Tooth Migration in a Female Patient with Hyperdontia: 11-Year Follow-Up Case Report
Abstract
1. Introduction
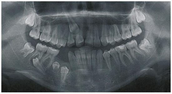
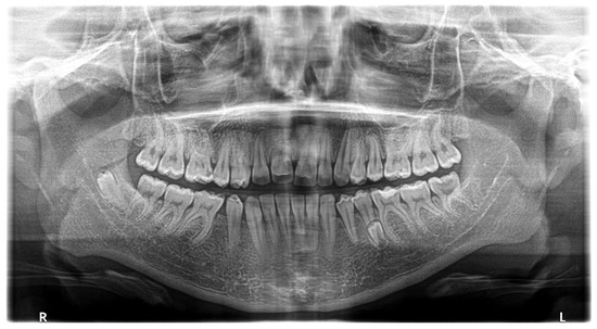
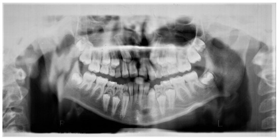
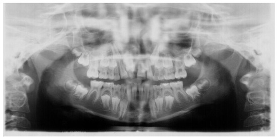
2. Case Report
3. Discussion
4. Conclusions
Author Contributions
Funding
Institutional Review Board Statement
Informed Consent Statement
Data Availability Statement
Conflicts of Interest
References
- Bei, M. Molecular genetics of tooth development. Curr. Opin. Genet. Dev. 2009, 19, 504–510. [Google Scholar] [CrossRef]
- Wise, G.E.; King, G.J. Mechanisms of Tooth Eruption and Orthodontic Tooth Movement. J. Dent. Res. 2008, 87, 414–434. [Google Scholar] [CrossRef] [PubMed]
- Marks, S.C., Jr.; Schroeder, H.E. Tooth eruption: Theories and facts. Anat. Rec. 1996, 245, 374–393. [Google Scholar] [CrossRef]
- Bamgbose, B.O.; Okada, S.; Hisatomi, M.; Yanagi, Y.; Takeshita, Y.; Abdu, Z.S.; Ekuase, E.J.; Asaumi, J.-I. Fourth molar: A retrospective study and literature review of a rare clinical entity. Imaging Sci. Dent. 2019, 49, 27–34. [Google Scholar] [CrossRef] [PubMed]
- Lu, X.; Yu, F.; Liu, J.; Cai, W.; Zhao, Y.; Zhao, S.; Liu, S. The epidemiology of supernumerary teeth and the associated molecular mechanism. Organogenesis 2017, 13, 71–82, Erratum in Organogenesis 2018, 14, 64. [Google Scholar] [CrossRef] [PubMed]
- Akgun, O.M.; Sabuncuoglu, F.; Altug, A.; Altun, C. Non-syndrome patient with bilateral supernumerary teeth: Case report and 9-year follow-up. Eur. J. Dent. 2013, 7, 123–126. [Google Scholar] [CrossRef] [PubMed]
- Cortes-Breton-Brinkmann, J.; Martinez-Rodriguez, N.; Barona-Dorado, C.; Martin-Ares, M.; Sanz-Alonso, J.; Suarez-Garcia, M.; Prados-Frutos, J.; Martinez-Gonzalez, J. Clinical repercussions and epidemiological considerations of supernumerary canines: A 26 case series. Med. Oral Patol. Oral Cir. Bucal 2019, 24, e615–e620. [Google Scholar] [CrossRef]
- Żochowska, U.; Masłowska, A.; Dunin-Wilczyńska, I. Postępowanie diagnostyczne u pacjenta z hiperdoncją. Forum Ortod. 2011, 7, 198–203. [Google Scholar]
- Zadurska, M.; Pietrzak-Bilińska, B.; Chądzyński, P.; Laskowska, M.; Kisłowska-Syryczyńska, M.; Szałwiński, M. Nadliczbowość zębów-na podstawie piśmiennictwa. Czas. Stomat. 2005, 58, 265–272. [Google Scholar]
- Suljkanovic, N.; Balic, D.; Begic, N. Supernumerary and Supplementary Teeth in a Non-syndromic Patients. Med. Arch. 2021, 75, 78–81. [Google Scholar] [CrossRef]
- Cammarata-Scalisi, F.; Avendaño, A.; Callea, M. Main genetic entities associated with supernumerary teeth. Principales en-tidades genéticas asociadas con dientes supernumerarios. Arch. Argent. Pediatr. 2018, 116, 437–444. [Google Scholar] [CrossRef] [PubMed]
- Acikgoz, A.; Açıkgöz, G.; Tunga, U.; Otan, F.; Açıkgöz, A. Characteristics and prevalence of non-syndrome multiple supernumerary teeth: A retrospective study. Dentomaxillofacial Radiol. 2006, 35, 185–190. [Google Scholar] [CrossRef]
- Lubinsky, M.; Kantaputra, P.N. Syndromes with supernumerary teeth. Am. J. Med. Genet. Part A 2016, 170, 2611–2616. [Google Scholar] [CrossRef] [PubMed]
- Alves, D.B.M.; Pedrosa, F.N.C.; Andreo, J.C.; De Carvalho, I.M.M.; Rodrigues, A.D.C. Transmigration of mandibular second premolar in a patient with cleft lip and palate: Case report. J. Appl. Oral Sci. 2008, 16, 360–363. [Google Scholar] [CrossRef] [PubMed]
- Ackuaku, N.; Sharma, G. Mandibular premolar migration: Two case reports. J. Orthod. 2018, 45, 186–191. [Google Scholar] [CrossRef] [PubMed]
- Shapira, Y.; Kuftinec, M.M. Intrabony migration of impacted teeth. Angle Orthod. 2003, 73, 738–744. [Google Scholar] [CrossRef]
- Peck, S. On the phenomenon of intraosseous migration of nonerupting teeth. Am. J. Orthod. Dentofac. Orthop. 1998, 113, 515–517. [Google Scholar] [CrossRef]
- Alvira-González, J.; Escoda, C.G. Non-syndromic multiple supernumerary teeth: Meta-analysis. J. Oral Pathol. Med. 2012, 41, 361–366. [Google Scholar] [CrossRef]
- Sawai, M.A.; Faisal, M.; Mansoob, S. Multiple supernumerary teeth in a nonsyndromic association: Rare presentation in three siblings. J. Oral Maxillofac. Pathol. 2019, 23, 163. [Google Scholar] [CrossRef]
- Khalaf, K.; Al Shehadat, S.; Murray, C.A. A Review of Supernumerary Teeth in the Premolar Region. Int. J. Dent. 2018, 2018, 6289047. [Google Scholar] [CrossRef] [PubMed]
- Türkkahraman, H.; Yılmaz, H.; Cetin, E.; Yilmaz, H. A non-syndrome case with bilateral supernumerary canines: Report of a rare case. Dentomaxillofacial Radiol. 2005, 34, 319–321. [Google Scholar] [CrossRef]
- Nayak, U.A.; Mathian, V.M.; Veerakumar. Non-syndrome associated multiple supernumerary teeth: A report of two cases. J. Indian Soc. Pedod. Prev. Dent. 2006, 24, S11–S14. [Google Scholar] [PubMed]
- Andrei, O.C.; Farcaşiu, C.; Mărgărit, R.; Dinescu, M.I.; Tănăsescu, L.A.; Dăguci, L.; Burlibaşa, M.; Dăguci, C. Unilateral supplemental maxillary lateral incisor: Report of three rare cases and lit-erature review. Rom. J. Morphol. Embryol. 2019, 60, 947–953. [Google Scholar]
- Wychowański, P.; Wojtowicz, A.; Kalinowski, E.; Kukuła, K.; Krzywicki, D.; Marczyński, B. Występowanie Zębów Dodatkowych i Nadliczbowych u Pacjentów Zakładu Chirurgii Stomatologicznej IS AM w Warszawie—Opracowanie Epidemiologiczne. Nowa Stolatol 4/2005, 187–191. Available online: https://www.czytelniamedyczna.pl/nowa-stomatologia,ns200504.html (accessed on 20 January 2023).
- Komorowska, A.; Drelich, A. Powstawanie i rozwój zębów nadliczbowych. Czas. Stomat. 1995, 48, 272–281. [Google Scholar]
- Mortazavi, H.; Rezaeifar, K.; Baharvand, M. Intraosseous migration of second premolar below the inferior alveolar nerve canal: Case report. Dent. Med. Probl. 2018, 55, 87–90. [Google Scholar] [CrossRef]
- Okada, H.; Miyake, S.; Toyama, K.; Yamamoto, H. Intraosseous tooth migration of impacted mandibular premolar: Computed tomography observation of 2 cases of migration into the mandibular neck and the coronoid process. J. Oral Maxillofac. Surg. 2002, 60, 686–689. [Google Scholar] [CrossRef] [PubMed]
- Fuziy, A.; Costa, A.L.F.; Pastori, C.M.; de Freitas, C.F.; Torres, F.C.; Pedrão, L.L.V. Sequential imaging of an impacted mandibular second premolar migrated from angle to condyle. J. Oral Sci. 2014, 56, 303–306. [Google Scholar] [CrossRef] [PubMed]
- Orton, H.S.; McDonald, F. The eruptive potential of teeth: A case report of a wandering lower second premolar. Eur. J. Orthod. 1986, 8, 242–246. [Google Scholar] [CrossRef]
- Shahoon, H.; Esmaeili, M. Bilateral Intraosseous Migration of Mandibular Second Premolars in a Patient with Nine Missing Teeth. J. Dent. 2010, 7, 50–53. [Google Scholar]
- Infante-Cossio, P.; Hernandez-Guisado, J.M.; Gutierrez-Perez, J.L. Removal of a premolar with extreme distal migration by sagittal osteotomy of the mandibular ramus: Report of case. J. Oral Maxillofac. Surg. 2000, 58, 575–577. [Google Scholar] [CrossRef]
- Palikaraki, G.; Vardas, E.; Mitsea, A. Two Rare Cases of Non-Syndromic Paramolars with Family Occurrence and a Review of Literature. Dent. J. 2019, 7, 38. [Google Scholar] [CrossRef] [PubMed]
- Nunna, M.; Bandi, S.; Palavalli, B.; Nuvvula, S. Favorable outcome of a maxillary supplemental premolar. Contemp. Clin. Dent. 2018, 9, 659–662. [Google Scholar] [CrossRef]
- Garvey, M.T.; Barry, H.J.; Blake, M. Supernumerary teeth--an overview of classification, diagnosis and management. J. Can. Dent. Assoc. 1999, 65, 612–616. [Google Scholar] [PubMed]
- Alvarez, I.; Creath, C.J. Radiographic considerations for supernumerary tooth extraction: Report of case. ASDC J. Dent. Child. 1995, 62, 141–144. [Google Scholar] [PubMed]
- Hattab, F.N.; Yassin, O.M.; Rawashdeh, M.A. Supernumerary teeth: Report of three cases and review of the literature. ASDC J. Dent. Child. 1994, 61, 382–393. [Google Scholar]
- Tay, F.; Pang, A.; Yuen, S. Unerupted maxillary anterior supernumerary teeth: Report of 204 cases. ASDC J. Dent. Child. 1984, 51, 289–294. [Google Scholar]
- Liu, J.F. Characteristics of premaxillary supernumerary teeth: A survey of 112 cases. ASDC J. Dent. Child. 1995, 62, 262–265. [Google Scholar]








Disclaimer/Publisher’s Note: The statements, opinions and data contained in all publications are solely those of the individual author(s) and contributor(s) and not of MDPI and/or the editor(s). MDPI and/or the editor(s) disclaim responsibility for any injury to people or property resulting from any ideas, methods, instructions or products referred to in the content. |
© 2023 by the authors. Licensee MDPI, Basel, Switzerland. This article is an open access article distributed under the terms and conditions of the Creative Commons Attribution (CC BY) license (https://creativecommons.org/licenses/by/4.0/).
Share and Cite
Bogdanowicz, A.; Szwarczyńska, K.; Zaleska, S.B.; Kulczyk, T.; Biedziak, B. Tooth Migration in a Female Patient with Hyperdontia: 11-Year Follow-Up Case Report. J. Clin. Med. 2023, 12, 3206. https://doi.org/10.3390/jcm12093206
Bogdanowicz A, Szwarczyńska K, Zaleska SB, Kulczyk T, Biedziak B. Tooth Migration in a Female Patient with Hyperdontia: 11-Year Follow-Up Case Report. Journal of Clinical Medicine. 2023; 12(9):3206. https://doi.org/10.3390/jcm12093206
Chicago/Turabian StyleBogdanowicz, Agnieszka, Kaja Szwarczyńska, Sonia Barbara Zaleska, Tomasz Kulczyk, and Barbara Biedziak. 2023. "Tooth Migration in a Female Patient with Hyperdontia: 11-Year Follow-Up Case Report" Journal of Clinical Medicine 12, no. 9: 3206. https://doi.org/10.3390/jcm12093206
APA StyleBogdanowicz, A., Szwarczyńska, K., Zaleska, S. B., Kulczyk, T., & Biedziak, B. (2023). Tooth Migration in a Female Patient with Hyperdontia: 11-Year Follow-Up Case Report. Journal of Clinical Medicine, 12(9), 3206. https://doi.org/10.3390/jcm12093206

