Renal Transplant Outcomes in Plasma Cell Dyscrasias and AL Amyloidosis after Treatment with Daratumumab
Abstract
1. Introduction
2. Materials and Methods
3. Results
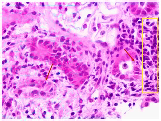
3.1. Case One
3.2. Case Two
3.3. Case Three
3.4. Case Four
4. Discussion
5. Conclusions
Author Contributions
Funding
Institutional Review Board Statement
Informed Consent Statement
Data Availability Statement
Conflicts of Interest
References
- Ryšavá, R. AL Amyloidosis: Advances in Diagnostics and Treatment. Nephrol. Dial. Transplant. 2019, 34, 1460–1466. [Google Scholar] [CrossRef]
- Gertz, M.A.; Dispenzieri, A. Systemic Amyloidosis Recognition, Prognosis, and Therapy: A Systematic Review. JAMA 2020, 324, 79–89. [Google Scholar] [CrossRef] [PubMed]
- Obici, L.; Perfetti, V.; Palladini, G.; Moratti, R.; Merlini, G. Clinical Aspects of Systemic Amyloid Diseases. Biochim. Biophys. Acta 2005, 1753, 11–22. [Google Scholar] [CrossRef]
- Gupta, N.; Kaur, H.; Wajid, S. Renal Amyloidosis: An Update on Diagnosis and Pathogenesis. Protoplasma 2020, 257, 1259–1276. [Google Scholar] [CrossRef] [PubMed]
- Palladini, G.; Sachchithanantham, S.; Milani, P.; Gillmore, J.; Foli, A.; Lachmann, H.; Basset, M.; Hawkins, P.; Merlini, G.; Wechalekar, A.D. A European Collaborative Study of Cyclophosphamide, Bortezomib, and Dexamethasone in Upfront Treatment of Systemic AL Amyloidosis. Blood 2015, 126, 612–615. [Google Scholar] [CrossRef]
- de Weers, M.; Tai, Y.-T.; van der Veer, M.S.; Bakker, J.M.; Vink, T.; Jacobs, D.C.H.; Oomen, L.A.; Peipp, M.; Valerius, T.; Slootstra, J.W.; et al. Daratumumab, a Novel Therapeutic Human CD38 Monoclonal Antibody, Induces Killing of Multiple Myeloma and Other Hematological Tumors. J. Immunol. 2011, 186, 1840–1848. [Google Scholar] [CrossRef] [PubMed]
- van de Donk, N.W.C.J.; Pawlyn, C.; Yong, K.L. Multiple Myeloma. Lancet 2021, 397, 410–427. [Google Scholar] [CrossRef]
- van de Donk, N.W.C.J.; Usmani, S.Z. CD38 Antibodies in Multiple Myeloma: Mechanisms of Action and Modes of Resistance. Front. Immunol. 2018, 9, 2134. [Google Scholar] [CrossRef]
- Krejcik, J.; Casneuf, T.; Nijhof, I.S.; Verbist, B.; Bald, J.; Plesner, T.; Syed, K.; Liu, K.; Van De Donk, N.W.C.J.; Weiss, B.M.; et al. Daratumumab Depletes CD38+ Immune Regulatory Cells, Promotes T-Cell Expansion, and Skews T-Cell Repertoire in Multiple Myeloma. Blood 2016, 128, 384–394. [Google Scholar] [CrossRef]
- Scalzo, R.E.; Sanoff, S.L.; Rege, A.S.; Kwun, J.; Knechtle, S.J.; Barisoni, L.; Byrns, J.S. Daratumumab Use Prior to Kidney Transplant and T Cell–Mediated Rejection: A Case Report. Am. J. Kidney Dis. 2023, 81, 616–620. [Google Scholar] [CrossRef]
- Wechalekar, A.D.; Sanchorawala, V. Daratumumab in AL Amyloidosis. Blood 2022, 140, 2317–2322. [Google Scholar] [CrossRef] [PubMed]
- Moroni, G.; Banfi, G.; Montoli, A.; Bucci, A.; Bertani, T.; Ravelli, M.; Pozzi, C.; Leonelli, M.; Lupo, A.; Volpi, A. Chronic Dialysis in Patients with Systemic Amyloidosis: The Experience in Northern Italy. Clin. Nephrol. 1992, 38, 81–85. [Google Scholar] [PubMed]
- Martinez-Vea, A.; García, C.; Carreras, M.; Revert, L.; Oliver, J.A. End-Stage Renal Disease in Systemic Amyloidosis: Clinical Course and Outcome on Dialysis. Am. J. Nephrol. 1990, 10, 283–289. [Google Scholar] [CrossRef] [PubMed]
- Pasternack, A.; Ahonen, J.; Kuhlbäck, B. Renal Transplantation in 45 Patients with Amyloidosis. Transplantation 1986, 42, 598–601. [Google Scholar] [CrossRef] [PubMed]
- Dorman, S.A.; Gamelli, R.L.; Benziger, J.R.; Trainer, T.D.; Foster, R.S. Systemic Amyloidosis Involving Two Renal Transplants. Hum. Pathol. 1981, 12, 735–738. [Google Scholar] [CrossRef] [PubMed]
- Angel-Korman, A.; Stern, L.; Sarosiek, S.; Sloan, J.M.; Doros, G.; Sanchorawala, V.; Havasi, A. Long-Term Outcome of Kidney Transplantation in AL Amyloidosis. Kidney Int. 2019, 95, 405–411. [Google Scholar] [CrossRef] [PubMed]
- Havasi, A.; Heybeli, C.; Leung, N.; Angel-Korman, A.; Sanchorawala, V.; Cohen, O.; Wechalekar, A.; Bridoux, F.; Jaffer, I.; Gutgarts, V.; et al. Outcomes of Renal Transplantation in Patients with AL Amyloidosis: An International Collaboration through The International Kidney and Monoclonal Gammopathy Research Group. Blood Cancer J. 2022, 12, 119. [Google Scholar] [CrossRef] [PubMed]
- Heybeli, C.; Bentall, A.; Wen, J.; Alexander, M.P.; Buadi, F.K.; Cosio, F.G.; Dean, P.G.; Dispenzieri, A.; Dingli, D.; El Ters, M.; et al. A Study from The Mayo Clinic Evaluated Long-Term Outcomes of Kidney Transplantation in Patients with Immunoglobulin Light Chain Amyloidosis. Kidney Int. 2021, 99, 707–715. [Google Scholar] [CrossRef] [PubMed]
- Law, S.; Cohen, O.; Lachmann, H.J.; Rezk, T.; Gilbertson, J.A.; Rowczenio, D.; Wechalekar, A.D.; Hawkins, P.N.; Motallebzadeh, R.; Gillmore, J.D. Renal Transplant Outcomes in Amyloidosis. Nephrol. Dial. Transplant. 2021, 36, 355–365. [Google Scholar] [CrossRef]
- Viola, D.; Dona, A.; Caserta, E.; Troadec, E.; Besi, F.; McDonald, T.; Ghoda, L.; Gunes, E.G.; Sanchez, J.F.; Khalife, J.; et al. Daratumumab Induces Mechanisms of Immune Activation through CD38+ NK Cell Targeting. Leukemia 2021, 35, 189–200. [Google Scholar] [CrossRef]
- Kwun, J.; Matignon, M.; Manook, M.; Guendouz, S.; Audard, V.; Kheav, D.; Poullot, E.; Gautreau, C.; Ezekian, B.; Bodez, D.; et al. Daratumumab in Sensitized Kidney Transplantation: Potentials and Limitations of Experimental and Clinical Use. J. Am. Soc. Nephrol. 2019, 30, 1206–1219. [Google Scholar] [CrossRef] [PubMed]
- Doberer, K.; Kläger, J.; Gualdoni, G.A.; Mayer, K.A.; Eskandary, F.; Farkash, E.A.; Agis, H.; Reiter, T.; Reindl-Schwaighofer, R.; Wahrmann, M.; et al. CD38 Antibody Daratumumab for the Treatment of Chronic Active Antibody-Mediated Kidney Allograft Rejection. Transplantation 2021, 105, 451–457. [Google Scholar] [CrossRef] [PubMed]
- Spica, D.; Junker, T.; Dickenmann, M.; Schaub, S.; Steiger, J.; Rüfli, T.; Halter, J.; Hopfer, H.; Holbro, A.; Hirt-Minkowski, P. Daratumumab for Treatment of Antibody-Mediated Rejection after ABO-Incompatible Kidney Transplantation. Case Rep. Nephrol. Dial. 2019, 9, 149–157. [Google Scholar] [CrossRef] [PubMed]
- Sarmiento, E.; Jimenez, M.; di Natale, M.; Rodriguez-Ferrero, M.; Anaya, F.; Lopez-Hoyos, M.; Rodrigo, E.; Arias, M.; Perello, M.; Seron, D.; et al. Secondary Antibody Deficiency Is Associated with Development of Infection in Kidney Transplantation: Results of a Multicenter Study. Transpl. Infect. Dis. 2021, 23, e13494. [Google Scholar] [CrossRef] [PubMed]
- Vitkon, R.; Netanely, D.; Levi, S.; Ziv-Baran, T.; Ben-Yzak, R.; Katz, B.-Z.; Benyamini, N.; Trestman, S.; Mittelman, M.; Cohen, Y.; et al. Daratumumab in Combination with Proteasome Inhibitors, Rapidly Decreases Polyclonal Immunoglobulins and Increases Infection Risk among Relapsed Multiple Myeloma Patients: A Single Center Retrospective Study. Ther. Adv. Hematol. 2021, 12, 20406207211035272. [Google Scholar] [CrossRef]
- Lancman, G.; Lozada, K.; Athar, N.; Jacobs, S.; Doucette, J.; Cho, H.J.; Jagannath, S.; Madduri, D.; Parekh, S.; Richard, S.; et al. Efficacy of Intravenous Immunoglobulin for Preventing Infections in Patients with Multiple Myeloma. Clin. Lymphoma Myeloma Leuk. 2021, 21, e470–e476. [Google Scholar] [CrossRef] [PubMed]
- Jordan, S.C.; Toyoda, M.; Kahwaji, J.; Vo, A.A. Clinical Aspects of Intravenous Immunoglobulin Use in Solid Organ Transplant Recipients. Am. J. Transplant. 2011, 11, 196–202. [Google Scholar] [CrossRef]
- Abraham, S.N.; Miao, Y. The Nature of Immune Responses to Urinary Tract Infections. Nat. Rev. Immunol. 2015, 15, 655–663. [Google Scholar] [CrossRef]
- Subramaniyan, R.; Satheshkumar, R.; Pereira, K.R. Role of Daratumumab in Transfusion Medicine: A Must Know Entity. Rev. Bras. Hematol. Hemoter. 2017, 39, 375–378. [Google Scholar] [CrossRef]
- Chapuy, C.I.; Aguad, M.D.; Nicholson, R.T.; AuBuchon, J.P.; Cohn, C.S.; Delaney, M.; Fung, M.K.; Unger, M.; Doshi, P.; Murphy, M.F.; et al. International Validation of a Dithiothreitol (DTT)-Based Method to Resolve the Daratumumab Interference with Blood Compatibility Testing. Transfusion 2016, 56, 2964–2972. [Google Scholar] [CrossRef]
- Ho, C.-S.; Putnam, K.R.; Peiter, C.R.; Herczyk, W.F.; Gerlach, J.A.; Lu, Y.; Campagnaro, E.L.; Woodside, K.J.; Cusick, M.F. Daratumumab Interferes with Allogeneic Crossmatch Impacting Immunological Assessment in Solid Organ Transplantation. J. Clin. Med. 2022, 11, 6059. [Google Scholar] [CrossRef] [PubMed]
- Ojrzynska, A.; Hassall, K.; Butler, K.; Shirling, G.; Vivers, S.; Fernando, R. Oral Abstracts. Int. J. Immunogenet. 2023, 50, 3–15. [Google Scholar] [CrossRef]
- Baig, N.A.; Dukek, B.A.; Falbo, D.K.; Wakefield, L.L.; DiGuardo, M.A.; Bobr, A.; Kreuter, J.D.; Gandhi, M.J. Daratumumab Interference in Flow Cytometric Anti-granulocyte Antibody Testing Can Be Overcome Using Non-human Blocking Antibodies. Vox Sang. 2021, 116, 116–122. [Google Scholar] [CrossRef] [PubMed]



Disclaimer/Publisher’s Note: The statements, opinions and data contained in all publications are solely those of the individual author(s) and contributor(s) and not of MDPI and/or the editor(s). MDPI and/or the editor(s) disclaim responsibility for any injury to people or property resulting from any ideas, methods, instructions or products referred to in the content. |
© 2024 by the authors. Licensee MDPI, Basel, Switzerland. This article is an open access article distributed under the terms and conditions of the Creative Commons Attribution (CC BY) license (https://creativecommons.org/licenses/by/4.0/).
Share and Cite
Mohidin, B.; Needleman, A.; Fernando, R.; Lowe, D.M.; Wechalekar, A.; Sheaff, M.; Salama, A.; Jones, G. Renal Transplant Outcomes in Plasma Cell Dyscrasias and AL Amyloidosis after Treatment with Daratumumab. J. Clin. Med. 2024, 13, 4109. https://doi.org/10.3390/jcm13144109
Mohidin B, Needleman A, Fernando R, Lowe DM, Wechalekar A, Sheaff M, Salama A, Jones G. Renal Transplant Outcomes in Plasma Cell Dyscrasias and AL Amyloidosis after Treatment with Daratumumab. Journal of Clinical Medicine. 2024; 13(14):4109. https://doi.org/10.3390/jcm13144109
Chicago/Turabian StyleMohidin, Barian, Amy Needleman, Raymond Fernando, David M. Lowe, Ashutosh Wechalekar, Michael Sheaff, Alan Salama, and Gareth Jones. 2024. "Renal Transplant Outcomes in Plasma Cell Dyscrasias and AL Amyloidosis after Treatment with Daratumumab" Journal of Clinical Medicine 13, no. 14: 4109. https://doi.org/10.3390/jcm13144109
APA StyleMohidin, B., Needleman, A., Fernando, R., Lowe, D. M., Wechalekar, A., Sheaff, M., Salama, A., & Jones, G. (2024). Renal Transplant Outcomes in Plasma Cell Dyscrasias and AL Amyloidosis after Treatment with Daratumumab. Journal of Clinical Medicine, 13(14), 4109. https://doi.org/10.3390/jcm13144109

