Dual Source Photon-Counting Computed Tomography—Part II: Clinical Overview of Neurovascular Applications
Abstract
1. Introduction
2. Search Strategy
3. Conventional EID Technology
4. PCD Technology
5. Advantages and Disadvantages of PCDs
- -
- -
- -
- in the renal system, it can characterize smaller renal stones (3 mm and less) than conventional CT [18].
6. Clinical Applications in the Neurovascular Field
6.1. Iodine Maps
6.2. Artifact Reduction
6.3. Increased Resolution
6.4. Tissue Analysis
6.5. Calcium Decomposition Algorithms
6.6. Dose Reduction
6.7. Targeted Contrast-Material Based Analysis
7. Conclusions
Author Contributions
Funding
Institutional Review Board Statement
Informed Consent Statement
Data Availability Statement
Acknowledgments
Conflicts of Interest
References
- Taguchi, K.; Iwanczyk, J.S. Vision 20/20: Single photon counting x-ray detectors in medical imaging. Med. Phys. 2013, 40, 100901. [Google Scholar] [CrossRef] [PubMed]
- Flohr, T.; Petersilka, M.; Henning, A.; Ulzheimer, S.; Ferda, J.; Schmidt, B. Photon-counting CT review. Phys. Med. 2020, 79, 126–136. [Google Scholar] [CrossRef]
- McCollough, C.H.; Leng, S.; Yu, L.; Fletcher, J.G. Dual- and Multi-Energy CT: Principles, Technical Approaches, and Clinical Applications. Radiology 2015, 276, 637–653. [Google Scholar] [CrossRef]
- Sandfort, V.; Persson, M.; Pourmorteza, A.; Noël, P.B.; Fleischmann, D.; Willemink, M.J. Spectral photon-counting CT in cardiovascular imaging. J. Cardiovasc. Comput. Tomogr. 2021, 15, 218–225. [Google Scholar] [CrossRef] [PubMed]
- Green, B.N.; Johnson, C.D.; Adams, A. Writing narrative literature reviews for peer-reviewed journals: Secrets of the trade. J. Chiropr. Med. 2006, 5, 101–117. [Google Scholar] [CrossRef]
- Rassouli, N.; Etesami, M.; Dhanantwari, A.; Rajiah, P. Detector-based spectral CT with a novel dual-layer technology: Principles and applications. Insights Imaging 2017, 8, 589–598. [Google Scholar] [CrossRef] [PubMed]
- Nakamura, Y.; Higaki, T.; Kondo, S.; Kawashita, I.; Takahashi, I.; Awai, K. An introduction to photon-counting detector CT (PCD CT) for radiologists. Jpn. J. Radiol. 2022, 41, 266–282. [Google Scholar] [CrossRef] [PubMed]
- Leng, S.; Bruesewitz, M.; Tao, S.; Rajendran, K.; Halaweish, A.F.; Campeau, N.G.; Fletcher, J.G.; McCollough, C.H. Photon-counting Detector CT: System Design and Clinical Applications of an Emerging Technology. Radiographics 2019, 39, 729–743. [Google Scholar] [CrossRef]
- McCollough, C.H.; Boedeker, K.; Cody, D.; Duan, X.; Flohr, T.; Halliburton, S.S.; Hsieh, J.; Layman, R.R.; Pelc, N.J. Principles and applications of multienergy CT: Report of AAPM Task Group 291. Med. Phys. 2020, 47, e881–e912. [Google Scholar] [CrossRef]
- Rajiah, P.; Parakh, A.; Kay, F.; Baruah, D.; Kambadakone, A.R.; Leng, S. Update on Multienergy CT: Physics, Principles, and Applications. Radiographics 2020, 40, 1284–1308. [Google Scholar] [CrossRef]
- Kalisz, K.; Halliburton, S.; Abbara, S.; Leipsic, J.A.; Albrecht, M.H.; Schoepf, U.J.; Rajiah, P. Update on Cardiovascular Applications of Multienergy CT. Radiographics 2017, 37, 1955–1974. [Google Scholar] [CrossRef] [PubMed]
- Kreisler, B. Photon counting Detectors: Concept, technical Challenges, and clinical outlook. Eur. J. Radiol. 2022, 149, 110229. [Google Scholar] [CrossRef] [PubMed]
- Willemink, M.J.; Persson, M.; Pourmorteza, A.; Pelc, N.J.; Fleischmann, D. Photon-counting CT: Technical Principles and Clinical Prospects. Radiology 2018, 289, 293–312. [Google Scholar] [CrossRef]
- Pourmorteza, A. Photon-counting CT: Scouting for Quantitative Imaging Biomarkers. Radiology 2021, 298, 153–154. [Google Scholar] [CrossRef]
- Esquivel, A.; Ferrero, A.; Mileto, A.; Baffour, F.; Horst, K.; Rajiah, P.S.; Inoue, A.; Leng, S.; McCollough, C.; Fletcher, J.G. Photon-Counting Detector CT: Key Points Radiologists Should Know. Korean J. Radiol. 2022, 23, 854–865. [Google Scholar] [CrossRef]
- Bartlett, D.J.; Koo, C.W.; Bartholmai, B.J.; Rajendran, K.; Weaver, J.M.; Halaweish, A.F.; Leng, S.; McCollough, C.H.; Fletcher, J.G. High-Resolution Chest Computed Tomography Imaging of the Lungs: Impact of 1024 Matrix Reconstruction and Photon-Counting Detector Computed Tomography. Investig. Radiol. 2019, 54, 129–137. [Google Scholar] [CrossRef] [PubMed]
- Rajendran, K.; Voss, B.A.; Zhou, W.; Tao, S.; DeLone, D.R.; Lane, J.I.; Weaver, J.M.; Carlson, M.L.; Fletcher, J.G.; McCollough, C.H.; et al. Dose Reduction for Sinus and Temporal Bone Imaging Using Photon-Counting Detector CT With an Additional Tin Filter. Investig. Radiol. 2020, 55, 91–100. [Google Scholar] [CrossRef]
- Marcus, R.P.; Fletcher, J.G.; Ferrero, A.; Leng, S.; Halaweish, A.F.; Gutjahr, R.; Vrtiska, T.J.; Wells, M.L.; Enders, F.T.; McCollough, C.H. Detection and Characterization of Renal Stones by Using Photon-Counting-based CT. Radiology 2018, 289, 436–442. [Google Scholar] [CrossRef]
- Symons, R.; Reich, D.S.; Bagheri, M.; Cork, T.E.; Krauss, B.; Ulzheimer, S.; Kappler, S.; Bluemke, D.A.; Pourmorteza, A. Photon-Counting Computed Tomography for Vascular Imaging of the Head and Neck: First In Vivo Human Results. Investig. Radiol. 2018, 53, 135–142. [Google Scholar] [CrossRef]
- Gottumukkala, R.V.; Kalra, M.K.; Tabari, A.; Otrakji, A.; Gee, M.S. Advanced CT Techniques for Decreasing Radiation Dose, Reducing Sedation Requirements, and Optimizing Image Quality in Children. Radiographics 2019, 39, 709–726. [Google Scholar] [CrossRef]
- Grunz, J.P.; Heidenreich, J.F.; Lennartz, S.; Weighardt, J.P.; Bley, T.A.; Ergün, S.; Petritsch, B.; Huflage, H. Spectral Shaping Via Tin Prefiltration in Ultra-High-Resolution Photon-Counting and Energy-Integrating Detector CT of the Temporal Bone. Investig. Radiol. 2022, 57, 819–825. [Google Scholar] [CrossRef] [PubMed]
- Cammin, J.; Xu, J.; Barber, W.C.; Iwanczyk, J.S.; Hartsough, N.E.; Taguchi, K. A cascaded model of spectral distortions due to spectral response effects and pulse pileup effects in a photon-counting x-ray detector for CT. Med. Phys. 2014, 41, 041905. [Google Scholar] [CrossRef] [PubMed]
- Taguchi, K.; Frey, E.C.; Wang, X.; Iwanczyk, J.S.; Barber, W.C. An analytical model of the effects of pulse pileup on the energy spectrum recorded by energy resolved photon counting x-ray detectors. Med. Phys. 2010, 37, 3957–3969. [Google Scholar] [CrossRef] [PubMed]
- Wang, A.S.; Harrison, D.; Lobastov, V.; Tkaczyk, J.E. Pulse pileup statistics for energy discriminating photon counting x-ray detectors. Med. Phys. 2011, 38, 4265–4275. [Google Scholar] [CrossRef]
- Yu, Z.; Leng, S.; Jorgensen, S.M.; Li, Z.; Gutjahr, R.; Chen, B.; Duan, X.; Halaweish, A.F.; Yu, L.; Ritman, E.L.; et al. Initial results from a prototype whole-body photon-counting computed tomography system. Proc. SPIE Int. Soc. Opt. Eng. 2015, 9412, 94120W. [Google Scholar] [CrossRef]
- Riederer, I.; Si-Mohamed, S.; Ehn, S.; Bar-Ness, D.; Noel, P.B.; Fingerle, A.A.; Pfeiffer, F.; Rummeny, E.J.; Douek, P.; Pfeiffer, D. Differentiation between blood and iodine in a bovine brain-Initial experience with Spectral Photon-Counting Computed Tomography (SPCCT). PLoS ONE 2019, 14, e0212679. [Google Scholar] [CrossRef]
- Van Hedent, S.; Hokamp, N.G.; Laukamp, K.R.; Buls, N.; Kessner, R.; Rose, B.; Ros, P.; Jordan, D. Differentiation of Hemorrhage from Iodine Using Spectral Detector CT: A Phantom Study. AJNR Am. J. Neuroradiol. 2018, 39, 2205–2210. [Google Scholar] [CrossRef]
- Michael, A.E.; Boriesosdick, J.; Schoenbeck, D.; Lopez-Schmidt, I.; Kroeger, J.R.; Moenninghoff, C.; Horstmeier, S.; Pennig, L.; Borggrefe, J.; Niehoff, J.H. Photon Counting CT Angiography of the Head and Neck: Image Quality Assessment of Polyenergetic and Virtual Monoenergetic Reconstructions. Diagnostics 2022, 12, 1306. [Google Scholar] [CrossRef]
- Schmitt, N.; Wucherpfennig, L.; Rotkopf, L.T.; Sawall, S.; Kauczor, H.U.; Bendszus, M.; Mohlenbruch, M.A.; Schlemmer, H.P.; Vollherbst, D.F. Metal artifacts and artifact reduction of neurovascular coils in photon-counting detector CT versus energy-integrating detector CT—In vitro comparison of a standard brain imaging protocol. Eur. Radiol. 2023, 33, 803–811. [Google Scholar] [CrossRef]
- Do, T.D.; Sawall, S.; Heinze, S.; Reiner, T.; Ziener, C.H.; Stiller, W.; Schlemmer, H.P.; Kachelriess, M.; Kauczor, H.U.; Skornitzke, S. A semi-automated quantitative comparison of metal artifact reduction in photon-counting computed tomography by energy-selective thresholding. Sci. Rep. 2020, 10, 21099. [Google Scholar] [CrossRef]
- Lee, C.-L.; Park, J.; Nam, S.; Choi, J.; Choi, Y.; Lee, S.; Lee, K.-Y.; Cho, M. Metal artifact reduction and tumor detection using photon-counting multi-energy computed tomography. PLoS ONE 2021, 16, e0247355. [Google Scholar] [CrossRef] [PubMed]
- Pourmorteza, A.; Symons, R.; Reich, D.S.; Bagheri, M.; Cork, T.E.; Kappler, S.; Ulzheimer, S.; Bluemke, D.A. Photon-Counting CT of the Brain: In Vivo Human Results and Image-Quality Assessment. AJNR Am. J. Neuroradiol. 2017, 38, 2257–2263. [Google Scholar] [CrossRef]
- Dahal, S.; Raja, A.Y.; Searle, E.; Colgan, F.E.; Crighton, J.S.; Roake, J.; Saba, L.; Gieseg, S.; Butler, A.P.H. Components of carotid atherosclerotic plaque in spectral photon-counting CT with histopathologic comparison. Eur. Radiol. 2023, 33, 1612–1619. [Google Scholar] [CrossRef] [PubMed]
- Sawall, S.; Klein, L.; Amato, C.; Wehrse, E.; Dorn, S.; Maier, J.; Heinze, S.; Schlemmer, H.P.; Ziener, C.H.; Uhrig, M.; et al. Iodine contrast-to-noise ratio improvement at unit dose and contrast media volume reduction in whole-body photon-counting CT. Eur. J. Radiol. 2020, 126, 108909. [Google Scholar] [CrossRef] [PubMed]
- Si-Mohamed, S.A.; Sigovan, M.; Hsu, J.C.; Tatard-Leitman, V.; Chalabreysse, L.; Naha, P.C.; Garrivier, T.; Dessouky, R.; Carnaru, M.; Boussel, L.; et al. In Vivo Molecular K-Edge Imaging of Atherosclerotic Plaque Using Photon-counting CT. Radiology 2021, 300, 98–107. [Google Scholar] [CrossRef] [PubMed]
- Sartoretti, T.; Eberhard, M.; Rüschoff, J.H.; Pietsch, H.; Jost, G.; Nowak, T.; Schmidt, B.; Flohr, T.; Euler, A.; Alkadhi, H. Photon-counting CT with tungsten as contrast medium: Experimental evidence of vessel lumen and plaque visualization. Atherosclerosis 2020, 310, 11–16. [Google Scholar] [CrossRef]
- Cormode, D.P.; Si-Mohamed, S.; Bar-Ness, D.; Sigovan, M.; Naha, P.C.; Balegamire, J.; Lavenne, F.; Coulon, P.; Roessl, E.; Bartels, M.; et al. Multicolor spectral photon-counting computed tomography: In vivo dual contrast imaging with a high count rate scanner. Sci. Rep. 2017, 7, 4784. [Google Scholar] [CrossRef]
- Cuccione, E.; Chhour, P.; Si-Mohamed, S.; Dumot, C.; Kim, J.; Hubert, V.; Da Silva, C.C.; Vandamme, M.; Chereul, E.; Balegamire, J.; et al. Multicolor spectral photon counting CT monitors and quantifies therapeutic cells and their encapsulating scaffold in a model of brain damage. Nanotheranostics 2020, 4, 129–141. [Google Scholar] [CrossRef]
- Goo, H.W.; Goo, J.M. Dual-Energy CT: New Horizon in Medical Imaging. Korean J. Radiol. 2017, 18, 555–569. [Google Scholar] [CrossRef]
- Chen, Z.; Zhang, Y.; Su, Y.; Sun, Y.; He, Y.; Chen, H. Contrast Extravasation is Predictive of Poor Clinical Outcomes in Patients Undergoing Endovascular Therapy for Acute Ischemic Stroke in the Anterior Circulation. J. Stroke Cerebrovasc. Dis. 2020, 29, 104494. [Google Scholar] [CrossRef]
- Tijssen, M.P.; Hofman, P.A.; Stadler, A.A.; van Zwam, W.; de Graaf, R.; van Oostenbrugge, R.J.; Klotz, E.; Wildberger, J.E.; Postma, A.A. The role of dual energy CT in differentiating between brain haemorrhage and contrast medium after mechanical revascularisation in acute ischaemic stroke. Eur. Radiol. 2014, 24, 834–840. [Google Scholar] [CrossRef] [PubMed]
- Mangesius, S.; Janjic, T.; Steiger, R.; Haider, L.; Rehwald, R.; Knoflach, M.; Widmann, G.; Gizewski, E.; Grams, A. Dual-energy computed tomography in acute ischemic stroke: State-of-the-art. Eur. Radiol. 2021, 31, 4138–4147. [Google Scholar] [CrossRef] [PubMed]
- Zaouak, Y.; Sadeghi, N.; Sarbu, N.; Ligot, N.; Lubicz, B. Differentiation between Cerebral Hemorrhage and Contrast Extravasation Using Dual Energy Computed Tomography after Intra-Arterial Neuro Interventional Procedures. J. Belg. Soc. Radiol. 2020, 104, 70. [Google Scholar] [CrossRef] [PubMed]
- Kim, S.J.; Lim, H.K.; Lee, H.Y.; Choi, C.G.; Lee, D.H.; Suh, D.C.; Kim, S.M.; Kim, J.K.; Krauss, B. Dual-energy CT in the evaluation of intracerebral hemorrhage of unknown origin: Differentiation between tumor bleeding and pure hemorrhage. AJNR Am. J. Neuroradiol. 2012, 33, 865–872. [Google Scholar] [CrossRef] [PubMed]
- Byl, A.; Klein, L.; Sawall, S.; Heinze, S.; Schlemmer, H.P.; Kachelriess, M. Photon-counting normalized metal artifact reduction (NMAR) in diagnostic CT. Med. Phys. 2021, 48, 3572–3582. [Google Scholar] [CrossRef] [PubMed]
- Kalafut, M.A.; Schriger, D.L.; Saver, J.L.; Starkman, S. Detection of early CT signs of >1/3 middle cerebral artery infarctions: Interrater reliability and sensitivity of CT interpretation by physicians involved in acute stroke care. Stroke 2000, 31, 1667–1671. [Google Scholar] [CrossRef]
- Morita, S.; Ueno, E.; Masukawa, A.; Suzuki, K.; Machida, H.; Fujimura, M. Hyperattenuating signs at unenhanced CT indicating acute vascular disease. Radiographics 2010, 30, 111–125. [Google Scholar] [CrossRef]
- Boussel, L.; Coulon, P.; Thran, A.; Roessl, E.; Martens, G.; Sigovan, M.; Douek, P. Photon counting spectral CT component analysis of coronary artery atherosclerotic plaque samples. Br. J. Radiol. 2014, 87, 20130798. [Google Scholar] [CrossRef]
- Zainon, R.; Ronaldson, J.P.; Janmale, T.; Scott, N.J.; Buckenham, T.M.; Butler, A.P.; Butler, P.H.; Doesburg, R.M.; Gieseg, S.P.; Roake, J.A.; et al. Spectral CT of carotid atherosclerotic plaque: Comparison with histology. Eur. Radiol. 2012, 22, 2581–2588. [Google Scholar] [CrossRef]
- Klintstrom, B.; Henriksson, L.; Moreno, R.; Malusek, A.; Smedby, O.; Woisetschlager, M.; Klintstrom, E. Photon-counting detector CT and energy-integrating detector CT for trabecular bone microstructure analysis of cubic specimens from human radius. Eur. Radiol. Exp. 2022, 6, 31. [Google Scholar] [CrossRef]
- Ferrero, A.; Gutjahr, R.; Henning, A.; Kappler, S.; Halaweish, A.; Abdurakhimova, D.; Peterson, Z.; Montoya, J.; Leng, S.; McCollough, C. Renal Stone Characterization using High Resolution Imaging Mode on a Photon Counting Detector CT System. Proc. SPIE. Int. Soc. Opt. Eng. 2017, 10132, 101323J. [Google Scholar] [CrossRef] [PubMed][Green Version]
- Ding, H.; Klopfer, M.J.; Ducote, J.L.; Masaki, F.; Molloi, S. Breast tissue characterization with photon-counting spectral CT imaging: A postmortem breast study. Radiology 2014, 272, 731–738. [Google Scholar] [CrossRef] [PubMed]
- Stamp, L.K.; Anderson, N.G.; Becce, F.; Rajeswari, M.; Polson, M.; Guyen, O.; Viry, A.; Choi, C.; Kirkbride, T.E.; Raja, A.Y. Clinical Utility of Multi-Energy Spectral Photon-Counting Computed Tomography in Crystal Arthritis. Arthritis Rheumatol. 2019, 71, 1158–1162. [Google Scholar] [CrossRef] [PubMed]
- Raychaudhuri, R.; Batjer, H.H.; Awad, I.A. Intracranial cavernous angioma: A practical review of clinical and biological aspects. Surg. Neurol. 2005, 63, 319–328; discussion 328. [Google Scholar] [CrossRef] [PubMed]
- Danielsson, M.; Persson, M.; Sjölin, M. Photon-counting x-ray detectors for CT. Phys. Med. Amp. Biol. 2021, 66, 03TR01. [Google Scholar] [CrossRef] [PubMed]
- Hu, R.; Daftari Besheli, L.; Young, J.; Wu, M.; Pomerantz, S.; Lev, M.H.; Gupta, R. Dual-Energy Head CT Enables Accurate Distinction of Intraparenchymal Hemorrhage from Calcification in Emergency Department Patients. Radiology 2016, 280, 177–183. [Google Scholar] [CrossRef]
- Nute, J.L.; Le Roux, L.; Chandler, A.G.; Baladandayuthapani, V.; Schellingerhout, D.; Cody, D.D. Differentiation of low-attenuation intracranial hemorrhage and calcification using dual-energy computed tomography in a phantom system. Investig. Radiol. 2015, 50, 9–16. [Google Scholar] [CrossRef]
- Lehti, L.; Soderberg, M.; Hoglund, P.; Nyman, U.; Gottsater, A.; Wasselius, J. Reliability of virtual non-contrast computed tomography angiography: Comparing it with the real deal. Acta. Radiol. Open 2018, 7, 2058460118790115. [Google Scholar] [CrossRef]
- Lehti, L.; Soderberg, M.; Hoglund, P.; Wasselius, J. Comparing Arterial- and Venous-Phase Acquisition for Optimization of Virtual Noncontrast Images From Dual-Energy Computed Tomography Angiography. J. Comput. Assist. Tomogr. 2019, 43, 770–774. [Google Scholar] [CrossRef]
- Li, X.; Wu, M.; Li, J.; Guo, Q.; Zhao, Y.; Zhang, X. Advanced targeted nanomedicines for vulnerable atherosclerosis plaque imaging and their potential clinical implications. Front. Pharmacol. 2022, 13, 906512. [Google Scholar] [CrossRef]
- Li, Y.; Younis, M.H.; Wang, H.; Zhang, J.; Cai, W.; Ni, D. Spectral computed tomography with inorganic nanomaterials: State-of-the-art. Adv. Drug. Deliv. Rev. 2022, 189, 114524. [Google Scholar] [CrossRef] [PubMed]
- Smilowitz, H.M.; Meyers, A.; Rahman, K.; Dyment, N.A.; Sasso, D.; Xue, C.; Oliver, D.L.; Lichtler, A.; Deng, X.; Ridwan, S.M.; et al. Intravenously-injected gold nanoparticles (AuNPs) access intracerebral F98 rat gliomas better than AuNPs infused directly into the tumor site by convection enhanced delivery. Int. J. Nanomed. 2018, 13, 3937–3948. [Google Scholar] [CrossRef]
- Moghiseh, M.; Lowe, C.; Lewis, J.G.; Kumar, D.; Butler, A.; Anderson, N.; Raja, A. Spectral Photon-Counting Molecular Imaging for Quantification of Monoclonal Antibody-Conjugated Gold Nanoparticles Targeted to Lymphoma and Breast Cancer: An In Vitro Study. Contrast. Media. Mol. Imaging 2018, 2018, 2136840. [Google Scholar] [CrossRef] [PubMed]
- Bao, Q.; Hu, P.; Xu, Y.; Cheng, T.; Wei, C.; Pan, L.; Shi, J. Simultaneous Blood-Brain Barrier Crossing and Protection for Stroke Treatment Based on Edaravone-Loaded Ceria Nanoparticles. ACS Nano 2018, 12, 6794–6805. [Google Scholar] [CrossRef] [PubMed]







| Photon-Counting Detector Property | Effect on Images |
|---|---|
| Direct conversion of X-ray to signal that is dependent on photon energy | Increased iodine signal Ability to obtain multienergy images |
| Smaller detector pixel size and lack of reflective septa | Improved spatial resolution Reduced radiation dose |
| Energy thresholds | Only quantum noise is present Reduced radiation dose Reduction of metal and blooming artifacts |
| Authors | Year | Model | Number of Patients | Clinical Application | Results |
|---|---|---|---|---|---|
| Symons et al. [19] | 2018 | In vitro In vivo (human) | 16 | Iodine-only images | In vitro, excellent correlation (R2 = 0.998) was registered between actual and calculated iodine concentrations. In vivo, PCD image noise was 9.1% lower than EID image noise. In the spectral data analysis, iodine maps had 20.7% higher CNR than nonspectral PCD. |
| Riederer et al. [26] | 2019 | In vitro Ex vivo (bovine brain) | Iodine-only images | Iodine density maps in the qualitative analysis enabled clear differentiation between blood and iodine both in vitro and ex vivo. In the quantitative analysis, measurements of the different iodine concentrations matched well with those of actual known concentrations (RMSE = 0.19). | |
| Van Hedent et al. [27] | 2018 | In vitro | Iodine-only images | Conventional image attenuation was not significantly different among all samples containing blood, while virtual noncontrast attenuation showed a significant decrease with a decreasing blood component (p < 0.01) in all blood–iodine mixtures. Relative virtual noncontrast values were significantly different among all investigated categories (p < 0.01) and hemorrhagic component size was correctly estimated for all categories within a 95% confidence interval. | |
| Michael et al. [28] | 2022 | In vivo (human) | 37 | Iodine-only images | The most favorable contrast-to-noise-ratio and signal-to-noise-ratio were detected in the PER and low keV MER. In the qualitative image analysis, the PER was superior to the MER in all rated criteria. For MER, 60–65 keV was rated as best image quality. |
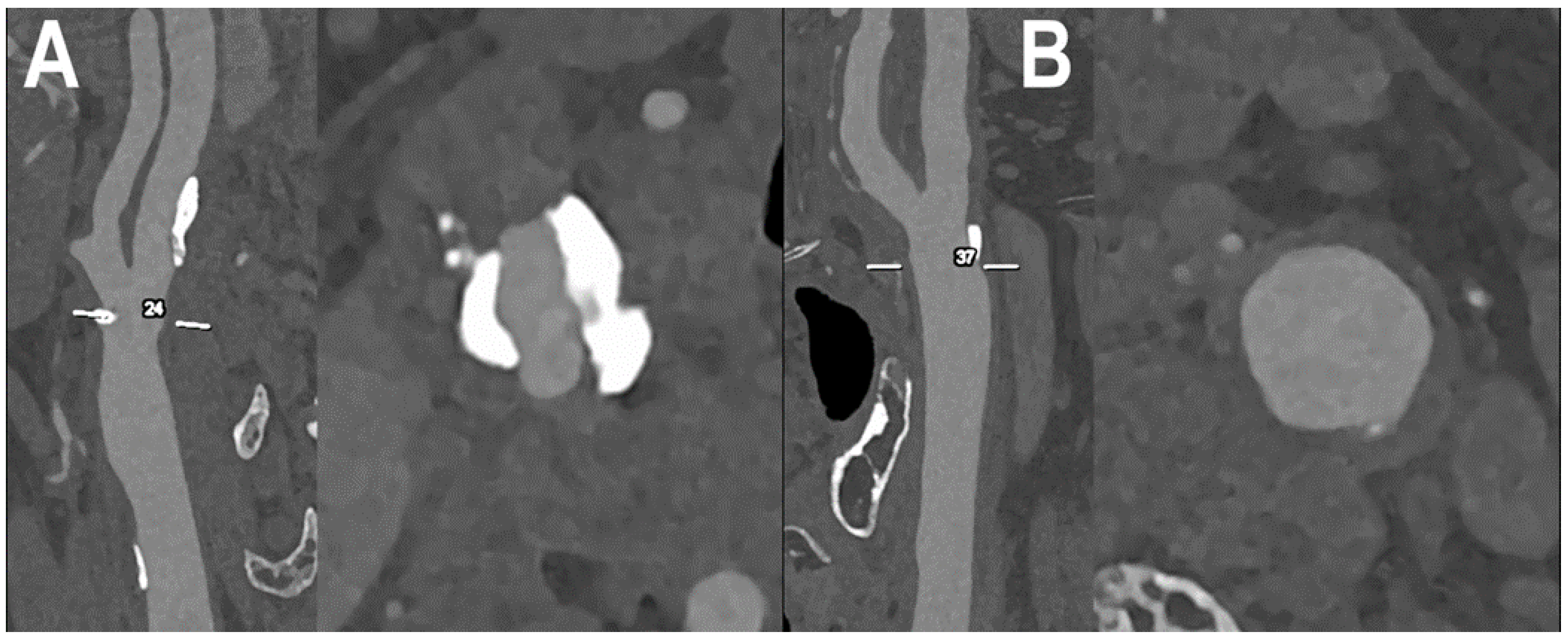
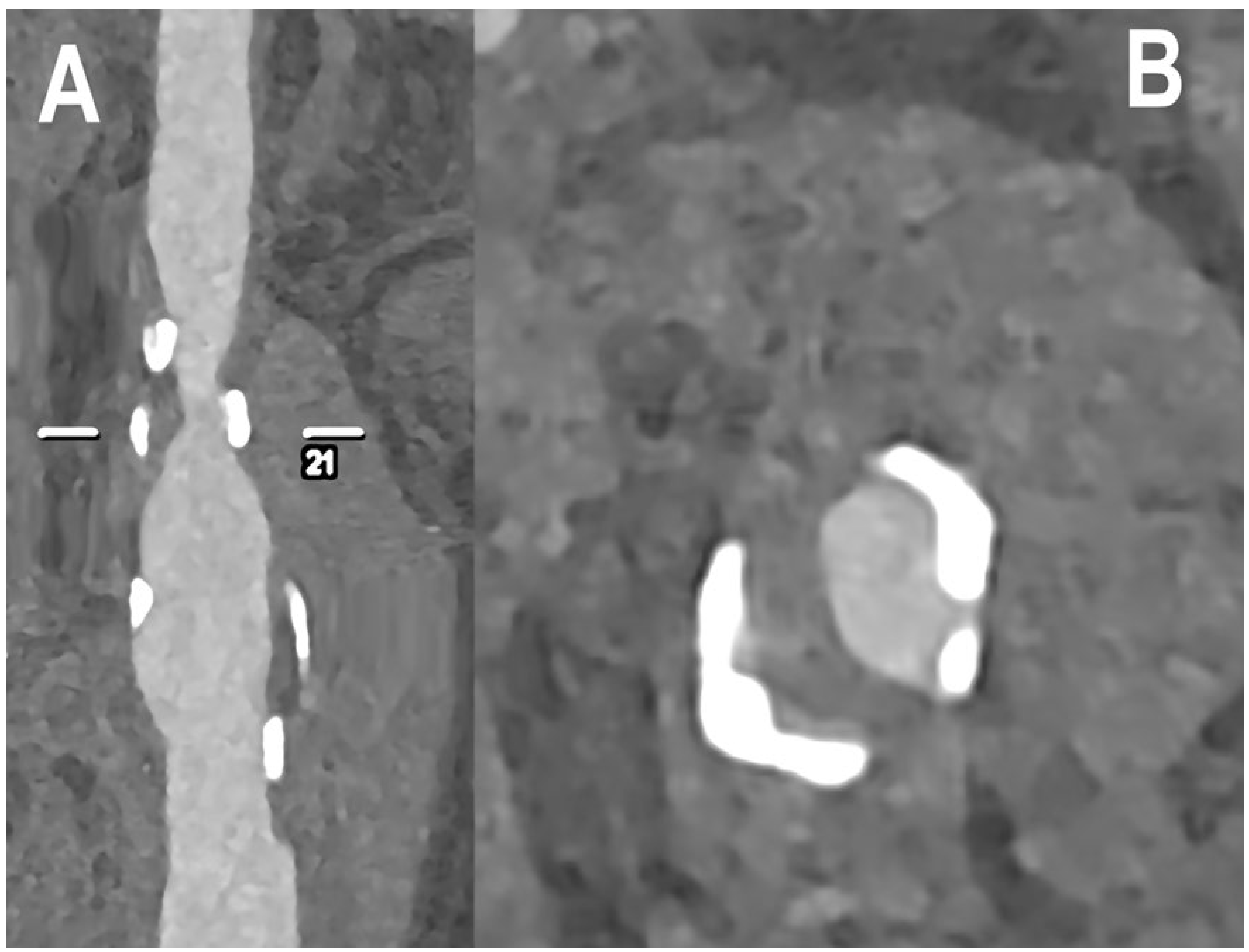
| Schmitt et al. [29] | 2023 | In vitro | Artifact reduction | With metal artifact reduction, both qualitative and quantitative analysis achieved statistical difference (p < 0.001), demonstrating a lower degree of coil-related artifacts for PCCT in comparison with EID-CT. | |
| Do et al. [30] | 2020 | In vitro Ex vivo | Artifact reduction | In vitro, EID-CT had better CNRs, less noise than HTI in Macro and Chess mode (and Macro having less noise than Chess mode). In the cadaver images, PCCT Macro-HTI showed fewer artifacts compared to EID-CT for cortical bone and bone marrow (18.3% vs. 27.6% and 35.3 vs. 60.6%, respectively). In the muscle compartment, PCD-CT Macro-HTI showed fewer artifacts than EID-CT when corrected for noise. For bone marrow, Chess-HTI performed better in terms of artifacts but worse in terms of image noise and CNR than Macro-HTI. | |
| Lee et al. [31] | 2021 | In vitro | Artifact reduction | Quantitative assessment showed that the 40-keV VMI (CNR = 20.6 ± 1.2) with NMAR and MD significantly increased the contrast of the iodine-enhanced region compared with that of the conventional images (CNR = 10.4 ± 0.5) having 30 to 140 keV energy levels. | |
| Pourmorteza et al. [32] | 2017 | Ex vivo In vivo (human) | 21 | Increased resolution | Ex vivo, PCCT images showed 8.5 ± 4.8% less image noise than EID images. In vivo, PCD image-quality scores were significantly better for GM–WM differentiation and image noise (both p < 0.001). In the quantitative image analysis, PCCT performed better than EID-CT for image noise, SNR of GM, WM and lateral ventricle CSF, and GM–WM contrast. In the spectral analysis, GM–WM contrast was better for the low-energy bin rather than the high-energy bin, whereas the image noise was higher in each bin than in PCD images containing all detected photons. |
| Dahal et al. [33] | 2023 | Ex vivo (human) | 20 | Tissue analysis | FC thickness and FC area did not show significant differences between the SPCCT-derived radiological measurements and the histopathological measurements (p-value range 0.15–0.51 for FC thickness and 0.053–0.30 for FC area). |
| Sawall et al. [34] | 2020 | In vitro | CNR improvement increases with increasing tube voltage for all patient sizes. The iodine contrast improvement can be used to reduce patient dose or to reduce the amount of contrast agent that is administered. | ||
| Rajendran et al. [17] | 2020 | In vitro Ex vivo In vivo (human) | 30 | Dose reduction | The PCD-CT images from the head phantom and the cadaver scans reduced the dose by 67% and 83%, for sinus and temporal bone exams, respectively, compared to EID-CT. In the sinus cohort, PCD-CT demonstrated a mean dose reduction of 67%. |
| Si-Mohamed et al. [35] | 2021 | In vivo (rabbits) | Targeted contrast-material based analysis | A good correlation was observed between the gold concentration measured within the wall and the macrophage area in 35 plaques, five per each of the 7 rabbits with atherosclerosis (r = 0.82), higher than the one observed on conventional CT images (r = 0.41). | |
| Sartoretti et al. [36] | 2020 | Ex vivo (carotid artery specimen) | Targeted contrast-material based analysis | Image quality on VNCa images was significantly higher for tungsten at lower dose (p < 0.05). Noise was significantly lower at both dose levels for tungsten VNCa images as compared to iodine images (p < 0.01). Simulations indicated improved material-decomposition efficiency for tungsten than for iodine pronounced at smaller object diameters. | |
| Cormode et al. [37] | 2017 | In vitro In vivo (rabbits) | Targeted contrast-material based analysis | Accurate differentiation and quantification between gold and iodine contrast media was demonstrated both in vitro and in vivo in different organs. | |
| Cuccione et al. [38] | 2020 | In vivo (rats) | Targeted contrast-material based analysis | The gold labeled transplanted cells were monitored for up to 2 weeks post-intralesional injection and differentiation between the labeled cells and their embedding scaffold was also conducted successfully. |
Disclaimer/Publisher’s Note: The statements, opinions and data contained in all publications are solely those of the individual author(s) and contributor(s) and not of MDPI and/or the editor(s). MDPI and/or the editor(s) disclaim responsibility for any injury to people or property resulting from any ideas, methods, instructions or products referred to in the content. |
© 2023 by the authors. Licensee MDPI, Basel, Switzerland. This article is an open access article distributed under the terms and conditions of the Creative Commons Attribution (CC BY) license (https://creativecommons.org/licenses/by/4.0/).
Share and Cite
Cademartiri, F.; Meloni, A.; Pistoia, L.; Degiorgi, G.; Clemente, A.; De Gori, C.; Positano, V.; Celi, S.; Berti, S.; Emdin, M.; et al. Dual Source Photon-Counting Computed Tomography—Part II: Clinical Overview of Neurovascular Applications. J. Clin. Med. 2023, 12, 3626. https://doi.org/10.3390/jcm12113626
Cademartiri F, Meloni A, Pistoia L, Degiorgi G, Clemente A, De Gori C, Positano V, Celi S, Berti S, Emdin M, et al. Dual Source Photon-Counting Computed Tomography—Part II: Clinical Overview of Neurovascular Applications. Journal of Clinical Medicine. 2023; 12(11):3626. https://doi.org/10.3390/jcm12113626
Chicago/Turabian StyleCademartiri, Filippo, Antonella Meloni, Laura Pistoia, Giulia Degiorgi, Alberto Clemente, Carmelo De Gori, Vincenzo Positano, Simona Celi, Sergio Berti, Michele Emdin, and et al. 2023. "Dual Source Photon-Counting Computed Tomography—Part II: Clinical Overview of Neurovascular Applications" Journal of Clinical Medicine 12, no. 11: 3626. https://doi.org/10.3390/jcm12113626
APA StyleCademartiri, F., Meloni, A., Pistoia, L., Degiorgi, G., Clemente, A., De Gori, C., Positano, V., Celi, S., Berti, S., Emdin, M., Panetta, D., Menichetti, L., Punzo, B., Cavaliere, C., Bossone, E., Saba, L., Cau, R., Grutta, L. L., & Maffei, E. (2023). Dual Source Photon-Counting Computed Tomography—Part II: Clinical Overview of Neurovascular Applications. Journal of Clinical Medicine, 12(11), 3626. https://doi.org/10.3390/jcm12113626

