Interstitial Foci Expression of Indoleamine 2,3-Dioxygenase 1: A Potential Biomarker for Kidney Transplant Rejection
Abstract
1. Introduction
2. Materials and Methods
2.1. Patients and Sample Collection
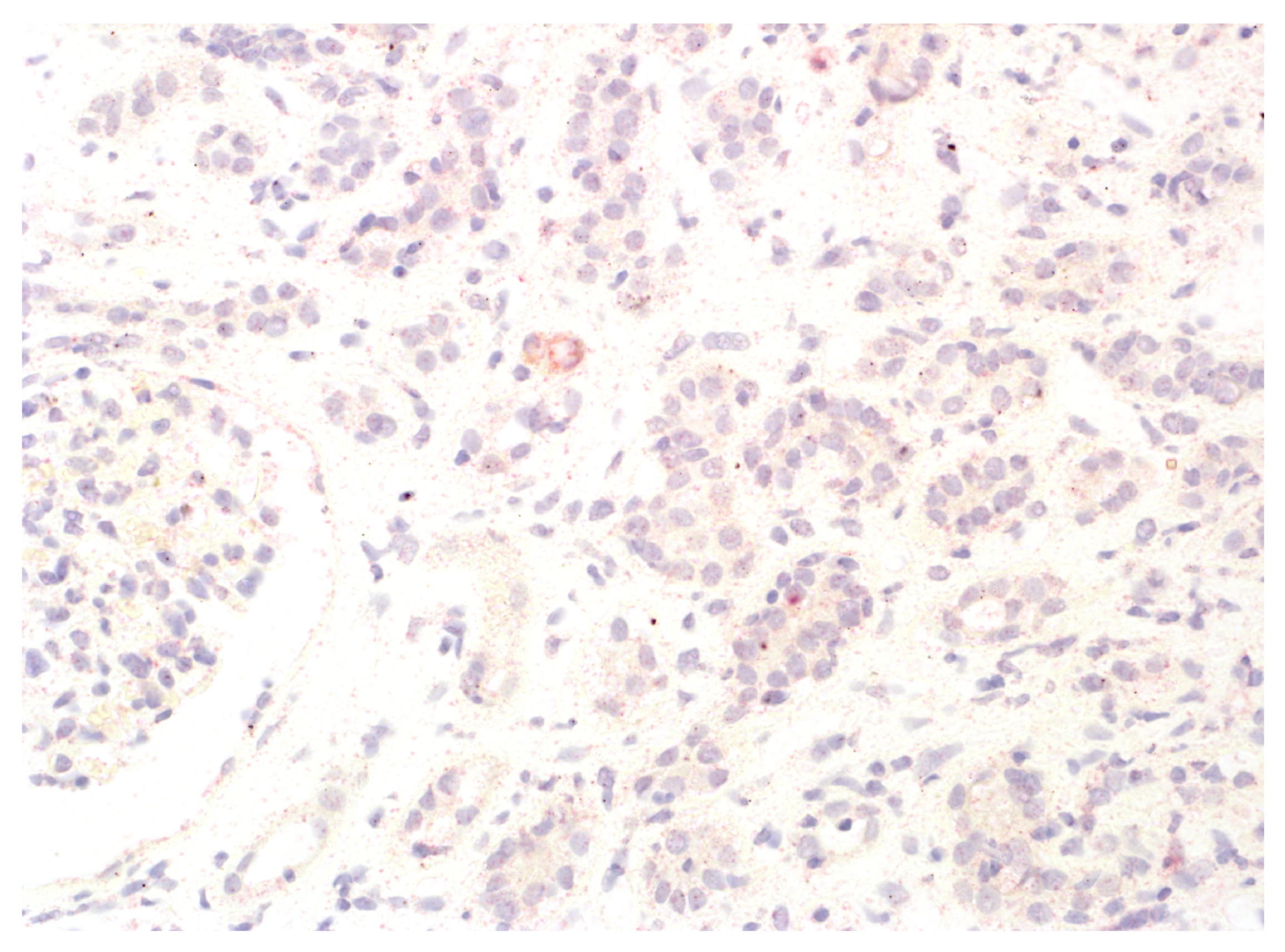
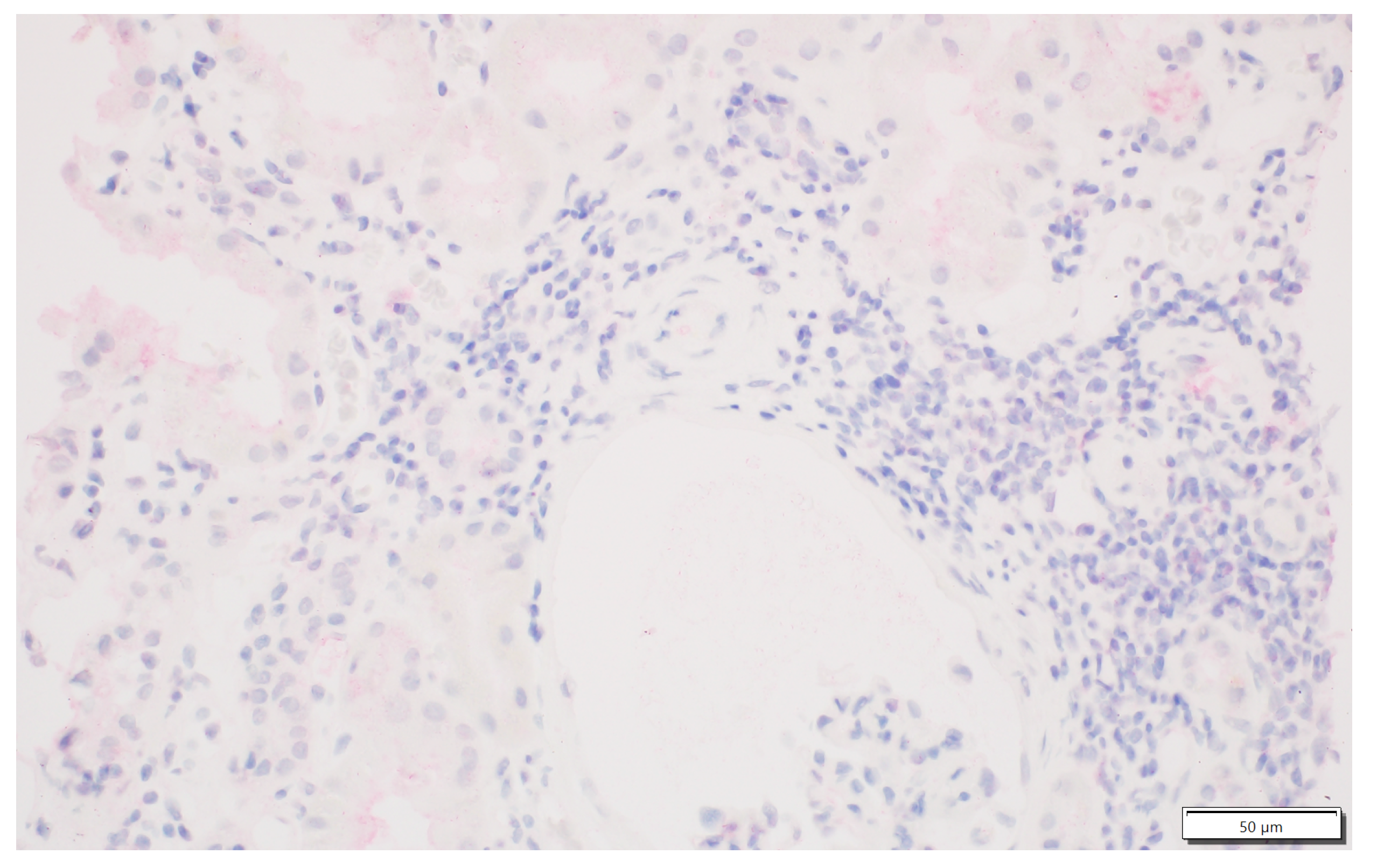
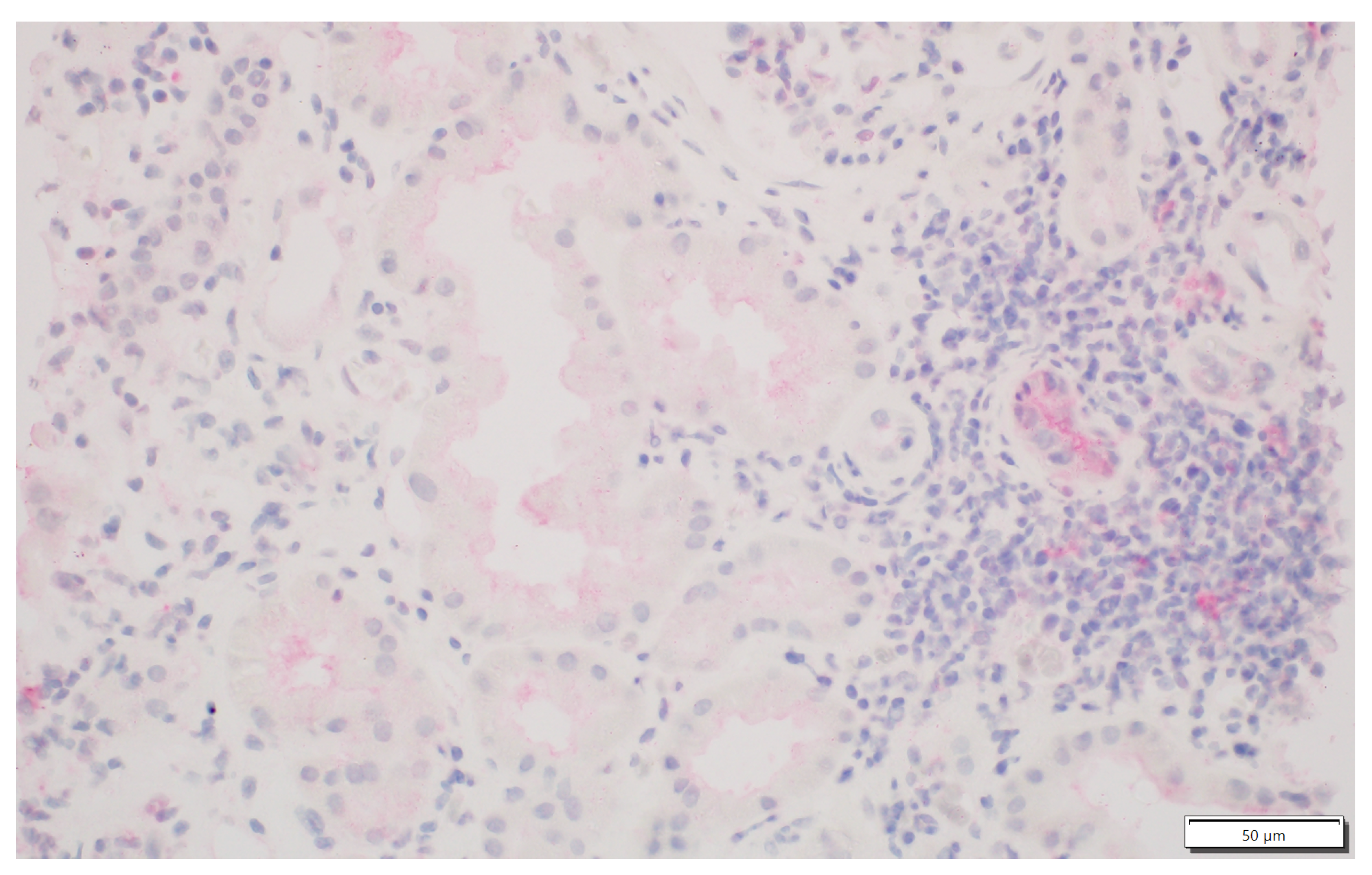
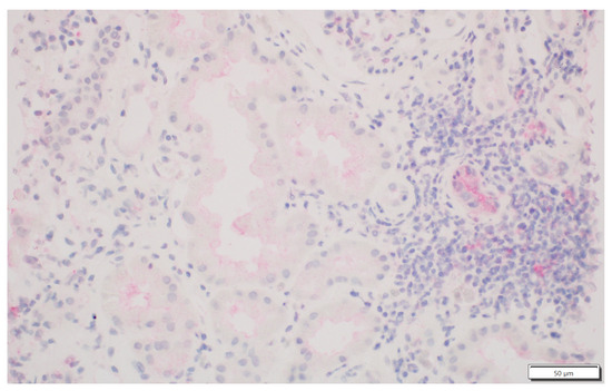
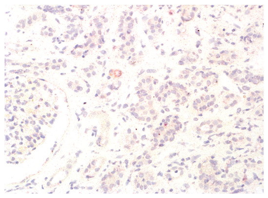
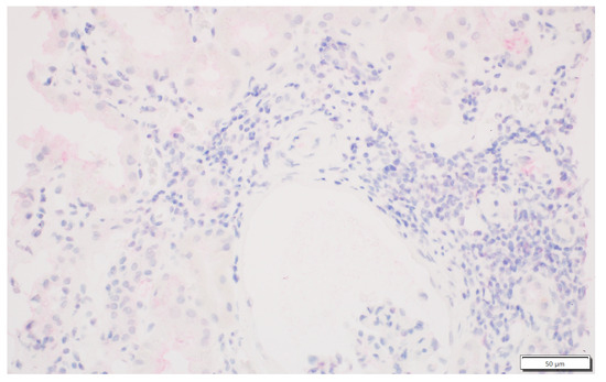
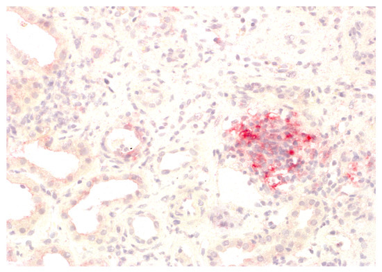
2.2. IDO1 Expression Analysis
2.3. Sensitivity and Specificity of the Research
2.4. Statistical Instruments and Programs Utilised in Analysing Data
2.5. Ethical Considerations
3. Results
3.1. Characteristics of Patients
3.2. Rejection Observed in Patients Displaying IDO1 Expression in Interstitial Foci
3.3. Analysis of Antibody-Mediated Rejection (AMR)
3.4. T-Cell-Mediated Rejection (TCMR) Analysis
3.5. Pure Types of Rejection
3.6. Proteinuria: Another Indication for Biopsy
3.7. Time Elapsed between Transplantation and Biopsy
3.8. Delayed Graft Function
3.9. Creatine Level
4. Discussion
4.1. Study Limitations
4.1.1. Challenges in Immunohistochemistry Techniques
4.1.2. Interpretative Subjectivity
4.1.3. Variability in IDO1 Expression Dynamics
4.1.4. Confounding Variables
4.1.5. Future Research Directions
5. Conclusions
Author Contributions
Funding
Institutional Review Board Statement
Informed Consent Statement
Data Availability Statement
Conflicts of Interest
Abbreviations
| IDO1 | indoleamine 2,3-dioxygenase 1 |
| IF | interstitial foci |
| HLA antibody | human leukocyte antigen antibody |
| non-HLA antibody | non-human leukocyte antigen antibody |
| PRA | panel reactive antibody |
| AMR | antibody-mediated rejection |
| TCMR | T-cell-mediated rejection |
| MMF | mycophenolate mofetil |
| MPA | mycophenolic acid |
References
- Kostro, J.Z.; Hellmann, A.; Kobiela, J.; Skóra, I.; Lichodziejewska-Niemierko, M.; Dębska-Ślizień, A.; Śledziński, Z. Quality of Life After Kidney Transplantation: A Prospective Study. Transplant. Proc. 2016, 48, 50–54. [Google Scholar] [CrossRef]
- Schoot, T.S.; Goto, N.A.; van Marum, R.J.; Hilbrands, L.B.; Kerckhoffs, A.P.M. Dialysis or kidney transplantation in older adults? A systematic review summarizing functional, psychological, and quality of life-related outcomes after start of kidney replacement therapy. Int. Urol. Nephrol. 2022, 54, 2891–2900. [Google Scholar] [CrossRef] [PubMed]
- Milaniak, I.; Rużyczka, E.W.; Dębska, G.; Król, B.; Wierzbicki, K.; Tomaszek, L.; Przybyłowski, P. Level of Life Quality in Heart and Kidney Transplant Recipients: A Multicenter Study. Transplant. Proc. 2020, 52, 2081–2086. [Google Scholar] [CrossRef] [PubMed]
- Rodríguez Castellanos, F.E.; Domínguez Quintana, F.; Soto Abraham, V.; Mancilla Urrea, E. Classification of Acute Rejection Episodes in Kidney Transplantation: A Proposal Based on Factor Analysis. Iran. J. Kidney Dis. 2018, 12, 123–131. [Google Scholar]
- Wong, T.C.; Lo, C.M.; Fung, J.Y. Emerging drugs for prevention of T-cell mediated rejection in liver and kidney transplantation. Expert Opin. Emerg. Drugs 2017, 22, 123–136. [Google Scholar] [CrossRef] [PubMed]
- Halloran, P.F. Immunosuppressive drugs for kidney transplantation. N. Engl. J. Med. 2004, 351, 2715–2729. [Google Scholar] [CrossRef] [PubMed]
- Sellarés, J.; de Freitas, D.G.; Mengel, M.; Reeve, J.; Einecke, G.; Sis, B.; Hidalgo, L.G.; Famulski, K.; Matas, A.; Halloran, P.F. Understanding the causes of kidney transplant failure: The dominant role of antibody-mediated rejection and nonadherence. Am. J. Transplant. 2012, 12, 388–399. [Google Scholar] [CrossRef] [PubMed]
- Becker, J.U.; Seron, D.; Rabant, M.; Roufosse, C.; Naesens, M. Evolution of the Definition of Rejection in Kidney Transplantation and Its Use as an Endpoint in Clinical Trials. Transplant. Int. 2022, 35, 10141. [Google Scholar] [CrossRef] [PubMed]
- Abd El-Fattah, E.E. IDO/kynurenine pathway in cancer: Possible therapeutic approaches. J. Transl. Med. 2022, 20, 347. [Google Scholar] [CrossRef] [PubMed]
- Badawy, A.A.B. Kynurenine Pathway of Tryptophan Metabolism: Regulatory and Functional Aspects. Int. J. Tryptophan Res. 2017, 10, 1178646917691938. [Google Scholar] [CrossRef]
- Stone, T.W.; Williams, R.O. Interactions of IDO and the Kynurenine Pathway with Cell Transduction Systems and Metabolism at the Inflammation-Cancer Interface. Cancers 2023, 15, 2895. [Google Scholar] [CrossRef]
- Merlo, L.M.F.; DuHadaway, J.B.; Montgomery, J.D.; Peng, W.D.; Murray, P.J.; Prendergast, G.C.; Caton, A.J.; Muller, A.J.; Mandik-Nayak, L. Differential Roles of IDO1 and IDO2 in T and B Cell Inflammatory Immune Responses. Front. Immunol. 2020, 11, 1861. [Google Scholar] [CrossRef] [PubMed]
- Fallarino, F.; Grohmann, U.; Vacca, C.; Bianchi, R.; Orabona, C.; Spreca, A.; Fioretti, M.C.; Puccetti, P. T cell apoptosis by tryptophan catabolism. Cell Death Differ. 2002, 9, 1069–1077. [Google Scholar] [CrossRef] [PubMed]
- Lee, G.K.; Park, H.J.; Macleod, M.; Chandler, P.; Munn, D.H.; Mellor, A.L. Tryptophan deprivation sensitizes activated T cells to apoptosis prior to cell division. Immunology 2002, 107, 452–460. [Google Scholar]
- Munn, D.H.; Shafizadeh, E.; Attwood, J.T.; Bondarev, I.; Pashine, A.; Mellor, A.L. Inhibition of T cell proliferation by macrophage tryptophan catabolism. J. Exp. Med. 1999, 189, 1363–1372. [Google Scholar] [PubMed]
- Banasik, M.; Kuriata-Kordek, M.; Donizy, P.; Nowańska, K.; Wiśnicki, K.; Letachowicz, K.; Zmonarski, S.; Kamińska, D.; Mazanowska, O.; Dawiskiba, T.; et al. The Summarized Assessment of Endothelin A Receptor Expression in Renal Transplant Compartments Associated with Antibody-Mediated Rejection. Diagnostics 2021, 11, 2366. [Google Scholar] [CrossRef]
- Mizera, J.; Pilch, J.; Kamińska, D.; Krajewska, M.; Donizy, P.; Banasik, M. Chronic Active T-Cell Mediated Kidney Rejection as a Clinically Significant Type of Allograft Loss? Diagnostics 2022, 12, 3220. [Google Scholar] [CrossRef]
- MCPyV Large T-Antigen (CM2B4) Antibody sc-136172 from Santa Cruz Biotechnology, Inc. Available online: https://www.biocompare.com/9776-Antibodies/1027245-MCPyV-large-Tantigen-CM2B4/ (accessed on 18 July 2023).
- EnV FLEX TRS, High pH (50x) from Agilent Technologies. Available online: https://www.biocompare.com/11119-Chemicals-and-Reagents/12797965-EnV-FLEX-TRS-High-pH-50x/ (accessed on 18 July 2023).
- PT Link, Pre-Treatment Module for Tissue Specimens. Available online: https://www.agilent.com/en/product/pt-link-for-pre-treatment/pt-link-accessories/pt-link-pre-treatment-module-for-tissue-specimens-76929 (accessed on 18 July 2023).
- Wiśnicki, K.; Donizy, P.; Hałoń, A.; Wawrzonkowski, P.; Janczak, D.; Krajewska, M.; Banasik, M. Indoleamine 2,3-Dioxygenase 1 (IDO1) in Kidney Transplantation: A Guardian against Rejection. J. Clin. Med. Res. 2023, 12, 7531. [Google Scholar]
- Liquid Permanent Red, Substrate-Chromogen. Available online: https://www.agilent.com/en/product/immunohistochemistry/ancillaries-for-ihc/chromogenic-substrates/permanent-red-substrate-chromogen-liquid-76724 (accessed on 18 July 2023).
- Roufosse, C.; Simmonds, N.; Clahsen-van Groningen, M.; Haas, M.; Henriksen, K.J.; Horsfield, C.; Loupy, A.; Mengel, M.; Perkowska-Ptasińska, A.; Rabant, M.; et al. A 2018 Reference Guide to the Banff Classification of Renal Allograft Pathology. Transplantation 2018, 102, 1795–1814. [Google Scholar] [CrossRef]
- Quencer, K.B.; Anand, K. Kidney Tissue Biopsy. Tech. Vasc. Interv. Radiol. 2021, 24, 100775. [Google Scholar] [CrossRef]
- Williams, W.W.; Taheri, D.; Tolkoff-Rubin, N.; Colvin, R.B. Clinical role of the renal transplant biopsy. Nat. Rev. Nephrol. 2012, 8, 110–121. [Google Scholar] [CrossRef]
- Mottaghi, S.; Sagheb, M.M.; Azarpira, N.; Abdizadeh, F.; Faeghi, R.; Karimzadeh, I. Association between the Three Polymorphisms of the Glucocorticoid Receptor Gene and the Early Clinical Outcome in Kidney Transplantation Patients. Iran. J. Med. Sci. 2021, 46, 444–453. [Google Scholar]
- Wiśnicki, K.; Donizy, P.; Remiorz, A.; Janczak, D.; Krajewska, M.; Banasik, M. Significance of Indoleamine 2,3-Dioxygenase Expression in the Immunological Response of Kidney Graft Recipients. Diagnostics 2022, 12, 2353. [Google Scholar] [CrossRef]
- Harden, J.L.; Egilmez, N.K. Indoleamine 2,3-dioxygenase and dendritic cell tolerogenicity. Immunol. Invest. 2012, 41, 738–764. [Google Scholar] [CrossRef] [PubMed]
- Andersen, M.H. The specific targeting of immune regulation: T-cell responses against Indoleamine 2,3-dioxygenase. Cancer Immunol. Immunother. 2012, 61, 1289–1297. [Google Scholar] [CrossRef]
- Cook, C.H.; Bickerstaff, A.A.; Wang, J.J.; Nadasdy, T.; Della Pelle, P.; Colvin, R.B.; Orosz, C.G. Spontaneous renal allograft acceptance associated with “regulatory” dendritic cells and IDO. J. Immunol. 2008, 180, 3103–3112. [Google Scholar] [CrossRef] [PubMed]
- Fiore, A.; Murray, P.J. Tryptophan and indole metabolism in immune regulation. Curr. Opin. Immunol. 2021, 70, 7–14. [Google Scholar] [CrossRef] [PubMed]
- Na, N.; Luo, Y.; Zhao, D.; Yang, S.; Hong, L.; Li, H.; Miao, B.; Qiu, J. Prolongation of kidney allograft survival regulated by indoleamine 2, 3-dioxygenase in immature dendritic cells generated from recipient type bone marrow progenitors. Mol. Immunol. 2016, 79, 22–31. [Google Scholar] [CrossRef]
- Jasperson, L.K.; Bucher, C.; Panoskaltsis-Mortari, A.; Mellor, A.L.; Munn, D.H.; Blazar, B.R. Inducing the tryptophan catabolic pathway, indoleamine 2,3-dioxygenase (IDO), for suppression of graft-versus-host disease (GVHD) lethality. Blood 2009, 114, 5062–5070. [Google Scholar] [CrossRef]
- Ge, W.; Jiang, J.; Arp, J.; Liu, W.; Garcia, B.; Wang, H. Regulatory T-cell generation and kidney allograft tolerance induced by mesenchymal stem cells associated with indoleamine 2,3-dioxygenase expression. Transplantation 2010, 90, 1312–1320. [Google Scholar] [CrossRef]
- Suarez-Fuentetaja, N.; Domenech-Garcia, N.; Paniagua-Martin, M.J.; Marzoa-Rivas, R.; Barge-Caballero, E.; Grille-Cancela, Z.; Pombo-Otero, J.; Muñiz-García, J.; Castro-Beiras, A.; Crespo-Leiro, M.G. Indoleamine, 2-3 dioxygenase activity could be an early marker of graft rejection in heart transplantation. Transplant. Proc. 2012, 44, 2645–2648. [Google Scholar] [CrossRef] [PubMed]
- Weng, M.Z.; Xu, Y.G.; Zhang, Y.; Zhang, J.Y.; Quan, Z.W.; Xu, J.M.; Peng, Z.H. Indoleamine 2,3-dioxygenase as a predictor of acute rejection after orthotopic liver transplantation in rat model. Transplant. Proc. 2011, 43, 3969–3972. [Google Scholar] [CrossRef] [PubMed]
- Halloran, P.F.; Reeve, J.; Madill-Thomsen, K.S.; Demko, Z.; Prewett, A.; Billings, P.; Trifecta Investigators. The Trifecta Study: Comparing Plasma Levels of Donor-derived Cell-Free DNA with the Molecular Phenotype of Kidney Transplant Biopsies. J. Am. Soc. Nephrol. 2022, 33, 387–400. [Google Scholar] [CrossRef] [PubMed]
- Tang, K.; Wu, Y.H.; Song, Y.; Yu, B. Indoleamine 2,3-dioxygenase 1 (IDO1) inhibitors in clinical trials for cancer immunotherapy. J. Hematol. Oncol. 2021, 14, 68. [Google Scholar] [CrossRef] [PubMed]
- Liu, M.; Wang, X.; Wang, L.; Ma, X.; Gong, Z.; Zhang, S.; Li, Y. Targeting the IDO1 pathway in cancer: From bench to bedside. J. Hematol. Oncol. 2018, 11, 100. [Google Scholar] [CrossRef] [PubMed]
- Zhai, L.; Ladomersky, E.; Lenzen, A.; Nguyen, B.; Patel, R.; Lauing, K.L.; Wu, M.; Wainwright, D.A. IDO1 in cancer: A Gemini of immune checkpoints. Cell. Mol. Immunol. 2018, 15, 447–457. [Google Scholar] [CrossRef] [PubMed]
- Shibata, Y.; Hara, T.; Nagano, J.; Nakamura, N.; Ohno, T.; Ninomiya, S.; Ito, H.; Tanaka, T.; Saito, K.; Seishima, M.; et al. The Role of Indoleamine 2,3-Dioxygenase in Diethylnitrosamine-Induced Liver Carcinogenesis. PLoS ONE 2016, 11, e0146279. [Google Scholar] [CrossRef] [PubMed]
- Lin, K.; Wang, Y.; Liu, F.; You, T.; Liu, X.; Liu, R.; Li, Z.; Zhen, C.; Zhang, Y.; Liu, X.; et al. Comprehensive analysis of the prognostic value and immunological role of IDO1 gene in pan-cancer. Eur. J. Med. Res. 2024, 29, 206. [Google Scholar] [CrossRef] [PubMed]
- Cesario, A.; Rocca, B.; Rutella, S. The interplay between indoleamine 2,3-dioxygenase 1 (IDO1) and cyclooxygenase (COX)-2 in chronic inflammation and cancer. Curr. Med. Chem. 2011, 18, 2263–2271. [Google Scholar] [CrossRef]
- Xiang, Z.; Li, J.; Song, S.; Wang, J.; Cai, W.; Hu, W.; Ji, J.; Zhu, Z.; Zang, L.; Yan, R.; et al. A positive feedback between IDO1 metabolite and COL12A1 via MAPK pathway to promote gastric cancer metastasis. J. Exp. Clin. Cancer Res. 2019, 38, 314. [Google Scholar] [CrossRef]
- Shi, D.; Wu, X.; Jian, Y.; Wang, J.; Huang, C.; Mo, S.; Li, Y.; Li, F.; Zhang, C.; Zhang, D.; et al. USP14 promotes tryptophan metabolism and immune suppression by stabilizing IDO1 in colorectal cancer. Nat. Commun. 2022, 13, 5644. [Google Scholar] [CrossRef] [PubMed]
- Donizy, P.; Wu, C.L.; Kopczynski, J.; Pieniazek, M.; Biecek, P.; Ryś, J.; Hoang, M.P. Prognostic Role of Tumoral PD-L1 and IDO1 Expression, and Intratumoral CD8+ and FoxP3+ Lymphocyte Infiltrates in 132 Primary Cutaneous Merkel Cell Carcinomas. Int. J. Mol. Sci. 2021, 22, 5489. [Google Scholar] [CrossRef] [PubMed]
- Munn, D.H.; Mellor, A.L. Indoleamine 2,3 dioxygenase and metabolic control of immune responses. Trends Immunol. 2013, 34, 137–143. [Google Scholar] [CrossRef] [PubMed]
- Mondal, A.; Smith, C.; DuHadaway, J.B.; Sutanto-Ward, E.; Prendergast, G.C.; Bravo-Nuevo, A.; Muller, A.J. IDO1 is an Integral Mediator of Inflammatory Neovascularization. EBioMedicine 2016, 14, 74–82. [Google Scholar] [CrossRef] [PubMed]
- Heidari, F.; Razmkhah, M.; Razban, V.; Erfani, N. Effects of indoleamine 2, 3-dioxygenase (IDO) silencing on immunomodulatory function and cancer-promoting characteristic of adipose-derived mesenchymal stem cells (ASCs). Cell Biol. Int. 2021, 45, 2544–2556. [Google Scholar] [CrossRef] [PubMed]
- Hwu, P.; Du, M.X.; Lapointe, R.; Do, M.; Taylor, M.W.; Young, H.A. Indoleamine 2,3-dioxygenase production by human dendritic cells results in the inhibition of T cell proliferation. J. Immunol. 2000, 164, 3596–3599. [Google Scholar] [CrossRef] [PubMed]
- Chung, D.J.; Rossi, M.; Romano, E.; Ghith, J.; Yuan, J.; Munn, D.H.; Young, J.W. Indoleamine 2,3-dioxygenase–expressing mature human monocyte-derived dendritic cells expand potent autologous regulatory T cells. Blood 2009, 114, 555–563. [Google Scholar] [CrossRef] [PubMed]
- Holmgaard, R.B.; Zamarin, D.; Munn, D.H.; Wolchok, J.D.; Allison, J.P. Indoleamine 2,3-dioxygenase is a critical resistance mechanism in antitumor T cell immunotherapy targeting CTLA-4. J. Exp. Med. 2013, 210, 1389–1402. [Google Scholar] [CrossRef]
- Marin-Acevedo, J.A.; Dholaria, B.; Soyano, A.E.; Knutson, K.L.; Chumsri, S.; Lou, Y. Next generation of immune checkpoint therapy in cancer: New developments and challenges. J. Hematol. Oncol. 2018, 11, 39. [Google Scholar] [CrossRef]
- Huang, X.; Zhang, F.; Wang, X.; Liu, K. The Role of Indoleamine 2, 3-Dioxygenase 1 in Regulating Tumor Microenvironment. Cancers 2022, 14, 2756. [Google Scholar] [CrossRef]
- Pan, B.; Zhang, H.; Hong, Y.; Ma, M.; Wan, X.; Cao, C. Indoleamine-2,3-Dioxygenase Activates Wnt/β-Catenin Inducing Kidney Fibrosis after Acute Kidney Injury. Gerontology 2021, 67, 611–619. [Google Scholar] [CrossRef] [PubMed]
- Eleftheriadis, T.; Pissas, G.; Golfinopoulos, S.; Liakopoulos, V.; Stefanidis, I. Role of indoleamine 2,3-dioxygenase in ischemia-reperfusion injury of renal tubular epithelial cells. Mol. Med. Rep. 2021, 23, 472. [Google Scholar] [CrossRef] [PubMed]
- Yu, K.; Li, D.; Xu, F.; Guo, H.; Feng, F.; Ding, Y.; Wan, X.; Sun, N.; Zhang, Y.; Fan, J.; et al. IDO1 as a new immune biomarker for diabetic nephropathy and its correlation with immune cell infiltration. Int. Immunopharmacol. 2021, 94, 107446. [Google Scholar] [CrossRef] [PubMed]
- Yu, L.; Li, L. Potential biomarkers of atopic dermatitis. Front. Med. 2022, 9, 1028694. [Google Scholar] [CrossRef] [PubMed]
- Bussolati, G.; Leonardo, E. Technical pitfalls potentially affecting diagnoses in immunohistochemistry. J. Clin. Pathol. 2008, 61, 1184–1192. [Google Scholar] [CrossRef]
- Fedchenko, N.; Reifenrath, J. Different approaches for interpretation and reporting of immunohistochemistry analysis results in the bone tissue—A review. Diagn. Pathol. 2014, 9, 221. [Google Scholar] [CrossRef]
- Varghese, F.; Bukhari, A.B.; Malhotra, R.; De, A. IHC Profiler: An open source plugin for the quantitative evaluation and automated scoring of immunohistochemistry images of human tissue samples. PLoS ONE 2014, 9, e96801. [Google Scholar] [CrossRef]




| Patient Attributes | IDO1 in Interstitial Foci IDO1-IF(+) Positive n = 80 | IDO1 in Interstitial Foci IDO1-IF(−) Negative n = 41 | p-Value |
|---|---|---|---|
| Recipient’s age at the time of transplantation (years) | 41.0 ± 14.71 | 43.83 ± 14.29 | 0.31 |
| Male gender (n, %) | 53 (66.25%) | 32 (78.0%) | 0.18 |
| Number of HLA 1 ABDR 2 mismatches | 3.51 ± 1.41 | 3.61 ± 1.13 | 0.711 |
| A | 1.27 ± 0.60 | 1.34 ± 0.47 | 0.53 |
| B | 1.37 ± 0.60 | 1.47 ± 0.54 | 0.37 |
| DR | 0.83 ± 0.52 | 0.84 ± 0.58 | 0.88 |
| Percentage of pre-sensitised patients | |||
| PRA 3 <10% | 33/45 (73.33%) | 23/33 (69.7%) | 0.72 |
| PRA 10–50% | 9/45 (20%) | 8/33 (24.24%) | 0.65 |
| PRA >50% | 3/45 (6.67%) | 2/33 (6.06%) | 0.91 |
| Cold ischemia time (hours) | 22.17 ± 7.79 | 22.03 ± 9.10 | 0.94 |
| Donor male gender (n, %) | 31/80 (38.75%) | 22/41 (53.66%) | 0.12 |
| Donor age (years) | 46.98 ± 16.08 | 50.0 ± 14.40 | 0.34 |
| Delayed graft function | 2/80 (2.5%) | 2/41 (4.88%) | 0.52 |
| Immunosuppression | IDO1 Expression in Interstitial Foci IDO1-IF(+) Positive n = 80 | IDO1 Expression in Interstitial Foci IDO1-IF(−) Negative n = 41 | p-Value |
|---|---|---|---|
| Tacrolimus | 55 (68.75%) | 30 (73.17%) | 0.61 |
| Cyclosporin | 25 (31.25%) | 11 (26.83%) | 0.61 |
| MMF/MPA 1 | 80 (100%) | 41 (100%) | NS |
| Azathioprine | 2 (2.5%) | 0 (0%) | NS |
| Anti-CD25 2 therapy | 1 (1.25%) | 1 (1.25%) | 0.63 |
| Variable | Coefficient | Standard Error | p-Value | Odds Ratio | 95% Confidence Interval |
|---|---|---|---|---|---|
| IDO presence in IF | 1.7464 | 0.4780 | 0.0003 | 5.7341 | (2.2470, 14.6324) |
| Recipient’s sex 1 | 0.6064 | 0.4825 | 0.2088 | 1.8338 | (0.7123, 4.7212) |
| HLA MM >3 2 | −0.7089 | 0.4334 | 0.1019 | 0.4922 | (0.2105, 1.1509) |
| PRA >50% 3 | 0.0608 | 0.9684 | 0.9499 | 1.0627 | (0.1593, 7.0909) |
| CIT >20 h 4 | 0.8753 | 0.4406 | 0.0469 | 2.3997 | (1.0119, 5.6906) |
| Living donor | 0.4948 | 1.0903 | 0.6499 | 1.6402 | (0.1936, 13.8971) |
| Proteinuria > 0.5 g 5 | −0.2138 | 0.4135 | 0.6050 | 0.8075 | (0.3591, 1.8159) |
| DGF 6 | 0.4000 | 1.2219 | 0.6050 | 1.4918 | (0.1360, 16.3618) |
| Glomerulonephritis | −0.3415 | 0.4410 | 0.4387 | 0.7107 | (0.2994, 1.6869) |
| Tacrolimus | −1.3162 | 0.7772 | 0.0904 | 0.2682 | (0.0585, 1.2302) |
| Cyclosporin | −0.8994 | 0.7818 | 0.2500 | 0.4068 | (0.0879, 1.8830) |
| Constant | −0.5004 | 0.9398 | 0.5944 |
| Biopsy Diagnosis | IDO1 Expression in Interstitial Foci IDO1-IF(+) Positive n = 80 | IDO1 Expression in Interstitial Foci IDO1-IF(−) Negative n = 41 | p-Value |
|---|---|---|---|
| Rejections (all) | 46/80 (57.5%) | 10/41 (24.34%) | 0.0005 |
| AMR 1 (including pure and mixed) | 12/80 (15%) | 1/41 (2.44%) | 0.035 |
| TCMR 2 (including pure and mixed) | 43/80 (53.75%) | 7/41 (17.07%) | 0.0001 |
| AMR (pure) | 2/80 (2.5%) | 1/41 (2.44%) | 0.98 |
| TCMR (pure) | 33/80 (41.25%) | 7/41 (17.07%) | 0.007 |
Disclaimer/Publisher’s Note: The statements, opinions and data contained in all publications are solely those of the individual author(s) and contributor(s) and not of MDPI and/or the editor(s). MDPI and/or the editor(s) disclaim responsibility for any injury to people or property resulting from any ideas, methods, instructions or products referred to in the content. |
© 2024 by the authors. Licensee MDPI, Basel, Switzerland. This article is an open access article distributed under the terms and conditions of the Creative Commons Attribution (CC BY) license (https://creativecommons.org/licenses/by/4.0/).
Share and Cite
Wiśnicki, K.; Donizy, P.; Kuriata-Kordek, M.; Uchmanowicz, I.; Zachciał, J.; Hałoń, A.; Janczak, D.; Banasik, M. Interstitial Foci Expression of Indoleamine 2,3-Dioxygenase 1: A Potential Biomarker for Kidney Transplant Rejection. J. Clin. Med. 2024, 13, 4265. https://doi.org/10.3390/jcm13144265
Wiśnicki K, Donizy P, Kuriata-Kordek M, Uchmanowicz I, Zachciał J, Hałoń A, Janczak D, Banasik M. Interstitial Foci Expression of Indoleamine 2,3-Dioxygenase 1: A Potential Biomarker for Kidney Transplant Rejection. Journal of Clinical Medicine. 2024; 13(14):4265. https://doi.org/10.3390/jcm13144265
Chicago/Turabian StyleWiśnicki, Krzysztof, Piotr Donizy, Magdalena Kuriata-Kordek, Izabella Uchmanowicz, Justyna Zachciał, Agnieszka Hałoń, Dariusz Janczak, and Mirosław Banasik. 2024. "Interstitial Foci Expression of Indoleamine 2,3-Dioxygenase 1: A Potential Biomarker for Kidney Transplant Rejection" Journal of Clinical Medicine 13, no. 14: 4265. https://doi.org/10.3390/jcm13144265
APA StyleWiśnicki, K., Donizy, P., Kuriata-Kordek, M., Uchmanowicz, I., Zachciał, J., Hałoń, A., Janczak, D., & Banasik, M. (2024). Interstitial Foci Expression of Indoleamine 2,3-Dioxygenase 1: A Potential Biomarker for Kidney Transplant Rejection. Journal of Clinical Medicine, 13(14), 4265. https://doi.org/10.3390/jcm13144265

