Sign in to use this feature.

Years

Between: -

Subjects

remove_circle_outline
remove_circle_outline
remove_circle_outline
remove_circle_outline
remove_circle_outline
remove_circle_outline
remove_circle_outline

Journals

Article Types

Countries / Regions

Search Results (64)

Search Parameters:
Keywords = cervical lordosis

Order results
Result details
Results per page
Select all
Export citation of selected articles as:
12 pages, 1759 KB  
Communication
Cervical Spine Degeneration in Rugby Players: Position-Specific Differences in Radiographic and Clinical Outcomes Among 64 Brazilian Athletes
by Matheus Neves Castanheira, Yoshinobu Nagasse, Michel Kanas, Nelson Astur, Délio Eulálio Martins Filho, Felipe Neves Simões Monteiro and Marcelo Wajchenberg
J. Funct. Morphol. Kinesiol. 2026, 11(1), 43; https://doi.org/10.3390/jfmk11010043 - 20 Jan 2026
Viewed by 105
Abstract
Background: Rugby exposes athletes to high mechanical loads, especially during scrums and tackles, potentially predisposing players to early cervical spine degeneration. This study evaluated the prevalence of degenerative changes in the cervical spine and sagittal alignment alterations in Brazilian rugby athletes, with secondary [...] Read more.
Background: Rugby exposes athletes to high mechanical loads, especially during scrums and tackles, potentially predisposing players to early cervical spine degeneration. This study evaluated the prevalence of degenerative changes in the cervical spine and sagittal alignment alterations in Brazilian rugby athletes, with secondary analyses comparing forwards and backs and examining associations between alignment parameters and pain and disability. Methods: Sixty-four professional rugby athletes underwent cervical spine radiography, and the images were analyzed for degenerative findings and sagittal parameters (cervical lordosis, T1 slope, cervical sagittal vertical axis, and T1–CL mismatch). Pain and disability were assessed using the Visual Analogue Scale (VAS) and Neck Disability Index (NDI). Comparative analyses included Student’s t-test and Fisher’s exact test, while additional exploratory analyses were performed using correlation and multiple linear regression models. Results: Cervical degeneration was present in 20.3% of players. Forwards reported significantly greater pain than backs (VAS: 1.64 ± 1.58 vs. 0.76 ± 0.93; p = 0.007). Deviations in cervical lordosis (>2 SD from normative values) were associated with higher VAS scores (p = 0.024). No significant associations were found between T1 slope or cervical sagittal vertical axis and pain or disability. Conclusions: Forwards demonstrated greater symptom burden and a higher prevalence of cervical degenerative changes, suggesting that positional demands may contribute to early cervical spine alterations. These findings highlight the need for targeted preventive strategies and support future longitudinal investigations to clarify the progression and clinical relevance of cervical misalignment in collision-sport athletes. Full article
(This article belongs to the Section Athletic Training and Human Performance)
Show Figures

Figure 1

15 pages, 1994 KB  
Article
Sagittal Alignment Reciprocal Changes After Thoracolumbar/Lumbar Anterior Vertebral Body Tethering
by Taha Furkan Yağcı, Serkan Bayram, Murat Korkmaz, Şahin Karalar, Adem Bayraktar, Gökhan Bayrak and Turgut Akgül
J. Clin. Med. 2026, 15(2), 447; https://doi.org/10.3390/jcm15020447 - 6 Jan 2026
Viewed by 179
Abstract
Background/Objective: The anterior vertebral body tethering (AVBT) technique, which preserves spinal mobility and avoids possible fusion problems in adolescent idiopathic scoliosis (AIS) patients, continues to be increasingly used in spine surgery. The study aims to report the early-to-early-mid postoperative radiological results of thoracolumbar/lumbar [...] Read more.
Background/Objective: The anterior vertebral body tethering (AVBT) technique, which preserves spinal mobility and avoids possible fusion problems in adolescent idiopathic scoliosis (AIS) patients, continues to be increasingly used in spine surgery. The study aims to report the early-to-early-mid postoperative radiological results of thoracolumbar/lumbar AVBT on sagittal alignment, and the second aim is to compare AVBT with selective thoracic fusion (STF) and non-selective fusion (NSF) groups in AIS patients. Methods: Patients with a diagnosis of AIS were retrospectively evaluated in the study. All patients were categorized into three groups based on the surgical technique performed: AVBT (n = 17), NSF (n = 19), and STF (n = 15). The major curvature degree, coracoid height difference (CHD), sacral slope (SS), pelvic tilt (PT), pelvic incidence (PI), lumbar lordosis (LL), thoracic kyphosis (TK), cervical lordosis (CL), C7 tilt, sagittal vertical axis (SVA), T1 pelvic angle (TPA), and T1 spinopelvic inclination (T1SPI) were measured for radiological comparison. Scoliosis Research Society-22 (SRS-22) and Oswestry Disability Index (ODI) scores were used at the final follow-up for functional evaluation. Results: The T1SPI value of the NSF group was significantly higher than the STF group in the final follow-up (p = 0.033). The mean decrease of 8.85 ± 7.85 units in the final follow-up value compared to the postoperative CHD value of the patients in the AVBT group was found to be significant (p = 0.028). Statistically significant differences were found between preoperative and the first postoperative CL and TPA measurements (p = 0.001 and p = 0.042, respectively), as well as between preoperative and final follow-up CL measurements in the AVBT group (p = 0.001). No statistically significant differences were observed between the groups in CHD, SS, PT, PI, LL, TK, CL, C7 tilt, SVA, and TPA values (p > 0.05); similarly, the SRS-22 and ODI scores did not differ significantly among the groups (p > 0.05). Conclusions: Thoracolumbar/lumbar AVBT surgery led to significant improvements in shoulder asymmetry and cervical lordosis of AIS patients in the early to early-mid postoperative period. However, compared with spinal fusion techniques, thoracolumbar/lumbar AVBT did not demonstrate superiority in functional scores or sagittal parameters. The mid- to long-term benefits of thoracolumbar/lumbar AVBT remain uncertain and require further investigation. Full article
(This article belongs to the Section Orthopedics)
Show Figures

Figure 1

13 pages, 1995 KB  
Article
How Can We Prevent Postoperative Kyphosis in Cervical Laminoplasty?
by Efecan Erisken, Selin Bozdag, Ismail Ertan Sevin and Hasan Kamil Sucu
Medicina 2026, 62(1), 58; https://doi.org/10.3390/medicina62010058 - 28 Dec 2025
Viewed by 239
Abstract
Background and Objectives: This study aimed to evaluate changes in cervical sagittal alignment after open-door laminoplasty and identify any specific preventable risk factors associated with postoperative kyphotic deformity. Materials and Methods: We retrospectively reviewed patients who underwent open-door laminoplasty for degenerative cervical stenosis [...] Read more.
Background and Objectives: This study aimed to evaluate changes in cervical sagittal alignment after open-door laminoplasty and identify any specific preventable risk factors associated with postoperative kyphotic deformity. Materials and Methods: We retrospectively reviewed patients who underwent open-door laminoplasty for degenerative cervical stenosis between 2018 and 2021. Radiological assessment included pre- and postoperative C2–C7 Cobb angles, cervical alignment categories (lordosis, straight, sigmoid, kyphosis), and K-line status. Early postoperative CT scans were analyzed for lamina fractures and facet joint disturbances. Clinical and demographic data, as well as surgical variables such as C3 involvement, were also recorded. Results: Among 78 patients with available pre- and postoperative MRI images (mean age 56.5 ± 11.2 years; 42.3% female), the mean cervical lordosis decreased significantly from 8.78 ± 13.75° to 6.49 ± 13.82° (p = 0.024). Loss of lordosis was strongly associated with facet disturbance at the cranial-most operated level (p = 0.036), inclusion of C3 in laminoplasty (p = 0.031), and cranial-most lamina fractures (p = 0.004) in univariate analyses. However, in the multivariate logistic regression model, only the uppermost facet disturbance was identified as the independent risk factor for postoperative kyphotic change (OR 4.62, p = 0.039). C3 involvement and lamina fracture lost significance after adjustment, likely reflecting collinearity with facet injury at the cranial level. Other demographic or technical variables were not found to be statistically significant predictors. Conclusions: Postoperative sagittal alignment after laminoplasty is influenced by surgical complications at the cranial levels. A novel predictor—uppermost facet disturbance—emerged as a significant contributor to loss of lordosis. Preservation of these structures represents a practical strategy to reduce postoperative kyphotic drift. Prospective multicenter validation of the present study’s findings is warranted. Full article
(This article belongs to the Section Orthopedics)
Show Figures

Figure 1

13 pages, 3375 KB  
Case Report
Post-MVC Cervical Kyphosis Deformity Reduction Using Chiropractic BioPhysics Protocols: 1-Year Follow-Up Case Report
by Nicholas J. Smith, Thomas J. Woodham and Miles O. Fortner
Healthcare 2025, 13(19), 2459; https://doi.org/10.3390/healthcare13192459 - 28 Sep 2025
Viewed by 3200
Abstract
Background/Objectives: This case represents the successful treatment of cervical spine injury from high-speed rear-impact motor vehicle collision and abnormal cervical kyphosis with left arm radiculopathy, utilizing conservative spine care rehabilitation methods. This patient was treated with a multimodal treatment approach integrating a cervical [...] Read more.
Background/Objectives: This case represents the successful treatment of cervical spine injury from high-speed rear-impact motor vehicle collision and abnormal cervical kyphosis with left arm radiculopathy, utilizing conservative spine care rehabilitation methods. This patient was treated with a multimodal treatment approach integrating a cervical spine extension traction protocol. Subject and Methods: A 50-year-old male with a history of motor vehicle collision presented with left arm radiculopathy, as well as cervical and upper thoracic spine pain. Notably the cervical spine presented with kyphotic deformity. The patient presented, after a being struck during a rear-end motor vehicle collision, with neck, upper back, and left arm radiculopathy. Prescription medication and traditional chiropractic care proved ineffective for substantive symptom and quality-of-life improvement. Treatment frequency was three times per week for eight weeks using the Chiropractic Biophysics® protocol of mirror image (MI®) postural exercise, spinal adjustment, and cervical spinal traction. On completion of in-office care, the patient was treated monthly, performed home care at least three times per week, and was re-examined at one year. Results: Final examination after eight weeks of care showed significant improvement in cervical lordosis (21.8 degrees), resulting in reduced cervical kyphosis. The patient completed outcome indices before, during, and 12 months after cessation of active care, all indicating improvement. Conclusions: This case report demonstrates both subjective and objective improvement in cervical spine kyphosis and attendant symptoms. The successful treatment of chronic pain, peripheral weakness, and radiculopathy with long-term follow-up using CBP care is documented as well. The treatment was designed to improve sagittal balance and reduce radiographic abnormalities evincing spinal misalignment. Administration of subjective, objective, and health-related quality-of-life outcome indices during, following, and 12 months post-treatment are suggestive of long-term efficacy of Chiropractic BioPhysics® (CBP) treatment methods. Larger studies are needed to substantiate this given the limitations of a case report. Full article
Show Figures

Figure 1

15 pages, 4216 KB  
Systematic Review
Comparative Outcomes of 1-Level vs. 2-Level Anterior Cervical Discectomy and Fusion: A Systematic Review and Meta-Analysis
by Joseph E. Nassar, Ashley Knebel, Manjot Singh, Michael J. Farias, Nicolas L. Carayannopoulos, Zvipo M. Chisango, Negin Fani, Mohammad Daher, Eren O. Kuris, Bassel G. Diebo and Alan H. Daniels
J. Clin. Med. 2025, 14(19), 6788; https://doi.org/10.3390/jcm14196788 - 25 Sep 2025
Viewed by 1479
Abstract
Background/Objectives: Cervical spine disease requiring surgical intervention is a major cause of disability. Anterior cervical discectomy and fusion (ACDF) is a well-established procedure for treating cervical pathology; however, there remains no consensus on whether 1-level versus 2-level ACDF yields comparable outcomes. This [...] Read more.
Background/Objectives: Cervical spine disease requiring surgical intervention is a major cause of disability. Anterior cervical discectomy and fusion (ACDF) is a well-established procedure for treating cervical pathology; however, there remains no consensus on whether 1-level versus 2-level ACDF yields comparable outcomes. This study compares 1-level versus 2-level ACDF by evaluating surgery-related and postoperative outcomes, radiographic parameters, and patient-reported outcome measures (PROMs). Methods: PubMed, Embase, Scopus, and Cochrane Library were searched through 10 July 2024. Studies comparing 1-level with 2-level ACDF were included. Data on operating room (OR) time, estimated blood loss (EBL), length of hospital stay (LOS), complications, and PROMs, including Neck Disability Index (NDI) and Visual Analogue Scale (VAS) for neck and arm pain, were extracted. Results: Thirteen studies met our inclusion criteria, comprising 2091 patients (1078 undergoing 1-level and 1013 2-level ACDF). No statistically significant differences were observed in EBL or LOS between the cohorts. However, the 2-level ACDF group showed significantly longer OR times (p-value < 0.001) and higher odds of developing dysphagia (p-value = 0.05). Patients undergoing 2-level ACDF showed greater correction in cervical lordosis. Both cohorts reported similar statistically and clinically significant improvements in VAS neck and NDI scores at final follow-up. There was no difference in adjacent segment disease or revision surgery at final follow-up. Conclusions: Both 1-level and 2-level ACDF improve clinical and radiographic outcomes. The choice should be tailored to the patient’s pathology and anatomy while considering the higher dysphagia risk with additional fusion levels. This study highlights the importance of individualized surgical planning to optimize postoperative outcomes while minimizing complications. Full article
(This article belongs to the Section Orthopedics)
Show Figures

Figure 1

20 pages, 2190 KB  
Article
Anatomy-Based Assessment of Spinal Posture Using IMU Sensors and Machine Learning
by Rabia Koca and Yavuz Bahadır Koca
Sensors 2025, 25(19), 5963; https://doi.org/10.3390/s25195963 - 25 Sep 2025
Cited by 2 | Viewed by 3224
Abstract
Background: This study used inertial measurement unit (IMU)-based posture angle estimates to define proxy risk labels and investigated whether these labels can be predicted from demographic, anthropometric, and lifestyle variables through machine learning analysis. Methods: Thirty healthy individuals aged 18–25 years were included. [...] Read more.
Background: This study used inertial measurement unit (IMU)-based posture angle estimates to define proxy risk labels and investigated whether these labels can be predicted from demographic, anthropometric, and lifestyle variables through machine learning analysis. Methods: Thirty healthy individuals aged 18–25 years were included. Demographic and anthropometric data and information on daily living activities were collected. The IMU sensors were placed at vertebral levels C1, C7, T5, T12, and L5. Participants were instructed to stand in an upright posture, followed by a relaxed daily posture. Anatomic postural changes between these positions were analyzed. Cervical lordosis, thoracic kyphosis, lumbar lordosis, and scoliosis risks were predicted using machine learning algorithms, including Random Forest (RF) and Artificial Neural Networks (ANN). Results: Incorrect postures during desk work and phone use were associated with an increased likelihood of posture-related deviations, such as cervical lordosis, thoracic kyphosis, and lumbar lordosis. Conversely, daily physical activity reduced these deviations. Using LOSO and stratified cross-validation with imbalance handling, balanced accuracies ranged between 0.55 and 0.82 across targets, with majority-class baselines between 0.53 and 0.87. For cervical lordosis risk, RF achieved a 0.82 balanced accuracy (95% CI: 0.74–0.97), while other categories showed a moderate but consistent performance. AUPRC values exceeded baseline levels across all models. Conclusions: IMU-based posture angle estimates can be used to identify posture-related risk categories. In this study, ML models have demonstrated predictive relationships with demographic, anthropometric, and lifestyle variables. These findings provide exploratory evidence based on IMU-derived proxy labels in a small cohort of healthy young adults. They represent exploratory indicators of postural deviation rather than clinical outcomes and may motivate future studies on preventive strategies. Importantly, the results remain underpowered relative to the a priori power targets and should be interpreted qualitatively. Full article
Show Figures

Graphical abstract

13 pages, 990 KB  
Article
Spinal Sagittal Alignment Assessment and Hip Range of Motion in Ambulatory Boys with Duchenne Muscular Dystrophy: Reliability, Diagnosis and Implications for Physiotherapy Management
by Agnieszka Stępień, Katarzyna Maślanko, Weronika Kruk-Majtyka and Grzegorz Gargas
Healthcare 2025, 13(19), 2392; https://doi.org/10.3390/healthcare13192392 - 23 Sep 2025
Viewed by 998
Abstract
Background/Objectives: Duchenne muscular dystrophy (DMD) leads to postural abnormalities and increased lumbar lordosis, which may affect gait and spinal load. This study aimed to assess the reliability of sagittal spinal curvature measurements using the Rippstein plurimeter and to analyze spinal curvature in ambulant [...] Read more.
Background/Objectives: Duchenne muscular dystrophy (DMD) leads to postural abnormalities and increased lumbar lordosis, which may affect gait and spinal load. This study aimed to assess the reliability of sagittal spinal curvature measurements using the Rippstein plurimeter and to analyze spinal curvature in ambulant boys with DMD compared to healthy peers. Additionally, the study examined the effect of lower limb positioning in standing on sagittal spinal alignment in boys with DMD and investigated the relationship between hip adduction and extension range and spinal alignment. Methods: The study included 42 boys with DMD and 36 healthy peers aged 5–14 years. In boys with DMD, spinal curvature was measured using the Rippstein plurimeter in two positions: feet in alignment with hip joints axis and with feet together. In healthy participants, measurements were taken in the first position only. Hip adduction and extension ranges were also assessed in both groups. Results: Plurimeter measurements demonstrated high reliability. Boys with DMD showed significantly increased cervical retraction, greater sternal deviation from the vertical, and increased lumbar lordosis compared to healthy peers. Lower limb positioning (adduction) altered sagittal spinal alignment. Hip adduction and extension ranges were decreased in the DMD group and showed a correlation with spinal alignment. Conclusions: The Rippstein plurimeter provides reliable measurements and is useful for monitoring posture in boys with DMD. Reduced hip mobility and lower limb positioning influence lumbar lordosis and should be considered in physiotherapy planning for DMD. Full article
Show Figures

Figure 1

11 pages, 2090 KB  
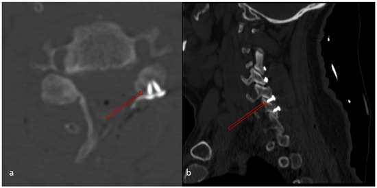
Article
Comparison of Radiography with Computed Tomography and Magnetic Resonance Imaging in the Measurement of Cervical Lordosis
by Ismail Ertan Sevin, Selin Bozdag, Efecan Erisken and Hasan Kamil Sucu
Medicina 2025, 61(9), 1654; https://doi.org/10.3390/medicina61091654 - 11 Sep 2025
Cited by 1 | Viewed by 1901
Abstract
Background and Objectives: The assessment of cervical lordosis is essential for surgical planning and outcome prediction in patients with cervical spine pathology. This study aims to evaluate the accuracy of cervical lordosis measurements obtained on supine CT and MRI relative to standing [...] Read more.
Background and Objectives: The assessment of cervical lordosis is essential for surgical planning and outcome prediction in patients with cervical spine pathology. This study aims to evaluate the accuracy of cervical lordosis measurements obtained on supine CT and MRI relative to standing lateral radiographs. Materials and Methods: In this retrospective review, 108 patients who underwent standing lateral radiographs, supine CT, and MRI within a 30-day period were identified. C2–C7 Cobb angles were measured on each modality. Using upright radiographs as the reference standard, the predictive capability of both supine CT and supine MRI in classifying kyphotic versus non-kyphotic alignment was calculated. Results: Standing radiographs demonstrated significantly greater lordosis than supine imaging, with mean paired differences of 6.2° versus CT and 5.0° versus MRI (both p < 0.001); however, strong correlations were observed (with CT: r = 0.75; with MRI: r = 0.72; both p < 0.001). Further, CT-based measurements predicted X-ray Cobb angles with an R2 value of 0.57 (estimated X-ray Cobb angle = 8.24 + 0.74 × (CT Cobb angle), β = 0.74, p < 0.001). MRI-based measurements yielded an R2 of 0.51 (estimated X-ray Cobb angle = 7.59 + 0.71 × (MRI Cobb angle), β = 0.71, p < 0.001). At threshold ≥ 0°, CT achieved a 100% NPV for excluding kyphosis on upright radiographs. MRI achieved an NPV of 100% when the Cobb angle was >1.20°. Conclusions: Supine CT and MRI systematically underestimate cervical lordosis but demonstrate strong predictive correlation with standing radiographs and reliably exclude true kyphotic alignment, with each achieving near-perfect NPV at defined thresholds. In cases where standing radiographs are unavailable or nondiagnostic, supine imaging modalities such as CT and/or MRI, where the cervical region appears nonkyphotic, can safely rule out cervical kyphosis and inform surgical planning; however, in cases where the cervical region appears kyphotic on CT and/or MRI, standing radiographs remain essential for accurate assessment. Full article
(This article belongs to the Section Neurology)
Show Figures

Figure 1

12 pages, 603 KB  
Article
Predictors of Implant Subsidence and Its Impact on Cervical Alignment Following Anterior Cervical Discectomy and Fusion: A Retrospective Study
by Rose Fluss, Alireza Karandish, Rebecca Della Croce, Sertac Kirnaz, Vanessa Ruiz, Rafael De La Garza Ramos, Saikiran G. Murthy, Reza Yassari and Yaroslav Gelfand
J. Clin. Med. 2025, 14(16), 5660; https://doi.org/10.3390/jcm14165660 - 10 Aug 2025
Cited by 1 | Viewed by 1223
Abstract
Background/Objectives: Anterior cervical discectomy and fusion (ACDF) is a common procedure for treating cervical spondylotic myelopathy. Limited research exists on the predictors of subsidence following ACDF. Subsidence can compromise surgical outcomes, alter alignment, and predispose patients to further complications, making it essential [...] Read more.
Background/Objectives: Anterior cervical discectomy and fusion (ACDF) is a common procedure for treating cervical spondylotic myelopathy. Limited research exists on the predictors of subsidence following ACDF. Subsidence can compromise surgical outcomes, alter alignment, and predispose patients to further complications, making it essential to prevent and understand it. This study aims to identify key risk factors for clinically significant subsidence and evaluate its impact on cervical alignment parameters in a large, diverse patient population. Methods: We conducted a retrospective review of patients who underwent ACDF between 2013 and 2022 at a single institution. Subsidence was calculated as the mean change in anterior and posterior disc height, with clinically significant subsidence being defined as three millimeters or more. Univariate analysis was followed by regression modeling to identify subsidence predictors and analyze patterns. Subgroup analyses stratified patients by implant type, number of levels fused, and cage material. Results: A total of 96 patients with 141 levels of ACDF met the inclusion criteria. Patients with significant subsidence were younger on average (52.44 vs. 55.94 years; p = 0.074). Those with less postoperative lordosis were more likely to experience significant subsidence (79.5% vs. 90.2%; p = 0.088). Patients with significant subsidence were more likely to have standalone implants (38.5% vs. 16.7%; p < 0.01), taller cages (6.62 mm vs. 6.18 mm; p < 0.05), and greater loss of segmental lordosis (7.33 degrees vs. 3.31 degrees; p < 0.01). Multivariate analysis confirmed that standalone implants were a significant independent predictor of subsidence (OR 2.679; p < 0.05), and greater subsidence was positively associated with loss of segmental lordosis (OR 1.089; p < 0.01). Subgroup analysis revealed that multi-level procedures had a higher incidence of subsidence (35.7% vs. 28.1%; p = 0.156), and PEEK cages demonstrated similar subsidence rates compared to titanium constructs (28.1% vs. 29.4%; p = 0.897). Conclusions: Standalone implants are the strongest independent predictor of significant subsidence, and those that experience subsidence also show greater loss of segmental lordosis, although not overall lordosis. These findings have implications for surgical planning, particularly in patients with borderline bone quality or requiring multi-level fusions. The results support the use of plated constructs in high-risk patients and emphasize the importance of individualized surgical planning based on patient-specific factors. Further research is needed to explore these findings and determine how they can be applied to improve ACDF outcomes. Full article
(This article belongs to the Special Issue Advances in Spine Surgery: Best Practices and Future Directions)
Show Figures

Figure 1

13 pages, 2071 KB  
Article
Exploratory Cluster-Based Radiographic Phenotyping of Degenerative Cervical Disorder: A Retrospective Study
by Si-Hyung Lew, Ye-Jin Jeong, Ye-Ri Roh and Dong-Ho Kang
Medicina 2025, 61(5), 916; https://doi.org/10.3390/medicina61050916 - 19 May 2025
Viewed by 999
Abstract
Background and Objectives: Degenerative cervical myelopathy (DCM), a major subtype of degenerative cervical disorders, presents with diverse sagittal alignment patterns. However, radiography-based phenotyping remains underexplored. This study aimed to identify distinct cervical alignment subgroups using unsupervised clustering analysis and to explore their [...] Read more.
Background and Objectives: Degenerative cervical myelopathy (DCM), a major subtype of degenerative cervical disorders, presents with diverse sagittal alignment patterns. However, radiography-based phenotyping remains underexplored. This study aimed to identify distinct cervical alignment subgroups using unsupervised clustering analysis and to explore their potential clinical relevance. Materials and Methods: We analyzed 1371 lateral cervical radiographs of patients with DCM. C3–C7 sagittal vertical axis (SVA), lordosis, vertical length, and curved length were determined. K-means clustering was applied, and the optimal cluster number was determined using the elbow method and silhouette analysis. Clustering validity was assessed using the Calinski–Harabasz and Davies–Bouldin indices. Results: The final clustering solution was validated with a high Calinski–Harabasz index (1171.70) and an acceptable Davies–Bouldin index (0.99) at k = 3, confirming the stability and robustness of the classification. Cluster 1 (forward-head type) exhibited low lordosis (8.3° ± 4.7°), moderate SVA (95.9 ± 60.2 mm), and a compact cervical structure, consistent with kyphotic alignment and forward-head displacement. Cluster 2 (normal) showed the highest lordosis (24.1° ± 6.8°), moderate SVA (70.6 ± 50.2 mm), and balanced sagittal alignment, indicating a biomechanically stable cervical posture. Cluster 3 (long-neck type) displayed the highest SVA (135.6 ± 76.7 mm), the longest vertical and curved lengths, and moderate lordosis, suggesting a structurally elongated cervical spine with anterior head displacement. Significant differences (p < 0.01) were observed across all clusters, confirming distinct phenotypic patterns in cervical sagittal alignment. Conclusions: This exploratory clustering analysis identified three distinct radiographic phenotypes of DCM, reflecting biomechanical heterogeneity. Although prospective studies linking these phenotypes to clinical outcomes are warranted, our findings provide a framework for personalized spinal care in the future. Full article
(This article belongs to the Special Issue Clinical Advances in Spine Surgery)
Show Figures

Figure 1

14 pages, 1610 KB  
Article
The Impact of Multilevel Anterior Cervical Discectomy and Fusion on Cervical Sagittal Alignment: A Comparative Study of Single-, Two-, and Three-Level Procedures
by Abdulkerim Gökoğlu, Hüseyin Yiğit, Kadirhan Doğan, Mehtap Nisari and Erdoğan Unur
J. Clin. Med. 2025, 14(10), 3413; https://doi.org/10.3390/jcm14103413 - 13 May 2025
Viewed by 3228
Abstract
Objectives: Cervical degenerative disc disease (CDD) significantly compromises patients’ quality of life through the induction of radiculopathy and myelopathy. This study endeavored to compare the clinical and radiological outcomes of anterior cervical discectomy and fusion (ACDF) in patients presenting with single-, two-, and [...] Read more.
Objectives: Cervical degenerative disc disease (CDD) significantly compromises patients’ quality of life through the induction of radiculopathy and myelopathy. This study endeavored to compare the clinical and radiological outcomes of anterior cervical discectomy and fusion (ACDF) in patients presenting with single-, two-, and three-level CDD. Methods: A retrospective analysis was conducted on 94 patients who underwent ACDF between December 2018 and December 2023. Patients were categorized into single-level (n = 36), two-level (n = 40), and three-level (n = 18) CDD groups. Preoperative and postoperative radiological (X-ray, MRI) and clinical (Japanese Orthopedic Association [JOA], Visual Analog Scale [VAS]) data were rigorously analyzed. Results: Statistically significant improvements in postoperative JOA and VAS scores were observed across all cohorts. Notably, the three-level CDD group exhibited a significantly lower JOA improvement rate compared to the single-level group (p = 0.040). All groups demonstrated a marked increase in cervical lordosis and disc height postoperatively (p < 0.05). Patients undergoing three-level ACDF presented with lower JOA scores than those undergoing single- or two-level procedures. Logistic regression analysis identified that the preservation of the disc height significantly correlated with a higher likelihood of achieving a greater JOA improvement. Conclusions: ACDF is established as a safe and efficacious surgical intervention for patients with single-, two-, and three-level CDD. The implementation of hybrid prostheses appears to be instrumental in maintaining lordosis in multilevel ACDF. Three-level ACDF is associated with diminished JOA improvement rates compared to single-level ACDF. Further longitudinal, multicenter investigations are warranted to validate these findings. Full article
(This article belongs to the Section General Surgery)
Show Figures

Graphical abstract

12 pages, 1918 KB  
Case Report
Improvement in Chronic Low Back and Intermittent Chronic Neck Pain, Disability, and Improved Spine Parameters Using Chiropractic BioPhysics® Rehabilitation After 5 Years of Failed Chiropractic Manipulation: A Case Report and 1-Year Follow-Up
by Katally Sanchez, Jason W. Haas, Paul A. Oakley and Deed E. Harrison
Healthcare 2025, 13(7), 814; https://doi.org/10.3390/healthcare13070814 - 3 Apr 2025
Viewed by 2929
Abstract
Background/Objectives: We present a case documenting the successful treatment for a patient with chronic low back pain (CLBP), chronic neck pain (CNP), and decreased quality of life improving after conservative therapy. CLBP has been the leading cause of disability globally for the past [...] Read more.
Background/Objectives: We present a case documenting the successful treatment for a patient with chronic low back pain (CLBP), chronic neck pain (CNP), and decreased quality of life improving after conservative therapy. CLBP has been the leading cause of disability globally for the past few decades, resulting in decreased quality of life physically and emotionally. This case is important in the medical literature to add to studies reporting successful conservative treatment of CLBP and CNP. Triage, diagnosis, and understanding of economical and conservative therapeutics can benefit patients; providers as well as institutions and third party payors benefit from improved outcomes. Methods: A 39-year old male presented with severe CLBP who had experienced no long-term success with prior chiropractic spinal manipulative therapy (SMT). After symptoms began to worsen in spite of receiving SMT, the patient sought treatment for his pain, abnormal spine alignment, and poor sagittal alignment at a local spine facility. History and physical examination demonstrated altered spine and postural alignment including significant forward head posture and reduced cervical and lumbar lordosis and coronal plane abnormalities. Treatment consisted of a multi-modal regimen focused on strengthening postural muscles, specific spine manipulation directed toward abnormal full-spine alignment, and specific Mirror Image® traction aiming to improve spine integrity by realigning the spine toward a more normal position. The treatment consisted of 36 treatments over three months. All original tests and outcome measures were repeated following care. Results: Objective and subjective outcome measures, patient-reported outcomes, and radiographic mensuration demonstrated improvement at the conclusion of treatment and maintained at 1-year follow-up re-examination. Conclusions: This case demonstrates that the CBP® orthopedic chiropractic treatment approach may represent an effective method to treat abnormal spinal alignment and posture. This study adds to the literature regarding conservative methods of treating spine pain and spinal disorders. Full article
Show Figures

Figure 1

15 pages, 7268 KB  
Article
The Effects of Combined Cervical and Scapular Stabilization Exercises on Muscle Tone, Pain, and Cervical Range of Motion in Cervical Extension Type: A Controlled Experimental Study
by Qiu-Shuo Tian, Xing-Han Zhou and Tae-Ho Kim
Appl. Sci. 2025, 15(5), 2385; https://doi.org/10.3390/app15052385 - 23 Feb 2025
Cited by 3 | Viewed by 14062
Abstract
Background: The prolonged use of smartphones may lead to cervical posture deformities and other associated issues. Among these conditions, cervical extension type is one of the most commonly observed, characterized by increased cervical lordosis, forward head posture, and thoracic kyphosis. These biomechanical changes [...] Read more.
Background: The prolonged use of smartphones may lead to cervical posture deformities and other associated issues. Among these conditions, cervical extension type is one of the most commonly observed, characterized by increased cervical lordosis, forward head posture, and thoracic kyphosis. These biomechanical changes may lead to neck pain, a restricted range of motion (ROM), and heightened cervical muscle tone. The purpose of this study was to evaluate the impact of combining cervical stabilization exercises with either scapular stabilization or thoracic exercises on the mechanical properties of cervical muscles, the pressure pain threshold (PPT), and the ROM in individuals with cervical extension type. Methods: This study included 32 subjects with cervical extension type who were randomly divided into two groups: 16 subjects were placed in either the cervical and scapular stabilization exercises group (CSG) or the cervical stabilization with thoracic exercises group (CTG). After four weeks of exercise intervention, the following assessments were conducted: measurement of muscle tone, stiffness, and elasticity of the sternocleidomastoid (SCM) and upper trapezius (UT) muscles using Myoton PRO; evaluation of the PPT of the SCM and UT muscles using a pressure pain threshold meter; and assessment of cervical ROM (extension, flexion, and rotation) using motion analysis equipment. Results: Both groups showed significant differences in muscle tone, stiffness, elasticity, PPT, and cervical ROM (p < 0.05). The PPT of the UT muscle was significantly improved in the CSG compared to the CTG (p < 0.05). Conclusions: There were significant improvements in muscle tone, stiffness, elasticity, pain, and cervical ROM after exercise intervention in both groups of subjects with cervical extension. Cervical stabilization exercises, along with scapular stabilization, have better effects on improving UT muscle pain. Full article
(This article belongs to the Special Issue Advances in Sports, Exercise and Health)
Show Figures

Figure 1

12 pages, 3597 KB  
Article
Biomechanical Changes in Kyphotic Cervical Spine After Anterior Cervical Discectomy and Fusion with Different Degrees of Correction
by Hongyu Chen, Xu Ma, Shengfa Pan, Li Zhang, Yanbin Zhao, Xin Chen, Yu Sun and Feifei Zhou
Bioengineering 2025, 12(3), 213; https://doi.org/10.3390/bioengineering12030213 - 20 Feb 2025
Cited by 1 | Viewed by 1791
Abstract
Cervical kyphosis is a debilitating disease, and its surgical treatment involves correction to restore sagittal alignment. Few studies have explored the appropriate degree of correction, and the biomechanical impact of correction on the cervical spine is still unclear. This study aimed to compare [...] Read more.
Cervical kyphosis is a debilitating disease, and its surgical treatment involves correction to restore sagittal alignment. Few studies have explored the appropriate degree of correction, and the biomechanical impact of correction on the cervical spine is still unclear. This study aimed to compare the biomechanical changes in the cervical spine after different degrees of correction by two-level anterior cervical discectomy and fusion (ACDF). Three-dimensional finite element (FE) models of the intact cervical spine (C2–C7) with normal physiological lordosis and kyphosis were constructed. Based on the kyphotic model, three two-level ACDF in C4–6 surgical models were developed: (1) non-correction: only the intervertebral heights were restored; (2) partial correction: the cervical curvature was adjusted to straighten; (3) complete correction: the cervical curvature was adjusted to physiological lordosis. A pure moment of 1.0 Nm combined with a follower load of 73.6 N was applied to the C2 vertebra to simulate flexion, extension, lateral bending, and axial rotation. The stress of vertical bodies and facet joints, intradiscal pressure (IDP), and the overall ROMs of all models were computed. The peak von Mises stress on the upper (C4) and lower (C6) instrumented vertebral bodies in the kyphotic model was greater than that of the physiological lordosis model, with the exception of C6 under lateral bending. The maximum stress was observed in C4 during lateral bending after complete correction, which increased by 145% compared to preoperative von Mises stress. For the middle (C5) instrumented vertebral body, the peak von Mises stress increased after surgery. The maximum stress was observed in partial correction during flexion. Compared to physiological lordosis, the peak von Mises stress on the facet joints in kyphotic segments was lower; however, it was higher in the adjacent segments, except C4/5 in extension. The stress on the facet joints in kyphotic segments decreased, with the most significant decrease observed in partial correction. The IDPs in adjacent segments, except for C6/7 in flexion, showed no significant difference before and after surgery. Additionally, correction seemed to have little impact on IDPs in adjacent segments. In conclusion, for the treatment of cervical kyphosis with two-level ACDF, complete correction resulted in the highest peak von Mises stress on the upper instrumented vertebral body. Partial correction mitigated von Mises stress within the facet joints in kyphotic segments, albeit at the expense of high von Mises stress on the middle instrumented vertebral body. Full article
(This article belongs to the Section Biomechanics and Sports Medicine)
Show Figures

Figure 1

15 pages, 932 KB  
Article
Targeted Motor Control Considering Sternal Position Improves Spinal Alignment in Pregnant Women at Risk for Preterm Birth with Low Back Pain
by Arkadiusz Łukasz Żurawski, Sun Young Ha, Grzegorz Świercz, Olga Adamczyk Gruszka and Wojciech Piotr Kiebzak
J. Clin. Med. 2024, 13(24), 7661; https://doi.org/10.3390/jcm13247661 - 16 Dec 2024
Cited by 3 | Viewed by 1941
Abstract
Background: Lumbopelvic pain (LBP) is a prevalent condition during pregnancy, affecting a significant proportion of pregnant women. It arises from hormonal, biomechanical, and postural changes, often exacerbating discomfort and impairing quality of life. This study aimed to evaluate the effects of targeted motor [...] Read more.
Background: Lumbopelvic pain (LBP) is a prevalent condition during pregnancy, affecting a significant proportion of pregnant women. It arises from hormonal, biomechanical, and postural changes, often exacerbating discomfort and impairing quality of life. This study aimed to evaluate the effects of targeted motor control interventions focusing on sternal alignment on spinal alignment, pain, and muscle activity in pregnant women at risk of preterm birth. Methods: This pre–post quasi-experimental study included 32 pregnant women at 28–32 weeks of gestation, who were hospitalized due to the risk of preterm birth. Inclusion criteria required participants to have LBP lasting at least two weeks and the ability to walk and stand for 40 min. The intervention involved targeted motor control exercises designed to optimize sternal and sacral alignment. Spinal alignment, pain intensity, and muscle activity were measured pre- and post-intervention using the DIERS formetric system, numerical rating scale (NRS), and electromyography (EMG), respectively. Data were analyzed using Wilcoxon signed-rank tests. Results: Significant improvements were observed in spinal alignment parameters, including reductions in the sternal angle, sacral angle, cervical and lumbar lordosis depths, thoracic kyphosis angle, and pelvic tilt (p < 0.05). Pain intensity decreased significantly from a mean NRS score of 5.77 ± 1.42 in the relaxed posture to 2.54 ± 0.71 in the corrected posture (p < 0.05). Muscle activity of the rhomboid muscles increased in the corrected posture, correlating with improved thoracic kyphosis, while activity of the serratus anterior muscle showed reductions (p < 0.05). Conclusions: Targeted motor control focusing on sternal alignment effectively improved spinal alignment and reduced pain in pregnant women at risk of preterm birth with LBP. The intervention offers a safe, non-invasive, and practical approach to managing pregnancy-related musculoskeletal challenges. Future research should validate these findings in diverse populations and explore long-term effects and broader clinical applications. Full article
(This article belongs to the Section Obstetrics & Gynecology)
Show Figures

Figure 1

Back to TopTop