Concomitant Immunotherapy and Metastasis-Directed Radiotherapy in Upper Tract Urothelial Carcinoma: A Biomarker-Driven, Original, Case-Based Proof-of-Concept Study
Abstract
:1. Introduction
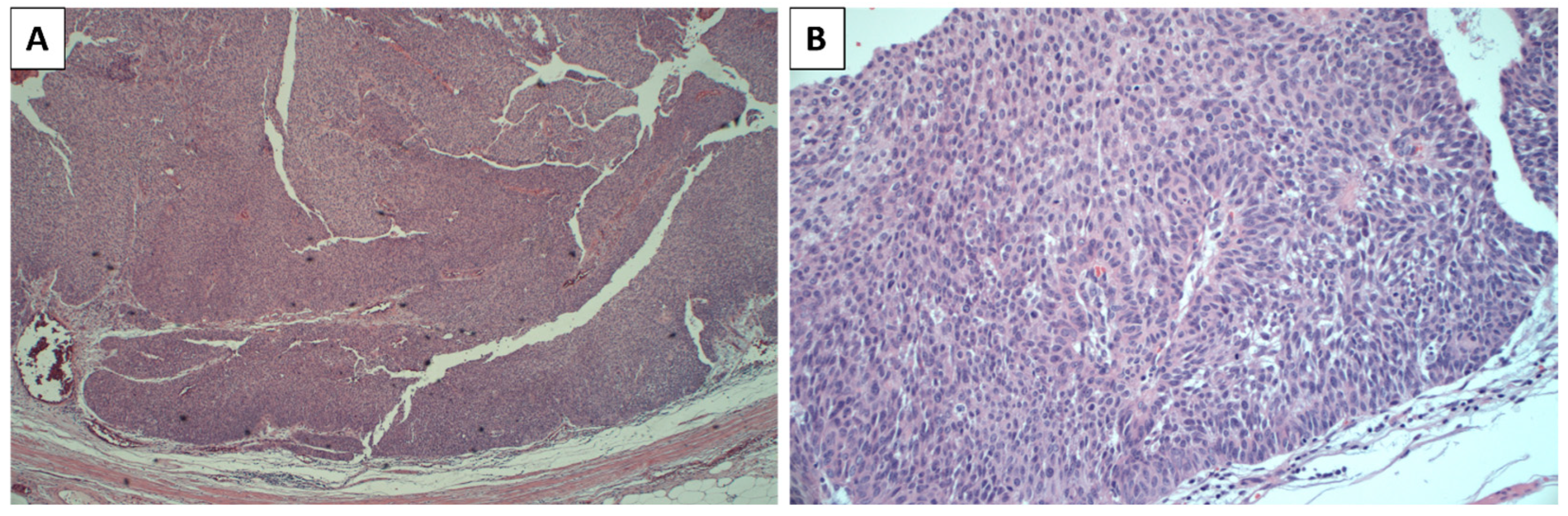
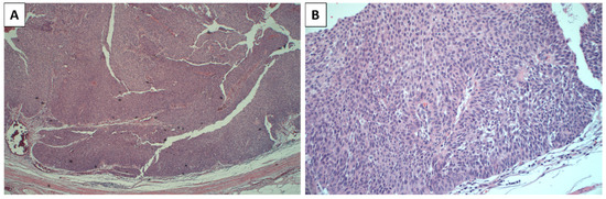
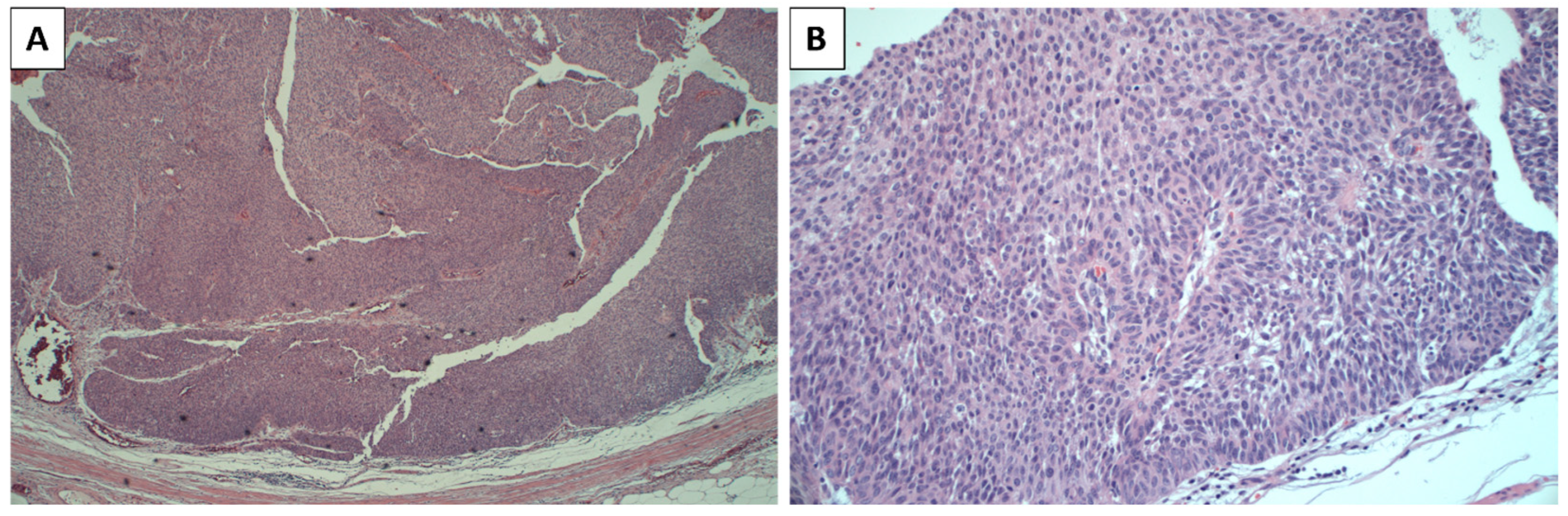
2. Case-Based Research
- The MutS Homolog 2 (MSH2) gene (c.1373T>G; p.Leu458Ter; VAF 51% and c.2634+1G>T; VAF 40%) was implicated in DNA repair;
- The lysine N-methyltransferase 2C (KMT2C) gene (c.13913_13914insT; p.Leu4638PhefsTer12; VAF 41%), the 2A (KMT2A) gene (c.3086delA; p.Lys1029ArgfsTer65; VAF 73% and c.3790C>T; p.Arg1264Ter; VAF 70%), the 2D (KMT2D) gene (c.8488C>T; p.Arg2830Ter; VAF 47%), the ATP-dependent chromatin remodeler SMARCA4 gene (c.2653C>T; p.Arg885Cys; VAF 38%), the histone acetyltransferase p300 (EP300) gene (c.4585C>T; p.Arg1529Ter; VAF 40%), and the CREB-binding protein (CREBBP) gene (c.5036CCT; p.Ser1680del; VAF 43%) were all involved in chromatin-remodeling activities;
- The RetinoBlastoma 1 (RB1) gene (c.2117G>A; p.Cys706Tyr; VAF 44%) and the tumoral protein 53 (TP53) gene (c.1010G>A; p.Arg337His; VAF 44%) are both known for their tumor-suppressor roles;
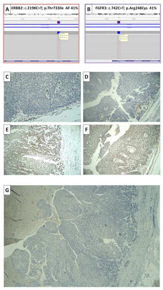
- The ERBB2 mutation (c.2198C>T; p.Thr733Ile; VAF 38%) and FGFR3 mutation (c.742C>T; p.Arg248Cys; VAF 47%) were confirmed.
3. Discussion
3.1. Immunotherapy and Radiation Therapy in Urothelial Carcinoma
3.2. Multimodal Treatment and Genomic Profiling in mUTUC
4. Conclusions and Future Directions
Author Contributions
Funding
Institutional Review Board Statement
Informed Consent Statement
Data Availability Statement
Conflicts of Interest
References
- Siegel, R.L.; Miller, K.D.; Jemal, A. Cancer statistics, 2020. CA Cancer J. Clin. 2020, 70, 7–30. [Google Scholar] [CrossRef] [PubMed]
- Rizzo, M.; Giannatempo, P.; Porta, C. Biological Therapeutic Advances for the Treatment of Advanced Urothelial Cancers. Biologics 2021, 15, 441–450. [Google Scholar] [CrossRef] [PubMed]
- Soria, F.; Shariat, S.F.; Lerner, S.P.; Fritsche, H.M.; Rink, M.; Kassouf, W.; Spiess, P.E.; Lotan, Y.; Ye, D.; Fernández, M.I.; et al. Epidemiology, diagnosis, preoperative evaluation and prognostic assessment of upper-tract urothelial carcinoma (UTUC). World J. Urol. 2017, 35, 379–387. [Google Scholar] [CrossRef] [PubMed]
- Leow, J.J.; Liu, Z.; Tan, T.W.; Lee, Y.M.; Yeo, E.K.; Chong, Y.L. Optimal management of upper tract urothelial carcinoma: Current perspectives. OncoTargets Ther. 2020, 13, 1–15. [Google Scholar] [CrossRef]
- SEER*Explorer: An Interactive Website for SEER Cancer Statistics. Surveillance Research Program, National Cancer Institute. 19 April 2023. Data source(s): SEER Incidence Data, November 2022 Submission (1975–2020), SEER 22 Registries (Excluding Illinois and Massachusetts). Expected Survival Life Tables by Socio-Economic Standards. Updated 8 June 2023. Available online: https://seer.cancer.gov/statistics-network/explorer/ (accessed on 25 September 2023).
- Tufano, A.; Cordua, N.; Nardone, V.; Ranavolo, R.; Flammia, R.S.; D’Antonio, F.; Borea, F.; Anceschi, U.; Leonardo, C.; Morrione, A.; et al. Prognostic Significance of Organ-Specific Metastases in Patients with Metastatic Upper Tract Urothelial Carcinoma. J. Clin. Med. 2022, 11, 5310. [Google Scholar] [CrossRef] [PubMed]
- Leow, J.J.; Chong, Y.L.; Chang, S.L.; Valderrama, B.P.; Powles, T.; Bellmunt, J. Neoadjuvant and Adjuvant Chemotherapy for Upper Tract Urothelial Carcinoma: A 2020 Systematic Review and Meta-analysis, and Future Perspectives on Systemic Therapy. Eur. Urol. 2021, 79, 635–654. [Google Scholar] [CrossRef] [PubMed]
- Meng, X.; Chao, B.; Vijay, V.; Silver, H.; Margolin, E.J.; Balar, A.; Taneja, S.S.; Shah, O.; Bjurlin, M.A.; Anderson, C.B.; et al. High Response Rates to Neoadjuvant Chemotherapy in High-Grade Upper Tract Urothelial Carcinoma. Urology 2019, 129, 146–152. [Google Scholar] [CrossRef] [PubMed]
- Birtle, A.; Johnson, M.; Chester, J.; Jones, R.; Dolling, D.; Bryan, R.T.; Harris, C.; Winterbottom, A.; Blacker, A.; Catto, J.W.F.; et al. Adjuvant chemotherapy in upper tract urothelial carcinoma (the POUT trial): A phase 3, open-label, randomised controlled trial. Lancet 2020, 395, 1268–1277. [Google Scholar] [CrossRef]
- von der Maase, H.; Sengelov, L.; Roberts, J.T.; Ricci, S.; Dogliotti, L.; Oliver, T.; Moore, M.J.; Zimmermann, A.; Arning, M. Long-term survival results of a randomized trial comparing gemcitabine plus cisplatin, with methotrexate, vinblastine, doxorubicin, plus cisplatin in patients with bladder cancer. J. Clin. Oncol. 2005, 23, 4602–4608. [Google Scholar] [CrossRef]
- NCCN. NCCN Clinical Practice Guidelines in Oncology (NCCN Guidelines) for Bladder Cancer. 2023. Available online: https://www.nccn.org/professionals/physician_gls/pdf/bladder.pdf (accessed on 24 September 2023).
- Rouprêt, M.; Seisen, T.; Birtle, A.J.; Capoun, O.; Compérat, E.M.; Dominguez-Escrig, J.L.; Gürses Andersson, I.; Liedberg, F.; Mariappan, P.; Hugh Mostafid, A.; et al. European Association of Urology Guidelines on Upper Urinary Tract Urothelial Carcinoma: 2023 Update. Eur. Urol. 2023, 84, 49–64. [Google Scholar] [CrossRef]
- Powles, T.; Bellmunt, J.; Comperat, E.; De Santis, M.; Huddart, R.; Loriot, Y.; Necchi, A.; Valderrama, B.P.; Ravaud, A.; Shariat, S.F.; et al. Bladder cancer: ESMO Clinical Practice Guideline for diagnosis, treatment and follow-up. Ann. Oncol. 2022, 33, 244–258. [Google Scholar] [CrossRef]
- Powles, T.; Park, S.H.; Voog, E.; Caserta, C.; Valderrama, B.P.; Gurney, H.; Kalofonos, H.; Radulović, S.; Demey, W.; Ullén, A.; et al. Avelumab Maintenance Therapy for Advanced or Metastatic Urothelial Carcinoma. N. Engl. J. Med. 2020, 383, 1218–1230. [Google Scholar] [CrossRef]
- Grivas, P.; Park, S.H.; Voog, E.; Caserta, C.; Gurney, H.; Bellmunt, J.; Kalofonos, H.; Ullén, A.; Loriot, Y.; Sridhar, S.S.; et al. Avelumab First-line Maintenance Therapy for Advanced Urothelial Carcinoma: Comprehensive Clinical Subgroup Analyses from the JAVELIN Bladder 100 Phase 3 Trial. Eur. Urol. 2023, 84, 95–108. [Google Scholar] [CrossRef] [PubMed]
- Bellmunt, J.; de Wit, R.; Vaughn, D.J.; Fradet, Y.; Lee, J.L.; Fong, L.; Vogelzang, N.J.; Climent, M.A.; Petrylak, D.P.; Choueiri, T.K.; et al. Pembrolizumab as second-line therapy for advanced urothelial carcinoma. N. Engl. J. Med. 2017, 376, 1015–1026. [Google Scholar] [CrossRef] [PubMed]
- Balar, A.V.; Castellano, D.E.; Grivas, P.; Vaughn, D.J.; Powles, T.; Vuky, J.; Fradet, Y.; Lee, J.L.; Fong, L.; Vogelzang, N.J.; et al. Efficacy and safety of pembrolizumab in metastatic urothelial carcinoma: Results from KEYNOTE-045 and KEYNOTE-052 after up to 5 years of follow-up. Ann. Oncol. 2023, 34, 289–299. [Google Scholar] [CrossRef] [PubMed]
- Powles, T.; Rosenberg, J.E.; Sonpavde, G.P.; Loriot, Y.; Durán, I.; Lee, J.L.; Matsubara, N.; Vulsteke, C.; Castellano, D.; Wu, C.; et al. Enfortumab vedotin in previously treated advanced urothelial carcinoma. N. Engl. J. Med. 2021, 384, 1125–1135. [Google Scholar] [CrossRef] [PubMed]
- Loriot, Y.; Matsubara, N.; Park, S.H.; Huddart, R.A.; Burgess, E.F.; Houedle, N.; Banek, S.; Laguerre, B.; Guadalupi, V.; Ku, J.H.; et al. Phase 3 THOR study: Results of erdafitinib (erda) versus chemotherapy (chemo) in patients (pts) with advanced or metastatic urothelial cancer (mUC) with select fibroblast growth factor receptor alterations (FGFRalt). JCO 2023, 41, LBA4619. [Google Scholar] [CrossRef]
- Miranda, A.F.; Howard, J.M.; McLaughlin, M.; Meng, X.; Clinton, T.; Şanli, Ö.; Garant, A.; Bagrodia, A.; Margulis, V.; Lotan, Y.; et al. Metastasis-directed radiation therapy after radical cystectomy for bladder cancer. Urol. Oncol. 2021, 39, e1–e790. [Google Scholar] [CrossRef]
- Sano, T.; Aizawa, R.; Ito, K.; Nakamura, K.; Ogata, T.; Takeda, M.; Hamada, A.; Matsuoka, T.; Kono, J.; Kita, Y.; et al. Efficacy and Tolerability of Second-line Pembrolizumab With Radiation Therapy in Advanced Urothelial Carcinoma. Anticancer. Res. 2023, 43, 2119–2126. [Google Scholar] [CrossRef]
- Nakamori, K.; Yamazaki, S.; Komura, K.; Fukuokaya, W.; Adachi, T.; Hirasawa, Y.; Hashimoto, T.; Yoshizawa, A.; Ohno, T.; Yano, Y.; et al. Concurrent palliative radiation with pembrolizumab for platinum-refractory urothelial carcinoma is associated with improved overall survival. Clin. Transl. Radiat. Oncol. 2023, 39, 100558. [Google Scholar] [CrossRef]
- Humphrey, P.A.; Moch, H.; Cubilla, A.L.; Ulbright, T.M.; Reuter, V.E. The 2016 WHO Classification of Tumours of the Urinary System and Male Genital Organs-Part B: Prostate and Bladder Tumours. Eur. Urol. 2016, 70, 106–119. [Google Scholar] [CrossRef] [PubMed]
- Eisenhauer, E.A.; Therasse, P.; Bogaerts, J.; Schwartz, L.H.; Sargent, D.; Ford, R.; Dancey, J.; Arbuck, S.; Gwyther, S.; Mooney, M.; et al. New response evaluation criteria in solid tumours: Revised RECIST guideline (version 1.1). Eur. J. Cancer. 2009, 45, 228–247. [Google Scholar] [CrossRef] [PubMed]
- Dovedi, S.J.; Adlard, A.L.; Lipowska-Bhalla, G.; McKenna, C.; Jones, S.; Cheadle, E.J.; Stratford, I.J.; Poon, E.; Morrow, M.; Stewart, R.; et al. Acquired resistance to fractionated radiotherapy can be overcome by concurrent PD-L1 blockade. Cancer Res. 2014, 74, 5458–5468. [Google Scholar] [CrossRef] [PubMed]
- Zheng, Z.; Su, J.; Bao, X.; Wang, H.; Bian, C.; Zhao, Q.; Jiang, X. Mechanisms and applications of radiation-induced oxidative stress in regulating cancer immunotherapy. Front. Immunol. 2023, 14, 1247268. [Google Scholar] [CrossRef] [PubMed]
- Lhuillier, C.; Rudqvist, N.P.; Elemento, O.; Formenti, S.C.; Demaria, S. Radiation therapy and anti-tumor immunity: Exposing immunogenic mutations to the immune system. Genome Med. 2019, 11, 40. [Google Scholar] [CrossRef]
- Lai, J.Z.; Zhu, Y.Y.; Liu, Y.; Zhou, L.L.; Hu, L.; Chen, L.; Zhang, Q.Y. Abscopal Effects of Local Radiotherapy Are Dependent on Tumor Immunogenicity. Front. Oncol. 2021, 11, 690188. [Google Scholar] [CrossRef] [PubMed]
- Anscher, M.S.; Arora, S.; Weinstock, C.; Amatya, A.; Bandaru, P.; Tang, C.; Girvin, A.T.; Fiero, M.H.; Tang, S.; Lubitz, R.; et al. Association of Radiation Therapy with Risk of Adverse Events in Patients Receiving Immunotherapy: A Pooled Analysis of Trials in the US Food and Drug Administration Database. JAMA Oncol. 2022, 8, 232–240, Correction in JAMA Oncol. 2022, 8, 306. [Google Scholar] [CrossRef] [PubMed]
- Sundahl, N.; Vandekerkhove, G.; Decaestecker, K.; Meireson, A.; De Visschere, P.; Fonteyne, V.; De Maeseneer, D.; Reynders, D.; Goetghebeur, E.; Van Dorpe, J.; et al. Randomized Phase 1 Trial of Pembrolizumab with Sequential Versus Concomitant Stereotactic Body Radiotherapy in Metastatic Urothelial Carcinoma. Eur. Urol. 2019, 75, 707–711. [Google Scholar] [CrossRef]
- Zhang, Z.; Liu, X.; Chen, D.; Yu, J. Radiotherapy combined with immunotherapy: The dawn of cancer treatment. Signal Transduct. Target. Ther. 2022, 7, 258. [Google Scholar] [CrossRef]
- Hinshaw, D.C.; Shevde, L.A. The Tumor Microenvironment Innately Modulates Cancer Progression. Cancer Res. 2019, 79, 4557–4566. [Google Scholar] [CrossRef]
- Abuodeh, Y.; Venkat, P.; Kim, S. Systematic review of case reports on the abscopal effect. Curr. Probl. Cancer 2016, 40, 25–37. [Google Scholar] [CrossRef] [PubMed]
- Herrera, F.G.; Bourhis, J.; Coukos, G. Radiotherapy combination opportunities leveraging immunity for the next oncology practice. CA Cancer J. Clin. 2017, 67, 65–85. [Google Scholar] [CrossRef] [PubMed]
- Ribeiro Gomes, J.; Schmerling, R.A.; Haddad, C.K.; Racy, D.J.; Ferrigno, R.; Gil, E.; Zanuncio, P.; Buzaid, A.C. Analysis of the Abscopal Effect with Anti-PD1 Therapy in Patients with Metastatic Solid Tumors. J. Immunother. 2016, 39, 367–372. [Google Scholar] [CrossRef] [PubMed]
- Wang, B.; Han, Y.; Zhang, Y.; Zhao, Q.; Wang, H.; Wei, J.; Meng, L.; Xin, Y.; Jiang, X. Overcoming acquired resistance to cancer immune checkpoint therapy: Potential strategies based on molecular mechanisms. Cell Biosci. 2023, 13, 120. [Google Scholar] [CrossRef] [PubMed]
- Guven, D.C.; Yekeduz, E.; Erul, E.; Yazgan, S.C.; Sahin, T.K.; Karatas, G.; Aksoy, S.; Erman, M.; Yalcin, S.; Urun, Y.; et al. The benefit of treatment beyond progression with immune checkpoint inhibitors: A multi-center retrospective cohort study. J. Cancer Res. Clin. Oncol. 2023, 149, 3599–3606. [Google Scholar] [CrossRef]
- Daro-Faye, M.; Kassouf, W.; Souhami, L.; Marcq, G.; Cury, F.; Niazi, T.; Sargos, P. Combined radiotherapy and immunotherapy in urothelial bladder cancer: Harnessing the full potential of the anti-tumor immune response. World J. Urol. 2021, 39, 1331–1343. [Google Scholar] [CrossRef]
- Cavalieri, S.; Vitolo, V.; Barcellini, A.; Ronchi, S.; Facoetti, A.; Campo, C.; Klersy, C.; Molinelli, S.; Agustoni, F.; Ferretti, V.V.; et al. Immune checkpoint inhibitors and Carbon iON radiotherapy in solid Cancers with stable disease (ICONIC). Future Oncol. 2023, 19, 193–203. [Google Scholar] [CrossRef]
- Spaas, M.; Sundahl, N.; Kruse, V.; Rottey, S.; De Maeseneer, D.; Duprez, F.; Lievens, Y.; Surmont, V.; Brochez, L.; Reynders, D.; et al. Checkpoint Inhibitors in Combination with Stereotactic Body Radiotherapy in Patients with Advanced Solid Tumors: The CHEERS Phase 2 Randomized Clinical Trial. JAMA Oncol. 2023, 9, 1205–1213. [Google Scholar] [CrossRef]
- Hecht, M. Clinical Benefit and Biomarker Analysis of Combination of PD-1/PD-L1 Immune Checkpoint Inhibitors and Radiotherapy (ST-ICI02). ClinicalTrials.gov Identifier: NCT04892849. Updated 16 February 2023. Available online: https://clinicaltrials.gov/study/NCT04892849?cond=NCT04892849&rank=1 (accessed on 15 October 2023).
- Hoffman-Censits, J.; Grivas, P.; Powles, T.; Hawley, J.; Tyroller, K.; Seeberger, S.; Guenther, S.; Jacob, N.; Mehr, K.T.; Hahn, N.M. The JAVELIN Bladder Medley trial: Avelumab-based combinations as first-line maintenance in advanced urothelial carcinoma. Future Oncol. 2023. [Google Scholar] [CrossRef]
- Marquardt, A.; Hartrampf, P.; Kollmannsberger, P.; Solimando, A.G.; Meierjohann, S.; Kübler, H.; Bargou, R.; Schilling, B.; Serfling, S.E.; Buck, A.; et al. Predicting Microenvironment in CXCR4- and FAP-Positive Solid Tumors-A Pan-Cancer Machine Learning Workflow for Theranostic Target Structures. Cancers 2023, 15, 392. [Google Scholar] [CrossRef]
- Sfakianos, J.P.; Cha, E.K.; Iyer, G.; Scott, S.N.; Zabor, E.C.; Shah, R.H.; Ren, Q.; Bagrodia, A.; Kim, P.H.; Hakimi, A.A.; et al. Genomic characterization of upper tract urothelial carcinoma. Eur. Urol. 2015, 68, 970–977. [Google Scholar] [CrossRef] [PubMed]
- Katims, A.B.; Kuo, F.; Reisz, P.; Tracey, A.; Thomas, J.; Yip, W.; Merghoub, T.; Bochner, B.H.; Pietzak, F.J.; Solit, D.B.; et al. Characterizing the immune phenotype of FGFR3 mutated upper tract urothelial carcinoma (UTUC) using single-cell (sc)RNA-sequencing (seq). JCO 2023, 41, 558. [Google Scholar] [CrossRef]
- Oudard, S.; Culine, S.; Vano, Y.; Goldwasser, F.; Théodore, C.; Nguyen, T.; Voog, E.; Banu, E.; Vieillefond, A.; Priou, F.; et al. Multicentre randomised phase II trial of gemcitabine+platinum, with or without trastuzumab, in advanced or metastatic urothelial carcinoma overexpressing Her2. Eur. J. Cancer 2015, 51, 45–54. [Google Scholar] [CrossRef] [PubMed]
- Li, B.T.; Makker, V.; Buonocore, D.J.; Offin, M.D.; Olah, Z.T.; Panora, E.; Shen, R.; Ho, A.L.; Yaeger, R.; Iyer, R.; et al. A multi-histology basket trial of ado-trastuzumab emtansine in patients with HER2 amplified cancers. JCO 2018, 36, 2502. [Google Scholar] [CrossRef]
- Li, B.T.; Meric-Bernstam, F.; Puvvada, S.D.; Rowbottom, J.; Jolliffe, D.; Gustavson, M.; Mendoza-Naranjo, A. A phase 2, multicenter, open-label study evaluating trastuzumab deruxtecan (T-DXd) for the treatment of solid tumors harboring specific HER2-activating mutations (DESTINY-PanTumor01). J. Clin. Orthod. 2021, 39, TPS3162. [Google Scholar] [CrossRef]
- Meric-Bernstam, F.; Makker, V.; Oaknin, A.; Oh, D.; Banerjee, S.; González-Martín, A.; Jung, K.H.; Ługowska, I.; Manso, L.; Manzano, A.; et al. Efficacy and Safety of Trastuzumab Deruxtecan in Patients with HER2-Expressing Solid Tumors: Primary Results From the DESTINY-PanTumor02 Phase II Trial. J. Clin. Oncol. 2023. Published online. [Google Scholar] [CrossRef] [PubMed]
- Chu, C.E.; De Jesus Escano, M.; Yip, W.; Jiang, S.; Iyer, G.; Al-Ahmadie, H.A.; Goh, A.C.; Dalbagni, G.; Bochner, B.H.; Solit, D.B.; et al. Human epidermal growth factor receptor 2 (HER2) and fibroblast growth factor receptor 3 (FGFR3) mutations to reveal biological pathways in urothelial carcinoma. JCO 2022, 40, 567. [Google Scholar] [CrossRef]
- Voutsadakis, I.A. Urothelial Bladder Carcinomas with High Tumor Mutation Burden Have a Better Prognosis and Targetable Molecular Defects beyond Immunotherapies. Curr. Oncol. 2022, 29, 1390–1407. [Google Scholar] [CrossRef]
- Ma, Y.T.; Yang, H.L.; Yan, L.; Hua, F.; Wang, D.G.; Xu, G.Y.; Li, Y.; Xue, Y.J.; Qin, Y.J.; Sha, D.; et al. Case Report: Potential Predictive Value of MMR/MSI Status and PD-1 Expression in Immunotherapy for Urothelial Carcinoma. Pathol. Oncol. Res. 2022, 28, 1610638, Correction in Pathol. Oncol. Res. 2023, 29, 1610989. [Google Scholar] [CrossRef]
- Sarfaty, M.; Yuen Teo, M.; Al-Ahmadie, H.; Funt, S.A.; Lee, C.; Aggen, D.H.; Solit, D.B.; Ratna, N.; Regazzi, A.M.; Hechtman, J.F.; et al. Microsatellite instability (MSI-H) in metastatic urothelial carcinoma (mUC): A biomarker of divergent responses to systemic therapy. JCO 2020, 38, 566. [Google Scholar] [CrossRef]
- Ten Eyck, J.E.; Kahlon, N.; Masih, S.; Hamouda, D.M.; Petros, F.G. Clinical evaluation of avelumab in the treatment of advanced urothelial carcinoma: Focus on patient selection and outcomes. Cancer Manag. Res. 2022, 14, 729–738. [Google Scholar] [CrossRef]
- Li, K.; Luo, H.; Huang, L.; Luo, H.; Zhu, X. Microsatellite instability: A review of what the oncologist should know. Cancer Cell Int. 2020, 20, 16. [Google Scholar] [CrossRef]
- Chandran, E.; Iannantuono, G.M.; Akbulut, D.; Atiq, S.O.; Gurram, S.; Teo, M.Y.; Coleman, J.; Sinaii, N.; Apolo, A.B. Mismatch repair deficiency and microsatellite instability-high in urothelial carcinoma: A systematic review and meta-analysis. JCO 2023, 41, 4570. [Google Scholar] [CrossRef]
- Powles, T.; Kockx, M.; Rodriguez-Vida, A.; Duran, I.; Crabb, S.J.; Van Der Heijden, M.S.; Szabados, B.; Pous, A.F.; Gravis, G.; Herranz, U.A.; et al. Clinical efficacy and biomarker analysis of neoadjuvant atezolizumab in operable urothelial carcinoma in the ABACUS trial. Nat. Med. 2019, 25, 1706–1714. [Google Scholar] [CrossRef]
- Li, S.; Xin, K.; Pan, S.; Wang, Y.; Zheng, J.; Li, Z.; Liu, X.; Liu, B.; Xu, Z.; Chen, X. Blood-based liquid biopsy: Insights into early detection, prediction, and treatment monitoring of bladder cancer. Cell Mol. Biol. Lett. 2023, 28, 28. [Google Scholar] [CrossRef]
- Russano, M.; Napolitano, A.; Ribelli, G.; Iuliani, M.; Simonetti, S.; Citarella, F.; Pantano, F.; Dell’Aquila, E.; Anesi, C.; Silvestris, N.; et al. Liquid biopsy and tumor heterogeneity in metastatic solid tumors: The potentiality of blood samples. J. Exp. Clin. Cancer Res. 2020, 39, 95, Correction in J. Exp. Clin. Cancer Res. 2020, 39, 120. [Google Scholar] [CrossRef]
- Meng, J.; Lu, X.; Zhou, Y.; Zhang, M.; Ge, Q.; Zhou, J.; Hao, Z.; Gao, S.; Yan, F.; Liang, C. Tumor immune microenvironment-based classifications of bladder cancer for enhancing the response rate of immunotherapy. Mol. Ther. Oncol. 2021, 20, 410–421. [Google Scholar] [CrossRef]



Disclaimer/Publisher’s Note: The statements, opinions and data contained in all publications are solely those of the individual author(s) and contributor(s) and not of MDPI and/or the editor(s). MDPI and/or the editor(s) disclaim responsibility for any injury to people or property resulting from any ideas, methods, instructions or products referred to in the content. |
© 2023 by the authors. Licensee MDPI, Basel, Switzerland. This article is an open access article distributed under the terms and conditions of the Creative Commons Attribution (CC BY) license (https://creativecommons.org/licenses/by/4.0/).
Share and Cite
Pezzicoli, G.; Salonne, F.; Musci, V.; Ciciriello, F.; Tommasi, S.; Lacalamita, R.; Zito, A.; Allegretta, S.A.; Solimando, A.G.; Rizzo, M. Concomitant Immunotherapy and Metastasis-Directed Radiotherapy in Upper Tract Urothelial Carcinoma: A Biomarker-Driven, Original, Case-Based Proof-of-Concept Study. J. Clin. Med. 2023, 12, 7761. https://doi.org/10.3390/jcm12247761
Pezzicoli G, Salonne F, Musci V, Ciciriello F, Tommasi S, Lacalamita R, Zito A, Allegretta SA, Solimando AG, Rizzo M. Concomitant Immunotherapy and Metastasis-Directed Radiotherapy in Upper Tract Urothelial Carcinoma: A Biomarker-Driven, Original, Case-Based Proof-of-Concept Study. Journal of Clinical Medicine. 2023; 12(24):7761. https://doi.org/10.3390/jcm12247761
Chicago/Turabian StylePezzicoli, Gaetano, Francesco Salonne, Vittoria Musci, Federica Ciciriello, Stefania Tommasi, Rosanna Lacalamita, Alfredo Zito, Sara Antonia Allegretta, Antonio Giovanni Solimando, and Mimma Rizzo. 2023. "Concomitant Immunotherapy and Metastasis-Directed Radiotherapy in Upper Tract Urothelial Carcinoma: A Biomarker-Driven, Original, Case-Based Proof-of-Concept Study" Journal of Clinical Medicine 12, no. 24: 7761. https://doi.org/10.3390/jcm12247761
APA StylePezzicoli, G., Salonne, F., Musci, V., Ciciriello, F., Tommasi, S., Lacalamita, R., Zito, A., Allegretta, S. A., Solimando, A. G., & Rizzo, M. (2023). Concomitant Immunotherapy and Metastasis-Directed Radiotherapy in Upper Tract Urothelial Carcinoma: A Biomarker-Driven, Original, Case-Based Proof-of-Concept Study. Journal of Clinical Medicine, 12(24), 7761. https://doi.org/10.3390/jcm12247761

