New Therapeutic Advances in the Management of Tricuspid Valve Regurgitation
Abstract
1. Introduction
2. Anatomical Considerations for TV
3. Classification of TR
- Carpentier type I: Normal leaflet motion with predominant tricuspid annulus (TA) dilation (atrial secondary TR).
- Carpentier type IIIb: Leaflet tethering with restricted systolic motion (ventricular secondary TR).
4. Patient Selection
5. Transcatheter Tricuspid Valve Therapies
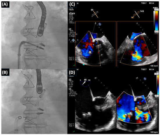
5.1. Leaflet Approximation Devices
5.1.1. Triclip
5.1.2. Pascal
5.1.3. Mistral
5.2. Annuloplasty Devices
- The DaVingi TR system is a two-step deployed device using a 22 Fr sheath to insert an annuloplasty ring into the jugular vein and put it on the annulus from the atrial side. Anchors secure this to the annulus by being concurrently deployed [95].
- Transatrial intrapericardial tricuspid annuloplasty is a method of repairing the TV by inserting a reusable annuloplasty apparatus into the pericardial cavity through a puncture in the right atrial branch [96].
- The Minimally Invasive Annuloplasty (MIA) approach employs compact, polymeric hooks and a thermoplastic polymer to offer compression to the hooks [86].
- PASTA, which stands for pledget-assisted suture tricuspid annuloplasty, is a procedure that includes using pledgets to reinforce sutures in the TV. In this method, two pledged strands are passed through both the septal and lateral annulus, with each strand having two incisions. This approach is used to optimize the strength and is a distinguishing feature of PASTA [97].
- Transcatheter Alfieri stitch for tricuspid insufficiency (TASTI) refers to a medical procedure that is performed using a technique known as transapical leaflet traversal. This method involves the use of guidewires to pass through both the septal and lateral leaflets. Subsequently, the guidewires are captured and substituted with stitches that incorporate pledgets on the side of the RA [86].
- The K-Clip transjugular system employs an external divert sheath that is placed in the RA. An inner divert sheath carrying a clip is inserted via this outer sheath. The clip is placed into the annulus, running perpendicular to it, and positioned between the leaflets, while a catheter protects the RCA [98].
5.3. Coaptation Enhancement Devices (Spacers)
5.4. Transcatheter Tricuspid Valve Replacement (TTVR) Systems
- The EVOQUE device is a TF THV that is made out of bovine pericardium and consists of three leaflets. The appliance is reinforced by a nitinol skeleton consisting of nine anchors and is enclosed by a cloth skirt [99]. The TRISCEND study, through the 1-year follow-up, revealed that there was a 9.1% rate of death for all causes and a 10.2% rate of hospitalization for heart failure. Additionally, 97.6% of patients witnessed a substantial reduction in TR, while there was a noticeable increase in functional capabilities and quality of life outcomes [100].
- The LuX valve is a versatile delivery method comprising a bovine pericardial valve connected to a nitinol THV prosthesis. The device comprises an atrial disc, an interventricular septal anchor, and two clamps covered with expanded polymer [101].
- TriSol is a bovine pericardium-based prosthetic THV. The structure comprises a solitary leaflet and is connected to two commissures, enabling it to operate as a bicuspid device. The THV is connected to a thin, self-expanding cylindrical framework made of nitinol. The design has a narrow center and six arms that hold the THV in position by grasping it within the current leaflets and the surrounding walls [101].
- Intrepid is a circular apparatus that houses a TV constructed from bovine pericardium. The device is introduced into the human system either by a minor surgical cut in the thorax or via a vessel in the leg, using a catheter with a diameter of 35 French units [86].
- Additional TTVR systems are now undergoing preclinical trials, and First-in-Man investigations include TriCares (Aschheim, Germany, NCT05126030), VDyne (Maple Grove, Minnesota), and CardioValve (Yehuda, Israel, NCT03958773) [86]. The Cardiovalve system was tested in an early feasibility study with 20 individuals with high rates of technical success, an acceptable rate of adverse events, and improvement in TR [102,103].
- The TricValve is a TF device that consists of two self-expanding valves that are positioned in the inferior and superior vena cava [104].
- The Tricento is a TF device that has a self-expanding nitinol stent frame. The design of this stent structure is specially tailored to be elongated and span from the superior SVC to a position above the hepatic vein. The pericardial tissue THV, which consists of two grooves, is positioned in such a way that it faces the RA when it is deployed [105].
- Inferior caval valve implantation (CAVI) is a feasible and cost-effective procedure that involves placing a balloon-expandable valve in the transfemoral area, along with a self-expanding prosthesis in the IVC [106].
6. Current Limitations and Future Perspectives
7. Conclusions
Funding
Conflicts of Interest
References
- Itelman, E.; Vatury, O.; Kuperstein, R.; Ben-Zekry, S.; Hay, I.; Fefer, P.; Barbash, I.; Klempfner, R.; Segev, A.; Feinberg, M.; et al. The Association of Severe Tricuspid Regurgitation with Poor Survival Is Modified by Right Ventricular Pressure and Function: Insights from SHEBAHEART Big Data. J. Am. Soc. Echocardiogr. 2022, 35, 1028–1036. [Google Scholar] [CrossRef] [PubMed]
- Curio, J.; Beneduce, A.; Giannini, F. Transcatheter Mitral and Tricuspid Interventions-the Bigger Picture: Valvular Disease as Part of Heart Failure. Front. Cardiovasc. Med. 2023, 10, 1091309. [Google Scholar] [CrossRef] [PubMed]
- Unterhuber, M.; Kresoja, K.P.; Besler, C.; Rommel, K.P.; Orban, M.; von Roeder, M.; Braun, D.; Stolz, L.; Massberg, S.; Trebicka, J.; et al. Cardiac Output States in Patients with Severe Functional Tricuspid Regurgitation: Impact on Treatment Success and Prognosis. Eur. J. Heart Fail. 2021, 23, 1784–1794. [Google Scholar] [CrossRef] [PubMed]
- Dreyfus, J.; Flagiello, M.; Bazire, B.; Eggenspieler, F.; Viau, F.; Riant, E.; Mbaki, Y.; Bohbot, Y.; Eyharts, D.; Senage, T.; et al. Isolated Tricuspid Valve Surgery: Impact of Aetiology and Clinical Presentation on Outcomes. Eur. Heart J. 2020, 41, 4304–4317. [Google Scholar] [CrossRef] [PubMed]
- Alqahtani, F.; Berzingi, C.O.; Aljohani, S.; Hijazi, M.; Al-Hallak, A.; Alkhouli, M. Contemporary Trends in the Use and Outcomes of Surgical Treatment of Tricuspid Regurgitation. J. Am. Heart Assoc. 2017, 6, e007597. [Google Scholar] [CrossRef] [PubMed]
- Axtell, A.L.; Bhambhani, V.; Moonsamy, P.; Healy, E.W.; Picard, M.H.; Sundt, T.M.; Wasfy, J.H. Surgery Does Not Improve Survival in Patients with Isolated Severe Tricuspid Regurgitation. J. Am. Coll. Cardiol. 2019, 74, 715–725. [Google Scholar] [CrossRef] [PubMed]
- Anderson, R.H.; Loukas, M. The Importance of Attitudinally Appropriate Description of Cardiac Anatomy. Clin. Anat. 2009, 22, 47–51. [Google Scholar] [CrossRef] [PubMed]
- Praz, F.; Muraru, D.; Kreidel, F.; Lurz, P.; Hahn, R.T.; Delgado, V.; Senni, M.; Von Bardeleben, R.S.; Nickenig, G.; Hausleiter, J.; et al. Transcatheter Treatment for Tricuspid Valve Disease. EuroIntervention 2021, 17, 791–808. [Google Scholar] [CrossRef] [PubMed]
- Silver, M.D.; Lam, J.H.; Ranganathan, N.; Wigle, E.D. Morphology of the Human Tricuspid Valve. Circulation 1971, 43, 333–348. [Google Scholar] [CrossRef]
- Tretter, J.T.; Sarwark, A.E.; Anderson, R.H.; Spicer, D.E. Assessment of the Anatomical Variation to Be Found in the Normal Tricuspid Valve. Clin. Anat. 2016, 29, 399–407. [Google Scholar] [CrossRef]
- Hołda, M.K.; Zhingre Sanchez, J.D.; Bateman, M.G.; Iaizzo, P.A. Right Atrioventricular Valve Leaflet Morphology Redefined: Implications for Transcatheter Repair Procedures. JACC Cardiovasc. Interv. 2019, 12, 169–178. [Google Scholar] [CrossRef] [PubMed]
- Wafae, N.; Hayashi, H.; Gerola, L.R.; Vieira, M.C. Anatomical Study of the Human Tricuspid Valve. Surg. Radiol. Anat. 1990, 12, 37–41. [Google Scholar] [CrossRef] [PubMed]
- Xanthos, T.; Dalivigkas, I.; Ekmektzoglou, K.A. Anatomic Variations of the Cardiac Valves and Papillary Muscles of the Right Heart. Ital. J. Anat. Embryol. 2011, 116, 111–126. [Google Scholar] [PubMed]
- Hahn, R.T. State-of-the-Art Review of Echocardiographic Imaging in the Evaluation and Treatment of Functional Tricuspid Regurgitation. Circ. Cardiovasc. Imaging 2016, 9, e005332. [Google Scholar] [CrossRef] [PubMed]
- Kitamura, M.; Kresoja, K.P.; Besler, C.; Leontyev, S.; Kiefer, P.; Rommel, K.P.; Otto, W.; Forner, A.F.; Ender, J.; Holzhey, D.M.; et al. Impact of Tricuspid Valve Morphology on Clinical Outcomes After Transcatheter Edge-to-Edge Repair. JACC Cardiovasc. Interv. 2021, 14, 1616–1618. [Google Scholar] [CrossRef] [PubMed]
- Hahn, R.T.; Weckbach, L.T.; Noack, T.; Hamid, N.; Kitamura, M.; Bae, R.; Lurz, P.; Kodali, S.K.; Sorajja, P.; Hausleiter, J.; et al. Proposal for a Standard Echocardiographic Tricuspid Valve Nomenclature. JACC Cardiovasc. Imaging 2021, 14, 1299–1305. [Google Scholar] [CrossRef] [PubMed]
- Sugiura, A.; Tanaka, T.; Kavsur, R.; Öztürk, C.; Vogelhuber, J.; Wilde, N.; Becher, M.U.; Zimmer, S.; Nickenig, G.; Weber, M. Leaflet Configuration and Residual Tricuspid Regurgitation After Transcatheter Edge-to-Edge Tricuspid Repair. JACC Cardiovasc. Interv. 2021, 14, 2260–2270. [Google Scholar] [CrossRef] [PubMed]
- Hahn, R.T.; Badano, L.P.; Bartko, P.E.; Muraru, D.; Maisano, F.; Zamorano, J.L.; Donal, E. Tricuspid Regurgitation: Recent Advances in Understanding Pathophysiology, Severity Grading and Outcome. Eur. Heart J. Cardiovasc. Imaging 2022, 23, 913–929. [Google Scholar] [CrossRef]
- Muraru, D.; Guta, A.C.; Ochoa-Jimenez, R.C.; Bartos, D.; Aruta, P.; Mihaila, S.; Popescu, B.A.; Iliceto, S.; Basso, C.; Badano, L.P. Functional Regurgitation of Atrioventricular Valves and Atrial Fibrillation: An Elusive Pathophysiological Link Deserving Further Attention. J. Am. Soc. Echocardiogr. 2020, 33, 42–53. [Google Scholar] [CrossRef]
- Guta, A.C.; Badano, L.P.; Tomaselli, M.; Mihalcea, D.; Bartos, D.; Parati, G.; Muraru, D. The Pathophysiological Link between Right Atrial Remodeling and Functional Tricuspid Regurgitation in Patients with Atrial Fibrillation: A Three-Dimensional Echocardiography Study. J. Am. Soc. Echocardiogr. 2021, 34, 585–594.e1. [Google Scholar] [CrossRef]
- Florescu, D.; Muraru, D.; Florescu, C.; Volpato, V.; Caravita, S.; Perger, E.; Bălșeanu, T.; Parati, G.; Badano, L. Right Heart Chambers Geometry and Function in Patients with the Atrial and the Ventricular Phenotypes of Functional Tricuspid Regurgitation. Eur. Heart J.-Cardiovasc. Imaging 2022, 23, 930–940. [Google Scholar] [CrossRef] [PubMed]
- Utsunomiya, H.; Itabashi, Y.; Kobayashi, S.; Rader, F.; Siegel, R.J.; Shiota, T. Clinical Impact of Size, Shape, and Orientation of the Tricuspid Annulus in Tricuspid Regurgitation as Assessed by Three-Dimensional Echocardiography. J. Am. Soc. Echocardiogr. 2020, 33, 191–200.e1. [Google Scholar] [CrossRef] [PubMed]
- Otto, S.; Velichkov, M.; Hamadanchi, A.; Schulze, P.C.; Moebius-Winkler, S. The Impact of Tricuspid Annular Geometry on Outcome after Percutaneous Edge-to-Edge Repair for Severe Tricuspid Regurgitation. Cardiol. J. 2021, 28, 579–588. [Google Scholar] [CrossRef]
- Muraru, D.; Bidviene, J.; Cavalli, G.; Cavaliere, A.; Badano, L.P. Tricuspid Regurgitation in a Patient with Ascending Aorta Aneurysm. Eur. Heart J. Cardiovasc. Imaging 2016, 17, 1435. [Google Scholar] [CrossRef]
- Prihadi, E.A.; Delgado, V.; Leon, M.B.; Enriquez-Sarano, M.; Topilsky, Y.; Bax, J.J. Morphologic Types of Tricuspid Regurgitation: Characteristics and Prognostic Implications. JACC Cardiovasc. Imaging 2019, 12, 491–499. [Google Scholar] [CrossRef] [PubMed]
- Van Rosendael, P.J.; Kamperidis, V.; Kong, W.K.F.; Van Rosendael, A.R.; Van Der Kley, F.; Marsan, N.A.; Delgado, V.; Bax, J.J. Computed Tomography for Planning Transcatheter Tricuspid Valve Therapy. Eur. Heart J. 2017, 38, 665–674. [Google Scholar] [CrossRef]
- Addetia, K.; Muraru, D.; Veronesi, F.; Jenei, C.; Cavalli, G.; Besser, S.A.; Mor-Avi, V.; Lang, R.M.; Badano, L.P. 3-Dimensional Echocardiographic Analysis of the Tricuspid Annulus Provides New Insights into Tricuspid Valve Geometry and Dynamics. JACC Cardiovasc. Imaging 2019, 12, 401–412. [Google Scholar] [CrossRef]
- Ton-Nu, T.T.; Levine, R.A.; Handschumacher, M.D.; Dorer, D.J.; Yosefy, C.; Fan, D.; Hua, L.; Jiang, L.; Hung, J. Geometric Determinants of Functional Tricuspid Regurgitation: Insights from 3-Dimensional Echocardiography. Circulation 2006, 114, 143–149. [Google Scholar] [CrossRef]
- Hirasawa, K.; Fortuni, F.; van Rosendael, P.J.; Ajmone Marsan, N.; Bax, J.J.; Delgado, V. Association between Computed Tomography-Derived Tricuspid Annular Dimensions and Prognosis: Insights from Whole-Beat Computed Tomography Assessment. Eur. Heart J.-Cardiovasc. Imaging 2022, 23, 1090–1097. [Google Scholar] [CrossRef]
- Naser, J.A.; Kucuk, H.O.; Ciobanu, A.O.; Jouni, H.; Oguz, D.; Thaden, J.J.; Pislaru, C.; Pellikka, P.A.; Foley, T.A.; Eleid, M.F.; et al. Atrial Fibrillation Is Associated with Large Beat-to-Beat Variability in Mitral and Tricuspid Annulus Dimensions. Eur. Heart J.-Cardiovasc. Imaging 2021, 22, 1362–1373. [Google Scholar]
- Vahanian, A.; Beyersdorf, F.; Praz, F.; Milojevic, M.; Baldus, S.; Bauersachs, J.; Capodanno, D.; Conradi, L.; De Bonis, M.; De Paulis, R.; et al. 2021 ESC/EACTS Guidelines for the management of valvular heart disease. Eur. Heart J. 2021, 43, 561–632. [Google Scholar] [CrossRef]
- Antunes, M.J.; Rodríguez-Palomares, J.; Prendergast, B.; De Bonis, M.; Rosenhek, R.; Al-Attar, N.; Barili, F.; Casselman, F.; Folliguet, T.; Iung, B.; et al. Management of Tricuspid Valve Regurgitation: Position Statement of the European Society of Cardiology Working Groups of Cardiovascular Surgery and Valvular Heart Disease. Eur. J. Cardiothorac. Surg. 2017, 52, 1022–1030. [Google Scholar] [CrossRef] [PubMed]
- Topilsky, Y.; Nkomo, V.T.; Vatury, O.; Michelena, H.I.; Letourneau, T.; Suri, R.M.; Pislaru, S.; Park, S.; Mahoney, D.W.; Biner, S.; et al. Clinical Outcome of Isolated Tricuspid Regurgitation. JACC Cardiovasc. Imaging 2014, 7, 1185–1194. [Google Scholar] [CrossRef]
- Santoro, C.; Marco Del Castillo, A.; González-Gómez, A.; Monteagudo, J.M.; Hinojar, R.; Lorente, A.; Abellás, M.; Vieitez, J.M.; Garcia Martìn, A.; Casas Rojo, E.; et al. Mid-Term Outcome of Severe Tricuspid Regurgitation: Are There Any Differences According to Mechanism and Severity? Eur. Heart J. Cardiovasc. Imaging 2019, 20, 1035–1042. [Google Scholar] [CrossRef]
- Taramasso, M.; Gavazzoni, M.; Pozzoli, A.; Dreyfus, G.D.; Bolling, S.F.; George, I.; Kapos, I.; Tanner, F.C.; Zuber, M.; Maisano, F.; et al. Tricuspid Regurgitation: Predicting the Need for Intervention, Procedural Success, and Recurrence of Disease. JACC Cardiovasc. Imaging 2019, 12, 605–621. [Google Scholar] [CrossRef] [PubMed]
- Muraru, D.; Addetia, K.; Guta, A.C.; Ochoa-Jimenez, R.C.; Genovese, D.; Veronesi, F.; Basso, C.; Iliceto, S.; Badano, L.P.; Lang, R.M. Right Atrial Volume Is a Major Determinant of Tricuspid Annulus Area in Functional Tricuspid Regurgitation: A Three-Dimensional Echocardiographic Study. Eur. Heart J. Cardiovasc. Imaging 2021, 22, 660–669. [Google Scholar] [CrossRef]
- Otto, C.M.; Nishimura, R.A.; Bonow, R.O.; Carabello, B.A.; Erwin, J.P.; Gentile, F.; Jneid, H.; Krieger, E.V.; Mack, M.; McLeod, C.; et al. 2020 ACC/AHA Guideline for the Management of Patients with Valvular Heart Disease: Executive Summary: A Report of the American College of Cardiology/American Heart Association Joint Committee on Clinical Practice Guidelines. J. Am. Coll. Cardiol. 2021, 77, 450–500. [Google Scholar] [CrossRef]
- Chen, E.; L’official, G.; Guérin, A.; Dreyfus, J.; Lavie-Badie, Y.; Sportouch, C.; Eicher, J.C.; Maréchaux, S.; Le Tourneau, T.; Oger, E.; et al. Natural History of Functional Tricuspid Regurgitation: Impact of Cardiac Output. Eur. Heart J. Cardiovasc. Imaging 2021, 22, 878–885. [Google Scholar] [CrossRef]
- Hell, M.M.; Emrich, T.; Kreidel, F.; Kreitner, K.F.; Schoepf, U.J.; Münzel, T.; Von Bardeleben, R.S. Computed Tomography Imaging Needs for Novel Transcatheter Tricuspid Valve Repair and Replacement Therapies. Eur. Heart J. Cardiovasc. Imaging 2021, 22, 601–610. [Google Scholar] [CrossRef] [PubMed]
- Muraru, D.; Caravita, S.; Guta, A.C.; Mihalcea, D.; Branzi, G.; Parati, G.; Badano, L.P. Functional Tricuspid Regurgitation and Atrial Fibrillation: Which Comes First, the Chicken or the Egg? Case 2020, 4, 458–463. [Google Scholar] [CrossRef]
- Anvardeen, K.; Rao, R.; Hazra, S.; Hay, K.; Dai, H.; Stoyanov, N.; Birnie, D.; Dwivedi, G.; Chan, K.L. Prevalence and Significance of Tricuspid Regurgitation Post-Endocardial Lead Placement. JACC Cardiovasc. Imaging 2019, 12, 562–564. [Google Scholar] [CrossRef] [PubMed]
- Prihadi, E.A.; Van Der Bijl, P.; Gursoy, E.; Abou, R.; Mara Vollema, E.; Hahn, R.T.; Stone, G.W.; Leon, M.B.; Ajmone Marsan, N.; Delgado, V.; et al. Development of Significant Tricuspid Regurgitation over Time and Prognostic Implications: New Insights into Natural History. Eur. Heart J. 2018, 39, 3574–3581. [Google Scholar] [CrossRef] [PubMed]
- Polewczyk, A.; Kutarski, A.; Tomaszewski, A.; Brzozowski, W.; Czajkowski, M.; Polewczyk, M.; Janion, M. Lead Dependent Tricuspid Dysfunction: Analysis of the Mechanism and Management in Patients Referred for Transvenous Lead Extraction. Cardiol. J. 2013, 20, 402–410. [Google Scholar] [CrossRef] [PubMed]
- Addetia, K.; Harb, S.C.; Hahn, R.T.; Kapadia, S.; Lang, R.M. Cardiac Implantable Electronic Device Lead-Induced Tricuspid Regurgitation. JACC Cardiovasc. Imaging 2019, 12, 622–636. [Google Scholar] [CrossRef] [PubMed]
- Vaturi, M.; Kusniec, J.; Shapira, Y.; Nevzorov, R.; Yedidya, I.; Weisenberg, D.; Monakier, D.; Strasberg, B.; Sagie, A. Right Ventricular Pacing Increases Tricuspid Regurgitation Grade Regardless of the Mechanical Interference to the Valve by the Electrode. Eur. J. Echocardiogr. 2010, 11, 550–553. [Google Scholar] [CrossRef] [PubMed]
- Seo, Y.; Ishizu, T.; Nakajima, H.; Sekiguchi, Y.; Watanabe, S.; Aonuma, K. Clinical Utility of 3-Dimensional Echocardiography in the Evaluation of Tricuspid Regurgitation Caused by Pacemaker Leads. Circ. J. 2008, 72, 1465–1470. [Google Scholar] [CrossRef] [PubMed]
- Lin, G.; Nishimura, R.A.; Connolly, H.M.; Dearani, J.A.; Sundt, T.M.; Hayes, D.L. Severe Symptomatic Tricuspid Valve Regurgitation Due to Permanent Pacemaker or Implantable Cardioverter-Defibrillator Leads. J. Am. Coll. Cardiol. 2005, 45, 1672–1675. [Google Scholar] [CrossRef]
- Addetia, K.; Maffessanti, F.; Mediratta, A.; Yamat, M.; Weinert, L.; Moss, J.D.; Nayak, H.M.; Burke, M.C.; Patel, A.R.; Kruse, E.; et al. Impact of Implantable Transvenous Device Lead Location on Severity of Tricuspid Regurgitation. J. Am. Soc. Echocardiogr. 2014, 27, 1164–1175. [Google Scholar] [CrossRef]
- Seo, J.; Kim, D.Y.; Cho, I.; Hong, G.R.; Ha, J.W.; Shim, C.Y. Prevalence, Predictors, and Prognosis of Tricuspid Regurgitation Following Permanent Pacemaker Implantation. PLoS ONE 2020, 15, e0235230. [Google Scholar] [CrossRef]
- Riesenhuber, M.; Spannbauer, A.; Gwechenberger, M.; Pezawas, T.; Schukro, C.; Stix, G.; Schneider, M.; Goliasch, G.; Anvari, A.; Wrba, T.; et al. Pacemaker Lead-Associated Tricuspid Regurgitation in Patients with or without Pre-Existing Right Ventricular Dilatation. Clin. Res. Cardiol. 2021, 110, 884–894. [Google Scholar] [CrossRef]
- Papageorgiou, N.; Falconer, D.; Wyeth, N.; Lloyd, G.; Pellerin, D.; Speechly-Dick, E.; Segal, O.R.; Lowe, M.; Rowland, E.; Lambiase, P.D.; et al. Effect of Tricuspid Regurgitation and Right Ventricular Dysfunction on Long-Term Mortality in Patients Undergoing Cardiac Devices Implantation: >10-Year Follow-up Study. Int. J. Cardiol. 2020, 319, 52–56. [Google Scholar] [CrossRef]
- Al-Bawardy, R.; Krishnaswamy, A.; Bhargava, M.; Dunn, J.; Wazni, O.; Murat Tuzcu, E.; Stewart, W.; Kapadia, S.R. Tricuspid Regurgitation in Patients with Pacemakers and Implantable Cardiac Defibrillators: A Comprehensive Review. Clin. Cardiol. 2013, 36, 249–254. [Google Scholar] [CrossRef] [PubMed]
- Arabi, P.; Özer, N.; Ateş, A.H.; Yorgun, H.; Oto, A.; Aytemir, K. Effects of Pacemaker and Implantable Cardioverter Defibrillator Electrodes on Tricuspid Regurgitation and Right Sided Heart Functions. Cardiol. J. 2015, 22, 637–644. [Google Scholar] [CrossRef]
- Delling, F.N.; Hassan, Z.K.; Piatkowski, G.; Tsao, C.W.; Rajabali, A.; Markson, L.J.; Zimetbaum, P.J.; Manning, W.J.; Chang, J.D.; Mukamal, K.J. Tricuspid Regurgitation and Mortality in Patients with Transvenous Permanent Pacemaker Leads. Am. J. Cardiol. 2016, 117, 988–992. [Google Scholar] [CrossRef] [PubMed]
- Höke, U.; Auger, D.; Thijssen, J.; Wolterbeek, R.; Van Der Velde, E.T.; Holman, E.R.; Schalij, M.J.; Bax, J.J.; Delgado, V.; Marsan, N.A. Significant Lead-Induced Tricuspid Regurgitation Is Associated with Poor Prognosis at Long-Term Follow-Up. Heart 2014, 100, 960–968. [Google Scholar] [CrossRef]
- Chang, J.D.; Manning, W.J.; Ebrille, E.; Zimetbaum, P.J. Tricuspid Valve Dysfunction Following Pacemaker or Cardioverter-Defibrillator Implantation. J. Am. Coll. Cardiol. 2017, 69, 2331–2341. [Google Scholar] [CrossRef] [PubMed]
- Rodés-Cabau, J.; Hahn, R.T.; Latib, A.; Laule, M.; Lauten, A.; Maisano, F.; Schofer, J.; Campelo-Parada, F.; Puri, R.; Vahanian, A. Transcatheter Therapies for Treating Tricuspid Regurgitation. J. Am. Coll. Cardiol. 2016, 67, 1829–1845. [Google Scholar] [CrossRef]
- Taramasso, M.; Maisano, F. Transcatheter Tricuspid Valve Intervention: State of the Art. EuroIntervention 2017, 13, AA40–AA50. [Google Scholar] [CrossRef]
- Volpato, V.; Badano, L.P.; Figliozzi, S.; Florescu, D.R.; Parati, G.; Muraru, D. Multimodality Cardiac Imaging and New Display Options to Broaden Our Understanding of the Tricuspid Valve. Curr. Opin. Cardiol. 2021, 36, 513–524. [Google Scholar] [CrossRef]
- Caravita, S.; Figliozzi, S.; Florescu, D.R.; Volpato, V.; Oliverio, G.; Tomaselli, M.; Torlasco, C.; Muscogiuri, G.; Cernigliaro, F.; Parati, G.; et al. Recent Advances in Multimodality Imaging of the Tricuspid Valve. Expert. Rev. Med. Devices 2021, 18, 1069–1081. [Google Scholar] [CrossRef]
- Bartko, P.E.; Hülsmann, M.; Hung, J.; Pavo, N.; Levine, R.A.; Pibarot, P.; Vahanian, A.; Stone, G.W.; Goliasch, G. Secondary Valve Regurgitation in Patients with Heart Failure with Preserved Ejection Fraction, Heart Failure with Mid-Range Ejection Fraction, and Heart Failure with Reduced Ejection Fraction. Eur. Heart J. 2020, 41, 2799–2810. [Google Scholar] [CrossRef] [PubMed]
- Carpentier, A. Cardiac Valve Surgery--the “French Correction”. J. Thorac. Cardiovasc. Surg. 1983, 86, 323–337. [Google Scholar] [CrossRef]
- Dreyfus, J.; Audureau, E.; Bohbot, Y.; Coisne, A.; Lavie-Badie, Y.; Bouchery, M.; Flagiello, M.; Bazire, B.; Eggenspieler, F.; Viau, F.; et al. TRI-SCORE: A New Risk Score for in-Hospital Mortality Prediction after Isolated Tricuspid Valve Surgery. Eur. Heart J. 2022, 43, 654–662. [Google Scholar] [CrossRef] [PubMed]
- Lara-Breitinger, K.M.; Scott, C.G.; Nkomo, V.T.; Pellikka, P.A.; Kane, G.C.; Chaliki, H.P.; Shapiro, B.P.; Eleid, M.F.; Alkhouli, M.; Greason, K.L.; et al. Tricuspid Regurgitation Impact on Outcomes (TRIO): A Simple Clinical Risk Score. Mayo Clin. Proc. 2022, 97, 1449–1461. [Google Scholar] [CrossRef] [PubMed]
- Wang, T.K.M.; Akyuz, K.; Mentias, A.; Kirincich, J.; Duran Crane, A.; Xu, S.; Popovic, Z.B.; Xu, B.; Gillinov, A.M.; Pettersson, G.B.; et al. Contemporary Etiologies, Outcomes, and Novel Risk Score for Isolated Tricuspid Regurgitation. JACC Cardiovasc. Imaging 2022, 15, 731–744. [Google Scholar] [CrossRef]
- Fukuda, S.; Song, J.M.; Gillinov, A.M.; McCarthy, P.M.; Daimon, M.; Kongsaerepong, V.; Thomas, J.D.; Shiota, T. Tricuspid Valve Tethering Predicts Residual Tricuspid Regurgitation after Tricuspid Annuloplasty. Circulation 2005, 111, 975–979. [Google Scholar] [CrossRef]
- da Silva, J.P.; Baumgratz, J.F.; da Fonseca, L.; Franchi, S.M.; Lopes, L.M.; Tavares, G.M.P.; Soares, A.M.; Moreira, L.F.; Barbero-Marcial, M. The Cone Reconstruction of the Tricuspid Valve in Ebstein’s Anomaly. The Operation: Early and Midterm Results. J. Thorac. Cardiovasc. Surg. 2007, 133, 215–223. [Google Scholar] [CrossRef]
- Di Mauro, M.; Foschi, M.; Dato, G.M.A.; Centofanti, P.; Barili, F.; Corte, A.D.; Ratta, E.D.; Cugola, D.; Galletti, L.; Santini, F.; et al. Surgical Treatment of Isolated Tricuspid Valve Infective Endocarditis: 25-Year Results from a Multicenter Registry. Int. J. Cardiol. 2019, 292, 62–67. [Google Scholar] [CrossRef]
- Gammie, J.S.; Chu, M.W.A.; Falk, V.; Overbey, J.R.; Moskowitz, A.J.; Gillinov, M.; Mack, M.J.; Voisine, P.; Krane, M.; Yerokun, B.; et al. Concomitant Tricuspid Repair in Patients with Degenerative Mitral Regurgitation. N. Engl. J. Med. 2022, 386, 327–339. [Google Scholar] [CrossRef]
- Hahn, R.T.; Abraham, T.; Adams, M.S.; Bruce, C.J.; Glas, K.E.; Lang, R.M.; Reeves, S.T.; Shanewise, J.S.; Siu, S.C.; Stewart, W.; et al. Guidelines for Performing a Comprehensive Transesophageal Echocardiographic Examination: Recommendations from the American Society of Echocardiography and the Society of Cardiovascular Anesthesiologists. J. Am. Soc. Echocardiogr. 2013, 26, 921–964. [Google Scholar] [CrossRef]
- Taramasso, M.; Alessandrini, H.; Latib, A.; Asami, M.; Attinger-Toller, A.; Biasco, L.; Braun, D.; Brochet, E.; Connelly, K.A.; Denti, P.; et al. Outcomes After Current Transcatheter Tricuspid Valve Intervention: Mid-Term Results from the International TriValve Registry. JACC Cardiovasc. Interv. 2019, 12, 155–165. [Google Scholar] [CrossRef] [PubMed]
- Ruf, T.F.; Hahn, R.T.; Kreidel, F.; Beiras-Fernandez, A.; Hell, M.; Gerdes, P.; da Roche e Silva, J.G.; Vosseler, M.; Geyer, M.; Tamm, A.; et al. Short-Term Clinical Outcomes of Transcatheter Tricuspid Valve Repair with the Third-Generation MitraClip XTR System. JACC Cardiovasc. Interv. 2021, 14, 1231–1240. [Google Scholar] [CrossRef] [PubMed]
- Besler, C.; Orban, M.; Rommel, K.P.; Braun, D.; Patel, M.; Hagl, C.; Borger, M.; Nabauer, M.; Massberg, S.; Thiele, H.; et al. Predictors of Procedural and Clinical Outcomes in Patients with Symptomatic Tricuspid Regurgitation Undergoing Transcatheter Edge-to-Edge Repair. JACC Cardiovasc. Interv. 2018, 11, 1119–1128. [Google Scholar] [CrossRef] [PubMed]
- Mehr, M.; Taramasso, M.; Besler, C.; Ruf, T.; Connelly, K.A.; Weber, M.; Yzeiraj, E.; Schiavi, D.; Mangieri, A.; Vaskelyte, L.; et al. 1-Year Outcomes After Edge-to-Edge Valve Repair for Symptomatic Tricuspid Regurgitation: Results from the TriValve Registry. JACC Cardiovasc. Interv. 2019, 12, 1451–1461. [Google Scholar] [CrossRef] [PubMed]
- Lurz, J.; Rommel, K.P.; Unterhuber, M.; Besler, C.; Noack, T.; Borger, M.; Richter, S.; Hindricks, G.; Thiele, H.; Lurz, P. Safety and Efficacy of Transcatheter Edge-to-Edge Repair of the Tricuspid Valve in Patients with Cardiac Implantable Electronic Device Leads. JACC Cardiovasc. Interv. 2019, 12, 2114–2116. [Google Scholar] [CrossRef] [PubMed]
- Kresoja, K.P.; Rommel, K.P.; Lücke, C.; Unterhuber, M.; Besler, C.; von Roeder, M.; Schöber, A.R.; Noack, T.; Gutberlet, M.; Thiele, H.; et al. Right Ventricular Contraction Patterns in Patients Undergoing Transcatheter Tricuspid Valve Repair for Severe Tricuspid Regurgitation. JACC Cardiovasc. Interv. 2021, 14, 1551–1561. [Google Scholar] [CrossRef] [PubMed]
- Orban, M.; Wolff, S.; Braun, D.; Stolz, L.; Higuchi, S.; Stark, K.; Mehr, M.; Stocker, T.J.; Dischl, D.; Scherer, C.; et al. Right Ventricular Function in Transcatheter Edge-to-Edge Tricuspid Valve Repair. JACC Cardiovasc. Imaging 2021, 14, 2477–2479. [Google Scholar] [CrossRef] [PubMed]
- Tomaselli, M.; Badano, L.P.; Menè, R.; Gavazzoni, M.; Heilbron, F.; Radu, N.; Caravita, S.; Baratto, C.; Oliverio, G.; Florescu, D.R.; et al. Impact of Correcting the 2D PISA Method on the Quantification of Functional Tricuspid Regurgitation Severity. Eur. Heart J. Cardiovasc. Imaging 2022, 23, 1459–1470. [Google Scholar] [CrossRef] [PubMed]
- Hahn, R.T.; Zamorano, J.L. The Need for a New Tricuspid Regurgitation Grading Scheme. Eur. Heart J. Cardiovasc. Imaging 2017, 18, 1342–1343. [Google Scholar] [CrossRef]
- Gerçek, M.; Narang, A.; Körber, M.I.; Friedrichs, K.P.; Puthumana, J.J.; Ivannikova, M.; Al-Kazaz, M.; Cremer, P.; Baldridge, A.S.; Meng, Z.; et al. GLIDE Score: A Scoring System for Prediction of Procedural Success in Tricuspid Valve Transcatheter Edge-to-Edge Repair. JACC Cardiovasc. Imaging 2024, 17, 729–742. [Google Scholar] [CrossRef]
- Hahn, R.T.; Thomas, J.D.; Khalique, O.K.; Cavalcante, J.L.; Praz, F.; Zoghbi, W.A. Imaging Assessment of Tricuspid Regurgitation Severity. JACC Cardiovasc. Imaging 2019, 12, 469–490. [Google Scholar] [CrossRef] [PubMed]
- Tanaka, T.; Sugiura, A.; Kavsur, R.; Vogelhuber, J.; Öztürk, C.; Becher, M.U.; Zimmer, S.; Nickenig, G.; Weber, M. Leaflet-to-Annulus Index and Residual Tricuspid Regurgitation Following Tricuspid Transcatheter Edge-to-Edge Repair. EuroIntervention 2022, 18, e169–e178. [Google Scholar] [CrossRef] [PubMed]
- Scotti, A.; Curio, J.; Leone, P.P.; Ludwig, S.; Coisne, A.; Sturla, M.; Murthy, S.; Chau, M.; Granada, J.F.; Jorde, U.P.; et al. Management of Volume Overload in Severe Atrial-Functional Tricuspid Regurgitation: Improved Feasibility of Transcatheter Edge-to-Edge Repair. JACC Case Rep. 2023, 12, 101776. [Google Scholar] [CrossRef] [PubMed]
- Vismara, R.; Gelpi, G.; Prabhu, S.; Romitelli, P.; Troxler, L.G.; Mangini, A.; Romagnoni, C.; Contino, M.; Van Hoven, D.T.; Lucherini, F.; et al. Transcatheter Edge-to-Edge Treatment of Functional Tricuspid Regurgitation in an Ex Vivo Pulsatile Heart Model. J. Am. Coll. Cardiol. 2016, 68, 1024–1033. [Google Scholar] [CrossRef] [PubMed]
- Park, S.-J.; Gentry, J.L.; Varma, N.; Wazni, O.; Tarakji, K.G.; Mehta, A.; Mick, S.; Grimm, R.; Wilkoff, B.L. Transvenous Extraction of Pacemaker and Defibrillator Leads and the Risk of Tricuspid Valve Regurgitation. JACC Clin. Electrophysiol. 2018, 4, 1421–1428. [Google Scholar] [CrossRef] [PubMed]
- Blusztein, D.I.; Hahn, R.T. New Therapeutic Approach for Tricuspid Regurgitation: Transcatheter Tricuspid Valve Replacement or Repair. Front. Cardiovasc. Med. 2023, 10, 1080101. [Google Scholar] [CrossRef] [PubMed]
- Lurz, P.; von Bardeleben, R.S.; Weber, M.; Sitges, M.; Sorajja, P.; Hausleiter, J.; Denti, P.; Trochu, J.-N.; Nabauer, M.; Tang, G.H.L.; et al. Transcatheter Edge-to-Edge Repair for Treatment of Tricuspid Regurgitation. J. Am. Coll. Cardiol. 2021, 77, 229–239. [Google Scholar] [CrossRef] [PubMed]
- Rommel, K.-P.; Besler, C.; Noack, T.; Blazek, S.; von Roeder, M.; Fengler, K.; Ender, J.; Gutberlet, M.; Desch, S.; Borger, M.A.; et al. Physiological and Clinical Consequences of Right Ventricular Volume Overload Reduction After Transcatheter Treatment for Tricuspid Regurgitation. JACC Cardiovasc. Interv. 2019, 12, 1423–1434. [Google Scholar] [CrossRef] [PubMed]
- Sorajja, P.; Whisenant, B.; Hamid, N.; Naik, H.; Makkar, R.; Tadros, P.; Price, M.J.; Singh, G.; Fam, N.; Kar, S.; et al. Transcatheter Repair for Patients with Tricuspid Regurgitation. N. Engl. J. Med. 2023, 388, 1833–1842. [Google Scholar] [CrossRef]
- Kodali, S.; Hahn, R.T.; Eleid, M.F.; Kipperman, R.; Smith, R.; Lim, D.S.; Gray, W.A.; Narang, A.; Pislaru, S.V.; Koulogiannis, K.; et al. Feasibility Study of the Transcatheter Valve Repair System for Severe Tricuspid Regurgitation. J. Am. Coll. Cardiol. 2021, 77, 345–356. [Google Scholar] [CrossRef]
- Planer, D.; Beeri, R.; Danenberg, H.D. First-in-Human Transcatheter Tricuspid Valve Repair. JACC Cardiovasc. Interv. 2020, 13, 2091–2096. [Google Scholar] [CrossRef] [PubMed]
- Davidson, C.J.; Lim, D.S.; Smith, R.L.; Kodali, S.K.; Kipperman, R.M.; Eleid, M.F.; Reisman, M.; Whisenant, B.; Puthumana, J.; Abramson, S.; et al. Early Feasibility Study of Cardioband Tricuspid System for Functional Tricuspid Regurgitation. JACC Cardiovasc. Interv. 2021, 14, 41–50. [Google Scholar] [CrossRef] [PubMed]
- Nickenig, G.; Weber, M.; Schueler, R.; Hausleiter, J.; Näbauer, M.; von Bardeleben, R.S.; Sotiriou, E.; Schäfer, U.; Deuschl, F.; Kuck, K.-H.; et al. 6-Month Outcomes of Tricuspid Valve Reconstruction for Patients with Severe Tricuspid Regurgitation. J. Am. Coll. Cardiol. 2019, 73, 1905–1915. [Google Scholar] [CrossRef] [PubMed]
- Nickenig, G.; Weber, M.; Schüler, R.; Hausleiter, J.; Nabauer, M.; von Bardeleben, R.S.; Sotiriou, E.; Schäfer, U.; Deuschl, F.; Alessandrini, H.; et al. Tricuspid Valve Repair with the Cardioband System: Two-Year Outcomes of the Multicentre, Prospective TRI-REPAIR Study. EuroIntervention 2021, 16, e1264–e1271. [Google Scholar] [CrossRef] [PubMed]
- Reddy, V.Y.; Abbo, A.; Ruiz, C.E.; Kerner, A.; Kreidel, F.; Topilsky, Y.; Kipshidze, N.; Avisar, N.; Petru, J.; Neuzil, P. First-in-Human Percutaneous Circumferential Annuloplasty for Secondary Tricuspid Regurgitation. JACC Case Rep. 2020, 2, 2176–2182. [Google Scholar] [CrossRef] [PubMed]
- Rogers, T.; Ratnayaka, K.; Sonmez, M.; Franson, D.N.; Schenke, W.H.; Mazal, J.R.; Kocaturk, O.; Chen, M.Y.; Faranesh, A.Z.; Lederman, R.J. Transatrial Intrapericardial Tricuspid Annuloplasty. JACC Cardiovasc. Interv. 2015, 8, 483–491. [Google Scholar] [CrossRef] [PubMed]
- Khan, J.M.; Rogers, T.; Schenke, W.H.; Greenbaum, A.B.; Babaliaros, V.C.; Paone, G.; Ramasawmy, R.; Chen, M.Y.; Herzka, D.A.; Lederman, R.J. Transcatheter Pledget-assisted Suture Tricuspid Annuloplasty (PASTA) to Create a Double-orifice Valve. Catheter. Cardiovasc. Interv. 2018, 92, E175–E184. [Google Scholar] [CrossRef] [PubMed]
- Pan, W.; Long, Y.; Zhang, X.; Chen, S.; Li, W.; Pan, C.; Guo, Y.; Zhou, D.; Ge, J. Feasibility Study of a Novel Transcatheter Tricuspid Annuloplasty System in a Porcine Model. JACC Basic. Transl. Sci. 2022, 7, 600–607. [Google Scholar] [CrossRef] [PubMed]
- Kodali, S.; Hahn, R.T.; George, I.; Davidson, C.J.; Narang, A.; Zahr, F.; Chadderdon, S.; Smith, R.; Grayburn, P.A.; O’Neill, W.W.; et al. Transfemoral Tricuspid Valve Replacement in Patients with Tricuspid Regurgitation. JACC Cardiovasc. Interv. 2022, 15, 471–480. [Google Scholar] [CrossRef] [PubMed]
- Kodali, S.; Hahn, R.T.; Makkar, R.; Makar, M.; Davidson, C.J.; Puthumana, J.J.; Zahr, F.; Chadderdon, S.; Fam, N.; Ong, G.; et al. Transfemoral Tricuspid Valve Replacement and One-Year Outcomes: The TRISCEND Study. Eur. Heart J. 2023, 44, 4862–4873. [Google Scholar] [CrossRef]
- Lu, F.-L.; An, Z.; Ma, Y.; Song, Z.-G.; Cai, C.-L.; Li, B.-L.; Zhou, G.-W.; Han, L.; Wang, J.; Bai, Y.-F.; et al. Transcatheter Tricuspid Valve Replacement in Patients with Severe Tricuspid Regurgitation. Heart 2021, 107, 1664–1670. [Google Scholar] [CrossRef] [PubMed]
- Fam, N.P.; Ong, G.; Estevez-Loureiro, R.; Frerker, C.; Bedogni, F.; Sanchez-Recalde, A.; Berti, S.; Benetis, R.; Nickenig, G.; Peterson, M.D.; et al. Transcatheter Tricuspid Valve Replacement with the Cardiovalve System. JACC Cardiovasc. Interv. 2024, 17, 586–588. [Google Scholar] [CrossRef] [PubMed]
- Barreiro-Pérez, M.; González-Ferreiro, R.; Caneiro-Queija, B.; Tavares-Silva, M.; Puga, L.; Parada-Barcia, J.A.; Rodriguez-Perez, A.; Baz-Alonso, J.A.; Pinon-Esteban, M.A.; Estevez-Loureiro, R.; et al. Transcatheter Tricuspid Valve Replacement: Illustrative Case Reports and Review of State-of-Art. J. Clin. Med. 2023, 12, 1371. [Google Scholar] [CrossRef] [PubMed]
- Estévez-Loureiro, R.; Sánchez-Recalde, A.; Amat-Santos, I.J.; Cruz-González, I.; Baz, J.A.; Pascual, I.; Mascherbauer, J.; Abdul-Jawad Altisent, O.; Nombela-Franco, L.; Pan, M.; et al. 6-Month Outcomes of the TricValve System in Patients with Tricuspid Regurgitation. JACC Cardiovasc. Interv. 2022, 15, 1366–1377. [Google Scholar] [CrossRef] [PubMed]
- Wild, M.G.; Lubos, E.; Cruz-Gonzalez, I.; Amat-Santos, I.; Ancona, M.; Andreas, M.; Boeder, N.F.; Butter, C.; Carrasco-Chinchilla, F.; Estevez-Loureiro, R.; et al. Early Clinical Experience with the TRICENTO Bicaval Valved Stent for Treatment of Symptomatic Severe Tricuspid Regurgitation: A Multicenter Registry. Circ. Cardiovasc. Interv. 2022, 15, e011302. [Google Scholar] [CrossRef] [PubMed]
- Dreger, H.; Mattig, I.; Hewing, B.; Knebel, F.; Lauten, A.; Lembcke, A.; Thoenes, M.; Roehle, R.; Stangl, V.; Landmesser, U.; et al. Treatment of Severe TRIcuspid Regurgitation in Patients with Advanced Heart Failure with CAval Vein Implantation of the Edwards Sapien XT VALve (TRICAVAL): A Randomised Controlled Trial. EuroIntervention 2020, 15, 1506–1513. [Google Scholar] [CrossRef] [PubMed]
- Hahn, R.T.; Pibarot, P.; Otto, C.M. Transcatheter Interventions Spark a Paradigm Change for Management of Patients with Mixed Valve Disease. Eur. Heart J. 2022, 43, 2767–2769. [Google Scholar] [CrossRef]

| Risk Scores | TRI-SCORE [63] | TRIO-SCORE [64] | Novel Risk Score by Wang Tom Kai Ming et al. [65] | |||
|---|---|---|---|---|---|---|
| Parameters | Risk Points | Parameters | Risk Points | Parameters | Risk Points | |
| Age ≥ 70 years | 1 | Age 70–79 years ≥80 years | 1 2 | Age 65–74 years ≥75 years | 1 2 | |
| NYHA III–IV | 1 | Male sex | 1 | Myocardial infarction | 1 | |
| Right-sided HF signs | 2 | HR ≥ 90 beats/min | 1 | Peripheral vascular disease | 1 | |
| Furosemide ≥ 125 mg/day | 2 | Congestive heart failure | 2 | Loop diuretic use | 1 | |
| LVEF < 60% | 1 | Severe TR | 1 | RV systolic function: Mildly impaired Moderately impaired Severely impaired | 1 2 3 | |
| Moderate/severe RV dysfunction | 1 | Creatinine ≥ 2 mg/dL | 2 | RVSP > 50 mmHg | 1 | |
| GFR < 30 mL/min | 2 | AST ≥ 40 U/L | 1 | CKD (creatinine > 1.4 mg/dL) | 1 | |
| Elevated bilirubin | 2 | Lung disease | 2 | Anemia (hemoglobin < 10 g/dL) | 1 | |
| Thrombocytopenia (platelet < 15 k/µL) | 1 | |||||
| INR > 1.5 | 1 | |||||
| Albumin < 3 g/dL | 2 | |||||
| Chronic lung disease | 1 | |||||
| Primary endpoint | In-hospital mortality | 10-years all-cause mortality | 1-year all-cause mortality | |||
| Score | Total = 0–12 Low risk ≤ 3 Intermediate risk = 4–5 High risk ≥ 6 | Total = 0–12 Low risk ≤ 3 Intermediate risk = 4–6 High risk ≥ 7 | Total = 0–16 No categorization | |||
| C-statistic | >0.75 | 0.67 | derivation cohort 0.712 validation cohort 0.729 | |||
| Device | Device Substances | Delivery | ||
|---|---|---|---|---|
| TTVR | ||||
| EVOQUE | ![]() | Self-expanding (nickel-titanium) | TF | |
| GATE | ![]() | Self-expanding/Nitinol | TJ | |
| INTREPID | ![]() | Dual-stent system | TF | |
| LuX-Valve | ![]() | Self-expanding/Nitinol | TA | |
| Heterotropic Caval Valve Implantation | ||||
| TricValve | ![]() | Self-expanding/Nitinol | TF | |
| Tricento | ![]() | Self-expanding/Nitinol | TF | |
| TEER | TriClip | ![]() | Paddles with nitinol skeleton | TF |
| Pascal | ![]() | Paddles with nitinol skeleton | TF | |
| Annuloplasty | Cardioband | ![]() | Sutureless contraction band covered by a polyester sleeve | TF |
Disclaimer/Publisher’s Note: The statements, opinions and data contained in all publications are solely those of the individual author(s) and contributor(s) and not of MDPI and/or the editor(s). MDPI and/or the editor(s) disclaim responsibility for any injury to people or property resulting from any ideas, methods, instructions or products referred to in the content. |
© 2024 by the authors. Licensee MDPI, Basel, Switzerland. This article is an open access article distributed under the terms and conditions of the Creative Commons Attribution (CC BY) license (https://creativecommons.org/licenses/by/4.0/).
Share and Cite
Synetos, A.; Ktenopoulos, N.; Katsaros, O.; Vlasopoulou, K.; Korovesis, T.; Drakopoulou, M.; Apostolos, A.; Koliastasis, L.; Toutouzas, K.; Tsioufis, C. New Therapeutic Advances in the Management of Tricuspid Valve Regurgitation. J. Clin. Med. 2024, 13, 4599. https://doi.org/10.3390/jcm13164599
Synetos A, Ktenopoulos N, Katsaros O, Vlasopoulou K, Korovesis T, Drakopoulou M, Apostolos A, Koliastasis L, Toutouzas K, Tsioufis C. New Therapeutic Advances in the Management of Tricuspid Valve Regurgitation. Journal of Clinical Medicine. 2024; 13(16):4599. https://doi.org/10.3390/jcm13164599
Chicago/Turabian StyleSynetos, Andreas, Nikolaos Ktenopoulos, Odysseas Katsaros, Konstantina Vlasopoulou, Theofanis Korovesis, Maria Drakopoulou, Anastasios Apostolos, Leonidas Koliastasis, Konstantinos Toutouzas, and Constantinos Tsioufis. 2024. "New Therapeutic Advances in the Management of Tricuspid Valve Regurgitation" Journal of Clinical Medicine 13, no. 16: 4599. https://doi.org/10.3390/jcm13164599
APA StyleSynetos, A., Ktenopoulos, N., Katsaros, O., Vlasopoulou, K., Korovesis, T., Drakopoulou, M., Apostolos, A., Koliastasis, L., Toutouzas, K., & Tsioufis, C. (2024). New Therapeutic Advances in the Management of Tricuspid Valve Regurgitation. Journal of Clinical Medicine, 13(16), 4599. https://doi.org/10.3390/jcm13164599










