain, 2001–2015. Cardiovasc. Diabetol. 2019, 18, 161–174. [Google Scholar] [CrossRef] [PubMed]
- Biezma, M.I.; Muñoz, P.; De la Villa, S.; Fariñas-Álvarez, M.C.; Arnáiz de Las Revillas, F.; Gutierrez-Carretero, E.; De Alarcón, A.; Rodríguez-García, R.; Llopis, J.; Goenaga, M.Á.; et al. Infective Endocarditis in Diabetic Patients: A Different Profile with Prognostic Consequences. J. Clin. Med. 2022, 11, 2651. [Google Scholar] [CrossRef] [PubMed]
- Benvenga, R.M.; De Rosa, R.; Silverio, A.; Matturro, R.; Zambrano, C.; Masullo, A.; Mastrogiovanni, G.; Soriente, L.; Ascoli, R.; Citro, R.; et al. Infective endocarditis and diabetes mellitus: Results from a single-center study from 1994 to 2017. PLoS ONE 2019, 14, e0223710. [Google Scholar] [CrossRef] [PubMed]
- Chirillo, F.; Bacchion, F.; Pedrocco, A.; Scotton, P.; De Leo, A.; Rocco, F.; Valfrè, C.; Olivari, Z. Infective endocarditis in patients with diabetes mellitus. J. Heart Valve Dis. 2010, 19, 312–320. [Google Scholar] [PubMed]
- Sy, R.W.; Kritharides, L. Health care exposure and age in infective endocarditis: Results of a contemporary population-based profile of 1536 patients in Australia. Eur. Heart J. 2010, 31, 1890–1897. [Google Scholar] [CrossRef]
- Tousoulis, D.; Kampoli, A.M.; Stefanadis, C. Diabetes mellitus and vascular endothelial dysfunction: Current perspectives. Curr. Vasc. Pharmacol. 2012, 10, 19–32. [Google Scholar] [CrossRef]
- Eringa, E.C.; Serne, E.H.; Meijer, R.I.; Schalkwijk, C.G.; Houben, A.J.; Stehouwer, C.D.; Smulders, Y.M.; van Hinsbergh, V.W. Endothelial dysfunction in (pre)diabetes: Characteristics, causative mechanisms and pathogenic role in type 2 diabetes. Rev. Endocr. Metab. Disord. 2013, 14, 39–48. [Google Scholar] [CrossRef]
- Østergaard, L.; Mogensen, U.M.; Bundgaard, J.S.; Dahl, A.; Wang, A.; Torp-Pedersen, C.; Gislason, G.; Køber, L.; Køber, N.; Dejgaard, T.F. Duration and complications of diabetes mellitus and the associated risk of infective endocarditis. Int. J. Cardiol. 2019, 278, 280–284. [Google Scholar] [CrossRef]
- Cheung, G.Y.C.; Bae, J.S.; Otto, M. Pathogenicity and virulence of Staphylococcus aureus. Virulence 2021, 12, 547–569. [Google Scholar] [CrossRef]
- Frydrych, L.M.; Bian, G.; O’Lone, D.E.; Ward, P.A.; Delano, M.J. Obesity and type 2 diabetes mellitus drive immune dysfunction, infection development, and sepsis mortality. J. Leukoc. Biol. 2018, 104, 525–534. [Google Scholar] [CrossRef]
- Costantini, E.; Carlin, M.; Porta, M.; Brizzi, M.F. Type 2 diabetes mellitus and sepsis: State of the art, certainties and missing evidence. Acta Diabetol. 2021, 58, 1139–1151. [Google Scholar] [CrossRef]
- Delamaire, M.; Maugendre, D.; Moreno, M.; Le Gof, M.C.; Allannic, H.; Genetet, B. Impaired leucocyte functions in diabetic patients. Diabet. Med. 1997, 14, 29–34. [Google Scholar] [CrossRef]
- Labriola, L.; Jadoul, M. Haemodialysis is a major risk factor for infective endocarditis. Lancet 2016, 388, 339–340. [Google Scholar] [CrossRef] [PubMed][Green Version]
- Marr, K.A.; Kong, L.; Fowler, V.G.; Gopal, A.; Sexton, D.J.; Conlon, P.J.; Corey, G.R. Incidence and outcome of Staphylococcus aureus bacteraemia in haemodialysis patients. Kidney Int. 1998, 54, 1684–1689. [Google Scholar] [CrossRef] [PubMed][Green Version]
- Powe, N.R.; Jaar, B.; Furth, S.L.; Hermann, J.; Briggs, W. Septicemia in dialysis patients: Incidence, risk factors, and prognosis. Kidney Int. 1999, 55, 1081–1090. [Google Scholar] [CrossRef]
- Sadeghi, M.; Behdad, S.; Shahsanaei, F. Infective Endocarditis and Its Short and Long-Term Prognosis in Hemodialysis Patients: A Systematic Review and Meta-analysis. Curr. Probl. Cardiol. 2021, 46, 100680. [Google Scholar] [CrossRef]
- Pericàs, J.M.; Llopis, J.; Jiménez-Exposito, M.J.; Kourany, W.M.; Almirante, B.; Carosi, G.; Durante-Mangoni, E.; Fortes, C.Q.; Giannitsioti, E.; Lerakis, S.; et al. ICE Investigators. Infective Endocarditis in Patients on Chronic Hemodialysis. J. Am. Coll. Cardiol. 2021, 77, 1629–1640. [Google Scholar] [CrossRef] [PubMed]
- Al-Chalabi, S.; Tay, T.; Chinnadurai, R.; Kalra, P.A. Risk factors for infective endocarditis in patients receiving hemodialysis: A propensity score matched cohort study. Clin. Nephrol. 2023, 100, 51–59. [Google Scholar] [CrossRef] [PubMed]
- Seo, S.K.; Liu, C.; Dadwal, S.S. Infectious disease complications in patients with cancer. Crit. Care Clin. 2021, 37, 69–84. [Google Scholar] [CrossRef]
- Cosyns, B.; Roosens, B.; Lancellotti, P.; Laroche, C.; Dulgheru, R.; Scheggi, V.; Vilacosta, I.; Pasquet, A.; Piper, C.; Reyes, G.; et al. Cancer and Infective Endocarditis: Characteristics and Prognostic Impact Front. Cardiovasc. Med. 2021, 11, 766996. [Google Scholar] [CrossRef]
- Kim, K.; Darae Kim, D.; Lee, S.-E.; Cho, I.J.; Shim, C.Y.; Hong, G.-R.; Ha, J.-W. Infective Endocarditis in Cancer Patients—Causative Organisms, Predisposing Procedures, and Prognosis Differ from Infective Endocarditis in Non-Cancer Patients. Circ. J. 2019, 83, 452–460. [Google Scholar] [CrossRef] [PubMed]
- Grable, C.; Yusuf, S.W.; Juhee Song, J.; Viola, G.M.; Ulhaq, O.; Banchs, J.; Jensen, C.T.; Goel, H.; Hassan, S.A. Characteristics of infective endocarditis in a cancer population. Open Heart 2021, 8, e001664. [Google Scholar] [CrossRef] [PubMed]
- Patrzalek, P.; Wysokinski, W.E.; Kurmann, R.D.; Houghton, D.; Hodge, D.; Kuczmik, W.; Klarich, K.W.; Wysokinska, E.M. Cancer-associated non-bacterial thrombotic endocarditis-Clinical series from a single institution. Am. J. Hematol. 2024, 99, 596–605. [Google Scholar] [CrossRef]
- Deharo, F.; Arregle, F.; Bohbot, Y.; Tribouilloy, C.; Cosyns, B.; Donal, E.; Di Lena, C.; Selton Suty, C.; Bourg, C.; Hubert, S.; et al. Multimodality imaging in marantic endocarditis associated with cancer: A multicentric cohort study. Eur. Heart J. Cardiovasc. Imaging 2023, 24, 1620–1626. [Google Scholar] [CrossRef]
- Alhuarrat, M.A.D.; Garg, V.; Borkowski, P.; Nazarenko, N.; Alhuarrat, M.R.; Abushairah, A.; Al Zyoud, B.; Bitsis, E.M.; Barzallo, D.; Alemu, R.; et al. Epidemiologic and Clinical Characteristics of Marantic Endocarditis: A Systematic Review and Meta-analysis of 416 Reports. Curr. Probl. Cardiol. 2024, 49, 102027. [Google Scholar] [CrossRef] [PubMed]
- Zmaili, M.; Alzubi, J.; Lo Presti Vega, S.; Ababneh, E.; Xu, B. Non-bacterial thrombotic endocarditis: A state-of-the-art contemporary review. Prog. Cardiovasc. Dis. 2022, 74, 99–110. [Google Scholar] [CrossRef]
- Kurmann, R.D.; Klarich, K.W.; Wysokinska, E.; Houghton, D.; Kaminska, A.; Patrzalek, P.; Hodge, D.; Wysokinski, W.E. Echocardiographic findings in cancer-associated non-bacterial thrombotic endocarditis. Clinical series of 111 patients from single institution. Eur. Heart J. Cardiovasc. Imaging 2024, 25, jeae112. [Google Scholar] [CrossRef]
- Tonutti, A.; Scarfò, I.; La Canna, G.; Selmi, C.; De Santis, M. Diagnostic Work-Up in Patients with Nonbacterial Thrombotic Endocarditis. J. Clin. Med. 2023, 12, 5819. [Google Scholar] [CrossRef]
- Yusuf, S.W.; Ali, S.S.; Swafford, J.; Durand, J.-B.; Bodey, G.P.; Chemaly, R.F.; Kontoyiannis, D.P.; Tarrand, J.; Kenneth, V.; Rolston, K.L.; et al. Culture-positive and culture-negative endocarditis in patients with cancer: A retrospective observational study, 1994–2004. Medicine 2006, 85, 86–94. [Google Scholar] [CrossRef]
- Bussani, R.; De-Giorgio, F.; Pesel, G.; Zandonà, L.; Sinagra, G.; Grassi, S.; Baldi, A.; Abbate, A.; Silvestri, F. Overview and Comparison of Infectious Endocarditis and Non-infectious Endocarditis: A Review of 814 Autoptic Cases. In Vivo 2019, 33, 1565–1572. [Google Scholar] [CrossRef]
- Shelbaya, K.; Claggett, B.; Dorbala, P.; Skali, H.; Solomon, S.D.; Matsushita, K.; Konety, S.; Mosley, T.H.; Shah, A.M. Stages of Valvular Heart Disease among Older Adults in the Community: The Atherosclerosis Risk in Communities Study. Circulation 2023, 147, 638–649. [Google Scholar] [CrossRef]
- Ashraf, H.; Nadeem, Z.A.; Ashfaq, H.; Ahmed, S.; Ashraf, A.; Nashwan, A.J. Mortality patterns in older adults with infective endocarditis in the US: A retrospective analysis. Curr. Probl. Cardiol. 2024, 49, 102455. [Google Scholar] [CrossRef]
- Jussli-Melchers, J.; Salem, M.A.; Schoettler, J.; Friedrich, C.; Huenges, K.; Elke, G.; Puehler, T.; Cremer, J.; Haneya, A. Mid- and Long-Term Surgical Outcomes Due to Infective Endocarditis in Elderly Patients: A Retrospective Cohort Study. J. Clin. Med. 2022, 11, 6693. [Google Scholar] [CrossRef]
- Durante-Mangoni, E.; Bradley, S.; Selton-Suty, C.; Tripodi, M.F.; Barsic, B.; Bouza, E.; Cabell, C.H.; Ramos, A.I.; Fowler, V., Jr.; Hoen, B.; et al. Current features of infective endocarditis in elderly patients: Results of the International Collaboration on Endocarditis Prospective Cohort Study. Arch. Intern. Med. 2008, 168, 2095–2103. [Google Scholar] [CrossRef]
- Pazdernik, M.; Iung, B.; Mutlu, B.; Alla, F.; Riezebos, R.; Kong, W.; Nunes, M.C.; Pierard, L.; Srdanovic, I.; Yamada, H.; et al. Surgery and Outcome of Infective Endocarditis in Octogenarians: Prospective Data from the ESC EORP Euro-Endo Registry. Infection 2022, 50, 1191–1202. [Google Scholar] [CrossRef] [PubMed]
- Bohbot, Y.; Habib, G.; Laroche, C.; Stöhr, E.; Chirouze, C.; Hernandez-Meneses, M.; Melissopoulou, M.; Bülent Mutlu, M.; Scheggi, V.; Branco, L.; et al. Characteristics, management, and outcomes of patients with left-sided infective endocarditis complicated by heart failure: A substudy of the ESC-EORP EURO-ENDO (European infective endocarditis) registry. Eur. J. Heart Fail. 2022, 24, 1253–1265. [Google Scholar] [CrossRef] [PubMed]
- Alnabelsi, T.S.; Sinner, G.; Al-Abdouh, A.; Marji, M.; Viquez, K.; Abusnina, W.; Kotter, J.; Smith, M.D.; El-Dalati, S.; Leung, S.W. The Evolving Trends in Infective Endocarditis and Determinants of Mortality: A 10-year Experience From a Tertiary Care Epicenter. Curr. Probl. Cardiol. 2023, 48, 101673. [Google Scholar] [CrossRef] [PubMed]
- Budea, C.M.; Bratosin, F.; Bogdan, I.; Bota, A.V.; Turaiche, M.; Tirnea, L.; Stoica, C.N.; Feciche, B.; Csep, A.N.; Pescariu, S.A.; et al. Clinical Presentation and Risk Factors of Infective Endocarditis in the Elderly: A Systematic Review. J. Pers. Med. 2023, 13, 296. [Google Scholar] [CrossRef]
- Asai, N.; Shibata, J.; Hirai, J.; Ohashi, W.; Sakanashi, D.; Kato, H.; Hagihara, M.; Suematsu, H.; Mikamo, M. A Gap of Patients with Infective Endocarditis between Clinical Trials and the Real World. J. Clin. Med. 2023, 12, 1566. [Google Scholar] [CrossRef]
- Allegranzi, B.; Nejad, S.B.; Combescure, C.; Wilco Graafmans, W.; Attar, H.; Donaldson, L.; Pitte, D.t. Burden of endemic health-care-associated infection in developing countries: Systematic review and meta-analysis. Lancet 2011, 377, 228–241. [Google Scholar] [CrossRef]
- Halavaara, M.; Huotari, K.; Anttila, V.-J.; Järvinen, A. Healthcare-associated infective endocarditis: Source of infection and burden of previous healthcare exposure. Antimicrob. Steward. Healthc. Epidemiol. 2023, 3, e152. [Google Scholar] [CrossRef]
- Fernández-Hidalgo, N.; Almirante, B.; Tornos, P.; Pigrau, C.; Sambola, A.; Igual, A.; Pahissa, A. Contemporary Epidemiology and Prognosis of Health Care–Associated Infective Endocarditis. Clin. Infect. Dis. 2008, 47, 1287–1297. [Google Scholar] [CrossRef] [PubMed]
- Lomas, J.M.; Martínez-Marcos, F.J.; Plata, A.; Ivanova, J.R.; Gálvez, D.; Ruiz, J.; Reguera, J.M.; Noureddine, M.; De la Torre, J.; De Alarcón, A. Healthcare-associated infective endocarditis: An undesirable effect of healthcare universalization. Clinic. Micr. Infect. 2010, 16, 1683–1690. [Google Scholar] [CrossRef]
- Vincent, L.L.; Otto, C.M. Infective endocarditis: Update on epidemiology, outcomes, and management. Curr. Cardiol. Rep. 2018, 20, 86. [Google Scholar] [CrossRef]
- Beckera, J.B.; Moisés, V.A.; Guerra-Martín, M.D.; Barbosa, D.A. Epidemiological differences, clinical aspects, and short-term prognosis of patients with healthcare associated and community-acquired infective endocarditis. Infect. Prev. Pract. 2024, 6, 100343. [Google Scholar] [CrossRef] [PubMed]
- Benito, N.; Miro’, J.M.; De Lazzari, E.; Cabell, C.H.; del Río, A.; Altclas, J.; Commerford, P.; Delahaye, F.; Dragulescu, S.; Giamarellou, H.; et al. Health care-associated native valve endocarditis: Importance of non-nosocomial acquisition. Ann. Intern. Med. 2009, 150, 586–594. [Google Scholar] [CrossRef] [PubMed]
- Karch, J.; Raja, A.; De La Garza, H.; De Jesus Diaz Zepeda, A.; Shih, A.; Maymone, M.B.C.; Phillips, T.J.; Secemsky, E.; Vashi, N. Part I: Cutaneous manifestations of cardiovascular disease. J. Am. Acad. Dermatol. 2023, 89, 197–208. [Google Scholar] [CrossRef]
- Sekizawa, A.; Nagano, A.; Hashimoto, K.; Ono, Y. Conjunctival petechiae in infective endocarditis. Clevel. Clin. J. Med. 2024, 91, 20–21. [Google Scholar] [CrossRef]
- Viezens, L.; Dreimann, M.; Strahl, A.; Heuer, A.; Koepke, L.G.; Bay, B.; Waldeyer, C.; Stangenberg, M. Spontaneous spondylodiscitis and endocarditis: Interdisciplinary experience from a tertiary institutional case series and proposal of a treatment algorithm. Neurosurg. Rev. 2022, 45, 1335–1342. [Google Scholar] [CrossRef]
- Carbone, A.; Lieu, A.; Mouhat, B.; Santelli, F.; Philip, M.; Bohbot, Y.; Tessonnier, L.; Peugnet, F.; D’Andrea, A.; Cammilleri, S.; et al. Spondylodiscitis complicating infective endocarditis. Heart 2020, 106, 1914–1918. [Google Scholar] [CrossRef]
- Del Pace, S.; Scheggi, V.; Virgili, G.; Caciolli, S.; Olivotto, I.; Zoppetti, N.; Merilli, I.; Ceschia, N.; Andrei, V.; Alterini, B.; et al. Endocarditis with spondylodiscitis: Clinical characteristics and prognosis. BMC Cardiovasc. Disord. 2021, 21, 186. [Google Scholar] [CrossRef] [PubMed]
- Sunnerhagen, T.; Rasmussen, M. Lower specificity of the ESC2023 diagnostic criteria for infective endocarditis when spondylodiscitis is regarded as a vascular phenomenon. Clin. Infect. Dis. 2024, 24, 223. [Google Scholar] [CrossRef] [PubMed]
- Khan, M.Z.; Munir, M.B.; Khan, M.U.; Kuprica, T.; Balla, S. Burden of Infective Endocarditis in Homeless Patients in the United States: A National Perspective. Am. J. Med. Sci. 2021, 362, 39–47. [Google Scholar] [CrossRef] [PubMed]
- Wang, A.; Gaca, J.G.; Chu, V.H. Management considerations in infective endocarditis: A review. JAMA 2018, 320, 72–83. [Google Scholar] [CrossRef] [PubMed]
- Atallah, J.; Ghebremichael, M.; Timmer, K.D.; Warren, H.M.; Mallinger, E.; Wallace, E.; Strouts, F.R.; Persing, D.H.; Mansour, M.K. Novel Host Response-Based Diagnostics to Differentiate the Etiology of Fever in Patients Presenting to the Emergency Department. Diagnostics 2023, 13, 953. [Google Scholar] [CrossRef]
- Erdem, H.; Al-Tawfiq, J.A.; Abid, M.; Yahia, W.B.; Akafity, G.; Ramadan, M.E.; Amer, F.; El-Kholy, A.; Hakamifard, A.; Rahimi, B.A.; et al. Infectious causes of fever of unknown origin in developing countries: An international ID-IRI study. J. Intensive Med. 2023, 4, 94–100. [Google Scholar] [CrossRef]
- Papadimitriou-Olivgeris, M.; Monney, P.; Carron, P.N.; Tzimas, G.; Beysard, N.; Tozzi, P.; Kirsch, M.; Guery, B. Evaluation of the Clinical Rule for Endocarditis in the Emergency Department among Patients with Suspected Infective Endocarditis. J. Am. Heart Assoc. 2024, 13, e032745. [Google Scholar] [CrossRef]
- Covino, M.; De Vita, A.; D’Aiello, A.; Ravenna, S.E.; Ruggio, A.; Genuardi, L.; Simeoni, B.; Piccioni, A.; De Matteis, G.; Murri, R.; et al. A new clinical prediction rule for infective endocarditis in emergency department patients with fever: Definition and first validation of the CREED score. J. Am. Heart Assoc. 2023, 12, e027650. [Google Scholar] [CrossRef]
- Nedel, W.; Boniatti, M.M.; Lisboa, T. Endocarditis in critically ill patients: A review. Curr. Opin. Crit. Care 2023, 29, 430–437. [Google Scholar] [CrossRef]
- Cresti, A.; Baratta, P.; De Sensi, F.; Aloia, E.; Sposato, B.; Limbruno, U. Clinical Features and Mortality Rate of Infective Endocarditis in Intensive Care Unit: A Large-Scale Study and Literature Review. Anatol. J. Cardiol. 2024, 28, 44–54. [Google Scholar] [CrossRef]
- Keynan, Y.; Singal, R.; Kumar, K.; Arora, R.C.; Rubinstein, E. Infective endocarditis in the intensive care unit. Crit. Care Clin. 2013, 29, 923–951. [Google Scholar] [CrossRef] [PubMed]

| Disclaimer/Publisher’s Note: The statements, opinions and data contained in all publications are solely those of the individual author(s) and contributor(s) and not of MDPI and/or the editor(s). MDPI and/or the editor(s) disclaim responsibility for any injury to people or property resulting from any ideas, methods, instructions or products referred to in the content. | 
© 2024 by the authors. Licensee MDPI, Basel, Switzerland. This article is an open access article distributed under the terms and conditions of the Creative Commons Attribution (CC BY) license (https://creativecommons.org/licenses/by/4.0/).
Share and Cite
La Canna, G.; Torracca, L.; Barbone, A.; Scarfò, I. Unexpected Infective Endocarditis: Towards a New Alert for Clinicians. J. Clin. Med. 2024, 13, 5058. https://doi.org/10.3390/jcm13175058
La Canna G, Torracca L, Barbone A, Scarfò I. Unexpected Infective Endocarditis: Towards a New Alert for Clinicians. Journal of Clinical Medicine. 2024; 13(17):5058. https://doi.org/10.3390/jcm13175058
Chicago/Turabian StyleLa Canna, Giovanni, Lucia Torracca, Alessandro Barbone, and Iside Scarfò. 2024. "Unexpected Infective Endocarditis: Towards a New Alert for Clinicians" Journal of Clinical Medicine 13, no. 17: 5058. https://doi.org/10.3390/jcm13175058
APA StyleLa Canna, G., Torracca, L., Barbone, A., & Scarfò, I. (2024). Unexpected Infective Endocarditis: Towards a New Alert for Clinicians. Journal of Clinical Medicine, 13(17), 5058. https://doi.org/10.3390/jcm13175058
 
        



