Predicting Successful Weaning through Sonographic Measurement of the Rapid Shallow Breathing Index
Abstract
1. Introduction
2. Materials and Methods
2.1. Study Design
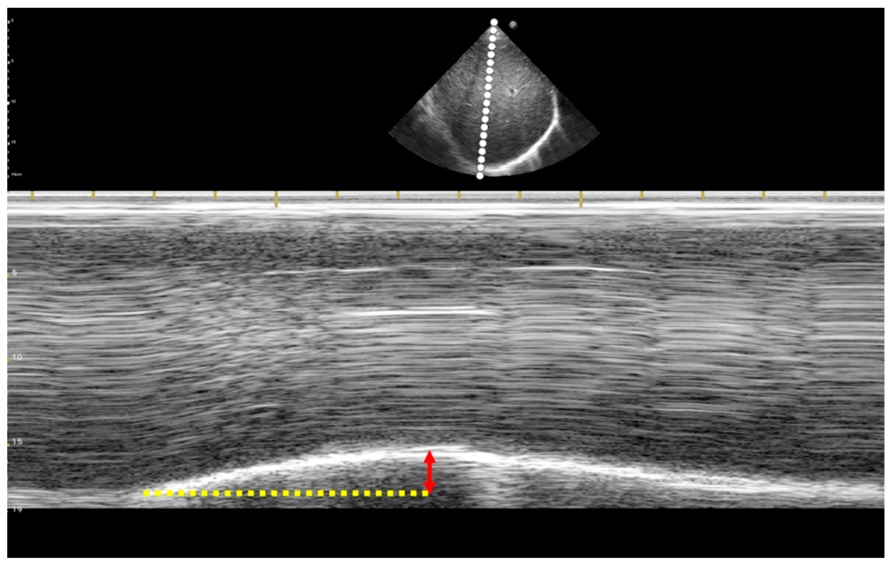
2.2. Procedure of Lung Ultrasound and Measurement of Lung Ultrasound Indices
2.3. Statistical Analysis
2.4. Data Collection, Extubation Criteria, and Weaning Success Definition
3. Results
3.1. Baseline Characteristics
3.2. ROC Analysis for Lung Ultrasonography Indices and Modified RSBI
3.3. Correlation Analysis between Clinical Variables and Modified RSBI
3.4. Univariable and Multivariable Analysis for Modified RSBI
4. Discussion
5. Conclusions
Supplementary Materials
Author Contributions
Funding
Institutional Review Board Statement
Informed Consent Statement
Data Availability Statement
Acknowledgments
Conflicts of Interest
Abbreviations
| aOR | adjusted odd ratio |
| AUC | area under the receiver operating characteristic curve |
| BMI | body mass index |
| CCI | Charlson Comorbidity Index |
| CI | confidence interval |
| DD | diaphragmatic displacement |
| DTF | diaphragm thickening fraction |
| D-RSBI | respiratory rate divided by half the sum of the right and left diaphragmatic displacement |
| DTi-RSBI | respiratory rate divided by the product of diaphragmatic displacement and diaphragm inspiratory time |
| EF | ejection fraction |
| FiO2 | fraction of inspired oxygen |
| ICU | intensive care unit |
| ROC | receiver operating characteristic |
| RR | respiratory rate |
| RSBI | rapid shallow breathing index |
| SBT | spontaneous breathing trial |
| SOFA | sequential organ failure assessment |
| Ti | diaphragm inspiratory time |
| TV | tidal volume |
References
- Mojoli, F.; Bouhemad, B.; Mongodi, S.; Lichtenstein, D. Lung Ultrasound for Critically Ill Patients. Am. J. Respir. Crit. Care Med. 2019, 199, 701–714. [Google Scholar] [CrossRef]
- Breitkopf, R.; Treml, B.; Rajsic, S. Lung Sonography in Critical Care Medicine. Diagnostics 2022, 12, 1405. [Google Scholar] [CrossRef]
- Lichtenstein, D.A.; Meziere, G.A. Relevance of lung ultrasound in the diagnosis of acute respiratory failure: The BLUE protocol. Chest 2008, 134, 117–125. [Google Scholar] [CrossRef]
- Caltabeloti, F.; Monsel, A.; Arbelot, C.; Brisson, H.; Lu, Q.; Gu, W.J.; Zhou, G.J.; Auler, J.O.; Rouby, J.J. Early fluid loading in acute respiratory distress syndrome with septic shock deteriorates lung aeration without impairing arterial oxygenation: A lung ultrasound observational study. Crit. Care 2014, 18, R91. [Google Scholar] [CrossRef]
- Lichter, Y.; Topilsky, Y.; Taieb, P.; Banai, A.; Hochstadt, A.; Merdler, I.; Gal Oz, A.; Vine, J.; Goren, O.; Cohen, B.; et al. Lung ultrasound predicts clinical course and outcomes in COVID-19 patients. Intensive Care Med. 2020, 46, 1873–1883. [Google Scholar] [CrossRef]
- Mayo, P.; Volpicelli, G.; Lerolle, N.; Schreiber, A.; Doelken, P.; Vieillard-Baron, A. Ultrasonography evaluation during the weaning process: The heart, the diaphragm, the pleura and the lung. Intensive Care Med. 2016, 42, 1107–1117. [Google Scholar] [CrossRef]
- Robba, C.; Wong, A.; Poole, D.; Al Tayar, A.; Arntfield, R.T.; Chew, M.S.; Corradi, F.; Doufle, G.; Goffi, A.; Lamperti, M.; et al. Basic ultrasound head-to-toe skills for intensivists in the general and neuro intensive care unit population: Consensus and expert recommendations of the European Society of Intensive Care Medicine. Intensive Care Med. 2021, 47, 1347–1367. [Google Scholar] [CrossRef]
- Bouhemad, B.; Liu, Z.H.; Arbelot, C.; Zhang, M.; Ferarri, F.; Le-Guen, M.; Girard, M.; Lu, Q.; Rouby, J.J. Ultrasound assessment of antibiotic-induced pulmonary reaeration in ventilator-associated pneumonia. Crit. Care Med. 2010, 38, 84–92. [Google Scholar] [CrossRef] [PubMed]
- Soummer, A.; Perbet, S.; Brisson, H.; Arbelot, C.; Constantin, J.M.; Lu, Q.; Rouby, J.J.; Lung Ultrasound Study, G. Ultrasound assessment of lung aeration loss during a successful weaning trial predicts postextubation distress. Crit. Care Med. 2012, 40, 2064–2072. [Google Scholar] [CrossRef] [PubMed]
- Wang, Y.; Yi, Y.; Zhang, F.; Yao, Y.Y.; Chen, Y.X.; Wu, C.M.; Wang, R.Y.; Yan, M. Lung Ultrasound Score as a Predictor of Failure to Wean COVID-19 Elderly Patients off Mechanical Ventilation: A Prospective Observational Study. Clin. Interv. Aging 2024, 19, 313–322. [Google Scholar] [CrossRef] [PubMed]
- Razazi, K.; Boissier, F.; Neuville, M.; Jochmans, S.; Tchir, M.; May, F.; de Prost, N.; Brun-Buisson, C.; Carteaux, G.; Mekontso Dessap, A. Pleural effusion during weaning from mechanical ventilation: A prospective observational multicenter study. Ann. Intensive Care 2018, 8, 103. [Google Scholar] [CrossRef] [PubMed]
- Balik, M.; Plasil, P.; Waldauf, P.; Pazout, J.; Fric, M.; Otahal, M.; Pachl, J. Ultrasound estimation of volume of pleural fluid in mechanically ventilated patients. Intensive Care Med. 2006, 32, 318. [Google Scholar] [CrossRef] [PubMed]
- Kim, W.Y.; Suh, H.J.; Hong, S.B.; Koh, Y.; Lim, C.M. Diaphragm dysfunction assessed by ultrasonography: Influence on weaning from mechanical ventilation. Crit. Care Med. 2011, 39, 2627–2630. [Google Scholar] [CrossRef] [PubMed]
- Song, J.; Qian, Z.; Zhang, H.; Wang, M.; Yu, Y.; Ye, C.; Hu, W.; Gong, S. Diaphragmatic ultrasonography-based rapid shallow breathing index for predicting weaning outcome during a pressure support ventilation spontaneous breathing trial. BMC Pulm. Med. 2022, 22, 337. [Google Scholar] [CrossRef]
- Vivier, E.; Muller, M.; Putegnat, J.B.; Steyer, J.; Barrau, S.; Boissier, F.; Bourdin, G.; Mekontso-Dessap, A.; Levrat, A.; Pommier, C.; et al. Inability of Diaphragm Ultrasound to Predict Extubation Failure: A Multicenter Study. Chest 2019, 155, 1131–1139. [Google Scholar] [CrossRef] [PubMed]
- Spadaro, S.; Grasso, S.; Mauri, T.; Dalla Corte, F.; Alvisi, V.; Ragazzi, R.; Cricca, V.; Biondi, G.; Di Mussi, R.; Marangoni, E.; et al. Can diaphragmatic ultrasonography performed during the T-tube trial predict weaning failure? The role of diaphragmatic rapid shallow breathing index. Crit. Care 2016, 20, 305. [Google Scholar] [CrossRef] [PubMed]
- Yang, K.L.; Tobin, M.J. A prospective study of indexes predicting the outcome of trials of weaning from mechanical ventilation. N. Engl. J. Med. 1991, 324, 1445–1450. [Google Scholar] [CrossRef] [PubMed]
- Hermans, G.; Agten, A.; Testelmans, D.; Decramer, M.; Gayan-Ramirez, G. Increased duration of mechanical ventilation is associated with decreased diaphragmatic force: A prospective observational study. Crit. Care 2010, 14, R127. [Google Scholar] [CrossRef]
- Boussuges, A.; Finance, J.; Chaumet, G.; Bregeon, F. Diaphragmatic motion recorded by M-mode ultrasonography: Limits of normality. ERJ Open Res. 2021, 7, 00714–2020. [Google Scholar] [CrossRef]
- Boussuges, A.; Rives, S.; Finance, J.; Chaumet, G.; Vallee, N.; Risso, J.J.; Bregeon, F. Ultrasound Assessment of Diaphragm Thickness and Thickening: Reference Values and Limits of Normality When in a Seated Position. Front. Med. 2021, 8, 742703. [Google Scholar] [CrossRef]
- Subira, C.; Hernandez, G.; Vazquez, A.; Rodriguez-Garcia, R.; Gonzalez-Castro, A.; Garcia, C.; Rubio, O.; Ventura, L.; Lopez, A.; de la Torre, M.C.; et al. Effect of Pressure Support vs T-Piece Ventilation Strategies During Spontaneous Breathing Trials on Successful Extubation Among Patients Receiving Mechanical Ventilation: A Randomized Clinical Trial. JAMA 2019, 321, 2175–2182. [Google Scholar] [CrossRef] [PubMed]
- Lichtenstein, D.A. Lung ultrasound in the critically ill. Ann. Intensive Care 2014, 4, 1. [Google Scholar] [CrossRef] [PubMed]
- Mayo, P.H.; Copetti, R.; Feller-Kopman, D.; Mathis, G.; Maury, E.; Mongodi, S.; Mojoli, F.; Volpicelli, G.; Zanobetti, M. Thoracic ultrasonography: A narrative review. Intensive Care Med. 2019, 45, 1200–1211. [Google Scholar] [CrossRef] [PubMed]
- Caille, V.; Amiel, J.B.; Charron, C.; Belliard, G.; Vieillard-Baron, A.; Vignon, P. Echocardiography: A help in the weaning process. Crit. Care 2010, 14, R120. [Google Scholar] [CrossRef] [PubMed]
- Teichholz, L.E.; Kreulen, T.; Herman, M.V.; Gorlin, R. Problems in echocardiographic volume determinations: Echocardiographic-angiographic correlations in the presence of absence of asynergy. Am. J. Cardiol. 1976, 37, 7–11. [Google Scholar] [CrossRef] [PubMed]
- Frutos-Vivar, F.; Esteban, A.; Apezteguia, C.; Gonzalez, M.; Arabi, Y.; Restrepo, M.I.; Gordo, F.; Santos, C.; Alhashemi, J.A.; Perez, F.; et al. Outcome of reintubated patients after scheduled extubation. J. Crit. Care 2011, 26, 502–509. [Google Scholar] [CrossRef] [PubMed]
- Fiastro, J.F.; Habib, M.P.; Shon, B.Y.; Campbell, S.C. Comparison of standard weaning parameters and the mechanical work of breathing in mechanically ventilated patients. Chest 1988, 94, 232–238. [Google Scholar] [CrossRef]
- Palkar, A.; Narasimhan, M.; Greenberg, H.; Singh, K.; Koenig, S.; Mayo, P.; Gottesman, E. Diaphragm Excursion-Time Index: A New Parameter Using Ultrasonography to Predict Extubation Outcome. Chest 2018, 153, 1213–1220. [Google Scholar] [CrossRef] [PubMed]
- Boles, J.M.; Bion, J.; Connors, A.; Herridge, M.; Marsh, B.; Melot, C.; Pearl, R.; Silverman, H.; Stanchina, M.; Vieillard-Baron, A.; et al. Weaning from mechanical ventilation. Eur. Respir. J. 2007, 29, 1033–1056. [Google Scholar] [CrossRef]
- Abbas, A.; Embarak, S.; Walaa, M.; Lutfy, S.M. Role of diaphragmatic rapid shallow breathing index in predicting weaning outcome in patients with acute exacerbation of COPD. Int. J. Chron. Obs. Pulmon Dis. 2018, 13, 1655–1661. [Google Scholar] [CrossRef]
- Harris, R.S.; Giovannetti, M.; Kim, B.K. Normal ventilatory movement of the right hemidiaphragm studied by ultrasonography and pneumotachography. Radiology 1983, 146, 141–144. [Google Scholar] [CrossRef] [PubMed]
- Sellares, J.; Loureiro, H.; Ferrer, M.; Amaro, R.; Farre, R.; Torres, A. The effect of spontaneous breathing on systemic interleukin-6 during ventilator weaning. Eur. Respir. J. 2012, 39, 654–660. [Google Scholar] [CrossRef] [PubMed]
- Kyriakoudi, A.; Rovina, N.; Koltsida, O.; Kostakou, E.; Konstantelou, E.; Kardara, M.; Kompoti, M.; Palamidas, A.; Kaltsakas, G.; Koutsoukou, A. Weaning Failure in Critically Ill Patients Is Related to the Persistence of Sepsis Inflammation. Diagnostics 2021, 12, 92. [Google Scholar] [CrossRef] [PubMed]
- Forgiarini, S.G.I.; Rosa, D.P.D.; Forgiarini, L.F.; Teixeira, C.; Andrade, C.F.; Forgiarini Junior, L.A.; Felix, E.A.; Friedman, G. Evaluation of systemic inflammation in patients being weaned from mechanical ventilation. Clinics 2018, 73, e256. [Google Scholar] [CrossRef]


| Characteristics | Total Participants (N = 35) | Weaning Failure (N = 9) | Weaning Success (N = 26) | p-Value |
|---|---|---|---|---|
| Age (year) | 67.0 (59.0–75.0) | 60.0 (57.0–66.0) | 71.0 (61.8–77.8) | 0.038 |
| Male, no (%) | 26 (74.3) | 7 (77.8) | 19 (73.1) | 1.000 |
| BMI (kg/m2) | 23.8 (20.7–27.4) | 21.0 (17.0–25.8) | 24.3 (22.3–27.7) | 0.101 |
| Smoking status (current or former), no (%) | 16 (45.7) | 3 (33.3) | 13 (50.0) | 0.460 |
| CCI | 6.0 (5.0–8.0) | 6.0 (3.5–6.5) | 6.5 (5.0–8.3) | 0.093 |
| Reason for ICU admission, no (%) | 1.000 | |||
| Cardiovascular | 6 (17.1) | 1 (11.1) | 5 (19.2) | |
| Respiratory | 29 (82.9) | 8 (88.9) | 21 (80.8) | |
| SOFA at ICU admission | 9.0 (7.0–11.0) | 10.0 (8.5–10.5) | 9.0 (6.8–11.0) | 0.675 |
| SOFA at extubation | 5.0 (3.0–7.0) | 6.0 (5.0–7.5) | 4.0 (2.8–7.0) | 0.093 |
| EF < 50%, no (%) | 12 (34.3) | 4 (44.4) | 8 (30.8) | 0.456 |
| Duration of mechanical ventilation (day) | 10.0 (8.0–14.0) | 12.0 (10.5–13.0) | 9.0 (7.8–14.0) | 0.382 |
| ICU duration (day) | 16.0 (10.0–24.0) | 40.0 (23.5–65.0) | 11.5 (9.0–18.0) | <0.001 |
| Deceased patients, no (%) | 8 (22.9) | 4 (44.4) | 4 (15.4) | 0.162 |
| Right DD (mm) | 18.0 (12.0–22.0) | 13.0 (10.5–16.5) | 20.0 (12.8–23.5) | 0.051 |
| Left DD (mm) | 16.0 (12.0–23.0) | 13.0 (11.0–24.0) | 17.5 (12.0–23.0) | 0.382 |
| Right Ti (sec) | 0.6 (0.6–0.8) | 0.6 (0.6–0.8) | 0.7 (0.6–0.8) | 0.781 |
| Left Ti (sec) | 0.6 (0.5–0.8) | 0.6 (0.6–0.7) | 0.7 (0.5–0.8) | 0.781 |
| DTi (mm×sec) | 20.0 (15.5–30.8) | 17.8 (13.5–25.8) | 20.2 (17.0–31.9) | 0.149 |
| RSBI | 38.5 (32.5–59.0) | 58.8 (33.9–75.9) | 35.2 (31.3–47.5) | 0.101 |
| D-RSBI | 1.04 (0.83–1.46) | 1.46 (1.23–1.97) | 0.98 (0.79–1.20) | 0.018 |
| DTi-RSBI | 0.93 (0.63–1.20) | 1.29 (0.95–1.64) | 0.81 (0.61–1.06) | 0.015 |
| Lung score | 3.0 (2.0–5.0) | 5.0 (2.0–9.0) | 3.0 (1.0–5.0) | 0.160 |
| Total pleural fluid | 0.0 (0.0–220.0) | 0.0 (0.0–230.0) | 0.0 (0.0–65.0) | 0.565 |
| Univariable Analysis | Multivariable Analysis (Model 1) a | Multivariable Analysis (Model 2) a | Multivariable Analysis (Model 3) b | Multivariable Analysis (Model 4) b | ||||||
|---|---|---|---|---|---|---|---|---|---|---|
| OR (95% CI) | p-Value | aOR (95% CI) | p-Value | aOR (95% CI) | p-Value | aOR (95% CI) | p-Value | aOR (95% CI) | p-Value | |
| Age | 1.06 (0.99–1.13) | 0.120 | 1.08 (0.99–1.17) | 0.078 | 1.08 (1.00–1.18) | 0.062 | 1.05 (0.94–1.17) | 0.406 | 1.06 (0.95–1.18) | 0.287 |
| Male | 0.78 (0.13–4.67) | 0.781 | 1.10 (0.14–8.84) | 0.931 | 1.30 (0.15–11.47) | 0.812 | 0.36 (0.01–10.82) | 0.555 | 0.66 (0.02–24.79) | 0.824 |
| BMI (kg/m2) | 1.13 (0.95–1.33) | 0.164 | 1.06 (0.87–1.30) | 0.556 | 1.04 (0.85–1.29) | 0.692 | 1.05 (0.84–1.32) | 0.665 | 1.02 (0.79–1.31) | 0.909 |
| Smoking | 2.00 (0.41–9.76) | 0.391 | 1.42 (0.12–16.4) | 0.777 | 1.11 (0.07–18.13) | 0.943 | ||||
| CCI | 1.41 (0.97–2.03) | 0.069 | 1.53 (0.90–2.61) | 0.115 | 1.71 (1.00–2.93) | 0.052 | ||||
| SOFA at extubation | 0.75 (0.52–1.07) | 0.110 | 0.73 (0.42–1.29) | 0.279 | 0.80 (0.42–1.51) | 0.484 | ||||
| EF < 50% | 0.56 (0.12–2.63) | 0.459 | 1.28 (0.06–25.72) | 0.874 | 1.08 (0.04–28.16) | 0.961 | ||||
| Duration of mechanical ventilation (day) | 0.91 (0.73–1.14) | 0.412 | 0.94 (0.66–1.34) | 0.742 | 0.90 (0.61–1.33) | 0.592 | ||||
| D-RSBI | 0.15 (0.03–0.82) | 0.029 | 0.14 (0.02–1.05) | 0.055 | 0.11 (0.01–1.67) | 0.112 | ||||
| DTi-RSBI | 0.07 (0.01–0.67) | 0.022 | 0.06 (0.00–0.72) | 0.027 | 0.02 (0.00–0.97) | 0.048 | ||||
Disclaimer/Publisher’s Note: The statements, opinions and data contained in all publications are solely those of the individual author(s) and contributor(s) and not of MDPI and/or the editor(s). MDPI and/or the editor(s) disclaim responsibility for any injury to people or property resulting from any ideas, methods, instructions or products referred to in the content. |
© 2024 by the authors. Licensee MDPI, Basel, Switzerland. This article is an open access article distributed under the terms and conditions of the Creative Commons Attribution (CC BY) license (https://creativecommons.org/licenses/by/4.0/).
Share and Cite
Chung, E.; Leem, A.Y.; Lee, S.H.; Kang, Y.A.; Kim, Y.S.; Chung, K.S. Predicting Successful Weaning through Sonographic Measurement of the Rapid Shallow Breathing Index. J. Clin. Med. 2024, 13, 4809. https://doi.org/10.3390/jcm13164809
Chung E, Leem AY, Lee SH, Kang YA, Kim YS, Chung KS. Predicting Successful Weaning through Sonographic Measurement of the Rapid Shallow Breathing Index. Journal of Clinical Medicine. 2024; 13(16):4809. https://doi.org/10.3390/jcm13164809
Chicago/Turabian StyleChung, Eunki, Ah Young Leem, Su Hwan Lee, Young Ae Kang, Young Sam Kim, and Kyung Soo Chung. 2024. "Predicting Successful Weaning through Sonographic Measurement of the Rapid Shallow Breathing Index" Journal of Clinical Medicine 13, no. 16: 4809. https://doi.org/10.3390/jcm13164809
APA StyleChung, E., Leem, A. Y., Lee, S. H., Kang, Y. A., Kim, Y. S., & Chung, K. S. (2024). Predicting Successful Weaning through Sonographic Measurement of the Rapid Shallow Breathing Index. Journal of Clinical Medicine, 13(16), 4809. https://doi.org/10.3390/jcm13164809

