Assessment of Biomechanical Advantages in Combined Anterior–Posterior Cervical Spine Surgery by Radiological Outcomes: Pedicle Screws over Lateral Mass Screws
Abstract
1. Introduction
2. Materials and Methods
2.1. Patient Selection
2.2. Surgical Indication and Technique
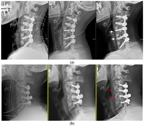
2.3. Evaluation of Radiological Outcomes
2.4. Statistical Analysis
3. Results
3.1. Patient Dynamics
3.2. Cervical Spine Sagittal Balance
3.3. Subsidence
3.4. Vertebral Body Width
4. Discussion
5. Conclusions
Supplementary Materials
Author Contributions
Funding
Institutional Review Board Statement
Informed Consent Statement
Data Availability Statement
Conflicts of Interest
References
- Konya, D.; Ozgen, S.; Gercek, A.; Pamir, M.N. Outcomes for combined anterior and posterior surgical approaches for patients with multisegmental cervical spondylotic myelopathy. J. Clin. Neurosci. 2009, 16, 404–409. [Google Scholar] [CrossRef] [PubMed]
- Song, K.J.; Johnson, J.S.; Choi, B.R.; Wang, J.C.; Lee, K.B. Anterior fusion alone compared with combined anterior and posterior fusion for the treatment of degenerative cervical kyphosis. J. Bone Jt. Surg. Br. 2010, 92, 1548–1552. [Google Scholar] [CrossRef] [PubMed]
- Fiore, S.; Labiak, J.J.; Davis, R.P. Combined anterior-posterior decompression and fusion for cervical spondylotic myelopathy. Am. J. Orthop. 2017, 46, E97–E104. [Google Scholar]
- Lee, Y.H.; Lee, B.H. Posterior Preventive Foraminotomy before Laminectomy Combined with Pedicle Screw Fixation May Decrease the Incidence of C5 Palsy in Complex Cervical Spine Surgery in Patients with Severe Myeloradiculopathy. J. Clin. Med. 2023, 12, 2227. [Google Scholar] [CrossRef] [PubMed]
- Eun, D.C.; Lee, B.H. Variation in Prevertebral Soft Tissue Swelling after Staged Combined Multilevel Anterior-Posterior Complex Cervical Spine Surgery: Anterior Then Posterior (AP) versus Posterior Then Anterior-Posterior (PAP) Surgery. J. Clin. Med. 2022, 11, 7250. [Google Scholar] [CrossRef]
- Sekhon, L.H. Posterior cervical lateral mass screw fixation: Analysis of 1026 consecutive screws in 143 patients. Clin. Spine Surg. 2005, 18, 297–303. [Google Scholar] [CrossRef]
- Upendra, B.; Raghavendra, R. Techniques of cervical pedicle screw insertion in lower cervical spine—A review. J. Clin. Orthop. Trauma 2020, 11, 794–801. [Google Scholar] [CrossRef]
- Mahesh, B.; Upendra, B.; Raghavendra, R. Acceptable errors with evaluation of 577 cervical pedicle screw placements. Eur. Spine J. 2020, 29, 1043–1051. [Google Scholar] [CrossRef]
- Jung, Y.G.; Lee, S.; Jeong, S.K.; Kim, M.; Park, J.H. Subaxial Cervical Pedicle Screw in Traumatic Spinal Surgery. Korean J. Neurotrauma 2020, 16, 18–27. [Google Scholar] [CrossRef]
- Jung, Y.G.; Jung, S.K.; Lee, B.J.; Lee, S.; Jeong, S.K.; Kim, M.; Park, J.H. The Subaxial Cervical Pedicle Screw for Cervical Spine Diseases: The Review of Technical Developments and Complication Avoidance. Neurol. Med. Chir. 2020, 60, 231–243. [Google Scholar] [CrossRef]
- Abumi, K.; Kaneda, K. Pedicle screw fixation for nontraumatic lesions of the cervical spine. Spine 1997, 22, 1853–1863. [Google Scholar] [CrossRef]
- Abumi, K.; Shono, Y.; Ito, M.; Taneichi, H.; Kotani, Y.; Kaneda, K. Complications of pedicle screw fixation in reconstructive surgery of the cervical spine. Spine 2000, 25, 962–969. [Google Scholar] [CrossRef]
- Ito, Z.; Higashino, K.; Kato, S.; Kim, S.S.; Wong, E.; Yoshioka, K.; Hutton, W.C. Pedicle screws can be 4 times stronger than lateral mass screws for insertion in the midcervical spine: A biomechanical study on strength of fixation. J. Spinal Disord. Tech. 2014, 27, 80–85. [Google Scholar] [CrossRef]
- Soo-Bin Lee, B.H.L. Biomechanical Comparison of Posterior Fixation Combinations with an Allograft Spacer between the Lateral Mass and Pedicle Screws. Appl. Sci. 2020, 10, 7291. [Google Scholar] [CrossRef]
- Kwon, J.W.; Bang, S.H.; Park, T.H.; Lee, S.J.; Lee, H.M.; Lee, S.B.; Lee, B.H.; Moon, S.H. Biomechanical comparison of cervical discectomy/fusion model using allograft spacers between anterior and posterior fixation methods (lateral mass and pedicle screw). Clin. Biomech. 2020, 73, 226–233. [Google Scholar] [CrossRef]
- Dunlap, B.J.; Karaikovic, E.E.; Park, H.S.; Sokolowski, M.J.; Zhang, L.Q. Load sharing properties of cervical pedicle screw-rod constructs versus lateral mass screw-rod constructs. Eur. Spine J. 2010, 19, 803–808. [Google Scholar] [CrossRef]
- Gan, G.; Kaliya-Perumal, A.K.; Yu, C.S.; Nolan, C.P.; Oh, J.Y. Spinal Navigation for Cervical Pedicle Screws: Surgical Pearls and Pitfalls. Glob. Spine J. 2021, 11, 196–202. [Google Scholar] [CrossRef]
- Kwon, J.W.; Arreza, E.O.; Suguitan, A.A.; Lee, S.B.; Sung, S.; Park, Y.; Ha, J.W.; Kim, T.H.; Moon, S.H.; Lee, B.H. Medial Pedicle Pivot Point Using Preoperative Computed Tomography Morphometric Measurements for Cervical Pedicle Screw Insertion: A Novel Technique and Case Series. J. Clin. Med. 2022, 11, 396. [Google Scholar] [CrossRef]
- Bundoc, R.C.; Obenieta, H.L.; Dizon, D.A.G. Patient-Specific Drill Guide Template for Pedicle Screw Insertion into the Atlantoaxial Cervical Spine Using Stereolithographic Modeling: An In Vitro Study. Asian Spine J. 2022. [Google Scholar] [CrossRef]
- Kim, P.K.; Alexander, J.T. Indications for circumferential surgery for cervical spondylotic myelopathy. Spine J. 2006, 6, S299–S307. [Google Scholar] [CrossRef]
- König, S.A.; Spetzger, U. Surgical management of cervical spondylotic myelopathy—Indications for anterior, posterior or combined procedures for decompression and stabilisation. Acta Neurochir. 2014, 156, 253–258; discussion 258. [Google Scholar] [CrossRef] [PubMed]
- König, S.A.; Ranguis, S.; Spetzger, U. Management of complex cervical instability. J. Neurol. Surg. A Cent. Eur. Neurosurg. 2015, 76, 119–125. [Google Scholar] [CrossRef] [PubMed]
- Kang, K.C.; Jang, T.S.; Jung, C.H. Cervical Radiculopathy: Focus on Factors for Better Surgical Outcomes and Operative Techniques. Asian Spine J. 2022, 16, 995–1012. [Google Scholar] [CrossRef] [PubMed]
- Jo, D.J.; Seo, E.M.; Kim, K.T.; Kim, S.M.; Lee, S.H. Cervical pedicle screw insertion using the technique with direct exposure of the pedicle by laminoforaminotomy. J. Korean Neurosurg. Soc. 2012, 52, 459–465. [Google Scholar] [CrossRef] [PubMed]
- Park, J.H.; Lee, J.Y.; Lee, B.H.; Jeon, H.J.; Park, S.W. Free-Hand Cervical Pedicle Screw Placement by Using Para-articular Minilaminotomy: Its Feasibility and Novice Neurosurgeons’ Experience. Glob. Spine J. 2021, 11, 662–668. [Google Scholar] [CrossRef] [PubMed]
- Eldin, M.M.; Hassan, A.S.A. Free hand technique of cervical lateral mass screw fixation. J. Craniovertebral Junction Spine 2017, 8, 113. [Google Scholar] [CrossRef]
- Mella, P.; Suk, K.S.; Kim, H.S.; Lee, H.M.; Moon, S.H.; Park, S.J.; Lee, B.H.; Shin, J.W. ACDF With Total En Bloc Resection of Uncinate in Foraminal Stenosis of the Cervical Spine: Comparison With Conventional ACDF. Clin. Spine Surg. 2021, 34, E237–E242. [Google Scholar] [CrossRef]
- Marques, C.; Granström, E.; MacDowall, A.; Moreira, N.C.; Skeppholm, M.; Olerud, C. Accuracy and Reliability of X-ray Measurements in the Cervical Spine. Asian Spine J. 2020, 14, 169–176. [Google Scholar] [CrossRef]
- Yoshihara, H.; Passias, P.G.; Errico, T.J. Screw-related complications in the subaxial cervical spine with the use of lateral mass versus cervical pedicle screws: A systematic review. J. Neurosurg. Spine 2013, 19, 614–623. [Google Scholar] [CrossRef]
- Kim, K.T.; Kim, S.M. Relationship between Sagittal Alignment and Anterior Bony Resorption of Cervical Vertebral Body in Patients with Ankylosing Spondylitis. Asian Spine J. 2022, 16, 361–368. [Google Scholar] [CrossRef]
- Patwardhan, A.G.; Khayatzadeh, S.; Nguyen, N.-L.; Havey, R.M.; Voronov, L.I.; Muriuki, M.G.; Carandang, G.; Smith, Z.A.; Sears, W.; Lomasney, L.M. Is cervical sagittal imbalance a risk factor for adjacent segment pathomechanics after multilevel fusion? Spine 2016, 41, E580–E588. [Google Scholar] [CrossRef]
- Park, M.S.; Kelly, M.P.; Lee, D.-H.; Min, W.-K.; Ra’Kerry, K.R.; Riew, K.D. Sagittal alignment as a predictor of clinical adjacent segment pathology requiring surgery after anterior cervical arthrodesis. Spine J. 2014, 14, 1228–1234. [Google Scholar] [CrossRef]
- Jimenez, K.A.; Kim, J.; Lee, J.; Lee, H.M.; Moon, S.H.; Suk, K.S.; Kim, H.S.; Lee, B.H. Short Plate with Screw Angle over 20 Degrees Improves the Radiologic Outcome in ACDF: Clinical Study. J. Clin. Med. 2021, 10, 2034. [Google Scholar] [CrossRef]
- Xing, R.; Liu, W.; Li, X.; Jiang, L.; Yishakea, M.; Dong, J. Characteristics of cervical sagittal parameters in healthy cervical spine adults and patients with cervical disc degeneration. BMC Musculoskelet. Disord. 2018, 19, 37. [Google Scholar] [CrossRef]
- Ha, S.-K.; Park, J.-Y.; Kim, S.-H.; Lim, D.-J.; Kim, S.-D.; Lee, S.-K. Radiologic assessment of subsidence in stand-alone cervical polyetheretherketone (PEEK) cage. J. Korean Neurosurg. Soc. 2008, 44, 370. [Google Scholar] [CrossRef]
- Wang, S.; Wang, C.; Leng, H.; Zhao, W.; Yan, M.; Zhou, H. Pedicle screw combined with lateral mass screw fixation in the treatment of basilar invagination and congenital C2–C3 fusion. Clin. Spine Surg. 2016, 29, 448–453. [Google Scholar] [CrossRef]
- Ames, C.P.; Blondel, B.; Scheer, J.K.; Schwab, F.J.; Le Huec, J.C.; Massicotte, E.M.; Patel, A.A.; Traynelis, V.C.; Kim, H.J.; Shaffrey, C.I.; et al. Cervical radiographical alignment: Comprehensive assessment techniques and potential importance in cervical myelopathy. Spine 2013, 38, S149–S160. [Google Scholar] [CrossRef]
- Lee, J.J.; Park, J.H.; Oh, Y.G.; Shin, H.K.; Park, B.G. Change in the Alignment and Distal Junctional Kyphosis Development after Posterior Cervical Spinal Fusion Surgery for Cervical Spondylotic Myelopathy—Risk Factor Analysis. J. Korean Neurosurg. Soc. 2022, 65, 549–557. [Google Scholar] [CrossRef]
- Karikari, I.O.; Jain, D.; Owens, T.R.; Gottfried, O.; Hodges, T.R.; Nimjee, S.M.; Bagley, C.A. Impact of subsidence on clinical outcomes and radiographic fusion rates in anterior cervical discectomy and fusion: A systematic review. J. Spinal Disord. Tech. 2014, 27, 1–10. [Google Scholar] [CrossRef]
- Suk, K.S.; Jimenez, K.A.; Jo, J.H.; Kim, H.S.; Lee, H.M.; Moon, S.H.; Lee, B.H. Anterior Plate-Screws and Lower Postoperative T1 Slope Affect Cervical Allospacer Failures in Multi-Level ACDF Surgery: Anterior Versus Posterior Fixation. Glob. Spine J. 2021, 13, 89–96. [Google Scholar] [CrossRef]





| PPS Group (n = 36) | LMS Group (n = 40) | Overall | p-Value | |
|---|---|---|---|---|
| Sex Male Female | 18 (50%) 18 (50%) | 21 (52.5%) 19 (47.5%) | 39 (51.3%) 37 (48.7%) | 0.828 |
| Age | 61.1 ± 11.0 | 61.1 ± 11.6 | 61.1 ± 11.3 | 0.997 |
| Operation Level 2 3 4 5 6 | 0 (0.0%) 3 (8.3%) 23 (63.9%) 9 (25.0%) 1 (2.8%) | 2 (5.0%) 10 (25.0%) 21 (52.5%) 7 (17.5%) 0 (0.0%) | 2 (2.6%) 13 (17.1%) 44 (57.9%) 16 (21.1%) 1 (1.3%) | 0.119 |
| PPS Group (n = 36) | LMS Group (n = 40) | Overall | p-Value | |
|---|---|---|---|---|
| Pre-operative | ||||
| C2–C7 SVA (mm) | 17.4 ± 10.6 | 19.8 ± 14.0 | 18.6 ± 12.5 | 0.408 |
| C2–C7 Cervical Lordosis Angle | 14.6 ± 11.1 | 7.6 ± 10.6 | 10.9 ± 11.3 | 0.006 |
| C2–C7 Cervical Lordosis < 20 (n, %) | 30 (83.3%) | 37 (92.5%) | 67 (88.2%) | 0.294 |
| 3 months | ||||
| C2–C7 SVA (mm) | 25.8 ± 18.7 | 23.9 ± 13.6 | 24.8 ± 16.2 | 0.616 |
| C2–C7 Cervical Lordosis Angle | 22.8 ± 5.7 | 18.3 ± 10.0 | 20.4 ± 8.5 | 0.020 |
| C2–C7 Cervical Lordosis < 20 (n, %) | 9 (25%) | 22 (55%) | 31 (40.8%) | 0.008 |
| 1 year | ||||
| C2–C7 SVA (mm) | 25.7 ± 17.4 | 24.6 ± 13.6 | 25.1 ± 15.4 | 0.755 |
| C2–C7 Cervical Lordosis Angle | 21.4 ± 6.4 | 16.2 ± 10.7 | 18.7 ± 9.2 | 0.012 |
| C2–C7 Cervical Lordosis < 20 (n, %) | 9 (25%) | 25 (62.5%) | 34 (44.7%) | 0.001 |
| PPS Group (n = 36) | LMS Group (n = 40) | Overall | p-Value | |
|---|---|---|---|---|
| Immediately post-op | ||||
| Control for Vertical Length (mm) | 86.1 ± 15.0 | 77.5 ± 12.7 | 81.6 ± 14.4 | 0.009 |
| 3 months | ||||
| Mean Vertical Length (mm) | 85.0 ± 14.7 | 74.4 ± 11.7 | 79.4 ± 14.1 | 0.001 |
| Amount of Change (Imme. to 3 mo.) (mm) | 1.1 ± 1.5 | 3.1 ± 4.6 | 2.1 ± 3.6 | 0.010 |
| Clinical Subsidence (>3 mm) (n, %) | 6 (16.7%) | 14 (35.0%) | 20 (26.3%) | 0.070 |
| 1 year | ||||
| Mean Vertical Length (mm) | 84.8 ± 14.9 | 74.3 ± 12.0 | 79.2 ± 14.3 | 0.001 |
| Amount of Change (3 mo. to 1 yr) (mm) | 0.3 ± 1.1 | 0.1 ± 2.3 | 0.2 ± 1.8 | 0.713 |
| Clinical Subsidence (>3 mm) (3 mo. to 1 yr) (n, %) | 0 (0%) | 5 (12.5%) | 5 (6.6%) | 0.056 |
| Amount of Change (Imme. to 1 yr) (mm) | 1.3 ± 1.4 | 3.2 ± 5.1 | 2.3 ± 3.9 | 0.030 |
| Clinical Subsidence (>3 mm) (Imme. to 1 yr) (n, %) | 9 (25%) | 19 (47.5%) | 28 (36.8%) | 0.042 |
| PPS Group (n = 36) | LMS Group (n = 40) | Overall | p-Value | |
|---|---|---|---|---|
| Immediately post-op | ||||
| Control for Vertebral Body Width (mm) | 21.5 ± 1.9 | 22.1 ± 3.1 | 21.8 ± 2.6 | 0.259 |
| 3 months | ||||
| Mean Vertebral Body Width (mm) | 20.1 ± 1.4 | 20.8 ± 1.9 | 20.5 ± 1.7 | 0.056 |
| Vertebral Body-Width Change (mm) | 1.4 ± 1.4 | 1.3 ± 2.9 | 1.4 ± 2.3 | 0.879 |
| 1 year | ||||
| Mean Vertebral Body Width (mm) | 18.5 ± 1.4 | 20.1 ± 2.0 | 19.4 ± 1.9 | 0.000 |
| Vertebral-Body-Width Change Amount (3 mo. to 1 yr) (mm) | 1.6 ± 0.6 | 0.7 ± 0.7 | 1.1 ± 0.8 | 0.000 |
| Vertebral-Body-Width Change Amount (Imme. to 1 yr) (mm) | 3.0 ± 1.2 | 2.0 ± 2.8 | 2.5 ± 2.2 | 0.054 |
Disclaimer/Publisher’s Note: The statements, opinions and data contained in all publications are solely those of the individual author(s) and contributor(s) and not of MDPI and/or the editor(s). MDPI and/or the editor(s) disclaim responsibility for any injury to people or property resulting from any ideas, methods, instructions or products referred to in the content. |
© 2023 by the authors. Licensee MDPI, Basel, Switzerland. This article is an open access article distributed under the terms and conditions of the Creative Commons Attribution (CC BY) license (https://creativecommons.org/licenses/by/4.0/).
Share and Cite
Kim, S.-H.; Kim, J.-h.; Kwon, J.-W.; Kim, H.-S.; Moon, S.-H.; Suk, K.-S.; Lee, B.-H. Assessment of Biomechanical Advantages in Combined Anterior–Posterior Cervical Spine Surgery by Radiological Outcomes: Pedicle Screws over Lateral Mass Screws. J. Clin. Med. 2023, 12, 3201. https://doi.org/10.3390/jcm12093201
Kim S-H, Kim J-h, Kwon J-W, Kim H-S, Moon S-H, Suk K-S, Lee B-H. Assessment of Biomechanical Advantages in Combined Anterior–Posterior Cervical Spine Surgery by Radiological Outcomes: Pedicle Screws over Lateral Mass Screws. Journal of Clinical Medicine. 2023; 12(9):3201. https://doi.org/10.3390/jcm12093201
Chicago/Turabian StyleKim, Sang-Ho, Ji-hyeon Kim, Ji-Won Kwon, Hak-Sun Kim, Seong-Hwan Moon, Kyung-Soo Suk, and Byung-Ho Lee. 2023. "Assessment of Biomechanical Advantages in Combined Anterior–Posterior Cervical Spine Surgery by Radiological Outcomes: Pedicle Screws over Lateral Mass Screws" Journal of Clinical Medicine 12, no. 9: 3201. https://doi.org/10.3390/jcm12093201
APA StyleKim, S.-H., Kim, J.-h., Kwon, J.-W., Kim, H.-S., Moon, S.-H., Suk, K.-S., & Lee, B.-H. (2023). Assessment of Biomechanical Advantages in Combined Anterior–Posterior Cervical Spine Surgery by Radiological Outcomes: Pedicle Screws over Lateral Mass Screws. Journal of Clinical Medicine, 12(9), 3201. https://doi.org/10.3390/jcm12093201

