Medial Reduction in Sesamoid Position after Hallux Valgus Correction Surgery Showed Better Outcome in S.E.R.I. Osteotomy than DCMO
Abstract
1. Introduction
2. Materials and Methods
2.1. Operative Technique
2.1.1. DCMO
2.1.2. S.E.R.I. Osteotomy
2.2. Post-Operative Care
2.3. Radiographic Assessments
2.4. Clinical Assessment
2.5. Data Collection and Statistical Analysis
3. Results
3.1. Clinical Results
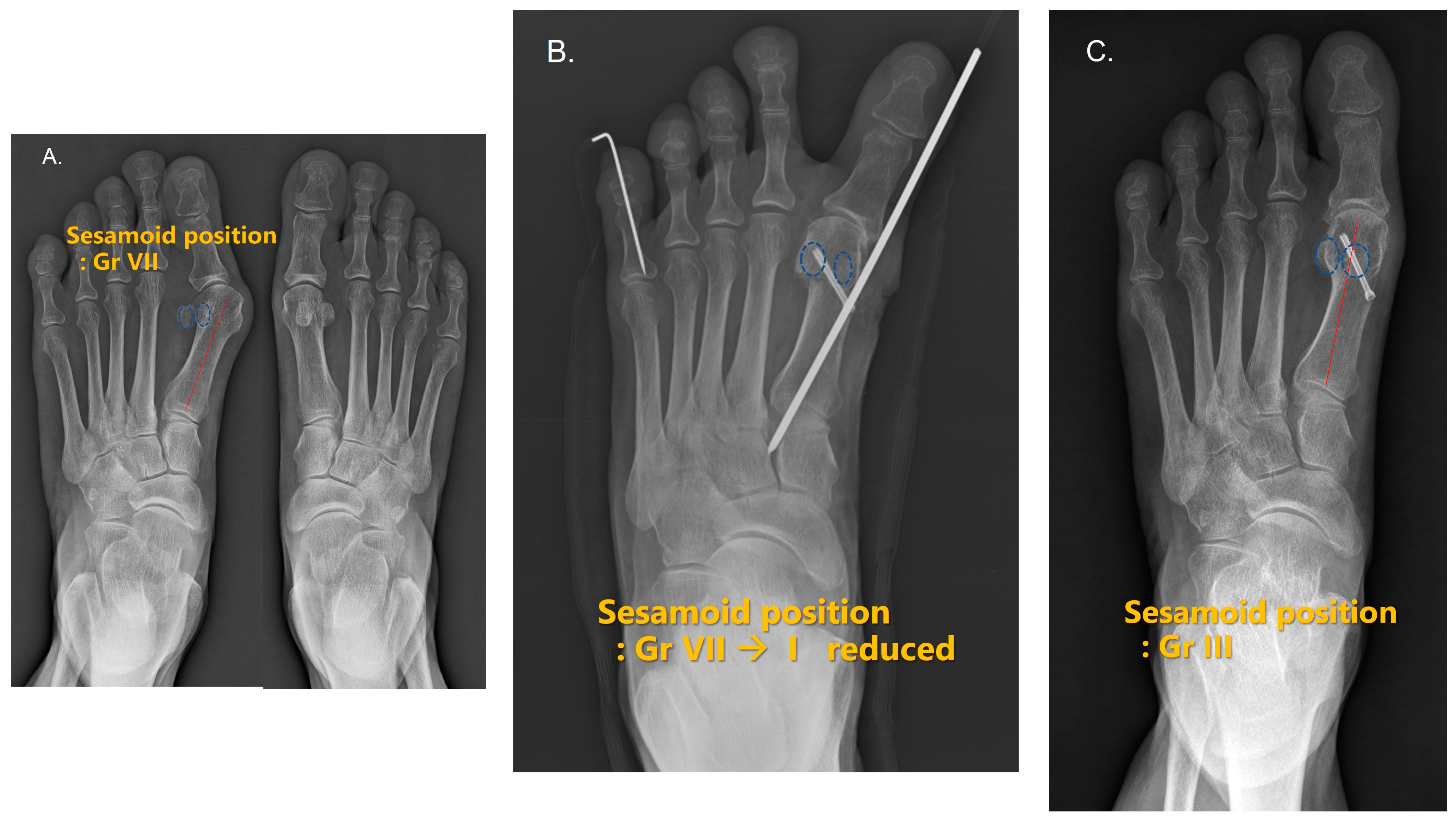
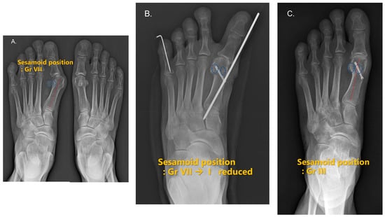
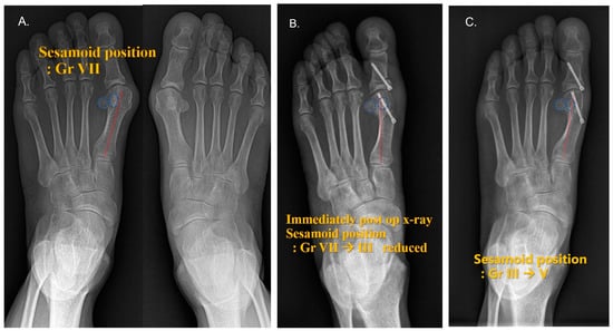
3.2. Radiographic Results
3.3. Medial Sesamoid Position
4. Discussion
Author Contributions
Funding
Institutional Review Board Statement
Informed Consent Statement
Data Availability Statement
Conflicts of Interest
References
- Coughlin, M.J.; Jones, C.P. Hallux valgus: Demographics, etiology, and radiographic assessment. Foot Ankle Int. 2007, 28, 759–777. [Google Scholar] [CrossRef] [PubMed]
- Mann, R.A.; Coughlin, M.J. Hallux valgus—Etiology, anatomy, treatment and surgical considerations. Clin. Orthop. Relat. Res. 1981, 157, 31–41. [Google Scholar] [CrossRef]
- Kim, J.S.; Cho, H.K.; Young, K.W.; Kim, J.S.; Lee, K.T. Biomechanical comparison study of three fixation methods for proximal chevron osteotomy of the first metatarsal in hallux valgus. Clin. Orthop. Surg. 2017, 9, 514. [Google Scholar] [CrossRef] [PubMed]
- Easley, M.E.; Trnka, H.-J. Current concepts review: Hallux valgus part II: Operative treatment. Foot Ankle Int. 2007, 28, 748–758. [Google Scholar] [CrossRef]
- Schneider, W.; Aigner, N.; Pinggera, O.; Knahr, K. Chevron osteotomy in hallux valgus: Ten-year results of 112 cases. J. Bone Jt. Surg. Br. Vol. 2004, 86, 1016–1020. [Google Scholar] [CrossRef]
- Giannini, S.; CECCARELLI, F.; BEVONI, R.; VANNINI, F. Hallux valgus surgery: The minimally invasive bunion correction (SERI). Tech. Foot Ankle Surg. 2003, 2, 11–20. [Google Scholar] [CrossRef]
- Bösch, P.; Wanke, S.; Legenstein, R. Hallux valgus correction by the method of Bösch: A new technique with a seven-to-ten-year follow-up. Foot Ankle Clin. 2000, 5, 485–498,v–vi. [Google Scholar]
- Maffulli, N.; Oliva, F.; Coppola, C.; Miller, D. Minimally invasive hallux valgus correction: A technical note and a feasibility study. J. Surg. Orthop. Adv. 2005, 14, 193. [Google Scholar]
- Biz, C.; Fosser, M.; Dalmau-Pastor, M.; Corradin, M.; Rodà, M.G.; Aldegheri, R.; Ruggieri, P. Functional and radiographic outcomes of hallux valgus correction by mini-invasive surgery with Reverdin-Isham and Akin percutaneous osteotomies: A longitudinal prospective study with a 48-month follow-up. J. Orthop. Surg. Res. 2016, 11, 1–13. [Google Scholar] [CrossRef]
- Biz, C.; Corradin, M.; Petretta, I.; Aldegheri, R. Endolog technique for correction of hallux valgus: A prospective study of 30 patients with 4-year follow-up. J. Orthop. Surg. Res. 2015, 10, 1–13. [Google Scholar] [CrossRef]
- Biz, C.; Crimì, A.; Fantoni, I.; Tagliapietra, J.; Ruggieri, P. Functional and radiographic outcomes of minimally invasive intramedullary nail device (MIIND) for moderate to severe hallux valgus. Foot Ankle Int. 2021, 42, 409–424. [Google Scholar] [CrossRef] [PubMed]
- Okuda, R.; Kinoshita, M.; Yasuda, T.; Jotoku, T.; Kitano, N.; Shima, H. Postoperative incomplete reduction of the sesamoids as a risk factor for recurrence of hallux valgus. JBJS 2009, 91, 1637–1645. [Google Scholar] [CrossRef]
- Giannini, S.; Vannini, F.; Faldini, C.; Bevoni, R.; Nanni, M.; Leonetti, D. The minimally invasive hallux valgus correction (SERI). Interact. Surg. 2007, 2, 17–23. [Google Scholar] [CrossRef]
- Giannini, S.; Faldini, C.; Nanni, M.; Di Martino, A.; Luciani, D.; Vannini, F. A minimally invasive technique for surgical treatment of hallux valgus: Simple, effective, rapid, inexpensive (SERI). Int. Orthop. 2013, 37, 1805–1813. [Google Scholar] [CrossRef] [PubMed]
- Magnan, B.; Pezzè, L.; Rossi, N.; Bartolozzi, P. Percutaneous distal metatarsal osteotomy for correction of hallux valgus. JBJS 2005, 87, 1191–1199. [Google Scholar]
- Talbot, K.D.; Saltzman, C.L. Assessing sesamoid subluxation: How good is the AP radiograph? Foot Ankle Int. 1998, 19, 547–554. [Google Scholar] [CrossRef] [PubMed]
- Shima, H.; Okuda, R.; Yasuda, T.; Jotoku, T.; Kitano, N.; Kinoshita, M. Radiographic measurements in patients with hallux valgus before and after proximal crescentic osteotomy. JBJS 2009, 91, 1369–1376. [Google Scholar] [CrossRef]
- Hardy, R.; Clapham, J. Observations on hallux valgus. J. Bone Jt. Surg. Br. Vol. 1951, 33, 376–391. [Google Scholar] [CrossRef]
- Coughlin, M.J.; Saltzman, C.L.; Mann, R.A. Mann’s Surgery of the Foot and Ankle E-Book: Expert Consult-Online; Elsevier Health Sciences: Amsterdam, The Netherlands, 2013. [Google Scholar]
- Park, Y.-B.; Lee, K.-B.; Kim, S.-K.; Seon, J.-K.; Lee, J.-Y. Comparison of distal soft-tissue procedures combined with a distal chevron osteotomy for moderate to severe hallux valgus: First web-space versus transarticular approach. JBJS 2013, 95, e158. [Google Scholar] [CrossRef]
- Coughlin, M.J. Arthrodesis of the first metatarsophalangeal joint with mini-fragment plate fixation. Orthopedics 1990, 13, 1037–1044. [Google Scholar] [CrossRef]
- Park, C.H.; Lee, W.-C. Recurrence of hallux valgus can be predicted from immediate postoperative non-weight-bearing radiographs. JBJS 2017, 99, 1190–1197. [Google Scholar] [CrossRef]
- Coughlin, M.J.; Jones, C.P. Hallux valgus and first ray mobility: A prospective study. JBJS 2007, 89, 1887–1898. [Google Scholar] [CrossRef]
- Seng, C.; Ho, D.C.; Chong, K.W. Restoring sesamoid position in scarf osteotomy: A learning curve. J. Foot Ankle Surg. 2015, 54, 1089–1092. [Google Scholar] [CrossRef] [PubMed]
- Panchani, S.; Reading, J.; Mehta, J. Inter and intra-observer reliability in assessment of the position of the lateral sesamoid in determining the severity of hallux valgus. Foot 2016, 27, 59–61. [Google Scholar] [CrossRef]
- Agrawal, Y.; Desai, A.; Mehta, J. Lateral sesamoid position in hallux valgus: Correlation with the conventional radiological assessment. Foot Ankle Surg. 2011, 17, 308–311. [Google Scholar] [CrossRef] [PubMed]
- Ramdass, R.; Meyr, A.J. The multiplanar effect of first metatarsal osteotomy on sesamoid position. J. Foot Ankle Surg. 2010, 49, 63–67. [Google Scholar] [CrossRef] [PubMed]
- Young, K.W.; Lee, H.S.; Park, S.C. Modified proximal scarf osteotomy for hallux valgus. Clin. Orthop. Surg. 2018, 10, 479. [Google Scholar] [CrossRef]
- Okuda, R.; Kinoshita, M.; Yasuda, T.; Jotoku, T.; Shima, H.; Takamura, M. Hallux valgus angle as a predictor of recurrence following proximal metatarsal osteotomy. J. Orthop. Sci. 2011, 16, 760–764. [Google Scholar] [CrossRef]
- Zettl, R.; Trnka, H.-J.; Easley, M.; Salzer, M.; Ritschl, P. Moderate to severe hallux valgus deformity: Correction with proximal crescentic osteotomy and distal soft-tissue release. Arch. Orthop. Trauma Surg. 2000, 120, 397–402. [Google Scholar] [CrossRef]
- Okuda, R.; Kinoshita, M.; Morikawa, J.; Yasuda, T.; Abe, M. Proximal metatarsal osteotomy: Relation between 1-to greater than 3-years results. Clin. Orthop. Relat. Res. 2005, 435, 191–196. [Google Scholar] [CrossRef]
- Giannini, S.; Cavallo, M.; Faldini, C.; Luciani, D.; Vannini, F. The SERI distal metatarsal osteotomy and Scarf osteotomy provide similar correction of hallux valgus. Clin. Orthop. Relat. Res. 2013, 471, 2305–2311. [Google Scholar] [CrossRef] [PubMed]
- Jeyaseelan, L.; Malagelada, F. Minimally Invasive Hallux Valgus Surgery—A Systematic Review and Assessment of State of the Art. Foot Ankle Clin. 2020, 25, 345–359. [Google Scholar] [CrossRef] [PubMed]


| DCMO (n = 30, 50%) | S.E.R.I. (n = 30, 50%) | p Value * | |
|---|---|---|---|
| Age (years) | 50.4 ± 15.4 | 56.0 ± 12.4 | 0.140 |
| Gender (female: male) | 26:4 | 27:3 | 0.999 |
| Right:left | 18:12 | 16:14 | 0.602 |
| Body-mass index, kg/m2 | 24.0 ± 3.0 | 22.8 ± 2.8 | 0.017 |
| Follow-up period (Months) | 18.4 ± 6.0 | 15.0 ± 9.4 | 0.108 |
| DCMO (n = 30, 50%) | S.E.R.I. (n = 30, 50%) | p Value | |
|---|---|---|---|
| Hallux valgus angle (°) | |||
| Pre-op | 28.8 ± 7.7 | 32.6 ± 9.5 | 0.101 |
| Early follow-up | 10.4 ± 4.0 | 8.7 ± 5.0 | 0.148 |
| Most recent follow-up | 13.9 ± 5.6 | 10.4 ± 6.4 | 0.030 |
| Most recent follow-up ≥20° | 4(13%) | 3(10%) | 0.553 |
| Intermetatarsal angle (°) | |||
| Pre-op | 11.9 ± 2.6 | 13.5 ± 3.1 | 0.040 |
| Early follow-up | 6.1 ± 2.5 | 4.8 ± 3.1 | 0.082 |
| Most recent follow-up | 7.3 ± 2.9 | 6.6 ± 3.5 | 0.408 |
| DCMO (n = 30, 50%) | S.E.R.I. (n = 30, 50%) | |||||
| Grade | Pre-Operative | Early Follow-Up | Most Recent Follow-Up | Pre-Operative | Early Follow-Up | Most Recent Follow-Up |
| I | 3 (10%) | 1 (3%) | 16 (53%) | 7 (23%) | ||
| II | 10 (33%) | 5 (17%) | 4 (13%) | 3 (10%) | ||
| III | 9 (30%) | 6 (20%) | 5 (17%) | 8 (27%) | ||
| IV | 4 (13%) | 5 (17%) | 5 (17%) | 6 (20%) | ||
| V | 10 (33%) | 4 (13%) | 10 (33%) | 6 (20%) | 5 (17%) | |
| VI | 2 (7%) | 3 (10%) | 7 (23%) | 1 (3%) | ||
| VII | 18 (60%) | 17 (57%) | ||||
| DCMO (n = 30, 50%) | S.E.R.I. (n = 30, 50%) | p value | ||||
| Grade difference | ||||||
| Pre-op to early follow-up | −3.4 ± 1.1 | −4.4 ± 1.4 | 0.003 * | |||
| Pre-op to most recent follow-up | −2.4 ± 1.5 | −3.3 ± 1.7 | 0.028 * | |||
| Early to Most recent follow up | 1.0 ± 1.0 | 1.1 ± 1.2 | 0.822 * | |||
| Laterally displaced sesamoid | ||||||
| Pre-op | 30 (100%) | 30 (100%) | 0.999 † | |||
| Early follow-up | 4 (13%) | 0 (0%) | 0.038 † | |||
| Most recent follow-up | 13 (42%) | 6 (20%) | 0.052 † | |||
Disclaimer/Publisher’s Note: The statements, opinions and data contained in all publications are solely those of the individual author(s) and contributor(s) and not of MDPI and/or the editor(s). MDPI and/or the editor(s) disclaim responsibility for any injury to people or property resulting from any ideas, methods, instructions or products referred to in the content. |
© 2023 by the authors. Licensee MDPI, Basel, Switzerland. This article is an open access article distributed under the terms and conditions of the Creative Commons Attribution (CC BY) license (https://creativecommons.org/licenses/by/4.0/).
Share and Cite
Hwang, Y.G.; Park, K.H.; Han, S.H. Medial Reduction in Sesamoid Position after Hallux Valgus Correction Surgery Showed Better Outcome in S.E.R.I. Osteotomy than DCMO. J. Clin. Med. 2023, 12, 4402. https://doi.org/10.3390/jcm12134402
Hwang YG, Park KH, Han SH. Medial Reduction in Sesamoid Position after Hallux Valgus Correction Surgery Showed Better Outcome in S.E.R.I. Osteotomy than DCMO. Journal of Clinical Medicine. 2023; 12(13):4402. https://doi.org/10.3390/jcm12134402
Chicago/Turabian StyleHwang, Yeok Gu, Kwang Hwan Park, and Seung Hwan Han. 2023. "Medial Reduction in Sesamoid Position after Hallux Valgus Correction Surgery Showed Better Outcome in S.E.R.I. Osteotomy than DCMO" Journal of Clinical Medicine 12, no. 13: 4402. https://doi.org/10.3390/jcm12134402
APA StyleHwang, Y. G., Park, K. H., & Han, S. H. (2023). Medial Reduction in Sesamoid Position after Hallux Valgus Correction Surgery Showed Better Outcome in S.E.R.I. Osteotomy than DCMO. Journal of Clinical Medicine, 12(13), 4402. https://doi.org/10.3390/jcm12134402

