Chronic Pelvic Puzzle: Navigating Deep Endometriosis with Renal Complications
Abstract
:1. Introduction
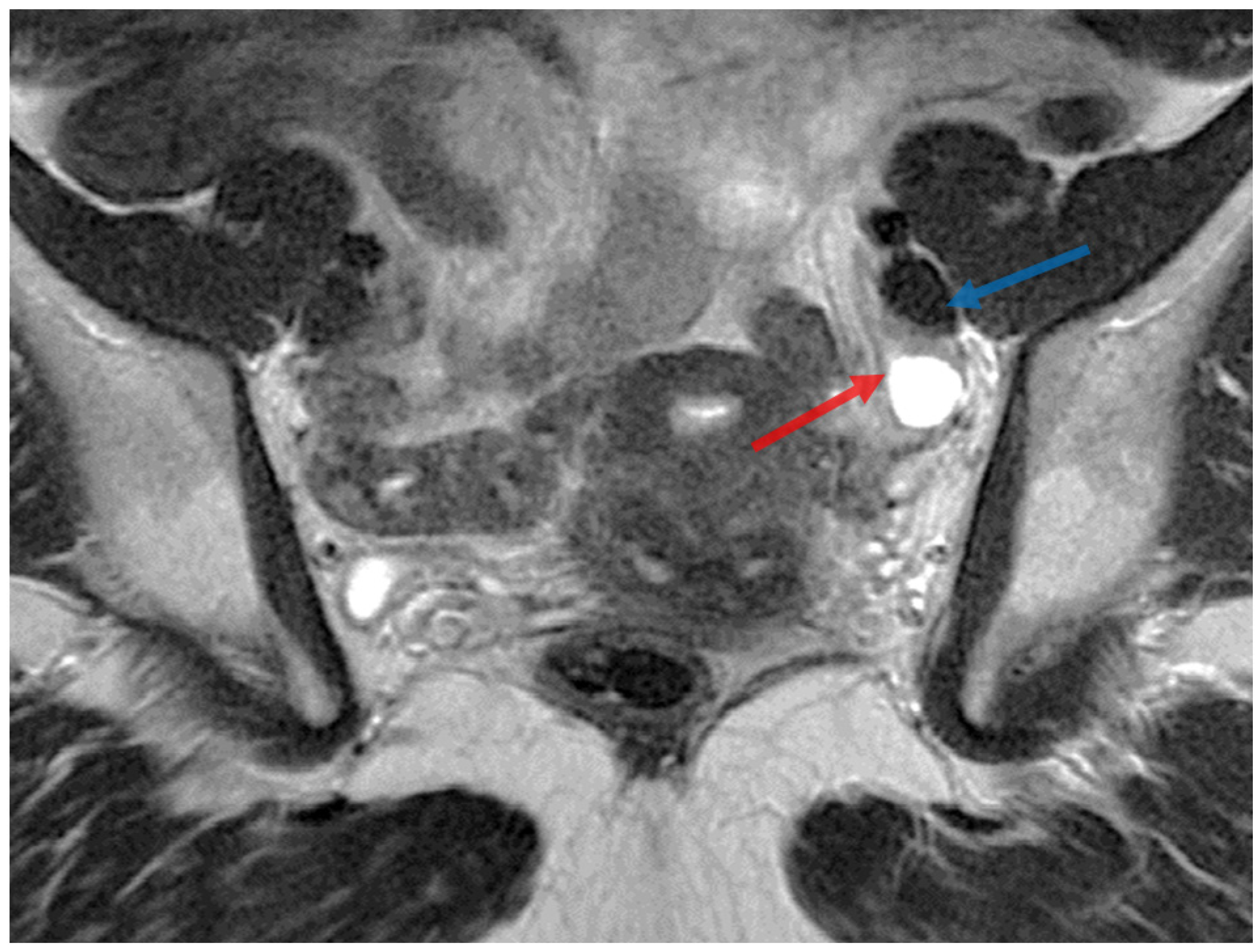
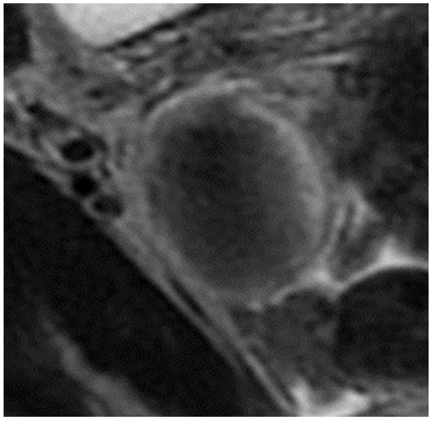
2. Case Presentation
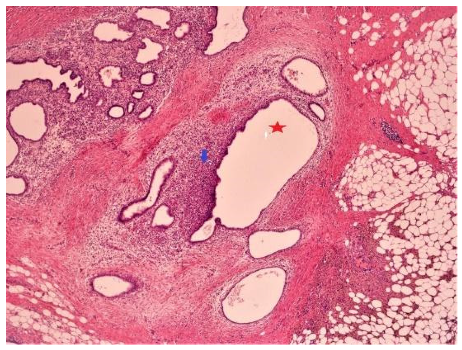
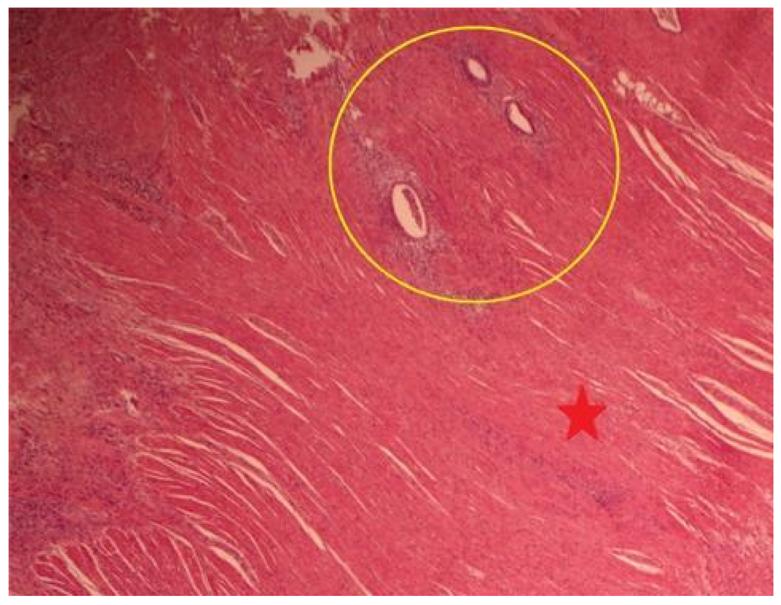
Histopathological Examination Results
3. Discussion
4. Conclusions
Author Contributions
Funding
Institutional Review Board Statement
Informed Consent Statement
Data Availability Statement
Conflicts of Interest
References
- Giudice, L.C. Clinical practice. Endometriosis. N. Engl. J. Med. 2010, 362, 2389–2398. [Google Scholar] [CrossRef] [PubMed]
- Machairiotis, N.; Stylianaki, A.; Dryllis, G.; Zarogoulidis, P.; Kouroutou, P.; Tsiamis, N.; Katsikogiannis, N.; Sarika, E.; Courcoutsakis, N.; Tsiouda, T.; et al. Extrapelvic endometriosis: A rare entity or an under diagnosed condition? Diagn. Pathol. 2013, 8, 194. [Google Scholar] [CrossRef] [PubMed]
- Olive, D. (Ed.) Endometriosis in Clinical Practice, 1st ed.; CRC Press: Boca Raton, FL, USA, 2004. [Google Scholar] [CrossRef]
- Haidarali, E.; Vahedi, A.; Mohajeri, S.; Mostafidi, E.; Azimpouran, M.; Naghavi Behzad, M. Evaluation of the Pathogenesis of Tumor Development from Endometriosis by Estrogen Receptor, P53 and Bcl-2 Immunohistochemical Staining. Asian Pac. J. Cancer Prev. 2016, 17, 5247–5250. [Google Scholar] [CrossRef] [PubMed]
- Lupușoru, G.; Ailincăi, I.; Frățilă, G.; Ungureanu, O.; Andronesi, A.; Lupușoru, M.; Banu, M.; Văcăroiu, I.; Dina, C.; Sinescu, I. Tumor Lysis Syndrome: An Endless Challenge in Onco-Nephrology. Biomedicines 2022, 10, 1012. [Google Scholar] [CrossRef] [PubMed]
- Mounsey, A.L.; Wilgus, A.; Slawson, D.C. Diagnosis and management of endometriosis. Am. Fam. Physician 2006, 74, 594–600. [Google Scholar] [PubMed]
- Dirim, A.; Celikkaya, S.; Aygun, C.; Caylak, B. Renal endometriosis presenting with a giant subcapsular hematoma: Case report. Fertil. Steril. 2009, 92, e5–e7. [Google Scholar] [CrossRef] [PubMed]
- Fukunaga, M. Uterus-like mass in the uterine cervix: Superficial cervical endometriosis with florid smooth muscle metaplasia? Virchows Arch. 2001, 438, 302–305. [Google Scholar] [CrossRef]
- Mehedintu, C.; Plotogea, M.N.; Ionescu, S.; Antonovici, M. Endometriosis still a challenge. J. Med. Life 2014, 7, 349–357. [Google Scholar]
- Smolarz, B.; Szyłło, K.; Romanowicz, H. Endometriosis: Epidemiology, Classification, Pathogenesis, Treatment and Genetics (Review of Literature). Int. J. Mol. Sci. 2021, 22, 10554. [Google Scholar] [CrossRef]
- Flores, I.; Rivera, E.; Ruiz, L.A.; Santiago, O.I.; Vernon, M.W.; Appleyard, C.B. Molecular profiling of experimental endometriosis identified gene expression patterns in common with human disease. Fertil. Steril. 2007, 87, 1180–1199. [Google Scholar] [CrossRef]
- Van Gorp, T.; Amant, F.; Neven, P.; Vergote, I.; Moerman, P. Endometriosis and the development of malignant tumours of the pelvis. A review of literature. Best. Pract. Res. Clin. Obstet. Gynaecol. 2004, 18, 349–371. [Google Scholar] [CrossRef] [PubMed]
- Rahmioglu, N.; Nyholt, D.R.; Morris, A.P.; Missmer, S.A.; Montgomery, G.W.; Zondervan, K.T. Genetic variants underlying risk of endometriosis: Insights from meta-analysis of eight genome-wide association and replication datasets. Hum. Reprod. Update 2014, 20, 702–716. [Google Scholar] [CrossRef] [PubMed]
- Bulun, S.E.; Wan, Y.; Matei, D. Epithelial Mutations in Endometriosis: Link to Ovarian Cancer. Endocrinology 2019, 160, 626–638. [Google Scholar] [CrossRef]
- Anglesio, M.S.; Papadopoulos, N.; Ayhan, A.; Nazeran, T.M.; Noë, M.; Horlings, H.M.; Lum, A.; Jones, S.; Senz, J.; Seckin, T.; et al. Cancer-Associated Mutations in Endometriosis without Cancer. N. Engl. J. Med. 2017, 376, 1835–1848. [Google Scholar] [CrossRef] [PubMed]
- Olive, D.L. Endometriosis in Clinical Practice; Taylor and Francis: London, UK; New York, NY, USA, 2005. [Google Scholar]
- Crişan, N.; Nanu, D. Ginecologia; Ştiinţa şi tehnica Bucureşti, Ed.; Stiinta si Tehnica: Bucharest, Romania, 1997; 336p. [Google Scholar]
- Du, H.; Taylor, H.S. Contribution of bone marrow-derived stem cells to endometrium and endometriosis. Stem Cells 2007, 25, 2082–2086. [Google Scholar] [CrossRef] [PubMed]
- Sourial, S.; Tempest, N.; Hapangama, D.K. Theories on the pathogenesis of endometriosis. Int. J. Reprod. Med. 2014, 2014, 179515. [Google Scholar] [CrossRef] [PubMed]
- Marsh, E.E.; Laufer, M.R. Endometriosis in premenarcheal girls who do not have an associated obstructive anomaly. Fertil. Steril. 2005, 83, 758–760. [Google Scholar] [CrossRef]
- Brosens, I.; Puttemans, P.; Benagiano, G. Endometriosis: A life cycle approach? Am. J. Obstet. Gynecol. 2013, 209, 307–316. [Google Scholar] [CrossRef]
- Oliveira, F.R.; Dela Cruz, C.; Del Puerto, H.L.; Vilamil, Q.T.; Reis, F.M.; Camargos, A.F. Stem cells: Are they the answer to the puzzling etiology of endometriosis? Histol. Histopathol. 2012, 27, 23–29. [Google Scholar] [CrossRef]
- Figueira, P.G.; Abrão, M.S.; Krikun, G.; Taylor, H.S. Stem cells in endometrium and their role in the pathogenesis of endometriosis. Ann. N. Y. Acad. Sci. 2011, 1221, 10–17, Erratum in Ann. N. Y. Acad. Sci. 2011, 1226, 52. [Google Scholar] [CrossRef]
- Bruse, C.; Guan, Y.; Carlberg, M.; Carlström, K.; Bergqvist, A. Basal release of urokinase plasminogen activator, plasminogen activator inhibitor-1, and soluble plasminogen activator receptor from separated and cultured endometriotic and endometrial stromal and epithelial cells. Fertil. Steril. 2005, 83 (Suppl. S1), 1155–1160. [Google Scholar] [CrossRef] [PubMed]
- Gabriela, L.; Ioana, A.; Bogdan, S.; Andreea, A.; Camelia, A.; Georgia, M.; Andra, C.; Dana, M.; Mircea, L.; Gener, I. Serum soluble urokinase plasminogen activator receptor as a potential biomarker of renal impairment severity in diabetic nephropathy. Diabetes Res. Clin. Pract. 2021, 182, 19116. [Google Scholar]
- Anaf, V.; Simon, P.; El Nakadi, I.; Fayt, I.; Buxant, F.; Simonart, T.; Peny, M.O.; Noel, J.C. Relationship between endometriotic foci and nerves in rectovaginal endometriotic nodules. Hum. Reprod. 2000, 15, 1744–1750. [Google Scholar] [CrossRef] [PubMed]
- Wang, G.; Tokushige, N.; Markham, R.; Fraser, I.S. Rich innervation of deep infiltrating endometriosis. Hum. Reprod. 2009, 24, 827–834. [Google Scholar] [CrossRef] [PubMed]
- Tran, L.V.; Tokushige, N.; Berbic, M.; Markham, R.; Fraser, I.S. Macrophages and nerve fibres in peritoneal endometriosis. Hum. Reprod. 2009, 24, 835–841. [Google Scholar] [CrossRef]
- Matsuzaki, S.; Darcha, C. Involvement of the Wnt/β-catenin signaling pathway in the cellular and molecular mechanisms of fibrosis in endometriosis. PLoS ONE 2013, 8, e76808. [Google Scholar] [CrossRef]
- McKinnon, B.D.; Bertschi, D.; Bersinger, N.A.; Mueller, M.D. Inflammation and nerve fiber interaction in endometriotic pain. Trends Endocrinol. Metab. 2015, 26, 1–10. [Google Scholar] [CrossRef]
- Canlorbe, G.; Laas, E.; Cortez, A.; Daraï, E. Spontaneous hymeneal endometriosis: A rare cause of dyspareunia. BMJ Case Rep. 2014, 2014, bcr2013202299. [Google Scholar] [CrossRef]
- Dutta, P.; Bhat, M.H.; Bhansali, A.; Kumar, V. A young woman with endometriosis of kidney. Saudi Med. J. 2006, 27, 244–246. [Google Scholar]
- Generao, S.E.; Keene, K.D.; Das, S. Endoscopic diagnosis and management of ureteral endometriosis. J. Endourol. 2005, 19, 1177–1179. [Google Scholar] [CrossRef]
- Pérez, M.; Aguilera Bazán, A.; Alonso Dorrego, J.M.; Hernández, A.; de Francisco, M.G.; Martín Hernández, M.; de Santiago, J.; de la Peña Barthel, J. Urinary tract endometriosis: Clinical, diagnostic, and therapeutic aspects. Urology 2009, 73, 47–51. [Google Scholar] [CrossRef] [PubMed]
- Bai, Y.; Li, Y.; Li, Q.; Zhao, W. Severe Ureteral Endometriosis Complicated with Hydronephrosis: A Case Report. Am. J. Case Rep. 2022, 23, e937172-1–e937172-7. [Google Scholar] [CrossRef] [PubMed]
- Chapron, C.; Chopin, N.; Borghese, B.; Foulot, H.; Dousset, B.; Vacher-Lavenu, M.C.; Vieira, M.; Hasan, W.; Bricou, A. Deeply infiltrating endometriosis: Pathogenetic implications of the anatomical distribution. Hum. Reprod. 2006, 21, 1839–1845. [Google Scholar] [CrossRef] [PubMed]
- Frenna, V.; Santos, L.; Ohana, E.; Bailey, C.; Wattiez, A. Laparoscopic management of ureteral endometriosis: Our experience. J. Minim. Invasive Gynecol. 2007, 14, 169–171. [Google Scholar] [CrossRef] [PubMed]
- Seracchioli, R.; Mabrouk, M.; Manuzzi, L.; Guerrini, M.; Villa, G.; Montanari, G.; Fabbri, E.; Venturoli, S. Importance of retroperitoneal ureteric evaluation in cases of deep infiltrating endometriosis. J. Minim. Invasive Gynecol. 2008, 15, 435–439. [Google Scholar] [CrossRef] [PubMed]
- Pugliese, J.M.; Peterson, A.C.; Philbrick, J.H., Jr.; Allen, R.C., Jr. Ureteral endometriosis in patients after total abdominal hysterectomy: Presentation and diagnosis: A case series. Urology 2006, 67, 622.e13–622.e15. [Google Scholar] [CrossRef] [PubMed]
- Horn, L.C.; Do Minh, M.; Stilzenburg, J.U. Intrinsic form of ureteral endometeriosis causing ureteral obstruction and partial loss of kidney function. Urol. Int. 2004, 73, 181–184. [Google Scholar] [CrossRef]
- Yohannes, P. Ureteral endometriosis. J. Urol. 2003, 170, 20–25. [Google Scholar] [CrossRef]
- Frego, E.; Antonelli, A.; Traice, L.; Micheli, E.; Cunico, S.C. Ureteral endometriosis: Urologic features. Arch. Ital. Urol. Androl. 2002, 74, 3–5. [Google Scholar]
- Nezhat, C.H.; Malik, S.; Nezhat, F.; Nezhat, C. Laparoscopic ureteroneocystostomy and vesicopsoas hitch for infiltrative endometriosis. J. Soc. Laparoendoscopic Surg. 2004, 8, 3–7. [Google Scholar]
- Abrao, M.S. Endometriosis of the ureter and bladder are not associated diseases. Fertil. Steril. 2009, 91, 1662–1667. [Google Scholar] [CrossRef] [PubMed]
- Reis, F.M.; Coutinho, L.M.; Vannuccini, S.; Luisi, S.; Petraglia, F. Is stress a cause or a consequence of endometriosis? Reprod. Sci. 2020, 27, 39–45. [Google Scholar] [CrossRef] [PubMed]
- Habib, N.; Centini, G.; Lazzeri, L.; Amoruso, N.; El Khoury, L.; Zupi, E.; Afors, K. Bowel Endometriosis: Current Perspectives on Diagnosis and Treatment. Int. J. Women’s Health 2020, 12, 35–47. [Google Scholar] [CrossRef] [PubMed]
- Gustofson, R.L.; Kim, N.; Liu, S.; Stratton, P. Endometriosis and the appendix: A case series and comprehensive review of the literature. Fertil. Steril. 2006, 86, 298–303. [Google Scholar] [CrossRef] [PubMed]
- Jenkins, S.; Olive, D.L.; Haney, A.F. Endometriosis: Pathogenetic implications of the anatomic distribution. Obstet. Gynecol. 1986, 67, 335–338. [Google Scholar] [PubMed]
- Audebert, A.; Petousis, S.; Margioula-Siarkou, C.; Ravanos, K.; Prapas, N.; Prapas, Y. Anatomic distribution of endometriosis: A reappraisal based on series of 1101 patients. Eur. J. Obstet. Gynecol. Reprod. Biol. 2018, 230, 36–40. [Google Scholar] [CrossRef]
- Victory, R.; Diamond, M.P.; Johns, D.A. Villar’s nodule: A case report and systematic literature review of endometriosis externa of the umbilicus. J. Minim. Invasive Gynecol. 2007, 14, 23–32. [Google Scholar] [CrossRef]
- Jaime, T.J.; Jaime, T.J.; Ormiga, P.; Leal, F.; Nogueira, O.M.; Rodrigues, N. Umbilical endometriosis: Report of a case and its dermoscopic features. An. Bras. Dermatol. 2013, 88, 121–124. [Google Scholar] [CrossRef]
- Lee, H.J.; Park, Y.M.; Jee, B.C.; Kim, Y.B.; Suh, C.S. Various anatomic locations of surgically proven endometriosis: A single-center experience. Obstet. Gynecol. Sci. 2015, 58, 53–58. [Google Scholar] [CrossRef]
- Cornillie, F.J.; Oosterlynck, D.; Lauweryns, J.M.; Koninckx, P.R. Deeply infiltrating pelvic endometriosis: Histology and clinical significance. Fertil. Steril. 1990, 53, 978–983. [Google Scholar] [CrossRef]
- Gehr, T.W.; Sica, D.A. Case report and review of the literature: Ureteral endometriosis. Am. J. Med. Sci. 1987, 294, 346–352. [Google Scholar] [CrossRef] [PubMed]
- Tchartchian, G.; Fabricius, P.G.; Bojahr, B.; De Wilde, R.L. Laparoscopic Ureteral Reimplantation in Endometriosis: A Severe Case. Surg. J. 2017, 3, e167–e173. [Google Scholar] [CrossRef] [PubMed]
- Saavalainen, L.; Heikinheimo, O.; Tiitinen, A.; Härkki, P. Deep infiltrating endometriosis affecting the urinary tract–surgical treatment and fertility outcomes in 2004–2013. Gynecol. Surg. 2016, 13, 435–444. [Google Scholar] [CrossRef] [PubMed]
- Jadoul, P.; Feyaerts, A.; Squifflet, J.; Donnez, J. Combined laparoscopic and vaginal approach for nephrectomy, ureterectomy, and removal of a large rectovaginal endometriotic nodule causing loss of renal function. J. Minim. Invasive Gynecol. 2007, 14, 256–259. [Google Scholar] [CrossRef]
- Stillwell, T.J.; Kramer, S.A.; Lee, R.A. Endometriosis of ureter. Urology 1986, 28, 81–85. [Google Scholar] [CrossRef]
- Ponticelli, C.; Graziani, G.; Montanari, E. Ureteral Endometriosis: A Rare and Underdiagnosed Cause of Kidney Dysfunction. Nephron Clin. Pract. 2009, 114, c89–c94. [Google Scholar] [CrossRef]
- Abramiuk, M.; Grywalska, E.; Małkowska, P.; Sierawska, O.; Hrynkiewicz, R.; Niedźwiedzka-Rystwej, P. The Role of the Immune System in the Development of Endometriosis. Cells 2022, 11, 2028. [Google Scholar] [CrossRef]
- Koninckx, P.; Ussia, A.; Tahlak, M.; Adamyan, L.; Wattiez, A.; Martin, D.; Gomel, V. Infection as a potential cofactor in the genetic-epigenetic pathophysiology of endometriosis: A systematic review. Facts Views Vis. ObGyn 2019, 11, 209–216. [Google Scholar]
- Shigesi, N.; Kvaskoff, M.; Kirtley, S.; Feng, Q.; Fang, H.; Knight, J.C.; Missmer, S.A.; Rahmioglu, N.; Zondervan, K.T.; Becker, C.M. The association between endometriosis and autoimmune diseases: A systematic review and meta-analysis. Hum. Reprod. Update 2019, 25, 486–503. [Google Scholar] [CrossRef]
- Anastasiu, C.V.; Moga, M.A.; Neculau, A.E.; Bălan, A.; Scârneciu, I.; Dragomir, R.M.; Dull, A.-M.; Chicea, L.-M. Biomarkers for the noninvasive diagnosis of endometriosis: State of the art and future perspectives. Int. J. Mol. Sci. 2020, 21, 1750. [Google Scholar] [CrossRef]
- Ros, C.; de Guirior, C.; Rius, M.; Escura, S.; Martínez-Zamora, M.Á; Gracia, M.; Peri, L.; Franco, A.; Carmona, F. Accuracy of Transvaginal Ultrasound Compared to Cystoscopy in the Diagnosis of Bladder Endometriosis Nodules. J. Ultrasound Med. 2021, 40, 1571–1578. [Google Scholar] [CrossRef]
- Schneider, A.; Touloupidis, S.; Papatsoris, A.G.; Triantafyllidis, A.; Kollias, A.; Schweppe, K.W. Endometriosis of the urinary tract in women of reproductive age. Int. J. Urol. 2006, 13, 902–904. [Google Scholar] [CrossRef] [PubMed]
- Diniz, A.L.L.; Resende, J.A.D., Jr.; de Andrade, C.M., Jr.; Brandão, A.C.; Gasparoni, M.P., Jr.; Favorito, L.A. Urological knowledge and tools applied to diagnosis and surgery in deep infiltrating endometriosis—A narrative review. Int. Braz. J. Urol. 2023, 49, 564–579. [Google Scholar] [CrossRef] [PubMed]
- Zanardi, R.; Del Frate, C.; Zuiani, C.; Del Frate, G.; Bazzocchi, M. Staging of pelvic endometriosis using magnetic resonance imaging compared with the laparoscopic classification of the American Fertility Society: A prospective study. Radiol. Medica 2003, 105, 326–338. [Google Scholar]
- Ha, H.K.; Lim, Y.T.; Kim, H.S.; Suh, T.S.; Song, H.H.; Kim, S.J. Diagnosis of pelvic endometriosis: Fat-suppressed T1-weighted vs. conventional MR images. AJR Am. J. Roentgenol. 1994, 163, 127–131. [Google Scholar] [CrossRef] [PubMed]
- Di Dier, K.; De Backer, A. Deep Pelvic Endometriosis. J. Belg. Soc. Radiol. 2021, 105, 44. [Google Scholar] [CrossRef] [PubMed]
- Comiter, C.V. Endometriosis of the urinary tract. Urol. Clin. N. Am. 2002, 29, 625–635. [Google Scholar] [CrossRef] [PubMed]
- Bretón, S.A.; Carrasco, A.L.; Gutiérrez, A.H.; González, R.R.; García, J.d.S. Complete loss of unilateral renal function secondary to endometriosis: A report of three cases. Eur. J. Obstet. Gynecol. Reprod. Biol. 2013, 171, 132–137. [Google Scholar] [CrossRef]
- Nezhat, C.R.; Nezhat, F.R. Laparoscopic segmental bladder resection for endometriosis. Obstet. Gynecol. 1993, 81, 882–884. [Google Scholar] [CrossRef]
- Camanni, M.; Delpiano, E.M.; Bonino, L.; Deltetto, F. Laparoscopic conservative management of ureteral endometriosis. Curr. Opin. Obstet. Gynecol. 2010, 22, 309–314. [Google Scholar] [CrossRef]
- Chapron, C.; Dubuisson, J.B. Laparoscopic treatment of deep endometriosis located on the uterosacral ligaments. Hum. Reprod. 1996, 11, 868–873. [Google Scholar] [CrossRef] [PubMed]
- Abbott, J.; Hawe, J.; Hunter, D.; Holmes, M.; Finn, P.; Garry, R. Laparoscopic excision of endometriosis: A randomized, placebo-controlled trial. Fertil. Steril. 2004, 82, 878–884. [Google Scholar] [CrossRef] [PubMed]
- Garry, R. The effectiveness of laparoscopic excision of endometriosis. Curr. Opin. Obstet. Gynecol. 2004, 16, 299–303. [Google Scholar] [CrossRef] [PubMed]
- Deguara, C.S.; Pepas, L.; Davis, C. Does minimally invasive surgery for endometriosis improve pelvic symptoms and quality of life? Curr. Opin. Obstet. Gynecol. 2012, 24, 241–244. [Google Scholar] [CrossRef]
- Johnson, N.P.; Hummelshoj, L. World Endometriosis Society Montpellier Consortium. Consensus on current management of endometriosis. Hum. Reprod. 2013, 2806, 1552–1568. [Google Scholar] [CrossRef]
- Barocas, D.A.; Boorjian, S.A.; Alvarez, R.D.; Downs, T.M.; Gross, C.P.; Hamilton, B.D.; Kobashi, K.C.; Lipman, R.R.; Lotan, Y.; Ng, C.K.; et al. Microhematuria: AUA/SUFU Guideline. J. Urol. 2020, 204, 778–786. [Google Scholar] [CrossRef]
- Urdl, W. The Current Status of Conservative Therapy for Endometriosis. J. Reprod. Med. Endocrinol. 2006, 3, 24–30. [Google Scholar]




Disclaimer/Publisher’s Note: The statements, opinions and data contained in all publications are solely those of the individual author(s) and contributor(s) and not of MDPI and/or the editor(s). MDPI and/or the editor(s) disclaim responsibility for any injury to people or property resulting from any ideas, methods, instructions or products referred to in the content. |
© 2023 by the authors. Licensee MDPI, Basel, Switzerland. This article is an open access article distributed under the terms and conditions of the Creative Commons Attribution (CC BY) license (https://creativecommons.org/licenses/by/4.0/).
Share and Cite
Vacaroiu, I.A.; Balcangiu-Stroescu, A.-E.; Stanescu-Spinu, I.-I.; Balan, D.G.; Georgescu, M.-T.; Greabu, M.; Miricescu, D.; Cuiban, E.; Șerban-Feier, L.F.; Lupușoru, M.O.D.; et al. Chronic Pelvic Puzzle: Navigating Deep Endometriosis with Renal Complications. J. Clin. Med. 2024, 13, 220. https://doi.org/10.3390/jcm13010220
Vacaroiu IA, Balcangiu-Stroescu A-E, Stanescu-Spinu I-I, Balan DG, Georgescu M-T, Greabu M, Miricescu D, Cuiban E, Șerban-Feier LF, Lupușoru MOD, et al. Chronic Pelvic Puzzle: Navigating Deep Endometriosis with Renal Complications. Journal of Clinical Medicine. 2024; 13(1):220. https://doi.org/10.3390/jcm13010220
Chicago/Turabian StyleVacaroiu, Ileana Adela, Andra-Elena Balcangiu-Stroescu, Iulia-Ioana Stanescu-Spinu, Daniela Gabriela Balan, Mihai-Teodor Georgescu, Maria Greabu, Daniela Miricescu, Elena Cuiban, Larisa Florina Șerban-Feier, Mircea Ovidiu Denis Lupușoru, and et al. 2024. "Chronic Pelvic Puzzle: Navigating Deep Endometriosis with Renal Complications" Journal of Clinical Medicine 13, no. 1: 220. https://doi.org/10.3390/jcm13010220
APA StyleVacaroiu, I. A., Balcangiu-Stroescu, A.-E., Stanescu-Spinu, I.-I., Balan, D. G., Georgescu, M.-T., Greabu, M., Miricescu, D., Cuiban, E., Șerban-Feier, L. F., Lupușoru, M. O. D., Gaube, A., & Georgescu, D.-E. (2024). Chronic Pelvic Puzzle: Navigating Deep Endometriosis with Renal Complications. Journal of Clinical Medicine, 13(1), 220. https://doi.org/10.3390/jcm13010220

