Positive Outcomes Following Cervical Acceleration-Deceleration (CAD) Injury Using Chiropractic BioPhysics® Methods: A Pre-Auto Injury and Post-Auto Injury Case Series
Abstract
:1. Introduction
2. Materials and Methods
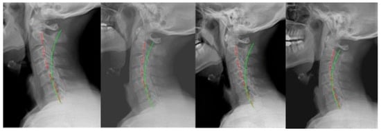
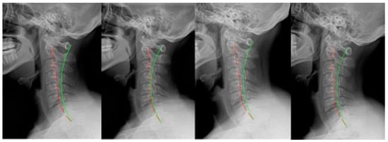
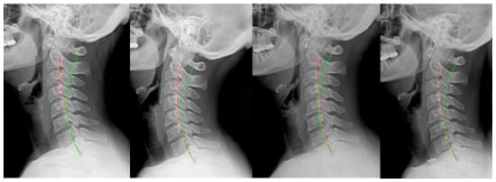
2.1. Case 1
2.2. Case 2
2.3. Case 3
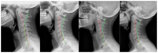
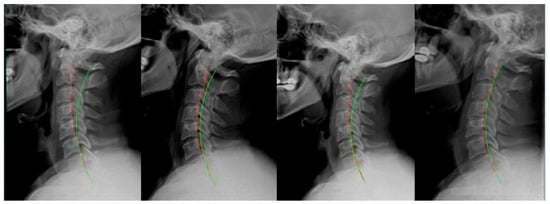
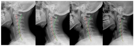
2.4. Case 4
2.5. Case 5
2.6. Case 6
2.7. Case 7
3. Results
4. Discussion
4.1. Limitations
4.2. Conclusions
Author Contributions
Funding
Institutional Review Board Statement
Informed Consent Statement
Data Availability Statement
Conflicts of Interest
References
- Spitzer, W.O.; Skovron, M.L.; Salmi, L.R.; Cassidy, J.D.; Duranceau, J.; Suissa, S.; Zeiss, E. Scientific monograph of the Quebec Task Force on Whiplash-Associated Disorders: Redefining “whiplash” and its management. Spine 1995, 20, 1S–73S. [Google Scholar]
- Grauer, J.N.; Panjabi, M.M.; Cholewicki, J.; Nibu, K.; Dvorak, J. Whiplash produces an S-shaped curvature of the neck with hyperextension at lower levels. Spine 1997, 22, 2489–2494. [Google Scholar] [CrossRef] [PubMed]
- Panjabi, M.M.; Pearson, A.M.; Ito, S.; Ivancic, P.C.; Wang, J.L. Cervical spine curvature during simulated whiplash. Clin. Biomech. 2004, 19, 1–9. [Google Scholar] [CrossRef] [PubMed]
- Ivancic, P.C.; Xiao, M. Understanding whiplash injury and prevention mechanisms using a human model of the neck. Accid. Anal. Prev. 2011, 43, 1392–1399. [Google Scholar] [CrossRef]
- Kristjansson, E.; Jónsson, H., Jr. Is the sagittal configuration of the cervical spine changed in women with chronic whiplash syndrome? A comparative computer-assisted radiographic assessment. J. Manip. Physiol. Ther. 2002, 25, 550–555. [Google Scholar] [CrossRef] [PubMed]
- Tuchin, P.J.; Marshall, D.L. Correlation of cervical lordosis measurement with incidence of motor vehicle accidents. Australas Chiropr. Osteopat. 1996, 5, 79–85. [Google Scholar]
- Kristjansson, E.; Gislason, M.K. Women with late whiplash syndrome have greatly reduced load-bearing of the cervical spine. In-vivo biomechanical, cross-sectional, lateral radiographic study. Eur. J. Phys. Rehabil. Med. 2018, 54, 22–33. [Google Scholar] [CrossRef]
- Kristjansson, E.; Leivseth, G.; Brinckmann, P.; Frobin, W. Increased sagittal plane segmental motion in the lower cervical spine in women with chronic whiplash-associated disorders, grades I–II: A case-control study using a new measurement protocol. Spine 2003, 28, 2215–2221. [Google Scholar]
- Stenneberg, M.S.; Rood, M.; de Bie, R.; Schmitt, M.A.; Cattrysse, E.; Scholten-Peeters, G.G. To What Degree Does Active Cervical Range of Motion Differ between Patients with Neck Pain, Patients with Whiplash, and Those without Neck Pain? A Systematic Review and Meta-Analysis. Arch. Phys. Med. Rehabil. 2017, 98, 1407–1434. [Google Scholar] [CrossRef]
- Norris, S.H.; Watt, I. The prognosis of neck injuries resulting from rear-end vehicle collisions. J. Bone Joint Surg. Br. 1983, 65, 608–611. [Google Scholar] [CrossRef]
- Hohl, M. Soft-tissue injuries of the neck in automobile accidents. Factors influencing prognosis. J. Bone Joint Surg. Am. 1974, 56, 1675–1682. [Google Scholar] [CrossRef] [PubMed]
- Scott, D.; Jull, G.; Sterling, M. Widespread sensory hypersensitivity is a feature of chronic whiplash-associated disorder but not chronic idiopathic neck pain. Clin. J. Pain 2005, 21, 175–181. [Google Scholar] [CrossRef] [PubMed]
- Field, S.; Treleaven, J.; Jull, G. Standing balance: A comparison between idiopathic and whiplash-induced neck pain. Man. Ther. 2008, 13, 183–191. [Google Scholar] [CrossRef]
- Fedorchuk, C.; Lightstone, D.F.; Comer, R.D.; Katz, E.; Wilcox, J. Improvements in Cervical Spinal Canal Diameter and Neck Disability Following Correction of Cervical Lordosis and Cervical Spondylolistheses Using Chiropractic BioPhysics Technique: A Case Series. J. Radiol. Case Rep. 2020, 14, 21–37. [Google Scholar] [CrossRef]
- Kamper, S.J.; Rebbeck, T.J.; Maher, C.G.; McAuley, J.H.; Sterling, M. Course and prognostic factors of whiplash: A systematic review and meta-analysis. Pain 2008, 138, 617–629. [Google Scholar] [CrossRef] [PubMed]
- Scholten-Peeters, G.G.; Verhagen, A.P.; Bekkering, G.E.; van der Windt, D.A.; Barnsley, L.; Oostendorp, R.A.; Hendriks, E.J. Prognostic factors of whiplash-associated disorders: A systematic review of prospective cohort studies. Pain 2003, 104, 303–322. [Google Scholar] [CrossRef] [PubMed]
- Rydman, E.; Elkan, P.; Eneqvist, T.; Ekman, P.; Järnbert-Pettersson, H. The significance of cervical sagittal alignment for nonrecovery after whiplash injury. Spine J. 2020, 20, 1229–1238. [Google Scholar] [CrossRef]
- Harrison, D.E.; Harrison, D.D.; Katz, E.; Ferrantelli, J.R.; Janik, T.J.; Holland, B. Abnormal Static Sagittal Cervical Curvatures Following Motor Vehicle Collisions: A retrospective case control of 41 subjects exposed to a motor vehicle collision. J. Chiro. Educ. 2007, 21, 108. [Google Scholar]
- Lee, S.H.; Son, E.S.; Seo, E.M.; Suk, K.S.; Kim, K.T. Factors determining cervical spine sagittal balance in asymptomatic adults: Correlation with spinopelvic balance and thoracic inlet alignment. Spine J. 2015, 15, 705–712. [Google Scholar] [CrossRef]
- Oakley, P.A.; Ehsani, N.N.; Moustafa, I.M.; Harrison, D.E. Restoring cervical lordosis by cervical extension traction methods in the treatment of cervical spine disorders: A systematic review of controlled trials. J. Phys. Ther. Sci. 2021, 33, 784–794. [Google Scholar] [CrossRef]
- Farrar, J.T.; Young, J.P., Jr.; LaMoreaux, L.; Werth, J.L.; Poole, M.R. Clinical importance of changes in chronic pain intensity measured on an 11-point numerical pain rating scale. Pain 2001, 94, 149–158. [Google Scholar] [CrossRef]
- Young, I.A.; Dunning, J.; Butts, R.; Mourad, F.; Cleland, J.A. Reliability, Construct Validity, and Responsiveness of the Neck Disability Index and Numeric Pain Rating Scale in Patients with Mechanical Neck Pain without Upper Extremity Symptoms. Physiother. Theory Pract. 2019, 35, 1328–1335. [Google Scholar] [CrossRef] [PubMed]
- Vernon, H.; Mior, S. The neck disability index: A study of reliability and validity. J. Manip. Physiol. Ther. 1991, 14, 409–415. [Google Scholar]
- MacDermid, J.C.; Walton, D.M.; Avery, S.; Blanchard, A.; Etruw, E.; McAlpine, C.; Goldsmith, C.H. Measurement properties of the neck disability index: A systematic review. J. Orthop. Sports Phys. Ther. 2009, 39, 400–417. [Google Scholar] [CrossRef] [PubMed]
- Fedorchuk, C.; Comer, R.D.; McRae, C.; Bak, D.; Lightstone, D.F. Validity of Radiographic Analyses Between Hand-Drawn and Computer- Aided Measurements: A Double-Blinded Test-Retest Trial. Curr. Med. Imaging 2023, 19, 1071–1078. [Google Scholar] [CrossRef]
- Janusz, P.; Tyrakowski, M.; Yu, H.; Siemionow, K. Reliability of cervical lordosis measurement techniques on long-cassette radiographs. Eur. Spine J. 2016, 25, 3596–3601. [Google Scholar] [CrossRef]
- Harrison, D.D.; Harrison, D.E.; Janik, T.J.; Cailliet, R.; Ferrantelli, J.R.; Haas, J.W.; Holland, B. Modeling of the sagittal cervical spine as a method to discriminate hypolordosis: Results of elliptical and circular modeling in 72 asymptomatic subjects, 52 acute neck pain subjects, and 70 chronic neck pain subjects. Spine 2004, 29, 2485–2492. [Google Scholar] [CrossRef] [PubMed]
- Braaf, M.M.; Rosne, R.S. Trauma of cervical spine as cause of chronic headache. J. Trauma 1975, 15, 441–446. [Google Scholar] [CrossRef] [PubMed]
- Nagasawa, A.; Sakakibara, T.; Takahashi, A. Roentgenographic findings of the cervical spine in tension-type headache. Headache 1993, 33, 90–95. [Google Scholar] [CrossRef]
- Fernández-de-las-Peñas, C.; Alonso-Blanco, C.; Cuadrado, M.L.; Pareja, J.A. Forward head posture and neck mobility in chronic tension-type headache: A blinded, controlled study. Cephalalgia 2006, 26, 314–319. [Google Scholar] [CrossRef]
- Vernon, H.; Steiman, I.; Hagino, C. Cervicogenic dysfunction in muscle contraction headache and migraine: A descriptive study. J. Manip. Physiol. Ther. 1992, 15, 418–429. [Google Scholar]
- Ferracini, G.N.; Chaves, T.C.; Dach, F.; Bevilaqua-Grossi, D.; Fernández-De-Las-Peñas, C.; Speciali, J.G. Analysis of the cranio-cervical curvatures in subjects with migraine with and without neck pain. Physiotherapy 2017, 103, 392–399. [Google Scholar] [CrossRef] [PubMed]
- Buell, T.J.; Buchholz, A.L.; Quinn, J.C.; Shaffrey, C.I.; Smith, J.S. Importance of sagittal alignment of the cervical spine in the management of degenerative cervical myelopathy. Neurosurg. Clin. N. Am. 2018, 29, 69–82. [Google Scholar] [CrossRef] [PubMed]
- Shamji, M.F.; Ames, C.P.; Smith, J.S.; Rhee, J.M.; Chapman, J.R.; Fehlings, M.G. Myelopathy and spinal deformity: Relevance of spinal alignment in planning surgical intervention for degenerative cervical myelopathy. Spine 2013, 38, S147–S148. [Google Scholar] [CrossRef] [PubMed]
- Mahmoud, N.F.; Hassan, K.A.; Abdelmajeed, S.F.; Moustafa, I.M.; Silva, A.G. The relationship between forward head posture and neck pain: A systematic review and meta-analysis. Curr. Rev. Musculoskelet. Med. 2019, 12, 562–577. [Google Scholar] [CrossRef] [PubMed]
- Panjabi, M.M.; White, A.A. Biomechanics in the Musculoskeletal System; Churchill Livingstone: Philadelphia, PA, USA, 2001. [Google Scholar]
- Adams, M.A.; Dolan, P. Time dependent changes in the lumbar spine’s resistance to bending. Clin. Biomech. 1996, 11, 194–200. [Google Scholar] [CrossRef]
- Oliver, M.J.; Twomey, L.T. Extension creep in the lumbar spine. Clin. Biomech. 1995, 10, 363–368. [Google Scholar] [CrossRef]
- Oh, C.; Lee, M.; Hong, B.; Song, B.S.; Yun, S.; Kwon, S.; Ko, Y.; Lee, S.Y.; Noh, C. Association between Sagittal Cervical Spinal Alignment and Degenerative Cervical Spondylosis: A Retrospective Study Using a New Scoring System. J. Clin. Med. 2022, 11, 1772. [Google Scholar] [CrossRef]
- Rydman, E.; Kasina, P.; Ponzer, S.; Järnbert-Pettersson, H. Association between cervical degeneration and self-perceived nonrecovery after whiplash injury. Spine J. 2019, 19, 1986–1994. [Google Scholar] [CrossRef]
- Moustafa, I.M.; Diab, A.; Shousha, T.; Raigangar, V.; Harrison, D.E. Sensorimotor integration, cervical sensorimotor control, and cost of cognitive-motor dual tasking: Are there differences in patients with chronic whiplash-associated disorders and chronic idiopathic neck pain compared to healthy controls? Eur. Spine J. 2022, 31, 3452–3461. [Google Scholar] [CrossRef]
- Gore, D.R. Roentgenographic findings in the cervical spine in asymptomatic persons: A ten-year follow-up. Spine 2001, 26, 2463–2466. [Google Scholar] [CrossRef] [PubMed]
- Peng, L.; Cooke, M.S. Fifteen-year reproducibility of natural head posture: A longitudinal study. Am. J. Orthod. Dentofac. 1999, 116, 82–85. [Google Scholar] [CrossRef] [PubMed]







| Case 1 | Case 2 | Case 3 | Case 4 | Case 5 | Case 6 | Case 7 | |
|---|---|---|---|---|---|---|---|
| Age (year) | 42 | 28 | 39 | 34 | 52 | 32 | 36 |
| Sex | M | F | M | F | M | F | M |
| Height (cm) | 185.4 | 154.9 | 182.9 | 170.2 | 190.5 | 162.6 | 175.3 |
| Weight (kg) | 74.8 | 81.6 | 99.8 | 74.8 | 88.5 | 63.5 | 86.2 |
| BMI (kg/m2) | 21.8 | 34 | 29.8 | 25.8 | 24.4 | 24 | 28.1 |
| First txt complaints | LBP | LBP, HA | NKP, LBP | NKP, LBP, HA | LBP | NKP | NKP, LBP, HA |
| Post-collision complaints | NKP, HA | NKP, HA | NKP, LBP | NKP, HA | NKP, LBP, HA | NKP, HA | NKP, LBP |
| Case 1 | Case 2 | Case 3 | Case 4 | Case 5 | Case 6 | Case 7 | Avg (SD) | ||
|---|---|---|---|---|---|---|---|---|---|
| Pre- rehab | ARA | −12.5° | −0.7° | −11.7° | −23.0° | −14.8° | −5.9° | −23.7° | −13.2° (8.4°) |
| TzH | 13.6 mm | 21.6 mm | 17.2 mm | 18.6 mm | 35.6 mm | 23.3 mm | 20.6 mm | 21.5 mm (7.0 mm) | |
| APL | −13.9° | −14.4° | −25.6° | −17.7° | −17.6° | −14.1° | −21.4° | −17.8° (4.4°) | |
| NDI | 0% | 0% | 18% | 52% | 0% | 30% | 62% | 23.1% (25.9%) | |
| Pain | 0/10 | 0/10 | 5/10 | 5/10 | 4/10 | 6/10 | 7/10 | 3.9/10 (2.8) | |
| HA pain | 0/10 | 4/10 | 0/10 | 7/10 | 0/10 | 0/10 | 3–4/10 | * 4.8/10 (1.9) | |
| Txt details | No./time | 35/9 w | 35/9 w | 23/6 w | 35/9 w | 35/9 w | 35/9 w | 47/12 w | 35/9 w |
| Post- rehab | ARA | −37.6° | −26.3° | −36.0° | −36.6° | −35.4° | −31.7° | −29.8° | −33.3° (4.2°) |
| TzH | 8.1 mm | 18.3 mm | 1.9 mm | 9.2 mm | 16.6 mm | 17.2 mm | 12 mm | 11.9 mm (6.0 mm) | |
| APL | −23.9° | −27.3° | −34.0° | −28.3° | −28.4° | −25.7° | −25.1° | −27.5° (3.3°) | |
| NDI | 0% | 0% | 2% | 8% | 0% | 10% | 16% | 5.1% (6.3%) | |
| Pain | 0/10 | 0/10 | 0/10 | 2/10 | 1/10 | 0/10 | 1.5/10 | 0.6/10 (0.9) | |
| HA pain | 0/10 | 0/10 | 0/10 | 0/10 | 0/10 | 0/10 | 0/10 | 0/10 (0.0) |
| Case 1 | Case 2 | Case 3 | Case 4 | Case 5 | Case 6 | Case 7 | Avg (SD) | ||
|---|---|---|---|---|---|---|---|---|---|
| Pre- MVC (Post-rehab) | ARA | −37.6° | −26.3° | −36.0° | −36.6° | −35.4° | −31.7° | −29.8° | −33.3° (4.2°) |
| TzH | 8.1 mm | 18.3 mm | 1.9 mm | 9.2 mm | 16.6 mm | 17.2 mm | 12.0 mm | 11.9 mm (6.0 mm) | |
| APL | −23.9° | −27.3° | −34.0° | −28.3° | −28.4° | −25.7° | −25.1° | −27.5° (3.3°) | |
| NDI | 0% | 0% | 2% | 8% | 0% | 10% | 16% | 5.1% (6.3%) | |
| Pain | 0/10 | 0/10 | 0/10 | 2/10 | 1/10 | 0/10 | 1–2/10 | 0.6/10 (0.9) | |
| HA pain | 0/10 | 0/10 | 0/10 | 0/10 | 0/10 | 0/10 | 0/10 | 0/10 (0) | |
| Time lapse | Year, month | 7 years, 7 months | 5 years, 5 months | 1 year | 3 years, 4 months | 3 years, 6 months | 2 years, 1 months | 3 years, 3 months | 3 years, 9 months |
| Post- MVC (Pre-2nd rehab) | ARA | −17.7° | +9.1° | −20.3° | −18.1° | −15.4° | −17.3° | −22.2° | −14.6° (10.7°) |
| TzH | 18.7 mm | 26.6 mm | 11.3 mm | 12.8 mm | 36.4 mm | 21.2 mm | 20.9 mm | 21.1 mm (8.5 mm) | |
| APL | −10.6° | −7.4° | −23.3° | −14.8° | −12.8° | −25.5° | −18.7° | −16.2° (6.7°) | |
| NDI | 26% | 26% | 22% | 48% | 40% | 36% | 52% | 35.7% (11.6%) | |
| Pain | 7/10 | 8/10 | 3.5/10 | 6/10 | 5/10 | 5/10 | 7/10 | 5.9/10 (1.5) | |
| HA pain | 7.5/10 | 2.5/10 | 0/10 | 6/10 | 7.5/10 | 2.5/10 | 0/10 | * 5.2/10 (2.5) |
| Case 1 | Case 2 | Case 3 | Case 4 | Case 5 | Case 6 | Case 7 | Avg (SD) | ||
|---|---|---|---|---|---|---|---|---|---|
| Post- MVC (Pre-2nd rehab) | ARA | −17.7° | +9.1° | −20.3° | −18.1° | −15.4° | −17.3° | −22.2° | −14.6° (10.7°) |
| TzH | 18.7 mm | 26.6 mm | 11.3 mm | 12.8 mm | 36.4 mm | 21.2 mm | 20.9 mm | 21.1 mm (8.5 mm) | |
| APL | −10.6° | −7.4° | −23.3° | −14.8° | −12.8° | −25.5° | −18.7° | −16.2° (6.7°) | |
| NDI | 26% | 26% | 22% | 48% | 40% | 36% | 52% | 35.7% (11.6%) | |
| Pain | 7/10 | 8/10 | 3.5/10 | 6/10 | 5/10 | 5/10 | 7/10 | 5.9/10 (1.5) | |
| HA pain | 7.5/10 | 2.5/10 | 0/10 | 6/10 | 7.5/10 | 2.5/10 | 0/10 | * 5.2/10 (2.5) | |
| Txt details | No./time | 23/6 w | 51/13 w | 23/6 w | 23/6 w | 35/9 w | 36/9 w | 51/13 w | 34.6/8.9 w |
| Post- MVC rehab | ARA | −30.0° | −14.0° | −37.8° | −28.6° | −35.1° | −32.7° | −30.0° | −29.7° (7.7°) |
| TzH | 11.7 mm | 10.3 mm | −3.7 mm | 15.5 mm | 11.8 mm | 13.9 mm | 11.6 mm | 10.2 mm (6.3 mm) | |
| APL | −20.1° | −21.9° | −36.1° | −19.1° | −23.9° | −35.0° | −29.8° | −26.6° (7.1°) | |
| NDI | 0% | 8% | 10% | 22% | 20% | 12% | 12% | 12% (7.4%) | |
| Pain | 1.5/10 | 0/10 | 0.5/10 | 1/10 | 0.5/10 | 1/10 | 0.5/10 | 0.6/10 (0.5) | |
| HA pain | 0/10 | 0/10 | 0/10 | 0/10 | 0/10 | 0/10 | 0/10 | 0/10 (0.0) |
Disclaimer/Publisher’s Note: The statements, opinions and data contained in all publications are solely those of the individual author(s) and contributor(s) and not of MDPI and/or the editor(s). MDPI and/or the editor(s) disclaim responsibility for any injury to people or property resulting from any ideas, methods, instructions or products referred to in the content. |
© 2023 by the authors. Licensee MDPI, Basel, Switzerland. This article is an open access article distributed under the terms and conditions of the Creative Commons Attribution (CC BY) license (https://creativecommons.org/licenses/by/4.0/).
Share and Cite
Norton, T.C.; Oakley, P.A.; Haas, J.W.; Harrison, D.E. Positive Outcomes Following Cervical Acceleration-Deceleration (CAD) Injury Using Chiropractic BioPhysics® Methods: A Pre-Auto Injury and Post-Auto Injury Case Series. J. Clin. Med. 2023, 12, 6414. https://doi.org/10.3390/jcm12196414
Norton TC, Oakley PA, Haas JW, Harrison DE. Positive Outcomes Following Cervical Acceleration-Deceleration (CAD) Injury Using Chiropractic BioPhysics® Methods: A Pre-Auto Injury and Post-Auto Injury Case Series. Journal of Clinical Medicine. 2023; 12(19):6414. https://doi.org/10.3390/jcm12196414
Chicago/Turabian StyleNorton, Tim C., Paul A. Oakley, Jason W. Haas, and Deed E. Harrison. 2023. "Positive Outcomes Following Cervical Acceleration-Deceleration (CAD) Injury Using Chiropractic BioPhysics® Methods: A Pre-Auto Injury and Post-Auto Injury Case Series" Journal of Clinical Medicine 12, no. 19: 6414. https://doi.org/10.3390/jcm12196414
APA StyleNorton, T. C., Oakley, P. A., Haas, J. W., & Harrison, D. E. (2023). Positive Outcomes Following Cervical Acceleration-Deceleration (CAD) Injury Using Chiropractic BioPhysics® Methods: A Pre-Auto Injury and Post-Auto Injury Case Series. Journal of Clinical Medicine, 12(19), 6414. https://doi.org/10.3390/jcm12196414

