One-Year Outcome of Intravitreal Tissue Plasminogen Activator, Ranibizumab, and Gas Injections for Submacular Hemorrhage in Polypoidal Choroidal Vasculopathy
Abstract
:1. Introduction
2. Methods
2.1. Study Design and Subjects
2.2. Treatment and Examinations
2.3. Outcome Measures
2.4. Intravitreal Tissue Plasminogen Activator, Ranibizumab and Gas Injections
2.5. Measurements of Clinical Parameters
2.6. Statistical Analyses
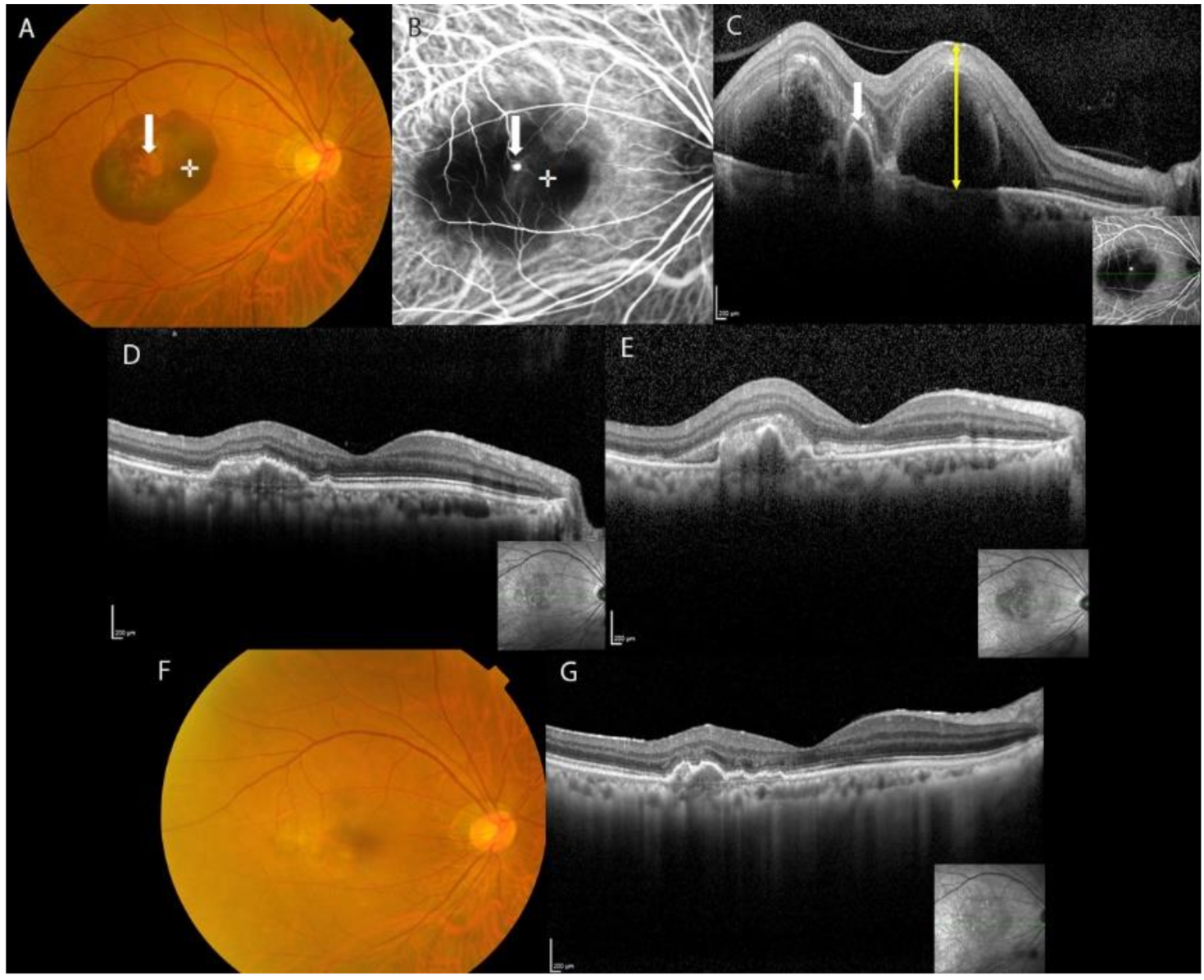
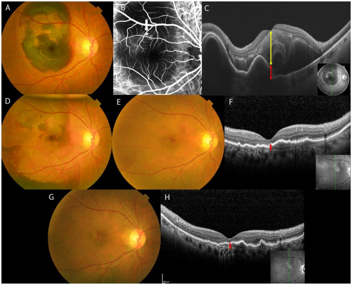
3. Results
3.1. Baseline Data
3.2. Primary Outcome Measure
3.3. Secondary Outcome Measures
3.4. Injection-Related Adverse Events
3.5. Factors Affecting Pre-/Post-Treatment Visual Acuity
4. Discussion
Author Contributions
Funding
Institutional Review Board Statement
Informed Consent Statement
Data Availability Statement
Conflicts of Interest
References
- Glatt, H.; Machemer, R. Experimental subretinal hemorrhage in rabbits. Am. J. Ophthalmol. 1982, 94, 762–773. [Google Scholar] [CrossRef]
- Toth, C.A.; Morse, L.S.; Hjelmeland, L.M.; Landers, M.B., 3rd. Fibrin directs early retinal damage after experimental subretinal hemorrhage. Arch. Ophthalmol. 1991, 109, 723–729. [Google Scholar] [CrossRef] [PubMed]
- Wong, C.W.; Yanagi, Y.; Lee, W.K.; Ogura, Y.; Yeo, I.; Wong, T.Y.; Cheung, C.M.G. Age-related macular degeneration and polypoidal choroidal vasculopathy in Asians. Prog. Retin. Eye Res. 2016, 53, 107–139. [Google Scholar] [CrossRef] [PubMed]
- Yannuzzi, L.A.; Wong, D.W.; Sforzolini, B.S.; Goldbaum, M.; Tang, K.C.; Spaide, R.F.; Freund, K.B.; Slakter, J.S.; Guyer, D.R.; Sorenson, J.A.; et al. Polypoidal choroidal vasculopathy and neovascularized age-related macular degeneration. Arch. Ophthalmol. 1999, 117, 1503–1510. [Google Scholar] [CrossRef] [PubMed]
- Sho, K.; Takahashi, K.; Yamada, H.; Wada, M.; Nagai, Y.; Otsuji, T.; Nishikawa, M.; Mitsuma, Y.; Yamazaki, Y.; Matsumura, M.; et al. Polypoidal choroidal vasculopathy: Incidence, demographic features, and clinical characteristics. Arch. Ophthalmol. 2003, 121, 1392–1396. [Google Scholar] [CrossRef] [PubMed] [Green Version]
- Kim, J.H.; Chang, Y.S.; Kim, J.W.; Kim, C.G. Characteristics of submacular hemorrhages in age-related macular degeneration. Optom. Vis. Sci. 2017, 94, 556–563. [Google Scholar] [CrossRef]
- Yannuzzi, L.A.; Ciardella, A.; Spaide, R.F.; Rabb, M.; Freund, K.B.; Orlock, D.A. The expanding clinical spectrum of idiopathic polypoidal choroidal vasculopathy. Arch. Ophthalmol. 1997, 115, 478–485. [Google Scholar] [CrossRef]
- Uyama, M.; Matsubara, T.; Fukushima, I.; Matsunaga, H.; Iwashita, K.; Nagai, Y.; Takahashi, K. Idiopathic polypoidal choroidal vasculopathy in Japanese patients. Arch. Ophthalmol. 1999, 117, 1035–1042. [Google Scholar] [CrossRef]
- Uyama, M.; Wada, M.; Nagai, Y.; Matsubara, T.; Matsunaga, H.; Fukushima, I.; Takahashi, K.; Matsumura, M. Polypoidal choroidal vasculopathy: Natural history. Am. J. Ophthalmol. 2002, 133, 639–648. [Google Scholar] [CrossRef]
- Kim, H.; Lee, S.C.; Kim, S.M.; Lee, J.H.; Koh, H.J.; Kim, S.S.; Byeon, S.H.; Kim, M.; Lee, C.S. Identification of underlying causes of spontaneous submacular hemorrhage by indocyanine green angiography. Ophthalmologica 2015, 233, 146–154. [Google Scholar] [CrossRef]
- Jeong, S.; Park, D.G.; Sagong, M. Management of a submacular hemorrhage secondary to age-related macular degeneration: A Comparison of three treatment modalities. J. Clin. Med. 2020, 9, 3088. [Google Scholar] [CrossRef] [PubMed]
- Mayer, W.J.; Hakim, I.; Haritoglou, C.; Gandorfer, A.; Ulbig, M.; Kampik, A.; Wolf, A. Efficacy and safety of recombinant tissue plasminogen activator and gas versus bevacizumab and gas for subretinal haemorrhage. Acta Ophthalmol. 2013, 91, 274–278. [Google Scholar] [CrossRef] [Green Version]
- Guthoff, R.; Guthoff, T.; Meigen, T.; Goebel, W. Intravitreous injection of bevacizumab, tissue plasminogen activator, and gas in the treatment of submacular hemorrhage in age-related macular degeneration. Retina 2011, 31, 36–40. [Google Scholar] [CrossRef] [PubMed]
- Kitagawa, Y.; Shimada, H.; Mori, R.; Tanaka, K.; Yuzawa, M. Intravitreal tissue plasminogen activator, ranibizumab, gas Injection for submacular hemorrhage in polypoidal choroidal vasculopathy. Ophthalmology 2016, 123, 1278–1286. [Google Scholar] [CrossRef] [PubMed]
- Lee, S.H.; Lee, S.J.; Shin, Y.I.; Lim, H.B.; Kim, J.Y.; Han, Y.S.; Nam, K.Y. The effect of initial intravitreal tissue plasminogen activator and gas injection on vision improvement in patients with submacular haemorrhage associated with age-related macular degeneration. Eye 2021, 35, 3064–3070. [Google Scholar] [CrossRef]
- Haupert, C.L.; McCuen, B.W., 2nd; Jaffe, G.J.; Steuer, E.R.; Cox, T.A.; Toth, C.A.; Fekrat, S.; Postel, E.A. Pars plana vitrectomy, subretinal injection of tissue plasminogen activator, and fluid-gas exchange for displacement of thick submacular hemorrhage in age-related macular degeneration. Am. J. Ophthalmol. 2001, 131, 208–215. [Google Scholar] [CrossRef]
- Olivier, S.; Chow, D.R.; Packo, K.H.; MacCumber, M.W.; Awh, C.C. Subretinal recombinant tissue plasminogen activator injection and pneumatic displacement of thick submacular hemorrhage in age-related macular degeneration. Ophthalmology 2004, 111, 1201–1208. [Google Scholar] [CrossRef]
- Treumer, F.; Roider, J.; Hillenkamp, J. Longterm outcome of subretinal coapplication of rtPA and bevacizumab followed by repeated intravitreal anti-VEGF injections for neovascular AMD with submacular haemorrhage. Br. J. Ophthalmol. 2012, 96, 708–713. [Google Scholar] [CrossRef]
- Chang, W.; Garg, S.J.; Maturi, R.; Hsu, J.; Sivalingam, A.; Gupta, S.A.; Regillo, C.D.; Ho, A.C. Management of thick submacular hemorrhage with subretinal tissue plasminogen activator and pneumatic displacement for age-related macular degeneration. Am. J. Ophthalmol. 2014, 157, 1250–1257. [Google Scholar] [CrossRef]
- Kimura, S.; Morizane, Y.; Hosokawa, M.; Shiode, Y.; Kawata, T.; Doi, S.; Matoba, R.; Hosogi, M.; Fujiwara, A.; Inoue, Y.; et al. Outcomes of vitrectomy combined with subretinal tissue plasminogen activator injection for submacular hemorrhage associated with polypoidal choroidal vasculopathy. Am. J. Ophthalmol. 2015, 159, 683–689. [Google Scholar] [CrossRef]
- Kadonosono, K.; Arakawa, A.; Yamane, S.; Inoue, M.; Yamakawa, T.; Uchio, E.; Yanagi, Y. Displacement of submacular hemorrhages in age-related macular degeneration with subretinal tissue plasminogen activator and air. Ophthalmology 2015, 122, 123–128. [Google Scholar] [CrossRef] [PubMed]
- Treumer, F.; Wienand, S.; Purtskhvanidze, K.; Roider, J.; Hillenkamp, J. The role of pigment epithelial detachment in AMD with submacular hemorrhage treated with vitrectomy and subretinal co-application of rtPA and anti-VEGF. Graefes Arch. Clin. Exp. Ophthalmol. 2017, 255, 1115–1123. [Google Scholar] [CrossRef] [PubMed]
- Stanescu-Segall, D.; Balta, F.; Jackson, T.L. Submacular hemorrhage in neovascular age-related macular degeneration: A synthesis of the literature. Surv. Ophthalmol. 2016, 61, 18–32. [Google Scholar] [CrossRef] [PubMed]
- Fassbender, J.M.; Sherman, M.P.; Barr, C.C.; Schaal, S. Tissue plasminogen activator for subfoveal hemorrhage due to age-related macular degeneration: Comparison of 3 treatment modalities. Retina 2016, 36, 1860–1865. [Google Scholar] [CrossRef] [PubMed]
- Grohmann, C.; Dimopoulos, S.; Bartz-Schmidt, K.U.; Schindler, P.; Katz, T.; Spitzer, M.S.; Skevas, C. Surgical management of submacular hemorrhage due to n-AMD: A comparison of three surgical methods. Int. J. Retin. Vitr. 2020, 6, 27. [Google Scholar] [CrossRef]
- De Jong, J.H.; van Zeeburg, E.J.; Cereda, M.G.; van Velthoven, M.E.; Faridpooya, K.; Vermeer, K.A.; van Meurs, J.C. Intravitreal versus subretinal administration of recombinant tissue Plasminogen activator combined with gas for acute submacular hemorrhages due to age-related macular degeneration. An exploratory prospective study. Retina 2016, 36, 914–925. [Google Scholar] [CrossRef]
- Tranos, P.; Tsiropoulos, G.N.; Koronis, S.; Vakalis, A.; Asteriadis, S.; Stavrakas, P. Comparison of subretinal versus intravitreal injection of recombinant tissue plasminogen activator with gas for submacular hemorrhage secondary to wet age-related macular degeneration: Treatment outcomes and brief literature review. Int. Ophthalmol. 2021, 41, 4037–4046. [Google Scholar] [CrossRef]
- Van Zeeburg, E.J.; van Meurs, J.C. Literature review of recombinant tissue plasminogen activator used for recent-onset submacular hemorrhage displacement in age-related macular degeneration. Ophthalmologica 2013, 229, 1–14. [Google Scholar] [CrossRef]
- Klettner, A.; Grotelüschen, S.; Treumer, F.; Roider, J.; Hillenkamp, J. Compatibility of recombinant tissue plasminogen activator (rtPA) and aflibercept or ranibizumab coapplied for neovascular age-related macular degeneration with submacular haemorrhage. Br. J. Ophthalmol. 2015, 99, 864–869. [Google Scholar] [CrossRef] [Green Version]
- Cheung, C.M.G.; Lai, T.Y.Y.; Teo, K.; Ruamviboonsuk, P.; Chen, S.J.; Kim, J.E.; Gomi, F.; Koh, A.H.; Kokame, G.; Jordan-Yu, J.M.; et al. Polypoidal choroidal vasculopathy: Consensus nomenclature and non-indocyanine green angiograph diagnostic criteria from the Asia-Pacific Ocular Imaging Society PCV Workgroup. Ophthalmology 2021, 128, 443–452. [Google Scholar] [CrossRef]
- Shimada, H.; Hattori, T.; Mori, R.; Nakashizuka, H.; Fujita, K.; Yuzawa, M. Minimizing the endophthalmitis rate following intravitreal injections using 0.25% povidone-iodine irrigation and surgical mask. Graefes Arch. Clin. Exp. Ophthalmol. 2013, 251, 1885–1890. [Google Scholar] [CrossRef] [PubMed]
- Cho, H.J.; Kim, K.M.; Kim, H.S.; Han, J.I.; Kim, C.G.; Lee, T.G.; Kim, J.W. Intravitreal Aflibercept and Ranibizumab Injections for Polypoidal Choroidal Vasculopathy. Am. J. Ophthalmol. 2016, 165, 1–6. [Google Scholar] [CrossRef] [PubMed]
- Niwa, Y.; Kakinoki, M.; Sawada, T.; Wang, X.; Ohji, M. Ranibizumab and aflibercept: Intraocular pharmacokinetics and their effects on aqueous VEGF level in vitrectomized and nonvitrectomized macaque eyes. Investig. Ophthalmol. Vis. Sci. 2015, 56, 6501–6505. [Google Scholar] [CrossRef] [PubMed] [Green Version]
- Inoue, M.; Arakawa, A.; Yamane, S.; Kadonosono, K. Variable response of vascularized pigment epithelial detachments to ranibizumab based on lesion subtypes, including polypoidal choroidal vasculopathy. Retina 2013, 33, 990–997. [Google Scholar] [CrossRef]
- Baba, T.; Kitahashi, M.; Kubota-Taniai, M.; Oshitari, T.; Yamamoto, S. Two-year course of subfoveal pigment epithelial detachment in eyes with age-related macular degeneration and visual acuity better than 20/40. Ophthalmologica 2012, 228, 102–109. [Google Scholar] [CrossRef]


| Pretreatment | Posttreatment | p-Value * | ||||||
|---|---|---|---|---|---|---|---|---|
| Pre | 1M | 3M | 12M | Pre vs. 1M | Pre vs. 3M | Pre vs. 12M | 3M vs. 12M | |
| ETDRS score (letters) | 58 ± 19 | 59 ± 21 | 64 ± 21 | 64 ± 22 | 0.6026 | 0.0122 | 0.0105 | 0.5659 |
| CRT (μm) | 543 ± 249 | 237 ± 130 | 192 ± 118 | 185 ± 103 | <0.0001 | <0.0001 | <0.0001 | 0.5003 |
| CPEDT (μm) | 161 ± 227 | 111 ± 201 | 103 ± 237 | 110 ± 235 | 0.0549 | 0.0668 | 0.1163 | 0.5655 |
| Parameter | Univariate Analysis | Multivariate Analysis p-Value | |
|---|---|---|---|
| r | p-Value | ||
| Gender (female = 1, male = 2) | −0.115 | 0.2615 | 0.3640 |
| Age (years) | −0.379 | 0.0417 | 0.0020 |
| ETDRS score (letters) | +0.509 | 0.0243 | <0.0001 |
| CRT (μm) | −0.167 | 0.1227 | 0.1860 |
| CPEDT (μm) | −0.499 | 0.0142 | <0.0001 |
| Duration from onset to treatment (days) | −0.097 | 0.3798 | 0.4447 |
| Diameter of SMH (DD) | −0.226 | 0.0315 | 0.0671 |
| Parameter | Univariate Analysis | Multivariate Analysis p-Value | |
|---|---|---|---|
| r | p-Value | ||
| Displacement of SMH (complete = 1, partial = 2) | −0.422 | 0.0084 | 0.0005 |
| Complications (No = 1, Yes = 2) | −0.379 | 0.0179 | 0.0404 |
| Posttreatment intravitreal injection (number) | −0.370 | 0.0045 | 0.0026 |
| 12-Month CRT (μm) | −0.242 | 0.0324 | 0.0527 |
| 12-Month CPEDT (μm) | −0.639 | 0.0013 | <0.0001 |
| Nonvitrectomizing Techniques | Vitrectomizing Techniques | |
|---|---|---|
| Vitreous Status | Nonvitrectomized Eye | Vitrectomized Eye |
| Half-life of intravitreally injected ranibizumab and aflibercept (macaque eyes) [33] | Ranibizumab: 2.3 ± 0.2 days Aflibercept: 2.2 ± 0.1 days | Ranibizumab: 1.4 ± 0.6 days (reduced 60.9%) Aflibercept: 1.5 ± 0.3 days (reduced 68.2%) |
| Number of PRN intravitreal anti-VEGF injections for posttreatment recurrence of SMH in PCV * | 2.6 ± 1.5 injections/patient during 12 months in 64 eyes (this study) | 4.1 ± 2.1 injections/patient during 12 months in 23 eyes [20] † |
| Number of PRN intravitreal anti-VEGF injections for posttreatment recurrence of SMH in nAMD * | 3.5 injections/patient during 12 months in 45 eyes [12] ** | 4.5 injections/patient during 12 months in 41 eyes [18] †† |
| Safety profile, visual acuity improvement, complete displacement rate, and rates of recurrent SMH in nAMD | No differences between the two techniques [23,24,25,26] | |
Publisher’s Note: MDPI stays neutral with regard to jurisdictional claims in published maps and institutional affiliations. |
© 2022 by the authors. Licensee MDPI, Basel, Switzerland. This article is an open access article distributed under the terms and conditions of the Creative Commons Attribution (CC BY) license (https://creativecommons.org/licenses/by/4.0/).
Share and Cite
Kitagawa, Y.; Shimada, H.; Mori, R.; Tanaka, K.; Wakatsuki, Y.; Onoe, H.; Kaneko, H.; Machida, Y.; Nakashizuka, H. One-Year Outcome of Intravitreal Tissue Plasminogen Activator, Ranibizumab, and Gas Injections for Submacular Hemorrhage in Polypoidal Choroidal Vasculopathy. J. Clin. Med. 2022, 11, 2175. https://doi.org/10.3390/jcm11082175
Kitagawa Y, Shimada H, Mori R, Tanaka K, Wakatsuki Y, Onoe H, Kaneko H, Machida Y, Nakashizuka H. One-Year Outcome of Intravitreal Tissue Plasminogen Activator, Ranibizumab, and Gas Injections for Submacular Hemorrhage in Polypoidal Choroidal Vasculopathy. Journal of Clinical Medicine. 2022; 11(8):2175. https://doi.org/10.3390/jcm11082175
Chicago/Turabian StyleKitagawa, Yorihisa, Hiroyuki Shimada, Ryusaburo Mori, Koji Tanaka, Yu Wakatsuki, Hajime Onoe, Hiroyuki Kaneko, Yumiko Machida, and Hiroyuki Nakashizuka. 2022. "One-Year Outcome of Intravitreal Tissue Plasminogen Activator, Ranibizumab, and Gas Injections for Submacular Hemorrhage in Polypoidal Choroidal Vasculopathy" Journal of Clinical Medicine 11, no. 8: 2175. https://doi.org/10.3390/jcm11082175
APA StyleKitagawa, Y., Shimada, H., Mori, R., Tanaka, K., Wakatsuki, Y., Onoe, H., Kaneko, H., Machida, Y., & Nakashizuka, H. (2022). One-Year Outcome of Intravitreal Tissue Plasminogen Activator, Ranibizumab, and Gas Injections for Submacular Hemorrhage in Polypoidal Choroidal Vasculopathy. Journal of Clinical Medicine, 11(8), 2175. https://doi.org/10.3390/jcm11082175

