The Evaluation of Change in Choroidal Circulation Time before and after Half-Dose Photodynamic Therapy in Central Serous Chorioretinopathy Using Wide-Field Indocyanine Green Angiography
Abstract
1. Introduction
2. Materials and Methods
Evaluation of Choroidal Circulation Time (CCT)
3. Results
3.1. Change in CCT before and after PDT
3.2. Secondary Endpoint
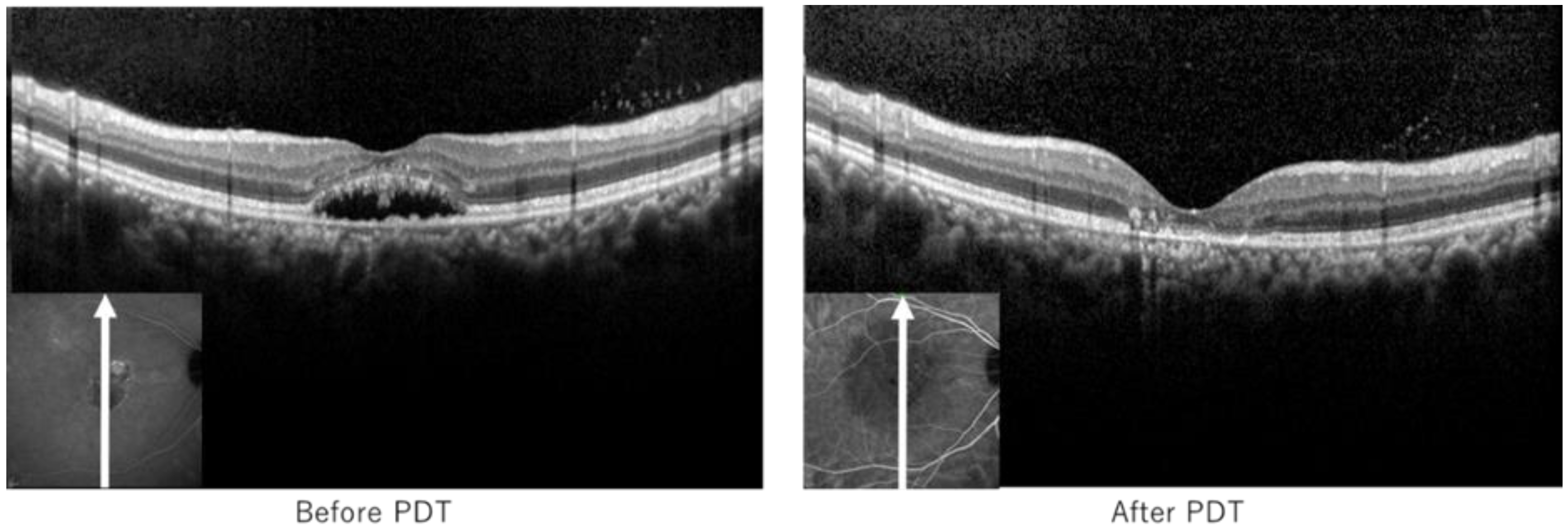
3.3. Representative Case
4. Discussion
5. Conclusions
Author Contributions
Funding
Institutional Review Board Statement
Informed Consent Statement
Data Availability Statement
Conflicts of Interest
References
- Kido, A.; Miyake, M.; Tamura, H.; Higari, S.; Kimura, T.; Ohtera, S.; Takahashi, A.; Ooto, S.; Kawakami, K.; Kuroda, T.; et al. Incidence of central serous chorioretinopathy (2011–2018): A nationwide population-based cohort study of Japan. Br. J. Ophthalmol. 2022, 106, 1748–1753. [Google Scholar] [CrossRef] [PubMed]
- Feenstra, H.M.A.; van Dijk, E.H.C.; Cheung, C.M.G.; Ohno-Matsui, K.; Lai, T.Y.Y.; Koizumi, H.; Larsen, M.; Querques, G.; Downes, S.M.; Yzer, S.; et al. Central serous chorioretinopathy: An evidence-based treatment guideline. Prog. Retin. Eye Res. 2024, 101, 101236. [Google Scholar] [CrossRef] [PubMed]
- Aggio, F.B.; Roisman, L.; Melo, G.B.; Lavinsky, D.; Cardillo, J.A.; Farah, M.E. Clinical factors related to visual outcome in central serous chorioretinopathy. Retina 2010, 30, 1128–1134. [Google Scholar] [CrossRef] [PubMed]
- Guyer, D.R.; Yannuzzi, L.A.; Slakter, J.S.; Sorenson, J.A.; Ho, A.; Orlock, D. Digital indocyanine green videoangiography of central serous chorioretinopathy. Arch. Ophthalmol. 1994, 112, 1057–1062. [Google Scholar] [CrossRef] [PubMed]
- Hayashi, K.; Hasegawa, Y.; Tokoro, T. Indocyanine green angiography of central serous chorioretinopathy. Int. Ophthalmol. 1986, 9, 37–41. [Google Scholar] [CrossRef] [PubMed]
- Hayashida, M.; Miki, A.; Honda, S.; Nakamura, M. Comparison between the outcomes of fluorescein angiography-guided and indocyanine green angiography-guided half-time photodynamic therapy for central serous chorioretinopathy. Photodiagnosis Photodyn. Ther. 2020, 31, 1019155. [Google Scholar] [CrossRef] [PubMed]
- Piccolino, F.C.; Eandi, C.M.; Ventre, L.; Regault de la Longrais, R.C.; Grignolo, F.M. Photodynamic therapy for chronic central serous chorioretinopathy. Retina 2003, 23, 752–763. [Google Scholar] [CrossRef] [PubMed]
- Nishigori, N.; Muraoka, Y.; Ishikura, M.; Kogo, T.; Ueda-Arakawa, N.; Miyata, M.; Tamura, H.; Hata, M.; Takahashi, A.; Miyake, M.; et al. Extensive reduction in choroidal thickness after photodynamic therapy in eyes with central serous chorioretinopathy. Sci. Rep. 2023, 13, 10890. [Google Scholar] [CrossRef] [PubMed]
- Funatsu, R.; Sonoda, S.; Terasaki, H.; Shiihara, H.; Mihara, N.; Horie, J.; Sakamoto, T. Effect of photodynamic therapy on choroid of the medial area from optic disc in patients with central serous chorioretinopathy. PLoS ONE 2023, 18, e0282057. [Google Scholar] [CrossRef] [PubMed]
- Kumashiro, S.; Takagi, S.; Itokawa, T.; Tajima, A.; Kobayashi, T.; Hori, Y. Decrease in choroidal blood flow after half and one-third dose verteporfin photodynamic therapy for chronic central serous chorioretinopathy. BMC Ophthalmol. 2021, 21, 241. [Google Scholar] [CrossRef] [PubMed]
- Horiguchi, E.; Takeuchi, J.; Tomita, R.; Asai, K.; Nakano, Y.; Ota, H.; Taki, Y.; Ito, Y.; Terasaki, H.; Nishiguchi, K.M.; et al. Choroidal hemodynamics in central serous chorioretinopathy after half-dose photodynamic therapy and the effects of smoking. Sci. Rep. 2022, 12, 17032. [Google Scholar] [CrossRef] [PubMed]
- Spaide, R.F.; Ledesma-Gil, G.; Gemmy Cheung, C.M. Intervortex venous anastomosis in pachychoroid-related disorders. Retina 2021, 41, 997–1004. [Google Scholar] [CrossRef] [PubMed]
- Bacci, T.; Oh, D.J.; Singer, M.; Sadda, S.; Freud, K.B. Ultra-widefield indocyanine green angiography reveals patterns of choroidal venous insufficiency influencing pachychoroid disease. Investig. Ophthalmol. Vis. Sci. 2022, 63, 17. [Google Scholar] [CrossRef] [PubMed]
- Nishi, O.; Yasukawa, T. Hydrodynamic analysis of the clinical findings in pachychoroid-spectrum diseases. J. Clin. Med. 2022, 11, 5247. [Google Scholar] [CrossRef] [PubMed]
- Izumi, T.; Koizumi, H.; Maruko, I.; Takahashi, Y.; Sonoda, S.; Sakamoto, T.; Iida, T. Structual analyses of choroid after half-dose verteporfin photodynamic therapy for central serous chorioretinopathy. Br. J. Ophthalmol. 2017, 101, 433–437. [Google Scholar] [CrossRef] [PubMed]
- Schlötzer-Schrehardt, U.; Viestenz, A.; Naumann, G.O.; Laqua, H.; Michels, S.; Schmidt-Erfurth, U. Dose-related structural effects of photodynamic therapy on choroidal and retinal structures of human eyes. Graefe’s Arch. Clin. Exp. Ophthalmol. 2002, 240, 748–757. [Google Scholar] [CrossRef] [PubMed]
- Iida, T.; Kishi, S.; Hagimura, N.; Shimizu, K. Persistent and bilateral choroidal vascular abnormalities in central serous chorioretinopathy. Retina 1999, 19, 508–512. [Google Scholar] [CrossRef] [PubMed]
- Chan, W.M.; Lam, D.S.; Lai, T.Y.; Tam, B.S.; Liu, D.T.; Chan, C.K. Choroidal vascular remodelling in central serous chorioretinopathy after indocyanine green guided photodynamic therapy with verteporfin: A novel treatment at the primary disease level. Br. J. Ophthalmol. 2003, 87, 1453–1458. [Google Scholar] [CrossRef] [PubMed]
- Wakatsuki, Y.; Tanaka, K.; Mori, R.; Furuya, K.; Kawamura, A.; Nakashizuka, H. Morphological changes and prognostic factors before and after photodynamic therapy for central serous chorioretinopathy. Pharmaceuticals 2021, 14, 53. [Google Scholar] [CrossRef] [PubMed]
- Hiroe, T.; Kishi, S. Dilation of asymmetric vortex vein in central serous chorioretinopathy. Ophthalmol. Retin. 2018, 2, 152–161. [Google Scholar] [CrossRef] [PubMed]




| Subfoveal Choroidal Thickness (µm) | CCT of the Superior Vortex Vein | CCT of the Inferior Vortex Vein | |||||||
|---|---|---|---|---|---|---|---|---|---|
| Case | Irradiation Area (µm) | Before PDT | After PDT | Before PDT | After PDT | Difference between before and after PDT | Before PDT | After PDT | Difference between before and after PDT |
| 1 | 5000 | 498 | 341 | 2.40 | 2.62 | 0.22 | 2.97 | 2.96 | −0.01 |
| 2 | 3000 | 374 | 350 | 3.77 | 4.33 | 0.56 | 3.99 | 3.99 | 0 |
| 3 | 4000 | 293 | 197 | 3.19 | 5.46 | 2.27 | 4.32 | 4.9 | 0.58 |
| 4 | 3000 | 392 | 347 | 5.01 | 6.27 | 1.26 | 3.65 | 4.45 | 0.8 |
| 5 | 6000 | 321 | 304 | 2.63 | 4.32 | 1.69 | 2.17 | 3.42 | 1.25 |
| 6 | 6500 | 467 | 377 | 3.54 | 5.81 | 2.27 | 4.22 | 5.47 | 1.25 |
| 7 | 7000 | 289 | 188 | 7.17 | 9.12 | 1.95 | 7.51 | 9.92 | 2.41 |
| Average | 4928 | 376 | 301 | 3.96 | 5.42 | 1.46 | 4.12 | 5.02 | 0.90 |
Disclaimer/Publisher’s Note: The statements, opinions and data contained in all publications are solely those of the individual author(s) and contributor(s) and not of MDPI and/or the editor(s). MDPI and/or the editor(s) disclaim responsibility for any injury to people or property resulting from any ideas, methods, instructions or products referred to in the content. |
© 2024 by the authors. Licensee MDPI, Basel, Switzerland. This article is an open access article distributed under the terms and conditions of the Creative Commons Attribution (CC BY) license (https://creativecommons.org/licenses/by/4.0/).
Share and Cite
Sugiyama, R.; Mori, R.; Kawamura, A.; Tanaka, K.; Onoe, H.; Wakatsuki, Y.; Nakashizuka, H. The Evaluation of Change in Choroidal Circulation Time before and after Half-Dose Photodynamic Therapy in Central Serous Chorioretinopathy Using Wide-Field Indocyanine Green Angiography. J. Clin. Med. 2024, 13, 4257. https://doi.org/10.3390/jcm13144257
Sugiyama R, Mori R, Kawamura A, Tanaka K, Onoe H, Wakatsuki Y, Nakashizuka H. The Evaluation of Change in Choroidal Circulation Time before and after Half-Dose Photodynamic Therapy in Central Serous Chorioretinopathy Using Wide-Field Indocyanine Green Angiography. Journal of Clinical Medicine. 2024; 13(14):4257. https://doi.org/10.3390/jcm13144257
Chicago/Turabian StyleSugiyama, Ruri, Ryusaburo Mori, Akiyuki Kawamura, Koji Tanaka, Hajime Onoe, Yu Wakatsuki, and Hiroyuki Nakashizuka. 2024. "The Evaluation of Change in Choroidal Circulation Time before and after Half-Dose Photodynamic Therapy in Central Serous Chorioretinopathy Using Wide-Field Indocyanine Green Angiography" Journal of Clinical Medicine 13, no. 14: 4257. https://doi.org/10.3390/jcm13144257
APA StyleSugiyama, R., Mori, R., Kawamura, A., Tanaka, K., Onoe, H., Wakatsuki, Y., & Nakashizuka, H. (2024). The Evaluation of Change in Choroidal Circulation Time before and after Half-Dose Photodynamic Therapy in Central Serous Chorioretinopathy Using Wide-Field Indocyanine Green Angiography. Journal of Clinical Medicine, 13(14), 4257. https://doi.org/10.3390/jcm13144257

