Recent Advances in Assessment and Treatment in Kienböck’s Disease
Abstract
:1. Introduction
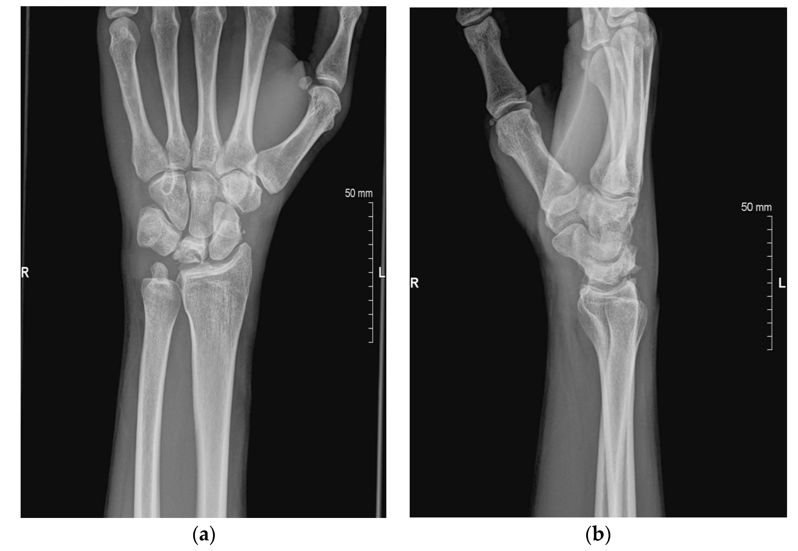
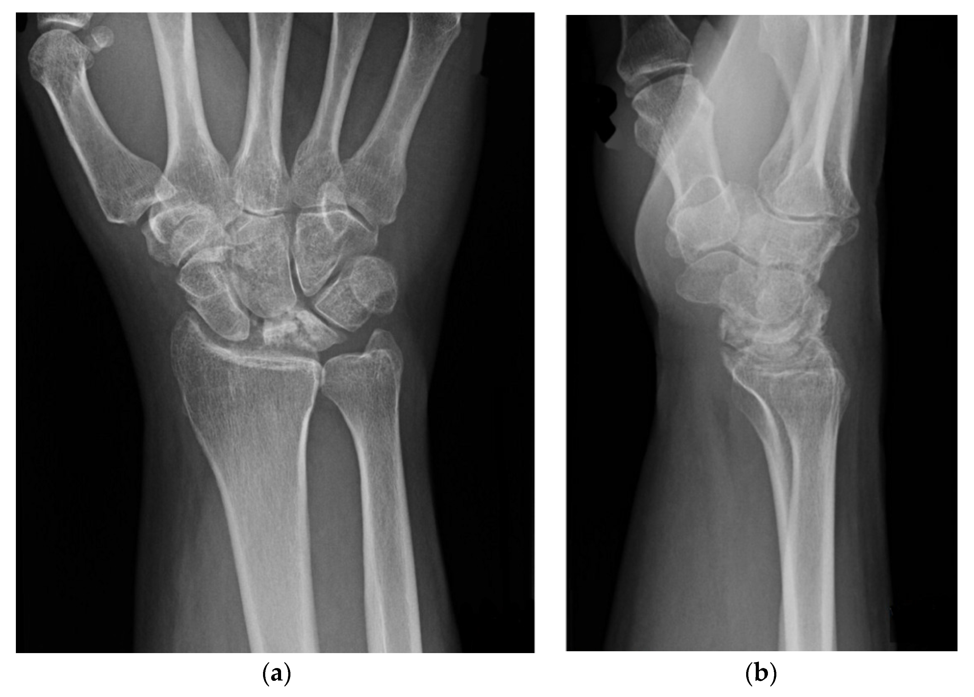
2. Staging
3. Treatment in Early Stages (Lichtman Stages I, II, and III-A)
3.1. Stage I (Lichtman Stage I)
3.2. Stage II (Lichtman Stage II, Bain 0, Schmitt Stage A)
3.3. Stage IIIA (Lichtman Stage IIIA, Bain 1, Schmitt Stage B)
4. Surgical Procedures in Late-Stage Patients (Lichtman IIIB, IIIC, and IV)
4.1. Stage IIIB, IIIC
4.2. Stage IV
5. Adjuvant Procedures
6. Summary
Funding
Institutional Review Board Statement
Informed Consent Statement
Data Availability Statement
Conflicts of Interest
References
- Arora, R.; Lutz, M.; Deml, C.; Krappinger, D.; Zimmermann, R.; Gabl, M. Long-term subjective and radiological outcome after reconstruction of Kienböck’s disease stage 3 treated by a free vascularized iliac bone graft. J. Hand Surg. Am. 2008, 33, 175–181. [Google Scholar] [CrossRef] [PubMed]
- Fontaine, C. Kienböck’s disease. Chir. Main 2015, 34, 4–17. [Google Scholar] [CrossRef] [PubMed]
- Facca, S.; Gondrand, I.; Naito, K.; Lequint, T.; Nonnenmacher, J.; Liverneaux, P. Graner’s procedure in Kienböck disease: A series of four cases with 25 years of follow-up. Chir. Main 2013, 32, 305–309. [Google Scholar] [CrossRef] [PubMed]
- Van Leeuwen, W.F.; Janssen, S.J.; ter Meulen, D.P.; Ring, D. What Is the Radiographic Prevalence of Incidental Kienböck Disease? Clin. Orthop. Relat. Res. 2016, 474, 808–813. [Google Scholar] [CrossRef] [PubMed] [Green Version]
- White, C.; Benhaim, P.; Plotkin, B. Treatments for Kienböck disease: What the radiologist needs to know. Skeletal Radiol. 2016, 45, 531–540. [Google Scholar] [CrossRef] [PubMed]
- Lluch, A.; Garcia-Elias, M. Etiology of Kienböck disease. Tech. Hand Up. Extrem. Surg. 2011, 15, 33–37. [Google Scholar] [CrossRef] [PubMed]
- Alsanawi, H. Surgical interventions for Kienbock’s disease: An update. J. Health Spec. 2017, 5, 12. [Google Scholar] [CrossRef]
- Beredjiklian, P.K. Kienböck’s disease. J. Hand Surg. Am. 2009, 34, 167–175. [Google Scholar] [CrossRef]
- Bain, G.I.; Begg, M. Arthroscopic assessment and classification of Kienbock’s disease. Tech. Hand Up. Extrem. Surg. 2006, 10, 8–13. [Google Scholar] [CrossRef]
- Bain, G.I.; Durrant, A. An articular-based approach to Kienbock avascular necrosis of the lunate. Tech. Hand Up. Extrem. Surg. 2011, 15, 41–47. [Google Scholar] [CrossRef]
- Schmitt, R.; Heinze, A.; Fellner, F.; Obletter, N.; Strühn, R.; Bautz, W. Imaging and staging of avascular osteonecroses at the wrist and hand. Eur. J. Radiol. 1997, 25, 92–103. [Google Scholar] [CrossRef]
- Kennedy, C.; Abrams, R. In Brief: The Lichtman Classification for Kienböck Disease. Clin. Orthop. Relat. Res. 2019, 477, 1516–1520. [Google Scholar] [CrossRef] [PubMed]
- Lichtman, D.M.; Lesley, N.E.; Simmons, S.P. The classification and treatment of Kienbock’s disease: The state of the art and a look at the future. J. Hand Surg. Eur. Vol. 2010, 35, 549–554. [Google Scholar] [CrossRef] [PubMed]
- Lichtman, D.M.; Pientka, W.F., II; Bain, G.I. Kienböck disease: A new algorithm for the 21st century. J. Wrist Surg. 2017, 6, 2–10. [Google Scholar] [CrossRef] [Green Version]
- DeGeorge, B.R.J.; Chawla, S.S.; Lewallen, L.; Kakar, S. Functional and radiographic disease progression in nonoperatively managed Kienböck disease. Plast. Reconstr. Surg. 2021, 147, 1117–1123. [Google Scholar] [CrossRef]
- Raven, E.E.J.; Haverkamp, D.; Marti, R.K. Outcome of Kienböck’s disease 22 years after distal radius shortening osteotomy. Clin. Orthop. Relat. Res. 2007, 460, 137–141. [Google Scholar] [CrossRef]
- Watanabe, T.; Takahara, M.; Tsuchida, H.; Yamahara, S.; Kikuchi, N.; Ogino, T. Long-term follow-up of radial shortening osteotomy for Kienbock disease. J. Bone Jt. Surg. Am. 2008, 90, 1705–1711. [Google Scholar] [CrossRef] [Green Version]
- Quenzer, D.E.; Dobyns, J.H.; Linscheid, R.L.; Trail, I.A.; Vidal, M.A. Radial recession osteotomy for Kienböck’s disease. J. Hand Surg. Am. 1997, 22, 386–395. [Google Scholar] [CrossRef]
- Daecke, W.; Lorenz, S.; Wieloch, P.; Jung, M.; Martini, A.-K. Vascularized os pisiform for reinforcement of the lunate in Kienböck’s disease: An average of 12 years of follow-up study. J. Hand Surg. Am. 2005, 30, 915–922. [Google Scholar] [CrossRef]
- Tillberg, B. Kienboeck’s disease treated with osteotomy to lengthen ulna. Acta Orthop. Scand. 1968, 39, 359–369. [Google Scholar] [CrossRef]
- Trail, I.A.; Linscheid, R.L.; Quenzer, D.E.; Scherer, P.A. Ulnar lengthening and radial recession procedures for Kienböck’s disease. Long-term clinical and radiographic follow-up. J. Hand Surg. Br. 1996, 21, 169–176. [Google Scholar] [CrossRef]
- Trumble, T.; Glisson, R.R.; Seaber, A.V.; Urbaniak, J.R. A biomechanical comparison of the methods for treating Kienböck’s disease. J. Hand Surg. Am. 1986, 11, 88–93. [Google Scholar] [CrossRef]
- Žiger, T.; Kopljar, M.; Bakota, B.; Milošević, M.; Kondža, G.; Pavić, R.; Čoklo, M. Experimental shortening of the radius in the treatment of Kienböck’s disease. Injury 2021, 52 (Suppl. 5), S7–S10. [Google Scholar] [CrossRef]
- Kolovich, G.P.; Kalu, C.M.K.; Ruff, M.E. Current trends in treatment of Kienböck disease: A survey of hand surgeons. Hand 2016, 11, 113–118. [Google Scholar] [CrossRef] [PubMed] [Green Version]
- Bhardwaj, P.; Varadharajan, V.; Godora, N.; Sabapathy, S.R. Kienbock’s disease: Treatment options—A search for the apt! J. Hand Surg. Asian-Pac. Vol. 2021, 26, 142–151. [Google Scholar] [CrossRef] [PubMed]
- Wada, A.; Miura, H.; Kubota, H.; Iwamoto, Y.; Uchida, Y.; Kojima, T. Radial closing wedge osteotomy for Kienböck’s disease: An over 10 year clinical and radiographic follow-up. J. Hand Surg. Br. 2002, 27, 175–179. [Google Scholar] [CrossRef] [PubMed]
- Gay, A.M.; Parratte, S.; Glard, Y.; Mutaftschiev, N.; Legre, R. Isolated capitate shortening osteotomy for the early stage of Kienböck disease with neutral ulnar variance. Plast. Reconstr. Surg. 2009, 124, 560–566. [Google Scholar] [CrossRef]
- Bain, G.I.; Smith, M.L.; Watts, A.C. Arthroscopic core decompression of the lunate in early stage Kienbock disease of the lunate. Tech. Hand Up. Extrem. Surg. 2011, 15, 66–69. [Google Scholar] [CrossRef]
- Mehrpour, S.R.; Kamrani, R.S.; Aghamirsalim, M.R.; Sorbi, R.; Kaya, A. Treatment of Kienböck disease by lunate core decompression. J. Hand Surg. Am. 2011, 36, 1675–1677. [Google Scholar] [CrossRef]
- Kamrani, R.S.; Najafi, E.; Azizi, H.; Oryadi Zanjani, L. Outcomes of arthroscopic lunate core decompression versus radial osteotomy in treatment of Kienböck disease. J. Hand Surg. Am. 2021. [Google Scholar] [CrossRef]
- Schulz, C.U. Metaphyseal core decompression of the distal radius for early lunate necrosis. J. Hand Surg. Asian Pac. Vol. 2019, 24, 276–282. [Google Scholar] [CrossRef] [PubMed]
- Illarramendi, A.A.; Schulz, C.; De Carli, P. The surgical treatment of Kienböck’s disease by radius and ulna metaphyseal core decompression. J. Hand Surg. Am. 2001, 26, 252–260. [Google Scholar] [CrossRef] [PubMed]
- Illarramendi, A.A.; De Carli, P. Radius decompression for treatment of kienböck disease. Tech. Hand Up. Extrem. Surg. 2003, 7, 110–113. [Google Scholar] [CrossRef] [PubMed]
- Sevimli, R.; Ertem, K.; Aslanturk, O.; Ari, B. Midterm results of radial metaphyseal core decompression on Kienböck’s disease. Eur. Rev. Med. Pharmacol. Sci. 2017, 21, 5557–5561. [Google Scholar] [CrossRef]
- Bochud, R.C.; Büchler, U. Kienböck’s disease, early stage 3—Height reconstruction and core revascularization of the lunate. J. Hand Surg. Br. 1994, 19, 466–478. [Google Scholar] [CrossRef]
- Moran, S.L.; Cooney, W.P.; Berger, R.A.; Bishop, A.T.; Shin, A.Y. The use of the 4 + 5 extensor compartmental vascularized bone graft for the treatment of Kienböck’s disease. J. Hand Surg. Am. 2005, 30, 50–58. [Google Scholar] [CrossRef]
- Nakagawa, M.; Omokawa, S.; Kira, T.; Kawamura, K.; Tanaka, Y. Vascularized bone grafts from the dorsal wrist for the treatment of Kienböck disease. J. Wrist Surg. 2016, 5, 98–104. [Google Scholar] [CrossRef] [Green Version]
- Tsantes, A.G.; Papadopoulos, D.V.; Gelalis, I.D.; Vekris, M.D.; Pakos, E.E.; Korompilias, A.V. The efficacy of vascularized bone grafts in the treatment of scaphoid nonunions and kienbock disease: A systematic review in 917 Patients. J. Hand Microsurg. 2019, 11, 6–13. [Google Scholar] [CrossRef]
- Hong, I.-T.; Lee, S.; Jang, G.C.; Kim, G.; Han, S.-H. Kienböck’s disease with non-negative ulnar variance: Treatment with combined radial wedge and shortening osteotomy. Orthopade 2019, 48, 96–101. [Google Scholar] [CrossRef]
- De Carli, P.; Zaidenberg, E.E.; Alfie, V.; Donndorff, A.; Boretto, J.G.; Gallucci, G.L. Radius core decompression for Kienböck disease stage IIIA: Outcomes at 13 years follow-up. J. Hand Surg. Am. 2017, 42, 752.e1–752.e6. [Google Scholar] [CrossRef]
- Higgins, J.P.; Bürger, H.K. Osteochondral flaps from the distal femur: Expanding applications, harvest sites, and indications. J. Reconstr. Microsurg. 2014, 30, 483–490. [Google Scholar] [CrossRef] [PubMed] [Green Version]
- Watson, H.K.; Ryu, J.; DiBella, A. An approach to Kienböck’s disease: Triscaphe arthrodesis. J. Hand Surg. Am. 1985, 10, 179–187. [Google Scholar] [CrossRef]
- Bain, G.I.; Ondimu, P.; Hallam, P.; Ashwood, N. Radioscapholunate arthrodesis—A prospective study. Hand Surg. 2009, 14, 73–82. [Google Scholar] [CrossRef] [PubMed]
- Croog, A.S.; Stern, P.J. Proximal row carpectomy for advanced Kienböck’s disease: Average 10-year follow-up. J. Hand Surg. Am. 2008, 33, 1122–1130. [Google Scholar] [CrossRef]
- Ali, M.H.; Rizzo, M.; Shin, A.Y.; Moran, S.L. Long-term outcomes of proximal row carpectomy: A minimum of 15-year follow-up. Hand 2012, 7, 72–78. [Google Scholar] [CrossRef] [Green Version]
- Liu, M.; Zhou, H.; Yang, Z.; Huang, F.; Pei, F.; Xiang, Z. Clinical evaluation of proximal row carpectomy revealed by follow-up for 10–29 years. Int. Orthop. 2009, 33, 1315–1321. [Google Scholar] [CrossRef] [Green Version]
- Lu, L.J.; Gong, X.; Wang, K.L. Vascularized capitate transposition for advanced Kienböck disease: Application of 40 cases and their anatomy. Ann. Plast. Surg. 2006, 57, 637–641. [Google Scholar] [CrossRef]
- Li, J.; Pan, Z.; Zhao, Y.; Hu, X.; Zhao, X. Capitate osteotomy and transposition for type III Kienböck’s disease. J. Hand Surg. Eur. Vol. 2018, 43, 708–711. [Google Scholar] [CrossRef]
- Ogawa, T.; Ochiai, N.; Nishiura, Y.; Tanaka, T.; Hara, Y. A new treatment strategy for Kienböck’s disease: Combination of bone marrow transfusion, low-intensity pulsed ultrasound therapy, and external fixation. J. Orthop. Sci. Off. J. Jpn. Orthop. Assoc. 2013, 18, 230–237. [Google Scholar] [CrossRef] [Green Version]
- Rauhaniemi, J.; Tiusanen, H.; Sipola, E. Total wrist fusion: A study of 115 patients. J. Hand Surg. Am. 2005, 30, 217–219. [Google Scholar] [CrossRef]
- Salomon, G.D.; Eaton, R.G. Proximal row carpectomy with partial capitate resection. J. Hand Surg. Am. 1996, 21, 2–8. [Google Scholar] [CrossRef]
- Schweizer, A.; von Känel, O.; Kammer, E.; Meuli-Simmen, C. Long-term follow-up evaluation of denervation of the wrist. J. Hand Surg. Am. 2006, 31, 559–564. [Google Scholar] [CrossRef] [PubMed]
- Yajima, H.; Ono, H.; Tamai, S. Temporary internal fixation of the scaphotrapezio-trapezoidal joint for the treatment of kienbock’s disease: A preliminary study. J. Hand Surg. Am. 1998, 23, 402–410. [Google Scholar] [CrossRef]
- Van den Dungen, S.; Dury, M.; Foucher, G.; Marin Braun, F.; Loréa, P. Conservative treatment versus scaphotrapeziotrapezoid arthrodesis for Kienbock’s disease. A retrospective study. Chir. Main 2006, 25, 141–145. [Google Scholar] [CrossRef]
- Kleinman, W.B.; Carroll IV, C. Scapho-trapezio-trapezoid arthrodesis for treatment of chronic static and dynamic scapho-lunate instability: A 10-year perspective on pitfalls and complications. J. Hand Surg. Am. 1990, 15, 408–414. [Google Scholar] [CrossRef]
- Green, D.P.; Perreira, A.C.; Longhofer, L.K. Proximal row carpectomy. J. Hand Surg. Am. 2015, 40, 1672–1676. [Google Scholar] [CrossRef]
- Fukushima, W.Y.; De Moraes, V.Y.; Penteado, F.T.; Faloppa, F.; Dos Santos, J.B.G. Does dorsal capsule interposition improve the results of proximal row carpectomy in Kienböck’s disease? One year randomized trial. SICOT-J 2015, 1, 25. [Google Scholar] [CrossRef] [Green Version]
- Culp, R.W.; Bachoura, A.; Gelman, S.E.; Jacoby, S.M. Proximal row carpectomy combined with wrist hemiarthroplasty. J. Wrist Surg. 2012, 1, 39–46. [Google Scholar] [CrossRef] [Green Version]
- Mir, X.; Barrera-Ochoa, S.; Lluch, A.; Llusa, M.; Haddad, S.; Vidal, N.; Font, J. New surgical approach to advanced Kienböck disease: Lunate replacement with pedicled vascularized scaphoid graft and radioscaphoidal partial arthrodesis. Tech. Hand Up. Extrem. Surg. 2013, 17, 72–79. [Google Scholar] [CrossRef] [Green Version]
- Tan, Z.; Xiang, Z.; Huang, F.; Yang, Z.; Xiao, C.; Duan, X. Long-term results of vascularized os pisiform transfer for advanced Kienböck disease after follow-up for at least 15 years A case series. Medicine 2018, 97, e13229. [Google Scholar] [CrossRef]
- Matsumoto, T.; Kakinoki, R.; Ikeguchi, R.; Ohta, S.; Akagi, M.; Matsuda, S. Vascularized bone graft to the lunate combined With temporary scaphocapitate fixation for treatment of stage III Kienböck disease: A report of the results, a minimum of 2 years after surgery. J. Hand Surg. Am. 2018, 43, 773.e1–773.e7. [Google Scholar] [CrossRef] [PubMed]
- Shin, A.Y.; Bishop, A.T. Pedicled vascularized bone grafts for disorders of the carpus: Scaphoid nonunion and Kienbock’s disease. J. Am. Acad. Orthop. Surg. 2002, 10, 210–216. [Google Scholar] [CrossRef] [PubMed]
- Zaidemberg, C.; Siebert, J.W.; Angrigiani, C. A new vascularized bone graft for scaphoid nonunion. J. Hand Surg. Am. 1991, 16, 474–478. [Google Scholar] [CrossRef]
- Heymans, R.; Adelmann, E.; Koebke, J. Anatomical bases of the pediculated pisiform transplant and the intercarpal fusion by graner in Kienböck’s disease. Surg. Radiol. Anat. 1992, 14, 195–201. [Google Scholar] [CrossRef] [PubMed]
- Doi, K.; Oda, T.; Soo-Heong, T.; Nanda, V. Free vascularized bone graft for nonunion of the scaphoid. J. Hand Surg. Am. 2000, 25, 507–519. [Google Scholar] [CrossRef]
- Doi, K.; Sakai, K. Vascularized periosteal bone graft from the supracondylar region of the femur. Microsurgery 1994, 15, 305–315. [Google Scholar] [CrossRef]
- Bain, G.I.; Yeo, C.J.; Morse, L.P. Kienböck Disease: Recent advances in the basic science, assessment and treatment. Hand Surg. 2015, 20, 352–365. [Google Scholar] [CrossRef]
- Fujiwara, H.; Oda, R.; Morisaki, S.; Ikoma, K.; Kubo, T. Long-term results of vascularized bone graft for stage III Kienböck disease. J. Hand Surg. Am. 2013, 38, 904–908. [Google Scholar] [CrossRef]
- Ogawa, T.; Ochiai, N.; Hara, Y. Bone marrow from the iliac crest versus from the distal radius for revitalizing the necrotic lunate for Kienböck disease. J. Hand Surg. Eur. Vol. 2020, 45, 299–301. [Google Scholar] [CrossRef]
- Lee, J.S.; Park, M.J.; Kang, H.J. Scaphotrapeziotrapezoid arthrodesis and lunate excision for advanced kienböck disease. J. Hand Surg. Am. 2012, 37, 2226–2232. [Google Scholar] [CrossRef]
- Viljakka, T.; Tallroth, K.; Vastamäki, M. Long-term clinical outcome after titanium lunate arthroplasty for Kienböck disease. J. Hand Surg. Am. 2018, 43, 945.e1–945.e10. [Google Scholar] [CrossRef] [PubMed]
- Xie, M.-M.; Tang, K.-L.; Yuan, C.-S. 3D printing lunate prosthesis for stage IIIc Kienböck’s disease: A case report. Arch. Orthop. Trauma Surg. 2018, 138, 447–451. [Google Scholar] [CrossRef] [PubMed] [Green Version]
- Ma, Z.; Liu, Z.; Shi, Q.; Li, T.; Liu, Z.; Yang, Z.; Liu, Y.; Xu, Y.; Dai, K.; Yu, C.; et al. Varisized 3D-printed lunate for Kienböck’s disease in different stages: Preliminary results. Orthop. Surg. 2020, 12, 792–801. [Google Scholar] [CrossRef] [PubMed]
- Shimizu, T.; Omokawa, S.; Kawamura, K.; Nakanishi, Y.; Onishi, T.; Nagashima, M.; Hasegawa, H.; Kurata, S.; Tanaka, Y. Arthroscopic lunate excision provides excellent outcomes for low-demand patients with advanced Kienböck disease. Arthrosc. Sport. Med. Rehabil. 2021, 3, e1387–e1394. [Google Scholar] [CrossRef]
- Ayik, O.; Demirel, M.; Turgut, N.; Altas, O.; Durmaz, H. Arthroscopic debridement and arthrolysis for the treatment of advanced Kienböck’s dsease: 18-month and 5-year postoperative results. J. Wrist Surg 2021, 10, 280–285. [Google Scholar]
- Ando, Y.; Yasuda, M.; Kazuki, K.; Hidaka, N.; Yoshinaka, Y. Temporary scaphotrapezoidal joint fixation for adolescent Kienböck’s disease. J. Hand Surg. Am. 2009, 34, 14–19. [Google Scholar] [CrossRef]
- Ikeguchi, R.; Aoyama, T.; Kakinoki, R.; Ueda, M.; Kasai, Y.; Maekawa, T.; Tada, H.; Yamamoto, M.; Matsuda, S.; Nakamura, T.; et al. A clinical trial for Kienböck disease by cultured autologous multipotent mesenchymal stromal cells augmented with vascularized bone grafts: A report of five cases. J. Orthop. Sci. 2019, 24, 750–756. [Google Scholar] [CrossRef]




| Stage | Radiographs | MRI |
|---|---|---|
| I | Normal | ↓ T1 signal, lunate enhancement after contrast administration |
| II | Increased density without lunate collapse | ↓ T1 signal, variable T2 signal |
| IIIA | Lunate collapse, Radioscaphoid angle < 60° | ↓ T1 signal, variable T2 signal |
| IIIB | Lunate collapse with scaphoid palmar flexion (radioscaphoid angle > 60°) | ↓ T1 signal, variable T2 signal |
| IIIC | Lunate collapse with coronal lunate fracture (chronic) | ↓ T1 signal, variable T2 signal |
| IV | Lunate collapse with radiocarpal or midcarpal degenerative arthritis | ↓ T1 signal, variable T2 signal |
| Stage of Kienböck’s Disease in Lichtman Scale | Sub-Stage | Leading Treatment | |
|---|---|---|---|
| Aim of Treatment | Procedure | ||
| I | Preventing progression [14] | Usually nonoperative (immobilization with a splint or short arm cast for at least three months) [14,15] | |
| II | With a negative ulnar variance | Lunate unloading, decompression and revascularization [14] | radial shortening osteotomy (selectively or with vascularized pisiform bone grafting) [16,17,18] or lunate core decompression [29,30] |
| With a positive or neutral ulnar variance | Lunate unloading, decompression and revascularization [14] | capitate shortening osteotomy or radial closing wedge osteotomy [26,27] or lunate core decompression [29,30] And/or revascularization indirect: radial core decompression [33,34] or direct: VBG 4 + 5 ECA [37,38] | |
| III | A | Lunate reconstruction through lunate unloading and revascularization [14,25] | With negative ulnar variance: radial shortening osteotomy [16,17,18] and/or revascularization indirect: radial core decompression [33,40] or direct: VBG 4 + 5 ECA [37,38] or Vascularized medial femoral trochlea graft (MFT) [41] With positive or neutral ulnar variance: radial closing wedge osteotomy [26] and/or revascularization indirect: radial core decompression [33,40] or direct: VBG 4 + 5 ECA [37,38] |
| B | Preventing carpal collapse [8] | Choice according to a highly individualized approach among: - Scaphocapitate (SC) fusion [8] - Scaphotrapezio-trapezoid (STT) Fusion [42] -Radioscapholunate (RSL) arthrodesis [43] - Proximal Row Carpectomy (PRC) [44,45,46] - Vascularized capitate transposition +/− capitate osteotomy combined with the vascularized bone transfer (modified Granner’s method) in late-stage Kienböck’s disease [47,48] - Bone marrow transfusion combined with low-intensity pulsed ultrasound [49] | |
| C | Preventing carpal collapse [8] | ||
| IV | Salvage procedures [14,50] | - Total or limited wrist arthrodesis or total wrist arthroplasty [14,50] - PRC with dorsal wrist capsule arthroplasty [51] + Additional wrist denervation can be beneficial in symptom alleviation [52] | |
| In age groups <20 y/o and >70 y/o non-operative treatment is advisable in the first place regardless of the stage of the disease [14] | |||
Publisher’s Note: MDPI stays neutral with regard to jurisdictional claims in published maps and institutional affiliations. |
© 2022 by the authors. Licensee MDPI, Basel, Switzerland. This article is an open access article distributed under the terms and conditions of the Creative Commons Attribution (CC BY) license (https://creativecommons.org/licenses/by/4.0/).
Share and Cite
Chojnowski, K.; Opiełka, M.; Piotrowicz, M.; Sobocki, B.K.; Napora, J.; Dąbrowski, F.; Piotrowski, M.; Mazurek, T. Recent Advances in Assessment and Treatment in Kienböck’s Disease. J. Clin. Med. 2022, 11, 664. https://doi.org/10.3390/jcm11030664
Chojnowski K, Opiełka M, Piotrowicz M, Sobocki BK, Napora J, Dąbrowski F, Piotrowski M, Mazurek T. Recent Advances in Assessment and Treatment in Kienböck’s Disease. Journal of Clinical Medicine. 2022; 11(3):664. https://doi.org/10.3390/jcm11030664
Chicago/Turabian StyleChojnowski, Karol, Mikołaj Opiełka, Miłosz Piotrowicz, Bartosz Kamil Sobocki, Justyna Napora, Filip Dąbrowski, Maciej Piotrowski, and Tomasz Mazurek. 2022. "Recent Advances in Assessment and Treatment in Kienböck’s Disease" Journal of Clinical Medicine 11, no. 3: 664. https://doi.org/10.3390/jcm11030664
APA StyleChojnowski, K., Opiełka, M., Piotrowicz, M., Sobocki, B. K., Napora, J., Dąbrowski, F., Piotrowski, M., & Mazurek, T. (2022). Recent Advances in Assessment and Treatment in Kienböck’s Disease. Journal of Clinical Medicine, 11(3), 664. https://doi.org/10.3390/jcm11030664

