The Effect of Adipose-Derived Mesenchymal Stem Cells on Peripheral Nerve Damage in a Rodent Model
Abstract
1. Introduction
2. Materials and Methods
2.1. Animals
2.2. Experimental Protocol
2.3. Isolation of Mesenchymal Stem Cells from Adipose Tissue
2.4. Mesenchymal Stem Cell Characterization
2.5. Surgical Procedure
2.6. Electrophysiological Recordings
2.7. Assessment of Motor Function via Inclined Plane Test
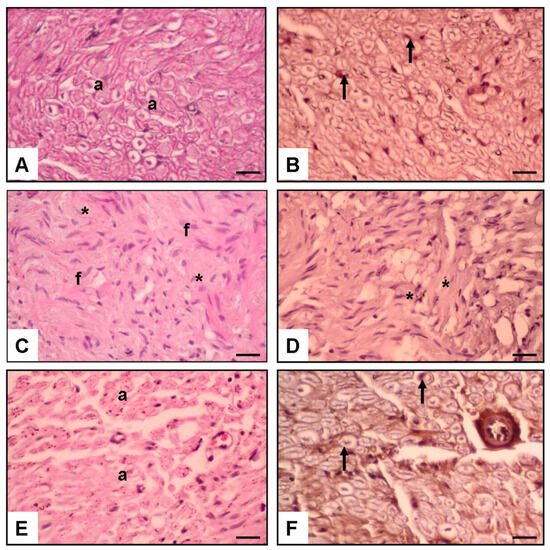
2.8. Histology and Quantitative Histochemistry
2.9. Nerve Biochemical Analysis
2.10. Determination of the Total Protein Concentration in the Supernatant
2.11. Statistical Analysis
3. Results
4. Discussion
4.1. Why Do We Use ADSCs?
4.2. NGF Expression
4.3. Syndecan-1 and HSP-70 Expression
4.4. MDA Effect in Nerve Damage
4.5. Effect of ADSCs on Nerve Axon
4.6. Effect of ADSC on Axon Conduction
4.7. Limitations
5. Conclusions
Author Contributions
Funding
Institutional Review Board Statement
Informed Consent Statement
Data Availability Statement
Conflicts of Interest
References
- Bunnell, B.A. Adipose Tissue-Derived Mesenchymal Stem Cells. Cells 2021, 10, 3433. [Google Scholar] [CrossRef] [PubMed]
- Evans, G.R. Peripheral nerve injury: A review and approach to tissue engineered constructs. Anat. Rec. 2001, 263, 396–404. [Google Scholar] [CrossRef] [PubMed]
- Taylor, C.A.; Braza, D.; Rice, J.B.; Dillingham, T. The incidence of peripheral nerve injury in extremity trauma. Am. J. Phys. Med. Rehabil. 2008, 87, 381–385. [Google Scholar] [CrossRef] [PubMed]
- González-Cubero, E.; González-Fernández, M.L.; Rodríguez-Díaz, M.; Palomo-Irigoyen, M.; Woodhoo, A.; Villar-Suárez, V. Application of adipose-derived mesenchymal stem cells in an in vivo model of peripheral nerve damage. Front. Cell. Neurosci. 2022, 16, 992221. [Google Scholar] [CrossRef]
- Yigitturk, G.; Erbas, O.; Karabay Yavasoglu, N.U.; Acikgoz, E.; Buhur, A.; Gokhan, A.; Gurel, C.; Gunduz, C.; Yavasoglu, A. The neuro-restorative effect of adipose-derived mesenchymal stem cell transplantation on a mouse model of diabetic neuropathy. Neurol. Res. 2022, 44, 156–164. [Google Scholar] [CrossRef]
- Du, Z.; Yin, S.; Song, X.; Zhang, L.; Yue, S.; Jia, X.; Zhang, Y. Identification of Differentially Expressed Genes and Key Pathways in the Dorsal Root Ganglion After Chronic Compression. Front. Mol. Neurosci 2020, 13, 71. [Google Scholar] [CrossRef]
- Jing, Z.; Jia-Jun, W.; Wei-Jie, Y. Phosphorylation of Dab2 is involved in inhibited VEGF-VEGFR-2 signaling induced by downregulation of syndecan-1 in glomerular endothelial cells. Cell Biol. Int. 2020, 44, 894–904. [Google Scholar] [CrossRef]
- Mouthon, M.A.; Morizur, L.; Dutour, L.; Pineau, D.; Kortulewski, T.; Boussin, F.D. Syndecan-1 Stimulates Adult Neurogenesis in the Mouse Ventricular-Subventricular Zone after Injury. iScience 2020, 23, 101784. [Google Scholar] [CrossRef]
- Hoter, A.; El-Sabban, M.E.; Naim, H.Y. The HSP90 Family: Structure, Regulation, Function, and Implications in Health and Disease. Int. J. Mol. Sci. 2018, 19, 2560. [Google Scholar] [CrossRef]
- Yu, F.; Tong, L.J.; Cai, D.S. Sevoflurane inhibits neuronal apoptosis and expressions of HIF-1 and HSP70 in brain tissues of rats with cerebral ischemia/reperfusion injury. Eur. Rev. Med. Pharmacol. Sci. 2020, 24, 5082–5090. [Google Scholar]
- Nan, J.; Hu, X.; Guo, B.; Xu, M.; Yao, Y. Inhibition of endoplasmic reticulum stress alleviates triple-negative breast cancer cell viability, migration, and invasion by Syntenin/SOX4/Wnt/β-catenin pathway via regulation of heat shock protein A4. Bioengineered 2022, 13, 10564–10577. [Google Scholar] [CrossRef] [PubMed]
- Zhang, Z.; Zhang, M.; Sun, Y.; Li, M.; Chang, C.; Liu, W.; Zhu, X.; Wei, L.; Wen, F.; Liu, Y. Effects of adipose-derived stem cells pretreated with resveratrol on sciatic nerve regeneration in rats. Sci. Rep. 2023, 13, 5812. [Google Scholar] [CrossRef] [PubMed]
- Colliander, R.; Alleman, K.; Diaz, M.; Jimenez, M.; King, P.; Mirpuri, P.; Cutler, C.; Lucke-Wold, B. Stem Cell Implants: Emerging Innovation for Stroke Recovery. J. Neuro Oncol. Res. 2023, 3, 3102. [Google Scholar]
- Ran, Z.; Zhang, Y.; Wen, X.; Ma, J. Curcumin inhibits high glucose-induced inflammatory injury in human retinal pigment epithelial cells through the ROS-PI3K/AKT/mTOR signaling pathway. Mol. Med. Rep. 2019, 19, 1024–1031. [Google Scholar] [CrossRef] [PubMed]
- Liu, G.; Cheng, Y.; Guo, S.; Feng, Y.; Li, Q.; Jia, H.; Wang, Y.; Tong, L.; Tong, X. Transplantation of adipose-derived stem cells for peripheral nerve repair. Int. J. Mol. Med. 2011, 28, 565–572. [Google Scholar] [PubMed]
- Murakami, K.; Tanaka, T.; Bando, Y.; Yoshida, S. Nerve injury induces the expression of syndecan-1 heparan sulfate proteoglycan in primary sensory neurons. Neuroscience 2015, 300, 338–350. [Google Scholar] [CrossRef]
- Pal-Ghosh, S.; Tadvalkar, G.; Stepp, M.A. Alterations in Corneal Sensory Nerves During Homeostasis, Aging, and After Injury in Mice Lacking the Heparan Sulfate Proteoglycan Syndecan-1. Invest. Ophthalmol. Vis. Sci. 2017, 58, 4959–4975. [Google Scholar] [CrossRef]
- Paveliev, M.; Hienola, A.; Jokitalo, E.; Planken, A.; Bespalov, M.M.; Rauvala, H.; Saarma, M. Sensory neurons from N-syndecan-deficient mice are defective in survival. Neuroreport 2008, 19, 1397–1400. [Google Scholar] [CrossRef]
- Gurkan, G.; Erdogan, M.A.; Yigitturk, G.; Erbas, O. The Restorative Effect of Gallic Acid on the Experimental Sciatic Nerve Damage Model. J. Korean Neurosurg. Soc. 2021, 64, 873–881. [Google Scholar] [CrossRef]
- Masgutov, R.; Masgutova, G.; Mullakhmetova, A.; Zhuravleva, M.; Shulman, A.; Rogozhin, A.; Syromiatnikova, V.; Andreeva, D.; Zeinalova, A.; Idrisova, K.; et al. Adipose-Derived Mesenchymal Stem Cells Applied in Fibrin Glue Stimulate Peripheral Nerve Regeneration. Front. Med. 2019, 6, 68. [Google Scholar] [CrossRef]
- Chang, W.; Song, B.W.; Lim, S.; Song, H.; Shim, C.Y.; Cha, M.J.; Ahn, D.H.; Jung, Y.G.; Lee, D.H.; Chung, J.H.; et al. Mesenchymal stem cells pretreated with delivered Hph-1-Hsp70 protein are protected from hypoxia-mediated cell death, and rescue heart functions from myocardial injury. Stem Cells 2009, 27, 2283–2292. [Google Scholar] [CrossRef]
- Matthay, M.A.; Thompson, B.T.; Read, E.J.; McKenna, D.H., Jr.; Liu, K.D.; Calfee, C.S.; Lee, J.W. Therapeutic potential of mesenchymal stem cells for severe acute lung injury. Chest 2010, 138, 965–972. [Google Scholar] [CrossRef]
- Goodarzi, P.; Larijani, B.; Alavi-Moghadam, S.; Tayanloo-Beik, A.; Mohamadi-Jahani, F.; Ranjbaran, N.; Payab, M.; Falahzadeh, K.; Mousavi, M.; Arjmand, B. Mesenchymal Stem Cells-Derived Exosomes for Wound Regeneration. In Cell Biology and Translational Medicine, Volume 4: Advances in Experimental Medicine and Biology; Turksen, K., Ed.; Springer: Cham, Switzerland, 2018; Volume 1119. [Google Scholar]
- Degirmenci, U.; Wang, M.; Hu, J. Targeting Aberrant RAS/RAF/MEK/ERK Signaling for Cancer Therapy. Cells 2020, 9, 198. [Google Scholar] [CrossRef] [PubMed]
- Erdogan, M.A.; Erdogan, A.; Erbas, O. The Anti-Seizure Effect of Liraglutide on Ptz-Induced Convulsions Through its Antioxidant and Anti-Inflammatory Properties. Neurochem. Res. 2023, 48, 188–195. [Google Scholar] [CrossRef] [PubMed]
- Yardim, A.; Gur, C.; Comakli, S.; Ozdemir, S.; Kucukler, S.; Celik, H.; Kandemir, F.M. Investigation of the effects of berberine on bortezomib-induced sciatic nerve and spinal cord damage in rats through pathways involved in oxidative stress and neuroinflammation. Neurotoxicology 2022, 89, 127–139. [Google Scholar] [CrossRef] [PubMed]
- Ahmed, Y.M.; Orfali, R.; Hamad, D.S.; Rateb, M.E.; Farouk, H.O. Sustainable Release of Propranolol Hydrochloride Laden with Biconjugated-Ufasomes Chitosan Hydrogel Attenuates Cisplatin-Induced Sciatic Nerve Damage in In Vitro/In Vivo Evaluation. Pharmaceutics 2022, 14, 1536. [Google Scholar] [CrossRef]
- Derakhshanrad, N.; Yekaninejad, M.S.; Vosoughi, F.; Sadeghi Fazel, F.; Saberi, H. Epidemiological study of traumatic spinal cord injuries: Experience from a specialized spine center in Iran. Spinal Cord 2016, 54, 901–907. [Google Scholar] [CrossRef]
- Hsu, R.S.; Chen, P.Y.; Fang, J.H.; Chen, Y.Y.; Chang, C.W.; Lu, Y.J.; Hu, S.H. Adaptable Microporous Hydrogels of Propagating NGF-Gradient by Injectable Building Blocks for Accelerated Axonal Outgrowth. Adv. Sci. 2019, 6, 1900520. [Google Scholar] [CrossRef]
- Wang, T.; Li, W.; Martin, S.; Papadopulos, A.; Joensuu, M.; Liu, C.; Jiang, A.; Shamsollahi, G.; Amor, R.; Lanoue, V.; et al. Radial contractility of actomyosin rings facilitates axonal trafficking and structural stability. J. Cell Biol. 2020, 219, e201902001. [Google Scholar] [CrossRef]
- Janockova, J.; Slovinska, L.; Harvanova, D.; Spakova, T.; Rosocha, J. New therapeutic approaches of mesenchymal stem cells-derived exosomes. J. Biomed. Sci. 2021, 28, 39. [Google Scholar]
- Ohta, M.; Suzuki, Y.; Noda, T.; Ejiri, Y.; Dezawa, M.; Kataoka, K.; Chou, H.; Ishikawa, N.; Matsumoto, N.; Iwashita, Y.; et al. Bone marrow stromal cells infused into the cerebrospinal fluid promote functional recovery of the injured rat spinal cord with reduced cavity formation. Exp. Neurol. 2004, 187, 266–278. [Google Scholar] [CrossRef] [PubMed]
- Hey, G.; Willman, M.; Patel, A.; Goutnik, M.; Willman, J.; Lucke-Wold, B. Stem Cell Scaffolds for the Treatment of Spinal Cord Injury-A Review. Biomechanics 2023, 3, 322–342. [Google Scholar]
- Leinninger, G.M.; Vincent, A.M.; Feldman, E.L. The role of growth factors in diabetic peripheral neuropathy. J. Peripher. Nerv. Syst. 2004, 9, 26–53. [Google Scholar] [CrossRef] [PubMed]
- Huang, J.I.; Beanes, S.R.; Zhu, M.; Lorenz, H.P.; Hedrick, M.H.; Benhaim, P. Rat extramedullary adipose tissue as a source of osteochondrogenic progenitor cells. Plast. Reconstr. Surg. 2002, 109, 1033–1043. [Google Scholar] [CrossRef] [PubMed]
- Kim, W.S.; Park, B.S.; Sung, J.H. The wound-healing and antioxidant effects of adipose-derived stem cells. Expert. Opin. Biol. Ther. 2009, 9, 879–887. [Google Scholar] [CrossRef]





Disclaimer/Publisher’s Note: The statements, opinions and data contained in all publications are solely those of the individual author(s) and contributor(s) and not of MDPI and/or the editor(s). MDPI and/or the editor(s) disclaim responsibility for any injury to people or property resulting from any ideas, methods, instructions or products referred to in the content. |
© 2023 by the authors. Licensee MDPI, Basel, Switzerland. This article is an open access article distributed under the terms and conditions of the Creative Commons Attribution (CC BY) license (https://creativecommons.org/licenses/by/4.0/).
Share and Cite
Yalçın, M.B.; Bora, E.S.; Erdoğan, M.A.; Çakır, A.; Erbaş, O. The Effect of Adipose-Derived Mesenchymal Stem Cells on Peripheral Nerve Damage in a Rodent Model. J. Clin. Med. 2023, 12, 6411. https://doi.org/10.3390/jcm12196411
Yalçın MB, Bora ES, Erdoğan MA, Çakır A, Erbaş O. The Effect of Adipose-Derived Mesenchymal Stem Cells on Peripheral Nerve Damage in a Rodent Model. Journal of Clinical Medicine. 2023; 12(19):6411. https://doi.org/10.3390/jcm12196411
Chicago/Turabian StyleYalçın, Mehmet Burak, Ejder Saylav Bora, Mümin Alper Erdoğan, Adem Çakır, and Oytun Erbaş. 2023. "The Effect of Adipose-Derived Mesenchymal Stem Cells on Peripheral Nerve Damage in a Rodent Model" Journal of Clinical Medicine 12, no. 19: 6411. https://doi.org/10.3390/jcm12196411
APA StyleYalçın, M. B., Bora, E. S., Erdoğan, M. A., Çakır, A., & Erbaş, O. (2023). The Effect of Adipose-Derived Mesenchymal Stem Cells on Peripheral Nerve Damage in a Rodent Model. Journal of Clinical Medicine, 12(19), 6411. https://doi.org/10.3390/jcm12196411

