Skin Bank Establishment in Treatment of Severe Burn Injuries: Overview and Experience with Skin Allografts at the Vienna Burn Center
Abstract
1. Introduction
- -
- Identify and acquire the equipment and personnel needed to collect, process, store and graft cadaveric skin for burn injuries; and
- -
- Develop safe donation protocols and documentation tools that remain feasible for low-resource settings.
2. Materials and Methods
2.1. Allograft Program at the Department of Plastic, Reconstructive and Aesthetic Surgery: For the In-House Skin Banking Program, Standard Operating Procedures (SOP) Regarding the Procurement, Process and Application of Allografts Were Established
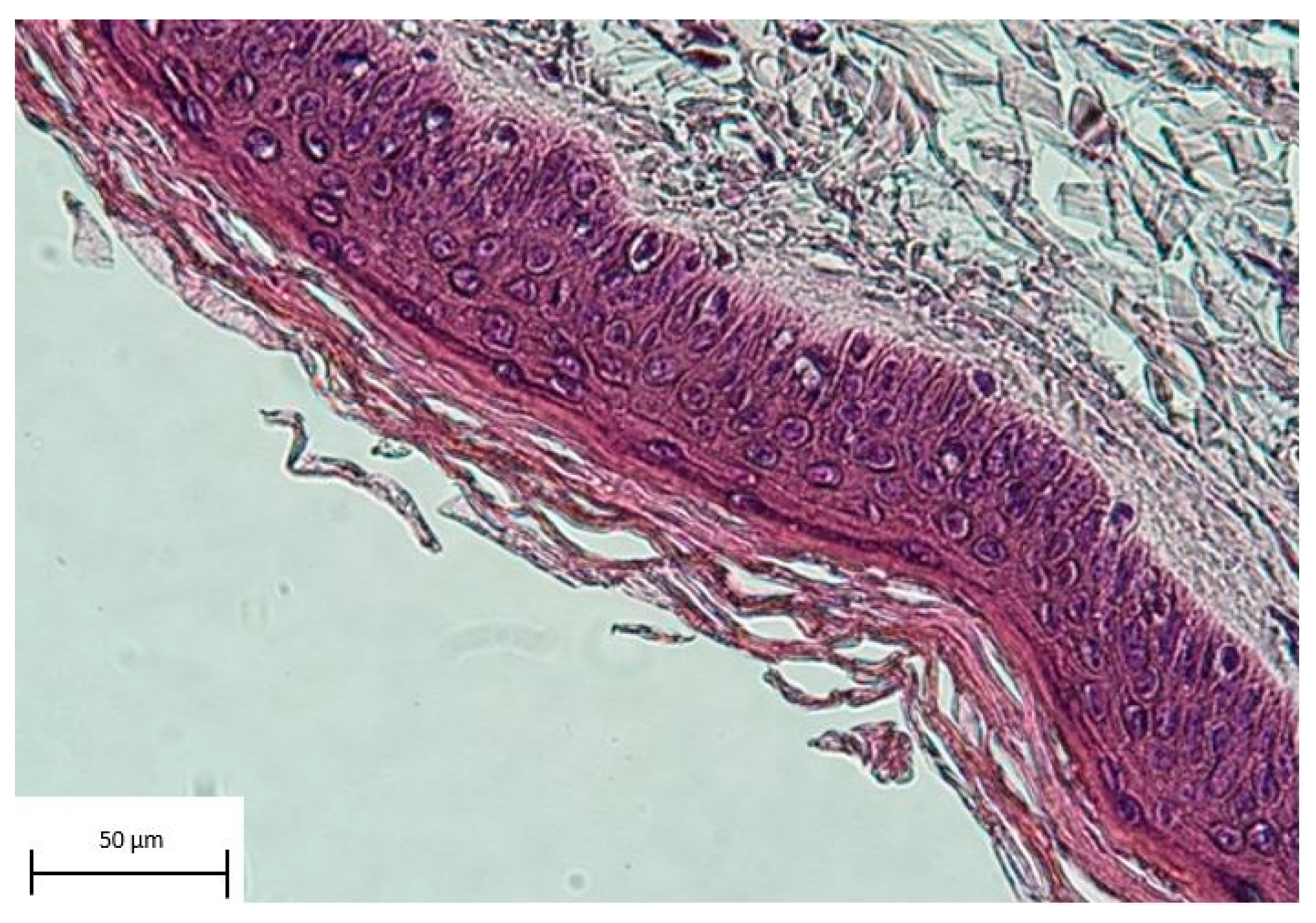
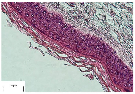
2.2. Skin Allografts Analysed by Scanning Electron Microscope (SEM) and Histological Sectional Images
2.3. Patient Data and Evaluation of the Results
3. Results
3.1. Patient Data and Outcome
3.2. Scanning Electron Microscope and Histology
3.3. Skin Banking Program—Skin Donors, Procurement, Processing, Storage and Application of Allografts
4. Discussion
5. Conclusions
Author Contributions
Funding
Institutional Review Board Statement
Informed Consent Statement
Data Availability Statement
Acknowledgments
Conflicts of Interest
References
- Wilkinson, E. The epidemiology of burns in secondary care, in a population of 2.6 million people. Burns 1998, 24, 139–143. [Google Scholar] [CrossRef]
- Peck, M.D. Epidemiology of burns throughout the world. Part I: Distribution and risk factors. Burns 2011, 37, 1087–1100. [Google Scholar] [CrossRef]
- Smolle, C.; Cambiaso-Daniel, J.; Forbes, A.A.; Wurzer, P.; Hundeshagen, G.; Branski, L.K.; Huss, F.; Kamolz, L.-P. Recent trends in burn epidemiology worldwide: A systematic review. Burns 2017, 43, 249–257. [Google Scholar] [CrossRef]
- Liao, C.-C.; Rossignol, A.M. Landmarks in burn prevention. Burns 2000, 26, 422–434. [Google Scholar] [CrossRef]
- Tam, J.; Wang, Y.; Farinelli, W.A.; Jimenez-Lozano, J.; Franco, W.; Sakamoto, F.H.; Cheung, E.J.; Purschke, M.; Doukas, A.G.; Anderson, R.R. Fractional Skin Harvesting: Autologous Skin Grafting without Donor-site Morbidity. Plast. Reconstr. Surg. Glob. Open 2013, 1, e47. [Google Scholar] [CrossRef]
- Wurzer, P.; Keil, H.; Branski, L.K.; Parvizi, D.; Clayton, R.P.; Finnerty, C.C.; Herndon, D.N.; Kamolz, L.-P. The use of skin substitutes and burn care—A survey. J. Surg. Res. 2016, 201, 293–298. [Google Scholar] [CrossRef]
- Paggiaro, A.O.; Bastianelli, R.; Carvalho, V.; Isaac, C.; Gemperli, R. Is allograft skin, the gold-standard for burn skin substitute? A systematic literature review and meta-analysis. J. Plast. Reconstr. Aesthetic Surg. 2019, 72, 1245–1253. [Google Scholar] [CrossRef] [PubMed]
- Brusselaers, N.; Pirayesh, A.; Hoeksema, H.; Richters, C.D.; Verbelen, J.; Beele, H.; Blot, S.I.; Monstrey, S. Skin Replacement in Burn Wounds. J. Trauma Acute Care Surg. 2010, 68, 490–501. [Google Scholar] [CrossRef]
- Pham, C.; Greenwood, J.; Cleland, H.; Woodruff, P.; Maddern, G. Bioengineered skin substitutes for the management of burns: A systematic review. Burns 2007, 33, 946–957. [Google Scholar] [CrossRef] [PubMed]
- Keck, M.; Haluza, D.; Lumenta, D.B.; Burjak, S.; Eisenbock, B.; Kamolz, L.-P.; Frey, M. Construction of a multi-layer skin substitute: Simultaneous cultivation of keratinocytes and preadipocytes on a dermal template. Burns 2011, 37, 626–630. [Google Scholar] [CrossRef] [PubMed]
- Keswani, S.M.; Mishra, M.G.; Karnik, S.; Dutta, S.; Mishra, M.; Panda, S.; Varghese, R.; Virkar, T.; Upendran, V. Skin banking at a regional burns centre—The way forward. Burns 2018, 44, 870–876. [Google Scholar] [CrossRef] [PubMed]
- Haddad, A.G.; Giatsidis, G.; Orgill, D.P.; Halvorson, E.G. Skin Substitutes and Bioscaffolds: Temporary and Permanent Coverage. Clin. Plast. Surg. 2017, 44, 627–634. [Google Scholar] [CrossRef]
- Halim, A.S.; Khoo, T.L.; Mohd Yussof, S.J. Biologic and synthetic skin substitutes: An overview. Indian. J. Plast. Surg. 2010, 43, S23–S28. [Google Scholar] [CrossRef]
- Purdue, G.F.; Hunt, J.L.; Still, J.M.; Law, E.J.; Herndon, D.N.; Goldfarb, I.W.; Schiller, W.R.; Hansbrough, J.F.; Hickerson, W.L.; Himel, H.N.; et al. A Multicenter Clinical Trial of a Biosynthetic Skin Replacement, Dermagraft-TC, Compared with Cryopreserved Human Cadaver Skin for Temporary Coverage of Excised Burn Wounds. J. Burn. Care Rehabil. 1997, 18, 52–57. [Google Scholar] [CrossRef] [PubMed]
- Rezaei, E.; Beiraghi-Toosi, A.; Ahmadabadi, A.; Tavousi, S.H.; Tabrizi, A.A.; Fotuhi, K.; Nooghabi, M.J.; Manafi, A.; Moghadam, S.A. Can Skin Allograft Occasionally Act as a Permanent Coverage in Deep Burns? A Pilot Study. World J. Plast. Surg. 2017, 6, 94–99. [Google Scholar]
- Phipps, A.R.; Clarke, J.A. The use of intermingled autograft and parental allograft skin in the treatment of major burns in children. Br. J. Plast. Surg. 1991, 44, 608–611. [Google Scholar] [CrossRef] [PubMed]
- Wendt, J.R.; Ulich, T.; Rao, P.N. Long-term survival of human skin allografts in patients with immunosuppression. Plast. Reconstr. Surg. 2004, 113, 1347–1354. [Google Scholar] [CrossRef]
- Rogers, A.D.; Allorto, N.L.; Adams, S.; Adams, K.G.; Hudson, D.A.; Rode, H. Isn’t it time for a cadaver skin bank in South Africa? Ann. Burn. Fire Disasters 2013, 26, 142–146. [Google Scholar]
- Cai, L.; Long, C.; Karki, B.; Nakarmi, K.; Iqbal, A.; Casertano, M.; Anderson, S.; Patell, J.; Chang, J.; Rai, S.M. Creation of Nepal’s First Skin Bank: Challenges and Outcomes. Plast. Reconstr. Surg. Glob. Open 2017, 5, e1510. [Google Scholar] [CrossRef]
- European Directorate for the Quality of Medicines & HealthCare. Guide to the Quality and Safety of Tissues and Cells for Human Application. 2022. Available online: https://www.edqm.eu/en/guide-to-the-quality-and-safety-of-tissues-and-cells-for-human-application1 (accessed on 15 May 2023).
- Chua, A.; Song, C.; Chai, A.; Chan, L.; Tan, K.C. The impact of skin banking and the use of its cadaveric skin allografts for severe burn victims in Singapore. Burns 2004, 30, 696–700. [Google Scholar] [CrossRef]
- Tompkins, R.G.; Burke, J.F.; Schoenfeld, D.A.; Bondoc, C.C.; Quinby, W.C., Jr.; Behringer, G.C.; Ackroyd, F.W. Prompt eschar excision: A treatment system contributing to reduced burn mortality. A statistical evaluation of burn care at the Massachusetts General Hospital (1974–1984). Ann. Surg. 1986, 204, 272–281. [Google Scholar] [CrossRef]
- Choi, Y.H.; Cho, Y.S.; Lee, J.H.; Choi, Y.; Noh, S.Y.; Park, S.; Sung, C.; Lim, J.K.; Kim, J.; Shin, J.J.; et al. Cadaver skin allograft may improve mortality rate for burns involving over 30% of total body surface area: A propensity score analysis of data from four burn centers. Cell Tissue Bank. 2018, 19, 645–651. [Google Scholar] [CrossRef] [PubMed]
- Ziegler, B.; Hirche, C.; Horter, J.; Kiefer, J.; Grützner, P.A.; Kremer, T.; Kneser, U.; Münzberg, M. In view of standardization Part 2: Management of challenges in the initial treatment of burn patients in Burn Centers in Germany, Austria and Switzerland. Burns 2017, 43, 318–325. [Google Scholar] [CrossRef] [PubMed]
- Carsin, H.; Ainaud, P.; Le Bever, H.; Rives, J.-M.; Lakhel, A.; Stephanazzi, J.; Lambert, F.; Perrot, J. Cultured epithelial autografts in extensive burn coverage of severely traumatized patients: A five year single-center experience with 30 patients. Burns 2000, 26, 379–387. [Google Scholar] [CrossRef]
- Roger, M.; Fullard, N.; Costello, L.; Bradbury, S.; Markiewicz, E.; O’Reilly, S.; Darling, N.; Ritchie, P.; Määttä, A.; Karakesisoglou, I.; et al. Bioengineering the microanatomy of human skin. J. Anat. 2019, 234, 438–455. [Google Scholar] [CrossRef]
- Sarmin, A.M.; El Moussaid, N.; Suntornnond, R.; Tyler, E.J.; Kim, Y.-H.; Di Cio, S.; Megone, W.V.; Pearce, O.; Gautrot, J.E.; Dawson, J.; et al. Multi-Scale Analysis of the Composition, Structure, and Function of Decellularized Extracellular Matrix for Human Skin and Wound Healing Models. Biomolecules 2022, 12, 837. [Google Scholar] [CrossRef] [PubMed]
- Tavousi, S.H.; Ahmadabadi, A.; Sedaghat, A.; Khaleghi, E.; Rashchi, M.; Bonakdaran, Z. Skin allograft procurement and transplantation in Mashhad, Iran: Are burn patients’ needs being met? Cell Tissue Bank. 2017, 18, 397–402. [Google Scholar] [CrossRef]
- Enoch, S.; Shaaban, H.; Dunn, K.W. Informed consent should be obtained from patients to use products (skin substitutes) and dressings containing biological material. J. Med. Ethic. 2005, 31, 2–6. [Google Scholar] [CrossRef]
- Matesanz, R.; Domínguez-Gil, B.; Coll, E.; Mahíllo, B.; Marazuela, R. How Spain Reached 40 Deceased Organ Donors per Million Population. Am. J. Transplant. 2017, 17, 1447–1454. [Google Scholar] [CrossRef]
- Tarassoli, S.P.; Jessop, Z.M.; Al-Sabah, A.; Gao, N.; Whitaker, S.; Doak, S.; Whitaker, I.S. Skin tissue engineering using 3D bioprinting: An evolving research field. J. Plast. Reconstr. Aesthetic Surg. 2018, 71, 615–623. [Google Scholar] [CrossRef] [PubMed]









| Temporary Dressings | Dermal Substitutes | Epidermal Substitutes |
|---|---|---|
| Allografts | Matriderm® | ReCell® |
| Xenografts | Integra® | Epicel® |
| Amnion | Renoskin® | Laserskin® |
| Acticoat® | Pelnac® | Vivoderm® |
| Aquacel AG® | Dermagraft® | EpiDex® |
| Biobrane® | Alloderm® | TranSCell® |
|
|
| Patient | Age | Sex | Days in ICU | Burn Thickness | TBSA (%) | Cause of Trauma | ABSI | Death | Number of Surgeries | Number of Allografts |
|---|---|---|---|---|---|---|---|---|---|---|
| 1 | 50 | m | 41 | 3 | 30 | Work | 7 | yes | 5 | 11 |
| 2 | 68 | w | 39 | 2 | 30 | Traffic | 8 | no | 4 | 4 |
| 3 | 39 | w | 17 | 3 | 20 | Suicidal | 6 | no | 6 | 8 |
| 4 | 29 | m | 53 | 3 | 70 | Work | 11 | no | 4 | 69 |
| 5 | 27 | m | 58 | 3 | 15 | Traffic | 5 | no | 5 | 21 |
| 6 | 17 | m | 82 | 2 | 51 | Work | 7 | no | 5 | 24 |
| 7 | 34 | m | 40 | 3 | 60 | Work | 10 | yes | 4 | 40 |
| 8 | 41 | m | 63 | 3 | 55 | Leisure | 9 | no | 6 | 5 |
| 9 | 32 | m | 80 | 3 | 70 | Work | 12 | yes | 11 | 15 |
| 10 | 49 | m | 71 | 3 | 60 | Work | 10 | yes | 10 | 5 |
| Median | 36.5 | 55.5 | 53.0 | 8.5 | 5.0 | 13.0 |
Disclaimer/Publisher’s Note: The statements, opinions and data contained in all publications are solely those of the individual author(s) and contributor(s) and not of MDPI and/or the editor(s). MDPI and/or the editor(s) disclaim responsibility for any injury to people or property resulting from any ideas, methods, instructions or products referred to in the content. |
© 2023 by the authors. Licensee MDPI, Basel, Switzerland. This article is an open access article distributed under the terms and conditions of the Creative Commons Attribution (CC BY) license (https://creativecommons.org/licenses/by/4.0/).
Share and Cite
Staud, C.J.; Resch, A.; Christ, A.; Borger, A.; Zaussinger, M.; Teufelsbauer, M.; Worel, N.; Radtke, C. Skin Bank Establishment in Treatment of Severe Burn Injuries: Overview and Experience with Skin Allografts at the Vienna Burn Center. J. Clin. Med. 2023, 12, 4717. https://doi.org/10.3390/jcm12144717
Staud CJ, Resch A, Christ A, Borger A, Zaussinger M, Teufelsbauer M, Worel N, Radtke C. Skin Bank Establishment in Treatment of Severe Burn Injuries: Overview and Experience with Skin Allografts at the Vienna Burn Center. Journal of Clinical Medicine. 2023; 12(14):4717. https://doi.org/10.3390/jcm12144717
Chicago/Turabian StyleStaud, Clement J., Annika Resch, Alexandra Christ, Anton Borger, Maximilian Zaussinger, Maryana Teufelsbauer, Nina Worel, and Christine Radtke. 2023. "Skin Bank Establishment in Treatment of Severe Burn Injuries: Overview and Experience with Skin Allografts at the Vienna Burn Center" Journal of Clinical Medicine 12, no. 14: 4717. https://doi.org/10.3390/jcm12144717
APA StyleStaud, C. J., Resch, A., Christ, A., Borger, A., Zaussinger, M., Teufelsbauer, M., Worel, N., & Radtke, C. (2023). Skin Bank Establishment in Treatment of Severe Burn Injuries: Overview and Experience with Skin Allografts at the Vienna Burn Center. Journal of Clinical Medicine, 12(14), 4717. https://doi.org/10.3390/jcm12144717

