Nonspecific Gastrointestinal Symptoms as the First Sign of Ganglioneuroblastoma Intermixed—Case Report and Literature Review
Abstract
:1. Introduction
2. The Aim of the Study
3. Materials and Methods
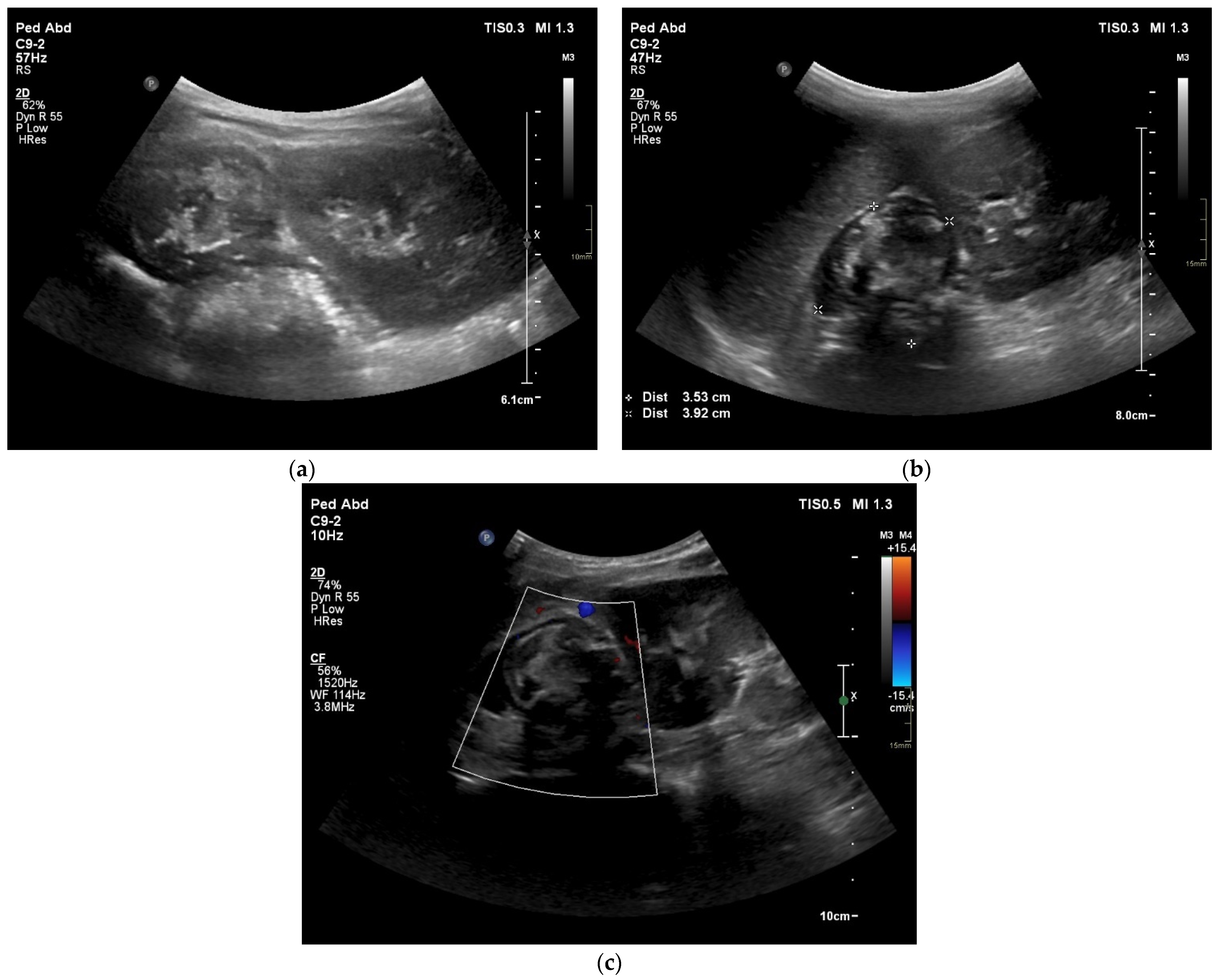
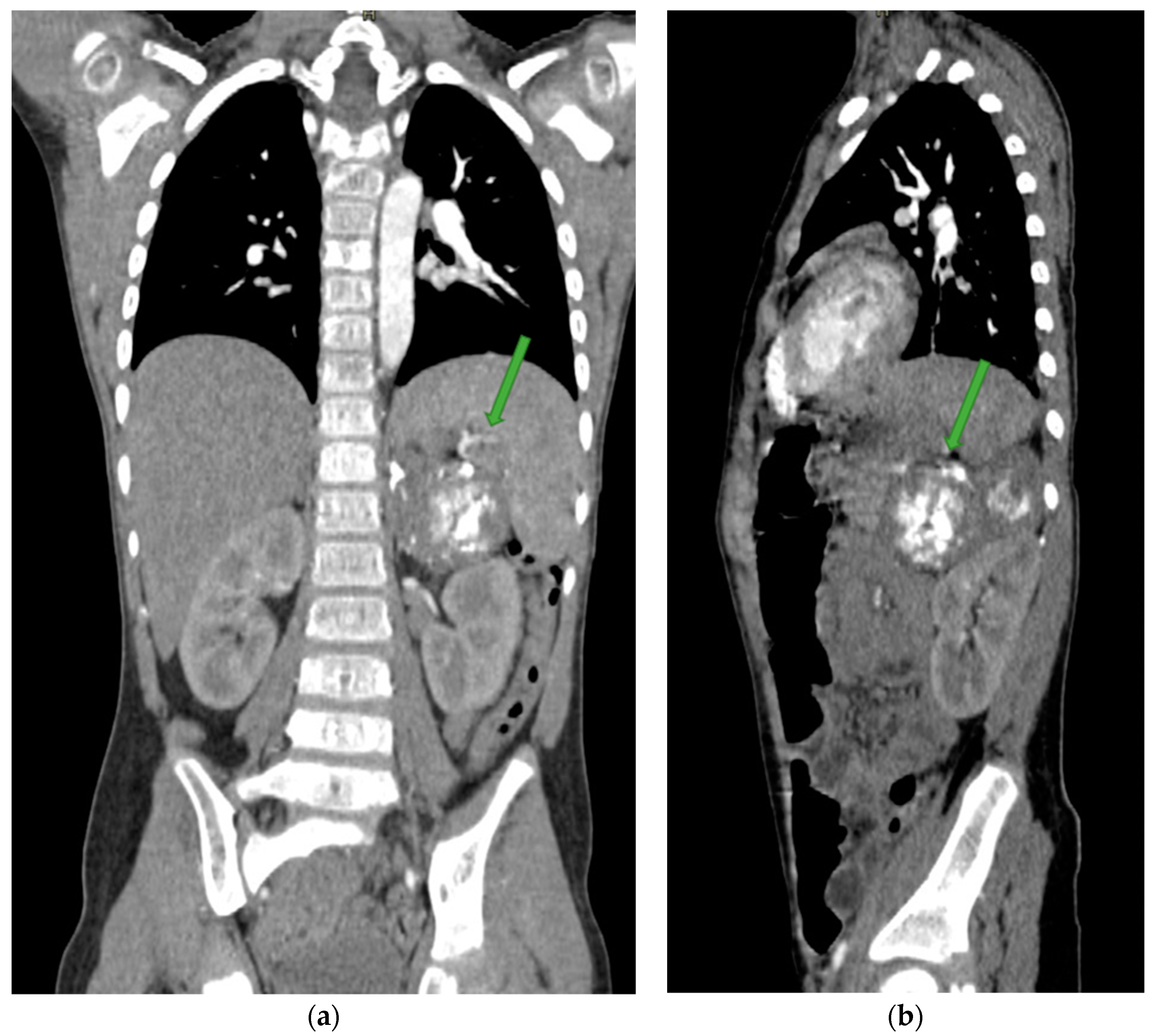
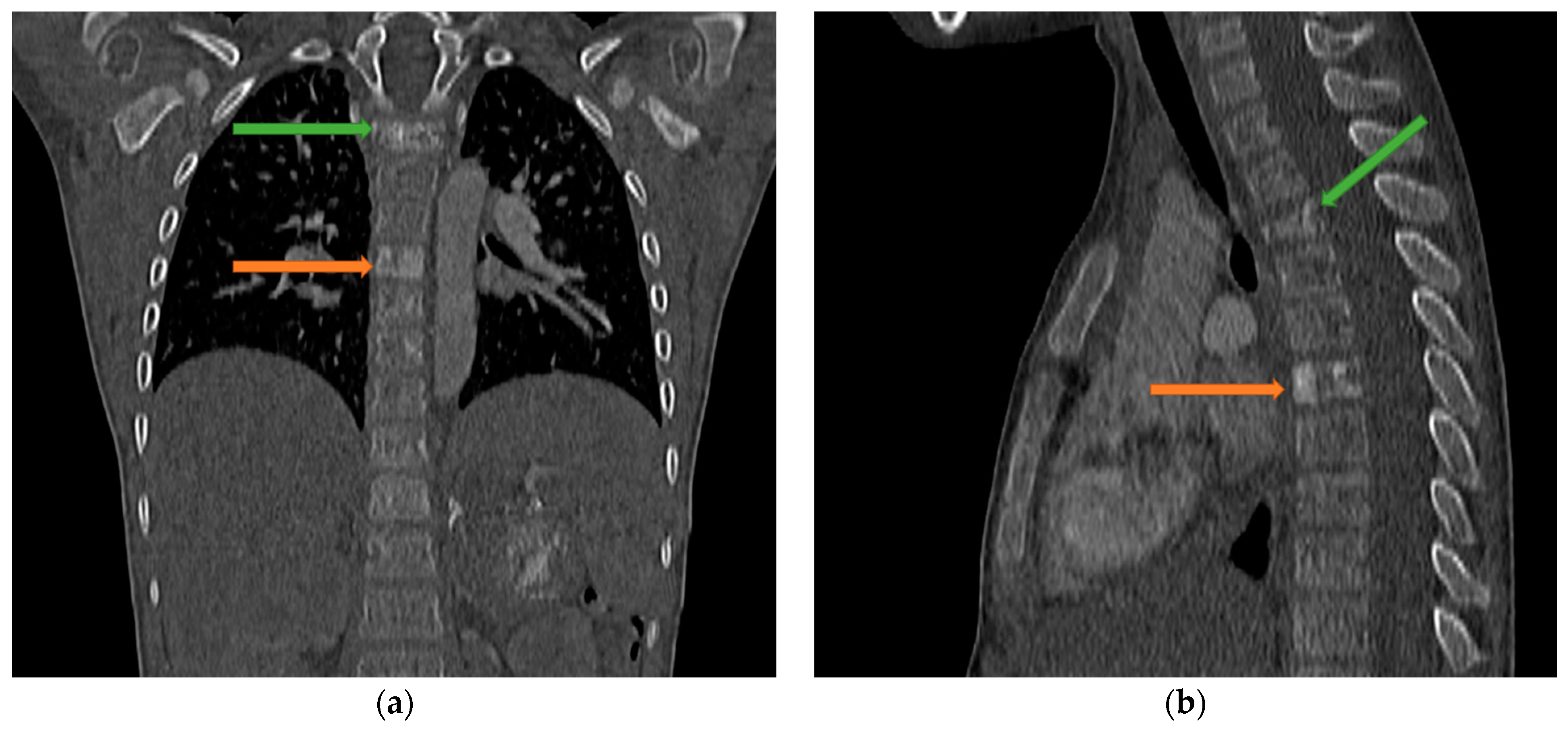
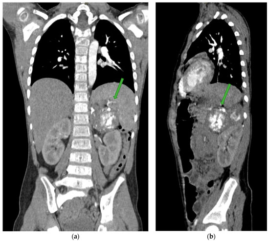
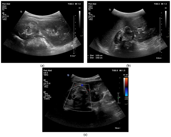
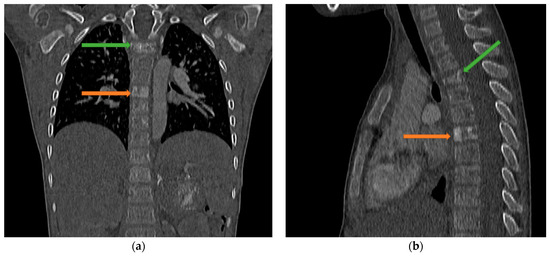
4. Case Presentation
5. Discussion
5.1. Epidemiology
5.2. Histology and Immunochistochemistry
5.3. Imaging
5.4. Clinical Presentation
5.5. Treatment
5.6. Prognosis
6. Conclusions
Author Contributions
Funding
Institutional Review Board Statement
Informed Consent Statement
Data Availability Statement
Conflicts of Interest
References
- Yang, T.; Huang, Y.; Xu, T.; Tan, T.; Yang, J.; Pan, J.; Hu, C.; Li, J.; Zou, Y. Surgical Management and Outcomes of Ganglioneuroma and Ganglioneuroblastoma-Intermixed. Pediatr. Surg. Int. 2017, 33, 955–959. [Google Scholar] [CrossRef]
- Nezami, B.G.; Modak, S.; Cardenas, F.I.; Sarungbam, J.; Sirintrapun, S.J.; Gopalan, A.; Chen, Y.; Al-Ahmadie, H.; Fine, S.W.; Reuter, V.E.; et al. Ganglioneuroblastoma Intermixed: Clinicopathological Implications of Diagnosis at Presentation and Genomic Correlations. Pediatr. Blood Cancer 2023, 70, e30434. [Google Scholar] [CrossRef]
- Vassallo, L.; Fasciano, M.; Baralis, I.; Pellegrino, L.; Fortunato, M.; Orcioni, G.F.; Sorrentino, S. A Rare Case of Adrenal Ganglioneuroblastoma-Intermixed in an Adult and a Review of Literature. Radiol. Case Rep. 2021, 16, 2351–2356. [Google Scholar] [CrossRef] [PubMed]
- Jamer, T.; Pytrus, T.; Zaleska-Dorobisz, U.; Iwańczak, B. Ganglioneuroblastoma in a Child with Chronic Abdominal Pain—A Case Report. Dev. Period Med. 2018, 22, 364–370. [Google Scholar] [PubMed]
- Iyer, R.; Nallasamy, K. Child with Abdominal Pain. Indian J. Pediatr. 2018, 85, 71–76. [Google Scholar] [CrossRef] [PubMed]
- Reust, C.E.; Williams, A. Recurrent Abdominal Pain in Children. Am. Fam. Physician 2018, 97, 785–793. [Google Scholar] [PubMed]
- Zeiter, D.K. Abdominal Pain in Children: From the Eternal City to the Examination Room. Pediatr. Clin. N. Am. 2017, 64, 525–541. [Google Scholar] [CrossRef]
- Kim, H.H.R.; Hull, N.C.; Lee, E.Y.; Phillips, G.S. Pediatric Abdominal Masses: Imaging Guidelines and Recommendations. Radiol. Clin. N. Am. 2022, 60, 113–129. [Google Scholar] [CrossRef]
- Di Lorenzo, C.; Colletti, R.B.; Lehmann, H.P.; Boyle, J.T.; Gerson, W.T.; Hyams, J.S.; Squires, R.H.; Walker, L.S. Chronic Abdominal Pain in Children: A Clinical Report of the American Academy of Pediatrics and the North American Society for Pediatric Gastroenterology, Hepatology and Nutrition. J. Pediatr. Gastroenterol. Nutr. 2005, 40, 245–248. [Google Scholar] [CrossRef]
- Eapen, A.; Gibikote, S. Role of Computed Tomography in Pediatric Abdominal Conditions. Indian J. Pediatr. 2016, 83, 691–701. [Google Scholar] [CrossRef]
- Xiu, W.-L.; Liu, J.; Zhang, J.-L.; Su, N.; Wang, F.-J.; Hao, X.-W.; Wang, F.-F.; Dong, Q. Computer-Assisted Rescue of the Inferior Mesenteric Artery in a Child with a Giant Ganglioneuroblastoma: A Case Report. World J. Gastrointest. Surg. 2023, 15, 984. [Google Scholar] [CrossRef] [PubMed]
- Jain, N.; Halbert, J.; Patel, P.A.; Biassoni, L.; Anderson, J.; Sebire, N.; McHugh, K.; Barone, G. Importance of Magnetic Resonance Imaging with Diffusion-Weighted Imaging in Guiding Biopsy of Nodular Ganglioneuroblastoma: A Case Report. J. Pediatr. Hematol. Oncol. 2021, 43, E130–E135. [Google Scholar] [CrossRef] [PubMed]
- Lu, D.; Liu, J.; Chen, Y.; Chen, F.; Yang, H. Primary Cervical Ganglioneuroblastoma: A Case Report. Medicine 2018, 97, e0090. [Google Scholar] [CrossRef] [PubMed]
- Czkwianianc, E.; Zalewska-Szewczyk, B.; Kobos, J.; Socha-Banasiak, A.; Janczar, S.; Prymus-Kasińska, S.; Kazanek-Zasada, J.; Młynarski, W. Uncommon Reasons of the Digestive Tract-Related Paraneoplastic Syndromes in Children with Neuroblastic Tumors: Three Case Reports. Contemp. Oncol. 2018, 22, 42–46. [Google Scholar] [CrossRef] [PubMed]
- Prader, S.; Spalinger, J.; Caduff, J.; Hürlimann, S.; Rischewski, J. Eosinophilic Esophagitis as Paraneoplastic Syndrome in a Patient with Ganglioneuroblastoma. Klin. Padiatr. 2015, 227, 173–175. [Google Scholar] [CrossRef]
- Kanik, A.; Baran, M.; Çayan, Ö.; Eliaçik, K.; Özdemir, T.; Helvaci, M.; Çeçen, E. Vasoactive Intestinal Peptide Releasing Tumor Which Caused to Chronic Watery Diarrhea and Hypokalemia. Turk. Pediatri Ars. 2014, 49, 160–162. [Google Scholar] [CrossRef]
- González Toro, M.C.; Pancho Flores, C.; López Iniesta, S.; Esquembre Menor, C. Vasoactive Intestinal Peptide-Secreting Ganglioneuroblastoma in a 20 Month-Old Child. An. Pediatr. 2014, 80, e76–e78. [Google Scholar] [CrossRef]
- Husain, K.; Thomas, E.; Demerdash, Z.; Alexander, S. Mediastinal Ganglioneuroblastoma-Secreting Vasoactive Intestinal Peptide Causing Secretory Diarrhoea. Arab. J. Gastroenterol. 2011, 12, 106–108. [Google Scholar] [CrossRef]
- Ito, A.; Uno, T.; Gunji, Y.; Yamauchi, T.; Egami, S.; Kawarasaki, H.; Momoi, M.Y. Obstructive Jaundice as a Presentation of Ganglioneuroblastoma. J. Pediatr. Hematol. Oncol. 2005, 27, 112–114. [Google Scholar] [CrossRef]
- Reindl, T.; Degenhardt, P.; Luck, W.; Riebel, T.; Sarioglu, N.; Henze, G.; Hernáiz Driever, P. The VIP-Secreting Tumor as a Differential Diagnosis of Protracted Diarrhea in Pediatrics. Klin. Padiatr. 2004, 216, 264–269. [Google Scholar] [CrossRef]
- Wildhaber, B.; Niggli, F.; Bergsträsser, E.; Stallmach, T.; Sacher, P. Paraneoplastic Syndromes in Ganglioneuroblastoma: Contrasting Symptoms of Constipation and Diarrhoea. Eur. J. Pediatr. 2003, 162, 511–513. [Google Scholar] [CrossRef] [PubMed]
- Barbato, M.; Clerico, A.; Viola, F.; Dito, L.; Schiavetti, A.; Cucchiara, S. Coeliac Disease and Ganglioneuroblastoma: An Unusual Association. Med. Pediatr. Oncol. 2002, 39, 215–216. [Google Scholar] [CrossRef] [PubMed]
- Somuncu, S.; Aritürk, E.; Bernay, F.; Rizalar, R.; Kandemir, B.; Gürses, N. Pelvic Ganglioneuroblastoma Totally Excised Using Posterior Sagittal and Abdominal Approach. Pediatr. Surg. Int. 1996, 11, 208–209. [Google Scholar] [CrossRef] [PubMed]
- Mojtahed, H.; Rose, E.; Feddersen, R. Ganglioneuroblastoma Masquerading as Chronic Vomiting. Clin. Pediatr. 1995, 34, 110–113. [Google Scholar] [CrossRef]
- Soga, J.; Yakuwa, Y. Vipoma/Diarrheogenic Syndrome: A Statistical Evaluation of 241 Reported Cases. J. Exp. Clin. Cancer Res. 1998, 17, 389–400. [Google Scholar]
- Whitlock, R.S.; Mehl, S.C.; Larson, S.K.; Foster, J.H.; Hicks, J.; Nuchtern, J.G.; Sher, A.C.; Vasudevan, S.A.; Naik-Mathuria, B. Characteristics of Benign Neuroblastic Tumors: Is. Surgery Always Necessary? J. Pediatr. Surg. 2022, 57, 1538–1543. [Google Scholar] [CrossRef]
- Luksch, R.; Castellani, M.R.; Collini, P.; De Bernardi, B.; Conte, M.; Gambini, C.; Gandola, L.; Garaventa, A.; Biasoni, D.; Podda, M.; et al. Neuroblastoma (Peripheral Neuroblastic Tumours). Crit. Rev. Oncol. Hematol. 2016, 107, 163–181. [Google Scholar] [CrossRef]
- Mina, A.S.; Nashed, G.N.; Hermina, A.M.; Schauwecker, S.M.; Phelps, H.M.; Benedetti, D.J.; Correa, H.; Lovvorn, H.N. Outcomes and Histological Variations of Neuroblastoma and Ganglioneuroblastoma with Paraneoplastic Syndromes. Am. Surg. 2023. [Google Scholar] [CrossRef]
- Kumar, B.; Yadav, R.; Upadhyaya, V.; Mishra, A.; Yousuf; Mishra, P.; Lal, P. Neuroblastic Tumours in Children: Outcome from a Referral Centre in India. Afr. J. Paediatr. Surg. 2023, 20, 34–39. [Google Scholar] [CrossRef]
- Choi, J.H.; Ro, J.Y. Mediastinal Neuroblastoma, Ganglioneuroblastoma, and Ganglioneuroma: Pathology Review and Diagnostic Approach. Semin. Diagn. Pathol. 2022, 39, 120–130. [Google Scholar] [CrossRef]
- Badiu Tișa, I.; Samașca, G.; Aldea, C.; Lupan, I.; Farcau, D.; Makovicky, P. Ganglioneuroblastoma in Children. Neurol. Sci. 2019, 40, 1985–1989. [Google Scholar] [CrossRef] [PubMed]
- Okonta, V.N.; Majlessipour, F.; Baca, N.M. Ganglioneuroblastoma in a Child with Neurofibromatosis Type 1: A Case Report and Literature Review. J. Pediatr. Hematol. Oncol. 2023, 45, E131–E134. [Google Scholar] [CrossRef] [PubMed]
- Sekiguchi, N.; Noguchi, T.; Fukushima, T.; Kobayashi, T.; Ozawa, T.; Sato, Y.; Takeda, T.; Yoshida, K.; Koizumi, T. Posterior Mediastinal Ganglioneuroblastoma in an Adolescent: A Case Report and Review. Thorac. Cancer 2020, 11, 451–455. [Google Scholar] [CrossRef] [PubMed]
- Ma, R.; Wang, Y.; He, W. Primary Orbital Ganglioneuroblastoma: A Case Report. Open Med. 2021, 16, 1076–1081. [Google Scholar] [CrossRef]
- Farma, J.M.; Porpiglia, A.S.; Vo, E.T. Benign Neurogenic Tumors. Surg. Clin. N. Am. 2022, 102, 679–693. [Google Scholar] [CrossRef] [PubMed]
- Alessi, S.; Grignani, M.; Carone, L. Ganglioneuroblastoma: Case Report and Review of the Literature. J. Ultrasound 2011, 14, 84. [Google Scholar] [CrossRef]
- He, W.G.; Yan, Y.; Tang, W.; Cai, R.; Ren, G. Clinical and Biological Features of Neuroblastic Tumors: A Comparison of Neuroblastoma and Ganglioneuroblastoma. Oncotarget 2017, 8, 37730–37739. [Google Scholar] [CrossRef]
- Shankaralingappa, S.; Patra, S.; Gami, A.; Trivedi, P.; Chalaliya, A.K. Extra-Adrenal Peripheral Neuroblastic Tumors: A Clinicopathological Study of 18 Cases. Indian J. Pathol. Microbiol. 2023, 66, 278–285. [Google Scholar]
- Gauchan, E.; Sharma, P.; Ghartimagar, D.; Ghosh, A. Ganglioneuroblastoma in a Newborn with Multiple Metastases: A Case Report. J. Med. Case Rep. 2017, 11, 239. [Google Scholar] [CrossRef]
- Fatimi, S.H.; Bawany, S.A.; Ashfaq, A. Ganglioneuroblastoma of the Posterior Mediastinum: A Case Report. J. Med. Case Rep. 2011, 5, 322. [Google Scholar] [CrossRef]
- Okamatsu, C.; London, W.B.; Naranjo, A.; Hogarty, M.D.; Gastier-Foster, J.M.; Look, A.T.; LaQuaglia, M.; Maris, J.M.; Cohn, S.L.; Matthay, K.K.; et al. Clinicopathological Characteristics of Ganglioneuroma and Ganglioneuroblastoma: A Report from the CCG and COG. Pediatr. Blood Cancer 2009, 53, 563. [Google Scholar] [CrossRef] [PubMed]
- Schweblin, C.; Triponez, F. Intermixed Ganglioneuroblastoma in Children: A Case Report and Review of the Literature. World J. Surg. 2019, 2, 1184. [Google Scholar]
- Bolzacchini, E.; Martinelli, B.; Pinotti, G. Adult Onset of Ganglioneuroblastoma of the Adrenal Gland: Case Report and Review of the Literature. Surg. Case Rep. 2015, 1. [Google Scholar] [CrossRef] [PubMed]
- Littooij, A.S.; de Keizer, B. Imaging in Neuroblastoma. Pediatr. Radiol. 2023, 53, 783. [Google Scholar] [CrossRef] [PubMed]
- Swift, C.C.; Eklund, M.J.; Kraveka, J.M.; Alazraki, A.L. Updates in Diagnosis, Management, and Treatment of Neuroblastoma. Radiographics 2018, 38, 566–580. [Google Scholar] [CrossRef]
- Mueller, W.P.; Coppenrath, E.; Pfluger, T. Nuclear Medicine and Multimodality Imaging of Pediatric Neuroblastoma. Pediatr. Radiol. 2013, 43, 418–427. [Google Scholar] [CrossRef]
- Vik, T.A.; Pfluger, T.; Kadota, R.; Castel, V.; Tulchinsky, M.; Farto, J.C.A.; Heiba, S.; Serafini, A.; Tumeh, S.; Khutoryansky, N.; et al. (123)I-MIBG Scintigraphy in Patients with Known or Suspected Neuroblastoma: Results from a Prospective Multicenter Trial. Pediatr. Blood Cancer 2009, 52, 784–790. [Google Scholar] [CrossRef]
- Wakabayashi, H.; Kayano, D.; Inaki, A.; Araki, R.; Kuroda, R.; Akatani, N.; Yamase, T.; Watanabe, S.; Hiromasa, T.; Kunita, Y.; et al. Diagnostic Use of Post-Therapy 131I-Meta-Iodobenzylguanidine Scintigraphy in Consolidation Therapy for Children with High-Risk Neuroblastoma. Diagnostics 2020, 10, 663. [Google Scholar] [CrossRef]
- Zhuang, B.; Lv, D.K.; Gao, S.J.; Meng, J.J. Differential Diagnosis of CT Images in Children with Neuroblastomas and Ganglioneuroblastomas. Asian Pac. J. Cancer Prev. 2014, 15, 10509–10512. [Google Scholar] [CrossRef]
- Moreira, I.; Vilas-Boas, I.; Neves, M.C. Paraneoplastic Opsoclonus-Myoclonus Syndrome as a Rare Presentation of Small-Cell Lung Cancer. Cureus 2022, 14, e32066. [Google Scholar] [CrossRef]
- Bhatia, P.; Heim, J.; Cornejo, P.; Kane, L.; Santiago, J.; Kruer, M.C. Opsoclonus-Myoclonus-Ataxia Syndrome in Children. J. Neurol. 2022, 269, 750–757. [Google Scholar] [CrossRef] [PubMed]
- Decarolis, B.; Simon, T.; Krug, B.; Leuschner, I.; Vokuhl, C.; Kaatsch, P.; von Schweinitz, D.; Klingebiel, T.; Mueller, I.; Schweigerer, L.; et al. Treatment and Outcome of Ganglioneuroma and Ganglioneuroblastoma Intermixed. BMC Cancer 2016, 16, 542. [Google Scholar] [CrossRef] [PubMed]
- Ramos Elbal, E.; Galera Miñarro, A.M.; Llinares Riestra, M.E.; Bermúdez Cortés, M.; Fuster Soler, J.L. Neuroblastoma: Validation of the INRG Classification System in a Small Series. Clin. Transl. Oncol. 2019, 21, 1776–1780. [Google Scholar] [CrossRef] [PubMed]
- Monclair, T.; Brodeur, G.M.; Ambros, P.F.; Brisse, H.J.; Cecchetto, G.; Holmes, K.; Kaneko, M.; London, W.B.; Matthay, K.K.; Nuchtern, J.G.; et al. The International Neuroblastoma Risk Group (INRG) Staging System: An INRG Task Force Report. J. Clin. Oncol. 2009, 27, 298. [Google Scholar] [CrossRef]
- Li, Q.; Wang, J.; Cheng, Y.; Hu, A.; Li, D.; Wang, X.; Guo, Y.; Zhou, Y.; Chen, G.; Bao, B.; et al. Long-Term Survival of Neuroblastoma Patients Receiving Surgery, Chemotherapy, and Radiotherapy: A Propensity Score Matching Study. J. Clin. Med. 2023, 12, 754. [Google Scholar] [CrossRef]
- Irwin, M.S.; Park, J.R. Neuroblastoma: Paradigm for Precision Medicine. Pediatr. Clin. N. Am. 2015, 62, 225–256. [Google Scholar] [CrossRef]
- Whittle, S.B.; Smith, V.; Doherty, E.; Zhao, S.; McCarty, S.; Zage, P.E. Overview and Recent Advances in the Treatment of Neuroblastoma. Expert Rev. Anticancer Ther. 2017, 17, 369–386. [Google Scholar] [CrossRef]
- Wei, Z.; Li, J.; Jin, Y.; Liu, Y.; Wang, P.; Cao, Y.; Zhao, Q. The Application and Value of Radiotherapy at the Primary Site in Patients with High-Risk Neuroblastoma. Br. J. Radiol. 2022, 95, 20211086. [Google Scholar] [CrossRef]
- Yu, A.L.; Gilman, A.L.; Ozkaynak, M.F.; London, W.B.; Kreissman, S.G.; Chen, H.X.; Smith, M.; Anderson, B.; Villablanca, J.G.; Matthay, K.K.; et al. Anti-GD2 Antibody with GM-CSF, Interleukin-2, and Isotretinoin for Neuroblastoma. N. Engl. J. Med. 2010, 363, 1324–1334. [Google Scholar] [CrossRef]
- Orr, K.E.; McHugh, K. The New International Neuroblastoma Response Criteria. Pediatr. Radiol. 2019, 49, 1433–1440. [Google Scholar] [CrossRef]
- Ladenstein, R.; Lambert, B.; Pötschger, U.; Castellani, M.-R.; Lewington, V.; Bar-Sever, Z.; Oudoux, A.; Śliwińska, A.; Taborska, K.; Biassoni, L.; et al. Validation of the MIBG Skeletal SIOPEN Scoring Method in Two Independent High-Risk Neuroblastoma Populations: The SIOPEN/HR-NBL1 and COG-A3973 Trials. Eur. J. Nucl. Med. Mol. Imaging 2018, 45, 292–305. [Google Scholar] [CrossRef] [PubMed]
- Brisse, H.J.; McCarville, M.B.; Granata, C.; Krug, K.B.; Wootton-Gorges, S.L.; Kanegawa, K.; Giammarile, F.; Schmidt, M.; Shulkin, B.L.; Matthay, K.K.; et al. Guidelines for Imaging and Staging of Neuroblastic Tumors: Consensus Report from the International Neuroblastoma Risk Group Project. Radiology 2011, 261, 243–257. [Google Scholar] [CrossRef] [PubMed]
- Vo, K.T.; Matthay, K.K.; Neuhaus, J.; London, W.B.; Hero, B.; Ambros, P.F.; Nakagawara, A.; Miniati, D.; Wheeler, K.; Pearson, A.D.J.; et al. Clinical, Biologic, and Prognostic Differences on the Basis of Primary Tumor Site in Neuroblastoma: A Report from the International Neuroblastoma Risk Group Project. J. Clin. Oncol. 2014, 32, 3169–3176. [Google Scholar] [CrossRef] [PubMed]




| Laboratory Indices | Value | Norm | Laboratory Indices | Value | Norm |
|---|---|---|---|---|---|
| Leukocytes (×109/L) | 7.99 | 3.4–9.5 | Albumins (g/dL) | 4.13 | 3.8–5.4 |
| Erythrocytes (×1012/L) | 4.39 | 4.2–5.2 | ALT (U/L) | 16.00 | 0–39 |
| Hemoglobin (g/dL) | 11.4 | 12–14 | Amylase (serum) (U/L) | 19.00 | 28–100 |
| Hematocrit (%) | 32.9 | 35–42.4 | AST (U/L) | 48.00 | 0–52 |
| MCV (fl) | 74.9 | 76.5–90.6 | Total protein (g/dL) | 6.69 | 6–8 |
| MCH (pg) | 26.0 | 25–31 | C-reactive protein (CRP) (mg/dL) | 1.83 | 0–0.5 |
| MCHC (g/dL) | 34.7 | 31–35 | Bilirubin (mg/dL) | 0.37 | 0.2–1.2 |
| Thrombocytes (×109/L) | 221 | 140–420 | LDH (U/L) | 819 | 0–331 |
| PDW (fl) | 8.80 | 12–20 | Phosphor (mmol/L) | 1.43 | 1.05–1.8 |
| Neutrophiles (×109/L) | 5.54 | 1.5–7 | Gamma-glutamyl-transpeptidase (GGTP) (U/L) | 10.00 | 0–26 |
| (%) | 69.3 | 30–50 | Glucose (mg/dL) | 63 | 70–99 |
| Eosinophiles (×109/L) | 0.02 | 0–0.6 | TSH (uIU/mL) | 1.240 | |
| (%) | 0.3 | 0–7 | Creatinine (mg/dL) | 0.3 | 0.32–0.59 |
| Basophiles (×109/L) | 0.04 | 0–0.15 | Urine acid (mg/dL) | 6.3 | 1.8–5.5 |
| (%) | 0.5 | 0–2 | Lipase (U/L) | 13 | 0–37 |
| Lymphocytes (×109/L) | 1.66 | 1.5–7 | Urea (mg/dL) | 26.0 | 15–36 |
| (%) | 20.8 | 30–50 | Potassium (mmol/L) | 4.07 | 3.5–5.1 |
| Monocytes (×109/L) | 0.73 | 0.2–1.2 | Sodium (mmol/L) | 135 | 132–145 |
| (%) | 9.1 | 2–12 | Calcium | 2.32 | 2.2–2.7 |
| Laboratory Indices | Value | Norm |
|---|---|---|
| Ferritin (ng/mL) | 344.30 | 4–67 |
| Homovanilate (HVA) (mg/24 h) | 31.23 | 0–6.9 |
| Vanilymandylate (VMA) (mg/24 h) | 53.96 | 0–3.6 |
| Catecholamines in daily urine collection | ||
| Adrenaline (μg/24 h) | 1.70 | 0.2–10 |
| Dopamine (μg/24 h) | 526.78 | 65–400 |
| LDH (U/I) | 556 | 0–331 |
| NSE (ng/mL) | 116.50 | 0–16.3 |
| References | Age of Patient | Assigned Sex | Symptoms | Laboratory Tests | Tumor Description | Treatment | Outcome |
|---|---|---|---|---|---|---|---|
| Xiu et al. 2023 [11] | 4 y | F | Abdominal pain, vomiting for 1 day | Elevated NSE | Left retroperitoneal mass, with very thick blood vessel inside tumor, GNBI, no metastasis | Surgical resection | No recurrence after 1-year follow-up |
| Jain et al. 2021 [12] | 4 y 11 months | M | Distension and intermittent right-sided chest discomfort for 1 year | Negative urinary catecholamines | Right retroperitoneal suprarenal mass, GNBN | Chemotherapy according to HR-NBL1 SIOPEN protocol and surgical resection seven months after starting chemotherapy | No recurrence 2.5 years after diagnosis |
| Lu et al., 2018 [13] | 4 y | F | Progressive inspiratory dyspnea and dysphagia for 1 year | Elevated chromogranin A, S-100 protein and NSE | Mass located in the left oropharyngeal and posterior pharyngeal walls, GNB, no subtype data available | Surgical resection | No recurrence after 1-year follow-up |
| Jamer et al., 2018 [4] | 6 y | F | Chronic abdominal pain for 2 years, recurring constipation | No data available | Right-sided paravertebral tumor with the specific features of neuroblastoma GNBN | Surgical resection | No recurrence |
| Czkwianianc et al., 2018 [14] | 17 months | F | Watery, nonbloody diarrhea, weight loss | Elevated NSE, dopamine, VMA, VIP | Right retroperitoneal mass, atypical GNB | Surgical resection and post-operative chemotherapy | No recurrence 2.5 years after surgery |
| Czkwianianc et al., 2018 [14] | 2 y | F | 7-month watery diarrhea history | Increased NSE, dopamine, adrenaline, VMA and VIP serum levels | Retroperitoneal space, GNBI with lymph node involvement | Chemotherapy and surgical resection of tumor and pathologic lymph nodes and post-operative chemotherapy | No recurrence after 2-year follow-up |
| Prader et al., 2015 [15] | 16 months | M | Stagnation of weight gain, abdominal pain, chronic diarrhea, hypersalivation and blepharitis since the introduction of solid food—Eosinophilic Esophagitis as Paraneoplastic Syndrome | Elevated HVA, creatinine, VMA | Paravertebral thoracic mass, anatomically close to the esophagus, GNBI | Surgical resection | At 19 months, total restitution without any signs of eosinophilic esophagitis |
| Kanık et al., 2014 [16] | 15 months | F | Bulky watery diarrhea approximately 10–12 times a day for 4 months | Elevated VIP, urinary metanephrine and VMA | Mass in the right surrenal region, GNB no subtype data available | Surgical resection | No recurrence after 1-year follow-up |
| González Toro et al., 2013 [17] | 20 months | No data available | Chronic diarrhea 5 times a day for 8 months, without vomiting and fever, abdominal bloating, weight loss | Elevated VIP, VMA, dopamine, NSE, and LDH | Paravertebral abdominal mass, GNBI | Surgical resection | At 5 years, no recurrence |
| Husain et al., 2011 [18] | 18 months | F | 2-month history of watery, nonbloody diarrhea, vomiting, and abdominal distension | Elevated VIP, | Well-defined mass in the right upper lobe with tracheal shift to the left, GNB, no subtype data available | No data available | No data available |
| Ito et al., 2005 [19] | 4 years | M | Gradually developing abdominal pain, diarrhea, and jaundice | Elevated bilirubin levels, AST, ALT, GGTP, amylase | The mass at the head of pancreas obstructing common bile duct, GNB with lymph nodes around the pancreatic head and contralateral side of aorta involvement, no subtype data available | Chemotherapy and surgical resection of the tumor and paraaortic lymph nodes 6 months after the diagnosis | No data available |
| Reindl et al., 2005 [20] | 13 months | M | For many weeks, watery diarrhea, vomiting, and weight loss | Elevated VIP, VMA, HVA, adrenaline, and noradrenaline | Right paravertebral mass, GNB, no subtype data available | Surgical resection | No data available |
| Reindl et al., 2005 [20] | 14 months | M | Watery diarrhea 6–7 times a day for 10 weeks | Elevated VIP, S-100 | Paravertebral mass, GNB, no subtype data available | Surgical resection | No data available |
| Wildhaber et al., 2003 [21] | 19 months | F | Watery diarrhea, 8–9 episodes per day for 4 months, abdominal pain, weight loss | Elevated VIP, VMA, HVA, chromogranin B, NSE | Presacral mass, GNB, no subtype data available | Preoperative chemotherapy according to the German NB-97 study protocol and surgical resection 7-weeks after diagnosis | 2 years-post surgery, no recurrence |
| Wildhaber et al., 2003 [21] | 14 y | F | Constipation lasting for several weeks | No abnormalities | Right suprarenal mass, GNB | Surgical resection | Died due to tumor progression |
| Barbato et al., 2002 [22] | 2 y | F | Chronic diarrhea, poor growth, and diagnosed celiac disease | Elevated AGA IgA, AGA IgG, hTG, VIP, | Mass in the right adrenal gland, GNBI | Surgical resection | No recurrence after 1-year follow-up |
| Somuncu et al., 1996 [23] | 12 months | M | Chronic constipation, urinary retention | No abnormalities | Lower abdominal mass | Surgical resection, chemotherapy | No recurrence after 1-year follow-up |
| Mojtahed et al., 1995 [24] | 4.5 y | F | Chronic persistent vomiting and abdominal discomfort for 1.5 years | Elevated HVA | Mass proximal to the bifurcation of the aorta | Surgical resection | No recurrence after 18-month follow-up |
Disclaimer/Publisher’s Note: The statements, opinions and data contained in all publications are solely those of the individual author(s) and contributor(s) and not of MDPI and/or the editor(s). MDPI and/or the editor(s) disclaim responsibility for any injury to people or property resulting from any ideas, methods, instructions or products referred to in the content. |
© 2023 by the authors. Licensee MDPI, Basel, Switzerland. This article is an open access article distributed under the terms and conditions of the Creative Commons Attribution (CC BY) license (https://creativecommons.org/licenses/by/4.0/).
Share and Cite
Lipiński, Ł.; Lipińska, J.; Kowalczuk, M.; Kopeć, I.; Woźniak, M.M.; Mitek-Palusińska, J.; Mitura-Lesiuk, M. Nonspecific Gastrointestinal Symptoms as the First Sign of Ganglioneuroblastoma Intermixed—Case Report and Literature Review. J. Clin. Med. 2023, 12, 6092. https://doi.org/10.3390/jcm12186092
Lipiński Ł, Lipińska J, Kowalczuk M, Kopeć I, Woźniak MM, Mitek-Palusińska J, Mitura-Lesiuk M. Nonspecific Gastrointestinal Symptoms as the First Sign of Ganglioneuroblastoma Intermixed—Case Report and Literature Review. Journal of Clinical Medicine. 2023; 12(18):6092. https://doi.org/10.3390/jcm12186092
Chicago/Turabian StyleLipiński, Łukasz, Justyna Lipińska, Maria Kowalczuk, Izabela Kopeć, Magdalena Maria Woźniak, Joanna Mitek-Palusińska, and Małgorzata Mitura-Lesiuk. 2023. "Nonspecific Gastrointestinal Symptoms as the First Sign of Ganglioneuroblastoma Intermixed—Case Report and Literature Review" Journal of Clinical Medicine 12, no. 18: 6092. https://doi.org/10.3390/jcm12186092
APA StyleLipiński, Ł., Lipińska, J., Kowalczuk, M., Kopeć, I., Woźniak, M. M., Mitek-Palusińska, J., & Mitura-Lesiuk, M. (2023). Nonspecific Gastrointestinal Symptoms as the First Sign of Ganglioneuroblastoma Intermixed—Case Report and Literature Review. Journal of Clinical Medicine, 12(18), 6092. https://doi.org/10.3390/jcm12186092

