Total Knee Arthroplasty in Haemophilia: Long-Term Results and Survival Rate of a Modern Knee Implant with an Oxidized Zirconium Femoral Component
Abstract
1. Introduction
2. Materials and Methods
2.1. Surigical Technique
2.2. Clinical and Radiographic Evaluations
2.3. Statistical Analysis
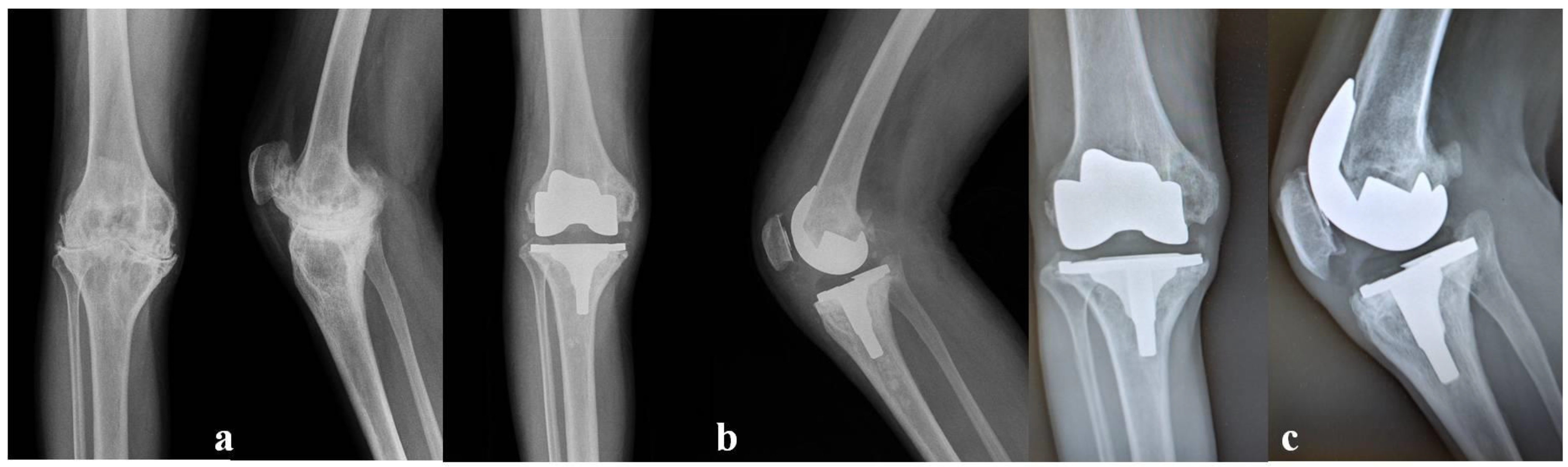
3. Results
4. Discussion
5. Conclusions
Author Contributions
Funding
Institutional Review Board Statement
Informed Consent Statement
Data Availability Statement
Conflicts of Interest
References
- Melchiorre, D.; Linari, S.; Matassi, F.; Castaman, G. Chapter 1 “Pathogenesis of the haemophilic arthropathy”. In The Management of Haemophilic Arthropathy; Christian, C., Ed.; Bentham Ltd.: Karachi, Pakistan, 2017; Volume 2, pp. 1–8. [Google Scholar]
- Franchini, M.; Mannucci, P.M. Past, present and future of hemophilia: A narrative review. Orphanet J. Rare Dis. 2012, 7, 24. [Google Scholar] [CrossRef]
- Berntorp, E.; Shapiro, A.D. Modern haemophilia care. Lancet 2012, 379, 1447–1456. [Google Scholar] [CrossRef]
- Bolton-Maggs, P.H.; Pasi, K.J. Haemophilias A and B. Lancet 2003, 361, 1801. [Google Scholar] [CrossRef]
- Mannucci, P.M.; Tuddenham, E.G. The hemophilias—From royal genes to gene therapy. N. Engl. J. Med. 2001, 344, 1773. [Google Scholar] [CrossRef] [PubMed]
- Jayandharan, G.R.; Srivastava, A. The phenotypic heterogeneity of severe hemophilia. Semin. Thromb. Hemost. 2008, 34, 128–141. [Google Scholar] [CrossRef] [PubMed]
- Pavlova, A.; Oldenburg, J. Defining severity of hemophilia: More than factor levels. Semin. Thromb. Hemost. 2013, 39, 702–710. [Google Scholar] [CrossRef] [PubMed]
- Mulder, K.; Llinás, A. The target joint. Haemophilia 2004, 10 (Suppl. S4), 152–156. [Google Scholar] [CrossRef] [PubMed]
- Manco-Johnson, M.J.; Abshire, T.C.; Shapiro, A.D.; Riske, B.; Hacker, M.R.; Kilcoyne, R.; Ingram, J.D.; Manco-Johnson, M.L.; Funk, S.; Jacobson, L.; et al. Prophylaxis versus Episodic Treatment to Prevent Joint Disease in Boys with Severe Hemophilia. N. Engl. J. Med. 2007, 357, 535–544. [Google Scholar] [CrossRef]
- Arnold, W.D.; Hilgartner, M.W. Hemophilic arthropathy. Current concepts of pathogenesis and management. J. Bone Joint Surg. Am. 1977, 59, 287–305. [Google Scholar] [CrossRef]
- Molho, P.; Verrier, P.; Stieltjes, N.; Schacher, J.-M.; Ounnoughène, N.; Vassilieff, D.; Menkes, C.-J.; Sultan, Y. A retrospective study on chemical and radioactive synovectomy in severe haemophilia patients with recurrent haemarthrosis. Haemophilia 1999, 5, 115–123. [Google Scholar] [CrossRef]
- Athanassiou-Metaxa, M.; Koussi, A.; Economou, M.; Tsagias, I.; Badouraki, M.; Trachana, M.; Christodoulou, A. Chemical synoviorthesis with rifampicine and hyaluronic acid in haemophilic children. Haemophilia 2002, 8, 815–816. [Google Scholar] [CrossRef]
- Carulli, C.; Civinini, R.; Martini, C.; Linari, S.; Morfini, M.; Tani, M.; Innocenti, M. Viscosupplementation in haemophilic arthropathy: A long-term follow-up study. Haemophilia 2012, 18, e210–e214. [Google Scholar] [CrossRef]
- Carulli, C.; Matassi, F.; Civinini, R.; Morfini, M.; Tani, M.; Innocenti, M. Intra-articular injections of hyaluronic acid induce positive clinical effects in knees of patients affected by haemophilic arthropathy. Knee 2013, 20, 36–39. [Google Scholar] [CrossRef]
- Carulli, C.; Rizzo, A.R.; Innocenti, M.; Civinini, R.; Castaman, G.C.; Innocenti, M. Viscosupplementation in symptomatic haemophilic arthropathy of the knee and ankle: Experience with a high molecular weight hyaluronic acid. Haemophilia 2020, 26, e198–e200. [Google Scholar] [CrossRef]
- De Martis, F.; Tani, M. Chapter 9 “Lifestyle strategies and physical therapy”. In The Management of Haemophilic Arthropathy; Christian, C., Ed.; Bentham Ltd.: Karachi, Pakistan, 2017; Volume 2, pp. 1–8. [Google Scholar]
- Beeton, K.; Rodriguez Merchan, E.C.; Alltree, J. Total joint arthroplasty in haemophilia. Haemophilia 2000, 6, 474–481. [Google Scholar] [CrossRef]
- Powell, D.L.; Whitener, C.J.; Dye, C.E.; Ballard, J.O.; Shaffer, M.L.; Eyster, M.E. Knee and hip arthroplasty infection rates in persons with haemophilia: A 27 year single center experience during the HIV epidemic. Haemophilia 2005, 11, 233–239. [Google Scholar] [CrossRef]
- Goddard, N.J.; Rodriguez Merchan, E.C.; Wiedel, J.D. Total knee replacement in haemophilia. Haemophilia 2002, 8, 382–386. [Google Scholar] [CrossRef]
- Carulli, C.; Felici, I.; Martini, C.; Civinini, R.; Linari, S.; Castaman, G.; Innocenti, M. Total Hip Arthroplasty in haemophilic patients with modern cementless implants. J. Arthroplast. 2015, 30, 1757–1760. [Google Scholar] [CrossRef]
- Ragni, M.V.; Crossett, L.S.; Herndon, J.H. Postoperative infection following orthopaedic surgery in human immunodeficiency virus infected hemophiliacs with CD4 counts=200/mm3. J. Arthroplast. 1995, 10, 716–721. [Google Scholar] [CrossRef]
- Lehman, C.R.; Ries, M.D.; Paiement, G.D.; Davidson, A.B. Infection after total joint arthroplasty in patients with human immunodeficiency virus or intravenous drug use. J. Arthroplast. 2001, 16, 330–335. [Google Scholar] [CrossRef]
- Hicks, J.L.; Ribbans, W.J.; Buzzard, B.; Kelley, S.S.; Toft, L.; Torri, G.; Wiedel, J.D.; York, J. Infected joint replacements in HIV-positive patients with haemophilia. J. Bone Joint Surg. Br. 2001, 83-B, 1050–1054. [Google Scholar] [CrossRef]
- Hirose, J.; Takedani, H.; Nojima, M.; Koibuchi, T. Risk factors for postoperative complications of orthopedic surgery in patients with hemophilia: Second report. J. Orthop. 2018, 15, 558–562. [Google Scholar] [CrossRef] [PubMed]
- Lachiewicz, P.F.; Inglis, A.E.; Insall, J.N.; Sculco, T.P.; Hilgartner, M.W.; Bussel, J.B. Total knee arthroplasty in hemophilia. J. Bone Joint Surg. Am 1985, 67-A, 1361–1366. [Google Scholar] [CrossRef]
- Magone, J.B.; Dennis, D.A.; Weis, L.D. Total knee arthroplasty in chronic hemophilic arthropathy. Orthopedics 1986, 9, 653–657. [Google Scholar] [CrossRef]
- Karthaus, R.P.; Novakova, I.R. Total knee replacement in haemophilic arthropathy. J. Bone Joint Surg. Br. 1988, 70, 382–385. [Google Scholar] [CrossRef]
- Figgie, M.P.; Goldberg, V.M.; Figgie, H.E., III; Heiple, K.G.; Sobel, M. Total knee arthroplasty for the treatment of chronic hemophilic arthropathy. Clin. Orthop. 1989, 248, 98–107. [Google Scholar]
- Teigland, J.C.; Tjonnfjord, G.E.; Evensen, S.A.; Charania, B. Knee arthroplasty in hemophilia. 5–12 year follow-up of 15 patients. Acta Orthop. Scand. 1993, 64, 153–156. [Google Scholar] [CrossRef]
- Thomason, H.C., III; Wilson, F.C.; Lachiewicz, P.F.; Kelley, S.S. Knee arthroplasty in hemophilic arthropathy. Clin. Orthop. 1999, 360, 169–173. [Google Scholar] [CrossRef]
- Norian, J.M.; Ries, M.D.; Karp, S.; Hambleton, J. Total knee arthroplasty in hemophilic arthropathy. J. Bone Joint Surg. Am. 2002, 84-A, 1138–1141. [Google Scholar] [CrossRef]
- Sheth, D.S.; Oldfield, D.; Ambrose, C.; Clyburn, T. Total knee arthroplasty in hemophilic arthropathy. J. Arthroplast. 2004, 19, 56–60. [Google Scholar] [CrossRef]
- Bae, D.K.; Yoon, K.H.; Kim, H.S.; Song, S.J. Total knee arthroplasty in hemophilic arthropathy of the knee. J. Arthroplast. 2005, 20, 664–668. [Google Scholar]
- Silva, M.; Luck, J.V., Jr. Long-term results of primary total knee replacement in patients with hemophilia. J. Bone Joint Surg. Am. 2005, 87-A, 85–91. [Google Scholar]
- Feldman, B.M.; Funk, S.M.; Bergstrom, B.M.; Zourikian, N.; Hilliard, P.; van der Net, J.; Engelbert, R.; Petrini, P.; van den Berg, H.M.; Manco-Johnson, M.J.; et al. Validation of a new pediatric joint scoring system from the International Hemophilia Prophylaxis Study Group: Validity of the hemophilia joint health score. Arthritis Care Res. 2011, 63, 223–230. [Google Scholar] [CrossRef]
- Insall, J.N.; Dorr, L.D.; Scott, R.D.; Scott, W.N. Rationale of the Knee Society clinical rating system. Clin. Orthop. 1989, 248, 13–14. [Google Scholar] [CrossRef]
- Giesinger, J.M.; Behrend, H.; Hamilton, D.F.; Kuster, M.S.; Giesinger, K. Normative Values for the Forgotten Joint Score-12 for the US General Population. J. Arthroplast. 2019, 34, 650–655. [Google Scholar] [CrossRef]
- Walker, L.C.; Clement, N.D.; Deehan, D.J. Predicting the Outcome of Total Knee Arthroplasty Using the WOMAC Score: A Review of the Literature. J. Knee Surg. 2019, 32, 736–741. [Google Scholar] [CrossRef]
- Petterson, H.; Ahlber, A.; Nilsson, I.M. A radiologic classification of hemophilic arthropathy. Clin. Orthop. 1980, 149, 153. [Google Scholar] [CrossRef]
- Behrend, H.; Giesinger, K.; Giesinger, J.M.; Kuster, M.S. The forgotten joint as the ultimate goal n joint arthroplasty. Validation new patient-reported outcome measure. J. Arthroplast. 2012, 27, 430. [Google Scholar] [CrossRef]
- Qadir, I.; Khan, L.; Mazari, J.; Ahmed, U.; Zaman, A.U.; Aziz, A. Comparison of functional outcome of simultaneous and staged bilateral total knee arthroplasty: Systematic review of literature. Acta Orthop. Belg. 2021, 87, 487–493. [Google Scholar] [CrossRef]
- Küçükdeveci, A.A.; Elhan, A.H.; Erdoğan, B.D.; Kutlay, Ş.; Gökmen, D.; Ateş, C.; Yüksel, S.; Lundgren-Nilsson, A.; Escorpizo, R.; Stucki, G.; et al. Use and detailed metric properties of patient-reported outcome measures for rheumatoid arthritis: A systematic review covering two decades. RMD Open 2021, 7, e001707. [Google Scholar] [CrossRef]
- Ewald, F.C. The Knee Society total knee arthroplasty roentgenographic evaluation and scoring system. Clin. Orthop. 1998, 351, 270–274. [Google Scholar] [CrossRef]
- Solimeno, L.P.; Mancuso, M.E.; Pasta, G.; Santagostino, E.; Perfetto, S.; Mannucci, P.M. Factors influencing the long-term outcome of primary total knee replacement in haemophiliacs: A review of 116 procedures at a single institution. Br. J. Haematol. 2009, 145, 227–234. [Google Scholar] [CrossRef] [PubMed]
- Ernstbrunner, L.; Hingsammer, A.; Catanzaro, S.; Sutter, R.; Brand, B.; Wieser, K.; Fucentese, S.F. Long-term results of total knee arthroplasty in haemophilic patients: An 18-year follow-up. Knee Surg. Sports Traumatol. Arthrosc. 2017, 25, 3431–3438. [Google Scholar] [CrossRef] [PubMed]
- Song, S.J.; Bae, J.K.; Park, C.H.; Yoo, M.C.; Bae, D.K.; Kim, K.I. Mid-term outcomes and complications of total knee arthroplasty in haemophilic arthropathy: A review of consecutive 131 knees between 2006 and 2015 in a single institute. Haemophilia 2018, 24, 299–306. [Google Scholar] [CrossRef] [PubMed]
- Laskin, R.S.; Davis, J. Total knee replacement using the Genesis II prosthesis: A 5-year follow up study of the first 100 consecutive cases. Knee 2005, 12, 163–167. [Google Scholar] [CrossRef]
- Innocenti, M.; Matassi, F.; Carulli, C.; Nistri, L.; Civinini, R. Oxidized zirconium femoral component for TKA: A follow-up note of a previous report at a minimum of 10 years. Knee 2014, 21, 858–861. [Google Scholar] [CrossRef]
- Glover, A.W.; Santini, A.J.A.; Davidson, J.S.; Pope, J.A. Mid- to long-term survivorship of oxidised zirconium total knee replacements performed in patients under 50years of age. Knee 2018, 25, 617–622. [Google Scholar] [CrossRef]
- Papasoulis, E.; Karachalios, T. A 13- to 16-year clinical and radiological outcome study of the Genesis II cruciate retaining total knee arthroplasty with an oxidised zirconium femoral component. Knee 2019, 26, 492–499. [Google Scholar] [CrossRef]
- Civinini, R.; Matassi, F.; Carulli, C.; Sirleo, L.; Lepri, A.C.; Innocenti, M. Clinical Results of Oxidized Zirconium Femoral Component in TKA. A Review of Long-Term Survival. HSS J. 2017, 13, 32–34. [Google Scholar] [CrossRef]
- Innocenti, M.; Carulli, C.; Matassi, F.; Carossino, A.M.; Brandi, M.L.; Civinini, R. Total knee arthroplasty in patients with hypersensitivity to metals. Int. Orthop. 2014, 38, 329–333. [Google Scholar] [CrossRef]
- Ezzet, K.A.; Hermida, J.C.; Colwell, C.W., Jr.; D’Lima, D.D. Oxidized zirconium femoral components reduce polyethylene wear in a knee wear simulator. Clin. Orthop. 2004, 428, 120–124. [Google Scholar] [CrossRef]
- Matassi, F.; Paoli, T.; Civinini, R.; Carulli, C.; Innocenti, M. Oxidized zirconium versus cobalt-chromium against the native patella in total knee arthroplasty: Patellofemoral outcomes. Knee 2017, 24, 1160–1165. [Google Scholar] [CrossRef]
- Innocenti, M.; Civinini, R.; Carulli, C.; Villano, M.; Linari, S.; Morfini, M. A modular total knee arthroplasty in haemophilic arthropathy. Knee 2007, 14, 264–268. [Google Scholar] [CrossRef]
- Carulli, C.; Innocenti, M.; Linari, S.; Morfini, M.; Castman, G.; Innocenti, M. Joint replacement for the management of haemophilic arthropathy in patients with inhibitors: A long-term experience at a single Haemophilia centre. Haemophilia 2020, 27, e93–e101. [Google Scholar] [CrossRef]
- Kim, Y.H.; Park, J.W.; Kim, J.S. The 2018 Mark Coventry, MD Award: Does a Ceramic Bearing Improve Pain, Function, Wear, or Survivorship of TKA in Patients Younger Than 55 Years of Age? A Randomized Trial. Clin. Orthop. Relat. Res. 2019, 477, 49–57. [Google Scholar] [CrossRef]
- Messori, A.; Trippoli, S.; Innocenti, M.; Morfini, M. Risk-sharing approach for managing factor VIIa reimbursement in haemophilia patients with inhibitors. Haemophilia 2010, 16, 548–550. [Google Scholar] [CrossRef]




Disclaimer/Publisher’s Note: The statements, opinions and data contained in all publications are solely those of the individual author(s) and contributor(s) and not of MDPI and/or the editor(s). MDPI and/or the editor(s) disclaim responsibility for any injury to people or property resulting from any ideas, methods, instructions or products referred to in the content. |
© 2023 by the authors. Licensee MDPI, Basel, Switzerland. This article is an open access article distributed under the terms and conditions of the Creative Commons Attribution (CC BY) license (https://creativecommons.org/licenses/by/4.0/).
Share and Cite
Carulli, C.; Innocenti, M.; Tambasco, R.; Perrone, A.; Civinini, R. Total Knee Arthroplasty in Haemophilia: Long-Term Results and Survival Rate of a Modern Knee Implant with an Oxidized Zirconium Femoral Component. J. Clin. Med. 2023, 12, 4356. https://doi.org/10.3390/jcm12134356
Carulli C, Innocenti M, Tambasco R, Perrone A, Civinini R. Total Knee Arthroplasty in Haemophilia: Long-Term Results and Survival Rate of a Modern Knee Implant with an Oxidized Zirconium Femoral Component. Journal of Clinical Medicine. 2023; 12(13):4356. https://doi.org/10.3390/jcm12134356
Chicago/Turabian StyleCarulli, Christian, Matteo Innocenti, Rinaldo Tambasco, Alessandro Perrone, and Roberto Civinini. 2023. "Total Knee Arthroplasty in Haemophilia: Long-Term Results and Survival Rate of a Modern Knee Implant with an Oxidized Zirconium Femoral Component" Journal of Clinical Medicine 12, no. 13: 4356. https://doi.org/10.3390/jcm12134356
APA StyleCarulli, C., Innocenti, M., Tambasco, R., Perrone, A., & Civinini, R. (2023). Total Knee Arthroplasty in Haemophilia: Long-Term Results and Survival Rate of a Modern Knee Implant with an Oxidized Zirconium Femoral Component. Journal of Clinical Medicine, 12(13), 4356. https://doi.org/10.3390/jcm12134356

