Next Article in Journal
Determinants of Operative Time in Arthroscopic Rotator Cuff Repair
Previous Article in Journal
Combining HAIC and Sorafenib as a Salvage Treatment for Patients with Treatment-Failed or Advanced Hepatocellular Carcinoma: A Single-Center Experience
 
 
Font Type:
Arial Georgia Verdana
Font Size:
Aa Aa Aa
Line Spacing:
Column Width:
Background:
Case Report

Podocytopathy Associated with IgA Nephropathy in Pregnancy: A Challenging Association

by
Alejandra Orozco Guillén
1,*,
Virgilia Soto Abraham
2,
Bernardo Moguel Gonzalez
3,
Giorgina Barbara Piccoli
4,† and
Magdalena Madero
3,†
1
Nephrology Department, Instituto Nacional de Perinatología “Isidro Espinosa de los Reyes”, Mexico City 11000, Mexico
2
Department of Pathology, Ignacio Chávez National Institute of Cardiology, Mexico City 14080, Mexico
3
Department of Nephrology, Ignacio Chávez National Institute of Cardiology, Mexico City 14080, Mexico
4
Nephrologie, Department of Medicine, Centre Hospitalier Le Mans, 72037 Le Mans, France
*
Author to whom correspondence should be addressed.
These authors contributed equally to this work.
J. Clin. Med. 2023, 12(5), 1888; https://doi.org/10.3390/jcm12051888
Submission received: 17 January 2023 / Revised: 21 February 2023 / Accepted: 23 February 2023 / Published: 27 February 2023
(This article belongs to the Section Obstetrics & Gynecology)

Abstract

IgA nephropathy is the most common form of primary glomerulonephritis. While associations of IgA and other glomerular diseases have been described, the association of IgA nephropathy with “primary” podocytopathy is rare and has not been reported in pregnancy, due in part to the infrequent use of kidney biopsy during pregnancy, and a frequent overlap with preeclampsia. We report the case of a 33-year-old woman with normal kidney function, referred in the 14th gestational week of her second pregnancy, due to nephrotic proteinuria and macroscopic hematuria. The baby’s growth was normal. The patient reported episodes of macrohematuria one year previously. A kidney biopsy performed at 18 gestational weeks confirmed IgA nephropathy, associated with extensive podocyte damage. Treatment with steroids and tacrolimus led to remission of proteinuria and a healthy baby, adequate for gestational age, was delivered at 34 gestational weeks and 6 days (premature rupture of membranes). Six months after delivery, proteinuria was about 500 mg per day, with normal blood pressure and kidney function. This case highlights the importance of timely diagnosis in pregnancy and underlines that good maternal and fetal outcomes can be achieved with appropriate treatment, even in complex or severe cases.

1. Background

In spite of the many therapeutic advances that have been made, glomerular diseases in young individuals are always of concern, and generate uncertainty for both the patient and their family [1,2,3,4].
When a glomerulonephritis flares or is discovered during pregnancy, it represents a challenge that requires deep commitment not only from the patient and their family, but also from the medical team [5,6]. In addition, pregnancy may affect the course of glomerular diseases, eventually modulating the response to treatment [7,8,9,10,11].
Globally, IgA nephropathy is the most common form of glomerulonephritis. Several associations with other glomerular diseases have been reported [9,10,11,12]: the association with focal segmental glomerulosclerotic lesions has been extensively described, and represents an important negative prognostic element in disease progression [13]. However, the association of IgA nephropathy with “primary” podocytopathy is rare [3,14,15].
Thus far, no such case has been reported in pregnancy, possibly due to the infrequent use of renal biopsies in pregnancy and puerperium, and a frequent overlap with preeclampsia, whose differential diagnosis with glomerular diseases may be difficult or impossible to make during pregnancy without the confirmation provided by a kidney biopsy [16,17].
The case reported here highlights the importance of timely identification of different glomerular lesions in pregnancy and, in line with some previously published research results, shows that good maternal and fetal outcomes can be achieved with appropriate treatment, even in complex and severe cases [2,18,19].

2. The Case

Due to nephrotic proteinuria and macroscopic hematuria, in the 14th gestational week of her second pregnancy, a 33-year-old woman with normal kidney function was referred to a tertiary hospital in Mexico City.
She reported that she did not drink alcohol or use illicit drugs, but had a one-year history of cigarette smoking. Her first pregnancy, occurring 7 years previously, was uneventful: at 38 gestational weeks, she gave birth to a healthy female baby weighing 3.1 kg with normal APGAR scores (8 and 9 at 1 and 5 min, respectively).
In the previous year, her clinical history had been marked by episodes of intermittent macroscopic hematuria, edema, and hypertension, and when carefully questioned, she said that hematuria had tended to appear in concomitance with upper respiratory tract infections. She underwent a kidney biopsy, which was non-diagnostic and, despite the fact that lupus serology was negative, she received a putative diagnosis of lupus nephropathy and was treated with prednisone 50 mg for 5 weeks, followed by gradual tapering to 5 mg per day, which was maintained for 6 months. The only available control after steroid tapering was urinalysis, showing proteinuria >300 mg/dL.
Her second pregnancy was unplanned, and she had initially been advised to terminate it, prompting her to seek a second opinion in our institution.
When admitted, she was normotensive, with slight edema of the lower limbs; proteinuria was 6.6 g per day. Her urinary sediment is shown in Figure 1. The baby’s growth was normal.
While the clinical history suggested IgA nephropathy (concomitance between hematuria and upper respiratory tract infections), nephrotic proteinuria is less frequent in IgA nephropathy, and a kidney biopsy was performed at 18 gestational weeks.
While waiting for the results, she was given three pulses of 500 mg methylprednisolone, followed by oral treatment with 30 mg of prednisone per day (0.5 g/kg).
The biopsy retrieved eight glomeruli, one fully sclerotic, and four with focal and segmental lesions; the interstitium shows areas of fibrosis with associated tubular atrophy affecting 15% of the area (grade 1). Preglomerular and interstitial arteriolar vessels have moderate circumferential wall thickening, with hypertrophy of the media (Supplementary Figure S1, blue arrow).
The biopsy revealed IgA nephropathy (MEST score: M1E0S1T0C0), along with focal segmental glomerulosclerosis, with podocyte hypertrophy and tip-like lesions, as shown in (Figure 2 and Figure 3). The direct immunofluorescence stain (Figure 4) shows intense IgA positivity, supporting a diagnosis of IgA nephropathy.
In Figure 5, in addition to the electrondense deposits, we can appreciate detachments of epithelial cells and podocyte foot process effacements that suggest damage to the epithelial cells. The electron microscopy image shows that there is diffuse effacement of over 80% of the podocyte processes, and there are areas of the basement membrane devoid of podocytes (podocytopenia).
In the absence of a decrease in proteinuria after 2 weeks, tacrolimus (3 mg per day) was started. Tacrolimus levels were kept between 5–6 ng/mL. The clinical response was rapid and good, allowing tapering prednisone after a further 6 weeks and, at the 30th gestational week, proteinuria decreased to 561 mg/24 h. At 34 gestational weeks and 6 days, the patient experienced a premature rupture of the membranes. A healthy female baby weighing 2484 g (Capurro 34.6 gestational weeks; APGAR 8 and 9 at 1 and 5 min, respectively) was delivered by cesarean section, performed due to a decrease in fetal heart rate during labor.
Six months after delivery, the patient’s proteinuria was stable at about 500 mg per day and her blood pressure and kidney function were normal (Table 1).

3. Discussion

The clinical presentation, treatment, and setting this case entailed merit reflection.
First, clinical presentation: Pregnancy is increasingly being recognized as an opportunity to diagnose glomerulonephritis and, to a lesser extent, other kidney diseases. Glomerulonephritides often have an explosive presentation, which can range from intense proteinuria to full-blown nephrotic syndrome (Table 2). This type of presentation is not exceptional in glomerular diseases, such as IgA nephropathy, that are rarely characterized by a rapid-onset nephrotic syndrome except during pregnancy [2,20,21]. In this context, it is often difficult to make a differential diagnosis based entirely on the clinical picture (Table 2). While a kidney biopsy is not without risks in pregnancy, the data on which are only available through systematic reviews that are quite old, and recent evidence, albeit in small series, suggests that in experienced hands, the procedure can be safe and have a favorable cost–benefit yield [16,17,19].
In this specific case, the differential diagnosis included diseases with different treatments, and complex and unusual pictures that may be more frequent in pregnancy than previously thought [19]. The kidney biopsy was performed in this context.
The biopsy confirmed the presence of IgA nephropathy, but also showed relevant podocyte hypertrophy, in the presence of very mild signs of glomerular sclerosis and interstitial fibrosis (Figure 1 and Figure 2).
In IgA nephropathy, glomerulosclerotic lesions, usually tip lesions, are relatively frequent and are usually a sign of secondary glomerulosclerosis caused by a critical reduction in the nephron population and the related glomerular hyperfiltration [18,20]. The clinical course of proteinuria in these cases is usually mild, and chronic lesions are usually evident in the kidney biopsy. Furthermore, a response to immunosuppressive treatment is usually absent [2].
Conversely, primary podocyte injury is characterized by a rapid and stormy clinical course with heavy proteinuria, that often responds quickly to immunosuppressive treatment.
In fact, although the histological picture suggested a primary podocyte disease associated with IgA nephropathy (podocyte hypertrophy, without relevant glomerular sclerosis and interstitial fibrosis), it did not rule out a secondary form, as sclerotic kidney lesions may be patchy and not represented in the biopsy sample. However, the prompt response to tacrolimus, which is usually ineffective in IgA nephropathy was in keeping with the presence of a “primary” form of nephrotic syndrome associated with IgA nephropathy.
The lack of regular follow-up between pregnancies, and the unavailability of the first kidney biopsy, make the interpretation of the findings even more difficult. However, the lack of nephrology follow-up, even in cases with a previous diagnosis of a kidney disease, is unfortunately frequent in particular in low-resourced settings, in which the acknowledgement of the importance of kidney diseases in pregnancy needs to be better established.
A second point is treatment choices. These are often limited and have to be balanced against risks. In this case, we considered that while macrohematuria was the hallmark of IgA nephropathy, the intense proteinuria found was probably linked to podocytopathy, and treatment was therefore combined bolus steroids with a second anti-proteinuric agent (tacrolimus). The hypothesis of a “primary” podocyropathy is indirectly supported by the prompt clinical response to therapy with tacrolimus. However, we cannot exclude that the podocytopathy was linked to IgA nephropathy, and that the unusual response was linked to pregnancy in itself. Incidentally, the choice was due to the fact that tacrolimus was readily available in our setting (unlike cyclosporine). The interpretation of blood values of calcineurin inhibitors is complex in pregnancy, due to a higher free drug dose [19,22]. In this case, the normal kidney function was reassuring, but we tried to keep tacrolimus levels as low as possible within the therapeutic window.
The reasons why pregnancy, in the context of kidney diseases, including IgA nephropathy, even in the absence of hypertensive disorders of pregnancy, is associated with preterm delivery is not known [23,24]. The association is present starting in the early CKD stages and is observed even in conditions, such as kidney donation or previous kidney stones, in which the nephron mass is or may be reduced but no active kidney disease is present [25,26].
Third, diagnostic challenges and clinical management have to take the availability of treatment in a specific setting into account. In Mexico, the health system covers the care of pregnant women, even when they are uninsured, and this leads to a more comprehensive diagnostic approach that allows us to reach a diagnosis that will also contribute to determining treatment after delivery [27]. However, in this case, due to the early severe presentation, a kidney biopsy would have probably also been performed in other contexts, without such a logistic pressure. The risk of developing superimposed preeclampsia is present in all glomerulonephritides in pregnancy, and periodic controls of the biomarkers sFlt1-PlGF make early diagnosis possible [18,20]. In spite of their acknowledged relevance, these tests are not included in the current guidelines for follow-up in high-risk pregnancies, and are not generally reimbursed. Due to cost constraints, this useful tool was not available in our setting, and our monitoring for the hypertensive disorders of pregnancy was based on the clinical picture, standard laboratory data, Doppler controls and fetal growth [2].
Monitoring podocyturia is also suggested as a tool for an early diagnosis of preeclampsia in high-risk pregnancies, but the test requires a skilled operator, is time consuming, and was not available in our case. Furthermore, in our case the results might have been affected by the underlying podocyte disorder [18].
In conclusion, this case, reporting on an unusual association between IgA nephropathy and severe, possibly primary podocytopathy discovered in pregnancy, describes the challenges involved in diagnosing and treating glomerulonephritis in pregnancy, particularly in limited-resourced settings, and points to the need for shared indications for monitoring high-risk pregnancies, which is shown to be feasible in high and low–middle income countries.

Supplementary Materials

The following supporting information can be downloaded at: https://www.mdpi.com/article/10.3390/jcm12051888/s1.

Funding

No funding was received for this report. Centre Hospitalier Le Mans took care of publishing and editing fees.

Institutional Review Board Statement

The patient authorized the publication by informed consent.

Informed Consent Statement

The patient provided written informed consent for the anonymous publication of her data.

Data Availability Statement

Not applicable.

Acknowledgments

The authors thank Susan Finnel for her careful language correction.

Conflicts of Interest

The authors declare no conflict of interest.

References

  1. Iftikhar, H.; Saleem, M.; Kaji, A. A Case Report of IgA Nephropathy Coexisting with Focal Segmental Glomerulosclerosis. Cureus 2019, 11, e5040. [Google Scholar] [CrossRef] [PubMed]
  2. Piccoli, G.B.; Attini, R.; Torreggiani, M.; Cabiddu, G. Pregnancy and Kidney Diseases: Multidisciplinary Follow-Up and the Vicious Circles Involving Pregnancy and CKD, Preeclampsia, Preterm Delivery and the Kidneys. J. Clin. Med. 2022, 11, 2535. [Google Scholar] [CrossRef] [PubMed]
  3. dos Reis Monteiro, M.L.G.; Vieira, M.R.; Pereira, L.H.M.; Araújo, L.S.; Silva, C.A.; Araújo, L.B.; Rocha, L.P.; Dos Reis, M.A.; Machado, J.R. Is it possible to predict parameters of the Oxford classification of primary IgA Nephropathy from clinical laboratory data? Focus on the role of segmental glomerulosclerosis subtypes. Pathol.-Res. Pract. 2019, 215, 152533. [Google Scholar] [CrossRef]
  4. Katafuchi, R.; Nagae, H.; Masutani, K.; Tsuruya, K.; Mitsuiki, K. Comprehensive evaluation of the significance of immunofluorescent findings on clinicopathological features in IgA nephropathy. Clin. Exp. Nephrol. 2018, 23, 169–181. [Google Scholar] [CrossRef] [PubMed]
  5. Bellur, S.S.; Lepeytre, F.; Vorobyeva, O.; Troyanov, S.; Cook, H.T.; Roberts, I.S.; Alpers, C.E.; Amore, A.; Barratt, J.; Berthoux, F.; et al. Evidence from the Oxford Classification cohort supports the clinical value of subclassification of focal segmental glomerulosclerosis in IgA nephropathy. Kidney Int. 2016, 91, 235–243. [Google Scholar] [CrossRef] [PubMed]
  6. Weber, C.L.; Rose, C.L.; Magil, A.B. Focal segmental glomerulosclerosis in mild IgA nephropathy: A clinical-pathologic study. Nephrol. Dial. Transplant. 2009, 24, 483–488. [Google Scholar] [CrossRef] [PubMed]
  7. El Karoui, K.; Hill, G.S.; Karras, A.; Moulonguet, L.; Caudwell, V.; Loupy, A.; Bruneval, P.; Jacquot, C.; Nochy, D. Focal segmental glomerulosclerosis plays a major role in the progression of IgA nephropathy. II. Light microscopic and clinical studies. Kidney Int. 2011, 79, 643–654, Erratum in Kidney Int. 2014, 85, 1473. [Google Scholar] [CrossRef] [PubMed]
  8. Cook, H.T. Focal segmental glomerulosclerosis in IgA nephropathy: A result of primary podocyte injury? Kidney Int. 2011, 79, 581–583. [Google Scholar] [CrossRef] [PubMed]
  9. Hill, G.S.; El Karoui, K.; Karras, A.; Mandet, C.; Van Huyen, J.-P.D.; Nochy, D.; Bruneval, P. Focal segmental glomerulosclerosis plays a major role in the progression of IgA nephropathy. I. Immunohistochemical studies. Kidney Int. 2011, 79, 635–642. [Google Scholar] [CrossRef] [PubMed]
  10. Fogo, A.B.; Alpers, C.E.; D’Agati, V.D. FSGS lesions in IgA nephropathy. Kidney Int. 2011, 80, 319. [Google Scholar] [CrossRef]
  11. Liu, H.; Peng, Y.; Liu, H.; Liu, Y.; Yuan, S.; Liu, F.; Yang, D.; Chen, X.; He, L.; Fu, M.; et al. Renal Biopsy Findings of Patients Presenting with Isolated Hematuria: Disease Associations. Am. J. Nephrol. 2012, 36, 377–385. [Google Scholar] [CrossRef] [PubMed]
  12. Mubarak, M.; Nasri, H. Significance of segmental glomerulosclerosis in IgA nephropathy: What is the evidence? J. Renal. Inj. Prev. 2013, 2, 113–115. [Google Scholar]
  13. Kawamura, T.; Joh, K.; Okonogi, H.; Koike, K.; Utsunomiya, Y.; Miyazaki, Y.; Matsushima, M.; Yoshimura, M.; Horikoshi, S.; Suzuki, Y.; et al. A histologic classification of IgA nephropathy for predicting long-term prognosis: Emphasis on end-stage renal disease. J. Nephrol. 2012, 26, 350–357. [Google Scholar] [CrossRef]
  14. Trimarchi, H.; Coppo, R. Podocytopathy in the mesangial proliferative immunoglobulin A nephropathy: New insights into the mechanisms of damage and progression. Nephrol. Dial. Transplant. 2019, 34, 1280–1285. [Google Scholar] [CrossRef] [PubMed]
  15. Cambier, A.; Rabant, M.; Peuchmaur, M.; Hertig, A.; Deschenes, G.; Couchoud, C.; Kolko, A.; Salomon, R.; Hogan, J.; Robert, T. Immunosuppressive Treatment in Children With IgA Nephropathy and the Clinical Value of Podocytopathic Features. Kidney Int. Rep. 2018, 3, 916–925. [Google Scholar] [CrossRef] [PubMed]
  16. Piccoli, G.; Daidola, G.; Attini, R.; Parisi, S.; Fassio, F.; Naretto, C.; Deagostini, M.; Castelluccia, N.; Ferraresi, M.; Roccatello, D.; et al. Kidney biopsy in pregnancy: Evidence for counselling? A systematic narrative review. BJOG 2013, 120, 412–427. [Google Scholar] [CrossRef] [PubMed]
  17. González, B.M.; Nava, M.G.; Guillén, O.A.O.; Abraham, V.S.; Jimenez, E.V.; Iturbe, B.R.; Rovalo, M.M. Kidney biopsy during pregnancy: A difficult decision. A case series reporting on 20 patients from Mexico. J. Nephrol. 2022, 35, 2293–2300. [Google Scholar] [CrossRef]
  18. Garovic, V.D. The Role of the Podocyte in Preeclampsia. Clin. J. Am. Soc. Nephrol. 2014, 9, 1337–1340. [Google Scholar] [CrossRef] [PubMed]
  19. Gong, X.; Li, J.; Yan, J.; Dai, R.; Liu, L.; Chen, P.; Chen, X. Pregnancy outcomes in female patients exposed to cyclosporin-based versus tacrolimus-based immunosuppressive regimens after liver/kidney transplantation: A systematic review and meta-analysis. J. Clin. Pharm. Ther. 2021, 46, 744–753. [Google Scholar] [CrossRef] [PubMed]
  20. Stepan, H.; Hund, M.; Andraczek, T. Combining Biomarkers to Predict Pregnancy Complications and Redefine Preeclampsia: The Angiogenic-Placental Syndrome. Hypertension 2020, 75, 918–926. [Google Scholar] [CrossRef] [PubMed]
  21. O’Shaughnessy, M.M.; Jobson, M.A.; Sims, K.; Liberty, A.L.; Nachman, P.H.; Pendergraft, W.F. Pregnancy Outcomes in Patients with Glomerular Disease Attending a Single Academic Center in North Carolina. Am. J. Nephrol. 2017, 45, 442–451. [Google Scholar] [CrossRef] [PubMed]
  22. Akiyama, S.; Hamdeh, S.; Murakami, N.; Cotter, T.G.; Suzuki, H.; Tsuchiya, K. Pregnancy and neonatal outcomes in women receiving calcineurin inhibitors: A systematic review and meta-analysis. Br. J. Clin. Pharmacol. 2022, 88, 3950–3961. [Google Scholar] [CrossRef] [PubMed]
  23. Piccoli, G.B.; Attini, R.; Cabiddu, G.; Kooij, I.; Fassio, F.; Gerbino, M.; Maxia, S.; Biolcati, M.; Versino, E.; Todros, T. Maternal-foetal outcomes in pregnant women with glomerulonephritides. Are all glomerulonephritides alike in pregnancy? J. Autoimmun. 2017, 79, 91–98. [Google Scholar] [CrossRef] [PubMed]
  24. Jarrick, S.; Lundberg, S.; Stephansson, O.; Symreng, A.; Bottai, M.; Höijer, J.; Ludvigsson, J.F. Pregnancy outcomes in women with immunoglobulin A nephropathy: A nationwide population-based cohort study. J. Nephrol. 2021, 34, 1591–1598. [Google Scholar] [CrossRef] [PubMed]
  25. Pippias, M.; Skinner, L.; Noordzij, M.; Reisæter, A.V.; Abramowicz, D.; Stel, V.S.; Jager, K.J. Pregnancy after living kidney donation, a systematic review of the available evidence, and a review of the current guidance. Am. J. Transplant. 2022, 22, 2360–2380. [Google Scholar] [CrossRef] [PubMed]
  26. Zhou, Q.; Chen, W.-Q.; Xie, X.-S.; Xiang, S.-L.; Yang, H.; Chen, J.-H. Maternal and neonatal outcomes of pregnancy complicated by urolithiasis: A systematic review and meta-analysis. J. Nephrol. 2021, 34, 1569–1580. [Google Scholar] [CrossRef] [PubMed]
  27. Ibarra-Hernandez, M.; Alcantar-Vallin, M.D.L.L.; Soto-Cruz, A.; Jimenez-Alvarado, P.M.; Villa-Villagran, F.; Diaz-Avila, J.D.J.; Tamez-Hernandez, F.; Leon-Barrios, M.; Chatrenet, A.; Piccoli, G.B.; et al. Challenges in Managing Pregnancy in Underserved Women with Chronic Kidney Disease. Am. J. Nephrol. 2019, 49, 386–396. [Google Scholar] [CrossRef] [PubMed]
Figure 1. Urinary sediment, magnification 400×. Dysmorphic erythrocytes, most of which are acanthocytes, an indication of their glomerular origin.
Figure 1. Urinary sediment, magnification 400×. Dysmorphic erythrocytes, most of which are acanthocytes, an indication of their glomerular origin.
Jcm 12 01888 g001
Figure 2. 400× microphotographs stained with HE (a,e), PAS (b), Masson’s trichrome (c), and Jones’ methenamine silver (d,f), respectively, in which different glomeruli with global mesangial widening and proliferation (M1) with cicatricial segmental sclerosing lesions (S1) are observed). Asterisks show mesangial proliferation (ad). Arrows shows segmentary sclerosis in the tip (b,d). In the last two images we can see glomeruli with podocyte hypertrophy, forming crowns around some segments of the capillaries (arrows).
Figure 2. 400× microphotographs stained with HE (a,e), PAS (b), Masson’s trichrome (c), and Jones’ methenamine silver (d,f), respectively, in which different glomeruli with global mesangial widening and proliferation (M1) with cicatricial segmental sclerosing lesions (S1) are observed). Asterisks show mesangial proliferation (ad). Arrows shows segmentary sclerosis in the tip (b,d). In the last two images we can see glomeruli with podocyte hypertrophy, forming crowns around some segments of the capillaries (arrows).
Jcm 12 01888 g002
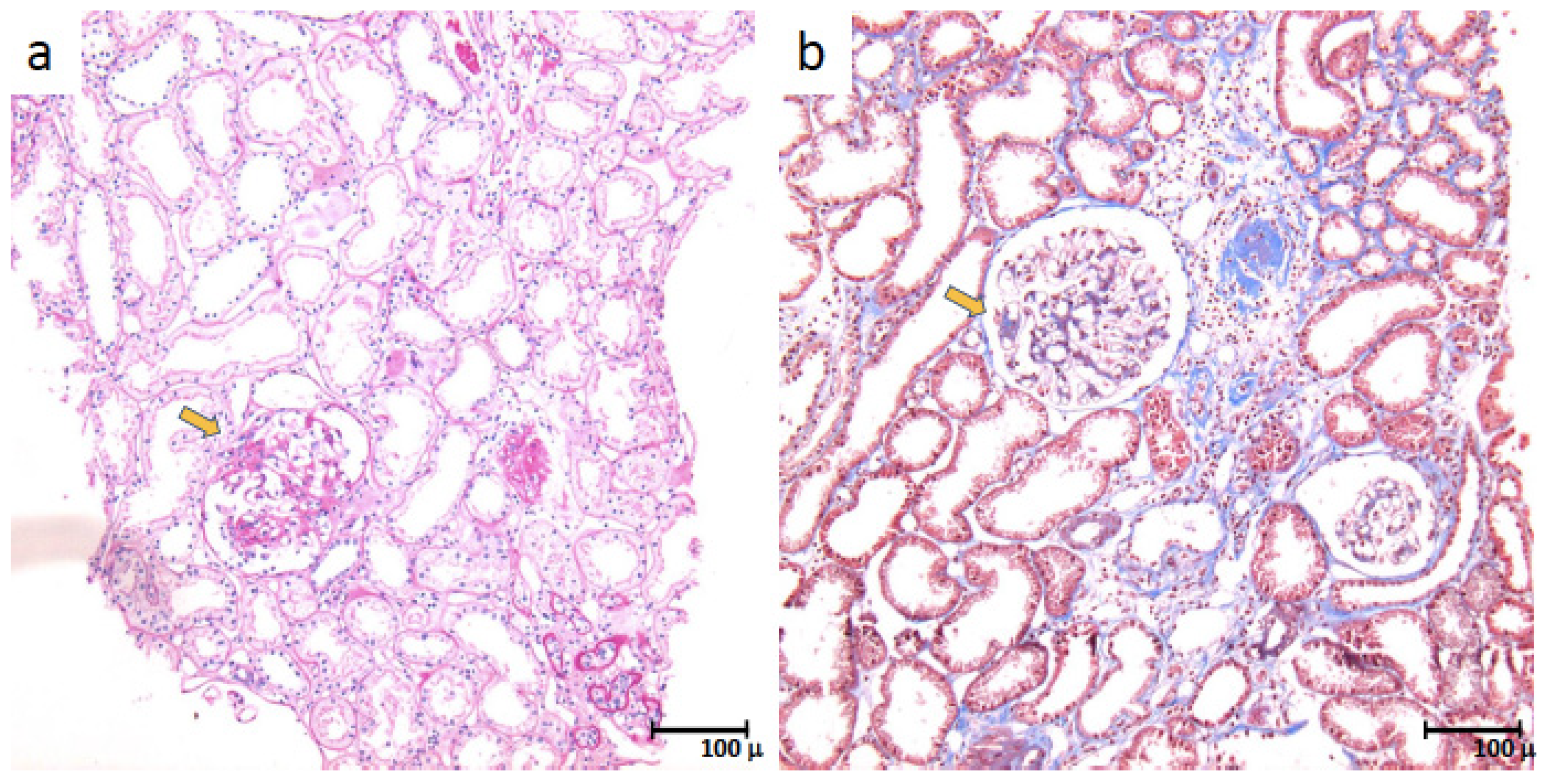
Figure 3. Photomicrographs at 100× stained with PAS (a) and Masson’s trichrome (b), respectively, in which the segmental lesions are indicated at low magnification (yellow arrows).
Figure 3. Photomicrographs at 100× stained with PAS (a) and Masson’s trichrome (b), respectively, in which the segmental lesions are indicated at low magnification (yellow arrows).
Jcm 12 01888 g003
Figure 4. 400× direct immunofluorescence study that showed dominance positivity for IgA (b), with little IgM (c) and mesangial deposits of C3 (d) that allow us to conclude with the diagnosis of IgA nephropathy. (a) IgG, (e) C1q, (f) C4c.
Figure 4. 400× direct immunofluorescence study that showed dominance positivity for IgA (b), with little IgM (c) and mesangial deposits of C3 (d) that allow us to conclude with the diagnosis of IgA nephropathy. (a) IgG, (e) C1q, (f) C4c.
Jcm 12 01888 g004
Figure 5. (a) 3000× Electron microscopy shows mesangial hypercellularity *, (b,c) 12,000× electron microscopy. Shown in b, mesangial hypercellularity * and effacement of podocyte processes (arrow), (c) There is accentuated damage to podocyte processes (arrow) with deposits of electron dense material (immune complexes) especially in the mesangium (*).
Figure 5. (a) 3000× Electron microscopy shows mesangial hypercellularity *, (b,c) 12,000× electron microscopy. Shown in b, mesangial hypercellularity * and effacement of podocyte processes (arrow), (c) There is accentuated damage to podocyte processes (arrow) with deposits of electron dense material (immune complexes) especially in the mesangium (*).
Jcm 12 01888 g005
Table 1. Biochemical data from referral to delivery and after pregnancy.
Table 1. Biochemical data from referral to delivery and after pregnancy.
At ReferralAt Kidney Biopsy30 Gestational WeeksDelivery6 Months after Delivery
Blood pressure110/70120/80120/80130/80110/60
Haematuria++++++++++++++
SCr (mg/dL)0.81.00.70.81.0
BUN (mg/dL)17.824.61519.628
e-GFR (ml/min)1007611710076
Albumin (g/dL)2.51.92.93.54
Total proteins54.25.36.77
Proteinuria (mg/24 h)66007524562736500
Albuminuria (mg/24 h)31214232561na112
Hemoglobin (g/dL)12.412.612.511.613
Platelets (mm3)273232363327309
Tacrolimus ng/mL--45.66
Immunologic markers: C3 66 mg/dL (normal values: 66–185 mg/dL); C4 16 mg/dL (normal values: 12–49 mg/dL), ANA IFI > 1:40
B2 glycoprotein (IgG) 2.9 CU, B2 glycoprotein (IgM) 1.7 CU, anticardiolipin (IgM) 1.4 CU, DNA double strain antibodies 16.17 UI/mL (<35 UI/mL), Antibodies Anti La 2.72, Antibodies anti Ro 2.67
Viral markers: Hepatitis B and C, and HIV negative
Table 2. Differential diagnosis of proteinuria and hematuria in early pregnancy in our patient.
Table 2. Differential diagnosis of proteinuria and hematuria in early pregnancy in our patient.
Sign/SymptomDiagnosisSuggestsExcludesLikelihood
Proteinuria at 14 gestational weeksPreeclampsiaOnset may be anticipated in multiple pregnancies; in rare cases proteinuria antedates hypertension and full-blown preeclampsiaPreeclampsia is defined by an onset after 20 gestational weeks. The absence of hypertension excludes this diagnosis.−−−
Pregnancy-induced proteinuriaThe diagnosis is based on the association with pregnancy and subsequent regression. Generic term. Cannot be diagnosed during pregnancy, only afterwards.−+−
GlomerulonephritisEarly onset proteinuria, history of macrohematuria. No exclusion.+++
Hematuria (macroscopic, possible association with infections in the past), associated with proteinuria IgA nephropathyHistory of macrohematuria concomitant with infections. Frequent association with proteinuria in pregnancy.Possible, but the nephrotic syndrome is early and unusually severe; high grade proteinuria is often seen in the last trimester.+−+
Minimal change-focal segmental glomerulosclerosisRapid onset, high grade proteinuria with nephrotic syndrome. Compatible with microhematuria, in particular in pregnancy. Macrohematuria is very rare in this context.+−+
Membranous and proliferative glomerulonephritisTypically combines hematuria and proteinuria.Rare in the absence of hypertension and with normal kidney function.+−−
Lupus nephropathyMay combine hematuria and proteinuria; common in women of childbearing age.Very rare in the absence of positive lupus serology (repeated over time).+−−
Other complex picturesMay be relatively frequent in pregnancy, possibly underestimated. May combine different pictures; pregnancy may modulate presentation, usually with a high proteinuria level.No exclusion. +−+
Disclaimer/Publisher’s Note: The statements, opinions and data contained in all publications are solely those of the individual author(s) and contributor(s) and not of MDPI and/or the editor(s). MDPI and/or the editor(s) disclaim responsibility for any injury to people or property resulting from any ideas, methods, instructions or products referred to in the content.

Share and Cite

MDPI and ACS Style

Orozco Guillén, A.; Soto Abraham, V.; Moguel Gonzalez, B.; Piccoli, G.B.; Madero, M. Podocytopathy Associated with IgA Nephropathy in Pregnancy: A Challenging Association. J. Clin. Med. 2023, 12, 1888. https://doi.org/10.3390/jcm12051888

AMA Style

Orozco Guillén A, Soto Abraham V, Moguel Gonzalez B, Piccoli GB, Madero M. Podocytopathy Associated with IgA Nephropathy in Pregnancy: A Challenging Association. Journal of Clinical Medicine. 2023; 12(5):1888. https://doi.org/10.3390/jcm12051888

Chicago/Turabian Style

Orozco Guillén, Alejandra, Virgilia Soto Abraham, Bernardo Moguel Gonzalez, Giorgina Barbara Piccoli, and Magdalena Madero. 2023. "Podocytopathy Associated with IgA Nephropathy in Pregnancy: A Challenging Association" Journal of Clinical Medicine 12, no. 5: 1888. https://doi.org/10.3390/jcm12051888

APA Style

Orozco Guillén, A., Soto Abraham, V., Moguel Gonzalez, B., Piccoli, G. B., & Madero, M. (2023). Podocytopathy Associated with IgA Nephropathy in Pregnancy: A Challenging Association. Journal of Clinical Medicine, 12(5), 1888. https://doi.org/10.3390/jcm12051888

Note that from the first issue of 2016, this journal uses article numbers instead of page numbers. See further details here.

Article Metrics

Back to TopTop