Preoperative Assessment of Skeletal Muscle Mass and Muscle Quality Using Computed Tomography: Incidence of Sarcopenia in Patients with Intrahepatic Cholangiocarcinoma Selected for Liver Resection
Abstract
:1. Introduction
2. Materials and Methods
2.1. Study Design
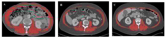
2.2. Image Analysis
2.3. Statistical Analysis
3. Results
3.1. Correlation between BMI, SMI, and SMD
3.2. Correlation between Tumor-Related Factors, SMI, and SMD
3.3. Predictors of Low SMI and Low SMD: Univariate Analysis
3.4. Operative Results
3.5. Overall Survival
4. Discussion
5. Conclusions
Author Contributions
Funding
Institutional Review Board Statement
Informed Consent Statement
Data Availability Statement
Conflicts of Interest
References
- Valle, J.W.; Kelley, R.K.; Nervi, B.; Oh, D.Y.; Zhu, A.X. Biliary tract cancer. Lancet 2021, 397, 428–444. [Google Scholar] [CrossRef]
- Siegel, R.L.; Miller, K.D.; Fuchs, H.E.; Jemal, A. Cancer Statistics 2021. CA Cancer J. Clin. 2021, 71, 7–33. [Google Scholar] [CrossRef] [PubMed]
- Mazzaferro, V.; Gorgen, A.; Roayaie, S.; Droz Dit Busset, M.; Sapisochin, G. Liver resection and transplantation for intra-hepatic cholangiocarcinoma. J. Hepatol. 2020, 72, 364–377. [Google Scholar] [CrossRef] [PubMed] [Green Version]
- Li, Q.; Chen, C.; Zhang, J.; Wu, H.; Qiu, Y.; Song, T.; Mao, X.; He, Y.; Cheng, Z.; Zhai, W.; et al. Prediction Efficacy of Prognostic Nutritional Index and Albumin–Bilirubin Grade in Patients with Intrahepatic Cholangiocarcinoma After Radical Resection: A Multi-Institutional Analysis of 535 Patients. Front. Oncol. 2021, 11, 769696. [Google Scholar] [CrossRef]
- Van Vugt, J.L.A.; Gaspersz, M.P.; Vugts, J.; Buettner, S.; Levolger, S.; de Bruin, R.W.F.; Polak, W.G.; de Jonge, J.; Willemssen, F.E.J.A.; Groot Koerkamp, B.; et al. Low Skeletal Muscle Density Is Associated with Early Death in Patients with Perihilar Cholangiocarcinoma Regardless of Subsequent Treatment. Dig. Surg. 2019, 36, 144–152. [Google Scholar] [CrossRef] [PubMed] [Green Version]
- Yugawa, K.; Itoh, S.; Kurihara, T.; Yoshiya, S.; Mano, Y.; Takeishi, K.; Harada, N.; Ikegami, T.; Soejima, Y.; Mori, M.; et al. Skeletal muscle mass predicts the prognosis of patients with intrahepatic cholangiocarcinoma. Am. J. Surg. 2019, 218, 952–958. [Google Scholar] [CrossRef]
- Dodson, R.M.; Firoozmand, A.; Hyder, O.; Tacher, V.; Cosgrove, D.P.; Bhagat, N.; Herman, J.M.; Wolfgang, C.L.; Geschwind, J.-F.H.; Kamel, I.R.; et al. Impact of Sarcopenia on Outcomes Following Intra-arterial Therapy of Hepatic Malignancies. J. Gastrointest. Surg. 2013, 17, 2123–2132. [Google Scholar] [CrossRef] [Green Version]
- Zhou, G.; Bao, H.; Zeng, Q.; Hu, W.; Zhang, Q. Sarcopenia as a prognostic factor in hepatolithiasis-associated intrahepatic cholangiocarcinoma patients following hepatectomy: A retrospective study. Int. J. Clin. Exp. Med. 2015, 8, 18245. [Google Scholar]
- Okumura, S.; Kaido, T.; Hamaguchi, Y.; Kobayashi, A.; Shirai, H.; Fujimoto, Y.; Iida, T.; Yagi, S.; Taura, K.; Hatano, E.; et al. Impact of Skeletal Muscle Mass, Muscle Quality, and Visceral Adiposity on Outcomes Following Resection of Intrahepatic Cholangiocarcinoma. Ann. Surg. Oncol. 2016, 24, 1037–1045. [Google Scholar] [CrossRef]
- Yu, H.; Wang, M.; Wang, Y.; Yang, J.; Deng, L.; Bao, W.; He, B.; Lin, Z.; Chen, Z.; Chen, K.; et al. The prognostic value of sarcopenia combined with preoperative fibrinogen–albumin ratio in patients with intrahepatic cholangiocarcinoma after surgery: A multicenter, prospective study. Cancer Med. 2021, 10, 4768–4780. [Google Scholar] [CrossRef]
- Hahn, F.; Müller, L.; Stöhr, F.; Mähringer-Kunz, A.; Schotten, S.; Düber, C.; Bartsch, F.; Lang, H.; Galle, P.R.; Weinmann, A.; et al. The role of sarcopenia in patients with intrahepatic cholangiocarcinoma: Prognostic marker or hyped parameter? Liver Int. 2019, 39, 1307–1314. [Google Scholar] [CrossRef] [PubMed]
- Ardito, F.; Lai, Q.; Rinninella, E.; Mimmo, A.; Vellone, M.; Panettieri, E.; Adducci, E.; Cintoni, M.; Mele, M.C.; Gasbarrini, A.; et al. The impact of personalized nutritional support on postoperative outcome within the enhanced recovery after surgery (ERAS) program for liver resections: Results from the NutriCatt protocol. Updat. Surg. 2020, 72, 681–691. [Google Scholar] [CrossRef] [PubMed]
- Brierley, J.D.; Gospodarowicz, M.K.; Wittekind, C. TNM Classification of Malignant Tumours, 8th ed.; John Wiley & Sons: Hoboken, NJ, USA, 2016. [Google Scholar]
- Mourtzakis, M.; Prado, C.M.; Lieffers, J.R.; Reiman, T.; McCargar, L.J.; Baracos, V.E. A practical and precise approach to quantification of body composition in cancer patients using computed tomography images acquired during routine care. Appl. Physiol. Nutr. Metab. 2008, 33, 997–1006. [Google Scholar] [CrossRef] [PubMed]
- Dindo, D.; Demartines, N.; Clavien, P.A. Classification of surgical complications: A new proposal with evaluation in a cohort of 6336 patients and results of a survey. Ann. Surg. 2004, 240, 205–213. [Google Scholar] [CrossRef] [PubMed]
- Rosenberg, I.H. Sarcopenia: Origins and clinical relevance. J. Nutr. 1997, 127 (Suppl. S5), S990–S991. [Google Scholar] [CrossRef] [PubMed] [Green Version]
- Muscaritoli, M.; Lucia, S.; Farcomeni, A.; Lorusso, V.; Saracino, V.; Barone, C.; Plastino, F.; Gori, S.; Magarotto, R.; Carteni, G.; et al. Prevalence of malnutrition in patients at first medical oncology visit: The PreMiO study. Oncotarget 2017, 8, 79884–79896. [Google Scholar] [CrossRef] [Green Version]
- Kitano, Y.; Yamashita, Y.I.; Saito, Y.; Nakagawa, S.; Okabe, H.; Imai, K.; Komohara, Y.; Miyamoto, Y.; Chikamoto, A.; Ishiko, T.; et al. Sarcopenia Affects Systemic and Local Immune System and Impacts Postoperative Outcome in Patients with Extra-hepatic Cholangiocarcinoma. World J. Surg. 2019, 43, 2271–2280. [Google Scholar] [CrossRef]
- Deng, L.; Chen, B.; Zhan, C.; Yu, H.; Zheng, J.; Bao, W.; Deng, T.; Zheng, C.; Wu, L.; Yang, Y.; et al. A Novel Clinical-Radiomics Model Based on Sarcopenia and Radiomics for Predicting the Prognosis of Intrahepatic Cholangiocarcinoma After Radical Hepatectomy. Front. Oncol. 2021, 11, 744311. [Google Scholar] [CrossRef]
- Jördens, M.S.; Heinrichs, L.; Loosen, S.H.; Wittig, L.; Keitel, V.; Schöler, D.; Schulze-Hagen, M.; Loberg, C.; Antoch, G.; Knoefel, W.T.; et al. Sarcopenia Predicts Cancer Mortality in Male but Not in Female Patients Undergoing Surgery for Cholangiocellular Carcinoma. Cancers 2021, 13, 5359. [Google Scholar] [CrossRef]
- Jördens, M.S.; Wittig, L.; Heinrichs, L.; Keitel, V.; Schulze-Hagen, M.; Antoch, G.; Knoefel, W.T.; Fluegen, G.; Luedde, T.; Loberg, C.; et al. Sarcopenia and Myosteatosis as Prognostic Markers in Patients with Advanced Cholangiocarcinoma Undergoing Palliative Treatment. J. Clin. Med. 2021, 10, 4340. [Google Scholar] [CrossRef]
- Van Kruijsdijk, R.C.; van der Wall, E.; Visseren, F.L. Obesity and cancer: The role of dysfunctional adipose tissue. Cancer Epidemiol. Biomark. Prev. 2009, 18, 2569–2578. [Google Scholar] [CrossRef] [PubMed] [Green Version]

| Characteristics of the 30 Patients Resected for ICC | |
|---|---|
| Variables | |
| Age, yr, median (range) | 66 (25–79) |
| Sex, No. (%) | |
| Male | 20 (66.7) |
| Female | 10 (33.3) |
| BMI, Kg/m2, median (range) | 25.6 (15.9–36.2) |
| BMI, No. (%) | |
| <20.0 kg/m2 | 4 (13.3) |
| 20.0–24.9 kg/m2 | 10 (33.3) |
| 25.0–29.9 kg/m2 | 10 (33.3) |
| ≥30 kg/m2 | 6 (20.0) |
| Preoperative chemotherapy, No. (%) | 2 (6.7) |
| Presence of cirrhosis, No. (%) | 3 (10.0) |
| Preoperative albumin (g/dL), median (range) | 41 (23–48) |
| Preoperative total bilirubin (mg/dL), median (range) | 0.6 (0.3–1.9) |
| Preoperative protrombin time (%), median (range) | 93 (64–281) |
| Preoperative platelet count (109/L), median (range) | 234 (85–389) |
| Tumor size ≥ 5 cm, No. (%) | 15 (50.0) |
| Tumors number | |
| Single tumor | 21 (70.0) |
| >1 nodule | 9 (30.0) |
| Satellite nodules, No. (%) | 10 (33.3) |
| Grading | |
| G 1 | 18 (60.0) |
| G 2–3 | 12 (40.0) |
| Perineural invasion, No. (%) | 13 (43.3) |
| Microvascular invasion, No. (%) | 10 (33.3) |
| T stage | |
| T 1–2 | 22 (73.3) |
| T 3–4 | 8 (26.7) |
| Lymph node metastases, No. (%) | 8 (26.7) |
| SMI, cm2/m2, median (range) | 47.2 (30.1–63.0) |
| SMD, HU, median (range) | 39.5 (23.7–66.8) |
| Variables | Low SMI n = 15 | High SMI n = 15 | p-Value | Low SMD n = 10 | High SMD n = 20 | p-Value |
|---|---|---|---|---|---|---|
| Age, yr, median (range) | 66 (25–76) | 65 (48–79) | 0.797 | 73 (44–79) | 69 (25–76) | 0.149 |
| Sex, No. (%) | 0.438 | 0.055 | ||||
| Male | 9 (60.0) | 11 (73.3) | 9 (90.0) | 11 (55.0) | ||
| Female | 6 (40.0) | 4 (26.7) | 1 (10.0) | 9 (45.0) | ||
| BMI, No. (%) | ||||||
| <20.0 | 4 (26.7) | 0 | 0.031 | 1 (10.0) | 3 (15.0) | 0.704 |
| 20.0–24.9 | 7 (46.7) | 3 (20.0) | 0.121 | 1 (10.0) | 9 (45.0) | 0.055 |
| ≥25.0 | 4 (26.7) | 12 (80.0) | 0.003 | 8 (80.0) | 8 (40.0) | 0.038 |
| Preoperative chemotherapy, No. (%) | 2 (13.3) | 0 | 0.143 | 1 (10.0) | 1 (5.0) | 0.604 |
| Presence of cirrhosis, No. (%) | 0 | 3 (20.0) | 0.067 | 2 (20.0) | 1 (5.0) | 0.196 |
| Preoperative albumin < 34 g/dL, No. (%) | 0 | 1 (6.7) | 0.309 | 0 | 1 (5.0) | 0.519 |
| Preoperative total bilirubin (mg/dL), median (range) | 0.6 (0.3–1.9) | 0.6 (0.4–1.3) | 0.767 | 0.8 (0.4–1.3) | 0.6 (03–1.9) | 0.496 |
| Preoperative protrombin time (%), median (range) | 94 (64–115) | 91 (72–117) | 0.941 | 83 (74–105) | 97 (64–281) | 0.313 |
| Preoperative platelet count (109/L), median (range) | 247 (196–389) | 210 (114–343) | 0.005 | 202 (122–389) | 237 (85–343) | 0.884 |
| Tumor size ≥ 5 cm, No. (%) | 7 (46.7) | 8 (53.3) | 0.715 | 6 (60.0) | 9 (45.0) | 0.438 |
| Tumors number | 0.232 | 1 | ||||
| Single tumor | 9 (60.0) | 12 (80.0) | 7 (70.0) | 14 (70.0) | ||
| >1 nodule | 6 (40.0) | 3 (20.0) | 3 (30.0) | 6 (30.0) | ||
| Satellite nodules, No. (%) | 6 (40.0) | 4 (26.7) | 0.438 | 3 (30.0) | 7 (35.0) | 0.784 |
| Grading | 1 | 0.429 | ||||
| G 1 | 9 (60.0) | 9 (60.0) | 5 (50.0) | 13 (65.0) | ||
| G 2–3 | 6 (40.0) | 6 (40.0) | 5 (50.0) | 7 (35.0) | ||
| Perineural invasion, No. (%) | 8 (53.3) | 5 (33.3) | 0.269 | 5 (50.0) | 8 (40.0) | 0.602 |
| Microvascular invasion, No. (%) | 5 (33.3) | 5 (33.3) | 1 | 5 (50.0) | 5 (25.0) | 0.170 |
| T stage | 1 | 0.559 | ||||
| T 1–2 | 11 (73.3) | 11 (73.3) | 8 (80.0) | 14 (70.0) | ||
| T 3–4 | 4 (26.7) | 4 (26.7) | 2 (20.0) | 6 (30.0) | ||
| Lymph node metastases, No. (%) | 4 (26.7) | 4 (26.7) | 1 | 4 (40.0) | 4 (20.0) | 0.242 |
| Variables | Univariate Analysis p-Value |
|---|---|
| Age > 70 years | 0.713 |
| Male sex | 0.441 |
| BMI | 0.570 |
| <20.0 | 0.999 |
| 20.0–24.9 | 0.999 |
| ≥25.0 | 0.999 |
| Preoperative chemotherapy | 0.999 |
| Presence of cirrhosis | 0.999 |
| Preoperative albumin < 34 g/dL | 1 |
| Tumor size ≥ 5 cm | 0.715 |
| Tumors number > 1 | 0.239 |
| Satellite nodules, | 0.441 |
| Grading 2–3 | 1 |
| Perineural invasion | 0.335 |
| Microvascular invasion | 1 |
| T stage 3–4 | 1 |
| Lymph node metastases | 1 |
Publisher’s Note: MDPI stays neutral with regard to jurisdictional claims in published maps and institutional affiliations. |
© 2022 by the authors. Licensee MDPI, Basel, Switzerland. This article is an open access article distributed under the terms and conditions of the Creative Commons Attribution (CC BY) license (https://creativecommons.org/licenses/by/4.0/).
Share and Cite
Ardito, F.; Coppola, A.; Rinninella, E.; Razionale, F.; Pulcini, G.; Carano, D.; Cintoni, M.; Mele, M.C.; Barbaro, B.; Giuliante, F. Preoperative Assessment of Skeletal Muscle Mass and Muscle Quality Using Computed Tomography: Incidence of Sarcopenia in Patients with Intrahepatic Cholangiocarcinoma Selected for Liver Resection. J. Clin. Med. 2022, 11, 1530. https://doi.org/10.3390/jcm11061530
Ardito F, Coppola A, Rinninella E, Razionale F, Pulcini G, Carano D, Cintoni M, Mele MC, Barbaro B, Giuliante F. Preoperative Assessment of Skeletal Muscle Mass and Muscle Quality Using Computed Tomography: Incidence of Sarcopenia in Patients with Intrahepatic Cholangiocarcinoma Selected for Liver Resection. Journal of Clinical Medicine. 2022; 11(6):1530. https://doi.org/10.3390/jcm11061530
Chicago/Turabian StyleArdito, Francesco, Alessandro Coppola, Emanuele Rinninella, Francesco Razionale, Gabriele Pulcini, Davide Carano, Marco Cintoni, Maria Cristina Mele, Brunella Barbaro, and Felice Giuliante. 2022. "Preoperative Assessment of Skeletal Muscle Mass and Muscle Quality Using Computed Tomography: Incidence of Sarcopenia in Patients with Intrahepatic Cholangiocarcinoma Selected for Liver Resection" Journal of Clinical Medicine 11, no. 6: 1530. https://doi.org/10.3390/jcm11061530
APA StyleArdito, F., Coppola, A., Rinninella, E., Razionale, F., Pulcini, G., Carano, D., Cintoni, M., Mele, M. C., Barbaro, B., & Giuliante, F. (2022). Preoperative Assessment of Skeletal Muscle Mass and Muscle Quality Using Computed Tomography: Incidence of Sarcopenia in Patients with Intrahepatic Cholangiocarcinoma Selected for Liver Resection. Journal of Clinical Medicine, 11(6), 1530. https://doi.org/10.3390/jcm11061530

