Demineralized Dentin Matrix Incorporated with rhBMP-2 Composite Graft for Treating Medication-Related Osteonecrosis of the Jaw
Abstract
1. Introduction
2. Materials and Methods
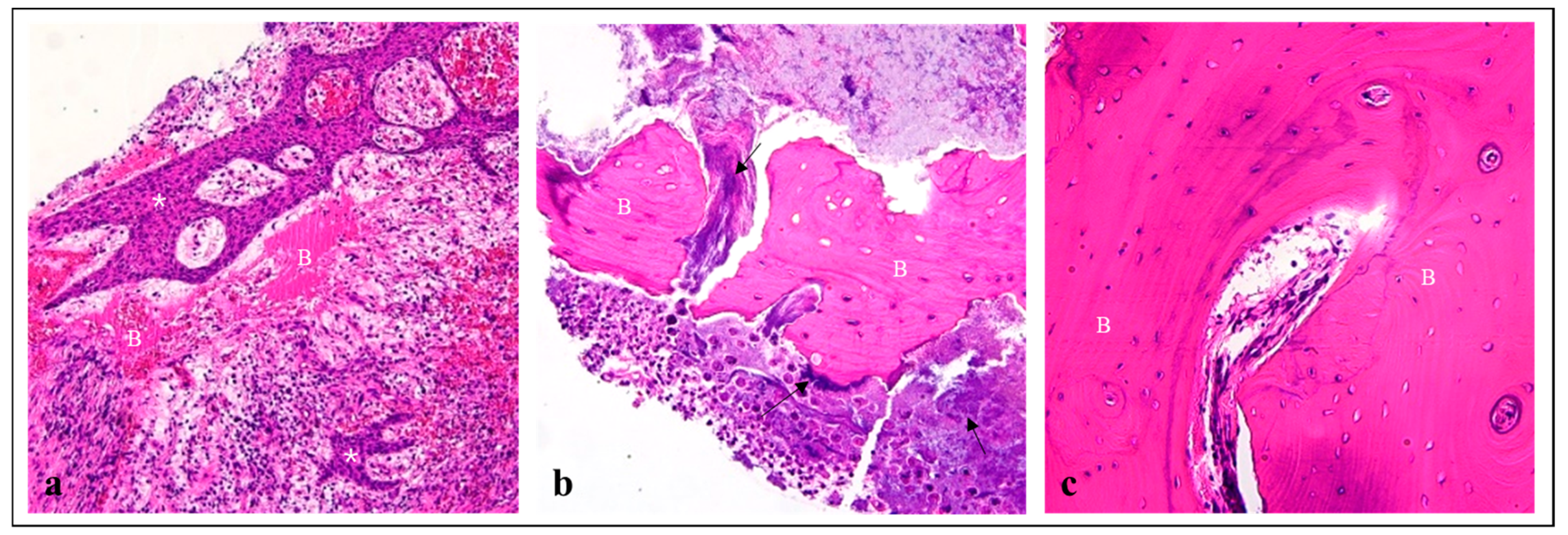
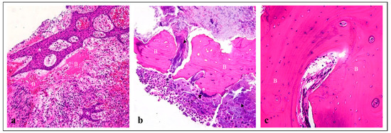
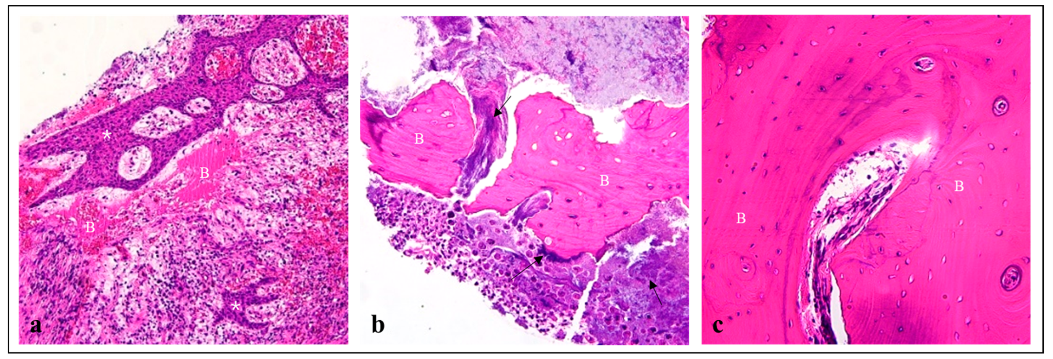
3. Discussion
4. Conclusions
Author Contributions
Funding
Institutional Review Board Statement
Informed Consent Statement
Data Availability Statement
Conflicts of Interest
References
- AlRowis, R.; Aldawood, A.; AlOtaibi, M.; Alnasser, E.; AlSaif, I.; Aljaber, A.; Natto, Z. Medication-related osteonecrosis of the jaw (mronj): A review of pathophysiology, risk factors, preventive measures and treatment strategies. Saudi Dent. J. 2022, 34, 202–210. [Google Scholar] [CrossRef]
- Bassan Marinho Maciel, G.; Marinho Maciel, R.; Linhares Ferrazzo, K.; Cademartori Danesi, C. Etiopathogenesis of medication-related osteonecrosis of the jaws: A review. J. Mol. Med. 2024, 102, 353–364. [Google Scholar] [CrossRef]
- Cerrato, A.; Zanette, G.; Boccuto, M.; Angelini, A.; Valente, M.; Bacci, C. Actinomyces and mronj: A retrospective study and a literature review. J. Stomatol. Oral. Maxillofac. Surg. 2021, 122, 499–504. [Google Scholar] [CrossRef]
- Zirk, M.; Wenzel, C.; Buller, J.; Zöller, J.E.; Zinser, M.; Peters, F. Microbial diversity in infections of patients with medication-related osteonecrosis of the jaw. Clin. Oral. Investig. 2019, 23, 2143–2151. [Google Scholar] [CrossRef]
- Kim, H.Y.; Jung, Y.S.; Park, W.; Choi, Y.J.; Kim, J.Y. Can medication-related osteonecrosis of the jaw be attributed to specific microorganisms through oral microbiota analyses? A preliminary study. BMC Oral. Health 2024, 24, 160. [Google Scholar] [CrossRef]
- Ruggiero, S.L.; Dodson, T.B.; Aghaloo, T.; Carlson, E.R.; Ward, B.B.; Kademani, D. American association of oral and maxillofacial surgeons’ position paper on medication-related osteonecrosis of the jaws—2022 update. J. Oral. Maxillofac. Surg. 2022, 80, 920–943. [Google Scholar] [CrossRef] [PubMed]
- Carlson, E.R. Management of antiresorptive osteonecrosis of the jaws with primary surgical resection. J. Oral. Maxillofac. Surg. 2014, 72, 655–657. [Google Scholar] [CrossRef] [PubMed]
- Doub, J.B.; Kang, A.; Lee, C.; Dyalram, D.; Shih, P.; Twaddell, W.S.; Lubek, J.E. Risk factors for infection recurrence after surgical resection of advanced stage osteonecrosis of the mandible. J. Oral. Maxillofac. Surg. 2024, 82, 332–340. [Google Scholar] [CrossRef] [PubMed]
- Van der Veen, M.; Thomas, R.; Huysmans, M.; De Soet, J. Red autofluorescence of dental plaque bacteria. Caries Res. 2006, 40, 542–545. [Google Scholar] [CrossRef]
- Lee, J.W.; Lee, E.S.; Kim, B.I. Can red fluorescence be useful in diagnostic decision making of residual dentin caries? Photodiagnosis Photodyn. Ther. 2019, 26, 43–44. [Google Scholar] [CrossRef]
- Kühnisch, J.; Heinrich-Weltzien, R. Quantitative light-induced fluorescence (qlf)—A literature review. Int. J. Comput. Dent. 2004, 7, 325–338. [Google Scholar]
- Kim, Y.; Jung, H.I.; Kim, Y.K.; Ku, J.K. Histologic analysis of osteonecrosis of the jaw according to the different aspects on quantitative light-induced fluorescence images. Photodiagnosis Photodyn. Ther. 2021, 34, 102212. [Google Scholar] [CrossRef]
- Kim, Y.; Ku, J.K. Quantitative light-induced fluorescence-guided surgery for medication-related osteomyelitis of the jaw. Photodiagnosis Photodyn. Ther. 2024, 45, 103867. [Google Scholar] [CrossRef] [PubMed]
- Lee, E.S.; de Josselin de Jong, E.; Kim, E.; Kim, B.I. Real-time optical detection of endodontic infection using bacterial autofluorescence. J. Dent. 2023, 136, 104600. [Google Scholar] [CrossRef]
- Murata, M. Bone engineering using human demineralized dentin matrix and recombinant human bmp-2. J. Hard Tissue Biol. 2005, 14, 80–81. [Google Scholar] [CrossRef]
- Avery, S.J.; Sadaghiani, L.; Sloan, A.J.; Waddington, R.J. Analysing the bioactive makeup of demineralised dentine matrix on bone marrow mesenchymal stem cells for enhanced bone repair. Eur. Cell Mater. 2017, 34, 1–14. [Google Scholar] [CrossRef]
- Murata, M. Collagen biology for bone regenerative surgery. J. Korean Assoc. Oral Maxillofac. Surg. 2012, 38, 321–325. [Google Scholar] [CrossRef]
- Um, I.-W.; Ku, J.-K.; Kim, Y.-M.; Yun, P.-Y.; Chang, N.-H.; Kim, Y.-K.; Choi, Y. Allogeneic demineralized dentin matrix graft for guided bone regeneration in dental implants. Appl. Sci. 2020, 10, 4661. [Google Scholar] [CrossRef]
- Kim, Y.-K.; Kim, S.-G.; Byeon, J.-H.; Lee, H.-J.; Um, I.-U.; Lim, S.-C.; Kim, S.-Y. Development of a novel bone grafting material using autogenous teeth. Oral. Surg. Oral. Med. Oral. Pathol. Oral. Radiol. Endodontology 2010, 109, 496–503. [Google Scholar] [CrossRef]
- Um, I.-W.; Jun, S.-H.; Yun, P.-Y.; Kim, Y.-K. Histological comparison of autogenous and allogenic demineralized dentin matrix loaded with recombinant human bone morphogenetic protein-2 for alveolar bone repair: A preliminary report. J. Hard Tissue Biol. 2017, 26, 417–424. [Google Scholar] [CrossRef]
- Mustakim, K.R.; Eo, M.Y.; Lee, J.Y.; Seo, M.H.; Kim, S.M. Clinical significance of drug cessation on medication-related osteonecrosis of the jaw in patients with osteoporosis. J. Korean Assoc. Oral. Maxillofac. Surg. 2023, 49, 75–85. [Google Scholar] [CrossRef] [PubMed]
- Beth-Tasdogan, N.H.; Mayer, B.; Hussein, H.; Zolk, O.; Peter, J.U. Interventions for managing medication-related osteonecrosis of the jaw. Cochrane Database Syst. Rev. 2022, 7, Cd012432. [Google Scholar]
- Min, S.H.; Kang, N.E.; Song, S.I.; Lee, J.K. Regenerative effect of recombinant human bone morphogenetic protein-2/absorbable collagen sponge (rhbmp-2/acs) after sequestrectomy of medication-related osteonecrosis of the jaw (mronj). J. Korean Assoc. Oral. Maxillofac. Surg. 2020, 46, 191–196. [Google Scholar] [CrossRef] [PubMed]
- Friess, W.; Uludag, H.; Foskett, S.; Biron, R.; Sargeant, C. Characterization of absorbable collagen sponges as rhbmp-2 carriers. Int. J. Pharm. 1999, 187, 91–99. [Google Scholar] [CrossRef] [PubMed]
- On, S.W.; Park, S.Y.; Yi, S.M.; Park, I.Y.; Byun, S.H.; Yang, B.E. Current status of recombinant human bone morphogenetic protein-2 (rhbmp-2) in maxillofacial surgery: Should it be continued? Bioengineering 2023, 10, 1005. [Google Scholar] [CrossRef] [PubMed]
- Lee, S.H.; Shin, H. Matrices and scaffolds for delivery of bioactive molecules in bone and cartilage tissue engineering. Adv. Drug Deliv. Rev. 2007, 59, 339–359. [Google Scholar] [CrossRef]
- Lo, K.W.; Ulery, B.D.; Ashe, K.M.; Laurencin, C.T. Studies of bone morphogenetic protein-based surgical repair. Adv. Drug Deliv. Rev. 2012, 64, 1277–1291. [Google Scholar] [CrossRef]





Disclaimer/Publisher’s Note: The statements, opinions and data contained in all publications are solely those of the individual author(s) and contributor(s) and not of MDPI and/or the editor(s). MDPI and/or the editor(s) disclaim responsibility for any injury to people or property resulting from any ideas, methods, instructions or products referred to in the content. |
© 2024 by the authors. Licensee MDPI, Basel, Switzerland. This article is an open access article distributed under the terms and conditions of the Creative Commons Attribution (CC BY) license (https://creativecommons.org/licenses/by/4.0/).
Share and Cite
Ku, J.-K.; Choi, J.-W.; Song, S.-M.; Yun, P.-Y.; Um, I.-W.; Leem, D.H. Demineralized Dentin Matrix Incorporated with rhBMP-2 Composite Graft for Treating Medication-Related Osteonecrosis of the Jaw. J. Clin. Med. 2024, 13, 4830. https://doi.org/10.3390/jcm13164830
Ku J-K, Choi J-W, Song S-M, Yun P-Y, Um I-W, Leem DH. Demineralized Dentin Matrix Incorporated with rhBMP-2 Composite Graft for Treating Medication-Related Osteonecrosis of the Jaw. Journal of Clinical Medicine. 2024; 13(16):4830. https://doi.org/10.3390/jcm13164830
Chicago/Turabian StyleKu, Jeong-Kui, Jin-Won Choi, Seung-Min Song, Pil-Young Yun, In-Woong Um, and Dae Ho Leem. 2024. "Demineralized Dentin Matrix Incorporated with rhBMP-2 Composite Graft for Treating Medication-Related Osteonecrosis of the Jaw" Journal of Clinical Medicine 13, no. 16: 4830. https://doi.org/10.3390/jcm13164830
APA StyleKu, J.-K., Choi, J.-W., Song, S.-M., Yun, P.-Y., Um, I.-W., & Leem, D. H. (2024). Demineralized Dentin Matrix Incorporated with rhBMP-2 Composite Graft for Treating Medication-Related Osteonecrosis of the Jaw. Journal of Clinical Medicine, 13(16), 4830. https://doi.org/10.3390/jcm13164830

