Analysis of Discordant Findings between 3T Magnetic Resonance Imaging and Arthroscopic Evaluation of the Knee Meniscus
Abstract
1. Introduction
2. Materials and Methods
3. Results
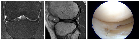
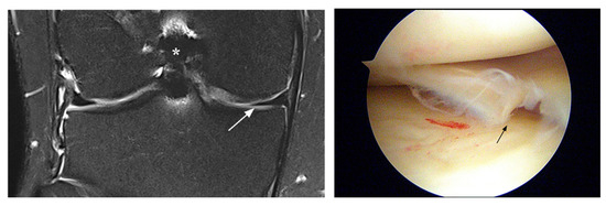
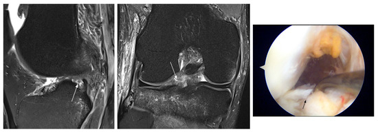
3.1. Unavoidable Errors
3.2. Interpretation Errors
3.3. Equivocal Errors
4. Discussion
5. Conclusions
Author Contributions
Funding
Institutional Review Board Statement
Informed Consent Statement
Data Availability Statement
Conflicts of Interest
References
- Sanders, T.G.; Miller, M.D. A systematic approach to magnetic resonance imaging interpretation of sports medicine injuries to the knee. Am. J. Sports Med. 2005, 33, 131–148. [Google Scholar] [CrossRef] [PubMed]
- Trunz, L.M.; Morrison, W.B. MRI of the Knee Meniscus. Magn. Reson. Imaging Clin. N. Am. 2022, 30, 307–324. [Google Scholar] [CrossRef] [PubMed]
- Alaia, E.F.; Alaia, M.J.; Gyftopoulos, S. MRI-arthroscopy correlation of knee anatomy and pathologic findings: A teaching guide. AJR Am. J. Roentgenol. 2018, 211, 1291–1297. [Google Scholar] [CrossRef] [PubMed]
- Song, Y.D.; Jain, N.P.; Kim, S.J.; Kwon, S.K.; Chang, M.J.; Chang, C.B.; Kim, T.K. Is knee Magnetic Resonance Imaging overutilized in current practice? Knee Surg. Relat. Res. 2015, 27, 95–100. [Google Scholar] [CrossRef] [PubMed]
- Oei, E.H.; Nikken, J.J.; Verstijnen, A.C.; Ginai, A.Z.; Hunink, M.G. MR imaging of the menisci and cruciate ligaments: A systematic review. Radiology 2003, 226, 837–848. [Google Scholar] [CrossRef]
- Phelan, N.; Rowland, P.; Galvin, R.; O’Byrne, J.M. A systematic review and meta-analysis of the diagnostic accuracy of MRI for suspected ACL and meniscal tears of the knee. Knee Surg. Sports Traumatol. Arthrosc. 2016, 24, 1525–1539. [Google Scholar] [CrossRef] [PubMed]
- De Smet, A.A.; Tuite, M.J.; Norris, M.A.; Swan, J.S. MR diagnosis of meniscal tears: Analysis of causes of errors. AJR Am. J. Roentgenol. 1994, 163, 1419–1423. [Google Scholar] [CrossRef]
- Justice, W.W.; Quinn, S.F. Error patterns in the MR Imaging evaluation of menisci of the knee. Radiology 1995, 196, 617–621. [Google Scholar] [CrossRef]
- De Smet, A.A.; Norris, M.A.; Yandow, D.R.; Quintana, F.A.; Graf, B.K.; Keene, J.S. MR diagnosis of meniscal tears of the knee: Importance of high signal in the meniscus that extends to the surface. AJR Am. J. Roentgenol. 1993, 161, 101–107. [Google Scholar] [CrossRef]
- Van Dyck, P.; Gielen, J.; D’Anvers, J.; Vanhoenacker, F.; Dossche, L.; Van Gestel, J.; Parizel, P.M. MR diagnosis of meniscal tears of the knee: Analysis of error patterns. Arch. Orthop. Trauma Surg. 2007, 127, 849–854. [Google Scholar] [CrossRef]
- Grossman, J.W.; De Smet, A.A.; Shinki, K. Comparison of the accuracy rates of 3-T and 1.5-T MRI of the knee in the diagnosis of meniscal tear. AJR Am. J. Roentgenol. 2009, 193, 509–514. [Google Scholar] [CrossRef]
- Lin, D.J.; Walter, S.S.; Fritz, J. Artificial Intelligence-Driven Ultra-Fast Superresolution MRI: 10-Fold Accelerated Musculoskeletal Turbo Spin Echo MRI Within Reach. Investig. Radiol. 2023, 58, 28–42. [Google Scholar] [CrossRef]
- Sutter, R.; Stoel, B.C.; Buck, F.M.; Andreisek, G.; Morelli, J.N.; Hodler, J.; Li, X.; Pfirrmann, C.W. Internal derangements of joints-past, present, and future. Investig. Radiol. 2015, 50, 601–614. [Google Scholar] [CrossRef]
- Malik, M.A.; Baker, J.C. Postoperative MR Imaging of the Knee Meniscus. Magn. Reson. Imaging Clin. N. Am. 2022, 30, 723–731. [Google Scholar] [CrossRef]
- De Smet, A.A.; Norris, M.A.; Yandow, D.R.; Graf, B.K.; Keene, J.S. Diagnosis of meniscal tears of the knee with MR imaging: Effect of observer variation and sample size on sensitivity and specificity. AJR Am. J. Roentgenol. 1993, 160, 555–559. [Google Scholar] [CrossRef][Green Version]
- Sproule, J.A.; Khan, F.; Rice, J.J.; Nicholson, P.; McElwain, J.P. Altered signal intensity in the posterior horn of the medial meniscus: An MR finding of questionable significance. Arch. Orthop. Trauma Surg. 2005, 125, 267–271. [Google Scholar] [CrossRef]
- von Engelhardt, L.V.; Schmitz, A.; Pennekamp, P.H.; Schild, H.H.; Wirtz, D.C.; von Falkenhausen, F. Diagnostics of degenerative meniscal tears at 3-Tesla MRI compared to arthroscopy as reference standard. Arch. Orthop. Trauma Surg. 2008, 28, 451–456. [Google Scholar] [CrossRef]
- Elvenes, J.; Jerome, C.P.; Reikeräs, O.; Johansen, O. Magnetic resonance imaging as a screening procedure to avoid arthroscopy for meniscal tears. Arch. Orthop. Trauma Surg. 2000, 120, 14–16. [Google Scholar] [CrossRef]
- Subhas, N.; Sakamoto, F.A.; Mariscalco, M.W.; Polster, J.M.; Obuchowski, N.A.; Jones, M.H. Accuracy of MRI in the diagnosis of meniscal tears in older patients. AJR Am. J. Roentgenol. 2012, 198, W575–W580. [Google Scholar] [CrossRef]
- De Smet, A.A.; Mukherjee, R. Clinical, MRI, and arthroscopic findings associated with failure to diagnose a lateral meniscal tear on knee MRI. AJR Am. J. Roentgenol. 2008, 190, 22–26. [Google Scholar] [CrossRef]
- Furumatsu, T.; Hiranaka, T.; Kintaka, K.; Okazaki, Y.; Higashihara, N.; Tamura, M.; Ozaki, T. A characteristic MRI finding to diagnose a partial tear of the medial meniscus posterior root: An ocarina sign. Knee Surg. Relat. Res. 2021, 33, 38. [Google Scholar] [CrossRef] [PubMed]
- Guimarães, J.B.; Chemin, R.N.; Araujo, F.F.; Link, T.M.; Silva, F.D.; Bitar, A.; Nico, M.A.C.; Filho, A.G.O. Meniscal root tears: An update focused on preoperative and postoperative MRI findings. AJR Am. J. Roentgenol. 2022, 219, 269–278. [Google Scholar] [CrossRef] [PubMed]
- Karpinski, K.; Forkel, P.; Häner, M.; Bierke, S.; Petersen, W. Etiology of posterior meniscus root tears: Medial vs. lateral. Arch. Orthop. Trauma Surg. 2023, 143, 429–437. [Google Scholar] [CrossRef] [PubMed]
- Dawkins, B.J.; Kolin, D.A.; Park, J.; Fabricant, P.D.; Gilmore, A.; Seeley, M.; Mistovich, R.J. Sensitivity and Specificity of MRI in Diagnosing Concomitant Meniscal Injuries with Pediatric and Adolescent Acute ACL Tears. Orthop. J. Sports Med. 2022, 10, 23259671221079338. [Google Scholar] [CrossRef] [PubMed]






| MRI Diagnosis | Arthroscopic Diagnosis | ||
|---|---|---|---|
| Tear | No Tear | Total | |
| Tear | 52 | 11 | 63 |
| No tear | 12 | 37 | 49 |
| Total | 64 | 48 | 112 |
| MRI Diagnosis | Arthroscopic Diagnosis | ||
|---|---|---|---|
| Tear | No Tear | Total | |
| Tear | 31 | 3 | 34 |
| No tear | 10 | 68 | 78 |
| Total | 41 | 71 | 112 |
| Error Type | TI | MRI Findings | Arthroscopy Findings | ACL | Treatment | |
|---|---|---|---|---|---|---|
| Unavoidable | ||||||
| FN MM | ||||||
| 1 | M, 38 y | 42 | normal | degenerative lesion posterior horn | ACL-R | PM |
| 2 | M, 56 y | 1 | normal | fraying with tear posterior horn | PM | |
| 3 | M, 57 y | 35 | normal | degenerative tear posterior horn | PM | |
| FN LM | ||||||
| 4 | M, 27 | 47 | normal | tear anterior horn | PM | |
| 5 | M, 18 | 41 | normal | upper surface tear posterior horn | acute | R |
| 6 | M, 18 | 25 | normal | tear posterior horn | acute | PM |
| FP MM | ||||||
| 7 | F, 46 y | 39 | root tear posterior horn | normal | ||
| 8 | F, 36 y | 18 | ramp lesion posterior horn | normal | acute | |
| 6 | M, 18 y | 25 | ramp lesion posterior horn | normal | acute | |
| 9 | M, 50 y | 10 | tear posterior horn PO remnant | intact stable PO remnant | ||
| 10 | M, 25 y | 11 | ramp lesion posterior horn | normal | acute | |
| 11 | M, 34 y | 8 | ramp lesion posterior horn | normal | acute | |
| 12 | M, 25 y | 24 | ramp lesion posterior horn | normal | acute | |
| 13 | F, 40 y | 50 | tear posterior horn PO remnant | intact stable PO remnant | ||
| FP LM | ||||||
| 14 | M, 28 y | 8 | peripheral tear posterior horn | normal | acute | |
| 15 | M, 61 y | 80 | peripheral tear posterior horn | normal | chronic | |
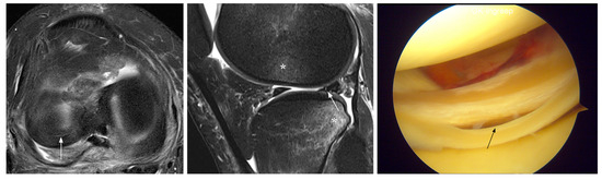
| Interpretation | ||||||
| FN MM | ||||||
| 16 | M, 45 y | 80 | missed peripheral tear posterior horn | unstable tear posterior horn | chronic | R |
| 17 | M, 40 y | 10 | missed posterior root tear | oblique root tear | acute | R |
| FN LM | ||||||
| 18 | M, 48 y | 50 | missed posterior root tear | posterior root tear | acute | R |
| 19 | F, 41 y | 9 | missed tear posterior horn | unstable tear posterior horn | acute | PM |
| 20 | M, 36 y | 30 | missed posterior root tear | partial posterior root tear | acute | R |
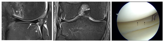
| Equivocal | ||||||
| FN MM | ||||||
| 21 | F, 56 y | 5 | grade 2 posterior horn | tear posterior horn | PM | |
| 14 | M, 28 y | 8 | grade 2–3 posterior horn | undersurface tear posterior horn | acute | R |
| 22 | M, 40 y | 74 | grade 2 posterior horn | degenerative tear posterior horn | PM | |
| 23 | M, 48 y | 7 | grade 2–3 posterior horn | large tear posterior horn | acute | PM |
| 24 | M, 31 y | 7 | grade 2 posterior horn | undersurface tear posterior horn | acute | R |
| 25 | F, 40 y | 7 | grade 2–3 posterior horn PO remnant | undersurface tear posterior horn PO remnant | acute | PM |
| 26 | F, 44 y | 9 | grade 2–3 posterior horn | undersurface tear posterior horn | acute | PM |
| FN LM | ||||||
| 27 | F, 32 | 47 | grade 2 anterior horn with parameniscal cyst | tear anterior horn | PM | |
| 28 | F, 52 | 34 | grade 2 anterior horn | tear anterior horn | PM | |
| 29 | F, 18 | 80 | grade 2 posterior horn | undersurface tear posterior horn | R | |
| 10 | M, 25 | 11 | grade 2–3 posterior horn | small tear body posterior horn | acute | PM |
| FP MM | ||||||
| 30 | F, 51 y | 27 | grade 2–3 posterior horn PO remnant | intact PO remnant | ||
| 31 | M, 70 y | 70 | grade 2–3 posterior horn | normal | ||
| 32 | F, 24 y | 23 | equivocal ramp lesion posterior horn | normal | acute ACL | |
| FP LM | ||||||
| 30 | F, 51 | 27 | grade 2 posterior horn | normal | ||
Disclaimer/Publisher’s Note: The statements, opinions and data contained in all publications are solely those of the individual author(s) and contributor(s) and not of MDPI and/or the editor(s). MDPI and/or the editor(s) disclaim responsibility for any injury to people or property resulting from any ideas, methods, instructions or products referred to in the content. |
© 2023 by the authors. Licensee MDPI, Basel, Switzerland. This article is an open access article distributed under the terms and conditions of the Creative Commons Attribution (CC BY) license (https://creativecommons.org/licenses/by/4.0/).
Share and Cite
Van Dyck, P.; Vandenrijt, J.; Vande Vyvere, T.; Snoeckx, A.; Heusdens, C.H.W. Analysis of Discordant Findings between 3T Magnetic Resonance Imaging and Arthroscopic Evaluation of the Knee Meniscus. J. Clin. Med. 2023, 12, 5667. https://doi.org/10.3390/jcm12175667
Van Dyck P, Vandenrijt J, Vande Vyvere T, Snoeckx A, Heusdens CHW. Analysis of Discordant Findings between 3T Magnetic Resonance Imaging and Arthroscopic Evaluation of the Knee Meniscus. Journal of Clinical Medicine. 2023; 12(17):5667. https://doi.org/10.3390/jcm12175667
Chicago/Turabian StyleVan Dyck, Pieter, Jasper Vandenrijt, Thijs Vande Vyvere, Annemiek Snoeckx, and Christiaan H. W. Heusdens. 2023. "Analysis of Discordant Findings between 3T Magnetic Resonance Imaging and Arthroscopic Evaluation of the Knee Meniscus" Journal of Clinical Medicine 12, no. 17: 5667. https://doi.org/10.3390/jcm12175667
APA StyleVan Dyck, P., Vandenrijt, J., Vande Vyvere, T., Snoeckx, A., & Heusdens, C. H. W. (2023). Analysis of Discordant Findings between 3T Magnetic Resonance Imaging and Arthroscopic Evaluation of the Knee Meniscus. Journal of Clinical Medicine, 12(17), 5667. https://doi.org/10.3390/jcm12175667

