Comparison of Ophthalmologists versus Dermatologists for the Diagnosis and Management of Periorbital Atypical Pigmented Skin Lesions
Abstract
1. Introduction
2. Materials and Methods
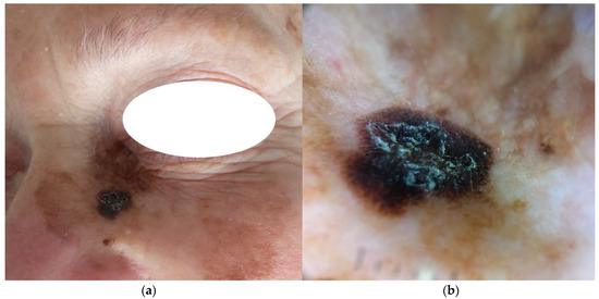
2.1. Case Study
2.2. Tele-Diagnostic Test
2.3. Statistical Analysis
3. Results
4. Discussion
- Improved diagnostic accuracy: Ophthalmologists could achieve a higher diagnostic accuracy for various skin conditions, including benign and malignant lesions; this could reduce unnecessary biopsies and referrals, or aid in choosing the appropriate biopsy site;
- Improved early detection of skin cancers, particularly melanoma, by allowing non-specialists to identify suspicious lesions that warrant further investigation or referral to a dermatologist;
- Efficient patient management: Dermoscopy can help non-specialists decide which lesions can be monitored over time, versus those needing immediate action, streamlining patient management and potentially reducing wait times for dermatology appointments;
- Cost-effectiveness: By improving diagnostic accuracy and reducing unnecessary procedures, dermoscopy can be cost-effective for healthcare systems. The early detection of skin cancers can lead to less-invasive treatments and better outcomes, further reducing long-term healthcare costs.
- Training and proficiency: Dermoscopy requires specialized training to interpret the findings accurately. Non-specialists may not receive sufficient training or may have limited time to develop proficiency, potentially leading to misdiagnosis;
- False sense of security: Inadequate training or experience may lead to overconfidence, where non-specialists might overlook or misinterpret lesions, resulting in missed diagnoses of serious conditions like melanoma;
- Ongoing education: Dermoscopy is a rapidly evolving field. Non-specialists may struggle to keep up with the latest advancements, techniques, and diagnostic criteria without continuous education and training;
- Referral decisions: Determining when to refer a patient to a specialist can be challenging. Non-specialists might either refer too many patients, burdening the specialist services, or too few, potentially missing serious conditions;
- Equipment costs: High-quality dermoscopy equipment can be expensive. Non-specialist practices may find the initial investment prohibitive, especially in resource-limited settings;
- Integration into practice: Successfully integrating dermoscopy into a non-specialist’s practice requires changes to workflows and patient management strategies and possibly additional administrative support, which can be challenging to implement, especially in busy practices with high patient volumes.
5. Conclusions
Author Contributions
Funding
Institutional Review Board Statement
Informed Consent Statement
Data Availability Statement
Conflicts of Interest
References
- Wang, Y.; Zhao, Y.; Ma, S. Racial differences in six major subtypes of melanoma: Descriptive epidemiology. BMC Cancer 2016, 30, 691. [Google Scholar] [CrossRef] [PubMed]
- Fijałkowska, M.; Koziej, M.; Antoszewski, B. Detailed head localization and incidence of skin cancers. Sci. Rep. 2021, 11, 12391. [Google Scholar] [CrossRef]
- Lallas, A.; Argenziano, G.; Moscarella, E.; Longo, C.; Simonetti, V.; Zalaudek, I. Diagnosis and management of facial pigmented macules. Clin. Dermatol. 2014, 32, 94–100. [Google Scholar] [CrossRef]
- Franke, J.D.; Woolford, K.M.; Neumeister, M.W. Lentigo Maligna. Clin. Plast. Surg. 2021, 48, 669–675. [Google Scholar] [CrossRef] [PubMed]
- Wójcicki, P.; Zachara, M. Surgical treatment of eyelid tumors. J. Craniofac. Surg. 2010, 21, 520–525. [Google Scholar] [CrossRef]
- Yin, V.T.; Merritt, H.A.; Sniegowski, M.; Esmaeli, B. Eyelid and ocular surface carcinoma: Diagnosis and management. Clin. Dermatol. 2015, 33, 159–169. [Google Scholar] [CrossRef] [PubMed]
- Silverman, N.; Shinder, R. What’s New in Eyelid Tumors. Asia Pac. J. Ophthalmol. 2017, 6, 143–152. [Google Scholar] [CrossRef]
- Cook, B.E., Jr.; Bartley, G.B. Epidemiologic characteristics and clinical course of patients with malignant eyelid tumors in an incidence cohort in Olmsted County, Minnesota. Ophthalmology 1999, 106, 746–750. [Google Scholar] [CrossRef]
- Kersten, R.C.; Ewing-Chow, D.; Kulwin, D.R.; Gallon, M. Accuracy of clinical diagnosis of cutaneous eyelid lesions. Ophthalmology 1997, 104, 479–484. [Google Scholar] [CrossRef]
- Margo, C.E. Eyelid tumors: Accuracy of clinical diagnosis. Am. J. Ophthalmol. 1999, 128, 635–636. [Google Scholar] [CrossRef]
- Vestergaard, M.E.; Macaskill, P.; Holt, P.E.; Menzies, S.W. Dermoscopy compared with naked eye examination for the diagnosis of primary melanoma: A meta-analysis of studies performed in a clinical setting. Br. J. Dermatol. 2008, 159, 669–676. [Google Scholar] [CrossRef] [PubMed]
- Carli, P.; De Giorgi, V.; Crocetti, E.; Mannone, F.; Massi, D.; Chiarugi, A.; Giannotti, B. Improvement of malignant/benign ratio in excised melanocytic lesions in the ‘dermoscopy era’: A retrospective study 1997–2001. Br. J. Dermatol. 2004, 150, 687–692. [Google Scholar] [CrossRef] [PubMed]
- Cantisani, C.; Ambrosio, L.; Cucchi, C.; Meznerics, F.A.; Kiss, N.; Bánvölgyi, A.; Rega, F.; Grignaffini, F.; Barbuto, F.; Frezza, F.; et al. Melanoma Detection by Non-Specialists: An Untapped Potential for Triage? Diagnostics 2022, 16, 2821. [Google Scholar] [CrossRef] [PubMed]
- Wu, X.; Marchetti, M.A.; Marghoob, A.A. Dermoscopy: Not just for dermatologists. Melanoma Manag. 2015, 2, 63–73. [Google Scholar] [CrossRef] [PubMed]
- Sawyers, E.A.; Wigle, D.T.; Marghoob, A.A.; Blum, A. Dermoscopy Training Effect on Diagnostic Accuracy of Skin Lesions in Canadian Family Medicine Physicians Using the Triage Amalgamated Dermoscopic Algorithm. Dermatol. Pract. Concept. 2020, 10, e2020035. [Google Scholar] [CrossRef] [PubMed]
- Jones, S.M.; Walker, H.; Maitland, C. A dermoscopy training program for Victorian GPs to improve skin cancer prevention and detection. Public. Health Res. Pract. 2022, 32, 3212207. [Google Scholar] [CrossRef] [PubMed]
- Cyr, P.R.; Craig, W.; Ahrns, H.; Stevens, K.; Wight, C.; Seiverling, E. Teaching Skin Cancer Detection to Medical Students Using a Dermoscopic Algorithm. PRiMER 2021, 5, 6. [Google Scholar] [CrossRef] [PubMed]
- Serra-García, L.; Podlipnik, S.; Bedoya, J.; Ertekin, S.S.; Manubens, E.; Carrera, C.; Zalacain-Vicuña, A.J.; Malvehy, J.; Puig, S. Dermoscopy training course improves podiatrists’ accuracy in diagnosing lesions suggestive of acral melanoma: A cross-sectional study. Australas. J. Dermatol. 2022, 63, e44–e48. [Google Scholar] [CrossRef] [PubMed]
- Townley, W.A.; Cassell, O.C.; Bowling, J. Dermoscopy—Time for plastic surgeons to embrace a new diagnostic tool? J. Plast. Reconstr. Aesthet. Surg. 2011, 64, 1386–1387. [Google Scholar] [CrossRef]
- Tognetti, L.; Cartocci, A.; Żychowska, M.; Savarese, I.; Cinotti, E.; Pizzichetta, M.A.; Moscarella, E.; Longo, C.; Farnetani, F.; Guida, S.; et al. A risk-scoring model for the differential diagnosis of lentigo maligna and other atypical pigmented facial lesions of the face: The facial iDScore. J. Eur. Acad. Dermatol. Venereol. 2023, 37, 2301–2310. [Google Scholar] [CrossRef]
- Tognetti, L.; Cinotti, E.; Farnetani, F.; Lallas, A.; Paoli, J.; Longo, C.; Pampena, R.; Moscarella, E.; Argenziano, G.; Tiodorovic, D.; et al. Development and Implementation of a Web-Based International Registry Dedicated to Atypical Pigmented Skin Lesions of the Face: Teledermatologic Investigation on Epidemiology and Risk Factors. Telemed. J. E Health 2023, 29, 1356–1365. [Google Scholar] [CrossRef]
- Tognetti, L.; Cartocci, A.; Cinotti, E.; D’Onghia, M.; Żychowska, M.; Moscarella, E.; Dika, E.; Farnetani, F.; Guida, S.; Paoli, J.; et al. Dermoscopy of atypical pigmented lesions of the face: Variation according to facial areas. Exp. Dermatol. 2023, 32, 2166–2172. [Google Scholar] [CrossRef]
- Baghazal, A.; Hanafi, S.; Bogari, A. Public and Physicians Perception of Oculoplastic Surgery Subspecialty in Saudi Arabia. Clin. Ophthalmol. 2023, 17, 2493–2504. [Google Scholar] [CrossRef]
- Abraham, J.C.; Jabaley, M.E.; Hoopes, J.E. Basal cell carcinoma of the medial canthal region. Am. J. Surg. 1973, 126, 492–495. [Google Scholar] [CrossRef]
- De Luca, E.V.; Perino, F.; Di Stefani, A.; Coco, V.; Fossati, B.; Peris, K. Lentigo maligna: Diagnosis and treatment. G. Ital. Dermatol. Venereol. 2020, 155, 179–189. [Google Scholar] [CrossRef]

| Total N = 79 | |
|---|---|
| Patient age | 62.18 ± 12.49 |
| Patient sex | |
| Female | 53 (67.1%) |
| Male | 26 (32.9%) |
| Lesion maximum diameter (mm) | 10.81 ± 5.75 |
| Histology | |
| Lentigo maligna/lentigo maligna melanoma | 32 (40.5%) |
| Pigmented actinic keratosis | 8 (10.1%) |
| Atypical nevi | 6 (7.6%) |
| Solar lentigo | 26 (32.9%) |
| Seborrheic keratosis | 3 (3.8%) |
| Seborrheic lichenoid keratosis | 4 (5.1%) |
| Benign Cases Number of Images = 47 | Malignant Cases Number of Images = 32 | |||
|---|---|---|---|---|
| Opht. | Dermat. | Opht. | Dermat. | |
| Number of evaluations | 282 | 94 | 192 | 64 |
| Correctly classified cases | 237 (84.0%) | 75 (79.8%) | 64 (33.3%) | 30 (46.9%) |
| Incorrectly classified cases | 45 (16.0%) | 19 (20.2%) | 128 (66.7%) | 34 (53.1%) |
| Grade | ||||
| Very easy | 0 (0.0%) | 9 (9.1%) | 0 (0.0%) | 4 (5.7%) |
| Easy | 16 (5.7%) | 21 (22.7%) | 4 (2.1%) | 8 (13.2%) |
| Moderate | 33 (11.7%) | 36 (38.6%) | 27 (14.1%) | 29 (45.3%) |
| Difficult | 134 (47.5%) | 17 (18.2%) | 103 (53.6%) | 18 (28.3%) |
| Very difficult | 99 (35.1%) | 11 (11.4%) | 58 (30.2%) | 5 (7.5%) |
| Confidence | ||||
| Very confident | 2 (0.7%) | 18 (19.3%) | 0 (0.0%) | 8 (13.2%) |
| Mildly confident | 20 (7.1%) | 42 (44.3%) | 5 (2.6%) | 19 (30.2%) |
| Uncertain | 32 (11.3%) | 18 (19.3%) | 21 (10.9%) | 21 (32.1%) |
| Mildly underconfident | 110 (39.0%) | 6 (6.8%) | 75 (39.1%) | 11 (17%) |
| Not confident | 118 (41.8%) | 10 (10.2%) | 91 (47.4 %) | 5 (7.5%) |
| Benign Cases Number of Images = 47 | Malignant Cases Number of Images = 32 | |||
|---|---|---|---|---|
| Opht. | Dermat. | Opht. | Dermat. | |
| Number of evaluations | 282 | 94 | 192 | 64 |
| Management | ||||
| Skin biopsy | 40 (14.2%) | 23 (23.9%) | 49 (25.5%) | 31 (49.1%) |
| Reflectance confocal microscopy | 97 (34.4%) | 19 (20.4%) | 72 (37.5%) | 12 (18.9%) |
| Close dermoscopic follow-up | 145 (51.4%) | 52 (55.7%) | 71 (37.0%) | 21 (32.0%) |
Disclaimer/Publisher’s Note: The statements, opinions and data contained in all publications are solely those of the individual author(s) and contributor(s) and not of MDPI and/or the editor(s). MDPI and/or the editor(s) disclaim responsibility for any injury to people or property resulting from any ideas, methods, instructions or products referred to in the content. |
© 2024 by the authors. Licensee MDPI, Basel, Switzerland. This article is an open access article distributed under the terms and conditions of the Creative Commons Attribution (CC BY) license (https://creativecommons.org/licenses/by/4.0/).
Share and Cite
Rubegni, G.; Zeppieri, M.; Tognetti, L.; Cinotti, E.; De Piano, E.; D’Onghia, M.; Orione, M.; Gagliano, C.; Bacci, T.; Tarantello, A.; et al. Comparison of Ophthalmologists versus Dermatologists for the Diagnosis and Management of Periorbital Atypical Pigmented Skin Lesions. J. Clin. Med. 2024, 13, 4787. https://doi.org/10.3390/jcm13164787
Rubegni G, Zeppieri M, Tognetti L, Cinotti E, De Piano E, D’Onghia M, Orione M, Gagliano C, Bacci T, Tarantello A, et al. Comparison of Ophthalmologists versus Dermatologists for the Diagnosis and Management of Periorbital Atypical Pigmented Skin Lesions. Journal of Clinical Medicine. 2024; 13(16):4787. https://doi.org/10.3390/jcm13164787
Chicago/Turabian StyleRubegni, Giovanni, Marco Zeppieri, Linda Tognetti, Elisa Cinotti, Ernesto De Piano, Martina D’Onghia, Matteo Orione, Caterina Gagliano, Tommaso Bacci, Antonio Tarantello, and et al. 2024. "Comparison of Ophthalmologists versus Dermatologists for the Diagnosis and Management of Periorbital Atypical Pigmented Skin Lesions" Journal of Clinical Medicine 13, no. 16: 4787. https://doi.org/10.3390/jcm13164787
APA StyleRubegni, G., Zeppieri, M., Tognetti, L., Cinotti, E., De Piano, E., D’Onghia, M., Orione, M., Gagliano, C., Bacci, T., Tarantello, A., Lo Russo, N., Castellino, N., Miranda, G., Cartocci, A., Tosi, G. M., & Avitabile, T. (2024). Comparison of Ophthalmologists versus Dermatologists for the Diagnosis and Management of Periorbital Atypical Pigmented Skin Lesions. Journal of Clinical Medicine, 13(16), 4787. https://doi.org/10.3390/jcm13164787

