Frozen Section of Parotid Gland Tumours: The Head and Neck Pathologist as a Key Member of the Surgical Team
Abstract
1. Introduction
2. Materials and Methods
3. Results
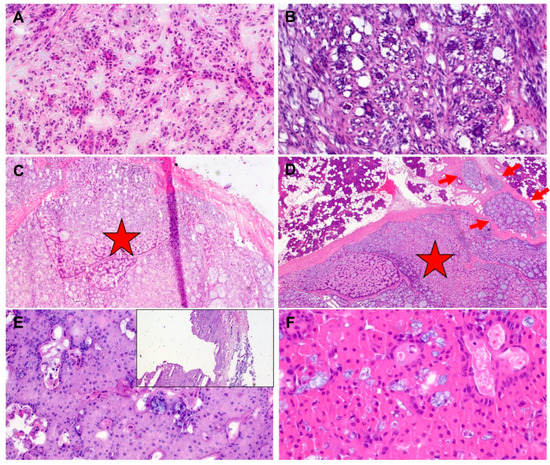
Diagnostic Discrepancies between Frozen Section and Permanent Histology
4. Discussion
Author Contributions
Funding
Institutional Review Board Statement
Informed Consent Statement
Data Availability Statement
Conflicts of Interest
References
- Schmidt, R.L.; Hall, B.J.; Wilson, A.R.; Layfield, L.J. A systematic review and meta-analysis of the diagnostic accuracy of fine-needle aspiration cytology for parotid gland lesions. Am. J. Clin. Pathol. 2011, 136, 45–59. [Google Scholar] [CrossRef] [PubMed]
- Zbaren, P.; Guelat, D.; Loosli, H.; Stauffer, E. Parotid tumors: Fine-needle aspiration and/or frozen section. Otolaryngol. Head Neck Surg. 2008, 139, 811–815. [Google Scholar] [CrossRef] [PubMed]
- Ackerman, L.V.R.G. The indications for and limitation of frozen section diagnosis. Br. J. Surg. 1959, 46, 336–350. [Google Scholar] [CrossRef]
- Mantsopoulos, K.; Goncalves, M.; Koch, M.; Iro, H. Watchful waiting in carefully selected metachronous cystadenolymphomas of the parotid gland: A reliable option? Br. J. Oral Maxillofac. Surg. 2019, 57, 425–429. [Google Scholar] [CrossRef] [PubMed]
- Choy, K.C.C.; Bundele, M.M.; Fu, E.W.; Li, H.; Gan, J.Y.J.; Rao, N.C.L.; Lim, M.Y. Risk stratification of parotid neoplasms based on intraoperative frozen section and preoperative fine needle aspiration cytology. Eur. Arch. Otorhinolaryngol. 2021. [Google Scholar] [CrossRef] [PubMed]
- Wilson, L.B. A method for the rapid preparation of fresh tissues for the microscope. JAMA 1905, 45, 1737. [Google Scholar] [CrossRef]
- Starnes, T.; Gui, D.; Bishop, J. Best Practices in Frozen Section Analysis Laboratory Best Practice Blog; University of California: Davis, CA, USA, 2019. [Google Scholar]
- Lester, S.C. Diagnostic Pathology Intraoperative Consultation; Elsevier: Salt Lake City, UT, USA, 2018. [Google Scholar]
- Mahe, E.; Ara, S.; Bishara, M.; Kurian, A.; Tauqir, S.; Ursani, N.; Vasudev, P.; Aziz, T.; Ross, C.; Lytwyn, A. Intraoperative pathology consultation: Error, cause and impact. Can. J. Surg. 2013, 56, E13–E18. [Google Scholar] [CrossRef]
- Patel, K.R.; Scognamiglio, T.; Kutler, D.I.; Kuhel, W.I.; Gromis, J.; Phillips, C.D.; Cohen, M.A. Retrospective Assessment of the Utility of Imaging, Fine-Needle Aspiration Biopsy, and Intraoperative Frozen Section in the Management of Parotid Neoplasms: The Weill Cornell Medical College Experience. ORL J. Otorhinolaryngol. Relat. Spec. 2015, 77, 171–179. [Google Scholar] [CrossRef]
- Mantsopoulos, K.; Mueller, S.; Goncalves, M.; Koch, M.; Iro, H. Completion surgery after extracapsular dissection of low-grade parotid gland malignant tumors. Head Neck 2019, 41, 3383–3388. [Google Scholar] [CrossRef]
- Geiger, J.L.; Ismaila, N.; Beadle, B.; Caudell, J.J.; Chau, N.; Deschler, D.; Glastonbury, C.; Kaufman, M.; Lamarre, E.; Lau, H.Y.; et al. Management of Salivary Gland Malignancy: ASCO Guideline. J. Clin. Oncol. 2021, 39, 1909–1941. [Google Scholar] [CrossRef]
- Guntinas-Lichius, O.; Thielker, J.; Robbins, K.T.; Olsen, K.D.; Shaha, A.R.; Mäkitie, A.A.; Bree, R.; Poorten, V.V.; Quer, M.; Rinaldo, A.; et al. Prognostic role of intraparotid lymph node metastasis in primary parotid cancer: Systematic review. Head Neck 2021, 43, 997–1008. [Google Scholar] [CrossRef] [PubMed]
- Guntinas-Lichius, O.; Silver, C.E.; Thielker, J.; Bernal-Sprekelsen, M.; Bradford, C.R.; De Bree, R.; Kowalski, L.P.; Olsen, K.D.; Quer, M.; Rinaldo, A.; et al. Management of the facial nerve in parotid cancer: Preservation or resection and reconstruction. Eur. Arch. Otorhinolaryngol. 2018, 275, 2615–2626. [Google Scholar] [CrossRef] [PubMed]
- Olsen, K.D.; Moore, E.J.; Lewis, J.E. Frozen section pathology for decision making in parotid surgery. JAMA Otolaryngol. Head Neck Surg. 2013, 139, 1275–1278. [Google Scholar] [CrossRef] [PubMed]
- Ferlito, A.; Shaha, A.R.; Rinaldo, A.; Mondin, V. Management of clinically negative cervical lymph nodes in patients with malignant neoplasms of the parotid gland. ORL J. Otorhinolaryngol. Relat. Spec. 2001, 63, 123–126. [Google Scholar] [CrossRef]
- Vander Poorten, V.; Bradley, P.J.; Takes, R.P.; Rinaldo, A.; Woolgar, J.A.; Ferlito, A. Diagnosis and management of parotid carcinoma with a special focus on recent advances in molecular biology. Head Neck 2012, 34, 429–440. [Google Scholar] [CrossRef]
- Ferreiro, J.A.; Myers, J.L.; Bostwick, D.G. Accuracy of frozen section diagnosis in surgical pathology: Review of a 1-year experience with 24,880 cases at Mayo Clinic Rochester. Mayo Clin. Proc. 1995, 70, 1137–1141. [Google Scholar] [CrossRef]
- Gnepp, D.R.; Rader, W.R.; Cramer, S.F.; Cook, L.L.; Sciubba, J. Accuracy of frozen section diagnosis of the salivary gland. Otolaryngol. Head Neck Surg. 1987, 96, 325–330. [Google Scholar] [CrossRef]
- El-Naggar, A.K.; Chan, J.K.C.; Grandis, J.R.; Takata, T.; Slootweg, P.J. World Health Organization Classification of Head and Neck Tumours; IARC Press: Lyon, France, 2017. [Google Scholar]
- Slootweg, P.J.; El-Naggar, A.K. World Health Organization 4th edition of head and neck tumor classification: Insight into the consequential modifications. Virchows Arch. 2018, 472, 311–313. [Google Scholar] [CrossRef] [PubMed]
- Baghai, F.; Yazdani, F.; Etebarian, A.; Garajei, A.; Skalova, A. Clinicopathologic and molecular characterization of mammary analogue secretory carcinoma of salivary gland origin. Pathol. Res. Pract. 2017, 213, 1112–1118. [Google Scholar] [CrossRef]
- Hwang, S.Y.; Brett, R.H. An audit of parotidectomy in Singapore: A review of 31 cases. Med. J. Malaysia 2003, 58, 273–278. [Google Scholar]
- Arabi Mianroodi, A.A.; Sigston, E.A.; Vallance, N.A. Frozen section for parotid surgery: Should it become routine? ANZ J. Surg. 2006, 76, 736–739. [Google Scholar] [CrossRef]
- Seethala, R.R.; LiVolsi, V.A.; Baloch, Z.W. Relative accuracy of fine-needle aspiration and frozen section in the diagnosis of lesions of the parotid gland. Head Neck 2005, 27, 217–223. [Google Scholar] [CrossRef] [PubMed]
- Longuet, M.; Nallet, E.; Guedon, C.; Depondt, J.; Gehanno, P.; Barry, B. Diagnostic value of needle biopsy and frozen section histological examination in the surgery of primary parotid tumors. Rev. Laryngol. Otol. Rhinol. 2001, 122, 51–55. [Google Scholar]
- Carvalho, M.B.; Soares, J.M.; Rapoport, A.; Sobrinho, J.D.A.; Fava, A.S.; Kanda, J.L.; Lehn, C.; Walder, F.; Menezes, M.; Negri, S.L.C. Perioperative frozen section examination in parotid gland tumors. Sao Paulo Med. J. 1999, 117, 233–237. [Google Scholar] [CrossRef] [PubMed][Green Version]
- Wong, D.S. Frozen section during parotid surgery revisited: Efficacy of its applications and changing trend of indications. Head Neck 2002, 24, 191–197. [Google Scholar] [CrossRef] [PubMed]
- Tew, S.; Poole, A.G.; Philips, J. Fine-needle aspiration biopsy of parotid lesions: Comparison with frozen section. Aust. N. Z. J. Surg. 1997, 67, 438–441. [Google Scholar] [CrossRef] [PubMed]
- Iwai, H.; Yamashita, T.; Izumikawa, M.; Tsutsumi, T.; Kakimoto, S.; Kumazawa, H.; Lee, S.; Watanabe, H.; Minami, T. Evaluation of frozen section diagnosis of parotid gland tumors. Nihon Jibiinkoka Gakkai Kaiho 1999, 102, 1227–1233. [Google Scholar] [CrossRef][Green Version]
- Ishida, R.; Ezura, Y.; Emi, M.; Kajita, M.; Yoshida, H.; Suzuki, T.; Hosoi, T.; Inoue, S.; Shiraki, M.; Ito, H. Association of a promoter haplotype (-1542G/-525C) in the tumor necrosis factor receptor associated factor-interacting protein gene with low bone mineral density in Japanese women. Bone 2003, 33, 237–241. [Google Scholar] [CrossRef]
- Badoual, C.; Rousseau, A.; Heudes, D.; Carnot, F.; Danel, C.; Meatchi, T.; Hans, S.; Bruneval, P.; Brasnu, D.; Laccourreye, O. Evaluation of frozen section diagnosis in 721 parotid gland lesions. Histopathology 2006, 49, 538–540. [Google Scholar] [CrossRef]
- Upton, D.C.; McNamar, J.P.; Connor, N.P.; Harari, P.M.; Hartig, G.K. Parotidectomy: Ten-year review of 237 cases at a single institution. Otolaryngol. Head Neck Surg. 2007, 136, 788–792. [Google Scholar] [CrossRef]
- Schmidt, R.L.; Hunt, J.P.; Hall, B.J.; Wilson, A.R.; Layfield, L.J. A systematic review and meta-analysis of the diagnostic accuracy of frozen section for parotid gland lesions. Am. J. Clin. Pathol. 2011, 136, 729–738. [Google Scholar] [CrossRef] [PubMed]
- Mantsopoulos, K.; Psychogios, G.; Agaimy, A.; Künzel, J.; Zenk, J.; Iro, H.; Bohr, C. Inflamed benign tumors of the parotid gland: Diagnostic pitfalls from a potentially misleading entity. Head Neck 2015, 37, 23–29. [Google Scholar] [CrossRef] [PubMed]


| Case Number | Frozen Section Diagnosis | Definitive Diagnosis | Pathologist | Impact on Management | Source/Type of Error |
|---|---|---|---|---|---|
| 1 | Cystadenolymphoma | G1 mucoepidermoid carcinoma | B | Revision surgery | Interpretative |
| 2 | “No malignancy” | Acinic cell carcinoma | B | Revision surgery | Interpretative |
| 3 | Pleomorphic adenoma | Basal cell carcinoma ex pleomorphic adenoma | B | No revision surgery (on patient’s request) | Sampling |
| 4 | Pleomorphic adenoma | Acinic cell carcinoma | B | Revision surgery | Interpretative |
| 5 | “No malignancy” | Acinic cell carcinoma | B | No revision surgery (multiple co-morbidities) | Interpretative |
| 6 | “No malignancy” | G1 mucoepidermoid carcinoma | B | Revision surgery | Interpretative |
| 7 | Pleomorphic adenoma | Low-grade adenocarcinoma ex pleomorphic adenoma | B | Revision surgery | Sampling |
| 8 | Basal cell adenoma | Adenoid cystic carcinoma | B | No revision surgery (complete parotidectomy already performed) | Interpretative |
| 9 | Pleomorphic adenoma | Myoepithelial carcinoma ex pleomorphic adenoma | B | Revision surgery | Interpretative |
| 10 | Pleomorphic adenoma | Ductal adenocarcinoma ex pleomorphic adenoma | A | Revision surgery | Sampling |
| 11 | Pleomorphic adenoma | Epithelial myoepithelial carcinoma | B | Revision surgery | Interpretative |
| 12 | Basal cell adenoma | Epithelial myoepithelial carcinoma | A | No revision surgery (subtotal parotidectomy already performed) | Interpretative |
| 13 | “No malignancy” | G1 mucoepidermoid carcinoma | B | No revision surgery (multiple co-morbidities) | Interpretative |
| 14 | Basal cell adenoma vs. pleomorphic adenoma, “no malignancy” | Secretory carcinoma | B | Tumour in accessory gland, revision surgery not required | Interpretative |
| 15 | Pleomorphic adenoma | Adenoid cystic carcinoma | B | Revision surgery | Interpretative |
| 16 | Oncocytic adenoma | G1 mucoepidermoid carcinoma | B | Revision surgery | Interpretative |
| Performance of Highly Experienced Pathologist (%) | Performance of Pathologists with Average Experience (%) | Total | p Value | |
|---|---|---|---|---|
| Malignant nature of entity correctly identified | 112/114 (98.2) | 51/65 (78.4) | 163/179 (91.1) | <0.001 |
| Histologic subtype of malignant tumour correctly identified | 112/114 (98.2) | 48/65 (73.8) | 160/179 (89.4) | <0.001 |
| Study (Year) | N | Sensitivity (%) | Specificity (%) | Inconclusive or Non-Diagnostic |
|---|---|---|---|---|
| Carvalho (1999) [27] | 153 | 61.5 | 98 | NR |
| Tew (1997) [29] | 144 | 96 | 99 | 15 |
| Iwai (1999) [30] | 167 | 96 | 99 | NR |
| Longuet (2001) [26] | 94 | 75 | 100 | 0 |
| Wong (2002) [28] | 19 | 100 | 90 | 12 |
| Ishida (2003) [31] | 152 | 93 | 99 | 0 |
| Hwang (2003) [23] | 36 | 100 | 100 | 0 |
| Seethala (2005) [25] | 61 | 74 | 100 | 7 |
| Badoual (2006) [32] | 694 | 79 | 99 | 12 |
| Zbaeren (2008) [2] | 110 | 93 | 95 | 0 |
| Upton (2007) [33] | 155 | 96 | 99 | 0 |
Publisher’s Note: MDPI stays neutral with regard to jurisdictional claims in published maps and institutional affiliations. |
© 2022 by the authors. Licensee MDPI, Basel, Switzerland. This article is an open access article distributed under the terms and conditions of the Creative Commons Attribution (CC BY) license (https://creativecommons.org/licenses/by/4.0/).
Share and Cite
Mantsopoulos, K.; Bessas, Z.; Sievert, M.; Müller, S.K.; Koch, M.; Agaimy, A.; Iro, H. Frozen Section of Parotid Gland Tumours: The Head and Neck Pathologist as a Key Member of the Surgical Team. J. Clin. Med. 2022, 11, 1249. https://doi.org/10.3390/jcm11051249
Mantsopoulos K, Bessas Z, Sievert M, Müller SK, Koch M, Agaimy A, Iro H. Frozen Section of Parotid Gland Tumours: The Head and Neck Pathologist as a Key Member of the Surgical Team. Journal of Clinical Medicine. 2022; 11(5):1249. https://doi.org/10.3390/jcm11051249
Chicago/Turabian StyleMantsopoulos, Konstantinos, Zacharias Bessas, Matti Sievert, Sarina Katrin Müller, Michael Koch, Abbas Agaimy, and Heinrich Iro. 2022. "Frozen Section of Parotid Gland Tumours: The Head and Neck Pathologist as a Key Member of the Surgical Team" Journal of Clinical Medicine 11, no. 5: 1249. https://doi.org/10.3390/jcm11051249
APA StyleMantsopoulos, K., Bessas, Z., Sievert, M., Müller, S. K., Koch, M., Agaimy, A., & Iro, H. (2022). Frozen Section of Parotid Gland Tumours: The Head and Neck Pathologist as a Key Member of the Surgical Team. Journal of Clinical Medicine, 11(5), 1249. https://doi.org/10.3390/jcm11051249

