H3K27-Altered Diffuse Glioma of the Spinal Cord in Adult Patients: A Qualitative Systematic Review and Peculiarity of Radiological Findings
Abstract
1. Introduction
2. Materials and Methods
2.1. Search Strategy and Selection of the Studies
2.2. Data Extraction
2.3. Statistical Analysis
3. Results
3.1. Systematic Institutional and Literature Review
- −
 - −
 - Lesions were included according to both the WHO 2016 and WHO 2021 guidelines, depending on the publication date;
 - −
 - Cases of diffuse and anaplastic astrocytoma were diagnosed according to the WHO 2016 criteria;
 - −
 - Follow-up data were missing in 22 cases (35%), precluding calculation of the overall survival rate.
 
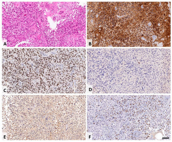
3.2. Unexpected Radiological Features in a Case of SpDG H3K27M
4. Discussion
4.1. Systematic Review
4.2. Radiological Finding
5. Conclusions
Author Contributions
Funding
Institutional Review Board Statement
Informed Consent Statement
Data Availability Statement
Conflicts of Interest
References
- Morais, N.; Lino Mascarenhas, M.; Soares-Fernandes, J.P.; Silva, A.; Magalhães, Z.; Costa, J.A.M. Primary Spinal Glioblastoma: A Case Report and Review of the Literature. Oncol. Lett. 2013, 5, 992–996. [Google Scholar] [CrossRef] [PubMed]
 - Watanabe, G.; Wong, J.M.; Estes, B.; Khan, M.F.; Ogasawara, C.; Umana, G.E.; Martin, A.R.; Bloch, O.; Palmisciano, P. Diffuse Midline H3K27-Altered Gliomas in the Spinal Cord: A Systematic Review. J. Neurooncol. 2024, 166, 379–394. [Google Scholar] [CrossRef] [PubMed]
 - Louis, D.N.; Perry, A.; Reifenberger, G.; von Deimling, A.; Figarella-Branger, D.; Cavenee, W.K.; Ohgaki, H.; Wiestler, O.D.; Kleihues, P.; Ellison, D.W. The 2016 World Health Organization Classification of Tumors of the Central Nervous System: A Summary. Acta Neuropathol. 2016, 131, 803–820. [Google Scholar] [CrossRef] [PubMed]
 - Louis, D.N.; Perry, A.; Wesseling, P.; Brat, D.J.; Cree, I.A.; Figarella-Branger, D.; Hawkins, C.; Ng, H.K.; Pfister, S.M.; Reifenberger, G.; et al. The 2021 WHO Classification of Tumors of the Central Nervous System: A Summary. Neuro Oncol. 2021, 23, 1231–1251. [Google Scholar] [CrossRef] [PubMed]
 - Ebrahimi, A.; Skardelly, M.; Schuhmann, M.U.; Ebinger, M.; Reuss, D.; Neumann, M.; Tabatabai, G.; Kohlhof-Meinecke, P.; Schittenhelm, J. High Frequency of H3 K27M Mutations in Adult Midline Gliomas. J. Cancer Res. Clin. Oncol. 2019, 145, 839–850. [Google Scholar] [CrossRef]
 - Karremann, M.; Gielen, G.H.; Hoffmann, M.; Wiese, M.; Colditz, N.; Warmuth-Metz, M.; Bison, B.; Claviez, A.; van Vuurden, D.G.; von Bueren, A.O.; et al. Diffuse High-Grade Gliomas with H3 K27M Mutations Carry a Dismal Prognosis Independent of Tumor Location. Neuro Oncol. 2018, 20, 123–131. [Google Scholar] [CrossRef]
 - Li, H.N.; Shan, C.G.; Fan, C.Z.; Cheng, L.N.; Wu, S.G.; Liu, M.T.; Jiang, G.Y.; Li, Z. Clinicopathological characteristics and prognosis of diffuse midline gliomas with histone H3K27M mutation: An analysis of 30 cases. Zhonghua Bing Li Xue Za Zhi Chin. J. Pathol. 2019, 48, 192–198. [Google Scholar] [CrossRef] [PubMed]
 - Uppar, A.M.; Sugur, H.; Prabhuraj, A.R.; Rao, M.B.; Devi, B.I.; Sampath, S.; Arivazhagan, A.; Santosh, V. H3K27M, IDH1, and ATRX Expression in Pediatric GBM and Their Clinical and Prognostic Significance. Childs Nerv. Syst. 2019, 35, 1537–1545. [Google Scholar] [CrossRef] [PubMed]
 - Song, D.; Xu, D.; Gao, Q.; Hu, P.; Guo, F. Intracranial Metastases Originating from Pediatric Primary Spinal Cord Glioblastoma Multiforme: A Case Report and Literature Review. Front. Oncol. 2020, 10, 99. [Google Scholar] [CrossRef]
 - Velz, J.; Neidert, M.C.; Struckmann, K.; Hackius, M.; Germans, M.; Bozinov, O.; Rushing, E. A Rare Case of Diffuse Midline Glioma, H3 K27M Mutant, of the Spinal Cord Mimicking Meningitis. SN Compr. Clin. Med. 2019, 1, 15–19. [Google Scholar] [CrossRef]
 - Eduardo Silva Correia, C.; Pentsova, E.; Lin, A.; Miller, A. RARE-33. Leptomeningeal Disease in Patients with Midline Gliomas Harboring Histone H3 K27m Mutations. Neuro Oncol. 2019, 21, vi228. [Google Scholar] [CrossRef]
 - Nambirajan, A.; Suri, V.; Kedia, S.; Goyal, K.; Malgulwar, P.B.; Khanna, G.; Panda, P.K.; Gulati, S.; Garg, A.; Sharma, M.C. Paediatric Diffuse Leptomeningeal Tumor with Glial and Neuronal Differentiation Harbouring Chromosome 1p/19q Co-Deletion and H3.3 K27M Mutation: Unusual Molecular Profile and Its Therapeutic Implications. Brain Tumor Pathol. 2018, 35, 186–191. [Google Scholar] [CrossRef]
 - Jung, J.S.; Choi, Y.S.; Ahn, S.S.; Yi, S.; Kim, S.H.; Lee, S.-K. Differentiation between Spinal Cord Diffuse Midline Glioma with Histone H3 K27M Mutation and Wild Type: Comparative Magnetic Resonance Imaging. Neuroradiology 2019, 61, 313–322. [Google Scholar] [CrossRef]
 - Gao, Y.; Feng, Y.-Y.; Yu, J.-H.; Li, Q.-C.; Qiu, X.-S.; Wang, E.-H. Diffuse Midline Gliomas with Histone H3-K27M Mutation: A Rare Case with PNET-like Appearance and Neuropil-like Islands. Neuropathology 2018, 38, 165–170. [Google Scholar] [CrossRef]
 - Gonzalez Castro, L.N.; Wesseling, P. The cIMPACT-NOW Updates and Their Significance to Current Neuro-Oncology Practice. Neurooncol. Pract. 2021, 8, 4–10. [Google Scholar] [CrossRef]
 - Louis, D.N.; Giannini, C.; Capper, D.; Paulus, W.; Figarella-Branger, D.; Lopes, M.B.; Batchelor, T.T.; Cairncross, J.G.; van den Bent, M.; Wick, W.; et al. cIMPACT-NOW Update 2: Diagnostic Clarifications for Diffuse Midline Glioma, H3 K27M-Mutant and Diffuse Astrocytoma/Anaplastic Astrocytoma, IDH-Mutant. Acta Neuropathol. 2018, 135, 639–642. [Google Scholar] [CrossRef]
 - Cheng, R.; Li, D.-P.; Zhang, N.; Zhang, J.-Y.; Zhang, D.; Liu, T.-T.; Yang, J.; Ge, M. Spinal Cord Diffuse Midline Glioma with Histone H3 K27M Mutation in a Pediatric Patient. Front. Surg. 2021, 8, 616334. [Google Scholar] [CrossRef]
 - Pennisi, G.; Burattini, B.; Gessi, M.; Montano, N.; Perna, A.; Silvestri, G.; Papacci, F. Unusual Case of Long Survival Patient with Leptomeningeal Carcinomatosis from Breast Cancer. Br. J. Neurosurg. 2023, 37, 1839–1842. [Google Scholar] [CrossRef]
 - Gu, Q.; Huang, Y.; Zhang, H.; Jiang, B. Case Report: Five Adult Cases of H3K27-Altered Diffuse Midline Glioma in the Spinal Cord. Front. Oncol. 2021, 11, 701113. [Google Scholar] [CrossRef]
 - Mattogno, P.P.; Menna, G.; Pennisi, G.; Corbi, L.; Sturiale, C.L.; Polli, F.M.; Olivi, A.; Della Pepa, G.M. Comparison of Effectiveness, Feasibility, Indications, and Limitations of Different Intraoperative Dyes in Spinal Neuro-Oncologic Surgery. A Systematic Review. World Neurosurg. 2022, 168, 146–153. [Google Scholar] [CrossRef]
 - Tinkle, C.L.; Orr, B.A.; Lucas, J.T.; Klimo, P.; Patay, Z.; Baker, S.J.; Broniscer, A.; Qaddoumi, I. Rapid and Fulminant Leptomeningeal Spread Following Radiotherapy in DIPG. Pediatr. Blood Cancer 2017, 64, e26416. [Google Scholar] [CrossRef]
 - Hohm, A.; Karremann, M.; Gielen, G.H.; Pietsch, T.; Warmuth-Metz, M.; Vandergrift, L.A.; Bison, B.; Stock, A.; Hoffmann, M.; Pham, M.; et al. Magnetic Resonance Imaging Characteristics of Molecular Subgroups in Pediatric H3 K27M Mutant Diffuse Midline Glioma. Clin. Neuroradiol. 2022, 32, 249–258. [Google Scholar] [CrossRef]
 - Lasocki, A.; Abdalla, G.; Chow, G.; Thust, S.C. Imaging Features Associated with H3 K27-Altered and H3 G34-Mutant Gliomas: A Narrative Systematic Review. Cancer Imaging 2022, 22, 63. [Google Scholar] [CrossRef]
 - Konrad, K.; Firk, C.; Uhlhaas, P.J. Brain Development During Adolescence. Dtsch. Arztebl. Int. 2013, 110, 425–431. [Google Scholar] [CrossRef]
 - Lebrun, L.; Bizet, M.; Melendez, B.; Alexiou, B.; Absil, L.; Van Campenhout, C.; D’Haene, N.; Rorive, S.; Fuks, F.; Decaestecker, C.; et al. Analyses of DNA Methylation Profiling in the Diagnosis of Intramedullary Astrocytomas. J. Neuropathol. Exp. Neurol. 2021, 80, 663–673. [Google Scholar] [CrossRef]
 - Gessi, M.; Gielen, G.H.; Dreschmann, V.; Waha, A.; Pietsch, T. High Frequency of H3F3A (K27M) Mutations Characterizes Pediatric and Adult High-Grade Gliomas of the Spinal Cord. Acta Neuropathol. 2015, 130, 435–437. [Google Scholar] [CrossRef]
 - Meyronet, D.; Esteban-Mader, M.; Bonnet, C.; Joly, M.-O.; Uro-Coste, E.; Amiel-Benouaich, A.; Forest, F.; Rousselot-Denis, C.; Burel-Vandenbos, F.; Bourg, V.; et al. Characteristics of H3 K27M-Mutant Gliomas in Adults. Neuro-Oncology 2017, 19, 1127–1134. [Google Scholar] [CrossRef]
 - Kleinschmidt-DeMasters, B.K.; Mulcahy Levy, J.M. H3 K27M-Mutant Gliomas in Adults vs. Children Share Similar Histological Features and Adverse Prognosis. Clin. Neuropathol. 2018, 37, 53–63. [Google Scholar] [CrossRef]
 - Peters, K.; Pratt, D.; Koschmann, C.; Leung, D. Prolonged Survival in a Patient with a Cervical Spine H3K27M-Mutant Diffuse Midline Glioma. BMJ Case Rep. 2019, 12, e231424. [Google Scholar] [CrossRef]
 - Goldstein, E.D.; Kyper, C.M.; Siegel, J.L. Diffuse Midline Glioma H3 K27M-Mutant Manifested as Progressive Paraplegia. Neurohospitalist 2020, 10, 73–74. [Google Scholar] [CrossRef]
 - Schreck, K.C.; Ranjan, S.; Skorupan, N.; Bettegowda, C.; Eberhart, C.G.; Ames, H.M.; Holdhoff, M. Incidence and Clinicopathologic Features of H3 K27M Mutations in Adults with Radiographically-Determined Midline Gliomas. J. Neurooncol. 2019, 143, 87–93. [Google Scholar] [CrossRef]
 - Dono, A.; Takayasu, T.; Ballester, L.Y.; Esquenazi, Y. Adult Diffuse Midline Gliomas: Clinical, Radiological, and Genetic Characteristics. J. Clin. Neurosci. 2020, 82, 1–8. [Google Scholar] [CrossRef]
 - Kamidani, R.; Okada, H.; Yasuda, R.; Yoshida, T.; Kusuzawa, K.; Ichihashi, M.; Kakino, Y.; Oiwa, H.; Kitagawa, Y.; Fukuta, T.; et al. Diffuse Midline Glioma in the Spinal Cord with Rapid Respiratory Deterioration. Acute Med. Surg. 2020, 7, e500. [Google Scholar] [CrossRef]
 - Kraus, T.F.J.; Machegger, L.; Pöppe, J.; Zellinger, B.; Dovjak, E.; Schlicker, H.U.; Schwartz, C.; Ladisich, B.; Spendel, M.; Kral, M.; et al. Diffuse Midline Glioma of the Cervical Spinal Cord with H3 K27M Genotype Phenotypically Mimicking Anaplastic Ganglioglioma: A Case Report and Review of the Literature. Brain Tumor Pathol. 2020, 37, 89–94. [Google Scholar] [CrossRef]
 - Aftahy, A.K.; Butenschoen, V.M.; Hoenikl, L.; Liesche-Starnecker, F.; Wiestler, B.; Schmidt-Graf, F.; Meyer, B.; Gempt, J. A Rare Case of H3K27-Altered Diffuse Midline Glioma with Multiple Osseous and Spinal Metastases at the Time of Diagnosis. BMC Neurol. 2023, 23, 87. [Google Scholar] [CrossRef]
 - Wang, L.; Li, Z.; Zhang, M.; Piao, Y.; Chen, L.; Liang, H.; Wei, Y.; Hu, Z.; Zhao, L.; Teng, L.; et al. H3 K27M-Mutant Diffuse Midline Gliomas in Different Anatomical Locations. Hum. Pathol. 2018, 78, 89–96. [Google Scholar] [CrossRef]
 - Handis, C.; Tanrıkulu, B.; Danyeli, A.E.; Özek, M.M. Spinal Intramedullary H3K27M Mutant Glioma with Vertebral Metastasis: A Case Report. Childs Nerv. Syst. 2021, 37, 3933–3937. [Google Scholar] [CrossRef]
 - Yabuno, S.; Kawauchi, S.; Umakoshi, M.; Uneda, A.; Fujii, K.; Ishida, J.; Otani, Y.; Hattori, Y.; Tsuboi, N.; Kohno, S.; et al. Spinal Cord Diffuse Midline Glioma, H3K27M- Mutant Effectively Treated with Bevacizumab: A Report of Two Cases. NMC Case Rep. J. 2021, 8, 505–511. [Google Scholar] [CrossRef]
 - Einstein, E.H.; Bonda, D.; Hosseini, H.; Harel, A.; Palmer, J.D.; Giglio, P.; Barve, R.; Gould, M.; Lonser, R.R.; D’Amico, R.S. Large Adult Spinal Diffuse Midline Histone H3 Lysine27-to-Methionine-Mutant Glioma with Intramedullary and Extramedullary Components Presenting with Progressive Hydrocephalus: A Case Report Highlighting Unique Imaging Findings and Treatment. Cureus 2021, 13, e15333. [Google Scholar] [CrossRef]
 - Palpan Flores, A.; Rodríguez Domínguez, V.; Esteban Rodriguez, I.; Román de Aragón, M.; Zamarrón Pérez, Á. H3K27M-Mutant Glioma in Thoracic Spinal Cord and Conus Medullaris with Pilocytic Astrocytoma Morphology: Case Report and Review of the Literature. Br. J. Neurosurg. 2021, 1–7. [Google Scholar] [CrossRef]
 - Majzner, R.G.; Ramakrishna, S.; Yeom, K.W.; Patel, S.; Chinnasamy, H.; Schultz, L.M.; Richards, R.M.; Jiang, L.; Barsan, V.; Mancusi, R.; et al. GD2-CAR T Cell Therapy for H3K27M-Mutated Diffuse Midline Gliomas. Nature 2022, 603, 934–941. [Google Scholar] [CrossRef]
 - Neth, B.J.; Balakrishnan, S.N.; Carabenciov, I.D.; Uhm, J.H.; Daniels, D.J.; Kizilbash, S.H.; Ruff, M.W. Panobinostat in Adults with H3 K27M-Mutant Diffuse Midline Glioma: A Single-Center Experience. J. Neurooncol. 2022, 157, 91–100. [Google Scholar] [CrossRef]
 - Horta, L.; Virmani, D.; Lau, K.H.V.; Anand, P. Isolated High-Grade Malignancy of the Spinal Cord Presenting as Longitudinally Extensive Transverse Myelitis. Neurohospitalist 2022, 12, 273–275. [Google Scholar] [CrossRef]
 - Maimaiti, B.; Mijiti, S.; Jiang, T.; Xie, Y.; Zhao, W.; Cheng, Y.; Meng, H. Case Report: H3K27M-Mutant Glioblastoma Simultaneously Present in the Brain and Long-Segment Spinal Cord Accompanied by Acute Pulmonary Embolism. Front. Oncol. 2022, 11, 763854. [Google Scholar] [CrossRef]
 - Bassa, B.; Battmann, A.; Craemer, E.M.; Meyding-Lamadé, U. Flank Pain as a First Symptom of a Diffuse Midline Glioma. Case Rep. Neurol. 2023, 15, 1–5. [Google Scholar] [CrossRef]
 - Chen, X.; Li, Y.; Bu, H.; Zou, Y.; He, J.; Liu, H. Adult Spinal Cord Diffuse Midline Glioma, H3 K27-Altered Mimics Symptoms of Central Nervous System Infection: A Case Report. Front. Neurol. 2023, 14, 1097157. [Google Scholar] [CrossRef]
 - Saluja, S.; Razzaq, B.; Servider, J.A.; Seidman, R.; Mushlin, H. Diffuse Midline Glioma, H3K27-Altered, of the Conus Medullaris Presenting as Acute Urinary Retention: Illustrative Case. J. Neurosurg. Case Lessons 2023, 5, 16. [Google Scholar] [CrossRef]
 - Mo, Y.; Duan, S.; Zhang, X.; Hua, X.; Zhou, H.; Wei, H.-J.; Watanabe, J.; McQuillan, N.; Su, Z.; Gu, W.; et al. Epigenome Programing by H3.3K27M Mutation Creates a Dependence of Pediatric Glioma on SMARCA4. Cancer Discov. 2022, 12, 2906–2929. [Google Scholar] [CrossRef]
 - Yi, S.; Choi, S.; Shin, D.A.; Kim, D.S.; Choi, J.; Ha, Y.; Kim, K.N.; Suh, C.-O.; Chang, J.H.; Kim, S.H.; et al. Impact of H3.3 K27M Mutation on Prognosis and Survival of Grade IV Spinal Cord Glioma on the Basis of New 2016 World Health Organization Classification of the Central Nervous System. Neurosurgery 2019, 84, 1072–1081. [Google Scholar] [CrossRef]
 - Ying, Y.; Liu, X.; Li, X.; Mei, N.; Ruan, Z.; Lu, Y.; Yin, B. Distinct MRI Characteristics of Spinal Cord Diffuse Midline Glioma, H3 K27-Altered in Comparison to Spinal Cord Glioma without H3 K27-Alteration and Demyelination Disorder. Acta Radiol. 2024, 65, 284–293. [Google Scholar] [CrossRef]
 






| Characteristics | N | |
|---|---|---|
| Total Patients | 62 | |
| Male (%) | 28 (45%) | |
| Female (%) | 28 (45%) | |
| NA (%) | 6 (10%) | |
| Median Age (IQR) years | 33 (25–51) | |
| Grading | 2 (%) | 3 (5%) | 
| 3 (%) | 5 (8%) | |
| 4 (%) | 54 (87%) | |
| Spinal tract | Cervical (%) | 11 (18%) | 
| Thoracic (%) | 18 (29%) | |
| Lumbar (%) | 2 (3%) | |
| Cervical-thoracic (%) | 5 (8%) | |
| Thoracolumbar | 5 (8%) | |
| Holocord | 1 (2%) | |
| NA | 20 (32%) | |
| Pathology | Glioblastoma (%) | 27 (43%) | 
| Diffuse midline glioma * (%) | 22 (35%) | |
| Diffuse astrocytoma (%) | 3 (5%) | |
| Anaplastic Astrocytoma (%) | 10 (16%) | |
| Surgery (%) | 27 (44%) | |
| Biopsy (%) | 33 (53%) | |
| NA (%) | 2 (3%) | |
| Treatment | Ctx (%) | |
| Yes | 27 (43%) | |
| No | 11 (18%) | |
| NA | 24 (39%) | |
| Rtx (%) | ||
| Yes | 31 (50%) | |
| No | 8 (13%) | |
| NA | 24 (37%) | |
| Mean Fu (SD±) months | Overall | 25.75 (SD ± 16.78) | 
| Authors | Year | Gender | Age | Grading (WHO) * | Spinal Tract | Treatment | FU (Months) | Status | CTx | RT (y = Y; n = N) | Pathology | 
|---|---|---|---|---|---|---|---|---|---|---|---|
| Morais et al. [1] | 2012 | M | 19 | 4 | Th | S | 18 | A | Y | Y | GBM | 
| Gessi et al. [26] | 2015 | F | 17 | 4 | NA | S | NA | NA | NA | NA | GBM | 
| M | 20 | 3 | Th | S | NA | NA | NA | NA | An Astro | ||
| M | 22 | 4 | Th | S | NA | NA | NA | NA | GBM | ||
| M | 34 | 4 | Th | S | NA | NA | NA | NA | GBM | ||
| M | 55 | 4 | L | S | NA | NA | NA | NA | GBM | ||
| M | 51 | 4 | Th | S | NA | NA | NA | NA | GBM | ||
| M | 62 | 3 | C | S | NA | NA | NA | NA | An Astro | ||
| M | 47 | 2 | C | S | NA | NA | NA | NA | Diff Astro | ||
| Meyronet et al. [27] | 2017 | F | 19 | 4 | NA | S | 1.5 | D | N | N | GBM | 
| M | 20 | 4 | NA | B | 7 | D | Y | Y | GBM | ||
| M | 31 | 4 | NA | B | 1.3 | D | N | Y | GBM | ||
| M | 52 | 4 | NA | S | 15 | A | N | N | GBM | ||
| Kleinschmidt-Demasters et al. [28] | 2018 | F | 27 | 4 | Th | B | 10.2 | D | NA | NA | GBM | 
| F | 33 | 3 | Th | B | 5.1 | D | NA | NA | An Astro | ||
| F | 72 | 4 | Th | B | 3.2 | D | NA | NA | GBM | ||
| Gao et al. [14] | 2018 | F | 51 | 4 | C | S | 6 | D | N | N | DMG | 
| Peters et al. [29] | 2019 | M | 39 | 4 | C | S | 31 | D | Y | Y | GBM | 
| Velz et al. [10] | F | 25 | 4 | CT | B | 0.4 | D | N | N | GBM | |
| Uppar et al. [8] | 2019 | F | 28 | 4 | C | S | 0.76 | D | N | N | GBM | 
| Goldstein et al. [30] | 2019 | F | 19 | 4 | Th | B | NA | NA | Y | Y | DMG | 
| Schreck et al. [31] | 2019 | M | 31 | 4 | NA | B | 4 | D | N | N | GBM | 
| F | 38 | 3 | NA | B | 25 | D | Y | Y | An Astro | ||
| Lebrun et al. [25] | 2020 | NA | NA | 4 | NA | B | 21 | A | NA | NA | An Astro | 
| NA | NA | 4 | NA | B | 27 | D | NA | NA | An Astro | ||
| NA | NA | 4 | NA | B | 31 | D | NA | NA | An Astro | ||
| NA | NA | 4 | NA | B | 20 | D | NA | NA | An Astro | ||
| NA | NA | 4 | NA | B | 43 | D | NA | NA | An Astro | ||
| Ebrahimi et al. [5] | 2020 | M | 23 | 4 | NA | B | NA | NA | NA | NA | GBM | 
| F | 31 | 4 | NA | B | NA | NA | NA | NA | GBM | ||
| M | 58 | 2 | NA | B | NA | NA | NA | NA | Diff Astro | ||
| F | 61 | 3 | NA | B | NA | NA | NA | NA | An Astro | ||
| M | 73 | 2 | NA | B | NA | NA | NA | NA | Diff Astro | ||
| M | 73 | 4 | NA | B | NA | NA | NA | NA | GBM | ||
| Dono et al. [32] | 2020 | F | 23 | 4 | NA | S | 9.3 | D | Y | Y | DMG | 
| F | 33 | 4 | NA | B | 34.8 | D | Y | Y | DMG | ||
| Kamidani et al. [33] | 2020 | M | 32 | 4 | CT | B | 1.16 | A | Y | Y | DMG | 
| Kraus et al. [34] | 2020 | M | 28 | 4 | C | S | NA | NA | Y | Y | DMG | 
| Aftahy et al. [35] | 2023 | M | 28 | 4 | C | S | NA | NA | Y | Y | DMG | 
| Wang L et al. [36] | 2020 | M | 50 | 4 | C | B | 19.87 | A | Y | Y | DMG | 
| Handis et al. [37] | 2021 | F | 16 | 4 | CT | B | 5 | D | Y | Y | DMG | 
| Gu et al. [19] | 2021 | M | 49 | 4 | Th | S | 15 | A | Y | Y | GBM | 
| F | 39 | 4 | Th | S | 13 | A | Y | Y | GBM | ||
| F | 32 | 4 | C | S | 27 | A | Y | Y | GBM | ||
| M | 65 | 4 | CT | S | NA | A | Y | Y | GBM | ||
| F | 27 | 4 | Th | S | 26 | A | Y | Y | GBM | ||
| Yabuno et al. [38] | 2021 | F | 47 | 4 | TL | B | 17 | D | Y | Y | DMG | 
| F | 46 | 4 | C | B | 11 | D | Y | Y | DMG | ||
| Einsten et al. [39] | 2021 | F | 33 | 4 | Th | B | NA | A | N | Y | DMG | 
| Palpan Flores et al. [40] | 2021 | M | 20 | 4 | TL | S | 24 | A | Y | Y | DMG | 
| F | 33 | 4 | L | B | NA | NA | NA | NA | GBM | ||
| Majzner et al. [41] | 2021 | NA | 25 | 4 | Th | B | 20 | D | NA | N | DMG | 
| Neth et al. [42] | 2022 | M | 28 | 4 | Th | S | 30 | D | Y | Y | DMG | 
| F | 48 | 4 | C | S | 42 | A | Y | Y | DMG | ||
| F | 22 | 4 | C | B | 6 | A | Y | Y | DMG | ||
| Horta et al. [43] | 2022 | F | 21 | 4 | Th | B | NA | NA | Y | Y | DMG | 
| Maimati et al. [44] | 2022 | F | 61 | 4 | CT | NA | 3 | D | N | N | GBM | 
| Our Case | 2022 | M | 25 | 4 | Th | S | 20 | A | Y | Y | GBM | 
| Bassa et al. [45] | 2023 | F | 31 | 4 | TL | NA | 20 | A | N | Y | DMG | 
| Chen et al. [46] | 2023 | M | 32 | 4 | TL | S | 6 | D | Y | Y | DMG | 
| Saluja et al. [47] | 2023 | M | 38 | 4 | TL | S | NA | D | N | Y | DMG | 
| Mo et al. [48] | 2023 | M | 20 | 4 | Th | B | 6 | D | Y | Y | DMG | 
| F | 23 | 4 | Th | B | 18 | D | Y | Y | DMG | 
Disclaimer/Publisher’s Note: The statements, opinions and data contained in all publications are solely those of the individual author(s) and contributor(s) and not of MDPI and/or the editor(s). MDPI and/or the editor(s) disclaim responsibility for any injury to people or property resulting from any ideas, methods, instructions or products referred to in the content.  | 
© 2024 by the authors. Licensee MDPI, Basel, Switzerland. This article is an open access article distributed under the terms and conditions of the Creative Commons Attribution (CC BY) license (https://creativecommons.org/licenses/by/4.0/).
Share and Cite
Auricchio, A.M.; Pennisi, G.; Menna, G.; Olivi, A.; Gessi, M.; Gielen, G.H.; Gaudino, S.; Montano, N.; Papacci, F. H3K27-Altered Diffuse Glioma of the Spinal Cord in Adult Patients: A Qualitative Systematic Review and Peculiarity of Radiological Findings. J. Clin. Med. 2024, 13, 2972. https://doi.org/10.3390/jcm13102972
Auricchio AM, Pennisi G, Menna G, Olivi A, Gessi M, Gielen GH, Gaudino S, Montano N, Papacci F. H3K27-Altered Diffuse Glioma of the Spinal Cord in Adult Patients: A Qualitative Systematic Review and Peculiarity of Radiological Findings. Journal of Clinical Medicine. 2024; 13(10):2972. https://doi.org/10.3390/jcm13102972
Chicago/Turabian StyleAuricchio, Anna Maria, Giovanni Pennisi, Grazia Menna, Alessandro Olivi, Marco Gessi, Gerrit H. Gielen, Simona Gaudino, Nicola Montano, and Fabio Papacci. 2024. "H3K27-Altered Diffuse Glioma of the Spinal Cord in Adult Patients: A Qualitative Systematic Review and Peculiarity of Radiological Findings" Journal of Clinical Medicine 13, no. 10: 2972. https://doi.org/10.3390/jcm13102972
APA StyleAuricchio, A. M., Pennisi, G., Menna, G., Olivi, A., Gessi, M., Gielen, G. H., Gaudino, S., Montano, N., & Papacci, F. (2024). H3K27-Altered Diffuse Glioma of the Spinal Cord in Adult Patients: A Qualitative Systematic Review and Peculiarity of Radiological Findings. Journal of Clinical Medicine, 13(10), 2972. https://doi.org/10.3390/jcm13102972
        
