Stapled Anastomosis for Side-to-Side Cavo-Cavostomy in Orthotopic Liver Transplantation
Abstract
1. Introduction
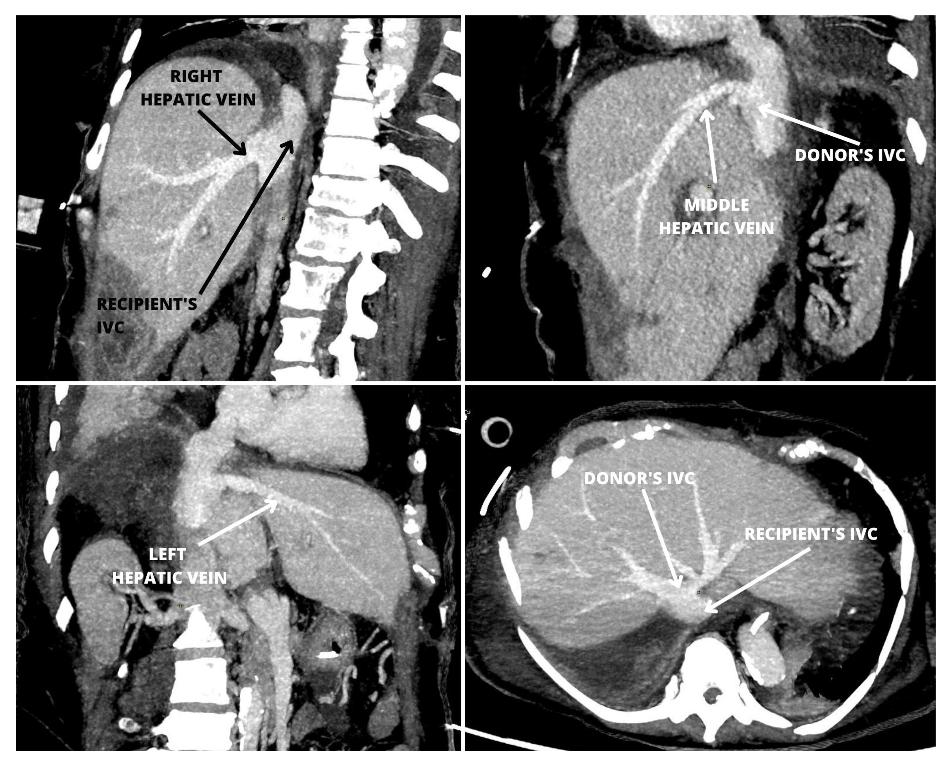
2. Case Report
3. Discussion
4. Conclusions
5. Future Directions
Author Contributions
Funding
Informed Consent Statement
Data Availability Statement
Conflicts of Interest
Abbreviations
| AKI | acute kidney injury |
| ALP | alkaline phosphatase |
| ALT | alanine transferase |
| AST | aspartate transaminase |
| GGTP | gamma glutamyl transpeptidase |
| HCV | hepatitis C virus |
| Hgb | hemoglobin |
| INF. | inferior |
| INR | international normalized ratio |
| IVC | inferior vena cava |
| MELD | Model for End-Stage Liver Disease |
| PLT | platelet count |
| POD | postoperative day |
| SUP. | superior |
| Tot. Bil. | total serum bilirubin |
| Vmax | maximal blood flow velocity |
| WBC | white blood cell count |
References
- Starzl, T.E.; Marchioro, T.L.; Vonkaulla, K.N.; Hermann, G.; Brittain, R.S.; Waddell, W.R. Homotransplantation of the liver in humans. Surg. Gynecol. Obstet. 1963, 117, 659–676. [Google Scholar] [PubMed]
- Calne, R.Y.; Williams, R. Liver transplantation in man. I. Observations on technique and organization in five cases. Br. Med. J. 1968, 5630, 535–540. [Google Scholar] [CrossRef] [PubMed]
- Belghiti, J.; Panis, Y.; Sauvanet, A.; Gayet, B.; Fékété, F. A new technique of side to side caval anastomosis during orthotopic hepatic transplantation without inferior vena caval occlusion. Surg. Gynecol. Obstet. 1992, 175, 270–272. [Google Scholar] [PubMed]
- Mehrabi, A.; Mood, Z.A.; Fonouni, H.; Kashfi, A.; Hillebrand, N.; Müller, S.A.; Encke, J.; Büchler, M.W.; Schmidt, J. A single-center experience of 500 liver transplants using the modified piggyback technique by Belghiti. Liver Transplant. 2009, 15, 466–474. [Google Scholar] [CrossRef] [PubMed]
- Shaker, T.M.; Eason, J.D.; Davidson, B.R.; Barth, R.N.; Pirenne, J.; Imventarza, O.; Spiro, M.; Raptis, D.A.; Fung, J.; ERS4OLT.org Working Group. Which cava anastomotic techniques are optimal regarding immediate and short-term outcomes after liver transplantation: A systematic review of the literature and expert panel recommendations. Clin. Transplant. 2022, 36, e14681. [Google Scholar] [CrossRef] [PubMed]
- Quintini, C.; Miller, C.M.; Hashimoto, K.; Philip, D.; Uso, T.D.; Aucejo, F.; Kelly, D.; Winans, C.; Eghtesad, B.; Vogt, D.; et al. Side-to-side cavocavostomy with an endovascular stapler: Rescue technique for severe hepatic vein and/or inferior vena cava outflow obstruction after liver transplantation using the piggyback technique. Liver Transplant. 2009, 15, 49–53. [Google Scholar] [CrossRef]
- Akbulut, S.; Wójcicki, M.; Kayaalp, C.; Yilmaz, S. Liver transplantation with piggyback anastomosis using a linear stapler: A case report. Transplant. Proc. 2013, 45, 1031–1033. [Google Scholar] [CrossRef]
- Voyles, C.R.; Vogel, S.B. Hepatic resection using stapling devices to control the hepatic veins. Am. J. Surg. 1989, 158, 459–460. [Google Scholar] [CrossRef]
- Schemmer, P.; Friess, H.; Dervenis, C.; Schmidt, J.; Weitz, J.; Uhl, W.; Büchler, M.W. The use of endo-GIA vascular staplers in liver surgery and their potential benefit: A review. Dig. Surg. 2007, 24, 300–305. [Google Scholar] [CrossRef]
- Raoof, M.; Aloia, T.A.; Vauthey, J.N.; Curley, S.A. Morbidity and mortality in 1174 patients undergoing hepatic parenchymal transection using a stapler device. Ann. Surg. Oncol. 2014, 21, 995–1001. [Google Scholar] [CrossRef]
- Fabian, M.A.; Herrin, M.K.; Baxter, J.; Ackermann, J.R. Extension of the right renal vein in cadaveric renal transplants with use of the vena cava and the TA-30 V3 surgical stapler. Surg. Gynecol. Obstet. 1991, 173, 233–234. [Google Scholar]
- Hussain, S.M.; Ghazanfar, A. Utilising endovascular stapling device to lengthen right renal vein using IVC-patch for deceased donor renal transplantation. Ann. R. Coll. Surg. Engl. 2022, 104, 153–155. [Google Scholar] [CrossRef]
- Grąt, M.; Kornasiewicz, O.; Lewandowski, Z.; Skalski, M.; Zieniewicz, K.; Pączek, L.; Krawczyk, M. The impact of surgical technique on the results of liver transplantation in patients with hepatocellular carcinoma. Ann. Transplant. 2013, 18, 448–459. [Google Scholar]
- Jochmans, I.; Fieuws, S.; Tieken, I.; Samuel, U.; Pirenne, J. The Impact of Implantation Time during Liver Transplantation on Outcome: A Eurotransplant Cohort Study. Transplant. Direct 2018, 4, e356. [Google Scholar] [CrossRef]
- Sutherasan, M.; Vorasittha, A.; Taesombat, W.; Nonthasoot, B.; Uthaithammarat, T.; Sirichindakul, P. Comparison of Three Inferior Vena Cava Reconstruction Techniques in Adult Orthotopic Liver Transplantation: Result from King Chulalongkorn Memorial Hospital, Thailand. Transplant. Proc. 2022, 54, 2224–2229. [Google Scholar] [CrossRef] [PubMed]
- Hannon, V.; Kothari, R.P.; Zhang, L.; Bokoch, M.P.; Hill, R.; Roll, G.R.; Mello, A.; Feiner, J.R.; Liu, K.D.; Niemann, C.U.; et al. The Association Between Vena Cava Implantation Technique and Acute Kidney Injury after Liver Transplantation. Transplantation 2020, 104, e308–e316. [Google Scholar] [CrossRef] [PubMed]
- Liu, C.; Tsai, H.L.; Loong, C.C.; Hsia, C.Y.; Chin, T.; Wei, C. ENDO-GIA staplers for side-to-side anastomosis of veins. Eur. J. Vasc. Endovasc. Surg. 2006, 32, 584–588. [Google Scholar] [CrossRef]
- Levi, D.M.; Pararas, N.; Tzakis, A.G.; Nishida, S.; Tryphonopoulos, P.; Gonzalez-Pinto, I.; Tekin, A.; Selvaggi, G.; Livingstone, A.S. Liver transplantation with preservation of the inferior vena cava: Lessons learned through 2000 cases. J. Am. Coll. Surg. 2012, 214, 691–698. [Google Scholar] [CrossRef]
- Arudchelvam, J.; Bartlett, A.; McCall, J.; Johnston, P.; Gane, E.; Munn, S. Hepatic venous outflow obstruction in piggyback liver transplantation: Single centre experience. ANZ J. Surg. 2017, 87, 182–185. [Google Scholar] [CrossRef]
- Wojcicki, M.; Post, M.; Pakosz-Golanowska, M.; Zeair, S.; Lubikowski, J.; Jarosz, K.; Czuprynska, M.; Milkiewicz, P. Vascular complications following adult piggyback liver transplantation with end-to-side cavo-cavostomy: A single-center experience. Transplant. Proc. 2009, 41, 3131–3134. [Google Scholar] [CrossRef] [PubMed]
- Silva, A.M.; Waisberg, D.R.; Fernandes, M.R.; Martino, R.B.; Rocha-Santos, V.; Pinheiro, R.S.; Nacif, L.S.; Arantes, R.M.; Ducatti, L.; Galvão, F.H.; et al. Hepatic Venous Outflow Obstruction in Adult Deceased Donor Liver Transplantation: Classic Piggyback Implantation Versus a Modified Technique that Widens the Ostium of the Recipient’s Left and Middle Hepatic Veins. Transplant. Proc. 2022, 54, 1316–1319. [Google Scholar] [CrossRef] [PubMed]
- Pitchaimuthu, M.; Roll, G.R.; Zia, Z.; Olliff, S.; Mehrzad, H.; Hodson, J.; Gunson, B.K.; Perera, M.T.; Isaac, J.R.; Muiesan, P.; et al. Long-term follow-up after endovascular treatment of hepatic venous outflow obstruction following liver transplantation. Transplant. Int. 2016, 29, 1106–1116. [Google Scholar] [CrossRef] [PubMed]
- Khorsandi, S.E.; Athale, A.; Vilca-Melendez, H.; Jassem, W.; Prachalias, A.; Srinivasan, P.; Rela, M.; Heaton, N. Presentation, diagnosis, and management of early hepatic venous outflow complications in whole cadaveric liver transplant. Liver Transplant. 2015, 21, 914–921. [Google Scholar] [CrossRef] [PubMed]
- Navarro, F.; Le Moine, M.C.; Fabre, J.M.; Belghiti, J.; Cherqui, D.; Adam, R.; Pruvot, F.R.; Letoublon, C.; Domergue, J. Specific vascular complications of orthotopic liver transplantation with preservation of the retrohepatic vena cava: Review of 1361 cases. Transplantation 1999, 68, 646–650. [Google Scholar] [CrossRef] [PubMed]
- Tashiro, H.; Ohdan, H.; Itamoto, T.; Ishifuro, M.; Hara, H.; Tokita, D.; Onoe, T.; Ishiyama, K.; Mitsuta, H.; Ide, K.; et al. Vascular closure staples for portal vein reconstruction in living-donor liver transplantation. Am. J. Surg. 2005, 190, 65–68. [Google Scholar] [CrossRef] [PubMed]
- Liu, K.; Yang, H.; Huang, G.; Shi, A.; Lu, Q.; Wang, S.; Qiao, W.; Wang, H.; Ke, M.; Ding, H.; et al. Adhesive anastomosis for organ transplantation. Bioact. Mater. 2021, 13, 260–268. [Google Scholar] [CrossRef] [PubMed]



| At Admission | POD 7 | POD 30 | POD 60 | |
|---|---|---|---|---|
| ALP (IU/L) | 69 | 325 | 147 | 87 |
| GGTP (IU/L) | 23 | 310 | 107 | 36 |
| AST (IU/L) | 18 | 37 | 27 | 20 |
| ALT (IU/L) | 18 | 151 | 52 | 29 |
| Tot. Bil (mg/dL) | 2.72 | 1.78 | 0.86 | 0.53 |
| INR | 1.10 | 1.13 | 1.11 | 1.11 |
| Albumin (g/dL) | 3.4 | 3.4 | 4.5 | 4.4 |
| PLT (103/L) | 167 | 246 | 237 | 164 |
| WBC (103/L) | 5.34 | 7.82 | 4.76 | 3.29 |
| Hgb (g/dL) | 9.3 | 8.8 | 9.9 | 9.9 |
| Creatinine (mg/dL) | 0.98 | 0.59 | 0.89 | 1.06 |
Disclaimer/Publisher’s Note: The statements, opinions and data contained in all publications are solely those of the individual author(s) and contributor(s) and not of MDPI and/or the editor(s). MDPI and/or the editor(s) disclaim responsibility for any injury to people or property resulting from any ideas, methods, instructions or products referred to in the content. |
© 2023 by the authors. Licensee MDPI, Basel, Switzerland. This article is an open access article distributed under the terms and conditions of the Creative Commons Attribution (CC BY) license (https://creativecommons.org/licenses/by/4.0/).
Share and Cite
Kruk, E.; Kalinowski, P.; Gibiński, K.; Dudek, K.; Skalski, M.; Przybysz, M.; Zhylko, A.; Nazarewski, Ł.; Morawski, M.; Grąt, M. Stapled Anastomosis for Side-to-Side Cavo-Cavostomy in Orthotopic Liver Transplantation. J. Clin. Med. 2023, 12, 5289. https://doi.org/10.3390/jcm12165289
Kruk E, Kalinowski P, Gibiński K, Dudek K, Skalski M, Przybysz M, Zhylko A, Nazarewski Ł, Morawski M, Grąt M. Stapled Anastomosis for Side-to-Side Cavo-Cavostomy in Orthotopic Liver Transplantation. Journal of Clinical Medicine. 2023; 12(16):5289. https://doi.org/10.3390/jcm12165289
Chicago/Turabian StyleKruk, Emilia, Piotr Kalinowski, Krzysztof Gibiński, Krzysztof Dudek, Michał Skalski, Marta Przybysz, Andriy Zhylko, Łukasz Nazarewski, Marcin Morawski, and Michał Grąt. 2023. "Stapled Anastomosis for Side-to-Side Cavo-Cavostomy in Orthotopic Liver Transplantation" Journal of Clinical Medicine 12, no. 16: 5289. https://doi.org/10.3390/jcm12165289
APA StyleKruk, E., Kalinowski, P., Gibiński, K., Dudek, K., Skalski, M., Przybysz, M., Zhylko, A., Nazarewski, Ł., Morawski, M., & Grąt, M. (2023). Stapled Anastomosis for Side-to-Side Cavo-Cavostomy in Orthotopic Liver Transplantation. Journal of Clinical Medicine, 12(16), 5289. https://doi.org/10.3390/jcm12165289

