Prospective Evaluation of Magnetic Resonance Imaging Features of Magnesium-Based Alloy Screw Resorption in Pediatric Fractures
Abstract
1. Introduction
2. Materials and Methods
2.1. Patients
2.2. Surgical Procedure and Screw
2.3. MRI Acquisition
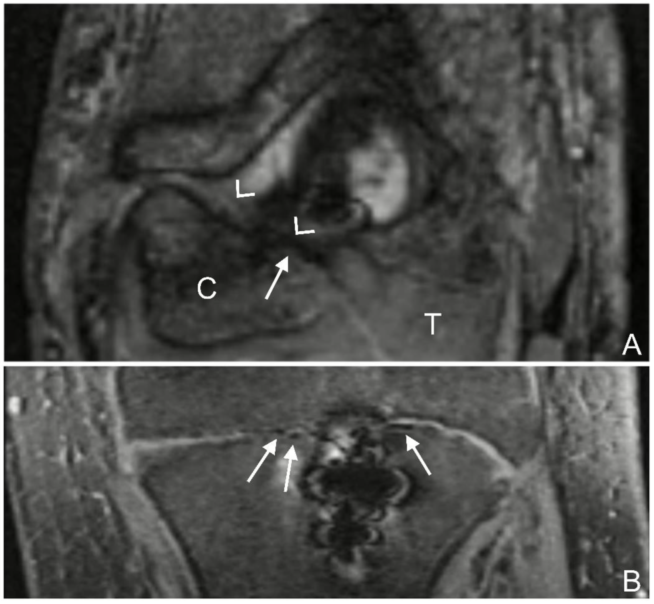
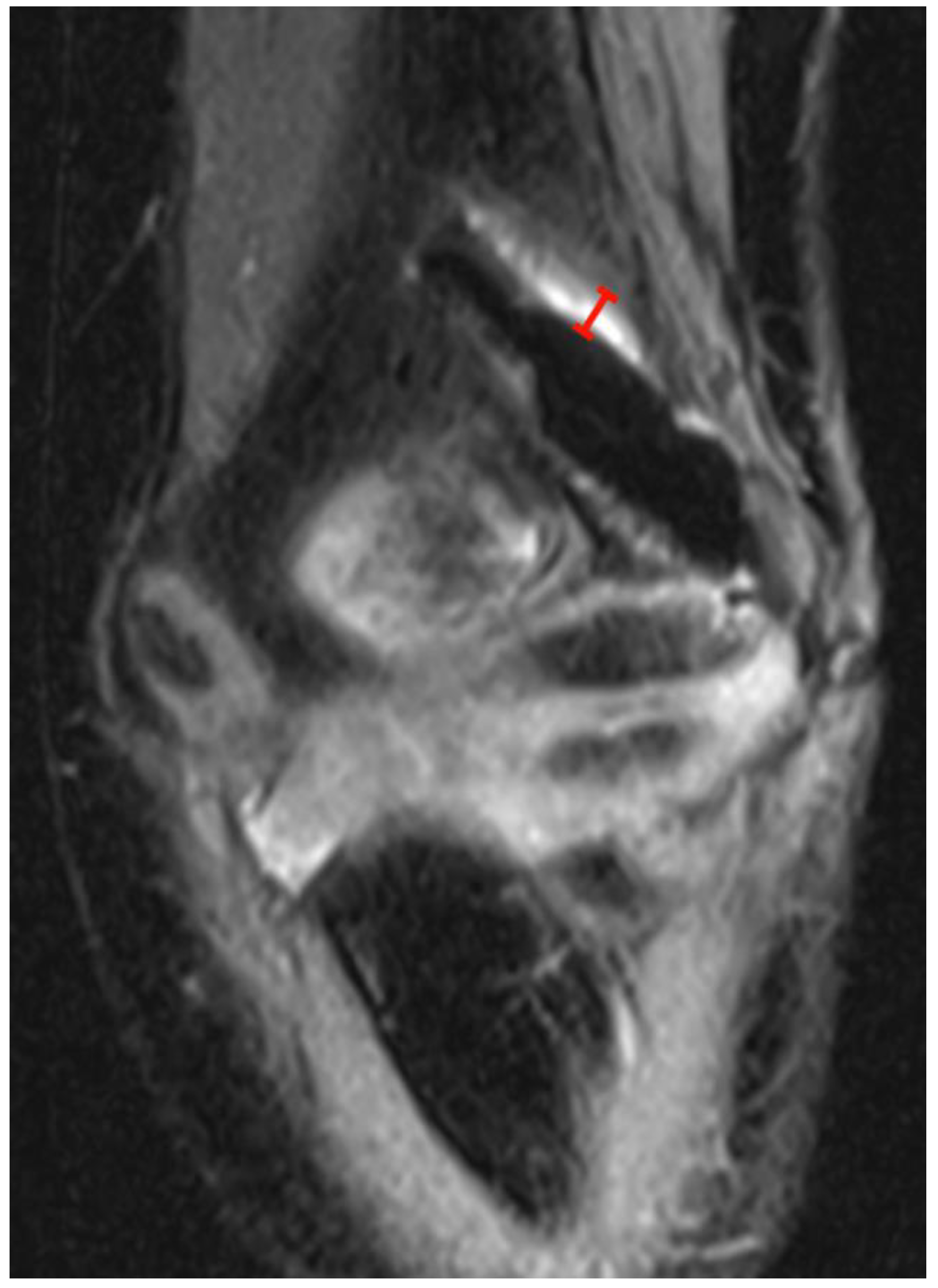
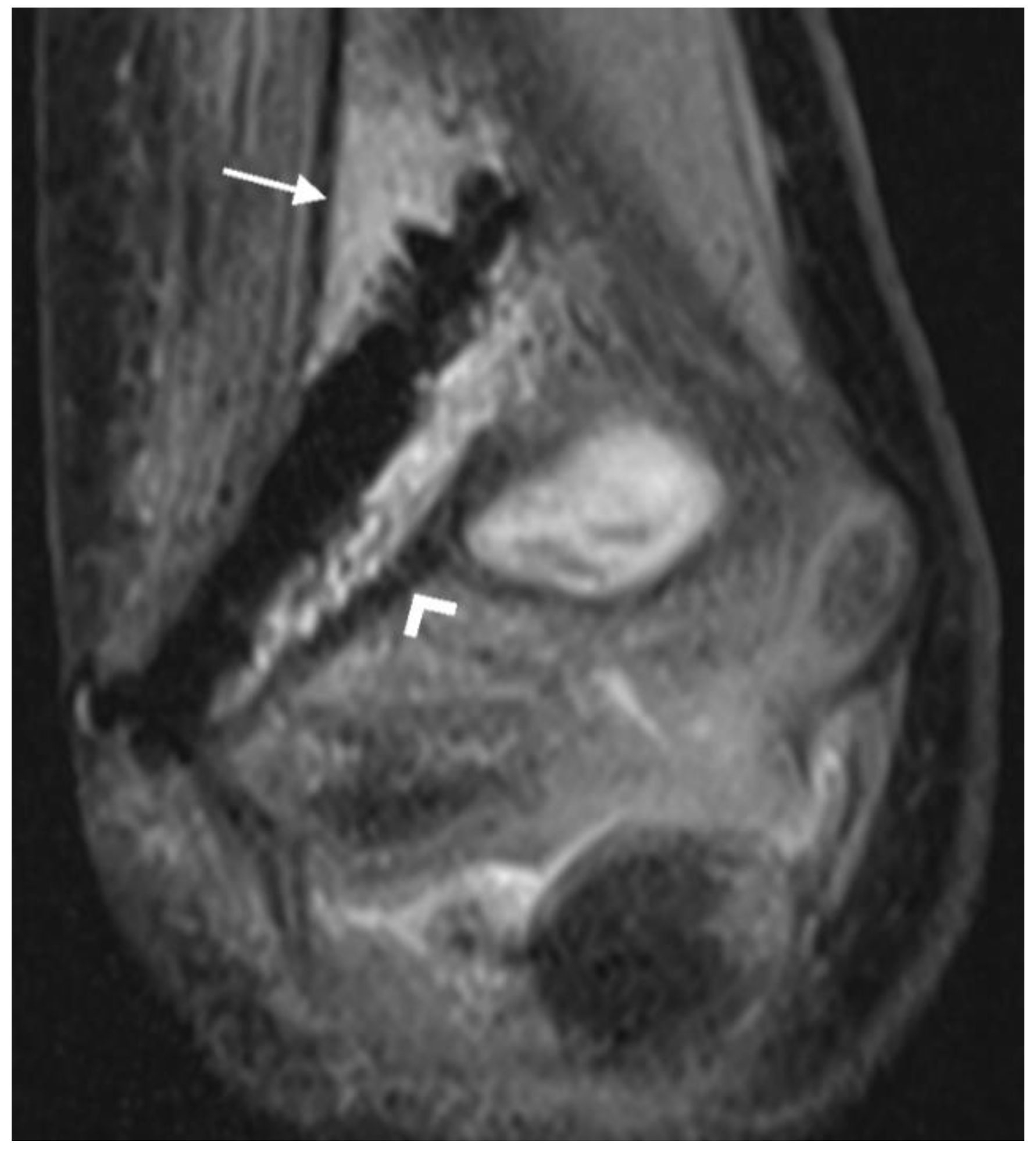
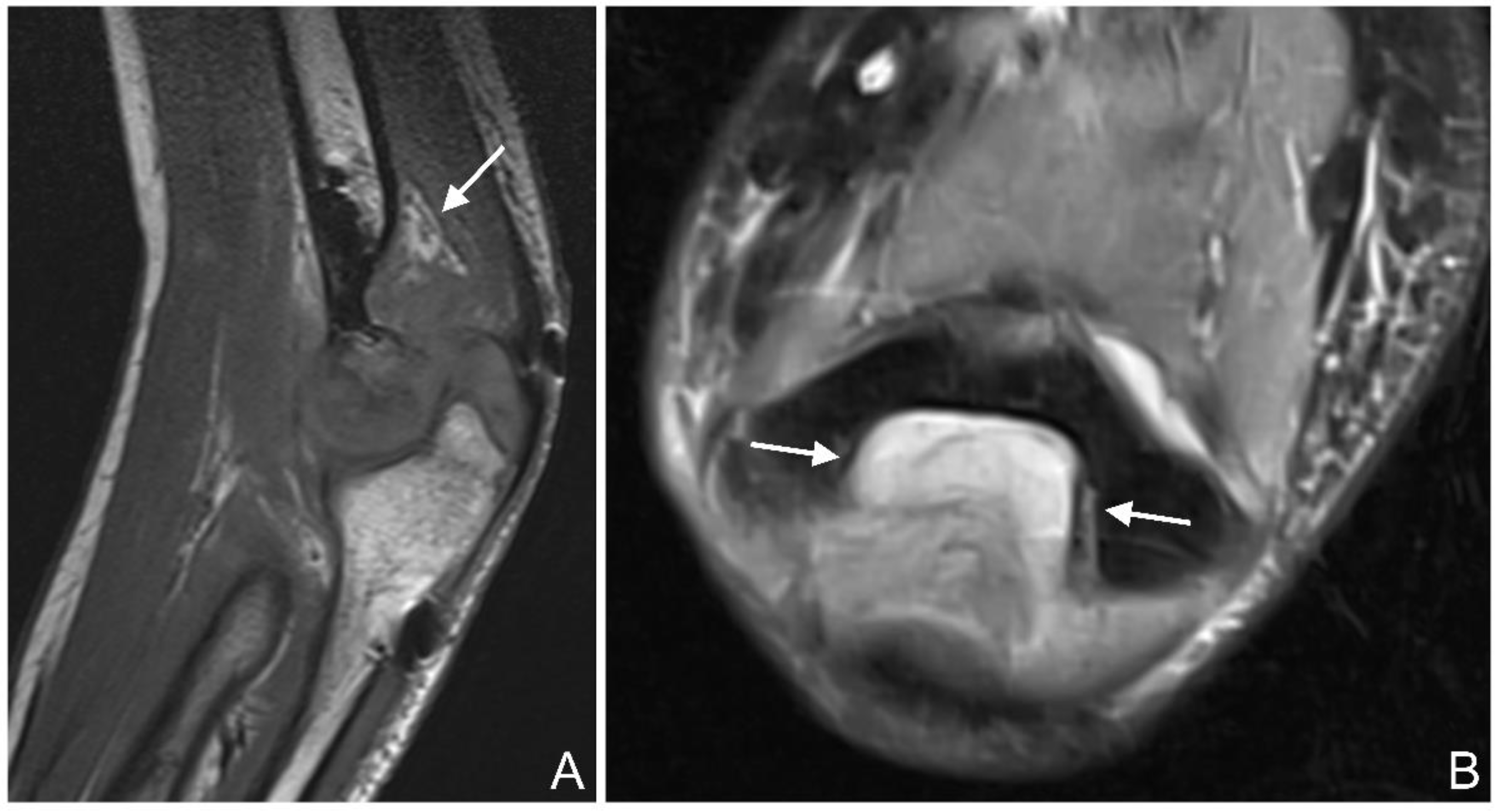
2.4. MRI Assessment
2.5. Statistical Analysis
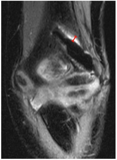
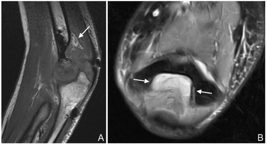
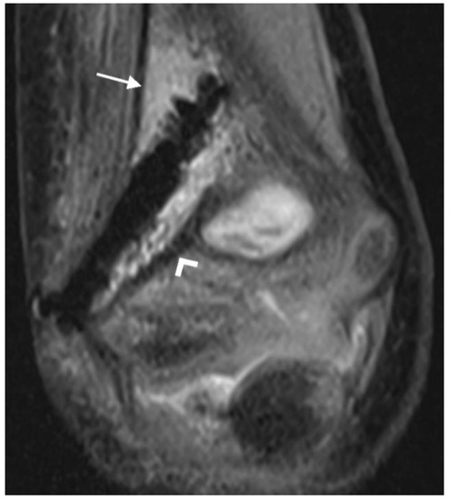
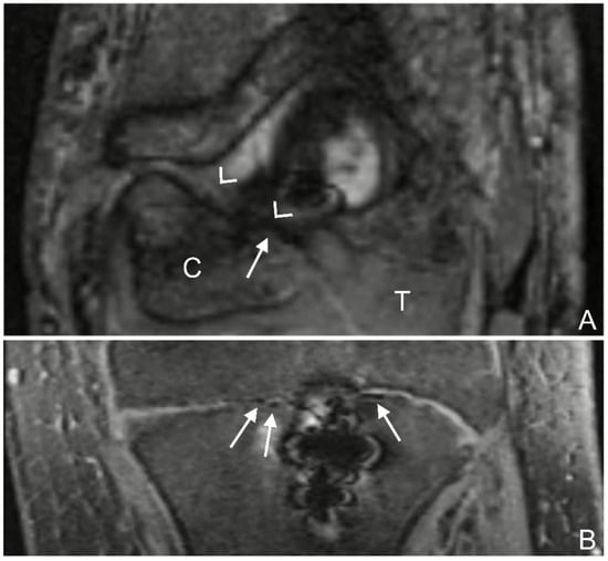
3. Results
4. Discussion
5. Conclusions
Author Contributions
Funding
Institutional Review Board Statement
Informed Consent Statement
Data Availability Statement
Acknowledgments
Conflicts of Interest
Abbreviations
| 3D | Three-dimensional |
| CHESS | Chemically selective saturation |
| FS | Fat-saturated |
| MRI | Magnetic resonance imaging |
| PACS | Picture archiving and communication system |
| PD | Proton density |
| SE | Spin echo |
| STIR | Short tau inversion recovery |
| T | Tesla |
| TE | Echo time |
| TIRM | Turbo inversion recovery magnitude |
| TR | Repetition time |
| TRUFI | True fast imaging with steady-state free precession |
| TSE | Turbo spin echo |
| W | Weighted |
| WE | Water excitation |
References
- Qiu, X.; Deng, H.; Su, Q.; Zeng, S.; Han, S.; Li, S.; Cui, Z.; Zhu, T.; Tang, G.; Xiong, Z.; et al. Epidemiology and management of 10,486 pediatric fractures in Shenzhen: Experience and lessons to be learnt. BMC Pediatr. 2022, 22, 161. [Google Scholar] [CrossRef] [PubMed]
- Hedstrom, E.M.; Svensson, O.; Bergstrom, U.; Michno, P. Epidemiology of fractures in children and adolescents. Acta Orthop. 2010, 81, 148–153. [Google Scholar] [CrossRef] [PubMed]
- Grun, N.G.; Holweg, P.L.; Donohue, N.; Klestil, T.; Weinberg, A.M. Resorbable implants in pediatric fracture treatment. Innov. Surg. Sci. 2018, 3, 119–125. [Google Scholar] [CrossRef] [PubMed]
- Westerkamp, A.C.; de Geus, A.F.; Molenbuur, B.; Meyer, P.; Wietasch, J.K.G.; Struys, M.; Hendriks, H.G.D. Comparing peri-operative complications of paediatric and adult anaesthesia: A retrospective cohort study of 81 267 cases. Eur. J. Anaesthesiol. 2018, 35, 280–288. [Google Scholar] [CrossRef] [PubMed]
- Lei, S.; Ko, R.; Sun, L.S. Neurocognitive Impact of Anesthesia in Children. Adv. Anesth. 2018, 36, 125–137. [Google Scholar] [CrossRef]
- Zhang, E.; Xu, L.; Yu, G.; Pan, F.; Yang, K. In vivo evaluation of biodegradable magnesium alloy bone implant in the first 6 months implantation. J. Biomed. Mater. Res. A 2009, 90, 882–893. [Google Scholar] [CrossRef]
- Witte, F.; Kaese, V.; Haferkamp, H.; Switzer, E.; Meyer-Lindenberg, A.; Wirth, C.J.; Windhagen, H. In vivo corrosion of four magnesium alloys and the associated bone response. Biomaterials 2005, 26, 3557–3563. [Google Scholar] [CrossRef]
- Jungesblut, O.D.; Moritz, M.; Spiro, A.S.; Stuecker, R.; Rupprecht, M. Fixation of Unstable Osteochondritis Dissecans Lesions and Displaced Osteochondral Fragments Using New Biodegradable Magnesium Pins in Adolescents. Cartilage 2021, 13, 302S–310S. [Google Scholar] [CrossRef]
- Baldini, M.; Coppa, V.; Falcioni, D.; Senigagliesi, E.; Marinelli, M.; Gigante, A.P. Use of resorbable magnesium screws in children: Systematic review of the literature and short-term follow-up from our series. J. Child. Orthop. 2021, 15, 194–203. [Google Scholar] [CrossRef]
- Sturznickel, J.; Delsmann, M.M.; Jungesblut, O.D.; Stucker, R.; Knorr, C.; Rolvien, T.; Kertai, M.; Rupprecht, M. Safety and performance of biodegradable magnesium-based implants in children and adolescents. Injury 2021, 52, 2265–2271. [Google Scholar] [CrossRef]
- Choo, J.T.; Lai, S.H.S.; Tang, C.Q.Y.; Thevendran, G. Magnesium-based bioabsorbable screw fixation for hallux valgus surgery—A suitable alternative to metallic implants. Foot Ankle Surg. 2019, 25, 727–732. [Google Scholar] [CrossRef] [PubMed]
- Leonhardt, H.; Franke, A.; McLeod, N.M.H.; Lauer, G.; Nowak, A. Fixation of fractures of the condylar head of the mandible with a new magnesium-alloy biodegradable cannulated headless bone screw. Br. J. Oral Maxillofac. Surg. 2017, 55, 623–625. [Google Scholar] [CrossRef] [PubMed]
- Windhagen, H.; Radtke, K.; Weizbauer, A.; Diekmann, J.; Noll, Y.; Kreimeyer, U.; Schavan, R.; Stukenborg-Colsman, C.; Waizy, H. Biodegradable magnesium-based screw clinically equivalent to titanium screw in hallux valgus surgery: Short term results of the first prospective, randomized, controlled clinical pilot study. Biomed. Eng. Online 2013, 12, 62. [Google Scholar] [CrossRef] [PubMed]
- Li, Z.H.; Yu, A.X.; Guo, X.P.; Qi, B.W.; Zhou, M.; Wang, W.Y. Absorbable implants versus metal implants for the treatment of ankle fractures: A meta-analysis. Exp. Ther. Med. 2013, 5, 1531–1537. [Google Scholar] [CrossRef]
- Polat, O.; Toy, S.; Kibar, B. Surgical outcomes of scaphoid fracture osteosynthesis with magnesium screws. Jt. Dis. Relat. Surg. 2021, 32, 721–728. [Google Scholar] [CrossRef]
- Acar, B.; Kose, O.; Turan, A.; Unal, M.; Kati, Y.A.; Guler, F. Comparison of Bioabsorbable Magnesium versus Titanium Screw Fixation for Modified Distal Chevron Osteotomy in Hallux Valgus. Biomed Res. Int. 2018, 2018, 5242806. [Google Scholar] [CrossRef]
- Acar, B.; Kose, O.; Unal, M.; Turan, A.; Kati, Y.A.; Guler, F. Comparison of magnesium versus titanium screw fixation for biplane chevron medial malleolar osteotomy in the treatment of osteochondral lesions of the talus. Eur. J. Orthop. Surg. Traumatol. 2020, 30, 163–173. [Google Scholar] [CrossRef]
- Plaass, C.; Ettinger, S.; Sonnow, L.; Koenneker, S.; Noll, Y.; Weizbauer, A.; Reifenrath, J.; Claassen, L.; Daniilidis, K.; Stukenborg-Colsman, C.; et al. Early results using a biodegradable magnesium screw for modified chevron osteotomies. J. Orthop. Res. 2016, 34, 2207–2214. [Google Scholar] [CrossRef]
- Plaass, C.; von Falck, C.; Ettinger, S.; Sonnow, L.; Calderone, F.; Weizbauer, A.; Reifenrath, J.; Claassen, L.; Waizy, H.; Daniilidis, K.; et al. Bioabsorbable magnesium versus standard titanium compression screws for fixation of distal metatarsal osteotomies—3 year results of a randomized clinical trial. J. Orthop. Sci. 2018, 23, 321–327. [Google Scholar] [CrossRef]
- May, H.; Alper Kati, Y.; Gumussuyu, G.; Yunus Emre, T.; Unal, M.; Kose, O. Bioabsorbable magnesium screw versus conventional titanium screw fixation for medial malleolar fractures. J. Orthop. Traumatol. 2020, 21, 9. [Google Scholar] [CrossRef]
- Sonnow, L.; Ziegler, A.; Pohler, G.H.; Kirschner, M.H.; Richter, M.; Cetin, M.; Unal, M.; Kose, O. Alterations in magnetic resonance imaging characteristics of bioabsorbable magnesium screws over time in humans: A retrospective single center study. Innov. Surg. Sci. 2022, 6, 105–113. [Google Scholar] [CrossRef] [PubMed]
- Sonnow, L.; Konneker, S.; Vogt, P.M.; Wacker, F.; von Falck, C. Biodegradable magnesium Herbert screw—Image quality and artifacts with radiography, CT and MRI. BMC Med. Imaging 2017, 17, 16. [Google Scholar] [CrossRef] [PubMed]
- Sun, Y.; Helmholz, H.; Will, O.; Damm, T.; Wiese, B.; Luczak, M.; Peschke, E.; Luthringer-Feyerabend, B.; Ebel, T.; Hovener, J.B.; et al. Dynamic in vivo monitoring of fracture healing process in response to magnesium implant with multimodal imaging: Pilot longitudinal study in a rat external fixation model. Biomater. Sci. 2022, 10, 1532–1543. [Google Scholar] [CrossRef]
- Filli, L.; Luechinger, R.; Frauenfelder, T.; Beck, S.; Guggenberger, R.; Farshad-Amacker, N.; Andreisek, G. Metal-induced artifacts in computed tomography and magnetic resonance imaging: Comparison of a biodegradable magnesium alloy versus titanium and stainless steel controls. Skelet. Radiol. 2015, 44, 849–856. [Google Scholar] [CrossRef] [PubMed]
- Waelti, S.L.; Markart, S.; Willems, E.P.; Fischer, T.; Dietrich, T.J.; Ditchfield, M.; Matissek, C.; Krebs, T. Radiographic features of magnesium-based bioabsorbable screw resorption in paediatric fractures. Pediatr. Radiol. 2022, 52, 2368–2376. [Google Scholar] [CrossRef]
- Al-Tarawneh, E.; Al-Qudah, M.; Hadidi, F.; Jubouri, S.; Hadidy, A. Incidental intraosseous pneumatocyst with gas-density-fluid level in an adolescent: A case report and review of the literature. J. Radiol. Case Rep. 2014, 8, 16–22. [Google Scholar] [CrossRef]
- Luey, C.; Tooley, D.; Briggs, S. Emphysematous osteomyelitis: A case report and review of the literature. Int. J. Infect. Dis. 2012, 16, e216–e220. [Google Scholar] [CrossRef]
- McDonnell, O.; Khaleel, Z. Emphysematous osteomyelitis. JAMA Neurol. 2014, 71, 512. [Google Scholar] [CrossRef]
- Spirig, J.M.; Sutter, R.; Gotschi, T.; Farshad-Amacker, N.A.; Farshad, M. Value of standard radiographs, computed tomography, and magnetic resonance imaging of the lumbar spine in detection of intraoperatively confirmed pedicle screw loosening-a prospective clinical trial. Spine J. 2019, 19, 461–468. [Google Scholar] [CrossRef]
- Starr, A.M.; Wessely, M.A.; Albastaki, U.; Pierre-Jerome, C.; Kettner, N.W. Bone marrow edema: Pathophysiology, differential diagnosis, and imaging. Acta Radiol. 2008, 49, 771–786. [Google Scholar] [CrossRef]
- Donovan, A.; Schweitzer, M.E. Use of MR imaging in diagnosing diabetes-related pedal osteomyelitis. Radiographics 2010, 30, 723–736. [Google Scholar] [CrossRef] [PubMed]
- Alaia, E.F.; Chhabra, A.; Simpfendorfer, C.S.; Cohen, M.; Mintz, D.N.; Vossen, J.A.; Zoga, A.C.; Fritz, J.; Spritzer, C.E.; Armstrong, D.G.; et al. MRI nomenclature for musculoskeletal infection. Skelet. Radiol. 2021, 50, 2319–2347. [Google Scholar] [CrossRef] [PubMed]
- Rahmouni, A.; Chosidow, O.; Mathieu, D.; Gueorguieva, E.; Jazaerli, N.; Radier, C.; Faivre, J.M.; Roujeau, J.C.; Vasile, N. MR imaging in acute infectious cellulitis. Radiology 1994, 192, 493–496. [Google Scholar] [CrossRef] [PubMed]
- Schmid, M.R.; Kossmann, T.; Duewell, S. Differentiation of necrotizing fasciitis and cellulitis using MR imaging. AJR Am. J. Roentgenol. 1998, 170, 615–620. [Google Scholar] [CrossRef] [PubMed]
- De Maeseneer, M.; Jacobson, J.A.; Jaovisidha, S.; Lenchik, L.; Ryu, K.N.; Trudell, D.R.; Resnick, D. Elbow effusions: Distribution of joint fluid with flexion and extension and imaging implications. Investig. Radiol. 1998, 33, 117–125. [Google Scholar] [CrossRef]
- Jungmann, P.M.; Agten, C.A.; Pfirrmann, C.W.; Sutter, R. Advances in MRI around metal. J. Magn. Reson. Imaging 2017, 46, 972–991. [Google Scholar] [CrossRef]
- Grosjean, P.; Ibanez, F. pastecs: Package for Analysis of Space-Time Ecological Series. R Package Version 1.3.21. 2018. Available online: https://CRANR-projectorg/package=pastecs (accessed on 17 November 2022).
- Revelle, W. psych: Procedures for Personality and Psychological Research, version 2.2.5; Northwestern University: Evanston, IL, USA, 2022. [Google Scholar]
- Wickham, H. ggplot2: Elegant Graphics for Data Analysis, Package version 3.3.6; Springer: New York, NY, USA, 2016. [Google Scholar]
- RCoreTeam. A Language and Environment for Statistical Computing; R Foundation for Statistical Computing: Vienna, Austria, 2022; Available online: https://www.R-project.org/ (accessed on 17 November 2022).
- Koo, T.K.; Li, M.Y. A Guideline of Selecting and Reporting Intraclass Correlation Coefficients for Reliability Research. J. Chiropr. Med. 2016, 15, 155–163. [Google Scholar] [CrossRef]
- Witte, F. The history of biodegradable magnesium implants: A review. Acta Biomater. 2010, 6, 1680–1692. [Google Scholar] [CrossRef]
- Staiger, M.P.; Pietak, A.M.; Huadmai, J.; Dias, G. Magnesium and its alloys as orthopedic biomaterials: A review. Biomaterials 2006, 27, 1728–1734. [Google Scholar] [CrossRef]
- Lim, H.K.; Byun, S.H.; Woo, J.M.; Kim, S.M.; Lee, S.M.; Kim, B.J.; Kim, H.E.; Lee, J.W.; Kim, S.M.; Lee, J.H. Biocompatibility and Biocorrosion of Hydroxyapatite-Coated Magnesium Plate: Animal Experiment. Materials 2017, 10, 1149. [Google Scholar] [CrossRef]
- Farraro, K.F.; Kim, K.E.; Woo, S.L.; Flowers, J.R.; McCullough, M.B. Revolutionizing orthopaedic biomaterials: The potential of biodegradable and bioresorbable magnesium-based materials for functional tissue engineering. J. Biomech. 2014, 47, 1979–1986. [Google Scholar] [CrossRef] [PubMed]
- Noviana, D.; Paramitha, D.; Ulum, M.F.; Hermawan, H. The effect of hydrogen gas evolution of magnesium implant on the postimplantation mortality of rats. J. Orthop. Transl. 2016, 5, 9–15. [Google Scholar] [CrossRef] [PubMed]
- Myrissa, A.; Agha, N.A.; Lu, Y.; Martinelli, E.; Eichler, J.; Szakacs, G.; Kleinhans, C.; Willumeit-Romer, R.; Schafer, U.; Weinberg, A.M. In vitro and in vivo comparison of binary Mg alloys and pure Mg. Mater. Sci. Eng. C Mater. Biol. Appl. 2016, 61, 865–874. [Google Scholar] [CrossRef] [PubMed]
- Castellani, C.; Lindtner, R.A.; Hausbrandt, P.; Tschegg, E.; Stanzl-Tschegg, S.E.; Zanoni, G.; Beck, S.; Weinberg, A.M. Bone-implant interface strength and osseointegration: Biodegradable magnesium alloy versus standard titanium control. Acta Biomater. 2011, 7, 432–440. [Google Scholar] [CrossRef]
- Kraus, T.; Fischerauer, S.; Treichler, S.; Martinelli, E.; Eichler, J.; Myrissa, A.; Zotsch, S.; Uggowitzer, P.J.; Loffler, J.F.; Weinberg, A.M. The influence of biodegradable magnesium implants on the growth plate. Acta Biomater. 2018, 66, 109–117. [Google Scholar] [CrossRef]
- Diekmann, J.; Bauer, S.; Weizbauer, A.; Willbold, E.; Windhagen, H.; Helmecke, P.; Lucas, A.; Reifenrath, J.; Nolte, I.; Ezechieli, M. Examination of a biodegradable magnesium screw for the reconstruction of the anterior cruciate ligament: A pilot in vivo study in rabbits. Mater. Sci. Eng. C Mater. Biol. Appl. 2016, 59, 1100–1109. [Google Scholar] [CrossRef]
- Ezechieli, M.; Diekmann, J.; Weizbauer, A.; Becher, C.; Willbold, E.; Helmecke, P.; Lucas, A.; Schavan, R.; Windhagen, H. Biodegradation of a magnesium alloy implant in the intercondylar femoral notch showed an appropriate response to the synovial membrane in a rabbit model in vivo. J. Biomater. Appl. 2014, 29, 291–302. [Google Scholar] [CrossRef]
- Ecklund, K.; Jaramillo, D. Patterns of premature physeal arrest: MR imaging of 111 children. AJR Am. J. Roentgenol. 2002, 178, 967–972. [Google Scholar] [CrossRef]
- Nguyen, J.C.; Markhardt, B.K.; Merrow, A.C.; Dwek, J.R. Imaging of Pediatric Growth Plate Disturbances. Radiographics 2017, 37, 1791–1812. [Google Scholar] [CrossRef]
- Theruvil, B.; Kapoor, V.; Fairhurst, J.; Taylor, G.R. Progressive cubitus varus due to a bony physeal bar in a 4-year-old girl following a supracondylar fracture: A case report. J. Orthop. Trauma 2005, 19, 669–672. [Google Scholar] [CrossRef]
- Naujokat, H.; Ruff, C.B.; Kluter, T.; Seitz, J.M.; Acil, Y.; Wiltfang, J. Influence of surface modifications on the degradation of standard-sized magnesium plates and healing of mandibular osteotomies in miniature pigs. Int. J. Oral Maxillofac. Surg. 2020, 49, 272–283. [Google Scholar] [CrossRef]
- Jang, Y.; Collins, B.; Sankar, J.; Yun, Y. Effect of biologically relevant ions on the corrosion products formed on alloy AZ31B: An improved understanding of magnesium corrosion. Acta Biomater. 2013, 9, 8761–8770. [Google Scholar] [CrossRef] [PubMed]
- Wong, H.M.; Yeung, K.W.; Lam, K.O.; Tam, V.; Chu, P.K.; Luk, K.D.; Cheung, K.M. A biodegradable polymer-based coating to control the performance of magnesium alloy orthopaedic implants. Biomaterials 2010, 31, 2084–2096. [Google Scholar] [CrossRef] [PubMed]
- Prosser, I.; Lawson, Z.; Evans, A.; Harrison, S.; Morris, S.; Maguire, S.; Kemp, A.M. A timetable for the radiologic features of fracture healing in young children. AJR Am. J. Roentgenol. 2012, 198, 1014–1020. [Google Scholar] [CrossRef]
- Konneker, S.; Krockenberger, K.; Pieh, C.; von Falck, C.; Brandewiede, B.; Vogt, P.M.; Kirschner, M.H.; Ziegler, A. Comparison of SCAphoid fracture osteosynthesis by MAGnesium-based headless Herbert screws with titanium Herbert screws: Protocol for the randomized controlled SCAMAG clinical trial. BMC Musculoskelet. Disord. 2019, 20, 357. [Google Scholar] [CrossRef]
- Griffith, J.F.; Roebuck, D.J.; Cheng, J.C.; Chan, Y.L.; Rainer, T.H.; Ng, B.K.; Metreweli, C. Acute elbow trauma in children: Spectrum of injury revealed by MR imaging not apparent on radiographs. AJR Am. J. Roentgenol. 2001, 176, 53–60. [Google Scholar] [CrossRef] [PubMed]
- Qi, Y.; Guo, L.; Sun, M.; Wang, Z. Clinical value of MRI in evaluating and diagnosing of humeral lateral condyle fracture in children. J. Orthop. Surg. Res. 2021, 16, 617. [Google Scholar] [CrossRef] [PubMed]
- Pudas, T.; Hurme, T.; Mattila, K.; Svedstrom, E. Magnetic resonance imaging in pediatric elbow fractures. Acta Radiol. 2005, 46, 636–644. [Google Scholar] [CrossRef]
- Jarraya, M.; Hayashi, D.; Guermazi, A.; Kwoh, C.K.; Hannon, M.J.; Moore, C.E.; Jakicic, J.M.; Green, S.M.; Roemer, F.W. Susceptibility artifacts detected on 3T MRI of the knee: Frequency, change over time and associations with radiographic findings: Data from the joints on glucosamine study. Osteoarthr. Cartil. 2014, 22, 1499–1503. [Google Scholar] [CrossRef]










| Sequence | Repetition Time (ms) | Echo Time (ms) | Flip Angle (°) | Band-Width (Hz/pix) | Slice Thickness (mm) | Slice Spacing (mm) | FOV (mm) | Fat Suppression |
|---|---|---|---|---|---|---|---|---|
| T1w SE sag | 630 | 19 | 90 | 65 | 3 | 3.3 | 140 × 140 | - |
| T1w SE cor | 460 | 13 | 90 | 125 | 4 | 4.4 | 140 × 140 | - |
| PDw TSE fs cor | 2100 | 24 | 150 | 170 | 3 | 3.3 | 140 × 140 | CHESS/Fat saturation |
| PDw TSE fs DIXON tra | 3000 | 14 | 150 | 170 | 4 | 5.2 | 120 × 120 | DIXON |
| TIRM cor | 4340 | 22 | 180 | 130 | 4 | 4.8 | 140 × 140 | STIR |
| T2w TRUFI 3D WE tra | 12.72 | 5.61 | 28 | 150 | 0.5 | overlapping | 90 × 90 | WE |
| Fracture | n/N | % | Agemean | Agerange |
|---|---|---|---|---|
| Medial epicondyle (humerus) | 9/17 | 52.94 | 13.31 | 11.42–17.40 |
| Lateral condyle (humerus) | 3/17 | 17.65 | 8.42 | 7.30–9.96 |
| Intercondylar (humerus) | 1/17 | 5.88 | 13.45 | - |
| Complex distal (humerus) | 1/17 | 5.88 | 12.63 | - |
| Coronoid process (ulna) | 1/17 | 5.88 | 14.43 | - |
| Tibial tuberosity | 2/17 | 11.76 | 12.97 | 11.44–14.50 |
| Variable | Agreement (n/N) | Agreement Statistic | 95%-CI Around Statistic |
|---|---|---|---|
| Gas locules | |||
| In growth plate | 25/30 | κ Cohen = 0.744 | 0.544–0.943 |
| Intra-articular gas | 24/30 | κ Cohen = 0.545 | 0.256–0.835 |
| In bone tissue | 30/30 | - | - |
| In soft tissue | 30/30 | - | - |
| Osteolysis | * | ICC = 0.500 | 0.176–0.726 |
| Bone marrow edema | 29/30 | - | - |
| Periosteal reaction | 23/30 | κ Cohen = 0.400 | 0.060–0.740 |
| Joint effusion | 24/30 | κ Cohen = 0.583 | 0.286–0.880 |
| Pile-up artifacts | 24/30 | κ Cohen = 0.182 | −0.214–0.577 |
| Geometric distortion | 30/30 | - | - |
| Fat suppression | |||
| CHESS | 29/30 | - | - |
| STIR | 30/30 | - | - |
| DIXON | 26/30 | κ Cohen = −0.053 | −0.133–0.028 |
| Water excitation | 24/30 | κ Cohen = 0.412 | 0.071–0.752 |
Disclaimer/Publisher’s Note: The statements, opinions and data contained in all publications are solely those of the individual author(s) and contributor(s) and not of MDPI and/or the editor(s). MDPI and/or the editor(s) disclaim responsibility for any injury to people or property resulting from any ideas, methods, instructions or products referred to in the content. |
© 2023 by the authors. Licensee MDPI, Basel, Switzerland. This article is an open access article distributed under the terms and conditions of the Creative Commons Attribution (CC BY) license (https://creativecommons.org/licenses/by/4.0/).
Share and Cite
Waelti, S.L.; Wildermuth, S.; Willems, E.P.; Fischer, T.; Dietrich, T.J.; Leschka, S.; Matissek, C.; Krebs, T.; Markart, S. Prospective Evaluation of Magnetic Resonance Imaging Features of Magnesium-Based Alloy Screw Resorption in Pediatric Fractures. J. Clin. Med. 2023, 12, 3016. https://doi.org/10.3390/jcm12083016
Waelti SL, Wildermuth S, Willems EP, Fischer T, Dietrich TJ, Leschka S, Matissek C, Krebs T, Markart S. Prospective Evaluation of Magnetic Resonance Imaging Features of Magnesium-Based Alloy Screw Resorption in Pediatric Fractures. Journal of Clinical Medicine. 2023; 12(8):3016. https://doi.org/10.3390/jcm12083016
Chicago/Turabian StyleWaelti, Stephan L., Simon Wildermuth, Erik P. Willems, Tim Fischer, Tobias J. Dietrich, Sebastian Leschka, Christoph Matissek, Thomas Krebs, and Stefan Markart. 2023. "Prospective Evaluation of Magnetic Resonance Imaging Features of Magnesium-Based Alloy Screw Resorption in Pediatric Fractures" Journal of Clinical Medicine 12, no. 8: 3016. https://doi.org/10.3390/jcm12083016
APA StyleWaelti, S. L., Wildermuth, S., Willems, E. P., Fischer, T., Dietrich, T. J., Leschka, S., Matissek, C., Krebs, T., & Markart, S. (2023). Prospective Evaluation of Magnetic Resonance Imaging Features of Magnesium-Based Alloy Screw Resorption in Pediatric Fractures. Journal of Clinical Medicine, 12(8), 3016. https://doi.org/10.3390/jcm12083016

