Impact of Fat Distribution and Metabolic Diseases on Cerebral Microcirculation: A Multimodal Study on Type 2 Diabetic and Obese Patients
Abstract
1. Introduction
2. Materials and Methods
2.1. Study Participants
2.2. Assessment of Anthropometric Parameters
2.3. Measurement of Laboratory Parameters
2.4. Measurements of Carotid Intima-Media Thickness (cIMT-IMT)
2.5. Estimation of Cerebrovascular Reactivity (CVR) based on Breath-Holding Test
2.6. Brain Perfusion Assessment with Single-Photon Emission Computed Tomography (SPECT) at Rest
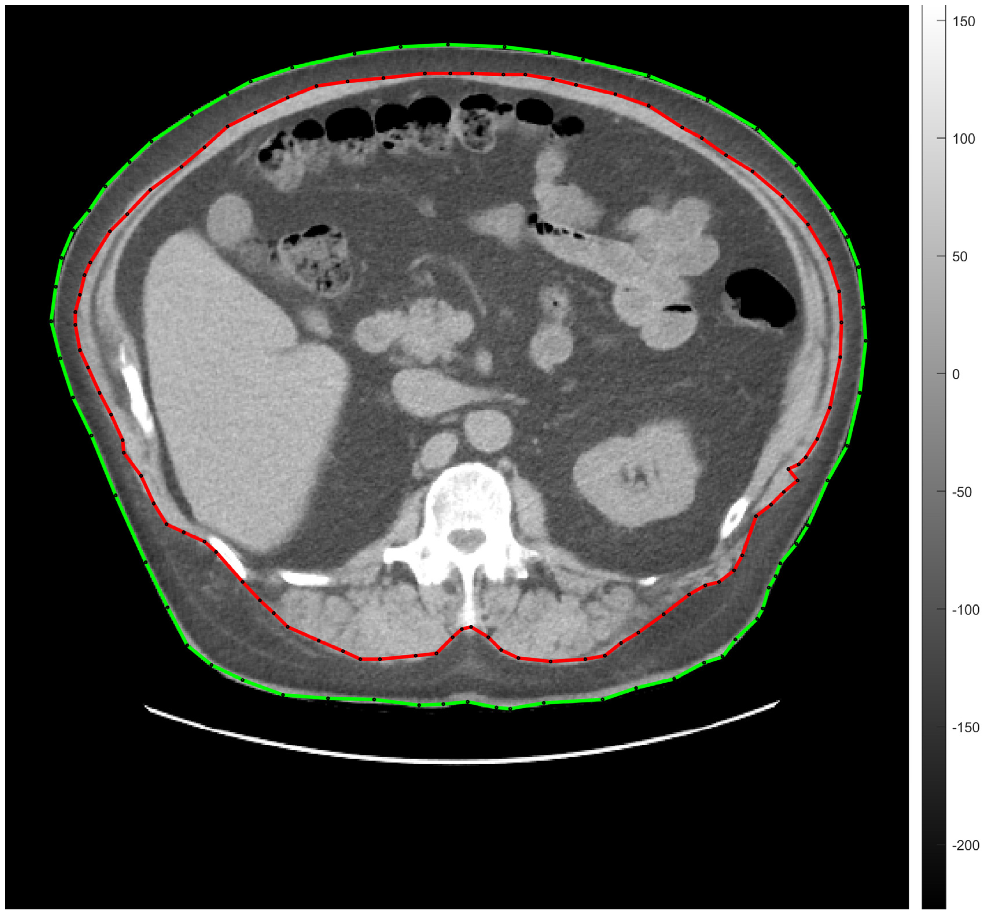
2.7. Abdominal Fat Tissue Segmentation
2.8. Statistical Analyses
3. Results
3.1. Group Comparison
3.1.1. Anthropometric Parameters
3.1.2. Glucose Homeostasis
3.1.3. Resting Cerebral Blood Perfusion (CBP), Breath-Holding Test (BHT) and Intima-Media Thickness (IMT)
3.2. Correlation Analyses
4. Discussion
4.1. Group Comparison
4.2. Correlations between the Assessed Metabolic and Vascular Parameters
5. Conclusions—Future Outlook
Supplementary Materials
Author Contributions
Funding
Institutional Review Board Statement
Informed Consent Statement
Data Availability Statement
Conflicts of Interest
References
- Claassen, J.; Thijssen, D.; Panerai, R.; Faraci, F. Regulation of cerebral blood flow in humans: Physiology and clinical implications of autoregulation. Physiol. Rev. 2021, 101, 1487–1559. [Google Scholar] [CrossRef] [PubMed]
- Tchistiakova, E.; Anderson, N.; Greenwood, C.; MacIntosh, B. Combined effects of type 2 diabetes and hypertension associated with cortical thinning and impaired cerebrovascular reactivity relative to hypertension alone in older adults. Neuroimage Clin. 2014, 5, 36–41. [Google Scholar] [CrossRef]
- Ivankovic, M.; Radman, M.; Gverovic-Antunica, A.; Tesanovic, S.; Trgo, G.; Demarin, V. Influence of hypertension and type 2 diabetes mellitus on cerebrovascular reactivity in diabetics with retinopathy. Ann. Saudi Med. 2013, 33, 130–133. [Google Scholar] [CrossRef] [PubMed][Green Version]
- Machado, H.; Vieira, M.; Cunha, M.; Correia, M.; Fukui, R.; Santos, R.; Rocha, D.; Wajchenberg, B.; Lage, S.; Silva, M. Metformin, but not glimepiride, improves carotid artery diameter and blood flow in patients with type 2 diabetes mellitus. Clinics 2012, 67, 711–717. [Google Scholar] [CrossRef]
- Georgakis, M.; Harshfield, E.; Malik, R.; Franceschini, N.; Langenberg, C.; Wareham, N.; Markus, H.; Dichgans, M. Diabetes Mellitus, Glycemic Traits, and Cerebrovascular Disease: A Mendelian Randomization Study. Neurology 2021, 96, 1732–1742. [Google Scholar] [CrossRef]
- Sun, J.; Xu, B.; Zhang, X.; He, Z.; Liu, Z.; Liu, R.; Nan, G. The Mechanisms of Type 2 Diabetes-Related White Matter Intensities: A Review. Front. Public Health 2020, 8, 498056. [Google Scholar] [CrossRef]
- Kaze, A.; Santhanam, S.; Erqou, S.; Bertoni, A.; Ahima, R.; Echouffo-Tcheugui, J. Microvascular disease and cardiovascular outcomes among individuals with type 2 diabetes. Diabetes Res. Clin. Pract. 2021, 176, 108859. [Google Scholar] [CrossRef]
- Marini, S.; Merino, J.; Montgomery, B.; Malik, R.; Sudlow, C.; Dichgans, M.; Florez, J.; Rosand, J.; Gill, D.; Anderson, C. Mendelian Randomization Study of Obesity and Cerebrovascular Disease. Ann. Neurol. 2020, 87, 516–524. [Google Scholar] [CrossRef] [PubMed]
- Morys, F.; Dadar, M.; Dagher, A. Association Between Midlife Obesity and Its Metabolic Consequences, Cerebrovascular Disease, and Cognitive Decline. J. Clin. Endocrinol. Metab. 2021, 106, 4260–4274. [Google Scholar] [CrossRef]
- Cui, Y.; Liang, X.; Gu, H.; Hu, Y.; Zhao, Z.; Yang, X.; Qian, C.; Yang, Y.; Teng, G. Cerebral perfusion alterations in type 2 diabetes and its relation to insulin resistance and cognitive dysfunction. Brain Imaging Behav. 2017, 11, 1248–1257. [Google Scholar] [CrossRef]
- Aghjayan, S.; Stillman, C.; Nokali, N.; Watt, J.; Richards, E.; Bertocci, M.; Erickson, K.; Rofey, D. Differences in adolescent cerebral perfusion as a function of obesity: Results from the FLEX-Brain study. Obesity 2021, 29, 1171–1177. [Google Scholar] [CrossRef] [PubMed]
- Hadi, H.; Suwaidi, J. Endothelial dysfunction in diabetes mellitus. Vasc. Health Risk Manag. 2007, 3, 853–876. [Google Scholar]
- Ajjan, R.; Kietsiriroje, N.; Badimon, L.; Vilahur, G.; Gorog, D.; Angiolillo, D.; Russell, D.; Rocca, B.; Storey, R. Antithrombotic therapy in diabetes: Which, when, and for how long? Eur. Heart J. 2021, 42, 2235–2259. [Google Scholar] [CrossRef] [PubMed]
- Caprio, Z.; Sorond, F. Cerebrovascular Disease: Primary and Secondary Stroke Prevention. Med. Clin. N. Am. 2019, 103, 295–308. [Google Scholar] [CrossRef] [PubMed]
- Guzik, A.; Bushnell, C. Stroke Epidemiology and Risk Factor Management. Continuum 2017, 23, 15–39. [Google Scholar] [CrossRef] [PubMed]
- Potter, T.; Tannous, J.; Vahidy, F. A Contemporary Review of Epidemiology, Risk Factors, Etiology, and Outcomes of Premature Stroke. Curr. Atheroscler. Rep. 2022, 24, 939–948. [Google Scholar] [CrossRef] [PubMed]
- Anderson, C. Progress-Defining Risk Factors for Stroke Prevention. Cerebrovasc. Dis. 2021, 50, 615–616. [Google Scholar] [CrossRef] [PubMed]
- Ryk, A.; Łosiewicz, A.; Michalak, A.; Fendler, W. Biological Activity of c-Peptide in Microvascular Complications of Type 1 Diabetes-Time for Translational Studies or Back to the Basics? Int. J. Mol. Sci. 2020, 21, 9723. [Google Scholar] [CrossRef] [PubMed]
- Forst, T.; Kunt, T.; Wilhelm, B.; Weber, M.; Pfützner, A. Role of C-Peptide in the Regulation of Microvascular Blood Flow. Exp. Diabetes Res. 2008, 2008, 176245. [Google Scholar] [CrossRef]
- Tchernof, A.; Després, J. Pathophysiology of human visceral obesity: An update. Physiol. Rev. 2013, 93, 359–404. [Google Scholar] [CrossRef]
- Yates, K.; Sweat, V.; Yau, P.; Turchiano, M.; Convit, A. Impact of metabolic syndrome on cognition and brain: A selected review of the literature. Arterioscler. Thromb. Vasc. Biol. 2012, 32, 2060–2067. [Google Scholar] [CrossRef] [PubMed]
- Crișan, G.; Moldovean-Cioroianu, N.; Timaru, D.; Andrieș, G.; Căinap, C.; Chiș, V. Radiopharmaceuticals for PET and SPECT Imaging: A Literature Review over the Last Decade. Int. J. Mol. Sci. 2022, 23, 5023. [Google Scholar] [CrossRef] [PubMed]
- Képes, Z.; Nagy, F.; Budai, Á.; Barna, S.; Esze, R.; Somodi, S.; Káplár, M.; Garai, I.; Varga, J. Age, BMI and diabetes as independent predictors of brain hypoperfusion. Nucl. Med. Rev. 2021, 24, 11–15. [Google Scholar] [CrossRef] [PubMed]
- Ebrahim, S.; Papacosta, O.; Whincup, P.; Wannamethee, G.; Walker, M.; Nicolaides, A.; Dhanjil, S.; Griffin, M.; Belcaro, G.; Rumley, A.; et al. Carotid Plaque, Intima Media Thickness, Cardiovascular Risk Factors, and Prevalent Cardiovascular Disease in Men and Women. Stroke 1999, 30, 841–850. [Google Scholar] [CrossRef]
- Øygarden, H. Carotid Intima-Media Thickness and Prediction of Cardiovascular Disease. J. Am. Heart Assoc. 2017, 6, 005313. [Google Scholar] [CrossRef] [PubMed]
- Smitha, B.; Yadav, D.; Joseph, P. Evaluation of carotid intima media thickness measurement from ultrasound images. Med. Biol. Eng. Comput. 2022, 60, 407–419. [Google Scholar] [CrossRef] [PubMed]
- Müller, M.; Voges, M.; Piepgras, U.; Schimrigk, K. Assessment of cerebral vasomotor reactivity by transcranial Doppler ultrasound and breath-holding. A comparison with acetazolamide as vasodilatory stimulus. Stroke 1995, 26, 96–100. [Google Scholar] [CrossRef]
- Zavoreo, I.; Demarin, V. Breath holding index and arterial stiffness as markers of vascular aging. Curr. Aging Sci. 2010, 3, 67–70. [Google Scholar] [CrossRef] [PubMed]
- Káplár, M.; Sweni, S.; Kulcsár, J.; Cogoi, B.; Esze, R.; Somodi, S.; Papp, M.; Oláh, L.; Magyar, M.; Szabó, K.; et al. Mannose-Binding Lectin Levels and Carotid Intima-Media Thickness in Type 2 Diabetic Patients. J. Diabetes Res. 2016, 2016, 8132925. [Google Scholar] [CrossRef]
- Järvisalo, M.; Raitakari, M.; Toikka, J.; Putto-Laurila, A.; Rontu, R.; Laine, S.; Lehtimäki, T.; Rönnemaa, T.; Viikari, J.; Raitakari, O. Endothelial dysfunction and increased arterial intima-media thickness in children with type 1 diabetes. Circulation 2004, 109, 1750–1755. [Google Scholar] [CrossRef]
- Csiba, L. Ultrasound in acute ischemic stroke. In Textbook of Stroke Medicine, 2nd ed.; Brainin, M., Heiss, W., Eds.; Cambridge University Press: Cambridge, UK, 2014; Chapter 5; pp. 82–101. [Google Scholar]
- Markus, H.; Harrison, M. Estimation of cerebrovascular reactivity using transcranial Doppler, including the use of breath-holding as the vasodilatory stimulus. Stroke 1992, 23, 668–673. [Google Scholar] [CrossRef]
- Egeresi, L.; Székely, A.; Kallos-Balogh, P.; Trón, L.; Garai, I.; Balkay, L. Effect of Single-Slice CT Segmentation Methods on Fat Volume and Body Shape Estimation. Acta Polytech. Hung. 2023, 20, 267668968. [Google Scholar] [CrossRef]
- Birdsill, A.; Carlsson, C.; Willette, A.; Okonkwo, O.; Johnson, S.; Xu, G.; Oh, J.; Gallagher, C.; Koscik, R.; Jonaitis, E.; et al. Low cerebral blood flow is associated with lower memory function in metabolic syndrome. Obesity 2014, 21, 1313–1320. [Google Scholar] [CrossRef]
- Willeumier, C.; Taylor, D.; Amen, D. Elevated BMI is associated with decreased blood flow in the prefrontal cortex using SPECT imaging in healthy adults. Obesity 2011, 19, 1095–1097. [Google Scholar] [CrossRef]
- Novak, V.; Last, D.; Alsop, D.; Abduljalil, A.; Hu, K.; Lepicovsky, L.; Cavallerano, J.; Lipsitz, L. Cerebral blood flow velocity and periventricular white matter hyperintensities in type 2 diabetes. Diabetes Care 2006, 29, 1529–1534. [Google Scholar] [CrossRef] [PubMed]
- Selvarajah, D.; Hughes, T.; Reeves, J.; Boland, E.; Marques, J.; Gandhi, R.; Griffiths, P.; Tesfaye, S.; Wilkinson, I. A preliminary study of brain macrovascular reactivity in impaired glucose tolerance and type-2 diabetes: Quantitative internal carotid artery blood flow using magnetic resonance phase contrast angiography. Diabetes Vasc. Dis. Res. 2016, 13, 367–372. [Google Scholar] [CrossRef] [PubMed]
- Buratti, L.; Viticchi, G.; Falsetti, L.; Balucani, C.; Altamura, C.; Petrelli, C.; Provinciali, L.; Vernieri, F.; Silvestrini, M. Thresholds of impaired cerebral hemodynamics that predict short-term cognitive decline in asymptomatic carotid stenosis. J. Cereb. Blood Flow Metab. 2016, 36, 1804–1812. [Google Scholar] [CrossRef]
- Liu, Y.; Fujiyoshi, A.; Arima, H.; Kadota, A.; Kadowaki, S.; Hisamatsu, T.; Miyazawa, I.; Kondo, K.; Tooyama, I.; Miura, K.; et al. Anthropometric Obesity Indices were Stronger than CT-Based Indices in Associations with Carotid Intima-Media Thickness in Japanese Men. J. Atheroscler. Thromb. 2019, 26, 1102–1114. [Google Scholar] [CrossRef]
- Rodríguez-Flores, M.; García-García, E.; Cano-Nigenda, C.; Cantú-Brito, C. Relationship of obesity and insulin resistance with the cerebrovascular reactivity: A case control study. Cardiovasc. Diabetol. 2014, 13, 2. [Google Scholar] [CrossRef] [PubMed]
- Sugiura, T.; Dohi, Y.; Takagi, Y.; Yoshikane, N.; Ito, M.; Suzuki, K.; Nagami, T.; Iwase, M.; Seo, Y.; Ohte, N. Relationships of Obesity-Related Indices and Metabolic Syndrome with Subclinical Atherosclerosis in Middle-Aged Untreated Japanese Workers. J. Atheroscler. Thromb. 2020, 27, 342–352. [Google Scholar] [CrossRef]
- Ko, G.; Chow, C.; Leung, G.; Au-Yeung, T.; Chan, W.; Lam, C.; Lo, M.; Lee, K. High rate of increased carotid intima-media thickness and atherosclerotic plaques in Chinese asymptomatic subjects with central obesity. Int. J. Cardiovasc. Imaging 2011, 27, 833–841. [Google Scholar] [CrossRef]
- Qu, B.; Qu, T. Causes of changes in carotid intima-media thickness: A literature review. Cardiovasc. Ultrasound 2015, 13, 46. [Google Scholar] [CrossRef] [PubMed]
- Catafau, A.; Lomeña, F.; Pavia, J.; Parellada, E.; Bernardo, M.; Setoain, J.; Tolosa, E. Regional cerebral blood flow pattern in normal young and aged volunteers: A 99mTc-HMPAO SPET study. Eur. J. Nucl. Med. 1996, 23, 1329–1337. [Google Scholar] [CrossRef]
- Forst, T.; Kunt, T. Effects of C-peptide on microvascular blood flow and blood hemorheology. Exp. Diabesity Res. 2004, 5, 51–64. [Google Scholar] [CrossRef] [PubMed]
- Ghorbani, A.; Shafiee-Nick, R. Pathological consequences of C-peptide deficiency in insulin-dependent diabetes mellitus. World. J. Diabetes 2015, 6, 145–150. [Google Scholar] [CrossRef]
- Bhatt, M.; Lim, Y.; Ha, K. C-peptide replacement therapy as an emerging strategy for preventing diabetic vasculopathy. Cardiovasc. Res. 2014, 104, 234–244. [Google Scholar] [CrossRef] [PubMed]
- Souto, S.; Campos, J.; Fangueiro, J.; Silva, A.; Cicero, N.; Lucarini, M.; Durazzo, A.; Santini, A.; Souto, E. Multiple Cell Signalling Pathways of Human Proinsulin C-Peptide in Vasculopathy Protection. Int. J. Mol. Sci. 2020, 21, 645. [Google Scholar] [CrossRef]
- Kim, S.; Kim, B.; Lim, D.; Song, I.; Jung, J.; Lee, K.; Park, K.; Cho, Y.; Lee, D.; Koh, G. Basal C-peptide Level as a Surrogate Marker of Subclinical Atherosclerosis in Type 2 Diabetic Patients. Diabetes Metab. J. 2011, 35, 41–49. [Google Scholar] [CrossRef]




| Parameters | Type 2 Diabetic Participants (n = 52) | Non-DM, Obese Participants (n = 47) | Reference Range | p Value | ||
|---|---|---|---|---|---|---|
| Mean | SD | Mean | SD | |||
| HbA1c (%) | 7.56 | 1.25 | 5.51 | 0.32 | 4.2–6.1% | <0.001 |
| glucose (mmol/L) | 8.86 | 3.14 | 5.45 | 0.55 | 3.6–6 mmol/L | <0.001 |
| C-peptide (pmol/L) | 765.77 | 453.94 | 864.43 | 395.70 | 350–1170 pmol/L | <0.05 |
| insulin (mU/L) | 14.21 | 10.87 | 17.34 | 10.18 | 4.3–20 mU/L | 0.051 |
| HOMA-IR | 5.87 | 5.47 | 4.27 | 2.72 | <4.0 | 0.519 |
Disclaimer/Publisher’s Note: The statements, opinions and data contained in all publications are solely those of the individual author(s) and contributor(s) and not of MDPI and/or the editor(s). MDPI and/or the editor(s) disclaim responsibility for any injury to people or property resulting from any ideas, methods, instructions or products referred to in the content. |
© 2024 by the authors. Licensee MDPI, Basel, Switzerland. This article is an open access article distributed under the terms and conditions of the Creative Commons Attribution (CC BY) license (https://creativecommons.org/licenses/by/4.0/).
Share and Cite
Esze, R.; Balkay, L.; Barna, S.; Egeresi, L.S.; Emri, M.; Páll, D.; Paragh, G.; Rajnai, L.; Somodi, S.; Képes, Z.; et al. Impact of Fat Distribution and Metabolic Diseases on Cerebral Microcirculation: A Multimodal Study on Type 2 Diabetic and Obese Patients. J. Clin. Med. 2024, 13, 2900. https://doi.org/10.3390/jcm13102900
Esze R, Balkay L, Barna S, Egeresi LS, Emri M, Páll D, Paragh G, Rajnai L, Somodi S, Képes Z, et al. Impact of Fat Distribution and Metabolic Diseases on Cerebral Microcirculation: A Multimodal Study on Type 2 Diabetic and Obese Patients. Journal of Clinical Medicine. 2024; 13(10):2900. https://doi.org/10.3390/jcm13102900
Chicago/Turabian StyleEsze, Regina, László Balkay, Sándor Barna, Lilla Szatmáriné Egeresi, Miklós Emri, Dénes Páll, György Paragh, Liliána Rajnai, Sándor Somodi, Zita Képes, and et al. 2024. "Impact of Fat Distribution and Metabolic Diseases on Cerebral Microcirculation: A Multimodal Study on Type 2 Diabetic and Obese Patients" Journal of Clinical Medicine 13, no. 10: 2900. https://doi.org/10.3390/jcm13102900
APA StyleEsze, R., Balkay, L., Barna, S., Egeresi, L. S., Emri, M., Páll, D., Paragh, G., Rajnai, L., Somodi, S., Képes, Z., Garai, I., & Káplár, M. (2024). Impact of Fat Distribution and Metabolic Diseases on Cerebral Microcirculation: A Multimodal Study on Type 2 Diabetic and Obese Patients. Journal of Clinical Medicine, 13(10), 2900. https://doi.org/10.3390/jcm13102900

