A Full View of Papillary Craniopharyngioma Based on Expanded Endonasal Approach: A Comprehensive Clinical Characterization of 101 Cases
Abstract
:1. Background
2. Methods
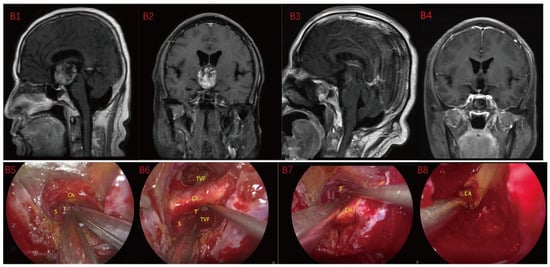
2.1. Imaging Evaluation
2.2. Surgical Planning and Techniques
2.3. Classification of PCP Based on Preoperative Imaging Findings and EEA Approach
2.4. The Extent of Tumor Resection
2.5. Endocrine Status
2.6. Statistical Analysis
3. Results
3.1. Baseline Patient Characteristics
3.2. PCP Characteristics Based on Pre-Operative Imaging and Intraoperative Findings
3.3. PCP Characteristics Based on Post-Operative Findings and Follow-Up
3.4. Multivariate Analysis of Tumor Recurrence: A Stepwise Multivariate Logistic Regression Analysis for Risk Factors of Tumor Recurrence
4. Discussion
4.1. Baseline Characteristics of Different Types of PCPs
4.2. Imaging Characteristics and Intraoperative Findings of Different Types of PCPs
4.3. Treatment and Surgical Approach
4.4. Postoperative Complications and Qol
5. Conclusions
Author Contributions
Funding
Institutional Review Board Statement
Informed Consent Statement
Data Availability Statement
Conflicts of Interest
Abbreviations
References
- Olsson, D.S.; Andersson, E.; Bryngelsson, I.-L.; Nilsson, A.G.; Johannsson, G. Excess Mortality and Morbidity in Patients with Craniopharyngioma, Especially in Patients with Childhood Onset: A Population-Based Study in Sweden. J. Clin. Endocrinol. Metab. 2015, 100, 467–474. [Google Scholar] [CrossRef] [PubMed]
- Zacharia, B.E.; Bruce, S.S.; Goldstein, H.; Malone, H.R.; Neugut, A.I.; Bruce, J.N. Incidence, treatment and survival of patients with craniopharyngioma in the surveillance, epidemiology and end results program. Neuro Oncol. 2012, 14, 1070–1078. [Google Scholar] [CrossRef] [PubMed]
- Hölsken, A.; Sill, M.; Merkle, J.; Schweizer, L.; Buchfelder, M.; Flitsch, J.; Fahlbusch, R.; Metzler, M.; Kool, M.; Pfister, S.M.; et al. Adamantinomatous and papillary craniopharyngiomas are characterized by distinct epigenomic as well as mutational and transcriptomic profiles. Acta Neuropathol. Commun. 2016, 4, 20. [Google Scholar] [CrossRef]
- Crotty, T.B.; Scheithauer, B.W.; Young, W.F., Jr.; Davis, D.H.; Shaw, E.G.; Miller, G.M.; Burger, P.C. Papillary craniopharyngioma: A clinicopathological study of 48 cases. J. Neurosurg. 1995, 83, 206–214. [Google Scholar] [CrossRef] [PubMed]
- Adamson, T.E.; Wiestler, O.D.; Kleihues, P.; Yasargil, M.G. Correlation of clinical and pathological features in surgically treated craniopharyngiomas. J. Neurosurg. 1990, 73, 12–17. [Google Scholar] [CrossRef]
- Prieto, R.; Barrios, L.; Pascual, J.M. Papillary Craniopharyngioma: A Type of Tumor Primarily Impairing the Hypothalamus—A Comprehensive Anatomo-Clinical Characterization of 350 Well-Described Cases. Neuroendocrinology 2022, 112, 941–965. [Google Scholar] [CrossRef]
- Barbosa, A.P.; Varela, A.; Carvalho, D.; Cerejo, A.; Pereira, J.; Castro, L.; Vinha, E.; Monteiro, M.; Cruz, J.; Vaz, R.; et al. Craniopharyngiomas. Clinicopathological aspects in different age groups. Acta Med. Port. 2002, 15, 123–129. [Google Scholar]
- Pekmezci, M.; Louie, J.; Gupta, N.; Bloomer, M.M.; Tihan, T. Clinicopathological characteristics of adamantinomatous and papillary craniopharyngiomas: University of California, San Francisco experience 1985–2005. Neurosurgery 2010, 67, 1341–1349, discussion 1349. [Google Scholar] [CrossRef]
- Wang, Y.; Deng, J.; Wang, L.; Zhou, T.; Yang, J.; Tian, Z.; Yang, J.; Chen, H.; Tang, X.; Zhao, S.; et al. Expression and clinical significance of PD-L1, B7-H3, B7-H4 and VISTA in craniopharyngioma. J. Immunother. Cancer 2020, 8, e000406. [Google Scholar] [CrossRef]
- Koutourousiou, M.; Fernandez-Miranda, J.C.; Wang, E.W.; Snyderman, C.H.; Gardner, P.A. The limits of transsellar/transtuberculum surgery for craniopharyngioma. J. Neurosurg. Sci. 2018, 62, 301–309. [Google Scholar] [CrossRef]
- Apra, C.; Enachescu, C.; Lapras, V.; Raverot, G.; Jouanneau, E. Is Gross Total Resection Reasonable in Adults with Craniopharyngiomas with Hypothalamic Involvement? World Neurosurg. 2019, 129, e803–e811. [Google Scholar] [CrossRef] [PubMed]
- Jane, J.A., Jr.; Kiehna, E.; Payne, S.C.; Early, S.V.; Laws, E.R., Jr. Early outcomes of endoscopic transsphenoidal surgery for adult craniopharyngiomas. Neurosurg. Focus 2010, 28, E9. [Google Scholar] [CrossRef] [PubMed]
- Kshettry, V.R.; Do, H.; Elshazly, K.; Farrell, C.J.; Nyquist, G.; Rosen, M.; Evans, J.J. The learning curve in endoscopic endonasal resection of craniopharyngiomas. Neurosurg. Focus 2016, 41, E9. [Google Scholar] [CrossRef] [PubMed]
- McDowell, M.M.; Chiang, M.; Abou-Al-Shaar, H.; Zenonos, G.A.; Wang, E.W.; Snyderman, C.H.; Gardner, P.A. Applications of Endoscopic Endonasal Surgery in Early Childhood: A Case Series. Pediatr. Neurosurg. 2021, 56, 519–528. [Google Scholar] [CrossRef] [PubMed]
- Matsuo, T.; Kamada, K.; Izumo, T.; Nagata, I. Indication and limitations of endoscopic extended transsphenoidal surgery for craniopharyngioma. Neurol. Med. Chir. 2014, 54, 974–982. [Google Scholar] [CrossRef]
- Puget, S.; Garnett, M.; Wray, A.; Grill, J.; Habrand, J.L.; Bodaert, N.; Zerah, M.; Bezerra, M.; Renier, D.; Pierre-Kahn, A.; et al. Pediatric craniopharyngiomas: Classification and treatment according to the degree of hypothalamic involvement. J. Neurosurg. 2007, 106, 3–12. [Google Scholar] [CrossRef]
- Cao, L.; Wu, W.; Kang, J.; Cai, K.; Li, C.; Liu, C.; Zhu, H.; Gen, S.; Zhang, Y.; Gui, S. Feasibility of endoscopic endonasal resection of intrinsic third ventricular craniopharyngioma in adults. Neurosurg. Rev. 2022, 45, 1–13. [Google Scholar] [CrossRef]
- Iranmehr, A.; Esmaeilnia, M.; Afshari, K.; Sadrehosseini, S.M.; Tabari, A.; Jouibari, M.F.; Zeinalizadeh, M. Surgical Outcomes of Endoscopic Endonasal Surgery in 29 Patients with Craniopharyngioma. J. Neurol. Surg. B Skull Base 2021, 82, 401–409, discussion 298. [Google Scholar] [CrossRef]
- Kitano, M.; Taneda, M. Extended transsphenoidal surgery for suprasellar craniopharyngiomas: Infrachiasmatic radical resection combined with or without a suprachiasmatic trans-lamina terminalis approach. Surg. Neurol. 2009, 71, 290–298, discussion 298. [Google Scholar] [CrossRef]
- Qiao, N.; Yang, X.; Li, C.; Ma, G.; Kang, J.; Liu, C.; Cao, L.; Zhang, Y.; Gui, S. The predictive value of intraoperative visual evoked potential for visual outcome after extended endoscopic endonasal surgery for adult craniopharyngioma. J. Neurosurg. 2021, 135, 1714–1724. [Google Scholar] [CrossRef]
- Hoffman, H.J.; De Silva, M.; Humphreys, R.P.; Drake, J.M.; Smith, M.L.; Blaser, S.I. Aggressive surgical management of craniopharyngiomas in children. J. Neurosurg. 1992, 76, 47–52. [Google Scholar] [CrossRef] [PubMed]
- Yasargil, M.G.; Curcic, M.; Kis, M.; Siegenthaler, G.; Teddy, P.J.; Roth, P. Total removal of craniopharyngiomas. Approaches and long-term results in 144 patients. J. Neurosurg. 1990, 73, 3–11. [Google Scholar] [CrossRef]
- Sartoretti-Schefer, S.; Wichmann, W.; Aguzzi, A.; Valavanis, A. MR differentiation of adamantinous and squamous-papillary craniopharyngiomas. AJNR Am. J. Neuroradiol. 1997, 18, 77–87. [Google Scholar] [PubMed]
- Joo, L.; Park, J.E.; Park, S.Y.; Nam, S.J.; Kim, Y.H.; Kim, J.H.; Kim, H.S. Extensive peritumoral edema and brain-to-tumor interface MRI features enable prediction of brain invasion in meningioma: Development and validation. Neuro. Oncol. 2021, 23, 324–333. [Google Scholar] [CrossRef]
- Li, N.; Mo, Y.; Huang, C.; Han, K.; He, M.; Wang, X.; Wen, J.; Yang, S.; Wu, H.; Dong, F.; et al. A Clinical Semantic and Radiomics Nomogram for Predicting Brain Invasion in WHO Grade II Meningioma Based on Tumor and Tumor-to-Brain Interface Features. Front. Oncol. 2021, 11, 752158. [Google Scholar] [CrossRef]
- Larkin, S.J.; Ansorge, O. Pathology and pathogenesis of craniopharyngiomas. Pituitary 2013, 16, 9–17. [Google Scholar] [CrossRef] [PubMed]
- Pascual, J.M.; Prieto, R.; Castro-Dufourny, I.; Carrasco, R. Topographic Diagnosis of Papillary Craniopharyngiomas: The Need for an Accurate MRI-Surgical Correlation. AJNR Am. J. Neuroradiol. 2015, 36, E55–E56. [Google Scholar] [CrossRef]
- d’Avella, E.; Solari, D.; Somma, T.; Miccoli, G.; Milicevic, M.; Cappabianca, P.; Cavallo, L.M. The endoscopic endonasal approach for pediatric craniopharyngiomas: The key lessons learned. Childs Nerv. Syst. 2019, 35, 2147–2155. [Google Scholar] [CrossRef]
- Lehrich, B.M.; Goshtasbi, K.; Hsu, F.P.K.; Kuan, E.C. Characteristics and overall survival in pediatric versus adult craniopharyngioma: A population-based study. Childs Nerv. Syst. 2021, 37, 1535–1545. [Google Scholar] [CrossRef]
- Schelini, J.C.; Cavalheiro, S.; Dastoli, P.A.; Hirai, E.R.; Atallah, C.; Costa, M.; Nicacio, J.; Capellano, A.M.; Silva, N.; Zymberg, S.; et al. Endoscopic endonasal transsphenoidal approach for pediatric craniopharyngiomas: A case series. Int. J. Pediatr. Otorhinolaryngol. 2020, 130, 109786. [Google Scholar] [CrossRef]
- Muller, H.L.; Merchant, T.E.; Warmuth-Metz, M.; Martinez-Barbera, J.P.; Puget, S. Craniopharyngioma. Nat. Rev. Dis. Primers 2019, 5, 75. [Google Scholar] [CrossRef]
- Fitzek, M.M.; Linggood, R.M.; Adams, J.; Munzenrider, J.E. Combined proton and photon irradiation for craniopharyngioma: Long-term results of the early cohort of patients treated at Harvard Cyclotron Laboratory and Massachusetts General Hospital. Int. J. Radiat. Oncol. Biol. Phys. 2006, 64, 1348–1354. [Google Scholar] [CrossRef] [PubMed]
- Muller, H.L. The Diagnosis and Treatment of Craniopharyngioma. Neuroendocrinology 2020, 110, 753–766. [Google Scholar] [CrossRef] [PubMed]
- Seo, Y.; Kim, Y.H.; Kim, J.H.; Kong, D.S.; Dho, Y.S.; Kang, H.; Kim, K.M.; Kim, J.W.; Park, C.K. Outcomes of the endoscopic endonasal approach for tumors in the third ventricle or invading the third ventricle. J. Clin. Neurosci. 2021, 90, 302–310. [Google Scholar] [CrossRef]
- Zhou, Y.; Wei, J.; Jin, T.; Hei, Y.; Jia, P.; Lin, J.; Yang, S.; Jiang, X.; Liu, W.; Gao, D. Extended endoscopic endonasal approach for resecting anterior intrinsic third ventricular craniopharyngioma. Front. Oncol. 2022, 12, 998683. [Google Scholar] [CrossRef] [PubMed]
- Kinoshita, Y.; Taguchi, A.; Tominaga, A.; Sakoguchi, T.; Arita, K.; Yamasaki, F. Predictive factors of postoperative diabetes insipidus in 333 patients undergoing transsphenoidal surgery for non-functioning pituitary adenoma. Pituitary 2022, 25, 100–107. [Google Scholar] [CrossRef] [PubMed]
- Sabharwal, P.; Panda, N.; Sahni, N.; Sahoo, A.K.; Luthra, A.; Chauhan, R.; Bhagat, H.; Dutta, P. Effect of Perioperative Fluids on Serum Osmolality and Serum Sodium in Patients Undergoing Transcranial Excision of Craniopharyngioma: A Prospective Randomized Controlled Trial. Asian J. Neurosurg. 2021, 16, 126–131. [Google Scholar] [CrossRef]
- Eveslage, M.; Calaminus, G.; Warmuth-Metz, M.; Kortmann, R.D.; Pohl, F.; Timmermann, B.; Schuhmann, M.U.; Flitsch, J.; Faldum, A.; Muller, H.L. The Postopera tive Quality of Life in Children and Adolescents with Craniopharyngioma. Dtsch. Arztebl. Int. 2019, 116, 321–328. [Google Scholar] [CrossRef]
- Van Santen, S.S.; Wolf, P.; Kremenevski, N.; Boguszewski, C.L.; Beiglbock, H.; Fiocco, M.; Wijnen, M.; Wallenius, V.R.; van den Heuvel-Eibrink, M.M.; van der Lely, A.J.; et al. Bariatric Surgery for Hypothalamic Obesity in Craniopharyngioma Patients: A Retrospective, Matched Case-Control Study. J. Clin. Endocrinol. Metab. 2021, 106, e4734–e4745. [Google Scholar] [CrossRef]
- Karavitaki, N.; Cudlip, S.; Adams, C.B.; Wass, J.A. Craniopharyngiomas. Endocr. Rev. 2006, 27, 371–397. [Google Scholar] [CrossRef]
- Cheng, J.; Shao, Q.; Pan, Z.; You, J. Analysis and Long-Term Follow-Up of the Surgical Treatment of Children with Craniopharyngioma. J. Craniofac. Surg. 2016, 27, e763–e766. [Google Scholar] [CrossRef] [PubMed]
- Mende, K.C.; Kellner, T.; Petersenn, S.; Honegger, J.; Evangelista-Zamora, R.; Droste, M.; Stalla, G.; Deutschbein, T.; Wang, Y.; Moskopp, D.; et al. Clinical Situation, Therapy, and Follow-Up of Adult Craniopharyngioma. J. Clin. Endocrinol. Metab. 2020, 105, 252–265. [Google Scholar] [CrossRef]
- Tena-Suck, M.L.; Salinas-Lara, C.; Arce-Arellano, R.I.; Rembao-Bojorquez, D.; Morales-Espinosa, D.; Sotelo, J.; Arrieta, O. Clinico-pathological and immunohistochemical characteristics associated to recurrence/regrowth of craniopharyngiomas. Clin. Neurol. Neurosurg. 2006, 108, 661–669. [Google Scholar] [CrossRef]
- Yamada, S.; Fukuhara, N.; Oyama, K.; Takeshita, A.; Takeuchi, Y.; Ito, J.; Inoshita, N. Surgical outcome in 90 patients with craniopharyngioma: An evaluation of transsphenoidal surgery. World Neurosurg. 2010, 74, 320–330. [Google Scholar] [CrossRef] [PubMed]
- Prieto, R.; Pascual, J.M.; Subhi-Issa, I.; Jorquera, M.; Yus, M.; Martinez, R. Predictive factors for craniopharyngioma recurrence: A systematic review and illustrative case report of a rapid recurrence. World Neurosurg. 2013, 79, 733–749. [Google Scholar] [CrossRef] [PubMed]






| Parameter | Type I | Type II | Type III | Total | χ2/F | p | |
|---|---|---|---|---|---|---|---|
| Number of Patients | N = 36 (Case, %) | N = 52 (Case, %) | N = 13 (Case, %) | N = 101 (Case, %) | |||
| Age | 47.53 ± 13.94 | 51.27 ± 11.19 | 40.46 ± 14.15 | 40.54 ± 12.99 | 4.000 | 0.021 * | |
| Gender | Male | 18 (50.00) | 19 (36.54) | 3 (23.08) | 61 (60.40) | 3.315 | 0.191 |
| Female | 18 (50.00) | 33 (63.46) | 10 (76.92) | 40 (39.60) | |||
| Secondary operation | 6 (16.67) | 12 (23.08) | 1 (7.69) | 19 (18.81) | 1.780 | 0.411 | |
| Headache | 15 (41.67) | 27 (51.92) | 11 (84.62) | 53 (52.48) | 7.078 | 0.029 * | |
| Visual impairment | 20 (55.56) | 42 (80.77) | 6 (46.15) | 68 (67.33) | 9.188 | 0.010 * | |
| Hypomnesia | 3 (8.33) | 22 (42.31) | 8 (61.54) | 33 (32.67) | 16.813 | 0.000 ** | |
| DI | 15 (41.67) | 21 (40.38) | 1 (7.69) | 37 (36.63) | 5.399 | 0.067 | |
| Pre-BMI | 24.24 ± 3.70 | 25.85 ± 4.52 | 26.20 ± 3.59 | 25.32 ± 4.17 | 1.934 | 0.15 | |
| Hypoadrenalism | ACTH | 10 (27.78) | 6 (11.54) | 1 (7.69) | 17 (16.83) | 4.898 | 0.086 |
| Hypothyroidism | T3 | 4 (11.11) | 2 (3.85) | 0 (0.00) | 6 (5.94) | 2.952 | 0.229 |
| Hyposomatotropism | GH | 7 (19.44) | 17 (32.69) | 3 (23.08) | 27 (26.73) | 2.008 | 0.366 |
| Hypogonadism | T | 25 (69.44) | 27 (51.92) | 5 (38.46) | 57 (56.44) | 4.617 | 0.099 |
| E2 | 19 (52.78) | 21 (40.38) | 5 (38.46) | 45 (44.55) | 1.547 | 0.461 | |
| Parameter | Type I | Type II | Type III | Total | χ2/F | p | |
|---|---|---|---|---|---|---|---|
| Number of Patients | N = 36 (Case, %) | N = 52 (Case, %) | N = 13 (Case, %) | N = 101 (Case, %) | |||
| Tumor volume | 4.07 ± 4.60 | 9.66 ± 7.30 | 12.64 ± 6.27 | 8.05 ± 7.01 | 12.223 | 0.000 ** | |
| Hydrocephalus | 0 (0.00) | 14 (26.92) | 6 (46.15) | 20 (19.80) | 16.234 | 0.000 ** | |
| Tumor texture | Cystic lesions | 10 (27.78) | 9 (17.31) | 1 (7.69) | 20 (19.80) | ||
| Solid lesions | 6 (16.67) | 19 (36.54) | 8 (61.54) | 33 (32.67) | 9.936 | 0.042 * | |
| Cystic–solid lesions | 20 (55.56) | 24 (46.15) | 4 (30.77) | 48 (47.52) | |||
| Tumor shape | Round circular | 35 (97.22) | 42 (80.77) | 12 (92.31) | 89 (88.12) | 5.57 | 0.056 |
| Lobular | 1 (2.78) | 10 (19.23) | 1 (7.69) | 12 (11.88) | |||
| Peritumoral edema | 1 (2.78) | 12 (23.08) | 4 (30.77) | 17 (16.83) | 8.832 | 0.016 * | |
| Puget grading | Puget 0 | 17 (47.22) | 8 (15.38) | 1 (7.69) | 26 (25.74) | ||
| Puget 1 | 19 (52.78) | 17 (32.69) | 3 (23.08) | 39 (38.61) | 34.232 | 0.000 ** | |
| Puget 2 | 0 (0.00) | 27 (51.92) | 9 (69.23) | 36 (35.64) | |||
| PS preservation | 35 (97.22) | 44 (84.62) | 13 (100.00) | 92 (91.09) | 5.652 | 0.060 | |
| Tumor origin | PS | 15 (41.67) | 7 (50.00) | 0 (0.00) | 22 (21.78) | ||
| Infundibulum and ME | 21 (58.33) | 7 (50.00) | 13 (100.00) | 79 (78.22) | 14.088 | 0.001 ** | |
| Surgical approach | TCPCA | 36 (100.0) | 46 (88.46) | 3 (23.08) | 85 (84.16) | ||
| TLTA | 0 (0.00) | 0 (0.00) | 7 (53.85) | 7 (6.93) | 60.874 | 0.000 ** | |
| TCPCA AND TLTA | 0 (0.00) | 6 (11.54) | 3 (23.08) | 9 (8.91) | |||
| Extent of resection | GTR | 35 (97.22) | 44 (84.62) | 12 (92.31) | 91 (90.10) | 3.872 | 0.144 |
| STR | 1 (2.78) | 8 (15.38) | 1 (7.69) | 10 (9.90) |
| Parameter | Type I | Type II | Type III | Total | χ2 | p | |
|---|---|---|---|---|---|---|---|
| Number of Patients | N = 36 (Case, %) | N = 52 (Case, %) | N = 13 (Case, %) | N = 101 (Case, %) | |||
| Visual impairment | 7 (19.44) | 11 (21.15) | 2 (15.38) | 20 (19.80) | 0.222 | 0.895 | |
| DI | 23 (63.89) | 20 (38.46) | 5 (38.46) | 48 (47.52) | 6.007 | 0.050 * | |
| Electrolyte disorder | Hyponatremia | 16 (44.44) | 20 (38.46) | 6 (46.15) | 42 (41.58) | 0.442 | 0.802 |
| Hypomnesia | 8 (22.22) | 8 (15.38) | 2 (15.38) | 18 (17.82) | 0.740 | 0.691 | |
| CSF | 0 (0.00) | 4 (7.69) | 2 (15.38) | 6 (5.94) | 4.634 | 0.099 | |
| Intracranial infection | 0 (0.00) | 5 (9.62) | 2 (15.38) | 7 (6.93) | 4.702 | 0.095 | |
| Obesity | 14 (38.89) | 18 (34.62) | 5 (38.46) | 37 (36.63) | 0.189 | 0.910 | |
| Hypoadrenalism | ACTH | 21 (58.33) | 35 (67.31) | 8 (61.54) | 64 (63.37) | 0.76 | 0.684 |
| Hypothyroidism | T3 | 3 (8.33) | 6 (11.54) | 2 (15.38) | 11 (10.89) | 0.536 | 0.765 |
| Hyposomatotropism | GH | 4 (11.11) | 15 (28.85) | 5 (38.46) | 24 (23.76) | 5.473 | 0.065 |
| Hypogonadism | T | 26 (72.22) | 34 (65.38) | 11 (84.62) | 71 (70.30) | 1.941 | 0.379 |
| E2 | 18 (51.43) | 18 (34.62) | 3 (23.08) | 39 (38.61) | 4.078 | 0.13 | |
| KPS ≥ 70 | 35 (97.22) | 37 (71.15) | 12 (92.31) | 84 (83.17) | 11.217 | 0.004 ** | |
| Tumor recurrence | 1 (2.78) | 11 (21.15) | 1 (7.69) | 13 (12.87) | 6.762 | 0.034 * |
Disclaimer/Publisher’s Note: The statements, opinions and data contained in all publications are solely those of the individual author(s) and contributor(s) and not of MDPI and/or the editor(s). MDPI and/or the editor(s) disclaim responsibility for any injury to people or property resulting from any ideas, methods, instructions or products referred to in the content. |
© 2023 by the authors. Licensee MDPI, Basel, Switzerland. This article is an open access article distributed under the terms and conditions of the Creative Commons Attribution (CC BY) license (https://creativecommons.org/licenses/by/4.0/).
Share and Cite
Jia, Y.; Cai, K.; Qiao, N.; Liu, F.; Wu, W.; Ru, S.; Xiao, Y.; Cao, L.; Gui, S. A Full View of Papillary Craniopharyngioma Based on Expanded Endonasal Approach: A Comprehensive Clinical Characterization of 101 Cases. J. Clin. Med. 2023, 12, 6551. https://doi.org/10.3390/jcm12206551
Jia Y, Cai K, Qiao N, Liu F, Wu W, Ru S, Xiao Y, Cao L, Gui S. A Full View of Papillary Craniopharyngioma Based on Expanded Endonasal Approach: A Comprehensive Clinical Characterization of 101 Cases. Journal of Clinical Medicine. 2023; 12(20):6551. https://doi.org/10.3390/jcm12206551
Chicago/Turabian StyleJia, Yanfei, Kefan Cai, Ning Qiao, Fangzheng Liu, Wentao Wu, Siming Ru, Youchao Xiao, Lei Cao, and Songbai Gui. 2023. "A Full View of Papillary Craniopharyngioma Based on Expanded Endonasal Approach: A Comprehensive Clinical Characterization of 101 Cases" Journal of Clinical Medicine 12, no. 20: 6551. https://doi.org/10.3390/jcm12206551
APA StyleJia, Y., Cai, K., Qiao, N., Liu, F., Wu, W., Ru, S., Xiao, Y., Cao, L., & Gui, S. (2023). A Full View of Papillary Craniopharyngioma Based on Expanded Endonasal Approach: A Comprehensive Clinical Characterization of 101 Cases. Journal of Clinical Medicine, 12(20), 6551. https://doi.org/10.3390/jcm12206551
