Risk Factors for Early- and Late-Onset Cholecystitis after Y-Configured Metal Stent Placement in Patients with Malignant Hilar Biliary Obstruction: A Single-Center Study
Abstract
1. Introduction
2. Materials and Methods
2.1. Patients
2.2. Methods
2.3. Statistical Analysis
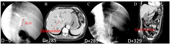
3. Results
4. Discussion
5. Conclusions
Author Contributions
Funding
Institutional Review Board Statement
Informed Consent Statement
Data Availability Statement
Conflicts of Interest
References
- Karani, J.; Fletcher, M.; Brinkley, D.; Dawson, J.L.; Williams, R.; Nunnerley, H. Internal biliary drainage and local radiotherapy with iridium-192 wire in treatment of hilar cholangiocarcinoma. Clin. Radiol. 1985, 36, 603–606. [Google Scholar] [CrossRef] [PubMed]
- Bismuth, H.; Castaing, D.; Traynor, O. Resection or palliation: Priority of surgery in the treatment of hilar cancer. World J. Surg. 1988, 12, 39–47. [Google Scholar] [CrossRef] [PubMed]
- Gundry, S.R.; Strodel, W.E.; Knol, J.A.; Eckhauser, F.E.; Thompson, N.W. Efficacy of preoperative biliary tract decompression in patients with obstructive jaundice. Arch. Surg. 1984, 119, 703–708. [Google Scholar] [CrossRef] [PubMed]
- Wagner, H.J.; Knyrim, K.; Vakil, N.; Klose, K.J. Plastic endoprostheses versus metal stents in the palliative treatment of malignant hilar biliary obstruction. A prospective and randomized trial. Endoscopy 1993, 25, 213–218. [Google Scholar] [CrossRef]
- Cotton, P.B. Endoscopic methods for relief of malignant obstructive jaundice. World J. Surg. 1984, 8, 854–861. [Google Scholar] [CrossRef]
- O’Brien, S.; Hatfield, A.R.; Craig, P.I.; Williams, S.P. A three year follow up of self expanding metal stents in the endoscopic palliation of longterm survivors with malignant biliary obstruction. Gut 1995, 36, 618–621. [Google Scholar] [CrossRef]
- Lee, B.H.; Choe, D.H.; Lee, J.H.; Kim, K.H.; Chin, S.Y. Metallic stents in malignant biliary obstruction: Prospective long-term clinical results. AJR Am. J. Roentgenol. 1997, 168, 741–745. [Google Scholar] [CrossRef]
- Kaassis, M.; Boyer, J.; Dumas, R.; Ponchon, T.; Coumaros, D.; Delcenserie, R.; Canard, J.M.; Fritsch, J.; Rey, J.F.; Burtin, P. Plastic or metal stents for malignant stricture of the common bile duct? Results of a randomized prospective study. Gastrointest. Endosc. 2003, 57, 178–182. [Google Scholar] [CrossRef]
- Lee, J.H.; Kang, D.H.; Kim, J.Y.; Lee, S.M.; Kim, D.H.; Park, C.W.; Cho, H.S.; Kim, G.H.; Kim, T.O.; Heo, J.; et al. Endoscopic bilateral metal stent placement for advanced hilar cholangiocarcinoma: A pilot study of a newly designed Y stent. Gastrointest. Endosc. 2007, 66, 364–369. [Google Scholar] [CrossRef]
- Schofl, R.; Brownstone, E.; Reichel, W.; Fortunat, W.; Doblhofer, F.; Samec, H.J.; Brandstatter, G.; Stupnicki, T.; Pamperl, H.; Schreiber, P.; et al. Malignant bile-duct obstruction: Experience with self-expanding metal endoprostheses (Wallstents) in Austria. Endoscopy 1994, 26, 592–596. [Google Scholar] [CrossRef]
- Bezzi, M.; Zolovkins, A.; Cantisani, V.; Salvatori, F.M.; Rossi, M.; Fanelli, F.; Rossi, P. New ePTFE/FEP-covered stent in the palliative treatment of malignant biliary obstruction. J. Vasc. Interv. Radiol. 2002, 13, 581–589. [Google Scholar] [CrossRef]
- Klatskin, G. Adenocarcinoma of the hepatic duct at its bifurcation within the porta hepatis: An unusual tumor with distinctive clinical and pathological features. Am. J. Med. 1965, 38, 241–256. [Google Scholar] [CrossRef]
- Nakeeb, A.; Pitt, H.A.; Sohn, T.A.; Coleman, J.; Abrams, R.A.; Piantadosi, S.; Hruban, R.H.; Lillemoe, K.D.; Yeo, C.J.; Cameron, J.L. Cholangiocarcinoma. A spectrum of intrahepatic, perihilar, and distal tumors. Ann. Surg. 1996, 224, 463–473. [Google Scholar] [CrossRef]
- Speer, A.G.; Cotton, P.B.; Russell, R.C.; Mason, R.R.; Hatfield, A.R.; Leung, J.W.; MacRae, K.D.; Houghton, J.; Lennon, C.A. Randomised trial of endoscopic versus percutaneous stent insertion in malignant obstructive jaundice. Lancet 1987, 2, 57–62. [Google Scholar] [CrossRef] [PubMed]
- Andersen, J.R.; Sorensen, S.M.; Kruse, A.; Rokkjaer, M.; Matzen, P. Randomised trial of endoscopic endoprosthesis versus operative bypass in malignant obstructive jaundice. Gut 1989, 30, 1132–1135. [Google Scholar] [CrossRef]
- Polydorou, A.A.; Cairns, S.R.; Dowsett, J.F.; Hatfield, A.R.; Salmon, P.R.; Cotton, P.B.; Russell, R.C. Palliation of proximal malignant biliary obstruction by endoscopic endoprosthesis insertion. Gut 1991, 32, 685–689. [Google Scholar] [CrossRef] [PubMed]
- Kadakia, S.C.; Starnes, E. Comparison of 10 French gauge stent with 11.5 French gauge stent in patients with biliary tract diseases. Gastrointest. Endosc. 1992, 38, 454–459. [Google Scholar] [CrossRef] [PubMed]
- Speer, A.G.; Cotton, P.B.; MacRae, K.D. Endoscopic management of malignant biliary obstruction: Stents of 10 French gauge are preferable to stents of 8 French gauge. Gastrointest. Endosc. 1988, 34, 412–417. [Google Scholar] [CrossRef] [PubMed]
- Walta, D.C.; Fausel, C.S.; Brant, B. Endoscopic biliary stents and obstructive jaundice. Am. J. Surg. 1987, 153, 444–447. [Google Scholar] [CrossRef] [PubMed]
- Robles-Medranda, C.; Oleas, R.; Puga-Tejada, M.; Alcivar-Vasquez, J.; Del Valle, R.; Olmos, J.; Arevalo-Mora, M.; Egas-Izquierdo, M.; Tabacelia, D.; Baquerizo-Burgos, J.; et al. Prophylactic EUS-guided gallbladder drainage prevents acute cholecystitis in patients with malignant biliary obstruction and cystic duct orifice involvement: A randomized trial (with video). Gastrointest. Endosc. 2023, 97, 445–453. [Google Scholar] [CrossRef]
- Ju, Y.-M.; Lee, S.-K.; Kim, M.-H.; Seo, D.-W.; Lee, S.-S.; Cha, J.-M.; Choi, E.-K.; Jung, S.-W. Comparative Cholangiocytotoxicity between Ioxithalamate and Iopromide with Short-term Exposure. Korean J. Gastrointest. Endosc. 2006, 32, 101–108. [Google Scholar]
- Shah, B.R.; Hux, J.E. Quantifying the risk of infectious diseases for people with diabetes. Diabetes Care 2003, 26, 510–513. [Google Scholar] [CrossRef]
- Isayama, H.; Kawabe, T.; Nakai, Y.; Tsujino, T.; Sasahira, N.; Yamamoto, N.; Arizumi, T.; Togawa, O.; Matsubara, S.; Ito, Y.; et al. Cholecystitis after metallic stent placement in patients with malignant distal biliary obstruction. Clin. Gastroenterol. Hepatol. 2006, 4, 1148–1153. [Google Scholar] [CrossRef] [PubMed]
- Suk, K.T.; Kim, H.S.; Kim, J.W.; Baik, S.K.; Kwon, S.O.; Kim, H.G.; Lee, D.H.; Yoo, B.M.; Kim, J.H.; Moon, Y.S.; et al. Risk factors for cholecystitis after metal stent placement in malignant biliary obstruction. Gastrointest. Endosc. 2006, 64, 522–529. [Google Scholar] [CrossRef] [PubMed]
- Vingan, H.L.; Wohlgemuth, S.D.; Bell, J.S., 3rd. Percutaneous cholecystostomy drainage for the treatment of acute emphysematous cholecystitis. AJR Am. J. Roentgenol. 1990, 155, 1013–1014. [Google Scholar] [CrossRef] [PubMed]
- Schmassmann, A.; von Gunten, E.; Knuchel, J.; Scheurer, U.; Fehr, H.F.; Halter, F. Wallstents versus plastic stents in malignant biliary obstruction: Effects of stent patency of the first and second stent on patient compliance and survival. Am. J. Gastroenterol. 1996, 91, 654–659. [Google Scholar]





| Parameters | Univariable Analysis | Multivariate Analysis | ||||
|---|---|---|---|---|---|---|
| Early-Onset Cholecystitis | No Early-Onset Cholecystitis | p-Value | Odds Ratio | 95% Cl | p-Value | |
| No. of patients | 7 (6.7) | 97 (93.3) | ||||
| Gender (M/F) | 3 (42.9)/4 (57.1) | 52 (53.6)/45 (46.4) | 0.582 | |||
| Age (year, mean ± SD) | 62.7 ± 4.9 | 72.5 ± 10.8 | 0.688 | |||
| Presence of GB stone | 1 (14.3) | 13 (13.4) | 0.947 | |||
| Presence of diabetes | 4 (57.1) | 22 (22.7) | 0.042 | 4.687 | 0.782–28.106 | 0.091 |
| AST | 95.3 ± 18.3 | 89.8 ± 121.32 | 0.126 | |||
| ALT | 113.6 ± 33.7 | 85.4 ± 82.78 | 0.215 | |||
| TB | 11.7 ± 8.6 | 8.9 ± 8.1 | 0.346 | |||
| DB | 7.2 ± 5.5 | 5.4 ± 5.0 | 0.346 | |||
| Pre-ERCP cholangitis | 3 (42.9) | 23 (23.7) | 0.259 | 1.893 | 0.311–11.507 | 0.488 |
| GB filling with contrast medium | 5 (71.4) | 32 (33.0) | 0.040 | 3.475 | 0.550–21.974 | 0.186 |
| Invasion of the cystic duct orifice | 6 (85.7) | 66 (68.0) | 0.074 | 2.833 | 0.234–34.308 | 0.413 |
| GB filling with contrast medium and invasion of the cystic duct | 5 (71.4) | 18 (18.6) | 0.001 | |||
| Length of the common part of the Y-stent | 5.4 ± 0.8 | 4.3 ± 0.9 | 0.017 | 3.323 | 1.111–9.941 | 0.032 |
| Parameters | Univariable Analysis | Multivariate Analysis | ||||
|---|---|---|---|---|---|---|
| Late-Onset Cholecystitis | No Late-Onset Cholecystitis | p-Value | Odds Ratio | 95% Cl | p-Value | |
| No. of patients | 25 (24.0) | 79 (76.0) | ||||
| Gender (M/F) | 10 (40)/15 (60) | 45 (57.0)/34 (43.0) | 0.139 | |||
| Age (year, mean ± SD) | 71.4 ± 8.5 | 72.3 ± 11.5 | 0.690 | |||
| Presence of GB stone | 5 (20) | 9 (11.4) | 0.272 | 3.295 | 0.791–13.722 | 0.101 |
| Presence of diabetes | 5 (20.0) | 21 (26.6) | 0.508 | 0.707 | 0.203–2.458 | 0.586 |
| AST | 75.0 ± 60.1 | 95.8 ± 130.3 | 0.395 | |||
| ALT | 98.0 ± 82.2 | 84.3 ± 79.5 | 0.533 | |||
| TB | 6.4 ± 4.9 | 10.1 ± 8.9 | 0.418 | |||
| DB | 4.0 ± 3.2 | 6.1 ± 5.5 | 0.418 | |||
| Pre-ERCP cholangitis | 8 (32.0) | 18 (22.8) | 0.354 | 1.295 | 0.434–3.865 | 0.643 |
| GB filling with contrast medium | 11 (44) | 26 (32.9) | 0.313 | 1.135 | 0.395–3.261 | 0.814 |
| Invasion of the cystic duct orifice | 20 (80) | 52 (65.8) | 0.219 | 2.345 | 0.736–7.474 | 0.150 |
| GB filling with contrast medium and invasion of the cystic duct | 9 (36) | 14 (17.7) | 0.055 | |||
| Length of the common part of the Y-stent | 7.3 ± 0.9 | 7.1 ± 1.1 | 0.364 | 1.332 | 0.786–2.257 | 0.287 |
| Previous early-onset cholecystitis | 2 (8.0) | 5 (6.3) | 0.771 | |||
| Stent patent days | 256.4 ± 177.1 | 115.0 ± 126.1 | 0.268 | |||
| Stent obstruction | 21 (84.0) | 41 (51.9) | 0.004 | 5.879 | 1.641–21.059 | 0.007 |
| - Obstruction reason; ingrowth/overgrowth/ sludge/stone | 7 (33.3)/10 (47.6) /3 (14.2)/1 (4.8) | 15 (36.6)/19 (46.3) /6 (14.6)/1 (2.4) | 0.967 | |||
| Repeated procedure due to stent obstruction | 21 (84.0) | 35 (44.3) | 0.001 | |||
| - PTBD/ plastic stent/c ERCP/ metal stent/c ERCP | 12 (57.1)/7 (33.3)/2 (9.5) | 20 (57.1)/12 (34.3)/3 (8.6) | 0.992 | |||
| Survival days | 385.0 ± 245.1 | 151.7 ± 156.5 | 0.239 | |||
| Parameters | Early-Onset Cholecystitis | No Early-Onset Cholecystitis | p-Value | Late-Onset Cholecystitis | No Late-Onset Cholecystitis | p-Value |
|---|---|---|---|---|---|---|
| No. of patients | 7 (7.8) | 83 (92.2) | 24 (26.7) | 66 (73.3) | ||
| Gender (M/F) | 3 (42.9)/4 (57.1) | 46 (55.4)/37 (44.6) | 0.522 | 9 (37.5)/15 (62.5) | 39 (59.1)/27 (40.9) | 0.179 |
| Age (year, mean ± SD) | 62.7 ± 4.9 | 70.9 ± 10.4 | 0.530 | 71.8 ± 8.0 | 70.1 ± 11.1 | 0.786 |
| Presence of GB stone | 1 (14.3) | 12 (14.5) | 0.990 | 5 (20.8) | 8 (12.1) | 0.204 |
| Presence of diabetes | 4 (57.1) | 20 (24.1) | 0.046 | 4 (16.7) | 19 (28.8) | 0.362 |
| AST | 95.3 ± 18.3 | 86.7 ± 114.0 | 0.105 | 68.1 ± 58.6 | 93.6 ± 121.2 | 0.458 |
| ALT | 113.6 ± 33.7 | 82.1 ± 78.6 | 0.357 | 87.1 ± 80.3 | 83.7 ± 75.7 | 0.655 |
| TB | 11.7 ± 8.6 | 9.3 ± 8.4 | 0.392 | 6.3 ± 4.8 | 10.5 ± 9.1 | 0.471 |
| DB | 7.2 ± 5.5 | 5.8 ± 5.3 | 0.392 | 4.0 ± 3.1 | 6.5 ± 5.7 | 0.471 |
| Pre-ERCP cholangitis | 3 (42.9) | 15 (18.1) | 0.115 | 8 (33.3) | 10 (15.1) | 0.027 |
| GB filling with contrast medium | 5 (71.4) | 29 (34.9) | 0.056 | 11 (45.8) | 23 (34.8) | 0.174 |
| Invasion of the cystic duct orifice | 6 (85.7) | 58 (69.9) | 0.375 | 19 (79.2) | 45 (68.1) | 0.069 |
| GB filling with contrast medium and invasion of the cystic duct | 5 (71.4) | 16 (19.3) | 0.002 | 9 (37.5) | 12 (18.2) | 0.025 |
| Length of the common part of the Y-stent (cm) | 5.4 ± 0.8 | 4.4 ± 0.9 | 0.019 | 4.6 ± 0.9 | 4.4 ± 1.0 | 0.821 |
| Previous early-onset cholecystitis | - | - | - | 2 (8.3) | 5 (7.5) | 0.791 |
| Stent patent days | - | - | - | 249.8 ± 197.5 | 166.0 ± 136.5 | 0.051 |
| Stent obstruction | - | - | - | 20 (24.1) | 39 (59.1) | 0.004 |
| Repeated procedure due to stent obstruction | - | - | - | 20 (24.1) | 33 (50) | 0.001 |
| Survival days | - | - | - | 379.5 ± 261.4 | 154.4 ± 162.2 | 0.245 |
| Parameters | Late-Onset Cholecystitis | No Late-Onset Cholecystitis | p-Value |
|---|---|---|---|
| No. of patients | 1 (7.1) | 13 (92.9) | |
| Gender (M/F) | 1 (100)/0 (0) | 6 (46.2)/7 (53.8) | 0.299 |
| Age (year, mean ± SD) | 80 | 80 ± 10.4 | 0.173 |
| Presence of GB stone | 0 (0) | 1 (7.7) | 0.773 |
| Presence of diabetes | 1 (100) | 2 (15.4) | 0.047 |
| AST | 37 | 124.7 ± 183.68 | 0.374 |
| ALT | 27 | 71.2 ± 88.37 | 0.233 |
| TB | 0.37 | 4.8 ± 4.0 | 0.301 |
| DB | 0.21 | 4.4 ± 3.57 | 0.301 |
| Pre-ERCP cholangitis | 0 (0) | 8 (61.5) | 0.231 |
| GB filling with contrast medium | 0 (0) | 3 (23.1) | 0.588 |
| Invasion of the cystic duct orifice | 1 (100) | 7 (53.8) | 0.369 |
| GB filling with contrast medium and invasion of the cystic duct | 0 (0) | 2 (15.4) | 0.672 |
| Length of the common part of the Y-stent (cm) | 4 | 4 ± 1.2 | 0.267 |
| Stent patent days | 321 | 96 ± 128.0 | 0.082 |
| Stent obstruction | 1 (100) | 2 (15.4) | 0.047 |
| Repeated procedure due to stent obstruction | 1 (100) | 2 (15.4) | 0.047 |
| Survival days | 434 | 179 ± 154.0 | 0.374 |
Disclaimer/Publisher’s Note: The statements, opinions and data contained in all publications are solely those of the individual author(s) and contributor(s) and not of MDPI and/or the editor(s). MDPI and/or the editor(s) disclaim responsibility for any injury to people or property resulting from any ideas, methods, instructions or products referred to in the content. |
© 2023 by the authors. Licensee MDPI, Basel, Switzerland. This article is an open access article distributed under the terms and conditions of the Creative Commons Attribution (CC BY) license (https://creativecommons.org/licenses/by/4.0/).
Share and Cite
Lee, J.; Han, S.Y.; Baek, D.; Kim, G.H.; Song, G.A.; Kim, D.U. Risk Factors for Early- and Late-Onset Cholecystitis after Y-Configured Metal Stent Placement in Patients with Malignant Hilar Biliary Obstruction: A Single-Center Study. J. Clin. Med. 2023, 12, 4354. https://doi.org/10.3390/jcm12134354
Lee J, Han SY, Baek D, Kim GH, Song GA, Kim DU. Risk Factors for Early- and Late-Onset Cholecystitis after Y-Configured Metal Stent Placement in Patients with Malignant Hilar Biliary Obstruction: A Single-Center Study. Journal of Clinical Medicine. 2023; 12(13):4354. https://doi.org/10.3390/jcm12134354
Chicago/Turabian StyleLee, Jonghyun, Sung Yong Han, Donghoon Baek, Gwang Ha Kim, Geun Am Song, and Dong Uk Kim. 2023. "Risk Factors for Early- and Late-Onset Cholecystitis after Y-Configured Metal Stent Placement in Patients with Malignant Hilar Biliary Obstruction: A Single-Center Study" Journal of Clinical Medicine 12, no. 13: 4354. https://doi.org/10.3390/jcm12134354
APA StyleLee, J., Han, S. Y., Baek, D., Kim, G. H., Song, G. A., & Kim, D. U. (2023). Risk Factors for Early- and Late-Onset Cholecystitis after Y-Configured Metal Stent Placement in Patients with Malignant Hilar Biliary Obstruction: A Single-Center Study. Journal of Clinical Medicine, 12(13), 4354. https://doi.org/10.3390/jcm12134354

