Is It Possible for Patients with Early Distal Junctional Kyphosis following Adult Cervical Deformity Corrective Surgery to Achieve Similar Outcomes to Their Unaffected Counterparts? An Analysis of Recovery Kinetics
Abstract
1. Introduction
2. Methods
2.1. Study Design
2.2. Data Collection
2.3. Development of the Normalized Integrated Health State
2.4. Statistical Analysis
3. Results
3.1. Cohort Overview
3.2. Surgical Descriptors
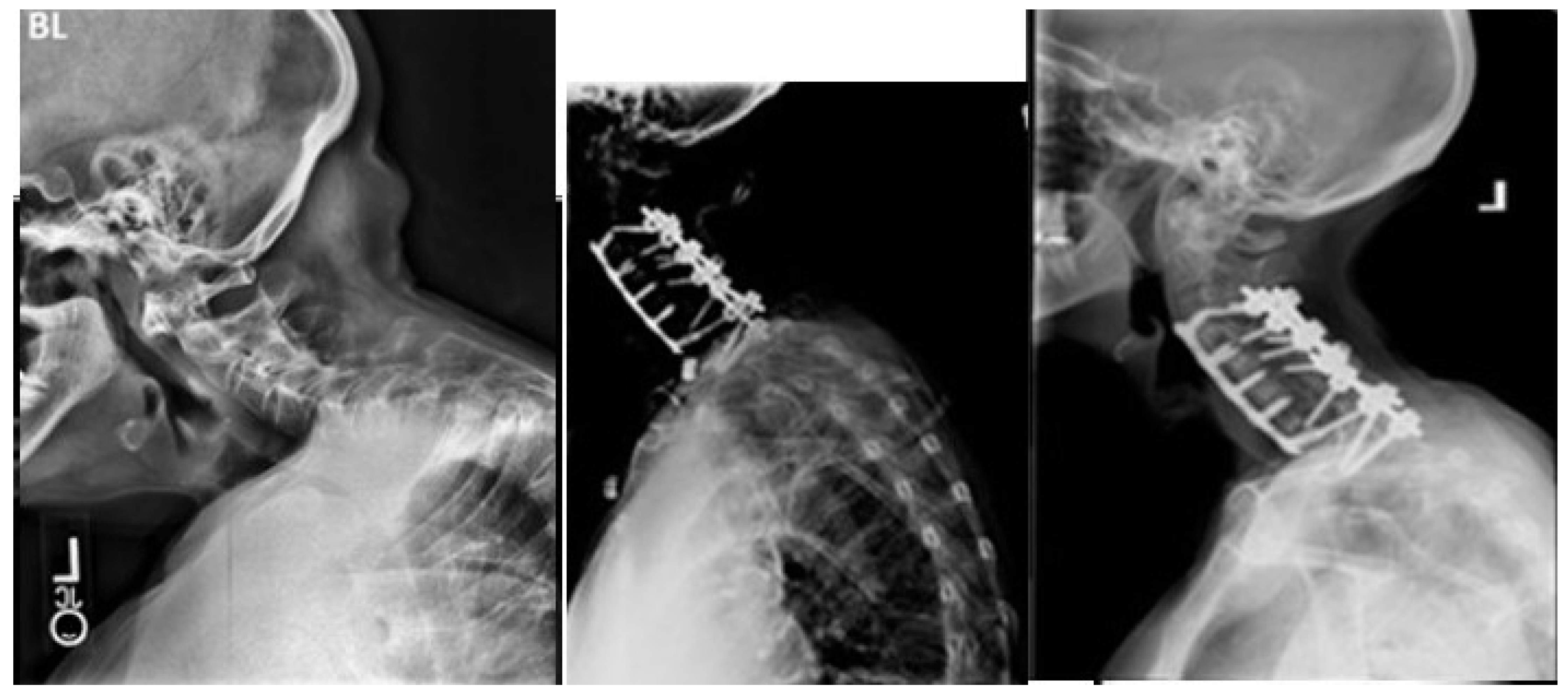
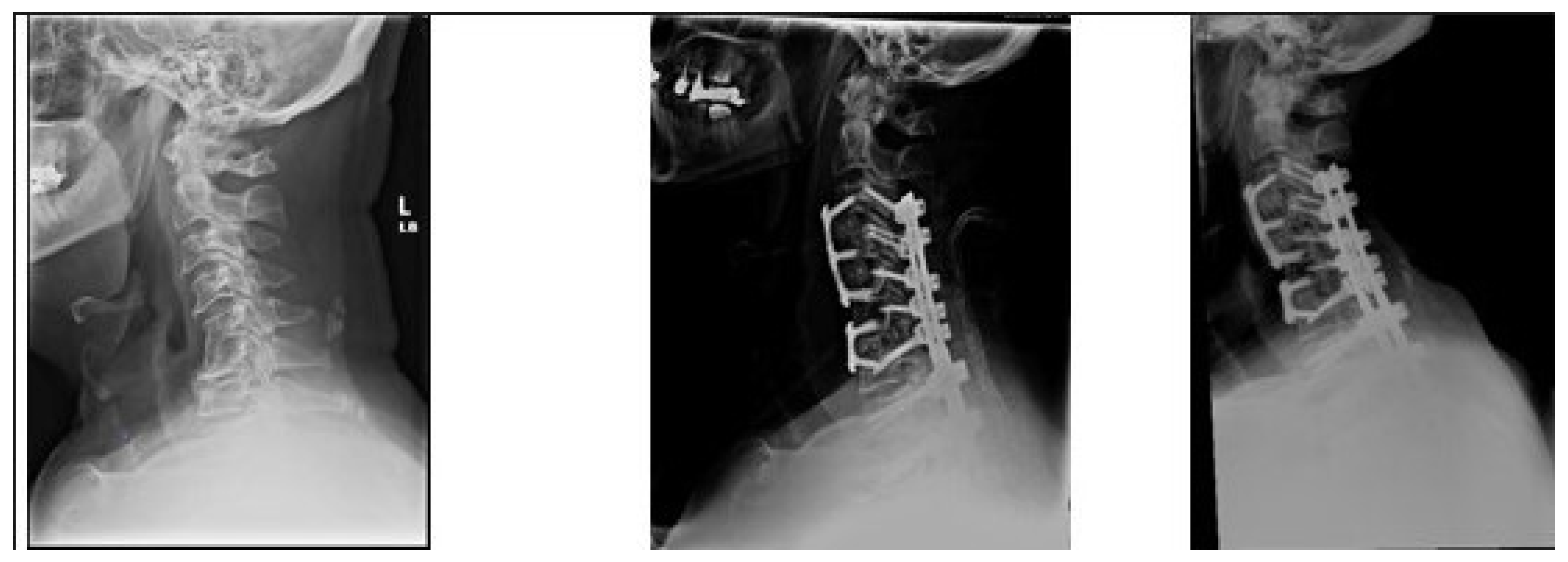
3.3. Postoperative Distal Junctional Kyphosis
3.4. Recovery Kinetics
4. Discussion
5. Conclusions
Author Contributions
Funding
Institutional Review Board Statement
Informed Consent Statement
Data Availability Statement
Conflicts of Interest
References
- Kim, H.J.; Virk, S.; Elysee, J.; Passias, P.; Ames, C.; Shaffrey, C.; Mundis, G.; Protopsaltis, T.; Gupta, M.; Klineberg, E.; et al. The morphology of cervical deformities: A two-step cluster analysis to identify cervical deformity patterns. J. Neurosurg. Spine SPI 2020, 32, 353–359. [Google Scholar] [CrossRef] [PubMed]
- Koller, H.; Ames, C.; Mehdian, H.; Bartels, R.; Ferch, R.; Deriven, V.; Toyone, H.; Shaffrey, C.; Smith, J.; Hitzl, W.; et al. Characteristics of deformity surgery in patients with severe and rigid cervical kyphosis (CK): Results of the CSRS-Europe multi-centre study project. Eur. Spine J. 2019, 28, 324–344. [Google Scholar] [CrossRef] [PubMed]
- Smith, J.S.; Line, B.; Bess, S.; Shaffrey, C.I.; Kim, H.J.; Mundis, G.; Scheer, J.K.; Klineberg, E.; O’brien, M.; Hostin, R.; et al. The Health Impact of Adult Cervical Deformity in Patients Presenting for Surgical Treatment: Comparison to United States Population Norms and Chronic Disease States Based on the EuroQuol-5 Dimensions Questionnaire. Neurosurgery 2017, 80, 716–725. [Google Scholar] [CrossRef] [PubMed]
- Ailon, T.; Smith, J.S.; Shaffrey, I.C.; Kim, H.J.; Mundis, G.; Gupta, M.; Klineberg, E.; Schwab, F.; Lafage, V.; Lafage, R.; et al. Outcomes of Operative Treatment for Adult Cervical Deformity: A Prospective Multicenter Assessment with 1-Year Follow-up. Neurosurgery 2018, 83, 1031–1039. [Google Scholar] [CrossRef] [PubMed]
- Zuckerman, S.L.; Devin, C.J. Outcomes and value in elective cervical spine surgery: An introductory and practical narrative review. J. Spine Surg. 2020, 6, 89–105. [Google Scholar] [CrossRef] [PubMed]
- Passias, P.G.; Horn, S.R.; Oh, C.; Lafage, R.; Lafage, V.; Smith, J.S.; Line, B.; Protopsaltis, T.S.; Yagi, M.; Bortz, C.A.; et al. Predicting the Occurrence of Postoperative Distal Junctional Kyphosis in Cervical Deformity Patients. Neurosurgery 2020, 86, E38–E46. [Google Scholar] [CrossRef] [PubMed]
- Akıntürk, N.; Zileli, M.; Yaman, O. Complications of adult spinal deformity surgery: A literature review. J. Craniovertebral Junction Spine 2022, 13, 17–26. [Google Scholar]
- Wang, P.Y.; Chen, C.W.; Lee, Y.F.; Hu, M.H.; Wang, T.M.; Lai, P.L.; Yang, S.H. Distal Junctional Kyphosis after Posterior Spinal Fusion in Lenke 1 and 2 Adolescent Idiopathic Scoliosis-Exploring Detailed Features of the Sagittal Stable Vertebra Concept. Glob. Spine J. 2023, 13, 1112–1119. [Google Scholar] [CrossRef] [PubMed]
- Lee, J.J.; Park, J.H.; Oh, Y.G.; Shin, H.K.; Park, B.G. Change in the Alignment and Distal Junctional Kyphosis Development after Posterior Cervical Spinal Fusion Surgery for Cervical Spondylotic Myelopathy–Risk Factor Analysis. J. Korean Neurosurg. Soc. 2022, 65, 549–557. [Google Scholar] [CrossRef] [PubMed]
- Lafage, R.; Smith, J.S.; Soroceanu, A.; Ames, C.; Passias, P.; Shaffrey, C.; Mundis, G.; Alshabab, B.S.; Protopsaltis, T.; Klineberg, E.; et al. Predicting Mechanical Failure Following Cervical Deformity Surgery: A Composite Score Integrating Age-Adjusted Cervical Alignment Targets. Glob. Spine J. 2022, 13, 2432–2438. [Google Scholar] [CrossRef] [PubMed]
- Pierce, K.E.; Passias, P.G.; Lafage, V.; Lafage, R.; Kim, H.J.; Daniels, A.H.; Eastlack, R.K.; Klineberg, E.O.; Line, B.; Protopsaltis, T.S.; et al. P48. Disparities in etiology, clinical presentation and determinants for distal junctional kyphosis based on timing of occurrence: Are we treating two separate issues? Spine J. 2020, 20 (Suppl. S9), S169. [Google Scholar] [CrossRef]
- Echt, M.; Ranson, W.; Steinberger, J.; Yassari, R.; Cho, S.K. A Systematic Review of Treatment Strategies for the Prevention of Junctional Complications after Long-Segment Fusions in the Osteoporotic Spine. Glob. Spine J. 2021, 11, 792–801. [Google Scholar] [CrossRef] [PubMed]
- Zhao, J.; Chen, K.; Zhai, X.; Chen, K.; Li, M.; Lu, Y. Incidence and risk factors of proximal junctional kyphosis after internal fixation for adult spinal deformity: A systematic evaluation and meta-analysis. Neurosurg. Rev. 2021, 44, 855–866. [Google Scholar] [CrossRef] [PubMed]
- Passias, P.G.; Vasquez-Montes, D.; Poorman, G.W.; Protopsaltis, T.; Horn, S.R.; Bortz, C.A.; Segreto, F.; Diebo, B.; Ames, C.; Smith, J.; et al. Predictive model for distal junctional kyphosis after cervical deformity surgery. Spine J. Off. J. N. Am. Spine Soc. 2018, 18, 2187–2194. [Google Scholar] [CrossRef] [PubMed]
- Kato, S.; Oshima, Y.; Matsubayashi, Y.; Taniguchi, Y.; Tanaka, S.; Takeshita, K. Minimum Clinically Important Difference and Patient Acceptable Symptom State of Japanese Orthopaedic Association Score in Degenerative Cervical Myelopathy Patients. Spine 2019, 44, 691–697. [Google Scholar] [CrossRef] [PubMed]
- Soroceanu, A.; Lau, D.; Kelly, M.P.; Passias, P.G.; Protopsaltis, T.S.; Gum, J.L.; Lafage, V.; Kim, H.-J.; Scheer, J.K.; Gupta, M.; et al. Establishing the minimum clinically important difference in Neck Disability Index and modified Japanese Orthopaedic Association scores for adult cervical deformity. J. Neurosurg. Spine 2020, 33, 441–445. [Google Scholar] [CrossRef] [PubMed]
- Carreon, L.Y.; Glassman, S.D.; Campbell, M.J.; Anderson, P.A. Neck Disability Index, short form-36 physical component summary, and pain scales for neck and arm pain: The minimum clinically important difference and substantial clinical benefit after cervical spine fusion. Spine J. Off. J. N. Am. Spine Soc. 2010, 10, 469–474. [Google Scholar] [CrossRef] [PubMed]
- Young, B.A.; Walker, M.J.; Strunce, J.B.; Boyles, R.E.; Whitman, J.M.; Childs, J.D. Responsiveness of the Neck Disability Index in patients with mechanical neck disorders. Spine J. Off. J. N. Am. Spine Soc. 2009, 9, 802–808. [Google Scholar] [CrossRef] [PubMed]
- Khan, I.; Pennings, J.S.; Devin, C.J.; Oleisky, E.R.; Bydon, M.; Asher, A.M.B.; Archer, K.R. Clinically Meaningful Improvement Following Cervical Spine Surgery: 30% Reduction Versus Absolute Point-change MCID Values. Spine 2021, 46, 717–725. [Google Scholar] [CrossRef] [PubMed]
- Liu, S.; Tetreault, L.; Fehlings, M.G.; Challier, V.; Smith, J.S.; Shaffrey, C.I.; Arnold, P.M.; Scheer, J.K.; Chapman, J.R.; Kopjar, B.; et al. Novel Method Using Baseline Normalization and Area under the Curve to Evaluate Differences in Outcome Between Treatment Groups and Application to Patients with Cervical Spondylotic Myelopathy Undergoing Anterior Versus Posterior Surgery. Spine 2015, 40, E1299–E1304. [Google Scholar] [CrossRef] [PubMed]
- Segreto, A.F.; Lafage, V.; Lafage, R.; Smith, J.S.; Line, B.G.; Eastlack, R.K.; Scheer, J.K.; Chou, D.; Frangella, N.J.; Horn, S.R.; et al. Recovery Kinetics: Comparison of Patients Undergoing Primary or Revision Procedures for Adult Cervical Deformity Using a Novel Area under the Curve Methodology. Neurosurgery 2019, 85, E40–E51. [Google Scholar] [CrossRef] [PubMed]
- Smith, J.S.; Shaffrey, C.I.; Bess, S.; Shamji, M.F.; Brodke, D.; Lenke, L.G.; Fehlings, M.G.; Lafage, V.; Schwab, F.; Vaccaro, A.R.; et al. Recent and Emerging Advances in Spinal Deformity. Neurosurgery 2017, 80, S70–S85. [Google Scholar] [CrossRef] [PubMed]
- Smith, J.S.; Buell, T.J.; Shaffrey, C.; Kim, H.J.; Klineberg, E.; Protopsaltis, T.; Passias, P.; Mundis, G.M.; Eastlack, R.; Deviren, V.; et al. Prospective multicenter assessment of complication rates associated with adult cervical deformity surgery in 133 patients with minimum 1-year follow-up. J. Neurosurg. Spine 2020, 33, 588–600. [Google Scholar] [CrossRef] [PubMed]
- Ayres, E.W.; Protopsaltis, T.S.; Ani, F.; Lafage, R.; Walia, A.; Mundis, G.M., Jr.; Smith, J.S.; Hamilton, D.K.; Klineberg, E.O.; Sciubba, D.M.; et al. Predicting the Magnitude of Distal Junctional Kyphosis Following Cervical Deformity Correction. Spine 2023, 48, 232–239. [Google Scholar] [CrossRef] [PubMed]



| DJK | Non-DJK | Sig. | |
|---|---|---|---|
| Age, years | 60.3 | 62.2 | 0.355 |
| Gender, % female | 71% female | 61% female | 0.080 |
| BMI, kg/m2 | 27.0 | 28.3 | 0.311 |
| CCI | 1.11 | 0.95 | 0.684 |
| Levels fused | 7.0 | 6.0 | 0.147 |
| EBL, mL | 1028.3 | 843.9 | 0.052 |
| Operative length, mins | 484.0 | 556.5 | 0.064 |
| Osteotomies, % | 76.5 | 49 | 0.005 |
| Parameter | DJK | Non-DJK | p-Values |
|---|---|---|---|
| PT, ° | 12.8 | 19.0 | 0.188 |
| PI, ° | 54 | 53.0 | 0.851 |
| PI-LL, ° | 3.20 | 5.01 | 0.051 |
| TK, ° | −30.8 | −16.8 | 0.071 |
| SVA, mm | −18.9 | −14.5 | 0.535 |
| TS-CL, ° | 28 | 23 | 0.442 |
| CL, ° | −9.5 | −4.5 | 0.117 |
| cSVA, mm | 59 | 43.9 | 0.031 |
| CBVA, ° | −9.5 | −1 | 0.037 |
| C2 slope, ° | 30.2 | 32.2 | 0.169 |
| DJK | Non-DJK | Sig. | |
|---|---|---|---|
| NDI BL | 54.9 | 57.6 | 0.099 |
| NDI 1Y | 45.6 | 38.2 | 0.046 |
| NDI 2Y | 40 | 37.2 | 0.289 |
| NRS-Neck BL | 7 | 6.5 | 0.743 |
| NRS-Neck 1Y | 4 | 4.4 | 0.048 |
| NRS-Neck 2Y | 6 | 4.7 | 0.162 |
| mJOA BL | 9.8 | 11.2 | 0.671 |
| mJOA 1Y | 11 | 14.5 | 0.023 |
| mJOA 2Y | 13.3 | 14.3 | 0.718 |
| EQ5D BL | 6.7 | 5.6 | 0.882 |
| EQ5D 1Y | 6.7 | 5.8 | 0.245 |
| EQ5D 2Y | 4.5 | 5.3 | 0.468 |
| Parameter | DJK | Non-DJK | p-Values |
|---|---|---|---|
| PT 1Y, ° | 19.2 | 20.4 | 0.844 |
| PT 2Y, ° | 20.6 | 19.6 | 0.111 |
| PI 1Y, ° | 52.9 | 58.6 | 0.501 |
| PI 2Y, ° | 53.9 | 57.6 | 0.690 |
| PI-LL 1Y, ° | 1.11 | 0.75 | 0.352 |
| PI-LL 2Y, ° | 3.5 | 2.6 | 0.071 |
| TK 1Y, ° | −7.3 | −8.1 | 0.665 |
| TK 2Y, ° | −7.5 | −7.3 | 0.822 |
| SVA 1Y, mm | 3.36 | 3.58 | 0.993 |
| SVA 2Y, mm | 2.44 | 1.56 | 0.754 |
| TS-CL 1Y, ° | 24 | 19.9 | 0.470 |
| TS-CL 2Y, ° | 26.9 | 23.5 | 0.628 |
| CL 1Y, ° | 4.7 | 6.2 | 0.332 |
| CL 2Y, ° | 1.25 | 4.3 | 0.132 |
| cSVA 1Y, mm | 16.9 | 19.5 | 0.171 |
| cSVA 2Y, mm | 15.3 | 18.7 | 0.231 |
| CBVA 1Y, ° | −1.9 | −1.3 | 0.075 |
| CBVA 2Y, ° | 1.6 | 1.1 | 0.210 |
| C2 slope 1Y, ° | 20.4 | 18.7 | 0.247 |
| C2 slope 2Y, ° | 23.6 | 20 | 0.601 |
| DJF 2Y, % | 16.5 | 6.3 | 0.015 |
| Neurologic complications 2Y, % | 25.4 | 8 | 0.023 |
Disclaimer/Publisher’s Note: The statements, opinions and data contained in all publications are solely those of the individual author(s) and contributor(s) and not of MDPI and/or the editor(s). MDPI and/or the editor(s) disclaim responsibility for any injury to people or property resulting from any ideas, methods, instructions or products referred to in the content. |
© 2024 by the authors. Licensee MDPI, Basel, Switzerland. This article is an open access article distributed under the terms and conditions of the Creative Commons Attribution (CC BY) license (https://creativecommons.org/licenses/by/4.0/).
Share and Cite
Onafowokan, O.O.; Imbo, B.; Williamson, T.; Das, A.; Mir, J.M.; Galetta, M.; Lorentz, N.; Passias, P.G. Is It Possible for Patients with Early Distal Junctional Kyphosis following Adult Cervical Deformity Corrective Surgery to Achieve Similar Outcomes to Their Unaffected Counterparts? An Analysis of Recovery Kinetics. J. Clin. Med. 2024, 13, 3246. https://doi.org/10.3390/jcm13113246
Onafowokan OO, Imbo B, Williamson T, Das A, Mir JM, Galetta M, Lorentz N, Passias PG. Is It Possible for Patients with Early Distal Junctional Kyphosis following Adult Cervical Deformity Corrective Surgery to Achieve Similar Outcomes to Their Unaffected Counterparts? An Analysis of Recovery Kinetics. Journal of Clinical Medicine. 2024; 13(11):3246. https://doi.org/10.3390/jcm13113246
Chicago/Turabian StyleOnafowokan, Oluwatobi O., Bailey Imbo, Tyler Williamson, Ankita Das, Jamshaid M. Mir, Matthew Galetta, Nathan Lorentz, and Peter G. Passias. 2024. "Is It Possible for Patients with Early Distal Junctional Kyphosis following Adult Cervical Deformity Corrective Surgery to Achieve Similar Outcomes to Their Unaffected Counterparts? An Analysis of Recovery Kinetics" Journal of Clinical Medicine 13, no. 11: 3246. https://doi.org/10.3390/jcm13113246
APA StyleOnafowokan, O. O., Imbo, B., Williamson, T., Das, A., Mir, J. M., Galetta, M., Lorentz, N., & Passias, P. G. (2024). Is It Possible for Patients with Early Distal Junctional Kyphosis following Adult Cervical Deformity Corrective Surgery to Achieve Similar Outcomes to Their Unaffected Counterparts? An Analysis of Recovery Kinetics. Journal of Clinical Medicine, 13(11), 3246. https://doi.org/10.3390/jcm13113246

