Prevalence of Liver Steatosis in Tuberous Sclerosis Complex Patients: A Retrospective Cross-Sectional Study
Abstract
1. Introduction
2. Methods
2.1. Study Design and Population
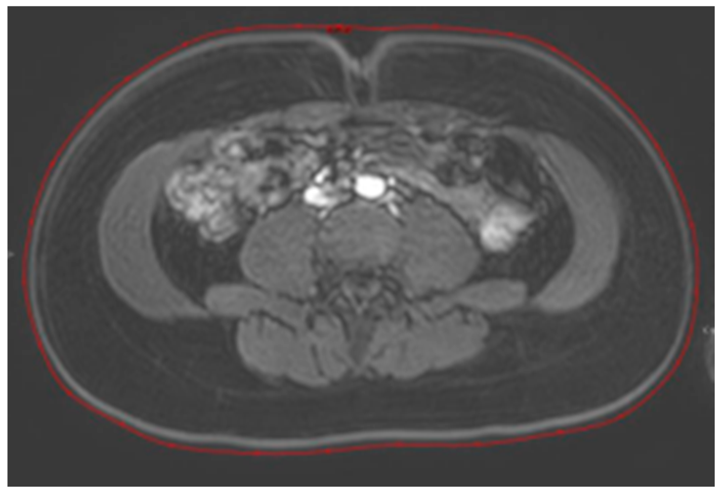
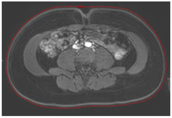
2.2. Image Acquisition and Endpoints
2.3. Statistical Analysis
3. Results
4. Discussion
Supplementary Materials
Author Contributions
Funding
Institutional Review Board Statement
Informed Consent Statement
Data Availability Statement
Acknowledgments
Conflicts of Interest
References
- Henske, E.P.; Józwiak, S.; Kingswood, J.C.; Sampson, J.R.; Thiele, E.A. Tuberous sclerosis complex. Nat. Rev. Dis. Prim. 2016, 26, 16035. [Google Scholar] [CrossRef] [PubMed]
- Salussolia, C.L.; Klonowska, K.; Kwiatkowski, D.J.; Sahin, M. Genetic Etiologies, Diagnosis, and Treatment of Tuberous Sclerosis Complex. Annu. Rev. Genom. Hum. Genet. 2019, 20, 217–240. [Google Scholar] [CrossRef]
- Sadowski, K.; Kotulska, K.; Schwartz, R.A.; Jóźwiak, S. Systemic effects of treatment with mTOR inhibitors in tuberous sclerosis complex: A comprehensive review. J. Eur. Acad. Dermatol. Venereol. 2016, 30, 586–594. [Google Scholar] [CrossRef] [PubMed]
- Franz, D.N.; Belousova, E.; Sparagana, S.; Bebin, E.M.; Frost, M.D.; Kuperman, R.; Witt, O.; Kohrman, M.H.; Flamini, J.R.; Wu, J.Y.; et al. Long-Term Use of Everolimus in Patients with Tuberous Sclerosis Complex: Final Results from the EXIST-1 Study. PLoS ONE 2016, 11, e0158476. [Google Scholar] [CrossRef]
- Bissler, J.J.; Kingswood, J.C.; Radzikowska, E.; Zonnenberg, B.A.; Frost, M.; Belousova, E.D.; Sauter, M.; Nonomura, N.; Brakemeier, S.; de Vries, P.J.; et al. Everolimus for angiomyolipoma associated with tuberous sclerosis complex or sporadic lymphangioleiomyomatosis (EXIST-2): A multicentre, randomised, double-blind, placebo-controlled trial. Lancet 2013, 381, 817–824. [Google Scholar] [CrossRef]
- Mekahli, D.; Müller, R.-U.; Marlais, M.; Wlodkowski, T.; Haeberle, S.; de Argumedo, M.L.; Bergmann, C.; Breysem, L.; Fladrowski, C.; Henske, E.P.; et al. Clinical practice recommendations for kidney involvement in tuberous sclerosis complex: A consensus statement by the ERKNet Working Group for Autosomal Dominant Structural Kidney Disorders and the ERA Genes & Kidney Working Group. Nat. Rev. Nephrol. 2024, 20, 402–420. [Google Scholar] [CrossRef]
- Feng, J.; Qiu, S.; Zhou, S.; Tan, Y.; Bai, Y.; Cao, H.; Guo, J.; Su, Z. mTOR: A Potential New Target in Nonalcoholic Fatty Liver Disease. Int. J. Mol. Sci. 2022, 23, 9196. [Google Scholar] [CrossRef]
- Rinella, M.E.; Lazarus, J.V.; Ratziu, V.; Francque, S.M.; Sanyal, A.J.; Kanwal, F.; Romero, D.; Abdelmalek, M.F.; Anstee, Q.M.; Arab, J.P.; et al. A multisociety Delphi consensus statement on new fatty liver disease nomenclature. J. Hepatol. 2023, 79, 1542–1556. [Google Scholar] [CrossRef]
- Uehara, K.; Sostre-Colón, J.; Gavin, M.; Santoleri, D.; Leonard, K.-A.; Jacobs, R.L.; Titchenell, P.M. Activation of Liver mTORC1 Protects Against NASH via Dual Regulation of VLDL-TAG Secretion and De Novo Lipogenesis. Cell. Mol. Gastroenterol. Hepatol. 2022, 13, 1625–1647. [Google Scholar] [CrossRef]
- Yecies, J.L.; Zhang, H.H.; Menon, S.; Liu, S.; Yecies, D.; Lipovsky, A.I.; Gorgun, C.; Kwiatkowski, D.J.; Hotamisligil, G.S.; Lee, C.H.; et al. Akt stimulates hepatic SREBP1c and lipogenesis through parallel mTORC1-dependent and independent pathways. Cell Metab. 2011, 14, 21–32. [Google Scholar] [CrossRef]
- Zhang, Y.; Ye, S.; Lu, W.; Zhong, J.; Leng, Y.; Yang, T.; Luo, J.; Xu, W.; Zhang, H.; Kong, L. RNA helicase DEAD-box protein 5 alleviates nonalcoholic steatohepatitis progression via tethering TSC complex and suppressing mTORC1 signaling. Hepatology 2023, 77, 1670–1687. [Google Scholar] [CrossRef]
- Gosis, B.S.; Wada, S.; Thorsheim, C.; Li, K.; Jung, S.; Rhoades, J.H.; Yang, Y.; Brandimarto, J.; Li, L.; Uehara, K.; et al. Inhibition of nonalcoholic fatty liver disease in mice by selective inhibition of mTORC1. Science 2022, 376, eabf8271. [Google Scholar] [CrossRef]
- Davies, M.; Saxena, A.; Kingswood, J.C. Management of everolimus-associated adverse events in patients with tuberous sclerosis complex: A practical guide. Orphanet J. Rare Dis. 2017, 12, 35. [Google Scholar] [CrossRef]
- Bhat, M.; Usmani, S.E.; Azhie, A.; Woo, M. Metabolic Consequences of Solid Organ Transplantation. Endocr. Rev. 2021, 42, 171–197. [Google Scholar] [CrossRef]
- Saeed, N.; Glass, L.; Sharma, P.; Shannon, C.; Sonnenday, C.J.; Tincopa, M.A. Incidence and Risks for Nonalcoholic Fatty Liver Disease and Steatohepatitis Post-liver Transplant: Systematic Review and Meta-analysis. Transplantation 2019, 103, e345–e354. [Google Scholar] [CrossRef]
- Northrup, H.; Aronow, M.E.; Bebin, E.M.; Darling, T.N.; de Vries, P.J.; Frost, M.D.; Gosnell, E.S.; Gupta, N.; Jansen, A.C.; Jóźwiak, S.; et al. Updated International Tuberous Sclerosis Complex Diagnostic Criteria and Surveillance and Management Recommendations. Pediatr. Neurol. 2021, 123, 50–66. [Google Scholar] [CrossRef] [PubMed]
- Starekova, J.; Hernando, D.; Pickhardt, P.J.; Reeder, S.B. Quantification of Liver Fat Content with CT and MRI: State of the Art. Radiology 2021, 301, 250–262. [Google Scholar] [CrossRef]
- Judd, E.; Calhoun, D.A. Apparent and true resistant hypertension: Definition, prevalence and outcomes. J. Hum. Hypertens. 2014, 28, 463–468. [Google Scholar] [CrossRef]
- Reeder, S.B.; Sirlin, C.B. Quantification of Liver Fat with Magnetic Resonance Imaging. Magn. Reson. Imaging Clin. N. Am. 2010, 18, 337–357. [Google Scholar] [CrossRef]
- Dabora, S.L.; Jozwiak, S.; Franz, D.N.; Roberts, P.S.; Nieto, A.; Chung, J.; Choy, Y.-S.; Reeve, M.P.; Thiele, E.; Egelhoff, J.C.; et al. Mutational Analysis in a Cohort of 224 Tuberous Sclerosis Patients Indicates Increased Severity of TSC2, Compared with TSC1, Disease in Multiple Organs. Am. J. Hum. Genet. 2001, 68, 64–80. [Google Scholar] [CrossRef]
- Powell, E.E.; Wong, V.W.S.; Rinella, M. Non-alcoholic fatty liver disease. Lancet 2021, 397, 2212–2224. [Google Scholar] [CrossRef]
- Younossi, Z.M.; Koenig, A.B.; Abdelatif, D.; Fazel, Y.; Henry, L.; Wymer, M. Global epidemiology of nonalcoholic fatty liver disease-Meta-analytic assessment of prevalence, incidence, and outcomes. Hepatology 2016, 64, 73–84. [Google Scholar] [CrossRef] [PubMed]
- Lu, F.B.; Zheng, K.I.; Rios, R.S.; Targher, G.; Byrne, C.D.; Zheng, M.H. Global epidemiology of lean non-alcoholic fatty liver disease: A systematic review and meta-analysis. J. Gastroenterol. Hepatol. 2020, 35, 2041–2050. [Google Scholar] [CrossRef]
- Ezhilarasan, D.; Mani, U. Valproic acid induced liver injury: An insight into molecular toxicological mechanism. Environ. Toxicol. Pharmacol. 2022, 95, 103967. [Google Scholar] [CrossRef]
- Angulo, P.; Kleiner, D.E.; Dam-Larsen, S.; Adams, L.A.; Björnsson, E.S.; Charatcharoenwitthaya, P.; Mills, P.R.; Keach, J.C.; Lafferty, H.D.; Stahler, A.; et al. Liver Fibrosis, but No Other Histologic Features, Is Associated With Long-term Outcomes of Patients With Nonalcoholic Fatty Liver Disease. Gastroenterology 2015, 149, 389–397.e10. [Google Scholar] [CrossRef]
- Jóźwiak, S.; Sadowski, K.; Borkowska, J.; Domańska-Pakieła, D.; Chmielewski, D.; Jurkiewicz, E.; Jaworski, M.; Urbańska, M.; Ogrodnik, M.; Słowińska, M.; et al. Liver Angiomyolipomas in Tuberous Sclerosis Complex—Their Incidence and Course. Pediatr. Neurol. 2018, 78, 20–26. [Google Scholar] [CrossRef] [PubMed]
- Kechaou, I.; Cherif, E.; Ben Hassine, L.; Khalfallah, N. Liver involvement in tuberous sclerosis. BMJ Case Rep. 2014, 2014. [Google Scholar] [CrossRef]
- Huber, C.; Treutner, K.H.; Steinau, G.; Schumpelick, V. Ruptured hepatic angiolipoma in tuberous sclerosis complex. Langenbeck’s Arch. Surg. 1996, 381, 7–9. [Google Scholar] [CrossRef] [PubMed]
- Black, M.; Hedgire, S.; Camposano, S.; Paul, E.; Harisinghani, M.; Thiele, E. Hepatic manifestations of tuberous sclerosis complex: A genotypic and phenotypic analysis. Clin. Genet. 2012, 82, 552–557. [Google Scholar] [CrossRef]
- Dabora, S.L.; Franz, D.N.; Ashwal, S.; Sagalowsky, A.; DiMario, F.J.; Miles, D.; Cutler, D.; Krueger, D.; Uppot, R.N.; Rabenou, R.; et al. Multicenter Phase 2 Trial of Sirolimus for Tuberous Sclerosis: Kidney Angiomyolipomas and Other Tumors Regress and VEGF- D Levels Decrease. PLoS ONE 2011, 6, e23379. [Google Scholar] [CrossRef]
- Sasongko, T.H.; Ismail, N.F.D.; Malik, N.M.A.N.A.; Zabidi-Hussin, Z.A.M.H. Rapamycin and its analogues (rapalogs) for Tuberous Sclerosis Complex-associated tumors: A systematic review on non-randomized studies using meta-analysis. Orphanet J. Rare Dis. 2015, 10, 95. [Google Scholar] [CrossRef] [PubMed]


| Inclusion Criteria | Exclusion Criteria | |
|---|---|---|
| TSC patients |
|
|
| Controls |
|
|
| Grade | Number of Liver Angiomyolipomata |
|---|---|
| Grade 0 | None |
| Grade 1 | One or more, all < 1 cm diameter |
| Grade 2 | Multiple, one or more > 1 cm, and all < 4 cm in diameter |
| Grade 3 | Multiple, one or more > 4 cm |
| Variable | TSC Patients N = 59 | Controls N = 59 | |||||
|---|---|---|---|---|---|---|---|
| N (%) | Mean (SD) | Median (IQR) | N (%) | Mean (SD) | Median (IQR) | p-Value | |
| Age (years) | 24.7 (17.6) | 18.6 (27.9) | 24.7 (17.0) | 19.0 (28.2) | |||
| Male | 21 (35.6) | 21 (35.6) | |||||
| Female | 38 (64.4) | 38 (64.4) | |||||
| BMI (kg/m2) | 23.0 (5.7) | 23.5 (9.3) | 22.9 (5.7) | 23.2 (9.9) | |||
| Abdominal circumference on MRI (cm) | 81.2 (19.6) | 82.7 (32.5) | 77.6 (17.6) | 82.5 (30.3) | 0.019 | ||
| SBP (mmHg) | 115.5 (24.4) | 115.0 (26.5) | 118.2 (18.3) | 119.0 (24.0) | 0.177 | ||
| DBP (mmHg) | 68.2 (18.5) | 70 (14.5) | 73.8 (13.3) | 75.0 (15.3) | 0.177 | ||
| eGFR (mL/min/1.73 m2) | 105.2 (23.9) | 107.0 (37.8) | 109.3 (20.5) | 110.0 (34.5) | 0.735 | ||
| AST (units/L) | 26.7 (20.8) | 22.0 (12.0) | 51.2 (69.7) | 28.0 (20.5) | 0.003 | ||
| ALT (units/L) | 28.4 (40.3) | 20.0 (15.8) | 76.5 (147.2) | 21.0 (22.0) | 0.017 | ||
| HDL-C (mg/dL) | 53.7 (12.0) | 53.0 (15.0) | 53.4 (30.4) | 47.5 (21.5) | 0.600 | ||
| LDL-C (mg/dL) | 107.9 (32.5) | 107.0 (39) | 167.5 (232.7) | 104.0 (56) | 0.875 | ||
| TGL (mg/dL) | 130.9 (156.8) | 88.0 (88.0) | 92.4 (38.9) | 90.5 (64.0) | 0.256 | ||
| Total C (mg/dL) | 178.3 (50.0) | 172.0 (42.0) | 159.0 (32.8) | 159.0 (42.0) | 0.078 | ||
| Non-HDL-C (mg/dL) | 130.3 (47.6) | 124.0 (36.5) | 115.2 (36.4) | 113.0 (48.0) | 0.241 | ||
| Diabetes status | 1 (1.7) | 1 (1.7) | |||||
| Alcohol abuse | 0.0 (0.0) | 0.0 (0.0) | 1.000 | ||||
| Present medication intake: | |||||||
| mTOR inhibitors | 16 (27.1) | 0.0 (0.0) | 0.01 | ||||
| anti-epileptics | 30 (50.8) | 1 (1.7) | 0.01 | ||||
| antihypertensive medication | 5 (8.5) | 2 (3.4) | 0.453 | ||||
| Past medication intake: | |||||||
| mTOR inhibitors | 4 (6.8) | 0.0 (0.0) | 0.125 | ||||
| anti-epileptics | 19 (32.2) | 1 (1.7) | 0.01 | ||||
| antihypertensive medication | 1 (1.7) | 0.0 (0.0) | 1.000 | ||||
| Major Criteria | N (%) |
|---|---|
| Hypomelanotic macules (≥3, at least 5 mm diameter) | 34 (57.6) |
| Angiofibroma (≥3) of fibrous cephalic plaque | 39 (66.1) |
| Ungual fibromas (≥2) | 8 (13.6) |
| Shagreen patch | 19 (32.2) |
| Multiple retinal hamartomas | 13 (22) |
| Multiple cortical tubers and/or radial migration lines | 56 (94.9) |
| Subependymal nodule (≥2) | 39 (66.1) |
| Subependymal giant cell astrocytoma | 13 (22) |
| Cardiac rhabdomyoma | 12 (20.3) |
| Lymphangiomyomatosis | 8 (13.6) |
| Angiomyolipomata | 28 (47.5) |
| Genetic Data | N (%) |
| TSC1 | 13 (22) |
| TSC2 | 32 (54.2) |
| No mutation found | 7 (11.9) |
| Not Tested | 7 (11.9) |
| TSC Patients N = 59 | Controls N = 59 | p-Value | |
|---|---|---|---|
| N (%) | N (%) | ||
| Proportion of liver steatosis | 9 (15.3) | 14 (23.7) | 0.267 |
| Median (IQR) | Median (IQR) | ||
| % of liver steatosis | 2.0 (2.0) | 2.0 (2.0) | 1.000 |
| Liver Steatosis | Adjustment for | Odds Ratio (95% CI) | p-Value |
|---|---|---|---|
| TSC | Univariate | 0.44 (0.14 to 1.44) | 0.18 |
| mTORi | 0.75 (0.17 to 3.35) | 0.71 | |
| Medication intake | 0.46 (0.14 to 1.50) | 0.20 |
| TSC Patients N = 59 | |||
|---|---|---|---|
| N (%) | |||
| Grade 0 | 51 (86.4) | ||
| Grade 1 | 5 (8.5) | ||
| Grade 2 | 1 (1.7) | ||
| Grade 3 | 0 (0) | ||
| No gradation | 2 (3.4) | ||
| Mean (SD) | Median (IQR) | ||
| Maximum diameter (cm) | 0.9 (0.5) | 0.7 (0.6) | |
Disclaimer/Publisher’s Note: The statements, opinions and data contained in all publications are solely those of the individual author(s) and contributor(s) and not of MDPI and/or the editor(s). MDPI and/or the editor(s) disclaim responsibility for any injury to people or property resulting from any ideas, methods, instructions or products referred to in the content. |
© 2024 by the authors. Licensee MDPI, Basel, Switzerland. This article is an open access article distributed under the terms and conditions of the Creative Commons Attribution (CC BY) license (https://creativecommons.org/licenses/by/4.0/).
Share and Cite
De Bock, T.; Brussaard, C.; François, S.; François, K.; Seynaeve, L.; Jansen, A.; Wissing, K.M.; Janssens, P. Prevalence of Liver Steatosis in Tuberous Sclerosis Complex Patients: A Retrospective Cross-Sectional Study. J. Clin. Med. 2024, 13, 2888. https://doi.org/10.3390/jcm13102888
De Bock T, Brussaard C, François S, François K, Seynaeve L, Jansen A, Wissing KM, Janssens P. Prevalence of Liver Steatosis in Tuberous Sclerosis Complex Patients: A Retrospective Cross-Sectional Study. Journal of Clinical Medicine. 2024; 13(10):2888. https://doi.org/10.3390/jcm13102888
Chicago/Turabian StyleDe Bock, Thaïs, Carola Brussaard, Silke François, Karlien François, Laura Seynaeve, Anna Jansen, Karl Martin Wissing, and Peter Janssens. 2024. "Prevalence of Liver Steatosis in Tuberous Sclerosis Complex Patients: A Retrospective Cross-Sectional Study" Journal of Clinical Medicine 13, no. 10: 2888. https://doi.org/10.3390/jcm13102888
APA StyleDe Bock, T., Brussaard, C., François, S., François, K., Seynaeve, L., Jansen, A., Wissing, K. M., & Janssens, P. (2024). Prevalence of Liver Steatosis in Tuberous Sclerosis Complex Patients: A Retrospective Cross-Sectional Study. Journal of Clinical Medicine, 13(10), 2888. https://doi.org/10.3390/jcm13102888

