A Unique Case of Supernumerary Teeth Erupting Inside a Maxillary Sinus Osteoma
Abstract
1. Introduction
2. Materials and Methods
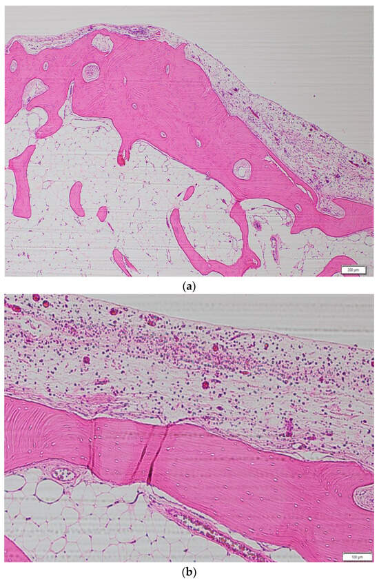
3. Case Presentation
4. Discussion
5. Conclusions
Author Contributions
Funding
Institutional Review Board Statement
Informed Consent Statement
Data Availability Statement
Conflicts of Interest
References
- Elonga, S.; Palaniappan, S.P. Ectopic tooth in the roof of the maxillary sinus. Ear. Nose Throat J. 1991, 70, 365–366. [Google Scholar]
- Lombroni, L.G.; Farronato, G.; Santamaria, G.; Lombroni, D.M.; Gatti, P.; Capelli, M. Ectopic teeth in the maxillary sinus: A case report and literature review. Indian J. Dent. Res. 2018, 29, 667–671. [Google Scholar] [PubMed]
- Baykul, T.; Doğru, H.; Yasan, H.; Cina Aksoy, M. Clinical impact of fibro sinus. Auris Nasus Larynx 2006, 33, 277–281. [Google Scholar] [CrossRef] [PubMed]
- Rajayogeswaran, V.; Eveson, J.W. Endosteal (central) osteoma of the maxilla. Br. Dent. J. 1981, 150, 162–163. [Google Scholar] [CrossRef] [PubMed]
- Park, W.; Kim, H.S. Osteoma of maxillary sinus: A case report. Oral Surg. Oral Med. Oral Pathol. Oral Radiol. Endod. 2006, 102, e26–e27. [Google Scholar] [CrossRef] [PubMed]
- Magboul, N.A.; Al-Ahmari, M.S.; Alzahrani, M.A.; Dlboh, S.S. Fibro-osseous lesion of the nose and paranasal sinus: A retrospective study with literature review. Cureus 2022, 14, e27229. [Google Scholar] [CrossRef] [PubMed]
- Osma, U.; Yaldiz, M.; Tekin, M.; Topcu, I. Giant ethmoid osteoma with orbital extension presenting with epiphora. Rhinology 2003, 41, 122–124. [Google Scholar] [PubMed]
- Lin, C.J.; Lin, Y.S.; Kang, B.H. Middle turbinate osteoma presenting with ipsilateral facial pain, epiphora, and nasal obstruction. Otolaryngol. Head Neck Surg. 2003, 128, 282–283. [Google Scholar] [PubMed]
- Borumandi, F.; Lukas, H.; Yousefi, B.; Gaggl, A. Maxillary sinus osteoma: From incidental finding to surgical management. J. Oral Maxillofac. Pathol. 2013, 17, 318. [Google Scholar] [CrossRef]
- Buyuklu, F.; Akdogan, M.V.; Ozer, C.; Cakmak, O. Growth characteristics and clinical manifestations of the paranasal sinus osteomas. Otolaryngol. Head Neck Surg. 2011, 145, 319–323. [Google Scholar] [CrossRef]
- Sayan, N.B.; Uçok, C.; Karasu, H.A.; Günhan, O. Peripheral osteoma of the oral and maxillofacial region: A study of 35 new cases. J. Oral Maxillofac. Surg. 2002, 60, 1299–1301. [Google Scholar] [CrossRef]
- Larrea-Oyarbide, N.; Valmaseda-Castellón, E.; Berini-Aytés, L.; Gay-Escoda, C. Osteomas of the craniofacial region. Review of 106 cases. J. Oral Pathol. Med. 2008, 37, 38–42. [Google Scholar] [CrossRef]
- Johann, A.C.; de Freitas, J.B.; de Aguiar, M.C.; de Araújo, N.S.; Mesquita, R.A. Peripheral osteoma of the mandible: Case report and review of the literature. J. Craniomaxillofac. Surg. 2005, 33, 276–281. [Google Scholar] [CrossRef] [PubMed]
- Çelenk, F.; Baysal, E.; Karata, Z.A.; Durucu, C.; Mumbuç, S.; Kanlıkama, M. Paranasal sinus osteomas. J. Craniofac. Surg. 2012, 23, e433–e437. [Google Scholar] [CrossRef] [PubMed]
- Koivunen, P.; Löppönen, H.; Fors, A.P.; Jokinen, K. The growth rate of osteomas of the paranasal sinuses. Clin. Otolaryngol. Allied Sci. 1997, 22, 111–114. [Google Scholar] [CrossRef]
- Oner, A.Y.; Pocan, S. Gardner’s syndrome: A case report. Br. Dent. J. 2006, 200, 666–667. [Google Scholar] [CrossRef]
- Lee, J.J.; Ryu, G.; Lee, K.E.; Hong, S.D.; Jung, Y.G.; Kim, H.Y.; Dhong, H.J.; Chung, S.K. Long-term clinical course of benign fibro-osseous lesions in the paranasal sinuses. Clin. Exp. Otorhinolaryngol. 2021, 14, 374–381. [Google Scholar] [CrossRef] [PubMed]
- Moreano, E.H.; Zich, D.K.; Goree, J.C.; Graham, S.M. Nasal tooth. Am. J. Otolaryngol. 1998, 19, 124–126. [Google Scholar] [CrossRef]
- Abdollahifakhim, S.; Mousaviagdas, M. Ectopic molar with maxillary sinus drainage obstruction and oroantral fistula. Iran. J. Otorhinolaryngol. 2013, 25, 187–192. [Google Scholar]
- Arora, P.; Nair, M.K.; Liang, H.; Patel, P.B.; Wright, J.M.; Tahmasbi-Arashlow, M. Ectopic teeth with disparate migration: A literature review and new case series. Imaging Sci. Dent. 2023, 53, 229–238. [Google Scholar] [CrossRef]
- Srinivasa Prasad, T.; Sujatha, G.; Niazi, T.M.; Rajesh, P. Dentigerous cyst associated with an ectopic third molar in the maxillary sinus: A rare entity. Indian J. Dent. Res. 2007, 18, 141–143. [Google Scholar] [CrossRef] [PubMed]
- Alfuriji, S.; Alamro, H.; Kentab, J.; Alosail, L.; Alali, L.; Altuwaijri, N.; Alalwan, R. Ectopic permanent molars: A review. Dent. J. 2023, 11, 206. [Google Scholar] [CrossRef] [PubMed]
- Dalben, G.d.S.; das Neves, L.T.; Gomide, M.R. Oral findings in patients with Apert syndrome. J. Appl. Oral. Sci. 2006, 14, 465–469. [Google Scholar] [CrossRef]
- Helm, A.; Martín-Vacas, A.; Molinero-Mourelle, P.; Caleya, A.M.; Gallardo, N.E.; Mourelle-Martínez, M.R. Ectopic eruption of maxillary first permanent molars: Preliminary results of prevalence and dentoskeletal characteristics in Spanish paediatric population. Children 2021, 8, 479. [Google Scholar] [CrossRef] [PubMed]
- Lamb, J.F.; Husein, O.F.; Spiess, A.C. Ectopic molar in the maxillary sinus precipitating a mucocele: A case report and literature review. Ear Nose Throat J. 2009, 88, E6–E11. [Google Scholar]
- Mucedero, M.; Rozzi, M.; Cardoni, G.; Ricchiuti, M.R.; Cozza, P. Dentoskeletal features in individuals with ectopic eruption of the permanent maxillary first molar. Korean J. Orthod. 2015, 45, 190–197. [Google Scholar] [CrossRef]
- Erkmen, N.; Olmez, S.; Onerci, M. Supernumerary tooth in the maxillary sinus: Case report. Aust. Dent. J. 1998, 43, 385–386. [Google Scholar] [CrossRef]
- Kayabasoglu, G.; Karaman, M.; Kaymaz, R.; Nacar, A. A rare entity causing chronic sinusitis: Ectopic tooth in maxillary sinus. Eur. J. Gen. Med. 2015, 12, 86–89. [Google Scholar]
- Lai, Y.T.; Luk, Y.S.; Fung, K.H. Anomalous morphology of an ectopic tooth in the maxillary sinus on three-dimensional computed tomography images. J. Radiol. Case Rep. 2013, 7, 11–16. [Google Scholar] [CrossRef]
- Aydın, Ü.; Aşık, B.; Ahmedov, A.; Durmaz, A. Osteoma and ectopic tooth of the left maxillary sinus: A unique coexistence. Balkan Med. J. 2016, 33, 473–476. [Google Scholar] [CrossRef]
- Aldren, C.P.; Soames, J.V.; Birchall, J.P. Bony remodelling in an osteoma of the paranasal sinuses. J. Laryngol. Otol. 1993, 107, 633–635. [Google Scholar] [CrossRef] [PubMed]
- Moretti, A.; Croce, A.; Leone, O.; D’Agostino, L. Osteoma of maxillary sinus: Case report. Acta Otorhinolaryngol. Ital. 2004, 24, 219–222. [Google Scholar] [PubMed]
- Flora, B.; Girolamo, S.D.; Passali, F.M.; Mauro, R.D.; Martino, F.; Giacomini, P.G. Paranasal sinus osteoma: Case series and a review of the literature. Glob. J. Otolaryngol. 2019, 19, 556017. [Google Scholar]
- Viterbo, S.; Griffa, A.; Boffano, P. Endoscopic removal of an ectopic tooth in maxillary sinus. J. Craniofac. Surg. 2013, 24, e46–e48. [Google Scholar] [CrossRef] [PubMed]
- Litvin, M.; Caprice, D.; Infranco, L. Dentigerous cyst of the maxilla with impacted tooth displaced into orbital rim and floor. Ear Nose Throat J. 2008, 87, 160–162. [Google Scholar] [CrossRef] [PubMed]
- Masalha, M.; Schneider, S.; Kassem, F.; Koren, I.; Eliashar, R.; Margulis, A.; Landsberg, R. Endoscopic treatment of ectopic teeth in the maxillary sinus. J. Clin. Exp. Dent. 2021, 13, e227–e233. [Google Scholar] [CrossRef]
- Chiapasco, M.; Felisati, G.; Zaniboni, M.; Pipolo, C.; Borloni, R.; Lozza, P. The treatment of sinusitis following maxillary sinus grafting with the association of functional endoscopic sinus surgery (FESS) and an intra-oral approach. Clin. Oral. Implants Res. 2013, 24, 623–629. [Google Scholar] [CrossRef]




Disclaimer/Publisher’s Note: The statements, opinions and data contained in all publications are solely those of the individual author(s) and contributor(s) and not of MDPI and/or the editor(s). MDPI and/or the editor(s) disclaim responsibility for any injury to people or property resulting from any ideas, methods, instructions or products referred to in the content. |
© 2024 by the authors. Licensee MDPI, Basel, Switzerland. This article is an open access article distributed under the terms and conditions of the Creative Commons Attribution (CC BY) license (https://creativecommons.org/licenses/by/4.0/).
Share and Cite
Kataoka, T.; Amemiya, K.; Goto, T.; Kina, H.; Tajima, E.; Okamoto, T. A Unique Case of Supernumerary Teeth Erupting Inside a Maxillary Sinus Osteoma. J. Clin. Med. 2024, 13, 4067. https://doi.org/10.3390/jcm13144067
Kataoka T, Amemiya K, Goto T, Kina H, Tajima E, Okamoto T. A Unique Case of Supernumerary Teeth Erupting Inside a Maxillary Sinus Osteoma. Journal of Clinical Medicine. 2024; 13(14):4067. https://doi.org/10.3390/jcm13144067
Chicago/Turabian StyleKataoka, Toshiyuki, Kei Amemiya, Toshiyuki Goto, Hatsuki Kina, Erica Tajima, and Toshihiro Okamoto. 2024. "A Unique Case of Supernumerary Teeth Erupting Inside a Maxillary Sinus Osteoma" Journal of Clinical Medicine 13, no. 14: 4067. https://doi.org/10.3390/jcm13144067
APA StyleKataoka, T., Amemiya, K., Goto, T., Kina, H., Tajima, E., & Okamoto, T. (2024). A Unique Case of Supernumerary Teeth Erupting Inside a Maxillary Sinus Osteoma. Journal of Clinical Medicine, 13(14), 4067. https://doi.org/10.3390/jcm13144067

