Infective Endocarditis among Pediatric Patients with Prosthetic Valves and Cardiac Devices: A Review and Update of Recent Emerging Diagnostic and Management Strategies
Abstract
1. Introduction
2. Diagnosis of IE in Patients with Devices or Prostheses
2.1. Microbiological Diagnosis
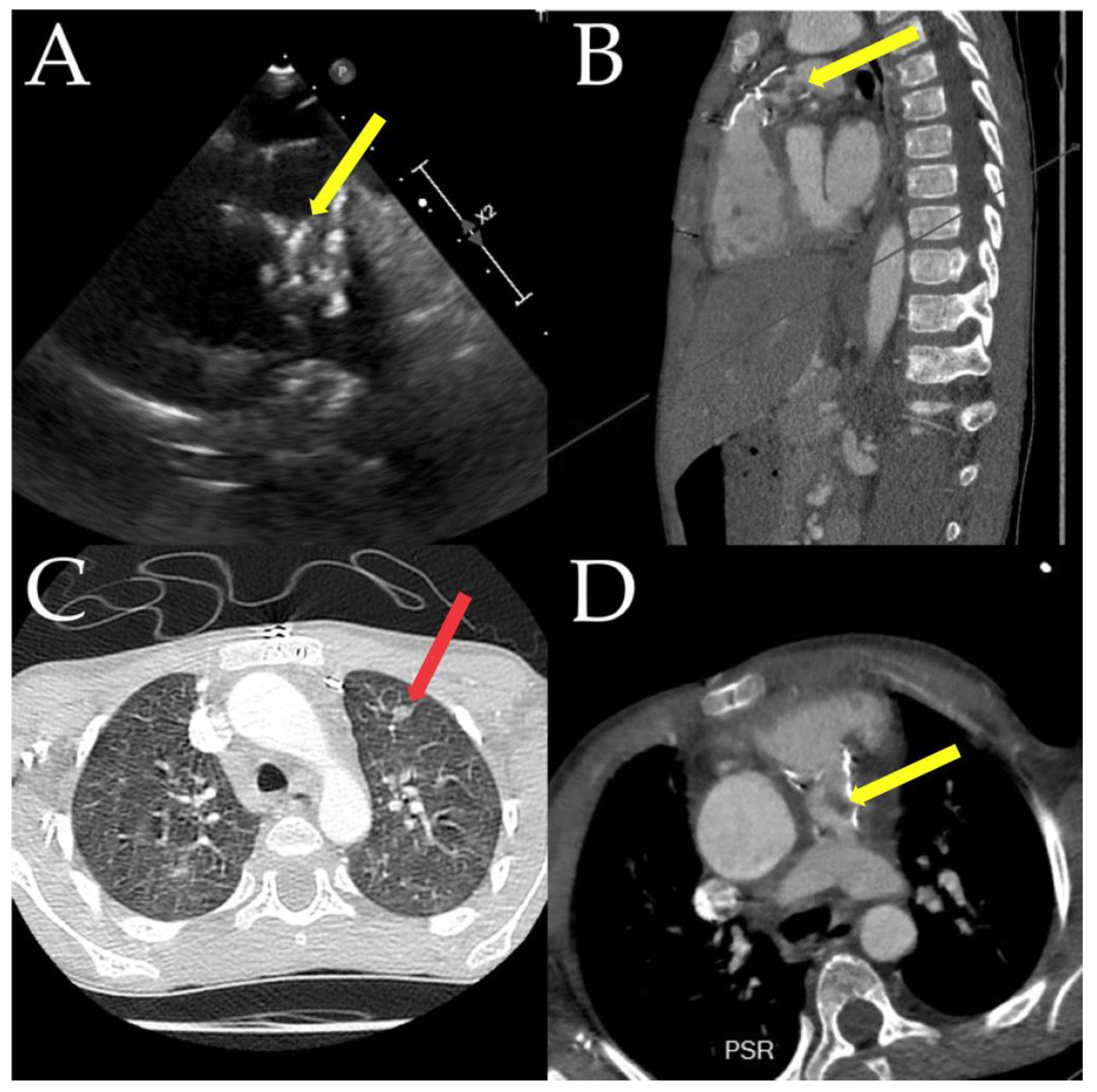
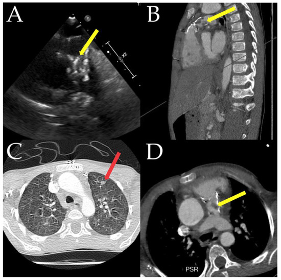
2.2. Imagistic Techniques
3. Cardiac Devices in Children: CIED
3.1. Overview
3.2. Infective Endocarditis in Patients with CIED
3.3. Diagnosis
3.4. Management
4. Cardiac Surgery or Interventional Procedures in Children
4.1. Cardiac Surgery and Prosthetic Valves, Conduits, and Other Material Implants
4.2. Transcatheter Valve Implantation and Other Interventional Procedures
5. Updates on Guidelines, Antibiotic Resistance and Regimens, and Prophylaxis
6. Conclusions
Author Contributions
Funding
Institutional Review Board Statement
Informed Consent Statement
Data Availability Statement
Acknowledgments
Conflicts of Interest
References
- Gupta, S.; Sakhuja, A.; McGrath, E.; Asmar, B. Trends, Microbiology, and Outcomes of Infective Endocarditis in Children during 2000–2010 in the United States. Congenit. Heart Dis. 2017, 12, 196–201. [Google Scholar] [CrossRef] [PubMed]
- Mahony, M.; Lean, D.; Pham, L.; Horvath, R.; Suna, J.; Ward, C.; Veerappan, S.; Versluis, K.; Nourse, C. Infective Endocarditis in Children in Queensland, Australia: Epidemiology, Clinical Features and Outcome. Pediatr. Infect. Dis. J. 2021, 40, 617–622. [Google Scholar] [CrossRef] [PubMed]
- Cinteza, E. Endocardita infectioasa. In Esentialul in Cardiologia Pediatrica; Editura Medicala Amaltea: Bucuresti, Romania, 2022. [Google Scholar]
- Vicent, L.; Luna, R.; Martínez-Sellés, M. Pediatric Infective Endocarditis: A Literature Review. J. Clin. Med. 2022, 11, 3217. [Google Scholar] [CrossRef]
- Vicent, L.; Goenaga, M.A.; Muñoz, P.; Marín-Arriaza, M.; Valerio, M.; Fariñas, M.C.; Cobo-Belaustegui, M.; de Alarcón, A.; Rodríguez-Esteban, M.Á.; Miró, J.M.; et al. Infective Endocarditis in Children and Adolescents: A Different Profile with Clinical Implications. Pediatr. Res. 2022, 92, 1400–1406. [Google Scholar] [PubMed]
- Martin, J.; Lindgren, C. Infectious Endocarditis Prophylaxis in Children. Pediatr. Emerg. Care 2018, 34, 743–746. [Google Scholar] [CrossRef] [PubMed]
- Wilson, W.; Taubert, K.A.; Gewitz, M.; Lockhart, P.B.; Baddour, L.M.; Levison, M.; Bolger, A.; Cabell, C.H.; Takahashi, M.; Baltimore, R.S.; et al. Prevention of infective endocarditis: Guidelines from the American Heart Association: A guideline from the American Heart Association Rheumatic Fever, Endocarditis, and Kawasaki Disease Committee, Council on Cardiovascular Disease in the Young, and the Council on Clinical Cardiology, Council on Cardiovascular Surgery and Anesthesia, and the Quality of Care and Outcomes Research Interdisciplinary Working Group. Circulation 2007, 116, 1736–1754, Erratum in Circulation 2007, 116, e376–e377. [Google Scholar] [CrossRef]
- Li, W.; Somerville, J. Infective endocarditis in the grown-up congenital heart (GUCH) population. Eur. Heart J. 1998, 19, 166–173. [Google Scholar]
- Tutarel, O.; Alonso-Gonzalez, R.; Montanaro, C.; Schiff, R.; Uribarri, A.; Kempny, A.; Grübler, M.R.; Uebing, A.; Swan, L.; Diller, G.-P.; et al. Infective endocarditis in adults with congenital heart disease remains a lethal disease. Heart 2018, 104, 161–165. [Google Scholar]
- Yakut, K.; Ecevit, Z.; Tokel, N.K.; Varan, B.; Ozkan, M. Infective Endocarditis in Childhood: A Single-Center Experience of 18 Years. Braz. J. Cardiovasc. Surg. 2021, 36, 172–182. [Google Scholar] [CrossRef]
- Maser, M.; Freisinger, E.; Bronstein, L.; Köppe, J.; Orwat, S.; Kaleschke, G.; Baumgartner, H.; Diller, G.P.; Lammers, A. Frequency, Mortality, and Predictors of Adverse Outcomes for Endocarditis in Patients with Congenital Heart Disease: Results of a Nationwide Analysis including 2512 Endocarditis Cases. J. Clin. Med. 2021, 10, 5071. [Google Scholar] [CrossRef]
- Cinteza, E.; Nicolescu, A.; Ciomartan, T.; Gavriliu, L.C.; Voicu, C.; Carabas, A.; Popescu, M.; Margarint, I. Disseminated Cunninghamella spp. Endocarditis in a Beta-Thalassemia Patient after Asymptomatic COVID-19 Infection. Diagnostics 2022, 12, 657. [Google Scholar] [CrossRef] [PubMed]
- Habib, G.; Lancellotti, P.; Antunes, M.J.; Bongiorni, M.G.; Casalta, J.-P.; Del Zotti, F.; Dulgheru, R.; El Khoury, G.; Erba, P.A.; Iung, B.; et al. 2015 ESC Guidelines for the Management of Infective Endocarditis: The Task Force for the Management of Infective Endocarditis of the European Society of Cardiology (ESC)Endorsed by: European Association for Cardio-Thoracic Surgery (EACTS), the European Association of Nuclear Medicine (EANM). Eur. Heart J. 2015, 36, 3075–3128. [Google Scholar] [PubMed]
- Li, J.S.; Sexton, D.J.; Mick, N.; Nettles, R.; Fowler, V.G., Jr.; Ryan, T.; Bashore, T.; Corey, G.R. Proposed Modifications to the Duke Criteria for the Diagnosis of Infective Endocarditis. Clin. Infect. Dis. 2000, 30, 633–638. [Google Scholar] [PubMed]
- Paczkowski, K.; Chojnicki, M.; Paczkowska, K.; Romanowicz, A.; Gierat-Haponiuk, K.; Haponiuk, I. Infective endocarditis in children—Lasting problem and growing incidence. Folia Cardiol. 2019, 14, 213–219. [Google Scholar] [CrossRef][Green Version]
- Baltimore, R.S.; Gewitz, M.; Baddour, L.M.; Beerman, L.B.; Jackson, M.A.; Lockhart, P.B.; Pahl, E.; Schutze, G.E.; Shulman, S.T.; Willoughby, R., Jr.; et al. Infective endocarditis in childhood: 2015 update: A scientific statement from the American Heart Association. Circulation 2015, 132, 1487–1515. [Google Scholar] [CrossRef]
- La Scola, B.; Raoult, D. Direct identification of bacteria in positive blood culture bottles by matrix-assisted laser desorption ionisation time-of-flight mass spectrometry. PLoS ONE 2009, 4, e8041. [Google Scholar]
- Arora, N.; Panda, P.K.; Cr, P.; Uppal, L.; Saroch, A.; Angrup, A.; Sharma, N.; Sharma, Y.P.; Vijayvergiya, R.; Rohit, M.K.; et al. Changing spectrum of infective endocarditis in India: An 11-year experience from an academic hospital in North India. Indian Heart J. 2021, 73, 711–717. [Google Scholar] [CrossRef]
- Snygg-Martin, U.; Giang, K.W.; Dellborg, M.; Robertson, J.; Mandalenakis, Z. Cumulative Incidence of Infective Endocarditis in Patients with Congenital Heart Disease: A Nationwide, Case-Control Study Over Nine Decades. Clin. Infect. Dis. Off. Publ. Infect. Dis. Soc. Am. 2021, 73, 1469–1475. [Google Scholar] [CrossRef]
- Pant, S.; Patel, N.J.; Deshmukh, A.; Golwala, H.; Patel, N.; Badheka, A.; Hirsch, G.A.; Mehta, J.L. Trends in infective endocarditis incidence, microbiology, and valve replacement in the United States from 2000 to 2011. J. Am. Coll. Cardiol. 2015, 65, 2070–2076. [Google Scholar] [CrossRef]
- Liesman, R.M.; Pritt, B.S.; Maleszewski, J.J.; Patel, R.; Kraft, C.S. Laboratory Diagnosis of Infective Endocarditis. J. Clin. Microbiol. 2017, 55, 2599–2608. [Google Scholar] [PubMed]
- Fournier, P.-E.; Gouriet, F.; Casalta, J.-P.; Lepidi, H.; Chaudet, H.; Thuny, F.; Collart, F.; Habib, G.; Raoult, D. Blood Culture-Negative Endocarditis: Improving the Diagnostic Yield Using New Diagnostic Tools. Medicine 2017, 96, 8392. [Google Scholar]
- Brouqui, P.; Raoult, D. Endocarditis due to rare and fastidious bacteria. Clin. Microbiol. Rev. 2001, 14, 177–207. [Google Scholar] [CrossRef] [PubMed]
- Stull, T.L.; LiPuma, J.J. Endocarditis in children. In Infective Endocarditis, 2nd ed.; Kaye, D., Ed.; Raven Press: New York, NY, USA, 1992; pp. 313–327. [Google Scholar]
- Stockheim, J.A.; Chadwick, E.G.; Kessler, S.; Amer, M.; Abdel-Haq, N.; Dajani, A.S.; Shulman, S.T. Are the Duke criteria superior to the Beth Israel criteria for the diagnosis of infective endocarditis in children? Clin. Infect. Dis. 1998, 27, 1451–1456. [Google Scholar] [PubMed]
- Di Filippo, S.; Delahaye, F.; Semiond, B.; Celard, M.; Henaine, R.; Ninet, J.; Sassolas, F.; Bozio, A. Current Patterns of Infective Endocarditis in Congenital Heart Disease. Heart 2006, 92, 1490–1495. [Google Scholar] [PubMed]
- Penk, J.S.; Webb, C.L.; Shulman, S.T.; Anderson, E.J. Echocardiography in Pediatric Infective Endocarditis. Pediatr. Infect. Dis. J. 2011, 30, 1109–1111. [Google Scholar]
- Puchalski, M.D.; Lui, G.K.; Miller-Hance, W.C.; Brook, M.M.; Young, L.T.; Bhat, A.; Roberson, D.A.; Mercer-Rosa, L.; Miller, O.I.; Parra, D.A.; et al. Guidelines for Performing a Comprehensive Transesophageal Echocardiographic: Examination in Children and All Patients with Congenital Heart Disease: Recommendations from the American Society of Echocardiography. J. Am. Soc. Echocardiogr. 2019, 32, 173–215. [Google Scholar]
- Hill, E.E.; Herijgers, P.; Claus, P.; Vanderschueren, S.; Peetermans, W.E.; Herregods, M.C. Abscess in infective endocarditis: The value of transesophageal echocardiography and outcome: A 5-year study. Am. Heart J. 2007, 154, 923–928. [Google Scholar] [CrossRef] [PubMed]
- Caiati, C.; Pollice, P.; Lepera, M.E.; Favale, S. Pacemaker Lead Endocarditis Investigated with Intracardiac Echocardiography: Factors Modulating the Size of Vegetations and Larger Vegetation Embolic Risk during Lead Extraction. Antibiotics 2019, 8, 228. [Google Scholar] [PubMed]
- Caiati, C.; Luzzi, G.; Pollice, P.; Favale, S.; Lepera, M.E. A Novel Clinical Perspective on New Masses after Lead Extraction (Ghosts) by Means of Intracardiac Echocardiography. J. Clin. Med. 2020, 9, 2571. [Google Scholar]
- Yang, Y.C.; Aung, T.T.; Khan, S.; Wase, A. Utility of Intracardiac Echocardiography to Diagnose Infective Endocarditis. J. Investig. Med. High Impact Case Rep. 2019, 7, 2075. [Google Scholar]
- Vincent, L.L.; Otto, C.M. Infective Endocarditis: Update on Epidemiology, Outcomes, and Management. Curr. Cardiol. Rep. 2018, 20, 86. [Google Scholar] [CrossRef]
- Chau, A.; Renella, P.; Arrieta, A. Multimodality Cardiovascular Imaging in the Diagnosis and Management of Prosthetic Valve Infective Endocarditis in Children Report of Two Cases and Brief Review of the Literature. Cardiol. Young 2019, 29, 1526–1529. [Google Scholar]
- Parlow, S.; Beamish, P.; Desjardins, I.; Fulop, J.; Maharajh, G.; Castellucci, L. Infected Rastelli Conduit in an Immunocompromised Patient That Was Not Visible on Transthoracic Echocardiogram. CJC Open 2019, 1, 324–326. [Google Scholar] [PubMed]
- Kawamura, J.; Ueno, K.; Taimura, E.; Matsuba, T.; Imoto, Y.; Jinguji, M.; Kawano, Y. Case Report: (18)F-FDG PET-CT for Diagnosing Prosthetic Device-Related Infection in an Infant With CHD. Front. Pediatr. 2021, 9, 584741. [Google Scholar]
- Feuchtner, G.M.; Stolzmann, P.; Dichtl, W.; Schertler, T.; Bonatti, J.; Scheffel, H.; Mueller, S.; Plass, A.; Mueller, L.; Bartel, T.; et al. Multislice computed tomography in infective endocarditis: Comparison with transesophageal echocardiography and intraoperative findings. J. Am. Coll. Cardiol. 2009, 53, 436–444. [Google Scholar] [CrossRef] [PubMed]
- Mond, H.G.; Proclemer, A. The 11th world survey of cardiac pacing and implantable cardioverter-defibrillators: Calendar year 2009—A World Society of Arrhythmia’s project. Pacing Clin. Electrophysiol. 2011, 34, 10131027. [Google Scholar]
- Liberman, L.; Silver, E.S.; Chai, P.J.; Anderson, B.R. Incidence and characteristics of heart block after heart surgery in pediatric patients: A multicenter study. J. Thorac. Cardiovasc. Surg. 2016, 152, 197–202. [Google Scholar] [CrossRef]
- Murdoch, D.R.; Corey, G.R.; Hoen, B.; Miró, J.M.; Fowler, V.G., Jr.; Bayer, A.S.; Karchmer, A.W.; Olaison, L.; Pappas, P.A.; Moreillon, P.; et al. Clinical presentation, etiology, and outcome of infective endocarditis in the 21st century: The International Collaboration on Endocarditis-Prospective Cohort Study. Arch. Intern. Med. 2009, 169, 463–473. [Google Scholar] [CrossRef] [PubMed]
- Klug, D.; Balde, M.; Pavin, D.; Hidden-Lucet, F.; Clementy, J.; Sadoul, N.; Rey, J.L.; Lande, G.; Lazarus, A.; Victor, J.; et al. Risk factors related to infections of implanted pacemakers and cardioverter-defibrillators. Circulation 2007, 116, 1349–1355. [Google Scholar] [PubMed]
- Parbhoo, P.; Nell, T.; Meel, R. Assessment of pacemaker lead-related infective endocarditis with three-dimensional echocardiography and cardiac computed tomography. Cardiovasc. J. Afr. 2022, 33, 36–40. [Google Scholar] [CrossRef]
- Rodriguez, Y.; Garisto, J.; Carrillo, R.G. Management of cardiac device-related infections: A review of protocol-driven care. Int. J. Cardiol. 2013, 166, 55–60. [Google Scholar]
- Viola, G.M.; Awan, L.L.; Darouiche, R.O. Nonstaphylococcal infections of cardiac implantable electronic devices. Circulation 2010, 121, 2085–2091. [Google Scholar] [CrossRef]
- Blomström-Lundqvist, C.; Traykov, V.; Erba, P.A.; Burri, H.; Nielsen, J.C.; Bongiorni, M.G.; Poole, J.; Boriani, G.; Costa, R.; Deharo, J.C.; et al. European Heart Rhythm Association (EHRA) international consensus document on how to prevent, diagnose, and treat cardiac implantable electronic device infections-endorsed by the Heart Rhythm Society (HRS), the Asia Pacific Heart Rhythm Society (APHRS), the Latin American Heart Rhythm Society (LAHRS), International Society for Cardiovascular Infectious Diseases (ISCVID) and the European Society of Clinical Microbiology and Infectious Diseases (ESCMID) in collaboration with the European Association for Cardio-Thoracic Surgery (EACTS). EP Eur. 2020, 22, 515–549. [Google Scholar] [CrossRef]
- Pizzi, M.N.; Roque, A.; Fernandez-Hidalgo, N.; Cuéllar-Calabria, H.; Ferreira-González, I.; Gonzàlez-Alujas, M.T.; Oristrell, G.; Gracia-Sánchez, L.; González, J.J.; Rodríguez-Palomares, J.; et al. Improving the diagnosis of infective endocarditis in prosthetic valves and intracardiac devices with 18F-fluordeoxyglucose positron emission tomography/computed tomography angiography: Initial results at an Infective Endocarditis Referral Center. Circulation 2015, 132, 1113–1126. [Google Scholar] [CrossRef]
- Polewczyk, A.; Jachec, W.; Tomaszewski, A.; Brzozowski, W.; Czajkowski, M.; Polewczyk, A.M.; Janion, M.; Kutarski, A. Lead-related infective endocarditis: Factors influencing the formation of large vegetations. EP Eur. 2017, 19, 1022–1030. [Google Scholar]
- Greenspon, A.J.; Le, K.Y.; Prutkin, J.M.; Sohail, M.R.; Vikram, H.R.; Baddour, L.M.; Danik, S.B.; Peacock, J.; Falces, C.; Miro, J.M.; et al. Influence of vegetation size on the clinical presentation and outcome of lead-associated endocarditis: Results from the MEDIC registry. JACC Cardiovasc. Imaging 2014, 7, 541–549. [Google Scholar]
- Bongiorni, M.G.; Burri, H.; Deharo, J.C.; Starck, C.; Kennergren, C.; Saghy, L.; Rao, A.; Tascini, C.; Lever, N.; Kutarski, A.; et al. ESC Scientific Document Group, 2018 EHRA expert consensus statement on lead extraction: Recommendations on definitions, endpoints, research trial design, and data collection requirements for clinical scientific studies and registries: Endorsed by APHRS/HRS/LAHRS. EP Eur. 2018, 20, 1217. [Google Scholar] [CrossRef]
- Azevedo, A.I.; Primo, J.; Gonçalves, H.; Oliveira, M.; Adão, L.; Santos, E.; Ribeiro, J.; Fonseca, M.; Dias, A.V.; Vouga, L.; et al. Lead Extraction of Cardiac Rhythm Devices: A Report of a Single-Center Experience. Front. Cardiovasc. Med. 2017, 4, 18. [Google Scholar] [CrossRef] [PubMed]
- Mazzone, P.; Migliore, F.; Bertaglia, E.; Facchin, D.; Daleffe, E.; Calzolari, V.; Crosato, M.; Melillo, F.; Peruzza, F.; Marzi, A.; et al. Safety and efficacy of the new bidirectional rotational Evolution(R) mechanical lead extraction sheath: Results from a multicentre Italian registry. EP Eur. 2018, 20, 829–834. [Google Scholar]
- Wazni, O.; Epstein, L.M.; Carrillo, R.G.; Love, C.; Adler, S.W.; Riggio, D.W.; Karim, S.S.; Bashir, J.; Greenspon, A.J.; DiMarco, J.P.; et al. Lead extraction in the contemporary setting: The LExICon study: An observational retrospective study of consecutive laser lead extractions. J. Am. Coll. Cardiol. 2010, 55, 579–586. [Google Scholar] [PubMed]
- Cahill, T.J.; Jewell, P.D.; Denne, L.; Franklin, R.C.; Frigiola, A.; Orchard, E.; Prendergast, B.D. Contemporary epidemiology of infective endocarditis in patients with congenital heart disease: A UK prospective study. Am. Heart J. 2019, 215, 70–77. [Google Scholar] [CrossRef] [PubMed]
- Rushani, D.; Kaufman, J.S.; Ionescu-Ittu, R.; Mackie, A.S.; Pilote, L.; Therrien, J.; Marelli, A.J. Infective endocarditis in children with congenital heart disease: Cumulative incidence and predictors. Circulation 2013, 128, 1412–1419. [Google Scholar] [CrossRef]
- Rosenthal, L.B.; Feja, K.N.; Levasseur, S.M.; Alba, L.R.; Gersony, W.; Saiman, L. The changing epidemiology of pediatric endocarditis at a children’s hospital over seven decades. Pediatr. Cardiol. 2010, 31, 813–820. [Google Scholar] [CrossRef] [PubMed]
- Johnson, J.A.; Boyce, T.G.; Cetta, F.; Steckelberg, J.M.; Johnson, J.N. Infective endocarditis in the pediatric patient: A 60-year single-institution review. Mayo Clin. Proc. 2012, 87, 629–635. [Google Scholar] [CrossRef] [PubMed]
- Coward, K.; Tucker, N.; Darville, T. Infective endocarditis in Arkansan children from 1990 through 2002. Pediatr. Infect. Dis. J. 2003, 22, 1048–1052. [Google Scholar] [CrossRef] [PubMed]
- Gopalakrishnan, P.P.; Shukla, S.K.; Tak, T. Infective endocarditis: Rationale for revised guidelines for antibiotic prophylaxis. Clin. Med. Res. 2009, 7, 63–68. [Google Scholar] [CrossRef][Green Version]
- Verheugt, C.L.; Uiterwaal, C.S.; van der Velde, E.T.; Meijboom, F.J.; Pieper, P.G.; Veen, G.; Stappers, J.L.; Grobbee, D.E.; Mulder, B.J. Turning 18 with congenital heart disease: Prediction of infective endocarditis based on a large population. Eur. Heart J. 2011, 32, 1926–1934. [Google Scholar] [CrossRef]
- Liekiene, D.; Bezuska, L.; Semeniene, P.; Cypiene, R.; Lebetkevicius, V.; Tarutis, V.; Barysiene, J.; Rucinskas, K.; Sirvydis, V. Surgical Treatment of Infective Endocarditis in Pulmonary Position-15 Years Single Centre Experience. Medicina 2019, 55, 608. [Google Scholar] [CrossRef] [PubMed]
- Cahill, T.J.; Raby, J.; Jewell, P.D.; Brennan, P.F.; Banning, A.P.; Byrne, J.; Kharbanda, R.K.; MacCarthy, P.A.; Thornhill, M.H.; Sandoe, J.; et al. Risk of infective endocarditis after surgical and transcatheter aortic valve replacement. Heart 2022, 108, 639–647. [Google Scholar] [CrossRef]
- van Doorn, C.; Yates, R.; Tsang, V.; deLeval, M.; Elliott, M. Mitral valve replacement in children: Mortality, morbidity, and haemodynamic status up to medium term follow up. Heart 2000, 84, 636–642. [Google Scholar] [CrossRef]
- Çekirdekçi, E.I.; Bugan, B.; Onar, L.Ç.; Çekirdekçi, A. Infective endocarditis after transcatheter approach versus surgical pulmonary valve replacement: A meta-analysis. Turk. J. Thorac. Cardiovasc. Surg. 2022, 30, 472–483. [Google Scholar] [CrossRef]
- Bonhoeffer, P.; Boudjemline, Y.; Saliba, Z.; Merckx, J.; Aggoun, Y.; Bonnet, D.; Acar, P.; Le Bidois, J.; Sidi, D.; Kachaner, J. Percutaneous replacement of pulmonary valve in a right-ventricle to pulmonary-artery prosthetic conduit with valve dysfunction. Lancet 2000, 356, 1403–1405. [Google Scholar] [CrossRef] [PubMed]
- Abdelghani, M.; Nassif, M.; Blom, N.A.; Van Mourik, M.S.; Straver, B.; Koolbergen, D.R.; Kluin, J.; Tijssen, J.G.; Mulder, B.J.M.; Koolbergen, D.R.; et al. Infective endocarditis after Melody valve implantation in the pulmonary position: A systematic review. J. Am. Heart Assoc. 2018, 7, e008163. [Google Scholar] [CrossRef] [PubMed]
- Georgiev, S.; Ewert, P.; Eicken, A.; Hager, A.; Hörer, J.; Cleuziou, J.; Meierhofer, C.; Tanase, D. Munich comparative study: Prospective long-term outcome of the transcatheter Melody valve versus surgical pulmonary bioprosthesis with up to 12 Years of Follow-up. Circ. Cardiovasc. Interv. 2020, 13, e008963. [Google Scholar] [CrossRef] [PubMed]
- Hascoet, S.; Mauri, L.; Claude, C.; Fournier, E.; Lourtet, J.; Riou, J.Y.; Brenot, P.; Petit, J. Infective endocarditis risk after percutaneous pulmonary valve implantation with the Melody and Sapien valves. JACC Cardiovasc. Interv. 2017, 10, 510–517. [Google Scholar] [CrossRef] [PubMed]
- Haas, N.A.; Bach, S.; Vcasna, R.; Laser, K.T.; Sandica, E.; Blanz, U.; Jakob, A.; Dietl, M.; Fischer, M.; Kanaan, M.; et al. The risk of bacterial endocarditis after percutaneous and surgical biological pulmonary valve implantation. Int. J. Cardiol. 2018, 268, 55–60. [Google Scholar] [CrossRef]
- Jha, N.K.; Kiraly, L.; Murala, J.S.; Tamas, C.; Talo, H.; El Badaoui, H.; Tofeig, M.; Mendonca, M.; Sajwani, S.; Thomas, M.A.; et al. Late endocarditis of Amplatzer atrial septal occluder device in a child. World J. Cardiol. 2015, 7, 703–706. [Google Scholar] [CrossRef]
- Shao, S.; Luo, C.; Zhou, K.; Hua, Y.; Wang, C. What is the best management option for non-significant residual shunt after device closure of perimembranous ventricular septal defect: A case report based on the lessons from post-procedure endocarditis. Medicine 2019, 98, e17347. [Google Scholar] [CrossRef]
- Sharma, N.; Weena, U.; Medamana, J.; Mann, N.; Strachan, P.; Chikwe, J.; Kort, S. Atrial Septal Defect Closure Device-Related Infective Endocarditis in a 20-Week Pregnant Woman. JACC Case Rep. 2021, 3, 300–303. [Google Scholar] [CrossRef]
- Ng, J.; Downton, T.; Davidson, N.; Marangou, J. Corynebacterium diphtheriae-infective endocarditis in a patient with an atrial septal defect closure device. BMJ Case Rep. 2019, 12, e229478. [Google Scholar] [CrossRef]
- Tamura, Y.; Yonehara, Y.; Horibata, Y.; Uesugi, H.; Sawamura, T.; Sakamoto, T. The first described case of late infective endocarditis after implantation of Figulla Flex II ASD occluder. J. Cardiol. Cases 2021, 23, 214–217. [Google Scholar] [CrossRef] [PubMed]
- Wang, A.; Gaca, J.G.; Chu, V.H. Management Considerations in Infective Endocarditis: A Review. JAMA 2018, 320, 72–83. [Google Scholar] [CrossRef]
- Baddour, L.M.; Wilson, W.R.; Bayer, A.S.; Fowler, V.G., Jr.; Tleyjeh, I.M.; Rybak, M.J.; Barsic, B.; Lockhart, P.B.; Gewitz, M.H.; Levison, M.E.; et al. Infective Endocarditis in Adults: Diagnosis, Antimicrobial Therapy, and Management of Complications: A Scientific Statement for Healthcare Professionals from the American Heart Association. Circulation 2015, 132, 1435–1486, Erratum in Circulation 2015, 132, e215. [Google Scholar] [CrossRef] [PubMed]
- Day, M.D.; Gauvreau, K.; Shulman, S.; Newburger, J.W. Characteristics of Children Hospitalized with Infective Endocarditis. Circulation 2009, 119, 865–870. [Google Scholar] [CrossRef] [PubMed]
- Pasquali, S.K.; He, X.; Mohamad, Z.; McCrindle, B.W.; Newburger, J.W.; Li, J.S.; Shah, S.S. Trends in endocarditis hospitalizations at US children’s hospitals: Impact of the 2007 American Heart Association Antibiotic Prophylaxis Guidelines. Am. Heart J. 2012, 163, 894–899. [Google Scholar] [CrossRef]
- Thornhill, M.H.; Dayer, M.J.; Forde, J.M.; Corey, G.R.; Chu, V.H.; Couper, D.J.; Lockhart, P.B. Impact of the NICE guideline recommending cessation of antibiotic prophylaxis for prevention of infective endocarditis: Before and after study. BMJ 2011, 342, d2392. [Google Scholar]
- Wilson, W.R.; Gewitz, M.; Lockhart, P.B.; Bolger, A.F.; DeSimone, D.C.; Kazi, D.S.; Couper, D.J.; Beaton, A.; Kilmartin, C.; Miro, J.M.; et al. Prevention of Viridans Group Streptococcal Infective Endocarditis: A Scientific Statement from the American Heart Association. Circulation 2021, 143, e963–e978, Erratum in Circulation 2021, 144, e192; Erratum in Circulation 2022, 145, e868. [Google Scholar] [CrossRef]
- van der Meer, J.T.; Thompson, J.; Valkenburg, H.A.; Michel, M.F. Epidemiology of bacterial endocarditis in The Netherlands. II. Antecedent procedures and use of prophylaxis. Arch. Intern. Med. 1992, 152, 1869–1873. [Google Scholar] [CrossRef]
- Thornhill, M.H.; Gibson, T.B.; Yoon, F.; Dayer, M.J.; Prendergast, B.D.; Lockhart, P.B.; O’Gara, P.T.; Baddour, L.M. Antibiotic Prophylaxis Against Infective Endocarditis Before Invasive Dental Procedures. J. Am. Coll. Cardiol. 2022, 80, 1029–1041. [Google Scholar] [CrossRef]
- Rajaratnam, D.; Rajaratnam, R. Outpatient Antimicrobial Therapy for Infective Endocarditis Is Safe. Heart Lung Circ. 2021, 30, 207–215. [Google Scholar] [CrossRef]
- Hendarto, A.; Putri, N.D.; Yunita, D.R.; Efendi, M.; Prayitno, A.; Karyanti, M.R.; Satari, H.I.; Hadinegoro, S.R.S.; Chan, M. First Pediatric Outpatient Parenteral Antibiotic Therapy Clinic in Indonesia. Front. Pediatr. 2020, 8, 156. [Google Scholar] [CrossRef] [PubMed]







Disclaimer/Publisher’s Note: The statements, opinions and data contained in all publications are solely those of the individual author(s) and contributor(s) and not of MDPI and/or the editor(s). MDPI and/or the editor(s) disclaim responsibility for any injury to people or property resulting from any ideas, methods, instructions or products referred to in the content. |
© 2023 by the authors. Licensee MDPI, Basel, Switzerland. This article is an open access article distributed under the terms and conditions of the Creative Commons Attribution (CC BY) license (https://creativecommons.org/licenses/by/4.0/).
Share and Cite
Dardari, M.; Cinteza, E.; Vasile, C.M.; Padovani, P.; Vatasescu, R. Infective Endocarditis among Pediatric Patients with Prosthetic Valves and Cardiac Devices: A Review and Update of Recent Emerging Diagnostic and Management Strategies. J. Clin. Med. 2023, 12, 4941. https://doi.org/10.3390/jcm12154941
Dardari M, Cinteza E, Vasile CM, Padovani P, Vatasescu R. Infective Endocarditis among Pediatric Patients with Prosthetic Valves and Cardiac Devices: A Review and Update of Recent Emerging Diagnostic and Management Strategies. Journal of Clinical Medicine. 2023; 12(15):4941. https://doi.org/10.3390/jcm12154941
Chicago/Turabian StyleDardari, Mohamed, Eliza Cinteza, Corina Maria Vasile, Paul Padovani, and Radu Vatasescu. 2023. "Infective Endocarditis among Pediatric Patients with Prosthetic Valves and Cardiac Devices: A Review and Update of Recent Emerging Diagnostic and Management Strategies" Journal of Clinical Medicine 12, no. 15: 4941. https://doi.org/10.3390/jcm12154941
APA StyleDardari, M., Cinteza, E., Vasile, C. M., Padovani, P., & Vatasescu, R. (2023). Infective Endocarditis among Pediatric Patients with Prosthetic Valves and Cardiac Devices: A Review and Update of Recent Emerging Diagnostic and Management Strategies. Journal of Clinical Medicine, 12(15), 4941. https://doi.org/10.3390/jcm12154941

