Early Application of ECMO after Sudden Cardiac Arrest to Prevent Further Deterioration: A Review and Case Report
Abstract
1. Introduction
| Advantages | Disadvantages | |
|---|---|---|
| Peripheral cannulation | No surgical incision | Lower limb ischemia |
| Lower bleeding risk | Retrograde flow | |
| No sternotomy | Short-term support | |
| No cardiac compression | Lower flow | |
| Easier switch to LVAD | Higher risk of vascular complication | |
| No re-sternotomy for removal | Reduced options for LV venting | |
| Central cannulation | Use of originally implanted cannulas | Sternotomy to implant |
| Antegrade flow | Higher bleeding risk | |
| Better drainage | Cardiac compression | |
| Long-term support | Re-sternotomy to remove | |
| Higher flow | Higher infection risk | |
| Easier patient mobilization | Higher rate of cerebral embolization | |
| More options for LV venting | Higher risk of closed aortic valve |
2. Case Presentation
3. Patient Information
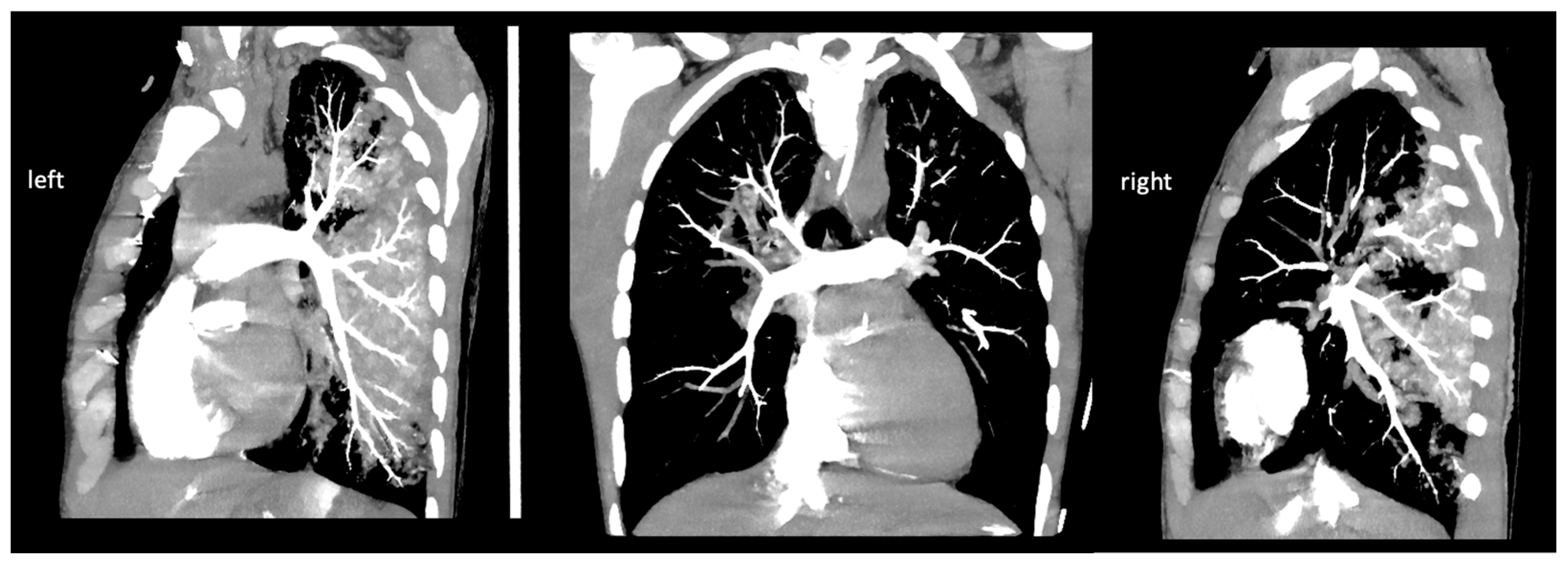
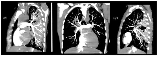
4. Acute Diagnostic Assessment
5. Indication of VA-ECMO during Post Resuscitation ICU Care
6. ICU Treatment
7. Discharge and Follow up
8. Conclusions
Supplementary Materials
Author Contributions
Funding
Institutional Review Board Statement
Informed Consent Statement
Data Availability Statement
Conflicts of Interest
References
- Assmann, A.; Boeken, U.; Klotz, S.; Harringer, W.; Beckmann, A. Organization and Application of ECLS Therapy-A Nationwide Survey in German Cardiosurgical Departments. Thorac. Cardiovasc. Surg. 2019, 67, 164–169. [Google Scholar] [CrossRef] [PubMed]
- Édes, I.F.; Németh, B.T.; Hartyánszky, I.; Szilveszter, B.; Kulyassa, P.; Fazekas, L.; Pólos, M.; Németh, E.; Becker, D.; Merkely, B. Predictors of mortality following extracorporeal membrane oxygenation support in an unselected, critically ill patient population. Adv. Interv. Cardiol. W Kardiol. Interwencyjnej 2021, 17, 290–297. [Google Scholar] [CrossRef]
- Boeken, U.; Assmann, A.; Beckmann, A.; Schmid, C.; Werdan, K.; Michels, G.; Miera, O.; Schmidt, F.; Klotz, S.; Starck, C.; et al. S3 Guideline of Extracorporeal Circulation (ECLS/ECMO) for Cardiocirculatory Failure. Thorac. Cardiovasc. Surg. 2021, 69, S121–S212. [Google Scholar] [CrossRef]
- Kovács, E.; Németh, E.; Prigya, J.; Szvath, P.; Édes, I.; Hartyánszky, I.; Soltész, Á.; Csikós, G.R.; Fazekas, L.; Gál, J.; et al. The role of extracorporeal life support in cardiopulmonary resuscitation. Orvosi. Hetilap. 2023, 164, 510–514. [Google Scholar] [CrossRef] [PubMed]
- Dennis, M.; Lal, S.; Forrest, P.; Nichol, A.; Lamhaut, L.; Totaro, R.J.; Burns, B.; Sandroni, C. In-depth extracorporeal cardiopulmonary resuscitation in adult out-of-hospital cardiac arrest. J. Am. Heart Assoc. 2020, 9, e016521. [Google Scholar] [CrossRef]
- Swol, J.; Belohlávek, J.; Brodie, D.; Bellezzo, J.; Weingart, S.D.; Shinar, Z.; Schober, A.; Bachetta, M.; Haft, J.W.; Ichiba, S.; et al. Extracorporeal life support in the emergency department: A narrative review for the emergency physician. Resuscitation 2018, 133, 108–117. [Google Scholar] [CrossRef] [PubMed]
- Richardson, A.S.C.; Schmidt, M.; Bailey, M.; Pellegrino, V.A.; Rycus, P.T.; Pilcher, D.V. ECMO cardiopulmonary resuscitation (ECPR), trends in survival from an international multicentre cohort study over 12-years. Resuscitation 2017, 112, 34–40. [Google Scholar] [CrossRef] [PubMed]
- Hutin, A.; Abu-Habsa, M.; Burns, B.; Bernard, S.; Bellezzo, J.; Shinar, Z.; Torres, E.C.; Gueugniaud, P.-Y.; Carli, P.; Lamhaut, L. Early ECPR for out-of-hospital cardiac arrest: Best practice in 2018. Resuscitation 2018, 130, 44–48. [Google Scholar] [CrossRef]
- Lott, C.; Truhlář, A.; Alfonzo, A.; Barelli, A.; González-Salvado, V.; Hinkelbein, J.; Nolan, J.P.; Paal, P.; Perkins, G.D.; Thies, K.C.; et al. European Resuscitation Council guidelines 2021: Cardiac arrest in special circumstances. Resuscitation 2021, 161, 152–219. [Google Scholar] [CrossRef]
- Vieira, J.L.; Ventura, H.O.; Mehra, M.R. Mechanical circulatory support devices in advanced heart failure: 2020 and beyond. Prog. Cardiovasc. Dis. 2020, 63, 630–639. [Google Scholar] [CrossRef]
- Dudzinsk, J.E.; Gnall, E.; Kowey, P.R. A Review of percutaneous mechanical support devices and strategies. Rev. Cardiovasc. Med. 2018, 19, 21–26. [Google Scholar] [CrossRef]
- Rao, P.; Khalpey, Z.; Smith, R.; Burkhoff, D.; Kociol, R.D.; Mehmood, M.; Alhussein, M.; Moayedi, Y.; Posada, J.D.; Ross, H.; et al. Venoarterial Extracorporeal Membrane Oxygenation for Cardiogenic Shock and Cardiac Arrest. Circ. Heart Fail. 2018, 11, e004905. [Google Scholar] [CrossRef]
- Brogan, T. (Ed.) ELSO Specialist Manual, 4th ed.; Extracorporeal Life Support Organization (ELSO): Ann Arbor, MI, USA, 2018. [Google Scholar]
- Keenan, J.E.; Schechter, M.A.; Bonadonna, D.K.; Bartz, R.R.; Milano, C.A.; Schroder, J.N.; Daneshmand, M.A. Early experience with a novel cannulation strategy for left ventricular decompression during nonpostcardiotomy venoarterial ECMO. ASAIO J 2016, 62, e30–e34. [Google Scholar] [CrossRef] [PubMed]
- Rupprecht, L.; Lunz, D.; Philipp, A.; Lubnow, M.; Schmid, C. Pitfalls in percutaneous ECMO cannulation. Heart Lung Vessel. 2015, 7, 320–326. [Google Scholar] [PubMed]
- Brogan, T.; Lequier, L.; Lorusso, R.; MacLaren, G.; Peek, G. The ELSO Red Book, 5th ed.; ELSO, Ed.; ELSO: Ann Arbor, MI, USA, 2017. [Google Scholar]
- Raffa, G.M.; Kowalewski, M.; Brodie, D.; Ogino, M.; Whitman, G.; Meani, P.; Pilato, M.; Arcadipane, A.; Delnoij, T.; Natour, E.; et al. Meta-analysis of peripheral or central extracorporeal membrane oxygenation in postcardiotomy and non-postcardiotomy shock. Ann. Thorac. Surg. 2019, 107, 311–321. [Google Scholar] [CrossRef]
- Mariscalco, G.; Salsano, A.; Fiore, A.; Dalen, M.; Ruggieri, V.G.; Saeed, D.; Jonsson, K.; Gatti, G.; Zipfel, S.; Dell’Aquila, A.M.; et al. PC-ECMO group: Peripheral versus central extracorporeal membrane oxygenation for postcardiotomy shock: Multicenter registry, systematic review, and meta-analysis. J. Thorac. Cardiovasc. Surg. 2020, 160, 1207–1216. [Google Scholar] [CrossRef] [PubMed]
- Willers, A.; Arens, J.; Mariani, S.; Pels, H.; Maessen, J.G.; Hackeng, T.M.; Lorusso, R.; Swol, J. New Trends, Advantages and Disadvantages in Anticoagulation and Coating Methods Used in Extracorporeal Life Support Devices. Membranes 2021, 11, 617. [Google Scholar] [CrossRef] [PubMed]
- Sanfilippo, F.; Currò, J.M.; La Via, L.; Dezio, V.; Martucci, G.; Brancati, S.; Murabito, P.; Pappalardo, F.; Astuto, M. Use of nafamostat mesilate for anticoagulation during extracorporeal membrane oxygenation: A systematic review. Artif. Organs 2022, 46, 2371–2381. [Google Scholar] [CrossRef] [PubMed]
- Sanfilippo, F.; La Via, L.; Murabito, P.; Pappalardo, F.; Astuto, M. More evidence available for the use of Bivalirudin in patients supported by extracorporeal membrane oxygenation. Thromb. Res. 2022, 211, 148–149. [Google Scholar] [CrossRef]
- Li, D.H.; Sun, M.W.; Zhang, J.C.; Zhang, C.; Deng, L.; Jiang, H. Is bivalirudin an alternative anticoagulant for extracorporeal membrane oxygenation (ECMO) patients? A systematic review and meta-analysis. Thromb. Res. 2022, 210, 53–62. [Google Scholar] [CrossRef]
- Richardson, A.S.C.; Tonna, J.E.; Nanjayya, V.; Nixon, P.; Abrams, D.C.; Raman, L.; Bernard, S.; Finney, S.J.; Grunau, B.; Youngquist, S.T.; et al. Extracorporeal Cardiopulmonary Resuscitation in Adults. Interim Guideline Consensus Statement from the Extracorporeal Life Support Organization. ASAIO J. 2021, 67, 221–228. [Google Scholar] [CrossRef] [PubMed]
- McMurray, J.J.; Adamopoulos, S.; Anker, S.D.; Auricchio, A.; Böhm, M.; Dickstein, K.; Falk, V.; Filippatos, G.; Fonseca, C.; Gomez-Sanchez, M.A.; et al. ESC Committee for Practice Guidelines: ESC Guidelines for the diagnosis and treatment of acute and chronic heart failure 2012: The Task Force for the Diagnosis and Treatment of Acute and Chronic Heart Failure 2012 of the European Society of Cardiology. Developed in collaboration with the Heart Failure Association (HFA) of the ESC. Eur. Heart J. 2012, 33, 1787–1847. [Google Scholar]
- Lorusso, R.; Whitman, G.; Milojevic, M.; Raffa, G.; McMullan, D.M.; Boeken, U.; Haft, J.; Bermudez, C.A.; Shah, A.S.; D’Alessandro, D.A. 2020 EACTS/ELSO/STS/ AATS expert consensus on postcardiotomy extracorporeal life support. ASAIO J. 2021, 67, e1–e43. [Google Scholar] [CrossRef] [PubMed]
- Schmidt, M.; Burrell, A.; Roberts, L.; Bailey, M.; Sheldrake, J.; Rycus, P.T.; Hodgson, C.; Scheinkestel, C.; Cooper, D.J.; Thiagarajan, R.R.; et al. Predicting survival after ECMO for refractory cardiogenic shock: The survival after venoarterial- ECMO (SAVE) score. Eur. Heart J. 2015, 36, 2246–2256. [Google Scholar] [CrossRef] [PubMed]





| Date | Time | Details |
|---|---|---|
| 17 August 2019 | 17:40 | sudden cardiac arrest in a public area (OHCA) |
| 17:42 | basic life support started by a healthcare worker | |
| 18:01 | advanced life support overtaken by the National Ambulance Service | |
| 18:40 | return of spontaneous circulation (ROSC) | |
| 19:16 | successful hospital admission to Heart and Vascular Centre Semmelweis University | |
| 19:34 | immediate coronary angiogram, negative result | |
| 19:50 | bedside emergency heart, lung, and abdominal ultrasound | |
| 20:30 | expert transthoracic echocardiography | |
| 21:34 | cranial, thoracic, and abdominal CT scan; pulmonary CT angiography to rule out acute aortic dissection and acute pulmonary embolism | |
| 18 August 2019 | 01:30 | multidisciplinary decision about the immediate VA-ECMO implantation (progression of cardiogenic shock) |
| 02:30–03:30 | peripheral VA-ECMO implantation |
| Date | Details |
|---|---|
| 21 August 2019 | control echocardiography (EF 45%) |
| 17–21 August 2019 | weaning from catecholamines |
| 21–22 August 2019 | levosimendan infusion (24 h, 0.1 ug/kg/min) |
| 22 August 2019 | VA-ECMO explantation after weaning |
| 23 August 2019 | extubation, intact neurological function (GCS 15/15) |
| 24 August 2019 | active rehabilitation started |
| 4 September 2019 | DDD ICD implantation |
| 5 September 2019 | discharge to home |
| 12 November 2019 | follow-up visit, echocardiography (LVEF: 53%, TAPSE: 22 mm) |
| 20 October 2022 | follow-up visit (no arrhythmia episode in ICD memory) |
Disclaimer/Publisher’s Note: The statements, opinions and data contained in all publications are solely those of the individual author(s) and contributor(s) and not of MDPI and/or the editor(s). MDPI and/or the editor(s) disclaim responsibility for any injury to people or property resulting from any ideas, methods, instructions or products referred to in the content. |
© 2023 by the authors. Licensee MDPI, Basel, Switzerland. This article is an open access article distributed under the terms and conditions of the Creative Commons Attribution (CC BY) license (https://creativecommons.org/licenses/by/4.0/).
Share and Cite
Kiss, B.; Nagy, B.; Pál-Jakab, Á.; Lakatos, B.; Soltész, Á.; Osztheimer, I.; Heltai, K.; Édes, I.F.; Németh, E.; Merkely, B.; et al. Early Application of ECMO after Sudden Cardiac Arrest to Prevent Further Deterioration: A Review and Case Report. J. Clin. Med. 2023, 12, 4249. https://doi.org/10.3390/jcm12134249
Kiss B, Nagy B, Pál-Jakab Á, Lakatos B, Soltész Á, Osztheimer I, Heltai K, Édes IF, Németh E, Merkely B, et al. Early Application of ECMO after Sudden Cardiac Arrest to Prevent Further Deterioration: A Review and Case Report. Journal of Clinical Medicine. 2023; 12(13):4249. https://doi.org/10.3390/jcm12134249
Chicago/Turabian StyleKiss, Boldizsár, Bettina Nagy, Ádám Pál-Jakab, Bálint Lakatos, Ádám Soltész, István Osztheimer, Krisztina Heltai, István Ferenc Édes, Endre Németh, Béla Merkely, and et al. 2023. "Early Application of ECMO after Sudden Cardiac Arrest to Prevent Further Deterioration: A Review and Case Report" Journal of Clinical Medicine 12, no. 13: 4249. https://doi.org/10.3390/jcm12134249
APA StyleKiss, B., Nagy, B., Pál-Jakab, Á., Lakatos, B., Soltész, Á., Osztheimer, I., Heltai, K., Édes, I. F., Németh, E., Merkely, B., & Zima, E. (2023). Early Application of ECMO after Sudden Cardiac Arrest to Prevent Further Deterioration: A Review and Case Report. Journal of Clinical Medicine, 12(13), 4249. https://doi.org/10.3390/jcm12134249

