Right Transcephalic Ventriculo-Subclavian Shunt in the Surgical Treatment of Hydrocephalus—An Original Procedure for Drainage of Cerebrospinal Fluid into the Venous System
Abstract
1. Introduction
2. Materials and Methods
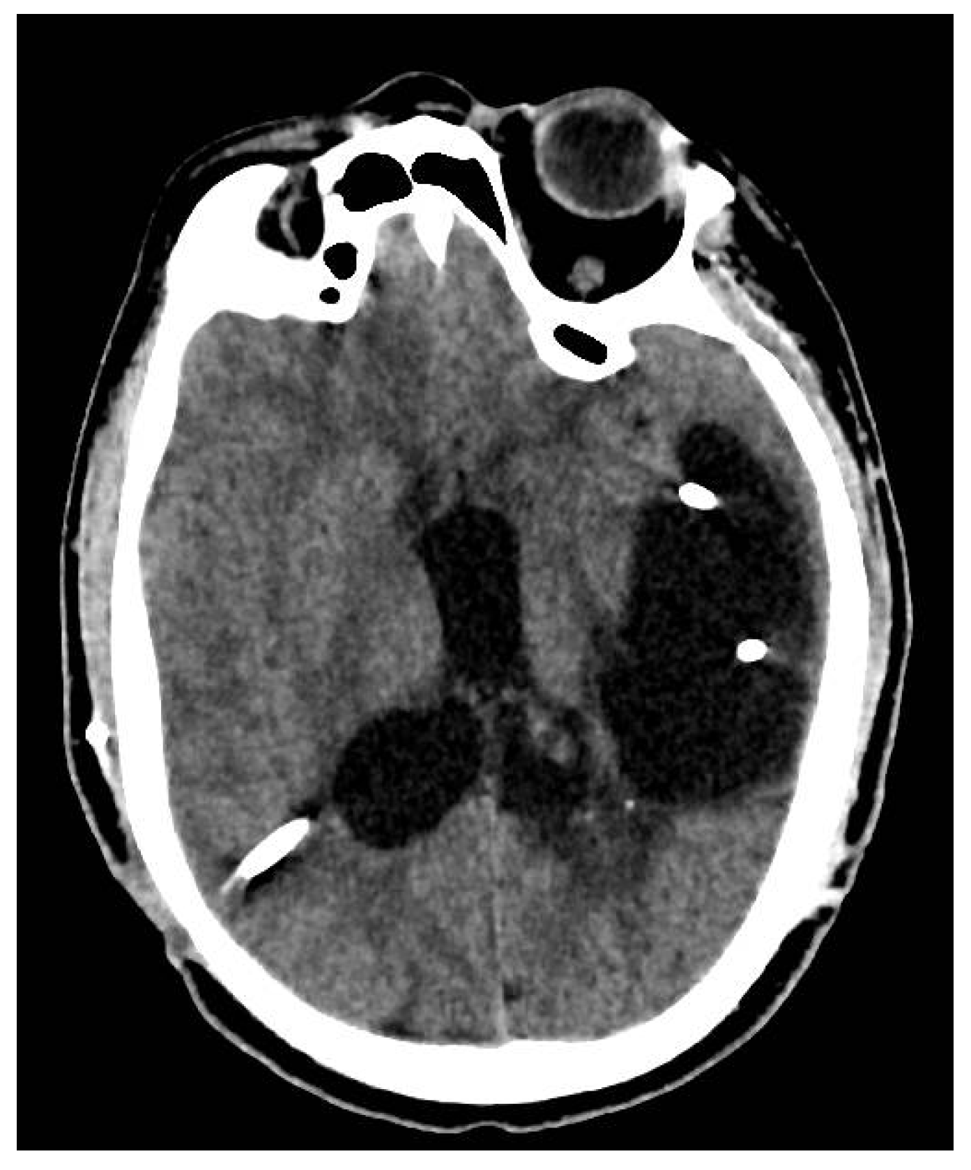
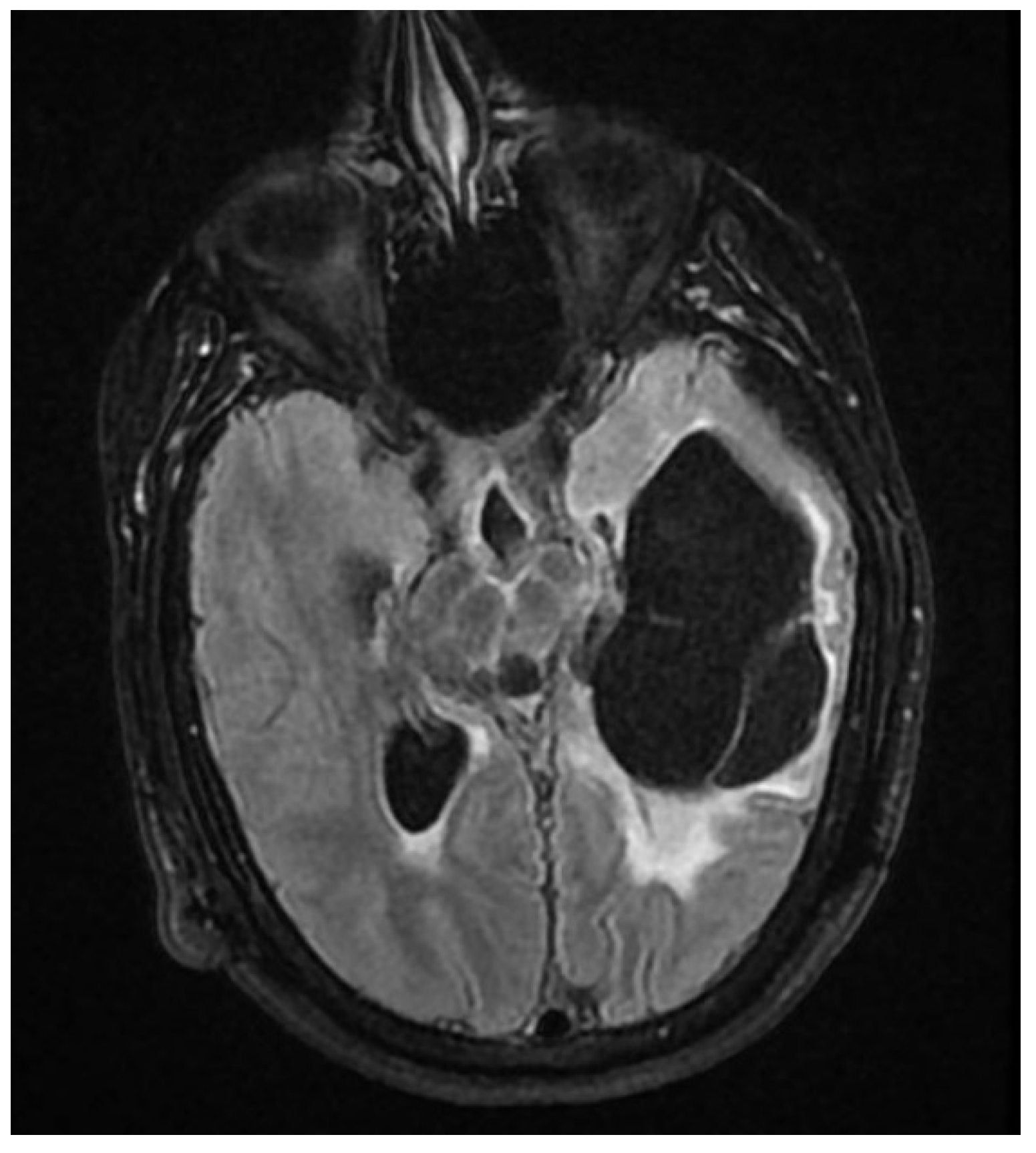
3. Results
- −
- endoscopic internal drainage (ventriculostomy III with/without aqueductoplasty, perforation of the supraoptic blade, posterior ventriculostomy).
- −
- −
- extracranial drainage of the CSF is the most extensive method and it is applied to all patients, with the choice of the technical solution depending on several criteria: age, generating cause, associated disorders, operating risks, temporary or definitive nature of the procedure, etc. [4,11,12,18,72,73].
4. Discussion
5. Conclusions
- The ventriculo-subclavian shunt is an easy surgical procedure.
- It is a solution for cases where the variants of standard surgical treatment have been exhausted.
- It is a drainage solution of excess CSF in the superior vena cava system (equivalent to the established ventriculo-cardiac shunt).
- It uses an access path that does not have anatomical/functional disadvantages.
- Depending on the patency of the method and possible late complications, it can become a variant of a first-option treatment.
Author Contributions
Funding
Informed Consent Statement
Conflicts of Interest
References
- Rekate, H.L. The definition and classification of hydrocephalus: A personal recommendation to stimulate debate. Cerebrospinal. Fluid Res. 2008, 5, 2. [Google Scholar] [CrossRef] [PubMed]
- da Silva, M.C. Pathophysiology of Hydrocephalus BT—Pediatric Hydrocephalus; Cinalli, G., Sainte-Rose, C., Maixner, W.J., Eds.; Springer Milan: Milano, Italy, 2005; pp. 65–77. [Google Scholar] [CrossRef]
- Krovvidi, H.; Flint, G.; Williams, A. Perioperative management of hydrocephalus. BJA Educ. 2018, 18, 140. [Google Scholar] [CrossRef]
- BLACK Pm. Hydrocephalus in Adults. Neurol. Surg. 1996, 2, 927–944. [Google Scholar]
- Weisenberg, S.H.; Termaath, S.C.; Seaver, C.E.; Killeffer, J.A. Ventricular catheter development: Past, present, and future. J. Neurosurg. 2016, 125, 1504–1512. [Google Scholar] [CrossRef]
- Ames, R.H. Ventriculo-peritoneal shunts in the management of hydrocephalus. J. Neurosurg. 1967, 27, 525–529. [Google Scholar] [CrossRef]
- Ziebell, M.; Wetterslev, J.; Tisell, M.; Gluud, C.; Juhler, M. Flow-regulated versus differential pressure-regulated shunt valves for adult patients with normal pressure hydrocephalus. Cochrane Database Syst. Rev. 2013. [Google Scholar] [CrossRef]
- Hakim, S. Hydraulic and Mechanical Mis-matching of Valve Shunts Used in the Treatment of Hydrocephalus: The Need for a Servo-valve Shunt. Dev. Med. Child Neurol. 1973, 15, 646–653. [Google Scholar] [CrossRef]
- Miyake, H. Shunt devices for the treatment of adult hydrocephalus: Recent progress and characteristics. Neurol. Med. Chir. 2016, 56, 274–283. [Google Scholar] [CrossRef]
- Yamada, S.; Ishikawa, M.; Nakajima, M.; Nozaki, K. Reconsidering Ventriculoperitoneal Shunt Surgery and Postoperative Shunt Valve Pressure Adjustment: Our Approaches Learned from Past Challenges and Failures. Front. Neurol. 2022, 12, 2466. [Google Scholar] [CrossRef] [PubMed]
- Moulding, R.; Stiles, P. Ventriculoperitoneal Shunt. In Case Studies in Neuroanesthesia and Neurocritical Care; Cambridge University Press: Cambridge, UK, 2022; pp. 191–194. [Google Scholar] [CrossRef]
- Karahan, O.; Yavuz, C.; Demirtas, S.; Caliskan, A.; Kamasak, K.; Guclu, O.; Yazici, S.; Mavitas, B. Reasons, procedures, and outcomes in ventriculoatrial shunts: A single-center experience. Surg. Neurol. Int. 2013, 4, 10. [Google Scholar] [CrossRef] [PubMed]
- Zhang, J.; Qu, C.; Wang, Z.; Wang, C.; Ding, X.; Pan, S.; Ji, Y. Improved ventriculoatrial shunt for cerebrospinal fluid diversion after multiple ventriculoperitoneal shunt failures. Surg. Neurol. 2009, 72 (Suppl. S1), S29–S33. [Google Scholar] [CrossRef]
- Gliemroth, J.; Käsbeck, E.; Kehler, U. Ventriculocisternostomy versus ventriculoperitoneal shunt in the treatment of hydrocephalus: A retrospective, long-term observational study. Clin. Neurol. Neurosurg. 2014, 122, 92–96. [Google Scholar] [CrossRef] [PubMed]
- Cramaro, A.; Skrap, M. La ventricolocisternostomia nell’idrocefalo normoteso dell’anziano. Riv. Neuroradiol. 2016, 13, 817–820. [Google Scholar] [CrossRef]
- Yadav, Y.R.; Parihar, V.; Pande, S.; Namdev, H.; Agarwal, M. Endoscopic third ventriculostomy. J. Neurosci. Rural Pract. 2012, 3, 163. [Google Scholar] [CrossRef] [PubMed]
- Morota, N.; Watabe, T.; Inukai, T.; Hongo, K.; Nakagawa, H. Anatomical variants in the floor of the third ventricle; implications for endoscopic third ventriculostomy. J. Neurol. Neurosurg. Psychiatry 2000, 69, 531–534. [Google Scholar] [CrossRef]
- Farb, R.; Rovira, À. Hydrocephalus and CSF Disorders. In Diseases of the Brain, Head and Neck; Springer: Cham, Switzerland, 2020; pp. 11–24. [Google Scholar] [CrossRef]
- Melo, J.R.T.; Passos, R.K.; de Carvalho, M.L.C.M. Cerebrospinal fluid drainage options for posthemorrhagic hydrocephalus in premature neonates. Arq. Neuropsiquiatr. 2017, 75, 433–438. [Google Scholar] [CrossRef][Green Version]
- Mcleod, A.D.M.; Hirsch, N.P.; Scrutton, M.J.L.; Grady, R.E. Neurologic complications of cerebrospinal fluid drainage catheters [3] (multiple letters). Anesth Analg. 2000, 90, 228–229. [Google Scholar] [CrossRef]
- Wallace, A.N.; McConathy, J.; Menias, C.O.; Bhalla, S.; Wippold, F.J., II. Imaging Evaluation of CSF Shunts. AJR 2014, 202, 38–53. [Google Scholar] [CrossRef]
- Goeser, C.D.; McLeary, M.S.; Young, L.W. Diagnostic Imaging of Ventriculoperitoneal Shunt Malfunctions and Complications. Radiographics 1998, 18, 635–651. [Google Scholar] [CrossRef]
- Sato, K.; Yamashita, T.; Tsunoda, K.; Takemoto, M.; Hishikawa, N.; Shang, J.; Ohta, Y.; Kuwahara, K.; Yasuhara, T.; Date, I.; et al. Cervical compressive myelopathy caused by malfunction of a programmable cerebrospinal fluid shunt valve. Interdiscip. Neurosurg. 2018, 14, 183–185. [Google Scholar] [CrossRef]
- Xiao, S.Y.; Ma, L.; Shrestha, B.K.; Zhang, Y.K.; Mao, B.Y. CSF fistula through the left lumbar region in adult following a ventriculoperitoneal shunt surgery: A rare case report. Neurol. Sci. 2010, 31, 817–820. [Google Scholar] [CrossRef] [PubMed]
- Jeong, Y.B.; Choi, W.J.; Han, S.H.; Choi, I.C. Cerebral epidural hematoma following cerebrospinal fluid drainage during thoracoabdominal aortic repair. Acta Anaesthesiol. Scand. 2009, 53, 1221–1222. [Google Scholar] [CrossRef]
- Driesen, W.; Elies, W. Epidural and subdural haematomas as a complication of internal drainage of cerebrospinal fluid in hydrocephalus. Acta Neurochir. 1974, 30, 85–93. [Google Scholar] [CrossRef]
- Yamauchi, T.; Takano, H.; Miyamoto, Y.; Sawa, Y.; Matsumiya, G.; Matsuda, H. Subdural hematoma induced by cerebrospinal fluid drainage: Potentially catastrophic complication of spinal cord protection after thoracoabdominal aneurysm repair. Jpn. J. Thorac. Cardiovasc. Surg. 2004, 52, 466–468. [Google Scholar] [CrossRef]
- Chen, J.S.; Su, I.C.; Kuo, M.F.; Lai, D.M.; Tu, Y.K.; Yang, S.H. Recurrent chronic subdural hemorrhage due to cervical spinal CSF leak in a young adult: Report of a case. Formos. J. Surg. 2011, 44, 199–201. [Google Scholar] [CrossRef]
- Paff, M.; Alexandru-Abrams, D.; Muhonen, M.; Loudon, W. Ventriculoperitoneal shunt complications: A review. Interdiscip. Neurosurg. 2018, 13, 66–70. [Google Scholar] [CrossRef]
- Suleiman, S.E.; Tambovtseva, A.; Mejery, E.; Suleiman, Z.; Alaidy, Z. Ventriculoperitoneal Shunt-Associated Ascites: A Case Report. Cureus 2020, 12, e8634. [Google Scholar] [CrossRef] [PubMed]
- Anderson, C.M.; Sorrells, D.L.; Kerby, J.D. Intraabdominal pseudocysts as a complication of ventriculoperitoneal shunts. J. Am. Coll. Surg. 2003, 196, 297–300. [Google Scholar] [CrossRef] [PubMed]
- Zhou, F.; Chen, G.; Zhang, J. Bowel perforation secondary to ventriculoperitoneal shunt: Case report and clinical analysis. J. Int. Med. Res. 2007, 35, 926–929. [Google Scholar] [CrossRef]
- Gaskill, S.J.; Marlin, A.E. Pseudocysts of the abdomen associated with ventriculoperitoneal shunts: A report of twelve cases and a review of the literature. Pediatr. Neurosurg. 1989, 15, 23–26. [Google Scholar] [CrossRef] [PubMed]
- Kaplan, M.; Ozel, S.K.; Akgun, B.; Kazez, A.; Kaplan, S. Hepatic pseudocyst as a result of ventriculoperitoneal shunts: Case report and review of the literature. Pediatr. Neurosurg. 2007, 43, 501–503. [Google Scholar] [CrossRef]
- Sathyanarayana, S.; Wylen, E.L.; Baskaya, M.K.; Nanda, A. Spontaneous bowel perforation after ventriculoperitoneal shunt surgery: Case report and a review of 45 cases. Surg. Neurol. 2000, 54, 388–396. [Google Scholar] [CrossRef]
- Ohba, S.; Kinoshita, Y.; Tsutsui, M.; Nakagawa, T.; Shimizu, K.; Takahashi, T.; Murakami, H. Formation of abdominal cerebrospinal fluid pseudocyst. Neurol. Med. Chir. 2012, 52, 838–842. [Google Scholar] [CrossRef]
- Khan, F.; Shamim, M.S.; Rehman, A.; Bari, M.E. Analysis of factors affecting ventriculoperitoneal shunt survival in pediatric patients. Child’s Nerv. Syst. 2013, 29, 791–802. [Google Scholar] [CrossRef] [PubMed]
- Khan, F.; Rehman, A.; Shamim, M.S.; Bari, M.E. Factors affecting ventriculoperitoneal shunt survival in adult patients. Surg. Neurol. Int. 2015, 6, 25. [Google Scholar] [CrossRef]
- Wu, Y.; Green, N.L.; Wrensch, M.R.; Zhao, S.; Gupta, N. Ventriculoperitoneal shunt complications in California: 1990 to 2000. Neurosurgery 2007, 61, 557–562. [Google Scholar] [CrossRef] [PubMed]
- Reddy, G.K.; Bollam, P.; Caldito, G. Long-Term Outcomes of Ventriculoperitoneal Shunt Surgery in Patients with Hydrocephalus. World Neurosurg. 2014, 81, 404–410. [Google Scholar] [CrossRef]
- Parra, V.; Medina, P.; Valderrama, S.; Gualteros, S. Shunt nephritis. Rev. Colomb. Nefrol. 2014, 1, 48–52. [Google Scholar] [CrossRef]
- Searle, M.; Lee, M.R.C.P.H.A.; Sc, B. Ventriculo-atrial shunt nephritis. Postgrad. Med. J. 1982, 58, 566–569. [Google Scholar] [CrossRef]
- Valr, P.E.; Morris, J.G.; McRae, J. Pulmonary embolism as a complication of ventriculoatrial shunt. Australas Radiol. 1970, 14, 272–274. [Google Scholar] [CrossRef]
- Drucker, M.H.; Vanek, V.W.; Franco, A.A.; Hanson, M.; Woods, L. Thromboembolic complications of ventriculoatrial shunts. Surg. Neurol. 1984, 22, 444–448. [Google Scholar] [CrossRef]
- Gmeiner, M.; Wagner, H.; van Ouwerkerk, W.J.; Sardi, G.; Thomae, W.; Senker, W.; Holl, K.; Gruber, A. Long-term outcomes in ventriculoatrial shunt surgery in patients with pediatric hydrocephalus: Retrospective single-center study. World Neurosurg. 2020, 138, e112–e118. [Google Scholar] [CrossRef]
- Sleigh, G.; Dawson, A.; Penny, W.J. Cor pulmonale as a complication of ventriculo-atrial shunts reviewed. Dev. Med. Child Neurol. 1993, 35, 74–78. [Google Scholar] [CrossRef]
- Kluge, S.; Baumann, H.J.; Regelsberger, J.; Kehler, U.; Koziej, B.; Klose, H.; Greinert, U.; Kreymann, G.; Meyer, A. Development of pulmonary hypertension in adults after ventriculoatrial shunt implantation. Respiration 2009, 78, 30–35. [Google Scholar] [CrossRef] [PubMed]
- Yurtseven, T.; Erşahin, Y.; Kitiş, Ö.; Mutluer, S. Thrombosis and thrombophilebitis of the internal jugular vein as a very rare complication of the ventriculoatrial shunt. Clin. Neurol. Neurosurg. 2005, 107, 144–146. [Google Scholar] [CrossRef]
- Ladouceur, D.; Giroux, M. Echocardiographic detection of intracardiac thrombi complicating ventriculo-atrial shunt Report of two cases. Pediatr. Neurosurg. 1994, 20, 68–72. [Google Scholar] [CrossRef]
- Haasnoot, K.; van Vught, A.J. Pulmonary hypertension complicating a ventriculo-atrial shunt. Eur. J. Pediatr. 1992, 151, 748–750. [Google Scholar] [CrossRef]
- Wu, D.; Guan, Z.; Xiao, L.; Li, D. Thrombosis associated with ventriculoatrial shunts. Neurosurg. Rev. 2022, 45, 1111–1122. [Google Scholar] [CrossRef] [PubMed]
- Ewaiss, I.; Rashid, M.; Roshdy, A.-S.; Magdy, S. Management of Lumbo-Peritoneal Shunt Complications in Patients with Idiopathic Intracranial Hypertension. Egypt J. Hosp. Med. 2019, 74, 1075. [Google Scholar] [CrossRef]
- Vural, M.; Özkara, E.; Adapinar, B.; Dündar, E.; Arslantaş, A. A late and extreme complication of lumboperitoneal shunt. Spine J. 2015, 15, e7–e12. [Google Scholar] [CrossRef] [PubMed]
- Wong, T.; Gold, J.; Houser, R.; Herschman, Y.; Jani, R.; Goldstein, I. Ventriculopleural shunt: Review of literature and novel ways to improve ventriculopleural shunt tolerance. J. Neurol. Sci. 2021, 428, 117564. [Google Scholar] [CrossRef]
- Hasslacher-Arellano, J.F.; Arellano-Aguilar, G.; Funes-Rodríguez, J.F.; López-Forcén, S.; Torres-Zapiain, F.; Domínguez-Carrillo, L.G. Ventriculo-gallbladder shunt: An alternative for the treatment of hydrocephalus. Cir. Cir. (Engl. Ed.) 2016, 84, 225–229. [Google Scholar] [CrossRef]
- Subramaniam, V.; Ganapathy, S.; Paruchuri, S. Ventriculo-ureteric shunts, the last resort in complicated shunt patients. Interdiscip. Neurosurg. 2020, 22, 100805. [Google Scholar] [CrossRef]
- D’assumpcao, C.; Sandhu, A.; Heidari, A.; Froush, A.G.; Hillyer, S.; Chen, J.; Ragland, A. A Case of Recurrent Bacterial Meningitis Due to Retained 54-Year-Old Ureterodural Anastomosis. J. Investig. Med. High Impact Case Rep. 2018, 6, 2324709618795293. [Google Scholar] [CrossRef]
- Lake, C.F. The ventriculomastoid shunt. Laryngoscope 1959, 69, 1469–1477. [Google Scholar] [CrossRef]
- Soler, D.; Cox, T.; Bullock, P.; Calver, D.M.; Robinson, R.O. Diagnosis and management of benign intracranial hypertension. Arch. Dis. Child 1998, 78, 89–94. [Google Scholar] [CrossRef]
- Munakomi, S.; Das, J.M. Ventriculostomy; StatPearls Publishing: Treasure Island, CA, USA, 2022. [Google Scholar]
- Tarek, M.; Ibrahim, H.; Jalalod’Din, H.; Tawadros, S. Ventriculoperitoneal Shunt versus Endoscopic Third Ventriculostomy in the treatment of Obstructive Hydrocephalus in Pediatric Midline Posterior Fossa tumors. QJM Int. J. Med. 2021, 114, i229–i230. [Google Scholar] [CrossRef]
- Watkins, J.; Cabanne, M.; Miulli, D. Markedly Improved Success Rate of Endoscopically Assisted Third Ventriculostomy Is Achieved by Routine Placement of External Lumbar Drain. J. Neurol. Surg. Rep. 2017, 78, e71. [Google Scholar] [CrossRef][Green Version]
- da Silva, L.R.F.; Cavalheiro, S.; Zymberg, S.T. Endoscopic aqueductoplasty in the treatment of aqueductal stenosis. Childs Nerv. Syst. 2007, 23, 1263–1268. [Google Scholar] [CrossRef]
- Miki, T.; Nakajima, N.; Wada, J.; Haraoka, J. Indications for neuroendoscopic aqueductoplasty without stenting for obstructive hydrocephalus due to aqueductal stenosis. Minim. Invasive Neurosurg. 2005, 48, 136–141. [Google Scholar] [CrossRef]
- Spennato, P.; Tazi, S.; Bekaert, O.; Cinalli, G.; Decq, P. Endoscopic third ventriculostomy for idiopathic aqueductal stenosis. World Neurosurg. 2013, 79, S21.e13–S21.e20. [Google Scholar] [CrossRef]
- Erşahin, Y. Endoscopic aqueductoplasty. Child’s Nerv. Syst. 2007, 23, 143–150. [Google Scholar] [CrossRef]
- Mohanty, A.; Biswas, A.; Satish, S.; Praharaj, S.S.; Sastry, K.V.R. Treatment options for Dandy-Walker malformation. J. Neurosurg. 2006, 105, 348–356. [Google Scholar] [CrossRef] [PubMed]
- Hu, C.F.; Fan, H.C.; Chang, C.F.; Wang, C.C.; Chen, S.J. Successful treatment of Dandy-Walker syndrome by endoscopic third ventriculostomy in a 6-month-old girl with progressive hydrocephalus: A case report and literature review. Pediatr. Neonatol. 2011, 52, 42–45. [Google Scholar] [CrossRef]
- Muralidharan, R. External ventricular drains: Management and complications. Surg. Neurol. Int. 2015, 6, S271. [Google Scholar] [CrossRef]
- Dossani, R.H.; Patra, D.P.; Terrell, D.L.; Willis, B. Placement of an External Ventricular Drain. N. Engl. J. Med. 2021, 384, e3. [Google Scholar] [CrossRef]
- Winking, M.; Schroth, I.; Joedicke, A.; Boeker, D.K. Technical note: External cerebrospinal fluid (CSF) drainage by percutaneous needle punction in newborn children. Acta Neurochir. 1999, 141, 1093–1094. [Google Scholar] [CrossRef]
- Johnston, I.; Teo, C. Disorders of CSF hydrodynamics. Child’s Nerv. Syst. 2000, 16, 776–799. [Google Scholar] [CrossRef] [PubMed]
- Bothwell, S.W.; Janigro, D.; Patabendige, A. Cerebrospinal fluid dynamics and intracranial pressure elevation in neurological diseases. Fluids Barriers CNS 2019, 16, 9. [Google Scholar] [CrossRef] [PubMed]
- Hara, M.; Nakamura, M.; Kadowaki, C.; Watanabe, H.; Shiogai, T.; Numoto, M.; Takeuchi, K. Cerebrospinal fluid absorption mechanism--based on measurement of CSF flow rate in shunt tube. No Shinkei 1985, 37, 365–370. [Google Scholar]
- Shear, L.; Swartz, C.; Shinaberger, J.A.; Barry, K.G. Kinetics of peritoneal fluid absorption in adult man. N. Engl. J. Med. 1965, 272, 123–127. [Google Scholar] [CrossRef] [PubMed]
- Mathew, M.; Chikani, M.C.; Okpara, S.E.; Uzoanya, M.U.; Ezemba, N.; Mezue, W.C. Challenges in the management of cerebrospinal fluid ascites: A case report. Child’s Nerv. Syst. 2022, 38, 1829–1831. [Google Scholar] [CrossRef]
- Yount, R.A.; Glazier, M.C.; Mealey, J.; Kalsbeck, J.E. Cerebrospinal fluid ascites complicating ventriculoperitoneal shunting. J. Neurosurg. 1984, 61, 180–183. [Google Scholar] [CrossRef] [PubMed]
- Malm, J.; Lundkvist, B.; Eklund, A.; Koskinen, L.O.D.; Kristensen, B. CSF outflow resistance as predictor of shunt function. A Long-Term Study. Acta Neurol. Scand 2004, 110, 154–160. [Google Scholar] [CrossRef]
- Keegan, M.T.; Wijdicks, E.F.M. Increased Intracranial Pressure. In Neurological Disorders: Course and Treatment, 2nd ed.; BMJ Publishing Group Ltd.: London, UK, 2022; pp. 749–763. [Google Scholar] [CrossRef]
- Tansey, E.A.; Montgomery, L.E.A.; Quinn, J.G.; Roe, S.M.; Johnson, C.D. Understanding basic vein physiology and venous blood pressure through simple physical assessments. Adv. Physiol. Educ. 2019, 43, 423–429. [Google Scholar] [CrossRef]
- Matsuoka, Y.; Kawajiri, K.; Hayazaki, K.; Hakuba, A. A simplified atrial catheterization technique for ventriculo-atrial shunt: Puncture of the subclavian vein through the infraclavicular approach. Neurol. Med. Chir. 1993, 33, 444–447. [Google Scholar] [CrossRef]
- Evangelos, D.; Dimitrios, G.; Georgios, S.; Nikolaos, E.; Filippos, P.; Marios, T. Percutaneous placement of the peripheral catheter to the subclavian vein for a VA shunt. Pan. Afr. Med. J. 2017, 27, 1937–8688. [Google Scholar] [CrossRef]






Disclaimer/Publisher’s Note: The statements, opinions and data contained in all publications are solely those of the individual author(s) and contributor(s) and not of MDPI and/or the editor(s). MDPI and/or the editor(s) disclaim responsibility for any injury to people or property resulting from any ideas, methods, instructions or products referred to in the content. |
© 2023 by the authors. Licensee MDPI, Basel, Switzerland. This article is an open access article distributed under the terms and conditions of the Creative Commons Attribution (CC BY) license (https://creativecommons.org/licenses/by/4.0/).
Share and Cite
Liţescu, M.; Cristian, D.A.; Coman, V.E.; Erchid, A.; Pleşea, I.E.; Bordianu, A.; Lupaşcu-Ursulescu, C.V.; Florea, C.G.; Coman, I.S.; Grigorean, V.T. Right Transcephalic Ventriculo-Subclavian Shunt in the Surgical Treatment of Hydrocephalus—An Original Procedure for Drainage of Cerebrospinal Fluid into the Venous System. J. Clin. Med. 2023, 12, 4919. https://doi.org/10.3390/jcm12154919
Liţescu M, Cristian DA, Coman VE, Erchid A, Pleşea IE, Bordianu A, Lupaşcu-Ursulescu CV, Florea CG, Coman IS, Grigorean VT. Right Transcephalic Ventriculo-Subclavian Shunt in the Surgical Treatment of Hydrocephalus—An Original Procedure for Drainage of Cerebrospinal Fluid into the Venous System. Journal of Clinical Medicine. 2023; 12(15):4919. https://doi.org/10.3390/jcm12154919
Chicago/Turabian StyleLiţescu, Mircea, Daniel Alin Cristian, Violeta Elena Coman, Anwar Erchid, Iancu Emil Pleşea, Anca Bordianu, Corina Veronica Lupaşcu-Ursulescu, Costin George Florea, Ionuţ Simion Coman, and Valentin Titus Grigorean. 2023. "Right Transcephalic Ventriculo-Subclavian Shunt in the Surgical Treatment of Hydrocephalus—An Original Procedure for Drainage of Cerebrospinal Fluid into the Venous System" Journal of Clinical Medicine 12, no. 15: 4919. https://doi.org/10.3390/jcm12154919
APA StyleLiţescu, M., Cristian, D. A., Coman, V. E., Erchid, A., Pleşea, I. E., Bordianu, A., Lupaşcu-Ursulescu, C. V., Florea, C. G., Coman, I. S., & Grigorean, V. T. (2023). Right Transcephalic Ventriculo-Subclavian Shunt in the Surgical Treatment of Hydrocephalus—An Original Procedure for Drainage of Cerebrospinal Fluid into the Venous System. Journal of Clinical Medicine, 12(15), 4919. https://doi.org/10.3390/jcm12154919

