Arthroereisis with a Talar Screw in Symptomatic Flexible Flatfoot in Children
Abstract
1. Introduction
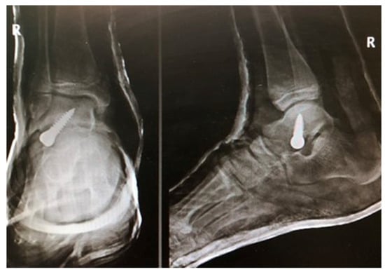
2. Materials and Methods
Statistical Analysis
3. Results
4. Discussion
5. Conclusions
Author Contributions
Funding
Institutional Review Board Statement
Informed Consent Statement
Data Availability Statement
Conflicts of Interest
References
- Vogt, B.; Toporowski, G.; Gosheger, G.; Rölfing, J.D.; Rosenbaum, D.; Schiedel, F.; Laufer, A.; Kleine-Koenig, M.T.; Theil, C.; Roedl, R.; et al. Subtalar Arthroereisis for Flexible Flatfoot in Children—Clinical, Radiographic and Pedobarographic Outcome Comparing Three Different Methods. Children 2021, 8, 359. [Google Scholar] [CrossRef]
- Faldini, C.; Mazzotti, A.; Panciera, A.; Perna, F.; Stefanini, N.; Giannini, S. Bioabsorbable implants for subtalar arthroereisis in pediatric flatfoot. Musculoskelet. Surg. 2018, 102, 11–19. [Google Scholar] [CrossRef] [PubMed]
- Kubo, H.; Lipp, C.; Hufeland, M.; Ruppert, M.; Westhoff, B.; Krauspe, R.; Pilge, H. Outcome after subtalar screw arthroereisis in children with flexible flatfoot depends on time of treatment: Midterm results of 95 cases. J. Orthop. Sci. 2020, 25, 497–502. [Google Scholar] [CrossRef] [PubMed]
- Vescio, A.; Testa, G.; Amico, M.; Lizzio, C.; Sapienza, M.; Pavone, P.; Pavone, V. Arthroereisis in juvenile flexible flatfoot: Which device should we implant? A systematic review of literature published in the last 5 years. World J. Orthop. 2021, 12, 433–444. [Google Scholar] [CrossRef]
- Martinelli, N.; Bianchi, A.; Martinkevich, P.; Sartorelli, E.; Romeo, G.; Bonifacini, C.; Malerba, F. Return to sport activities after subtalar arthroereisis for correction of pediatric flexible flatfoot. J. Pediatr. Orthop. B 2018, 27, 82–87. [Google Scholar] [CrossRef]
- Ruiz-Picazo, D.; Jiménez-Ortega, P.; Doñate-Pérez, F.; Gaspar-Aparicio, N.; García-Martín, V.; Ramírez-Villaescusa, J.; Losa-Palacios, S. Radiographic and Functional Results following Subtalar Arthroereisis in Pediatric Flexible Flatfoot. Adv. Orthop. 2019, 2019, 5061934. [Google Scholar] [CrossRef] [PubMed]
- Hong, J.; Dai, G.; Weng, Q.; Liu, Y. Interference Screw for the Treatment of Pediatric Flexible Flatfoot. J. Foot Ankle Surg. 2020, 59, 1209–1214. [Google Scholar] [CrossRef]
- Elmarghany, M.; El-Ghaffar, T.M.A.; Elgeushy, A.; Elzahed, E.; Hasanin, Y.; Knörr, J. Is subtalar extra articular screw arthroereisis (SESA) reducing pain and restoring medial longitudinal arch in children with flexible flat foot? J. Orthop. 2020, 20, 147–153. [Google Scholar] [CrossRef] [PubMed]
- Elbarbary, H.M.; Arafa, A.S.; Said, A.B.Z.; Hegaz, M.; Reiad, M.W.; Basha, N.Y.; Fahmy, M. Clinical and Radiological Outcomes of Subtalar Arthroereisis for Management of Planovalgus Foot in Children With Cerebral Palsy: 3-Year Follow-up. Foot Ankle Spec. 2022, 15, 536–544. [Google Scholar] [CrossRef]
- Tan, J.H.I.; Tan, S.H.S.; Lim, A.K.S.; Hui, J.H. The outcomes of subtalar arthroereisis in pes planus: A systemic review and meta-analysis. Arch. Orthop. Trauma. Surg. 2021, 141, 761–773. [Google Scholar] [CrossRef]
- Franz, A.; Herz, D.; Raabe, J.; Seeberger, U.; Bollmann, C. Pedobarographic outcome after subtalar screw arthroereisis in flexible juvenile flatfoot. Foot Ankle Surg. 2021, 27, 389–394. [Google Scholar] [CrossRef] [PubMed]
- Memeo, A.; Verdoni, F.; Rossi, L.; Ferrari, E.; Panuccio, E.; Pedretti, L. Flexible Juvenile Flat Foot Surgical Correction: A Comparison Between Two Techniques After Ten Years’ Experience. J. Foot Ankle Surg. 2019, 58, 203–207. [Google Scholar] [CrossRef]
- Fernández de Retana, P.; Alvarez, F.; Viladot, R. Subtalar arthroereisis in pediatric flatfoot reconstruction. Foot Ankle Clin. 2010, 15, 323–335. [Google Scholar] [CrossRef] [PubMed]
- Wang, S.; Chen, L.; Yu, J.; Zhang, C.; Huang, J.-Z.; Wang, X.; Ma, X. Mid-term Results of Subtalar Arthroereisis with Talar-Fit Implant in Pediatric Flexible Flatfoot and Identifying the Effects of Adjunctive Procedures and Risk Factors for Sinus Tarsi Pain. Orthop. Surg. 2021, 13, 175–184. [Google Scholar] [CrossRef] [PubMed]
- Arbab, D.; Frank, D.; Bouillon, B.; Lüring, C.; Wingenfeld, C.; Abbara-Czardybon, M. Subtalare Screw Arthroereisis for the Treatment of Symptomatic, Flexible Pes Planovalgus. Z. Orthop. Unfall. 2018, 156, 93–99. [Google Scholar] [CrossRef] [PubMed]
- Jerosch, J.; Schunck, J.; Abdel-Aziz, H. The stop screw technique—A simple and reliable method in treating flexible flatfoot in children. Foot Ankle Surg. 2009, 15, 174–178. [Google Scholar] [CrossRef] [PubMed]
- Leonchuk, S.S.; Dyachkov, K.; Neretin, A.S.; Blanchard, A.J.; Popkov, D. Subtalar arthroereisis for treatment of children with flexible planovalgus foot deformity and analysis of CT data in long-term period. J. Orthop. 2020, 22, 478–484. [Google Scholar] [CrossRef]
- de Bot, R.T.A.L.; Stevens, J.; Hermus, J.P.S.; Staal, H.M.; van Rhijn, L.W.; Witlox, A.M. Clinical and Radiological Outcomes of Subtalar Kalix II Arthroereisis for a Symptomatic Pediatric Flexible Flatfoot. Foot Ankle Spec. 2021, 14, 9–18. [Google Scholar] [CrossRef]
- Hagen, L.; Pape, J.P.; Kostakev, M.; Peterlein, C.D. Pedobarographic changes during first month after subtalar extra-articular screw arthroereisis (SESA) operation of juvenile flexible flatfoot. Arch. Orthop. Trauma. Surg. 2020, 140, 313–320. [Google Scholar] [CrossRef]
- Bernasconi, A.; Lintz, F.; Sadile, F. The role of arthroereisis of the subtalar joint for flatfoot in children and adults. EFORT Open Rev. 2017, 2, 438–446. [Google Scholar] [CrossRef] [PubMed]
- De Pellegrin, M. Subtalar screw-arthroereisis for correction of flat foot in children. Orthopade 2005, 34, 941–953. [Google Scholar] [CrossRef]
- Bobiński, A.; Tomczyk, Ł.; Reichert, P.; Morasiewicz, P. Short-Term and Medium-Term Radiological and Clinical Assessment of Patients with Symptomatic Flexible Flatfoot Following Subtalar Arthroereisis with Spherus Screw. J. Clin. Med. 2023, 12, 5038. [Google Scholar] [CrossRef]
- Polichetti, C.; Borruto, M.I.; Lauriero, F.; Caravelli, S.; Mosca, M.; Maccauro, G.; Greco, T.; Perisano, C. Adult Acquired Flatfoot Deformity: A Narrative Review about Imaging Findings. Diagnostics 2023, 13, 225. [Google Scholar] [CrossRef] [PubMed]
- Amstutz, H.; Thomas, B.; Jinnah, R.; Kim, W.; Grogan, T.; Yale, C. Treatment of primary osteoarthritis of the hip. A comparison of total joint and surface replacement arthroplasty. J. Bone Joint Surg. Am. 1984, 66, 228–241. [Google Scholar] [PubMed]
- Zahiri, C.; Schmalzried, T.; Szuszczewicz, E.; Amstutz, H. Assessing Activity in Joint Replacement Patients. J. Arthroplast. 1998, 13, 890–895. [Google Scholar] [CrossRef] [PubMed]
- Grimby, G, Physical activity; muscle training in the elderly. Acta Medica Scand. Suppl. 1986, 711, 233–237. [CrossRef]
- Stéfani, K.C.; Pereira Filho, M.V.; Oliveira, P.R.; Wun, P.Y.L. Translation, Cultural Adaptation and Validation of the Foot Function Index—Revised (FFI-R). Acta Ortop. Bras. 2017, 25, 188–193. [Google Scholar] [CrossRef][Green Version]


| Analyzed Variable | Before Treatment | After Treatment | p Value * |
|---|---|---|---|
| (Mean ± Standard Deviation) | |||
| UCLA scale | 4.78 ± 2.25 | 6.05 ± 1.61 | 0.045 |
| Gimbry scale | 3.26 ± 1.59 | 3.94 ± 1.17 | 0.14 |
| VAS Activity Scale | 5.47 ± 2.89 | 7 ± 2.05 | 0.048 |
| VAS pain scale | 4.73 ± 3.51 | 2.73 ± 3.28 | 0.047 |
| FFI-R scale | 140 ± 61.28 | 97.75 ± 28.53 | 0.017 |
| Dorsiflexion OL [degree] | 22 ± 8.44 | 25.33 ± 6.77 | 0.316 |
| Plantar flexion OL [degree] | 30.7 ± 9.21 | 32.91 ± 11.22 | 0.623 |
| adduction OL [degree] | 21.9 ± 9.74 | 23.5 ± 7.46 | 0.667 |
| abduction OL [degree] | 18.6 ± 9.92 | 17.83 ± 6.72 | 0.831 |
| Dorsiflexion NOL [degree] | 36.25 ± 8.53 | 29 ± 13.41 | 0.381 |
| Plantar flexion NOL [degree] | 37 ± 14.58 | 49 ± 19.49 | 0.342 |
| adduction NOL [degree] | 28.5 ± 6.24 | 25 ± 3.53 | 0.32 |
| abduction NOL [degree] | 28.5 ± 12.61 | 22 ± 10.36 | 0.422 |
| Analyzed Variable | (Mean ± Standard Deviation) | p Value | |
|---|---|---|---|
| before treatment | |||
| OL | NOL | ||
| Dorsiflexion [degree] | 22 ± 8.44 | 36.25 ± 8.53 | 0.047 |
| plantar flexion [degree] | 30.7 ± 9.21 | 37 ± 14.58 | 0.343 |
| abduction [degree] | 18.6 ± 9.92 | 28.5 ± 12.61 | 0.142 |
| adduction [degree] | 21.9 ± 9.74 | 28.5 ± 6.24 | 0.238 |
| after treatment | |||
| OL | NOL | ||
| Dorsiflexion [degree] | 25.33 ± 6.77 | 29 ± 13.41 | 0.457 |
| plantar flexion [degree] | 32.91 ± 11.22 | 49 ± 19.49 | 0.086 |
| abduction [degree] | 17.83 ± 6.72 | 22 ± 10.36 | 0.335 |
| adduction [degree] | 23.5 ± 7.46 | 25 ± 3.53 | 0.677 |
Disclaimer/Publisher’s Note: The statements, opinions and data contained in all publications are solely those of the individual author(s) and contributor(s) and not of MDPI and/or the editor(s). MDPI and/or the editor(s) disclaim responsibility for any injury to people or property resulting from any ideas, methods, instructions or products referred to in the content. |
© 2023 by the authors. Licensee MDPI, Basel, Switzerland. This article is an open access article distributed under the terms and conditions of the Creative Commons Attribution (CC BY) license (https://creativecommons.org/licenses/by/4.0/).
Share and Cite
Bobiński, A.; Tomczyk, Ł.; Pelc, M.; Chruścicki, D.A.; Śnietka, B.; Morasiewicz, P. Arthroereisis with a Talar Screw in Symptomatic Flexible Flatfoot in Children. J. Clin. Med. 2023, 12, 7475. https://doi.org/10.3390/jcm12237475
Bobiński A, Tomczyk Ł, Pelc M, Chruścicki DA, Śnietka B, Morasiewicz P. Arthroereisis with a Talar Screw in Symptomatic Flexible Flatfoot in Children. Journal of Clinical Medicine. 2023; 12(23):7475. https://doi.org/10.3390/jcm12237475
Chicago/Turabian StyleBobiński, Andrzej, Łukasz Tomczyk, Marcin Pelc, Damian Aleksander Chruścicki, Bartosz Śnietka, and Piotr Morasiewicz. 2023. "Arthroereisis with a Talar Screw in Symptomatic Flexible Flatfoot in Children" Journal of Clinical Medicine 12, no. 23: 7475. https://doi.org/10.3390/jcm12237475
APA StyleBobiński, A., Tomczyk, Ł., Pelc, M., Chruścicki, D. A., Śnietka, B., & Morasiewicz, P. (2023). Arthroereisis with a Talar Screw in Symptomatic Flexible Flatfoot in Children. Journal of Clinical Medicine, 12(23), 7475. https://doi.org/10.3390/jcm12237475

