Surgical Navigation and CAD-CAM-Designed PEEK Prosthesis for the Surgical Treatment of Facial Intraosseous Vascular Anomalies
Abstract
1. Introduction
2. Materials and Methods
2.1. Patients
2.2. Data Collection
2.3. Procedure
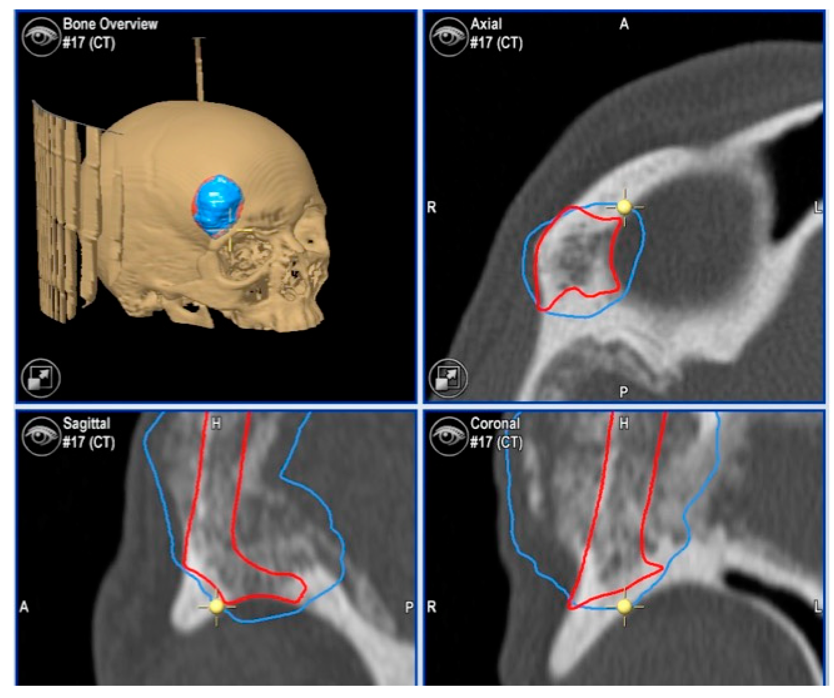
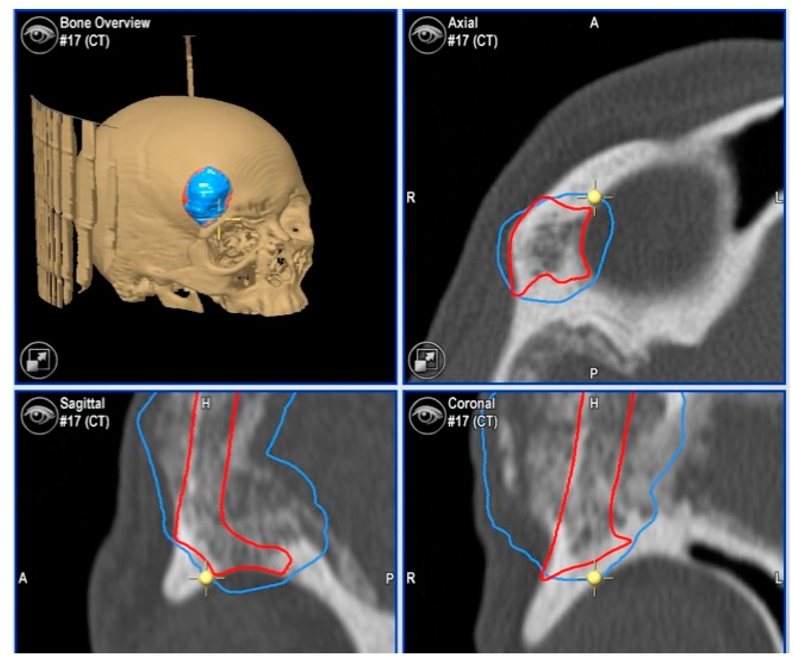
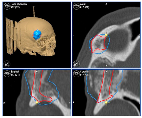
2.3.1. Virtual Surgical Plan
2.3.2. CAD-CAM Design of the PEEK Prosthesis
2.3.3. Surgical Navigation
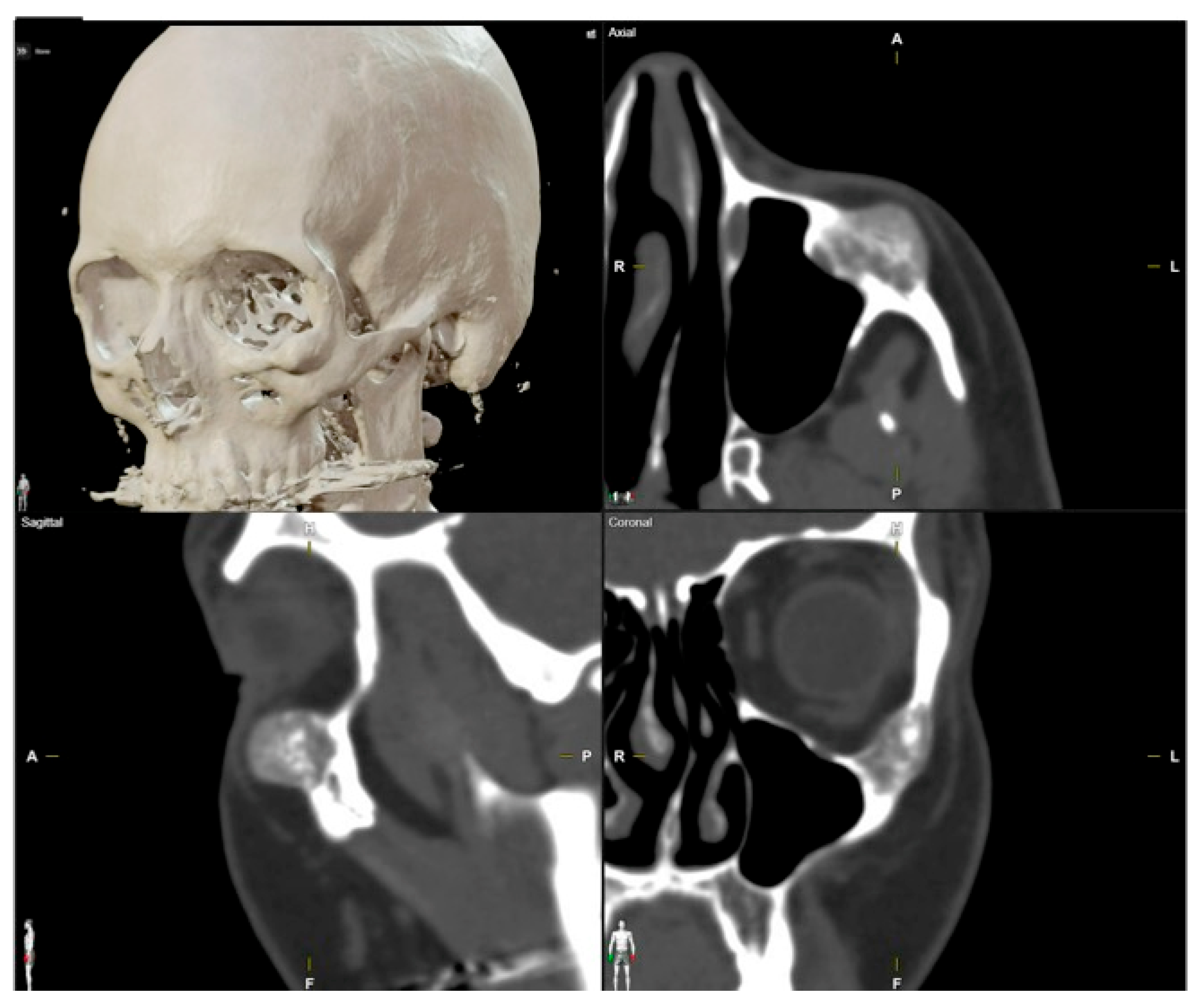
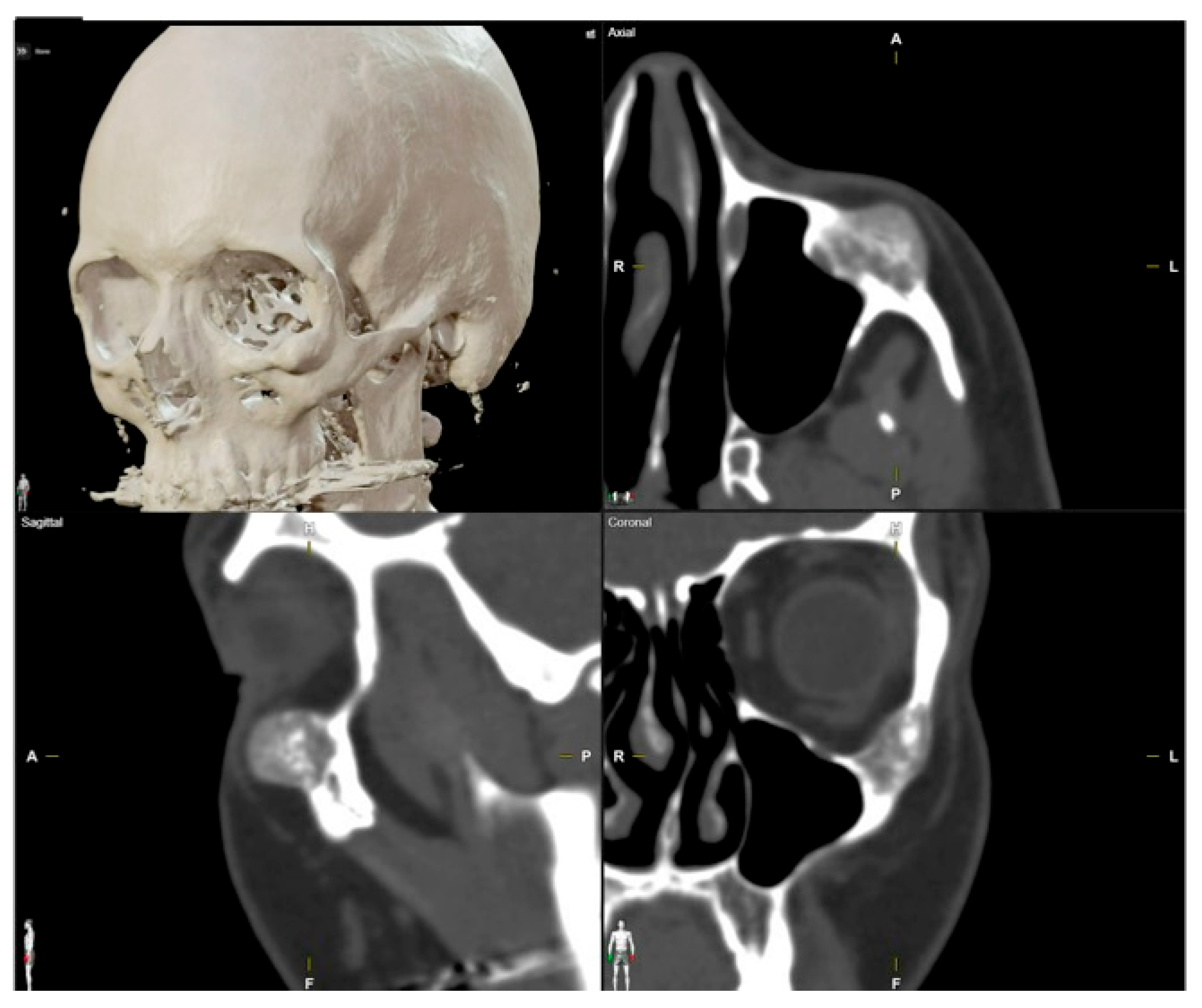
3. Results
4. Discussion
5. Conclusions
Author Contributions
Funding
Institutional Review Board Statement
Informed Consent Statement
Data Availability Statement
Acknowledgments
Conflicts of Interest
References
- Liberale, C.; Rozell-Shannon, L.; Moneghini, L.; Nocini, R.; Tombris, S.; Colletti, G. Stop calling me cavernous hemangioma! A literature review on misdiagnosed bony vascular anomalies. J. Investig. Surg. 2022, 15, 141–150. [Google Scholar] [CrossRef] [PubMed]
- Mulliken, J.B.; Glowacki, J.; Mulliken, J.B.; Glowacki, J. Hemangiomas and vascular malformations in infants and children: A classification based on endothelial characteristics. Plast. Reconstr. Surg. 1982, 69, 412–422. [Google Scholar] [CrossRef] [PubMed]
- Behr, G.G.; Johnson, C.J. Vascular anomalies: Hemangiomas and beyond- Part I, fast-flow lesions. Am. J. Roentgenol. AJR 2013, 200, 414–422. [Google Scholar] [CrossRef]
- Wassef, M.; Blei, F.; Adams, D.; Alomari, A.; Baselga, E.; Berestein, A.; Burrows, P.; Frieden, I.J.; Garzon, M.C.; Lopez-Gutierrez, J.C.; et al. Vascular anomalies classification: Recommendations from the international society for the study of vascular anomalies. Pediatrics 2015, 136, e203–e214. [Google Scholar] [CrossRef]
- Kadlub, N.; Dainese, L.; Coulomb-L’Hermine, A.; Galmiche, L.; Soupre, V.; Ducou Lepointe, H.; Vazquez, M.P.; Picard, A. Intraosseous haemangioma: Semantic and medical confusion. Int. J. Oral Maxillofac. Surg. 2015, 44, 718–724. [Google Scholar] [CrossRef]
- Defazio, M.V.; Kassira, W.; Camison, L.; Meshkov, L.; Robinson, P.G.; Kawamoto, H.K.; Thaller, S.R. Intraosseous venous malformations of the zygoma: Clarification of misconceptions regarding diagnosis and management. Ann. Plast. Surg. 2014, 72, 323–327. [Google Scholar] [CrossRef] [PubMed]
- Colletti, G.; Frigerio, A.; Giovanditto, F.; Bigliogli, F.; Chiapasco, M.; Grimmer, J. Surgical treatment of vascular malformations of the facial bones. J. Oral Maxillofac. Surg. 2014, 72, 1326.e1–1326.e18. [Google Scholar] [CrossRef]
- Valentini, V.; Nicolai, G.; Loré, B.; Aboh, I.V. Intraosseous hemangiomas. J. Craniofac. Surg. 2008, 19, 1459–1464. [Google Scholar] [CrossRef] [PubMed]
- Powers, D.B.; Fisher, E.; Erdmann, D. Zygomatic Intraosseous Hemangioma: Case Report and Literature Review. Craniomaxillofac. Trauma Reconstr. 2017, 10, 1–10. [Google Scholar] [CrossRef]
- Yu, M.S.; Kim, H.C.; Jang, Y.J. Removal of a nasal bone intraosseous venous malformation and primary reconstruction of the surgical defect using open rhinoplasty. Int. J. Oral Maxillofac. Surg. 2010, 39, 394–396. [Google Scholar] [CrossRef]
- Park, B.H.; Hwang, E.; Kim, C.H. Primary intraosseous hemangioma in the frontal bone. Arch. Plast. Surg. 2013, 40, 283–285. [Google Scholar] [CrossRef] [PubMed]
- Brandner, J.S.; Rawal, Y.B.; Kim, L.J.; Dillon, J.K. Intraosseous Hemangioma of the Frontal Bone. Report of a Case and Review of the Literature. J. Oral Maxillofac. Surg. 2018, 76, 799–805. [Google Scholar] [CrossRef] [PubMed]
- Sweet, C.; Silbergleit, R.; Mehta, B. Primary intraosseous hemangioma of the orbit: CT and MR appearance. Am. J. Neuroradiol. 1997, 18, 379–381. [Google Scholar] [PubMed]
- Marshak, G. Hemangioma of the zygomatic bone. Arch. Otolaryngol. 1980, 106, 581–582. [Google Scholar] [CrossRef] [PubMed]
- Moore, S.L.; Chun, J.K.; Mitre, S.A.; Som, P.M. Intraosseous hemangioma of the zygoma: CT and MR findings. Am. J. Neuroradiol. 2001, 22, 1383–1385. [Google Scholar] [PubMed]
- Zucker, J.J.; Levine, M.R.; Chu, A. Primary intraosseous hemangioma of the orbit. Report of a case and review of literature. Ophthal Plast. Reconstr. Surg. 1989, 5, 247–255. [Google Scholar] [CrossRef]
- Relf, S.J.; Bartley, G.B.; Unni, K.K. Primary orbital intraosseous hemangioma. Ophthalmology 1991, 98, 541–546. [Google Scholar] [CrossRef]
- Cheng, N.C.; Lai, D.M.; Hsie, M.H.; Liao, S.L.; Chen, Y.B. Intraosseous hemangiomas of the facial bone. Plast. Reconstr. Surg. 2006, 117, 2366–2372. [Google Scholar] [CrossRef]
- Temerek, A.T.; Ali, S.; Shehab, M.F. Computer guided resection and reconstruction of intra-osseous zygomatic hemangioma: Case report and systematic review of literature. Int. J. Surg. Case Rep. 2020, 66, 240–256. [Google Scholar] [CrossRef]
- Taylan, G.; Yildirim, S.; Gideroğlu, K.; Aköz, T. Conservative approach in a rare case of intrazygomatic hemangioma. Plast. Reconstr. Surg. 2003, 112, 1490–1492. [Google Scholar] [CrossRef]
- Dereci, O.; Acikalin, M.F.; Ay, S. Unusual intraosseous capillary hemangioma of the mandible. Eur. J. Dent. 2015, 9, 438–441. [Google Scholar] [CrossRef] [PubMed][Green Version]
- Gologorsky, Y.; Shivastava, R.K.; Panov, F.; Mascitelli, J.; Del Signore, A.; Govindarajj, S.; Smethurst, M.; Bronster, D.J. Primary intraosseous cavernous hemangioma of the clivus: Case report and review of the literature. J. Neurol. Surg. Rep. 2013, 74, 17–22. [Google Scholar] [CrossRef] [PubMed]
- Hirai, S.; Saigusa, K. Intraosseous cystic cavernous angioma with occipital skull osteolysis. Interdiscip. Neurosurg. Adv. Tech. Case Manag. 2014, 1, 53–55. [Google Scholar] [CrossRef][Green Version]
- Perugini, M.; Renzi, G.; Gasparini, G.; Cerulli, G.; Becelli, R. Intraosseous hemangioma of the maxillofacial district: Clinical analysisi and surgical treatment in 10 consecutive patients. J. Craniofac. Surg. 2004, 15, 980–985. [Google Scholar] [CrossRef] [PubMed]
- Gonçalves, F.G.; Ovalle-Rojas, J.P.; Hanagandi, P.B.; Valente, R.; Torres, C.I.; Chankwosky, J.; DelCardio-O’Donovan, R. Case report: Periorbital intraosseous hemanggiomas. Indian J. Radiol. Imaging 2011, 21, 287–291. [Google Scholar] [CrossRef] [PubMed]
- Myadam, S.; Kishan, V.; Deepa, A.; Puja, K.S.; Rani, K.D. Intraosseous hemangioma of the zygomatic bone: A rare site for hemangioma. Med. J. Armed Forces India 2016, 72, 85–87. [Google Scholar] [CrossRef] [PubMed][Green Version]
- Cuesta Gil, M.; Navarro-Vila, C. Intraosseous hemangioma of the zygomatic bone. A case report. Int. J. Oral Maxillofac. Surg. 1992, 21, 287–291. [Google Scholar] [CrossRef] [PubMed]
- Torrres-Carranza, A.; García-Perla, A.; Infante-Cossío, P.; Acosta-Feria, M.; Belmonte-Caro, R.; Gutiérrez-Pérez, J.L. Hemangioma intraóseo primario de la órbita: A propósito de dos casos. Neurocirugía 2007, 18, 320–325. [Google Scholar] [CrossRef][Green Version]
- Magde, S.N.; Simon, S.; Abidin, Z.; Ghabrial, R.; Davis, G.; McNab, A.; Selva, D. Primary orbital intraosseous hemangioma. Ophthal Plast. Reconstr. Surg. 2009, 25, 37–41. [Google Scholar]
- Marcinow, A.M.; Provenzano, M.J.; Gurgel, R.K.; Chang, K.E. Primary intraosseous cavernous hemangioma of the zygoma: A case report and literature review. Ear Nose Throat J. 2012, 91, 210–215. [Google Scholar] [CrossRef]
- Choi, J.S.; Bae, Y.C.; Kang, G.B.; Choi, K.U. Intraosseous hemangioma of the orbit. Arch. Craniofac. Surg. 2018, 19, 68–71. [Google Scholar] [CrossRef] [PubMed]
- Akther, A.; El Tecle, N.; Alexopoulos, G.; Espinoza, G.; Coppens, J. Intraosseous Orbital Cavernous Hemangioma with Frontal Extension and Dural Involvement. Cureus 2019, 11, e4823. [Google Scholar] [CrossRef]
- Salvador, E.; Hilario-Barrio, A.; Martín-Medina, P.; Koren-Fernandez, L.; Ramos-Gonzalez, A.; Martinez de Aragón, A. Facial Intraosseous Haemangioma. Eurorad 2019, Case 16421. [Google Scholar] [CrossRef]
- Colletti, G.; Lerardi, A.M. Understanding venous malformations of the head and neck: A comprehensive insight. Med. Oncol. 2017, 34, 42. [Google Scholar] [CrossRef]
- Fernández, L.R.; Luberti, R.; Dominguez, F.V. Aspectos radiográficos de los hemangiomas óseos maxilo-faciales. Revisión bibliográfica y presentación de dos casos. Med. Oral 2003, 8, 166–177. [Google Scholar]
- Koybasi, S.; Saydam, L.; Kutluay, L. Intraosseous hemangioma of the zygoma. Am. J. Otolaryngol. 2003, 24, 194–197. [Google Scholar] [CrossRef] [PubMed]
- Zhu, C.; Zhu, H.G.; Zhang, Z.Y.; Wang, L.Z.; Zheng, J.W.; Ye, W.M.; He, Y.; Wang, Y.A. Intraosseous venous malformations of the facial bone: A retrospective study in 11 patients. Phlebology 2013, 28, 257–263. [Google Scholar] [CrossRef]
- Taschner, C.A.; Brendeeke, S.; Campos, M.; Urbach, H.; Lützen, N.; Prinz, M. Freiburg Neuropathology case conference: Periorbital bone lesion causing proptosis in a 31-year-old patient. Clin. Neuroradiol. 2014, 24, 399–403. [Google Scholar] [CrossRef]
- Seeff, J.; Blacksin, M.F.; Lyons, M.; Benevenia, J. A case report of intracortical hemangioma. A forgotten intracortical lesion. Clin. Orthop. Relat. Res. 1994, 302, 235–238. [Google Scholar] [CrossRef]
- Park, S.-M.; Lee, J.-H. Recurrence of intraosseous cavernous hemangioma in the maxilla: A case report. Oral Maxillofac. Surg. Cases 2020, 6, 100147. [Google Scholar] [CrossRef]
- Azarmehr, I.; Stokbro, K.; Bell, R.B.; Thygesen, T. Surgical navigation: A systematic review of indications, treatments, and outcomes in oral and maxillofacial surgery. J. Oral Maxillofac. Surg. 2017, 75, 1987–2005. [Google Scholar] [CrossRef] [PubMed]
- Schramm, A.; Suárez-Cunqueiro, M.M.; Barth, E.L.; Essig, H.; Bormann, K.H.; Kokemueller, H.; Rücker, M.; Gellrich, N.C. Computer-Assisted Navigation in craniomaxillofacial tumors. J. Craniofac. Surg. 2008, 19, 1067–1074. [Google Scholar] [CrossRef]
- Schramm, A.; Suarez-Cunqueiro, M.M.; Rücker, M.; Kokemueller, H.; Bormann, K.H.; Metzger, M.C.; Gellrich, N.C. Computer-assisted therapy in orbital and mid-facial reconstructions. Int. J. Med. Robot. Comput. Assist. Surg. 2009, 5, 111–124. [Google Scholar] [CrossRef]
- Heiland, M.; Habermann, C.R.; Schmelzle, R. Indications and limitations of intraoperative navigation in maxillofacial surgery. J. Oral Maxillofac. Surg. 2004, 62, 1059–1063. [Google Scholar] [CrossRef]
- Rana, M.; Essig, H.; Eckardt, A.M.; Tavassol, F.; Ruecker, M.; Schramm, A.; Gellrich, N.C. Advances and innovations in Computer-Assisted head and neck oncologic surgery. J. Craniofac. Surg. 2012, 23, 272–278. [Google Scholar] [CrossRef]
- Markiewicz, M.R.; Dierks, E.J.; Bell, R.B. Does intraoperative navigation restore orbital dimensions in traumatic and post-ablative defects? J. Cranio-Maxillofac. Surg. 2012, 40, 142–148. [Google Scholar] [CrossRef] [PubMed]
- Yu, H.; Shen, S.G.; Wang, X.; Zhang, L.; Zhang, S. The indication and application of computer-assisted navigation in oral and maxillofacial surgery- Shanghai’s experience based on 104 cases. J. Craniomaxillofac. Surg. 2013, 41, 770–774. [Google Scholar] [CrossRef]
- Bianchi, A.; Badiali, G.; Piersanti, L.; Marchetti, C. Computer-Assisted Piezoelectric Surgery: A navigated approach toward performance of craniomaxillofacial osteotomies. J. Craniofac. Surg. 2015, 26, 867–872. [Google Scholar] [CrossRef]
- Dean, A.; Heredero, S.; Solivera, J.; Sanjuan, A.; Alamillos, F.J. Computer-assisted and navigated piezoelectric surgery: A new technology to improve precision and surgical safety in craniomaxillofacial surgery. Laryngoscope Investig. Otolaryngol. 2022, 7, 684–691. [Google Scholar] [CrossRef]
- Dean, A.; Alamillos, F.J.; Heredero, S.; Solivera, J. A novel technique to secure the skull post in a thin skull allowing for surgical navigation in infants. J. Oral Maxillofac. Surg. 2020, 78, 284.e1–284.e4. [Google Scholar] [CrossRef]
- Antúnez-Conde, R.; Navarro-Cuellar, C.; Salmerón-Escobar, J.I.; Díez-Montiel, A.; Navarro-Cuellar, I.; Dell’Aversana-Orabona, G.; Del Castillo-Pardo de Vera, J.L.; Navarro-Vila, C.; Cebrián-Carretero, J.L. Intraosseous venous malformation of the zygomatic bone: Comparison between virtual surgical planning and standard surgery with review of the literature. J. Clin. Med. 2021, 10, 4565. [Google Scholar] [CrossRef] [PubMed]
- Rios-Vicil, C.I.; Barbery, D.; Dang, P.; Jean, W.C. Single-stage cranioplasty with customized polyetheretherketone implant after tumor resection using virtual reality and augmented reality for precise implant customization and placement: Illustrative case. J. Neurosurg. Case Lessons 2022, 3, 2255. [Google Scholar] [CrossRef]
- Pinna, V.; Clauser, L.; Marchi, M.; Castellan, L. Haemangioma of the zygoma: Case report. Neuroradiology 1997, 39, 216–218. [Google Scholar] [CrossRef] [PubMed]
- Zins, J.E.; Türegün, M.C.; Hosn, W.; Bauer, T.W. Reconstruction of intraosseous hemangiomas of the midface using split calvarial bone grafts. Plast. Reconstr. Surg. 2006, 117, 948–953. [Google Scholar] [CrossRef]
- Bocchialini, G.; Castellani, A.; Bozzola, A.; Rossi, A. A Hemangioma of the Zygomatic Bone: Management Ensuring Good Reconstructive and Aesthetic Results. Craniomaxillofac. Trauma Reconstr. 2017, 10, 332–336. [Google Scholar] [CrossRef] [PubMed]
- Arribas-Garcia, I.; Alcala-Galiano, A.; Fernandez Garcia, A.; Montalvo, J.J. Zygomatic intraosseous haemangioma: Reconstruction with an alloplastic prosthesis based on a 3-D model. J. Plast. Reconstr. Aesthet. Surg. 2010, 63, e451–e453. [Google Scholar] [CrossRef] [PubMed]
- Yashin, K.S.; Ermolaev, A.Y.; Ostapyuk, M.V.; Kutlaeva, M.A.; Rasteryeaeva, M.V.; Mlyaykh, S.G.; Medyanik, I.A. Case report: Simultaneous resection of bone tumor and CAD/CAM titanium cranioplasty in fronto-orbital region. Front. Surg. 2018, 8, 718725. [Google Scholar] [CrossRef]
- Jeong, W.S.; Kim, Y.C.; Min, J.C.; Park, H.J.; Lee, E.J.; Shim, J.H.; Choi, J.W. Clinical application of 3D-printed patient-specific polycaprolactone/beta tricalcicum phosphate scaffold for complex zygomatico-maxillary defects. Polymers 2022, 14, 740. [Google Scholar] [CrossRef] [PubMed]
- Metzger, M.C.; Hohlweg-Majert, B.; Schön, R.; Teschner, M.; Gellrich, N.C.; Schmelzeisen, R.; Gutwald, R. Verification of clinical precision after computer-aided reconstruction in craniomaxillofacial surgery. Oral Surg. Oral Med. Oral Pathol. Oral Radiol. Endod. 2007, 104, e1–e10. [Google Scholar] [CrossRef]
- Gerbino, G.; Zavatero, E.; Zenga, F.; Bianchi, F.A.; Garnizo-Demo, P.; Berrone, S. Primary and secondary reconstruction of complex craniofacial defects using polyetherketone custom-made implants. J. Craniomaxillofac. 2015, 43, 1356–1363. [Google Scholar] [CrossRef]
- Cárdenas-Serres, C.; Almeida-Parra, F.; Simón-Flors, A.M.; de Leyva-Moreno, P.; Ranz-Colio, Á.; Ley-Urzaiz, L.; Acero-Sanz, J. Custom CAD/CAM Peek Implants for complex orbitocranial reconstruction: Our experience with 15 patients. J. Clin. Med. 2024, 13, 695. [Google Scholar] [CrossRef] [PubMed]
- Kim, M.M.; Boahene, K.D.O.; Byrne, P.J. Use of Customized Polyetheretherketone (PEEK) Implants in the Reconstruction of Complex Maxillofacial Defects. Arch. Fac. Plast. Surg. 2009, 11, 53–57. [Google Scholar] [CrossRef] [PubMed]


















| Case | Age/Sex | Side/Size | Pain | Time of Evolution | Ocular Symptoms | History of Trauma | Imaging | Localization | Histopathology | GLUT-1 | Treatment | Virtual Planning | Surgical Navigation | Type of Surgical Navigation | Surgical Approach | Surgical Guides | Surgical Device (Bone Resection) | Bleeding | Reconstruction | Follow-Up/Recurrence |
|---|---|---|---|---|---|---|---|---|---|---|---|---|---|---|---|---|---|---|---|---|
| 1 | 53/F | L/25 mm | Y | 4 mo | Dystopia | N | CT, MRI | Supraorbital rim, orbital roof | Intraosseous venous malformation | - | Resection + reconstruction | Y | Y | 1st, 2nd, 3rd | Coronal | Y | Piezoelectric device | N | PEEK prosthesis | 7 y/N |
| 2 | 54/F | R/33 mm | Y | 9 y | N | Y | CT, MRI | Frontal bone, orbital roof | Intraosseous venous malformation | - | Resection + reconstruction | Y | Y | 1st, 2nd, 3rd | Coronal | Y | Piezoelectric device | N | PEEK prosthesis | 6 y/N |
| 3 | 36/F | L/19 mm | Y | 6 mo | N | N | CT, MRI | Zygoma | Arteriovenous malformation | - | Resection + reconstruction | Y | Y | 1st, 2nd, 3rd | Transconjunctival + blepharoplasty + maxillary vestibular | Y | Piezoelectric device | N | PEEK prosthesis | 5 y/N |
| 4 | 47/M | L/30 mm | N | 2 y | N | N | CT | Zygoma | Intraosseous venous malformation | - | Resection + reconstruction | Y | Y | 1st, 2nd, 3rd | Transconjunctival + lateral canthotomy + maxillary vestibular | Y | Piezoelectric device | N | PEEK prosthesis | 6 y/N |
Disclaimer/Publisher’s Note: The statements, opinions and data contained in all publications are solely those of the individual author(s) and contributor(s) and not of MDPI and/or the editor(s). MDPI and/or the editor(s) disclaim responsibility for any injury to people or property resulting from any ideas, methods, instructions or products referred to in the content. |
© 2024 by the authors. Licensee MDPI, Basel, Switzerland. This article is an open access article distributed under the terms and conditions of the Creative Commons Attribution (CC BY) license (https://creativecommons.org/licenses/by/4.0/).
Share and Cite
Dean, A.; Estévez, O.; Centella, C.; Sanjuan-Sanjuan, A.; Sánchez-Frías, M.E.; Alamillos, F.J. Surgical Navigation and CAD-CAM-Designed PEEK Prosthesis for the Surgical Treatment of Facial Intraosseous Vascular Anomalies. J. Clin. Med. 2024, 13, 4602. https://doi.org/10.3390/jcm13164602
Dean A, Estévez O, Centella C, Sanjuan-Sanjuan A, Sánchez-Frías ME, Alamillos FJ. Surgical Navigation and CAD-CAM-Designed PEEK Prosthesis for the Surgical Treatment of Facial Intraosseous Vascular Anomalies. Journal of Clinical Medicine. 2024; 13(16):4602. https://doi.org/10.3390/jcm13164602
Chicago/Turabian StyleDean, Alicia, Orlando Estévez, Concepción Centella, Alba Sanjuan-Sanjuan, Marina E. Sánchez-Frías, and Francisco J. Alamillos. 2024. "Surgical Navigation and CAD-CAM-Designed PEEK Prosthesis for the Surgical Treatment of Facial Intraosseous Vascular Anomalies" Journal of Clinical Medicine 13, no. 16: 4602. https://doi.org/10.3390/jcm13164602
APA StyleDean, A., Estévez, O., Centella, C., Sanjuan-Sanjuan, A., Sánchez-Frías, M. E., & Alamillos, F. J. (2024). Surgical Navigation and CAD-CAM-Designed PEEK Prosthesis for the Surgical Treatment of Facial Intraosseous Vascular Anomalies. Journal of Clinical Medicine, 13(16), 4602. https://doi.org/10.3390/jcm13164602

