Pilot Study: FSHR Expression in Neuroendocrine Tumors of the Appendix
Abstract
1. Introduction
2. Materials and Methods
2.1. Patient Samples
2.2. Tissue Preparation
2.3. Immunohistochemical Reactions
2.4. Quantitative Analysis of Immunohistochemistry
2.5. Statistical Analysis
3. Results
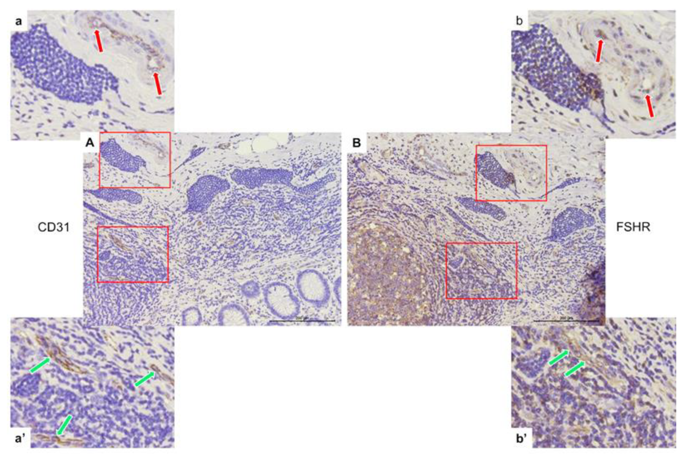
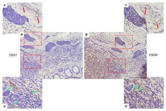
3.1. CD31 Immunoexpression
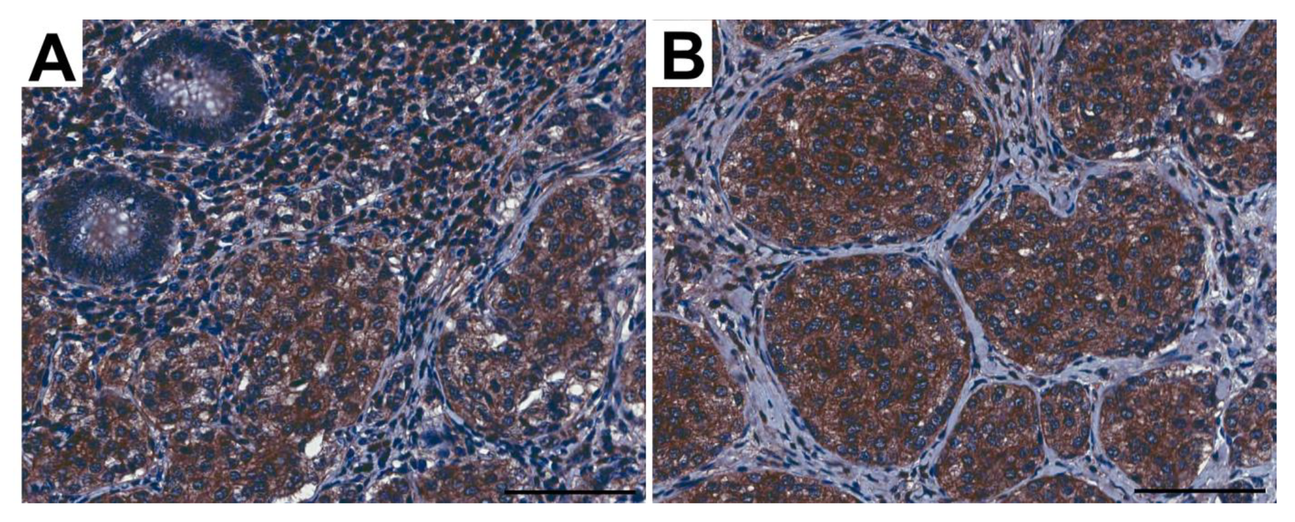
3.2. Pattern of FSHR Immunoexpression in ANENs without Division into Women and Men
3.3. Pattern of FSHR Immunoexpression in ANENs by Gender
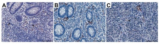
3.3.1. Mucosa and Submucosa
3.3.2. Muscle Layers
3.3.3. Serosa
3.3.4. CD31 and FSHR Co-Expression in Endothelial Cells of Capillaries
4. Discussion
5. Conclusions
Supplementary Materials
Author Contributions
Funding
Institutional Review Board Statement
Informed Consent Statement
Data Availability Statement
Conflicts of Interest
References
- Stinner, B.; Rothmund, M. Neuroendocrine Tumours (Carcinoids) of the Appendix. Best Pract. Res. Clin. Gastroenterol. 2005, 19, 729–738. [Google Scholar] [CrossRef]
- Alexandraki, K.I.; Kaltsas, G.A.; Grozinsky-Glasberg, S.; Chatzellis, E.; Grossman, A.B. Appendiceal Neuroendocrine Neoplasms: Diagnosis and Management. Endocr.-Relat. Cancer 2016, 23, R27–R41. [Google Scholar] [CrossRef] [PubMed]
- Pawa, N.; Clift, A.K.; Osmani, H.; Drymousis, P.; Cichocki, A.; Flora, R.; Goldin, R.; Patsouras, D.; Baird, A.; Malczewska, A.; et al. Surgical Management of Patients with Neuroendocrine Neoplasms of the Appendix: Appendectomy or More. Neuroendocrinology 2018, 106, 242–251. [Google Scholar] [CrossRef]
- Moris, D.; Tsilimigras, D.I.; Vagios, S.; Ntanasis-Stathopoulos, I.; Karachaliou, G.S.; Papalampros, A.; Alexandrou, A.; Blazer, D.G.; Felekouras, E. Neuroendocrine Neoplasms of the Appendix: A Review of the Literature. Anticancer Res. 2018, 38, 601–611. [Google Scholar] [CrossRef] [PubMed]
- Simon, C.T.; Ehrlich, P.; Hryhorczuk, A.; Rabah, R.; Sedig, L.; Stoll, T.; Heider, A. Well-Differentiated Neuroendocrine Tumors of the Appendix in Children and Adolescents: A Clinicopathologic Study. Pediatr. Dev. Pathol. 2023, 26, 250–258. [Google Scholar] [CrossRef] [PubMed]
- Mohamed, A.; Wu, S.; Hamid, M.; Mahipal, A.; Cjakrabarti, S.; Bajor, D.; Selfridge, J.E.; Asa, S.L. Management of Appendix Neuroendocrine Neoplasms: Insights on the Current Guidelines. Cancers 2022, 15, 295. [Google Scholar] [CrossRef] [PubMed]
- Telega, A.; Kos-Kudła, B.; Foltyn, W.; Blicharz-Dorniak, J.; Rosiek, V. Selected Neuroendocrine Tumour Markers, Growth Factors and Their Receptors in Typical and Atypical Bronchopulmonary Carcinoids. Endokrynol. Pol. 2012, 63, 477–482. [Google Scholar]
- Kos-Kudła, B.; Blicharz-Dorniak, J.; Strzelczyk, J.; Bałdys-Waligórska, A.; Bednarczuk, T.; Bolanowski, M.; Boratyn-Nowicka, A.; Borowska, M.; Cichocki, A.; Ćwikła, J.B.; et al. Zalecenia Ogólne Dotyczące Postępowania Diagnostyczno-Terapeutycznego w Nowotworach Neuroendokrynnych Układu Pokarmowego (Rekomendowane Przez Polską Sieć Guzów Neuroendokrynnych). Endokrynol. Pol. 2017, 68, 79–110. [Google Scholar] [CrossRef]
- Attili, F.; Capurso, G.; Vanella, G.; Fuccio, L.; Fave, G.D.; Costamagna, G.; Larghi, A. Diagnostic and Therapeutic Role of Endoscopy in Gastroenteropancreatic Neuroendocrine Neoplasms. Dig. Liver Dis. 2014, 46, 9–17. [Google Scholar] [CrossRef]
- Ambrosini, V.; Campana, D.; Bodei, L.; Nanni, C.; Castellucci, P.; Allegri, V.; Montini, G.C.; Tomassetti, P.; Paganelli, G.; Fanti, S. 68Ga-DOTANOC PET/CT Clinical Impact in Patients with Neuroendocrine Tumors. J. Nucl. Med. 2010, 51, 669–673. [Google Scholar] [CrossRef]
- Scoazec, J.-Y. Angiogenesis in Neuroendocrine Tumors: Therapeutic Applications. Neuroendocrinology 2013, 97, 45–56. [Google Scholar] [CrossRef] [PubMed]
- Yazdani, S.; Kasajima, A.; Tamaki, K.; Nakamura, Y.; Fujishima, F.; Ohtsuka, H.; Motoi, F.; Unno, M.; Watanabe, M.; Sato, Y.; et al. Angiogenesis and Vascular Maturation in Neuroendocrine Tumors. Hum. Pathol. 2014, 45, 866–874. [Google Scholar] [CrossRef] [PubMed]
- Parte, S.; Bhartiya, D.; Telang, J.; Daithankar, V.; Salvi, V.; Zaveri, K.; Hinduja, I. Detection, Characterization, and Spontaneous Differentiation In Vitro of Very Small Embryonic-Like Putative Stem Cells in Adult Mammalian Ovary. Stem Cells Dev. 2011, 20, 1451–1464. [Google Scholar] [CrossRef] [PubMed]
- Patel, H.; Bhartiya, D.; Parte, S.; Gunjal, P.; Yedurkar, S.; Bhatt, M. Follicle Stimulating Hormone Modulates Ovarian Stem Cells through Alternately Spliced Receptor Variant FSH-R3. J. Ovarian Res. 2013, 6, 52. [Google Scholar] [CrossRef] [PubMed]
- Patel, H.; Bhartiya, D.; Parte, S. Further Characterization of Adult Sheep Ovarian Stem Cells and Their Involvement in Neo-Oogenesis and Follicle Assembly. J. Ovarian Res. 2018, 11, 3. [Google Scholar] [CrossRef] [PubMed]
- Bhartiya, D.; Sharma, D. Ovary Does Harbor Stem Cells—Size of the Cells Matter! J. Ovarian Res. 2020, 13, 39. [Google Scholar] [CrossRef] [PubMed]
- Bhartiya, D.; Patel, H. An Overview of FSH-FSHR Biology and Explaining the Existing Conundrums. J. Ovarian Res. 2021, 14, 144. [Google Scholar] [CrossRef]
- Bhartiya, D.; Patel, H.; Kaushik, A.; Singh, P.; Sharma, D. Endogenous, Tissue-Resident Stem/Progenitor Cells in Gonads and Bone Marrow Express FSHR and Respond to FSH via FSHR-3. J. Ovarian Res. 2021, 14, 145. [Google Scholar] [CrossRef]
- Pawlikowski, M.; Winczyk, K.; Stępień, H. Immunohistochemical Detection of Follicle Stimulating Hormone Receptor (FSHR) in Neuroendocrine Tumours. Endokrynol. Pol. 2013, 64, 268–271. [Google Scholar] [CrossRef]
- Radu, A.; Pichon, C.; Camparo, P.; Antoine, M.; Allory, Y.; Couvelard, A.; Fromont, G.; Hai, M.T.V.; Ghinea, N. Expression of Follicle-Stimulating Hormone Receptor in Tumor Blood Vessels. N. Engl. J. Med. 2010, 363, 1621–1630. [Google Scholar] [CrossRef]
- Ghinea, N. Vascular Endothelial FSH Receptor, a Target of Interest for Cancer Therapy. Endocrinology 2018, 159, 3268–3274. [Google Scholar] [CrossRef]
- Marlicz, W.; Poniewierska-Baran, A.; Rzeszotek, S.; Bartoszewski, R.; Skonieczna-Żydecka, K.; Starzyńska, T.; Ratajczak, M.Z. A Novel Potential Role of Pituitary Gonadotropins in the Pathogenesis of Human Colorectal Cancer. PLoS ONE 2018, 13, e0189337. [Google Scholar] [CrossRef] [PubMed]
- Rzeszotek, S.; Trybek, G.; Tarnowski, M.; Serwin, K.; Jaroń, A.; Schneider, G.; Kolasa, A.; Wiszniewska, B. Colostrum-Induced Temporary Changes in the Expression of Proteins Regulating the Epithelial Barrier Function in the Intestine. Foods 2022, 11, 685. [Google Scholar] [CrossRef] [PubMed]
- Hlatky, L. Clinical Application of Antiangiogenic Therapy: Microvessel Density, What It Does and Doesn’t Tell Us. Cancer Spectrum. Knowl. Environ. 2002, 94, 883–893. [Google Scholar] [CrossRef]
- Battistella, A.; Partelli, S.; Andreasi, V.; Marinoni, I.; Palumbo, D.; Tacelli, M.; Lena, M.S.; Muffatti, F.; Mushtaq, J.; Capurso, G.; et al. Preoperative Assessment of Microvessel Density in Nonfunctioning Pancreatic Neuroendocrine Tumors (NF-PanNETs). Surgery 2022, 172, 1236–1244. [Google Scholar] [CrossRef] [PubMed]
- Siraj, A.; Desestret, V.; Antoine, M.; Fromont, G.; Huerre, M.; Sanson, M.; Camparo, P.; Pichon, C.; Planeix, F.; Gonin, J.; et al. Expression of Follicle-Stimulating Hormone Receptor by the Vascular Endothelium in Tumor Metastases. BMC Cancer 2013, 13, 246. [Google Scholar] [CrossRef] [PubMed]
- Siraj, M.A.; Pichon, C.; Radu, A.; Ghinea, N. Endothelial Follicle Stimulating Hormone Receptor in Primary Kidney Cancer Correlates with Subsequent Response to Sunitinib. J. Cell. Mol. Med. 2012, 16, 2010–2016. [Google Scholar] [CrossRef]
- Keereweer, S.; Van Driel, P.B.A.A.; Robinson, D.J.; Lowik, C.W.G.M. Shifting Focus in Optical Image-Guided Cancer Therapy. Mol. Imaging Biol. 2014, 16, 1–9. [Google Scholar] [CrossRef]
- Papadimitriou, K.; Kountourakis, P.; Kottorou, A.E.; Antonacopoulou, A.G.; Rolfo, C.; Peeters, M.; Kalofonos, H.P. Follicle-Stimulating Hormone Receptor (FSHR): A Promising Tool in Oncology? Mol. Diagn. Ther. 2016, 20, 523–530. [Google Scholar] [CrossRef]
- Pawlikowski, M.; Radek, M.; Jaranowska, M.; Kunert-Radek, J.; Swietoslawski, J.; Winczyk, K. Ekspresja Receptorów Folitropiny w Gruczolakach Przysadki—Marker Agresywności Guza? Endokrynol. Pol. 2015, 65, 469–471. [Google Scholar] [CrossRef]
- Vinik, A.I.; Woltering, E.A.; Warner, R.R.P.; Caplin, M.; O’Dorisio, T.M.; Wiseman, G.A.; Coppola, D.; Go, V.L.W. NANETS Consensus Guidelines for the Diagnosis of Neuroendocrine Tumor. Pancreas 2010, 39, 713–734. [Google Scholar] [CrossRef] [PubMed]
- Pape, U.-F.; Niederle, B.; Costa, F.; Gross, D.; Kelestimur, F.; Kianmanesh, R.; Knigge, U.; Öberg, K.; Pavel, M.; Perren, A.; et al. ENETS Consensus Guidelines for Neuroendocrine Neoplasms of the Appendix (Excluding Goblet Cell Carcinomas). Neuroendocrinology 2016, 103, 144–152. [Google Scholar] [CrossRef] [PubMed]
- Nesti, C.; Bräutigam, K.; Benavent, M.; Bernal, L.; Boharoon, H.; Botling, J.; Bouroumeau, A.; Brcic, I.; Brunner, M.; Cadiot, G.; et al. Hemicolectomy versus Appendectomy for Patients with Appendiceal Neuroendocrine Tumours 1–2 Cm in Size: A Retrospective, Europe-Wide, Pooled Cohort Study. Lancet Oncol. 2023, 24, 187–194. [Google Scholar] [CrossRef] [PubMed]
- Ma, Z.-Y.; Gong, Y.-F.; Zhuang, H.-K.; Zhou, Z.-X.; Huang, S.-Z.; Zou, Y.-P.; Huang, B.-W.; Sun, Z.-H.; Zhang, C.-Z.; Tang, Y.-Q.; et al. Pancreatic Neuroendocrine Tumors: A Review of Serum Biomarkers, Staging, and Management. World J. Gastroenterol. 2020, 26, 2305–2322. [Google Scholar] [CrossRef]
- Sardella, C.; Russo, D.; Raggi, F.; Lombardi, M.; Urbani, C.; Brogioni, S.; Boggi, U.; Funel, N.; Chifenti, B.; Campani, D.; et al. Ectopic Expression of FSH Receptor Isoforms in Neoplastic but Not in Endothelial Cells from Pancreatic Neuroendocrine Tumors. J. Endocrinol. Investig. 2013, 36, 174–179. [Google Scholar] [CrossRef]
- Hong, H.; Yan, Y.; Shi, S.; Graves, S.A.; Krasteva, L.K.; Nickles, R.J.; Yang, M.; Cai, W. PET of Follicle-Stimulating Hormone Receptor: Broad Applicability to Cancer Imaging. Mol. Pharm. 2015, 12, 403–410. [Google Scholar] [CrossRef]
- Xu, Y.; Pan, D.; Zhu, C.; Xu, Q.; Wang, L.; Chen, F.; Yang, R.; Luo, S.; Yang, M.; Yan, Y. Pilot Study of a Novel 18F-Labeled FSHR Probe for Tumor Imaging. Mol. Imaging Biol. 2014, 16, 578–585. [Google Scholar] [CrossRef]
- Goede, A.C.; Caplin, M.E.; Winslet, M.C. Carcinoid Tumour of the Appendix. Br. J. Surg. 2003, 90, 1317–1322. [Google Scholar] [CrossRef]
- Alkhayyat, M. Epidemiology of Neuroendocrine Tumors of the Appendix in the USA: A Population-Based National Study (2014–2019). Ann. Gastroenterol. 2021, 34, 713. [Google Scholar] [CrossRef]
- Doroszko, M.; Chrusciel, M.; Stelmaszewska, J.; Slezak, T.; Anisimowicz, S.; Plöckinger, U.; Quinkler, M.; Bonomi, M.; Wolczynski, S.; Huhtaniemi, I.; et al. GnRH Antagonist Treatment of Malignant Adrenocortical Tumors. Endocr.-Relat. Cancer 2019, 26, 103–117. [Google Scholar] [CrossRef]
- Stelmaszewska, J.; Chrusciel, M.; Doroszko, M.; Akerfelt, M.; Ponikwicka-Tyszko, D.; Nees, M.; Frentsch, M.; Li, X.; Kero, J.; Huhtaniemi, I.; et al. Revisiting the Expression and Function of Follicle-Stimulation Hormone Receptor in Human Umbilical Vein Endothelial Cells. Sci. Rep. 2016, 6, 37095. [Google Scholar] [CrossRef] [PubMed]







| ANEN No. | Sex | Age | Tumor Size [mm] | Staging (AJCC/UICC 2017) | Grading (WHO 2022) | Ki-67 | Mitotic Count [per 2 mm2] | Chromogranin A | Synaptophysin | Mucosa Invasion | Submucosa Invasion | Muscular layer Invasion | Serosa Invasion | FSHR |
|---|---|---|---|---|---|---|---|---|---|---|---|---|---|---|
| 1 | F | 56 | 7 | pT1 | G1 | 1% | 1 | + | + | + | + | + | − | + |
| 2 | F | 10 | 3 | pT1 | G1 | 1% | 0.5 | + | + | + | + | − | − | + |
| 3 | F | 13 | 6 | pT1 | G1 | 1% | 0.2 | + | + | + | + | + | − | + |
| 4 | F | 64 | 8 | pT1 | G1 | 1% | 1 | + | + | + | + | + | − | + |
| 5 | F | 25 | 3 | pT1 | G1 | 2% | 1 | + | + | + | + | − | − | + |
| 6 | M | 25 | 5 | pT1 | G1 | 1% | 1 | + | + | + | + | + | + | + |
| 7 | F | 52 | 3 | pT1 | G1 | 1% | 1 | + | + | + | + | − | − | + |
| 8 | F | 36 | 9 | pT1 | G1 | 2% | 0.5 | + | + | + | + | − | − | + |
| 9 | F | 47 | 11 | pT1 | G1 | 1% | 1 | + | + | + | + | + | + | + |
| 10 | F | 25 | 6 | pT1 | G1 | 1% | 1 | + | + | + | + | + | − | + |
| 11 | F | 18 | 1 | pT1 | G1 | 1% | 0.8 | + | + | + | + | + | − | + |
| 12 | F | 20 | 7 | pT1 | G1 | 1% | 1 | + | + | + | + | + | − | + |
| 13 | M | 53 | 9 | pT1 | G1 | 1% | 1 | + | + | + | + | + | − | + |
| 14 | F | 59 | 5 | pT1 | G1 | 1% | 0.5 | + | + | + | + | − | − | + |
| 15 | F | 22 | 14 | pT1 | G1 | 1% | 1 | + | + | + | + | + | − | + |
| 16 | F | 21 | 5 | pT1 | G1 | 2% | 0.5 | + | + | + | + | + | − | + |
| 17 | F | 21 | 3 | pT1 | G1 | 0.5% | 0.1 | + | + | + | + | + | − | + |
| 18 | M | 29 | 2 | pT1 | G1 | 1% | 1 | + | + | + | + | − | − | + |
| 19 | F | 30 | 5 | pT1 | G1 | 2% | 0.2 | + | + | + | + | + | − | + |
| 20 | F | 56 | 6 | pT1 | G1 | 1% | 1 | + | + | + | + | + | − | + |
| Group | Layer of Appendix | Microvessel Density | Mean Vessel Area (µm2) | Mean Vessel Perimeter (µm) | |||
|---|---|---|---|---|---|---|---|
| Median (Range) | X ± SD | Median (Range) | X ± SD | Median (Range) | X ± SD | ||
| Control | Mucosa and submucosa | 2.3 × 10−6 (2.6 × 10−8–5.0 × 10−5) | 1.0 × 10−5 ± 1.4 × 10−5 | 104.6 (39.0−320.9) | 123.9 ± 73.3 | 50.8 (28.0−87.2) | 50.6 ± 16.6 |
| Muscle layer | 2.8 × 10−6 (1.3 × 10−7–3.7 × 10−5) | 6.8 × 10−6 ± 9.3 × 10−6 | 81.7 (36.8−172.1) | 85.6 ± 33.8 | 40.8 (15.7−94.0) | 45.4 ± 15.2 | |
| Serosa | 2.3 × 10−5 (8.7 × 10−7–2.6 × 10−4) | 4.7 × 10−5 ± 5.9 × 10−5 | 225.5 (17.0−392.7) | 240.6 ± 101.0 | 82.6 (19.0−106.3) | 82.4 ± 19.7 | |
| ANEN | Mucosa and submucosa | 9.1 × 10−6 (5.6 × 10−7–7.0 × 10−5) | 1.4 × 10−5 * ± 1.5 × 10−5 | 138.3 (34.0−313.0) | 144.7 ± 68.3 | 55.5 (29.5−96.3) | 57.5 ± 16.5 |
| Muscle layer | 4.1 × 10−6 (1.0 × 10−6–2.1 × 10−4) | 1.2 × 10−5 ± 3.5 × 10−5 | 82.9 (21.0−214.6) | 93.9 ± 54.9 | 42.3 (22.0−81.5) | 45.4 ± 19.5 | |
| Serosa | 4.1 × 10−5 (2.6 × 10−7–1.8 × 10−4) | 5.6 × 10−5 ± 5.2 × 10−5 | 212.0 (18.0−532.4) | 255.5 ± 123.7 | 80.0 (19.0−123.0) | 82.5 ± 25.4 | |
Disclaimer/Publisher’s Note: The statements, opinions and data contained in all publications are solely those of the individual author(s) and contributor(s) and not of MDPI and/or the editor(s). MDPI and/or the editor(s) disclaim responsibility for any injury to people or property resulting from any ideas, methods, instructions or products referred to in the content. |
© 2023 by the authors. Licensee MDPI, Basel, Switzerland. This article is an open access article distributed under the terms and conditions of the Creative Commons Attribution (CC BY) license (https://creativecommons.org/licenses/by/4.0/).
Share and Cite
Starzyński, D.; Rzeszotek, S.; Kolasa, A.; Grabowska, M.; Wiszniewska, B.; Kudrymska, A.; Karpińska, K.; Tołoczko-Grabarek, A.; Janiec, A.; Myszka, A.; et al. Pilot Study: FSHR Expression in Neuroendocrine Tumors of the Appendix. J. Clin. Med. 2023, 12, 5086. https://doi.org/10.3390/jcm12155086
Starzyński D, Rzeszotek S, Kolasa A, Grabowska M, Wiszniewska B, Kudrymska A, Karpińska K, Tołoczko-Grabarek A, Janiec A, Myszka A, et al. Pilot Study: FSHR Expression in Neuroendocrine Tumors of the Appendix. Journal of Clinical Medicine. 2023; 12(15):5086. https://doi.org/10.3390/jcm12155086
Chicago/Turabian StyleStarzyński, Dariusz, Sylwia Rzeszotek, Agnieszka Kolasa, Marta Grabowska, Barbara Wiszniewska, Aleksandra Kudrymska, Katarzyna Karpińska, Aleksandra Tołoczko-Grabarek, Agnieszka Janiec, Aleksandra Myszka, and et al. 2023. "Pilot Study: FSHR Expression in Neuroendocrine Tumors of the Appendix" Journal of Clinical Medicine 12, no. 15: 5086. https://doi.org/10.3390/jcm12155086
APA StyleStarzyński, D., Rzeszotek, S., Kolasa, A., Grabowska, M., Wiszniewska, B., Kudrymska, A., Karpińska, K., Tołoczko-Grabarek, A., Janiec, A., Myszka, A., Rynio, P., Syrenicz, A., & Sowińska-Przepiera, E. (2023). Pilot Study: FSHR Expression in Neuroendocrine Tumors of the Appendix. Journal of Clinical Medicine, 12(15), 5086. https://doi.org/10.3390/jcm12155086

