Clinical Influence of Ethanol Infusion in the Vein of Marshall on Left Atrial Appendage Occlusion: Results of Feasibility and Safety during Implantation and at 60-Day Follow-Up
Abstract
1. Introduction
2. Materials and Methods
2.1. Study Populations
2.2. Procedure
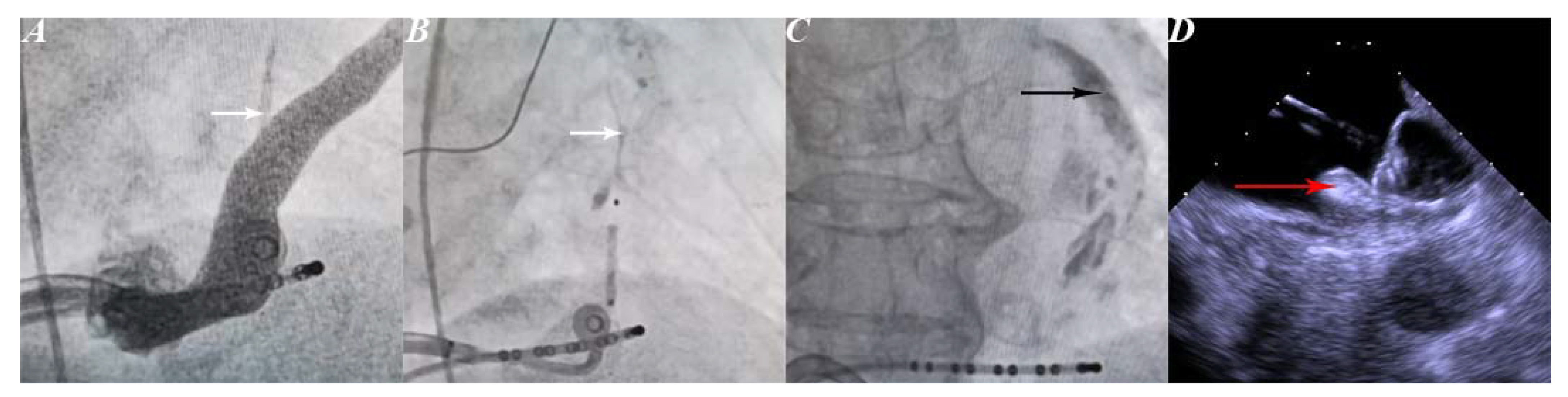
2.2.1. Ethanol Infusion in the Vein of Marshall
2.2.2. Left Atrial Appendage Occlusion
2.3. Clinical Outcomes and Follow-Up
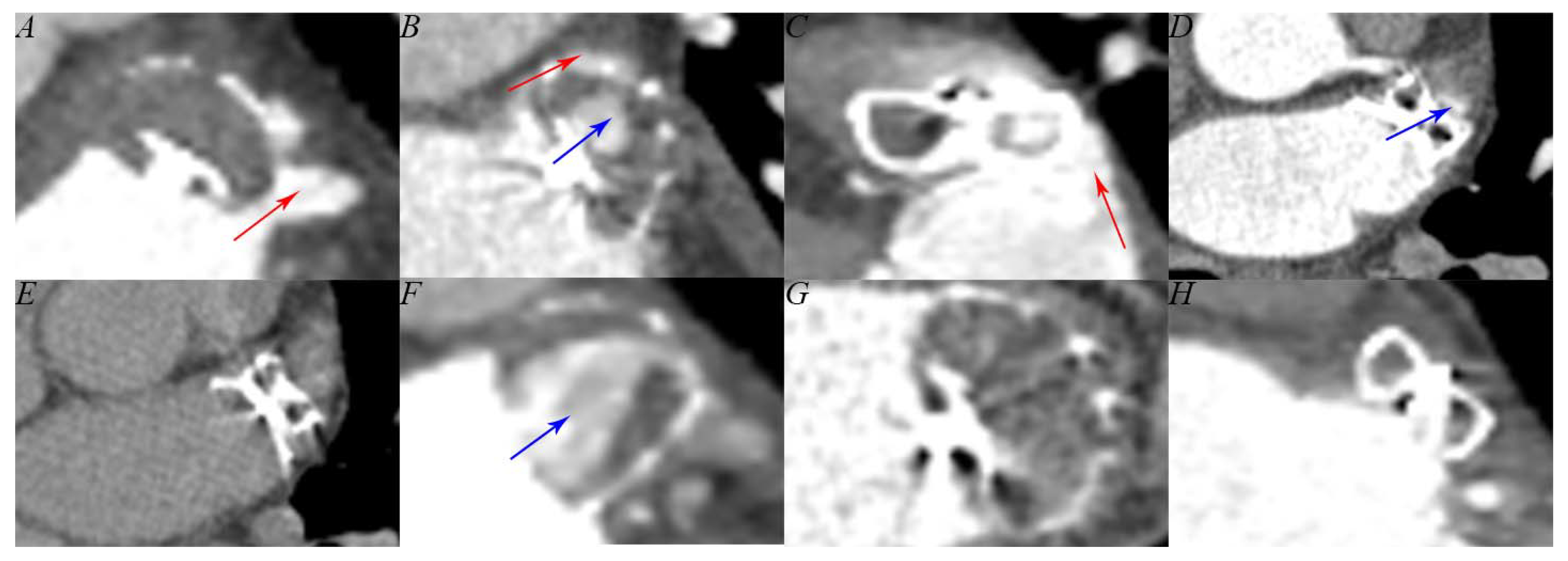
2.4. Computed Tomography Assessment
2.5. Statistical Analysis
3. Results
3.1. Baseline Characteristics
3.2. Intra-Procedural Left Atrial Appendage Occlusion Parameters
3.3. Follow-Up Left Atrial Appendage Occlusion Results
3.4. Safety ourcomes
4. Discussion
4.1. Intra-Procedural Feasibility
4.2. Follow-Up Feasibility
4.3. Safety Outcome
4.4. Limitations
5. Conclusions
Author Contributions
Funding
Institutional Review Board Statement
Informed Consent Statement
Data Availability Statement
Conflicts of Interest
References
- Hindricks, G.; Potpara, T.; Dagres, N.; Arbelo, E.; Bax, J.J.; Blomström-Lundqvist, C.; Boriani, G.; Castella, M.; Dan, G.A.; Dilaveris, P.E.; et al. 2020 ESC Guidelines for the diagnosis and management of atrial fibrillation developed in collaboration with the European Association for Cardio-Thoracic Surgery (EACTS). Eur. Heart J. 2021, 42, 373–498. [Google Scholar] [PubMed]
- Reddy, V.Y.; Sievert, H.; Halperin, J.; Doshi, S.K.; Buchbinder, M.; Neuzil, P.; Huber, K.; Whisenant, B.; Kar, S.; Swarup, V.; et al. Percutaneous left atrial appendage closure vs warfarin for atrial fibrillation: A randomized clinical trial. JAMA 2014, 312, 1988–1998. [Google Scholar] [CrossRef] [PubMed]
- Holmes, D.R., Jr.; Kar, S.; Price, M.J.; Whisenant, B.; Sievert, H.; Doshi, S.K.; Huber, K.; Reddy, V.Y. Prospective randomized evaluation of the Watchman Left Atrial Appendage Closure device in patients with atrial fibrillation versus long-term warfarin therapy: The PREVAIL trial. J. Am. Coll. Cardiol. 2014, 64, 1–12. [Google Scholar] [CrossRef]
- Osmancik, P.; Herman, D.; Neuzil, P.; Hala, P.; Taborsky, M.; Kala, P.; Poloczek, M.; Stasek, J.; Haman, L.; Branny, M.; et al. Left Atrial Appendage Closure Versus Direct Oral Anticoagulants in High-Risk Patients With Atrial Fibrillation. J. Am. Coll. Cardiol. 2020, 75, 3122–3135. [Google Scholar] [CrossRef]
- Su, F.; Gao, C.; Liu, J.; Ning, Z.; He, B.; Liu, Y.; Xu, Y.; Yang, B.; Li, Y.; Zhang, J.; et al. Periprocedural Outcomes Associated With Use of a Left Atrial Appendage Occlusion Device in China. JAMA Netw. Open 2022, 5, e2214594. [Google Scholar] [CrossRef]
- Chen, M.; Wang, Z.Q.; Wang, Q.S.; Sun, J.; Zhang, P.P.; Feng, X.F.; Li, W.; Yu, Y.; Liu, B.; Mo, B.F.; et al. One-stop strategy for treatment of atrial fibrillation: Feasibility and safety of combining catheter ablation and left atrial appendage closure in a single procedure. Chin. Med. J. (Engl.) 2020, 133, 1422–1428. [Google Scholar] [CrossRef]
- Parameswaran, R.; Al-Kaisey, A.M.; Kalman, J.M. Catheter ablation for atrial fibrillation: Current indications and evolving technologies. Nat. Rev. Cardiol. 2021, 18, 210–225. [Google Scholar] [CrossRef]
- Verma, A.; Jiang, C.Y.; Betts, T.R.; Chen, J.; Deisenhofer, I.; Mantovan, R.; Macle, L.; Morillo, C.A.; Haverkamp, W.; Weerasooriya, R.; et al. Approaches to catheter ablation for persistent atrial fibrillation. N. Engl. J. Med. 2015, 372, 1812–1822. [Google Scholar] [CrossRef]
- Valderrábano, M. Vein of Marshall ethanol infusion in the treatment of atrial fibrillation: From concept to clinical practice. Heart Rhythm. 2021, 18, 1074–1082. [Google Scholar] [CrossRef]
- Valderrábano, M.; Peterson, L.E.; Swarup, V.; Schurmann, P.A.; Makkar, A.; Doshi, R.N.; DeLurgio, D.; Athill, C.A.; Ellenbogen, K.A.; Natale, A.; et al. Effect of Catheter Ablation With Vein of Marshall Ethanol Infusion vs Catheter Ablation Alone on Persistent Atrial Fibrillation: The VENUS Randomized Clinical Trial. JAMA 2020, 324, 1620–1628. [Google Scholar] [CrossRef]
- Derval, N.; Duchateau, J.; Denis, A.; Ramirez, F.D.; Mahida, S.; André, C.; Krisai, P.; Nakatani, Y.; Kitamura, T.; Takigawa, M.; et al. Marshall bundle elimination, Pulmonary vein isolation, and Line completion for ANatomical ablation of persistent atrial fibrillation (Marshall-PLAN): Prospective, single-center study. Heart Rhythm. 2021, 18, 529–537. [Google Scholar] [CrossRef] [PubMed]
- Berti, S.; Pastormerlo, L.E.; Santoro, G.; Brscic, E.; Montorfano, M.; Vignali, L.; Danna, P.; Tondo, C.; Rezzaghi, M.; D’Amico, G.; et al. Intracardiac Versus Transesophageal Echocardiographic Guidance for Left Atrial Appendage Occlusion: The LAAO Italian Multicenter Registry. JACC Cardiovasc. Interv. 2018, 11, 1086–1092. [Google Scholar] [CrossRef] [PubMed]
- Galea, R.; De Marco, F.; Meneveau, N.; Aminian, A.; Anselme, F.; Gräni, C.; Huber, A.T.; Teiger, E.; Iriart, X.; Bosombo, F.B.; et al. Amulet or Watchman Device for Percutaneous Left Atrial Appendage Closure: Primary Results of the SWISS-APERO Randomized Clinical Trial. Circulation 2022, 145, 724–738. [Google Scholar] [CrossRef] [PubMed]
- Kamakura, T.; Derval, N.; Duchateau, J.; Denis, A.; Nakashima, T.; Takagi, T.; Ramirez, F.D.; André, C.; Krisai, P.; Nakatani, Y.; et al. Vein of Marshall Ethanol Infusion: Feasibility, Pitfalls, and Complications in Over 700 Patients. Circ. Arrhythmia Electrophysiol. 2021, 14, e010001. [Google Scholar] [CrossRef] [PubMed]
- Korsholm, K.; Berti, S.; Iriart, X.; Saw, J.; Wang, D.D.; Cochet, H.; Chow, D.; Clemente, A.; De Backer, O.; Jensen, J.M.; et al. Expert Recommendations on Cardiac Computed Tomography for Planning Transcatheter Left Atrial Appendage Occlusion. JACC Cardiovasc. Interv. 2020, 13, 277–292. [Google Scholar] [CrossRef] [PubMed]
- Phillips, K.P.; Walker, D.T.; Humphries, J.A. Combined catheter ablation for atrial fibrillation and Watchman® left atrial appendage occlusion procedures: Five-year experience. J. Arrhythmia 2016, 32, 119–126. [Google Scholar] [CrossRef] [PubMed]
- Gasperetti, A.; Fassini, G.; Tundo, F.; Zucchetti, M.; Dessanai, M.; Tondo, C. A left atrial appendage closure combined procedure review: Past, present, and future perspectives. J. Cardiovasc. Electrophysiol. 2019, 30, 1345–1351. [Google Scholar] [CrossRef]
- Zhao, M.Z.; Chi, R.M.; Yu, Y.; Wang, Q.S.; Sun, J.; Li, W.; Zhang, P.P.; Liu, B.; Feng, X.F.; Zhao, Y.; et al. Value of detecting peri-device leak and incomplete endothelialization by cardiac CT angiography in atrial fibrillation patients post Watchman LAAC combined with radiofrequency ablation. J. Cardiovasc. Electrophysiol. 2021, 32, 2655–2664. [Google Scholar] [CrossRef]
- Valderrábano, M.; Liu, X.; Sasaridis, C.; Sidhu, J.; Little, S.; Khoury, D.S. Ethanol infusion in the vein of Marshall: Adjunctive effects during ablation of atrial fibrillation. Heart Rhythm. 2009, 6, 1552–1558. [Google Scholar] [CrossRef]
- Chen, M.; Sun, J.; Wang, Q.S.; Zhang, P.P.; Li, W.; Zhang, R.; Mo, B.F.; Yu, Y.C.; Cai, X.; Yang, M.; et al. Long-term outcome of combined catheter ablation and left atrial appendage closure in atrial fibrillation patients. Int. J. Cardiol. 2022, 368, 41–48. [Google Scholar] [CrossRef]
- Tan, B.E.; Boppana, L.K.T.; Abdullah, A.S.; Chuprun, D.; Shah, A.; Rao, M.; Bhatt, D.L.; Depta, J.P. Safety and Feasibility of Same-Day Discharge After Left Atrial Appendage Closure With the WATCHMAN Device. Circ. Cardiovasc. Interv. 2021, 14, e009669. [Google Scholar] [CrossRef] [PubMed]
- Kawamura, I.; Kuno, T.; Sahashi, Y.; Tanaka, Y.; Passman, R.; Briasoulis, A.; Malik, A.H. Thirty-day readmission rate of same-day discharge protocol after left atrial appendage occlusion: A propensity score-matched analysis from the National Readmission Database. Heart Rhythm. 2022, 19, 1819–1825. [Google Scholar] [CrossRef] [PubMed]
- Lai, Y.; Liu, X.; Sang, C.; Long, D.; Li, M.; Ge, W.; Liu, X.; Lu, Z.; Guo, Q.; Jiang, C.; et al. Effectiveness of ethanol infusion into the vein of Marshall combined with a fixed anatomical ablation strategy (the “upgraded 2C3L” approach) for catheter ablation of persistent atrial fibrillation. J. Cardiovasc. Electrophysiol. 2021, 32, 1849–1856. [Google Scholar] [CrossRef] [PubMed]
- He, Z.; Yang, L.; Bai, M.; Yao, Y.; Zhang, Z. Feasibility, efficacy, and safety of ethanol infusion into the vein of Marshall for atrial fibrillation: A meta-analysis. Pacing Clin. Electrophysiol. 2021, 44, 1151–1162. [Google Scholar] [CrossRef]




| Group 1 (n = 26) | Group 2 (n = 74) | p-Value | |
|---|---|---|---|
| Demographics | |||
| Male sex | 14 (53.8) | 51 (68.9) | 0.232 |
| Age, years | 65.4 ± 10.4 | 63.8 ± 8.6 | 0.553 |
| BMI, kg/m2 | 25.0 ± 2.8 | 25.5 ± 3.1 | 0.447 |
| AF overview | |||
| CHA2DS2-VASc score | 3.0 (2.0, 4.0) | 3.0 (2.0, 4.0) | 0.674 |
| HASBLED score | 2.0 (1.0, 3.0) | 2.0 (1.0, 3.0) | 0.794 |
| AF pattern | 0.353 | ||
| Paroxysmal | 8 (30.8) | 32 (43.2) | – |
| Non-paroxysmal | 18 (69.2) | 42 (56.8) | – |
| AF duration, months | 24.0 (5.0, 48.0) | 12.0 (4.0, 36.0) | 0.544 |
| Comorbidities | |||
| Heart failure | 8 (30.8) | 20 (27.0) | 0.801 |
| Hypertension | 13 (50.0) | 42 (56.8) | 0.648 |
| Type Ⅱ diabetes | 5 (19.2) | 15 (20.3) | 1.000 |
| Previous stroke/TIA/SE | 11 (42.3) | 27 (36.5) | 0.643 |
| Coronary heart disease | 6 (23.1) | 25 (33.8) | 0.460 |
| Bleeding tendency | 6 (23.1) | 16 (21.6) | 1.000 |
| Echocardiographic index | |||
| Left atrial diameter, mm | 46.2 ± 6.0 | 44.7 ± 5.6 | 0.247 |
| Left ventricular ejection fraction, % | 56.5 ± 5.9 | 55.9 ± 5.9 | 0.651 |
| Group 1 (n = 26) | Group 2 (n = 74) | p-Value | |
|---|---|---|---|
| Periprocedural characteristics | |||
| LAA morphology | 0.346 | ||
| Cauliflower | 20 (76.9) | 53 (71.6) | – |
| Chicken wing | 2 (7.7) | 10 (13.5) | – |
| Reversed chicken wing | 3 (11.5) | 2 (2.7) | – |
| Windsock | 1 (3.8) | 7 (9.5) | – |
| Cactus | 0 (0.0) | 2 (2.7) | – |
| LAA ostia diameter, mm | 22.9 ± 4.0 | 23.0 ± 3.8 | 0.942 |
| LAA depth, mm | 23.6 ± 4.7 | 24.1 ± 3.1 | 0.571 1 |
| Device | 0.073 | ||
| Watchman | 18 (69.2) | 64 (86.5) | – |
| LACbes | 8 (30.8) | 10 (13.5) | – |
| Periprocedural feasibility | |||
| LAAO time, min | 24.0 (14.0, 34.0) | 20.0 (16.0, 28.0) | 0.553 |
| LAAO success | 26 (100.0) | 74 (100.0) | 1.000 |
| Device reselection | 1 (3.8) | 5 (6.8) | 1.000 |
| Redeployment | 7 (26.9) | 33 (44.6) | 0.162 |
| Incidence of PDL | 5 (19.2) | 13 (17.6) | 1.000 |
| <3 mm jet size | 3 (11.5) | 7 (9.5) | 0.717 |
| 3–5 mm jet size | 2 (7.7) | 6 (8.1) | 1.000 |
| Mean size, mm | 2.4 ± 1.1 | 2.6 ± 0.7 | 0.539 |
| Group 1 (n = 25) | Group 2 (n = 69) | p-Value | |
|---|---|---|---|
| Time to review, days | 69.0 (60.0, 87.0) | 67.0 (57.0, 88.0) | 0.827 |
| Radiographic examination | 0.005 | ||
| CCTA follow-up | 23 (88.5) | 43 (58.1) | – |
| TEE follow-up | 2 (11.5) | 26 (35.1) 1 | – |
| DRT or suspicious DRT | 0 (0.0) | 0 (0.0) | 1.000 |
| Adequate occlusion | 24 (96.0) | 68 (98.6) | 0.463 |
| PDL | 7 (28.0) | 23 (33.3) | 0.803 |
| <3 mm jet size | 2 (8.0) | 11 (15.9) | 0.502 |
| 3–5 mm jet size | 4 (16.0) | 11 (15.9) | 1.000 |
Disclaimer/Publisher’s Note: The statements, opinions and data contained in all publications are solely those of the individual author(s) and contributor(s) and not of MDPI and/or the editor(s). MDPI and/or the editor(s) disclaim responsibility for any injury to people or property resulting from any ideas, methods, instructions or products referred to in the content. |
© 2023 by the authors. Licensee MDPI, Basel, Switzerland. This article is an open access article distributed under the terms and conditions of the Creative Commons Attribution (CC BY) license (https://creativecommons.org/licenses/by/4.0/).
Share and Cite
Ma, Y.; Hu, M.; Guo, L.; Xu, J.; Li, J.; Yan, Q.; Pang, H.; Wang, J.; Yang, P.; Yi, F. Clinical Influence of Ethanol Infusion in the Vein of Marshall on Left Atrial Appendage Occlusion: Results of Feasibility and Safety during Implantation and at 60-Day Follow-Up. J. Clin. Med. 2023, 12, 1960. https://doi.org/10.3390/jcm12051960
Ma Y, Hu M, Guo L, Xu J, Li J, Yan Q, Pang H, Wang J, Yang P, Yi F. Clinical Influence of Ethanol Infusion in the Vein of Marshall on Left Atrial Appendage Occlusion: Results of Feasibility and Safety during Implantation and at 60-Day Follow-Up. Journal of Clinical Medicine. 2023; 12(5):1960. https://doi.org/10.3390/jcm12051960
Chicago/Turabian StyleMa, Yibo, Miaoyang Hu, Lanyan Guo, Jian Xu, Jie Li, Qun Yan, Huani Pang, Jinshui Wang, Ping Yang, and Fu Yi. 2023. "Clinical Influence of Ethanol Infusion in the Vein of Marshall on Left Atrial Appendage Occlusion: Results of Feasibility and Safety during Implantation and at 60-Day Follow-Up" Journal of Clinical Medicine 12, no. 5: 1960. https://doi.org/10.3390/jcm12051960
APA StyleMa, Y., Hu, M., Guo, L., Xu, J., Li, J., Yan, Q., Pang, H., Wang, J., Yang, P., & Yi, F. (2023). Clinical Influence of Ethanol Infusion in the Vein of Marshall on Left Atrial Appendage Occlusion: Results of Feasibility and Safety during Implantation and at 60-Day Follow-Up. Journal of Clinical Medicine, 12(5), 1960. https://doi.org/10.3390/jcm12051960
