Analysis of Target Vessel Instability in Fenestrated Endovascular Repair (f-EVAR) in Thoraco-Abdominal Aortic Pathologies
Abstract
1. Introduction
2. Methods
2.1. Target Vessel Anatomical Measurements
- -
- Diameter: centerline-adjusted automatic measurement (Figure 1).
- -
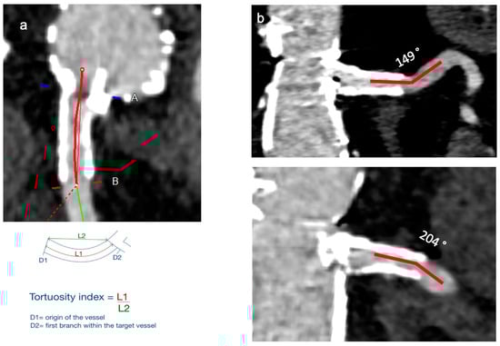
- Angle: measured as the angle between the target vessel and the aortic wall (Figure 1).
- -
- Tortuosity index: calculated as a ratio between the length along the centerline and the linear distance between the orifice of the target vessel to 3 cm distal into the vessel (Figure 1).

- -
- Change of clock position/horizontal misalignment: difference between planned clock position of branch postoperative changed clock position.
- -
- Tortuosity index: calculated as a ratio between length of bridging stent along the centerline and the linear distance between beginning and end of bridging stent (Figure 2).
- -
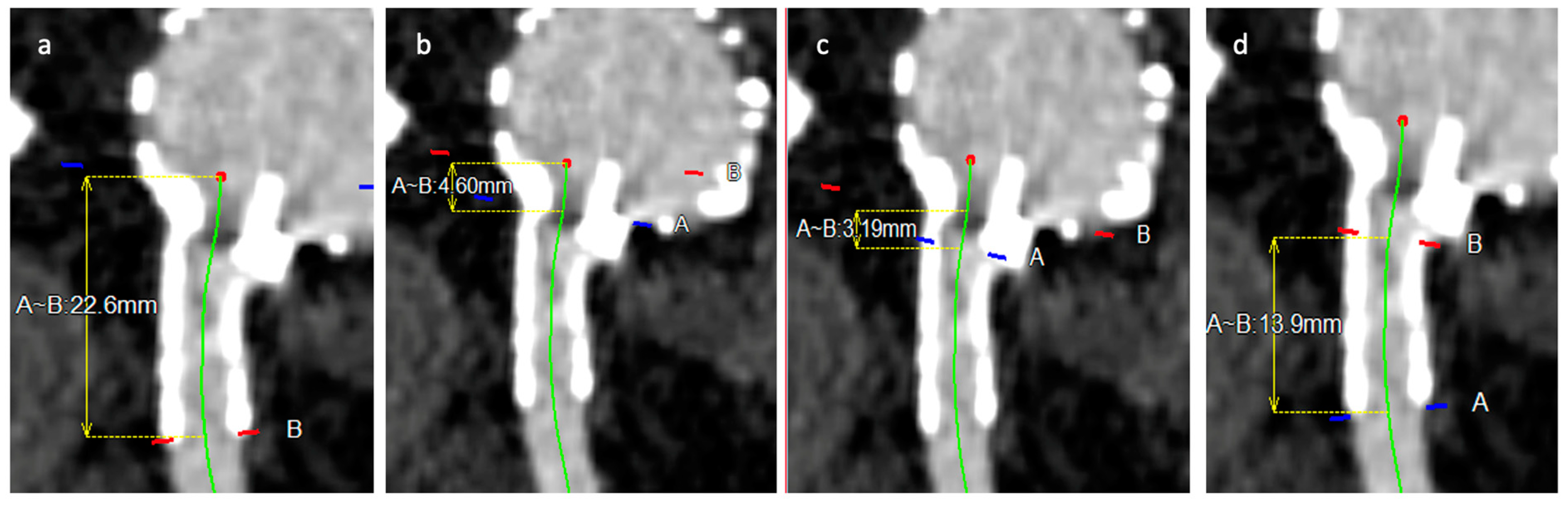
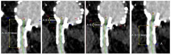
- Total bridging stent length: length of stent between the beginning of the branch until the end of stent in target vessel (Figure 3).
- -
- Bridging stent sealing length: length of the stent apposition to the arterial wall into the target vessel (Figure 3).
- -
- Bridging length (gap): length between the end of main body branch and the origin of the target vessel (Figure 3).
- -
- Protrusion: length of bridging stent protrusion from fenestration into aortic lumen (Figure 3).
- -
- Flaring ratio: ratio between diameter of bridging stent in fenestration and diameter of maximum flared stent-graft end in aorta.
- -
- Oversizing ratio: measured as a ratio between the size of native and stented target vessel.
- -
- Post-stenting angle: downward angle between distal stented and proximal native target vessel.
2.2. Endpoints and Definitions
2.3. Statistical Analysis
3. Results
3.1. 30-Day Outcomes
3.2. Follow-Up Outcomes
3.3. Analysis of Target Vessel Instability
4. Discussion
5. Conclusions
Supplementary Materials
Author Contributions
Funding
Institutional Review Board Statement
Informed Consent Statement
Data Availability Statement
Conflicts of Interest
References
- Verhoeven, E.; Vourliotakis, G.; Bos, W.; Tielliu, I.; Zeebregts, C.; Prins, T.; Bracale, U.; Dungen, J.v.D. Fenestrated stent grafting for short-necked and juxtarenal abdominal aortic aneurysm: An 8-year single-centre experience. Eur. J. Vasc. Endovasc. Surg. 2010, 39, 529–536. [Google Scholar] [CrossRef] [PubMed]
- Verhoeven, E.; Katsargyris, A.; Oikonomou, K.; Kouvelos, G.; Renner, H.; Ritter, W. Fenestrated Endovascular Aortic Aneurysm Repair as a First Line Treatment Option to Treat Short Necked, Juxtarenal, and Suprarenal Aneurysms. Eur. J. Vasc. Endovasc. Surg. 2016, 51, 775–781. [Google Scholar] [CrossRef] [PubMed]
- Oderich, G.S.; Tenorio, E.R.; Mendes, B.C.; Lima, G.B.B.; Marcondes, G.B.; Saqib, N.M.; Hofer, J.; Wong, J.M.; Macedo, T.A. Midterm Outcomes of a Prospective, Nonrandomized Study to Evaluate Endovascular Repair of Complex Aortic Aneurysms Using Fenestrated-Branched Endografts. Ann. Surg. 2021, 274, 491–499. [Google Scholar] [CrossRef] [PubMed]
- Gallitto, E.; Faggioli, G.; Melissano, G.; Fargion, A.; Isernia, G.; Lenti, M.; Pratesi, C.; Chiesa, R.; Gargiulo, M.; Luca, B.; et al. Preoperative and postoperative predictors of clinical outcome of fenestrated and branched endovascular repair for complex abdominal and thoracoabdominal aortic aneurysms in an Italian multicenter registry. J. Vasc. Surg. 2021, 74, 1795–1806.e6. [Google Scholar] [CrossRef] [PubMed]
- Benfor, B.; Högl, J.; Gouveia EMelo, R.; Stana, J.; Prendes, C.F.; Pichlmaier, M.; Rantner, B.; Tsilimparis, N. Postoperative Outcomes and Reinterventions Following Fenestrated/Branched Endovascular Aortic Repair in Post-Dissection and Complex Degenerative Abdominal and Thoraco-Abdominal Aortic Aneurysms. J. Clin. Med. 2022, 11, 4768. [Google Scholar] [CrossRef]
- Bertoglio, L.; Loschi, D.; Cambiaghi, T.; Mascia, D.; Kahlberg, A.; Melissano, G.; Chiesa, R. Preliminary outcomes of the LifeStream balloon-expandable covered stent in fenestrated and branched thoracoabdominal endovascular repairs. J. Endovasc. Ther. 2018, 25, 230–236. [Google Scholar] [CrossRef] [PubMed]
- Gallitto, E.; Faggioli, G.; Pini, R.; Mascoli, C.; Sonetto, A.; Abualhin, M.; Logiacco, A.; Ricco, J.-B.; Gargiulo, M. First/preliminary experience of Gore Viabahn balloon-expandable endoprosthesis as bridging stent in fenestrated and branched endovascular aortic repair. Ann. Vasc. Surg. 2019, 61, 299–309. [Google Scholar] [CrossRef]
- van der Riet, C.; Schuurmann, R.C.L.; Verhoeven, E.L.G.; Zeebregts, C.J.; Tielliu, I.F.J.; Bokkers, R.P.H.; Katsargyris, A.; de Vries, J.P.M. Outcomes of Advanta V12 Covered Stents after Fenestrated Endovascular Aneurysm Repair. J. Endovasc. Ther. 2021, 28, 700–706. [Google Scholar] [CrossRef]
- Mezzetto, L.; Mastrorilli, D.; Leone, N.; Gennai, S.; Silingardi, R.; Veraldi, G.F.; Piazza, M.; Squizzato, F.; Antonello, M. Preliminary Outcomes of Viabahn Balloon-Expandable Endoprosthesis as Bridging Stent in Renal Arteries During Fenestrated Endovascular Aortic Repair. J. Endovasc. Ther. 2021, 28, 575–584. [Google Scholar] [CrossRef]
- Clough, R.E.; Spear, R.; Mougin, J.; Le Houérou, T.; Fabre, D.; Sobocinski, J.; Haulon, S. Midterm Outcomes of BeGraft Stent Grafts Used as Bridging Stents in Fenestrated Endovascular Aortic Aneurysm Repair. J. Endovasc. Ther. 2022, 30, 592–599. [Google Scholar] [CrossRef]
- Spear, R.; Sobocinski, J.; Hertault, A.; Delloye, M.; Azzauiu, R.; Fabre, D.; Haulon, S. One year outcomes of 101 BeGraft stent grafts used as bridging stents in fenestrated endovascular repairs. Eur. J. Vasc. Endovasc. Surg. 2018, 55, 504–510. [Google Scholar] [CrossRef]
- Becker, D.; Fernandez Prendes, C.; Stana, J.; Stavroulakis, K.; Konstantinou, N.; Ali, A.; Rantner, B.; Tsilimparis, N. Outcome of the BeGraft bridging stent in fenestrated endovascular aortic repair in a high-volume center and an overview of current evidence. J. Endovasc. Ther. 2024. Online ahead of print. [Google Scholar] [CrossRef]
- Kärkkäinen, J.M.; Tenorio, E.R.; Pather, K.; Mendes, B.C.; Macedo, T.A.; Wigham, J.; Diderrich, A.; Oderich, G.S. Outcomes of small renal artery targets in patients treated by fenestrated-branched endovascular aortic repair. Eur. J. Vasc. Endovasc. Surg. 2020, 59, 910–917. [Google Scholar] [CrossRef]
- Squizzato, F.; Antonello, M.; Forcella, E.; Coppadoro, S.; Colacchio, C.; Xodo, A.; Grego, F.; Piazza, M. Geormetrical determinants of target vessel instability in fenestrated endovascular aortic repair. J. Vasc. Surg. 2021, 76, 335–343. [Google Scholar] [CrossRef]
- Chait, J.; Tenorio, E.R.; Mendes, B.C.; Lima, G.B.B.; Marcondes, G.B.; Wong, J.; Macedo, T.A.; De Martino, R.R.; Oderich, G.S. Impact of gap distance between fenestration and aortic wall on target artery instability following fenestrated-branched endovascular aortic repair. J. Vasc. Surg. 2022, 76, 79–87.e4. [Google Scholar] [CrossRef]
- Oderich, G.S.; Forbes, T.L.; Chaer, R.; Davies, M.G.; Lindsay, T.F.; Mastracci, T.; Singh, M.J.; Timaran, C.; Woo, E.Y. Reporting standards for endovascular aortic repair of aneurysms involving the renal-mesenteric arteries. J. Vasc. Surg. 2020, 73, 4S–52S. [Google Scholar] [CrossRef]
- Tran, K.; Suh, G.-Y.; Mougin, J.; Haulon, S.; Cheng, C. Respiratory-induced changes renovisceral branch vessel morphology after fenestrated thoracoabdominal aneurysm repair with Begraft balloon-expandable covered stent. J. Vasc. Surg. 2021, 74, 396–403. [Google Scholar] [CrossRef]
- Silverberg, D.; Aburamileh, A.; Rimon, U.; Raskin, D.; Khaitovich, B.; Halak, M. Secondary interventions after fenestrated and branched endovascular repair of complex aortic aneurysms. J. Vasc. Surg. 2020, 72, 866–872. [Google Scholar] [CrossRef]
- Kärkkäinen, J.M.; Tenorio, E.R.; Jain, A.; Mendes, B.C.; Macedo, T.A.; Pather, K.; Gloviczki, P.; Oderich, G.S. Outcomes of target vessel endoleaks after fenestrated-branched endovascular aortic repair. J. Vasc. Surg. 2020, 72, 445–455. [Google Scholar] [CrossRef]
- Dossabhoy, S.S.; Simons, J.P.; Diamond, K.R.; Flahive, J.M.; Aiello, F.A.; Arous, E.J.; Messina, L.M.; Schanzer, A. Reinterventions after fenestrated or branched endovascular aortic aneurysm repair. J. Vasc. Surg. 2018, 68, 669–681. [Google Scholar] [CrossRef]
- Martin-Gonzalez, T.; Mastracci, T.; Carrell, T.; Constantinou, J.; Dias, N.; Katsargyris, A.; Modarai, B.; Resch, T.; Verhoeven, E.; Haulon, S. Mid-term outcomes of renal branches versus renal fenestrations for thoraco-abdominal aneurysm repair. Eur. J. Vasc. Endovasc. Surg. 2016, 52, 141–148. [Google Scholar] [CrossRef]
- Oderich, G.S.; Correa, M.P.; Mendes, B.C. Technical aspects of repair of juxtarenal abdominal aortic aneurysms using the Zenith fenestrated endovascular stent graft. J. Vasc. Surg. 2014, 59, 1456–1461. [Google Scholar] [CrossRef] [PubMed]
- Gallitto, E.; Faggioli, G.; Pini, R.; Mascoli, C.; Ancetti, S.; Abualhin, M.; Stella, A.; Gargiulo, M. Renal artery orientation influences the renal outcome in endovascular thoraco-abdominal aortic aneurysm repair. Eur. J. Vasc. Endovasc. Surg. 2018, 56, 382–390. [Google Scholar] [CrossRef] [PubMed]
- Zimmermann, A.; Menges, A.-L.; Rancic, Z.; Meuli, L.; Dueppers, P.; Reutersberg, B. E-nside Off-the-shelf inner branch stent graft: Technical aspects of planning and implantation. J. Endovasc. Ther. 2021, 29, 167–174. [Google Scholar] [CrossRef] [PubMed]
- George, M.J.; Dias-Neto, M.; Tenorio, E.R.; Skibber, M.A.; Morris, J.M.; Oderich, G.S. 3D printing in aortic endovascular therapies. J. Cardiovasc. Surg. 2022, 63, 597–605. [Google Scholar] [CrossRef] [PubMed]




| f-EVAR (n = 136) | |
|---|---|
| Male | 111 (81.6) |
| Age—years | 70 ± 10.5 |
| BMI—kg/cm2 | 26.4 ± 4.6 |
| Hypertension | 120 (88.2) |
| Dyslipidemia | 84 (61.8) |
| CKD | 54 (45) |
| CAD | 35 (25.7) |
| CHF | 18 (13.2) |
| Past PTCA | 19 (14) |
| Past CABG | 16 (11.8) |
| Arrythmia | 26 (19.1) |
| Smoker (current or ex) | 97 (71) |
| COPD | 34 (25) |
| Diabetes | 23 (16.9) |
| PAD | 14 (10.3) |
| Past Stroke/TIA | 12 (8.8) |
| Cancer | 15 (10.9) |
| CTD | 3 (2.2) |
| Previous aortic surgery | |
| 75 (55.1) 4 (2.9) 12 (8.8) 28 (20.4) 12 (8.8) 19 (13.9) |
| Degenerative Aneurysm | 108 (79) |
| 10 (9.3) |
| 71 (65.7) |
| 14 (13.0) |
| 3 (2.8) |
| 0 (0) |
| 3 (2.8) |
| 5 (4.6) |
| 2 (1.9) |
| Post-dissection aneurysm | 28 (21) |
| 16 (57.1) 2 4 5 |
| 12 (42.9) 3 5 4 |
| Urgency | |
| 109 (80.1) |
| 13 (9.6) |
| 14 (10.3) |
| Previous aortic surgery | |
| 75 (55.1) 4 (2.9) 12 (8.8) 28 (20.4) 12 (8.8) 19 (13.9) |
| Target Vessel Instability | ||||||||
|---|---|---|---|---|---|---|---|---|
| N = 136 | Yes (n = 10) | No (n = 126) | Univariate Analysis | Multi-Variate Analysis | ||||
| HR | (CI 95%) | p | HR | (CI 95%) | p | |||
| Sex | 1.780 | (1.048–2.665) | 0.01 | 1.217 | (1.055–1.858) | 0.029 | ||
| 5 | 20 | ||||||
| 5 | 106 | ||||||
| Age | 66.3 ± 11.4 | 70.6 ± 10.4 | 0.979 | (0.923–1.038) | 0.480 | |||
| Previous surgery | 0.408 | (0.092–1.802) | 0.237 | |||||
| 7 | 79 | ||||||
| 3 | 47 | ||||||
| Aneurysm diameter | 51.4 ± 8.9 | 59.5 ± 13.4 | 0.948 | (0.885–1.014) | 0.122 | 0.966 | (0.899–1.038) | 0.342 |
| TAAA vs. CAAA | 2 8 | 39 87 | 1.821 | (0.311–10.665) | 0.506 | |||
| Post-dissection aneurysm | 1.63 | (0.417–6.38) | 0.482 | |||||
| 8 | 100 | ||||||
| 2 | 26 | ||||||
| Urgency | 0.562 | (0.029–10.951) | 0.592 | |||||
| 8 | 98 | ||||||
| 2 | 28 | ||||||
| Cox Regression | ||||||
|---|---|---|---|---|---|---|
| VTV (N = 221) | Univariate Analysis | Multi-Variate Analysis | ||||
| HR | (CI 95%) | p | HR | (CI 95%) | p | |
| Preoperative Variables | ||||||
| Diameter—mm | 0.737 | (0.331–1.638) | 0.454 | |||
| Tortuosity index (≥1.25 *) | 12.27 | (3.011–15.57) | 0.039 | 15.19 | (2.50–17.47) | 0.045 |
| Artery origin angle—° | 1.023 | (0.984–1.064) | 0.252 | |||
| Intraoperative Variables | ||||||
| Number of stents | 0.048 | (0.027–2.25) | 0.920 | |||
| Diameter stent | 1.185 | (0.384–3.654) | 0.768 | |||
| Postoperative variables | ||||||
| Stent length—mm | 0.749 | (0.506–1.109) | 0.148 | |||
| Tortuosity index | 4.399 | (1.46–6.07) | 0.806 | |||
| Sealing length—mm | 0.809 | (0.538–1.218) | 0.310 | |||
| Bridging length—mm | 0.754 | (0.034–16.797) | 0.858 | |||
| Aortic protrusion—mm | 1.355 | (0.349–5.261) | 0.661 | |||
| Flaring ratio | 0.025 | (0.010–20.750) | 0.282 | |||
| Post-stenting angle—° | 0.981 | (0.949–1.014) | 0.263 | |||
| Oversizing Ratio (≥1.25 *) | 11.49 | (5.865–22.545) | 0.009 | 7.739 | (4.756–12.878) | 0.049 |
| RTV (N = 260) | Univariate Analysis | Multi-Variate Analysis | ||||
|---|---|---|---|---|---|---|
| HR | (CI 95%) | p | HR | (CI 95%) | p | |
| Preoperative Variables | ||||||
| Diameter—mm (<4 mm *) | 1.30 | (1.15–3.26) | <0.001 | 1.21 | (1.035–1.274) | 0.009 |
| Tortuosity index | 4.419 | (0.003–7.336) | 0.694 | |||
| Angle—° | 1.013 | (0.986–1.041) | 0.337 | |||
| Intraoperative Variables | ||||||
| Number of stents | 0.138 | (0.013–5.37) | 0.639 | |||
| Diameter stent | 1.082 | (1.023–3.01) | <0.001 | |||
| Postoperative variables | ||||||
| Stent length—mm (≥38 mm *) | 1.062 | (1.031–1.139) | 0.009 | 1.098 | (1.027–1.175) | 0.036 |
| Tortuosity index | 2.55 | (0.05–12.24) | 0.453 | |||
| Sealing length—mm | 1.014 | (0.918–1.121) | 0.778 | |||
| Bridging length—mm | 1.101 | (0.897–1.351) | 0.356 | |||
| Aortic protrusion—mm (≥5.75 *) | 7.06 | (2.480–10.84) | 0.013 | 8.21 | (3.150–12.23) | 0.027 |
| Flaring ratio | 0.107 | (0.002–6.372) | 0.284 | |||
| Post-stenting angle—° | 1.019 | (0.992–1.047) | 0.170 | |||
| Oversizing Ratio | 3.238 | (0.179–58.456) | 0.426 | |||
Disclaimer/Publisher’s Note: The statements, opinions and data contained in all publications are solely those of the individual author(s) and contributor(s) and not of MDPI and/or the editor(s). MDPI and/or the editor(s) disclaim responsibility for any injury to people or property resulting from any ideas, methods, instructions or products referred to in the content. |
© 2024 by the authors. Licensee MDPI, Basel, Switzerland. This article is an open access article distributed under the terms and conditions of the Creative Commons Attribution (CC BY) license (https://creativecommons.org/licenses/by/4.0/).
Share and Cite
Becker, D.; Sikman, L.; Ali, A.; Mosbahi, S.; F. Prendes, C.; Stana, J.; Tsilimparis, N. Analysis of Target Vessel Instability in Fenestrated Endovascular Repair (f-EVAR) in Thoraco-Abdominal Aortic Pathologies. J. Clin. Med. 2024, 13, 2898. https://doi.org/10.3390/jcm13102898
Becker D, Sikman L, Ali A, Mosbahi S, F. Prendes C, Stana J, Tsilimparis N. Analysis of Target Vessel Instability in Fenestrated Endovascular Repair (f-EVAR) in Thoraco-Abdominal Aortic Pathologies. Journal of Clinical Medicine. 2024; 13(10):2898. https://doi.org/10.3390/jcm13102898
Chicago/Turabian StyleBecker, Daniel, Laura Sikman, Ahmed Ali, Selim Mosbahi, Carlota F. Prendes, Jan Stana, and Nikolaos Tsilimparis. 2024. "Analysis of Target Vessel Instability in Fenestrated Endovascular Repair (f-EVAR) in Thoraco-Abdominal Aortic Pathologies" Journal of Clinical Medicine 13, no. 10: 2898. https://doi.org/10.3390/jcm13102898
APA StyleBecker, D., Sikman, L., Ali, A., Mosbahi, S., F. Prendes, C., Stana, J., & Tsilimparis, N. (2024). Analysis of Target Vessel Instability in Fenestrated Endovascular Repair (f-EVAR) in Thoraco-Abdominal Aortic Pathologies. Journal of Clinical Medicine, 13(10), 2898. https://doi.org/10.3390/jcm13102898

