Cardiac Involvement in Chronic Lymphocytic Leukemia/Small Lymphocytic Lymphoma
Abstract
1. Introduction
2. Cardiac Involvement in Lymphoma
3. CLL/SLL Infiltration of the Pericardium
4. CLL/SLL Patients with Lymphoma Heart Infiltration in the Myocardium and Endocardium
5. Richter Transformation in the Heart
6. Discussion
7. Summary and Conclusions
Author Contributions
Funding
Institutional Review Board Statement
Informed Consent Statement
Data Availability Statement
Acknowledgments
Conflicts of Interest
References
- Eichhorst, B.; Robak, T.; Montserrat, E.; Ghia, P.; Niemann, C.U.; Kater, A.P.; Gregor, M.; Cymbalista, F.; Buske, C.; Hillmen, P.; et al. Chronic lymphocytic leukaemia: ESMO Clinical Practice Guidelines for diagnosis, treatment and follow-up. Ann. Oncol. 2021, 32, 23–33. [Google Scholar] [CrossRef] [PubMed]
- Swerdlow, S.H.; Campo, E.; Pileri, S.A.; Harris, N.L.; Stein, H.; Siebert, R.; Advani, R.; Ghielmini, M.; Salles, G.A.; Zelenetz, A.D.; et al. The 2016 revision of the World Health Organization classification of lymphoid neoplasms. Blood 2016, 27, 2375–2390. [Google Scholar] [CrossRef]
- Alaggio, R.; Amador, C.; Anagnostopoulos, I.; Attygalle, A.D.; Araujo, I.B.D.O.; Berti, E.; Bhagat, G.; Borges, A.M.; Boyer, D.; Calaminici, M.; et al. The 5th edition of the World Health Organization Classification of Haematolymphoid Tumours: Lymphoid Neoplasms. Leukemia 2022, 36, 1720–1748. [Google Scholar] [CrossRef]
- Siegel, R.L.; Kimberly, D.; Miller, K.D.; Hannah, E.; Fuchs, H.E.; Jemal, A. Cancer statistics, 2022. CA Cancer J. Clin. 2022, 72, 7–33. [Google Scholar] [CrossRef] [PubMed]
- Scarfò, L.; Ferreri, A.J.; Ghia, P. Chronic lymphocytic leukaemia. Crit. Rev. Oncol. Hematol. 2016, 104, 169–182. [Google Scholar] [CrossRef] [PubMed]
- Condoluci, A.; Rossi, D. Biology and treatment of richter transformation. Front. Oncol. 2022, 12, 829983. [Google Scholar] [CrossRef] [PubMed]
- Hallek, M.; Cheson, B.D.; Catovsky, D.; Caligaris-Cappio, F.; Dighiero, G.; Döhner, H.; Hillmen, P.; Keating, M.; Montserrat, E.; Chiorazzi, N.; et al. iwCLL guidelines for diagnosis, indications for treatment, response assessment, and supportive management of CLL. Blood 2018, 131, 2745–2760. [Google Scholar] [CrossRef] [PubMed]
- Schwatz, J.B.; Shamsuddin, A.M. The effects of leukemia infiltrate in various organs in chronic lymphyocytic leukemia. Hum. Pathol. 1980, 12, 432–440. [Google Scholar] [CrossRef]
- Ratterman, M.; Kruczek, K.; Sulo, S.; Shanafelt, T.D.; Kay, N.E.; Nabhan, C. Extramedullary chronic lymphocytic leukemia: Systematic analysis of cases reported between 1975 and 2012. Leuk. Res. 2014, 38, 299–303. [Google Scholar] [CrossRef]
- Robak, E.; Robak, T. Skin lesions in chronic lymphocytic leukemia. Leuk. Lymphoma 2007, 48, 855–865. [Google Scholar] [CrossRef]
- Barcos, M.; Lane, W.; Gomez, G.A.; Han, T.; Freeman, A.; Preisler, H.; Henderson, E. An autopsy study of 1206 acute and chronic leukemias (1958 to 1982). Cancer 1987, 60, 827–837. [Google Scholar] [CrossRef] [PubMed]
- Reynen, K.; Köckeritz, U.; Strasser, R.H. Metastases to the heart. Ann. Oncol. 2004, 15, 375–381. [Google Scholar] [CrossRef] [PubMed]
- Gordon, M.J.; Danilova, O.; Spurgeon, S.; Danilov, A.V. Cardiac non-Hodgkin’s lymphoma: Clinical characteristics and trends in survival. Eur. J. Haematol. 2016, 97, 445–452. [Google Scholar] [CrossRef] [PubMed]
- Patel, J.; Melly, L.; Aheppard, M.N. Primary cardiac lymphoma: B- and T-cell cases at a specialist UK centre. Ann. Oncol. 2010, 21, 1041–1045. [Google Scholar] [CrossRef]
- Petersen, C.D.; Robinson, W.A.; Kurnick, J.E. Involvement of the heart and pericardium in the malignant lymphomas. Am. J. Med. Sci. 1976, 272, 161–165. [Google Scholar] [CrossRef]
- Zhao, Y.; Huang, S.; Ma, C.; Zhu, H.; Bo, J. Clinical features of cardiac lymphoma: An analysis of 37 cases. J. Int Med. Res. 2021, 49, 300060521999558. [Google Scholar] [CrossRef]
- Habboush, H.W.; Dhundee, J.; Okati, D.A.L.; Davies, A.G. Constrictive pericarditis in B cell chronic lymphatic leukemia. Clin. Lab. Haem 1996, 18, 117–119. [Google Scholar] [CrossRef]
- Danilova, O.V.; Danilov, A.V. Pericardial involvement by chronic lymphocytic leukemia/small lymphocytic lymphoma. Blood 2015, 126, 424. [Google Scholar] [CrossRef]
- Ho, N.; Myles, J.L.; Johnston, D.R.; Eicher, D.M.; Kwon, D.H.; Klein, A.L.; Collier, P. Pericardial involvement with chronic lymphocytic leukemia/small lymphocytic lymphoma: A rare case of constrictive pericarditis. CASE 2018, 2, 147–150. [Google Scholar] [CrossRef]
- Lin, E.; Boire, A.; Hemmige, V.; Husain, A.N.; Sorrentino, M.; Nathan, S.; Akhter, S.A.; Dickstein, J.; Archer, S.L. Cardiac tamponade mimicking tuberculous pericarditis as the initial presentation of chronic lymphocytic leukemia in a 58-year-old woman: A case report. J. Med. Case Rep. 2010, 4, 246. [Google Scholar] [CrossRef]
- Giannini, O.; Schonenberger-Berzins, R. Fulminant cardiac tamponade in chronic lymphocytic leukaemia. Ann. Oncol. 1997, 8, 1168–1169. [Google Scholar] [CrossRef] [PubMed]
- Nnaoma, C.; Chika-Nwosuh, O.; Mbonu, I.; Sossou, C.W.; Okonkwo, C.C.; Isedeh, A. Atypical presentation of small lymphocytic lymphoma with pericardial effusion. Am. J. Case Rep. 2019, 20, 1128–1131. [Google Scholar] [CrossRef] [PubMed]
- Samara, M.A.; Brennan, J.M.; Van Besien, K.; Larson, R.A. Cardiac tamponade in a patient with chronic lymphocytic leukemia. Leuk. Lymphoma 2007, 48, 829–832. [Google Scholar] [CrossRef]
- Morris, A.L.; Colbourne, T.; Kirkpatrick, I.; Banerji, V. Complete resolution of chylopericardium after chemotherapy for chronic lymphocytic leukemia. Curr. Oncol. 2019, 26, e696–e699. [Google Scholar] [CrossRef]
- Almeda, F.Q.; Adler, S.; Rosenson, R.S. Metastatic tumor infiltration of the pericardium masquerading as pericardial tamponade. Am. J. Med. 2001, 111, 504–505. [Google Scholar] [CrossRef]
- Applefeld, M.M.; Milner, S.D.; Vigorito, R.D.; Shamsuddin, A.M. Congestive heart failure and endocardial fibroelastosis caused by chronic lymphocytic leukemia. Cancer 1980, 46, 1479–1484. [Google Scholar] [CrossRef]
- Meltzer, V.; Korompai, F.L.; Mathur, V.S.; Guinn, G.A. Surgical treatment of leukemic involvement of the mitral valve. Chest 1975, 67, 119–121. [Google Scholar] [CrossRef] [PubMed]
- Chisté, M.; Vrotsos, E.; Zamora, C.; Martinez, A. Chronic lymphocytic leukemia/small lymphocytic lymphoma involving the aortic valve. Ann. Diagn. Pathol. 2013, 17, 295–297. [Google Scholar] [CrossRef]
- Posch, M.L.; Prince, S.A.; Thompson, K.; Modi, F.; Jordan, J. Chronic lymphocytic leukemia of the aortic valve: A case report. Cureus 2021, 13, e12517. [Google Scholar] [CrossRef]
- Bennett, S.; Ravindran, R.; Duckett, S.; Cubukcu, A.; Jones, H.; Kwok, C.S. Acute coronary syndrome secondary to cardiac infiltration and coronary occlusion of chronic lymphocytic leukemia—A case report. J. Cardiol. Cases 2020, 23, 257–260. [Google Scholar] [CrossRef]
- Assiri, A.H.; Lamba, M.; Veinot, J.P. Chronic lymphocytic leukemia involving the coronary arteries with accompanying acute myocardial infarction. Cardiovasc. Pathol. 2005, 14, 324–326. [Google Scholar] [CrossRef] [PubMed]
- Betting, T.; Kemp, W. Chronic lymphocytic leukemia with infiltration of the coronary arteries as an incidental autopsy finding. Am. J. Forensic. Med. Pathol. 2021, 42, e5–e7. [Google Scholar] [CrossRef] [PubMed]
- Htet, Z.M.; Gomez, C.; Ali, A.; Nair, S.; Karim, M. Multiple faces of chronic lymphocytic leukaemia: A patient with renal, cardiac, and skeletal complications. Case Rep. Nephrol. 2019, 2019, 5390235. [Google Scholar] [CrossRef] [PubMed]
- Robak, T.; Kasprzak, J.; Jesionek-Kupnicka, D.; Soin, M.; Robak, P. Small lymphocytic lymphoma in the heart twenty years after lymphoma diagnosis. Leuk. Lymphoma 2022, in press. [Google Scholar]
- Xu, L.; Drachenburg, C.; Burke, A. Intimal IgM lambda paraprotein deposition in myocardial arteries in acute myocardial infarction and sudden death. Pathology 2011, 43, 732–734. [Google Scholar] [CrossRef]
- Zdrenghea, M.; Bagacean, C.; Renaudineau, Y.; Salaun, P.Y.; Marin, H.; Pop, D.; Tempescul, A. Isolated cardiac richter syndrome: A case report. Ann. Hematol. 2017, 96, 147–149. [Google Scholar] [CrossRef]
- Marra, A.; Adamo, F.; Baldoni, S.; Laurenti, M.E.; Giansanti, M.; Pasquino, S.; Bigerna, B.; Sorcini, D.; Stella, A.; Guarente, V.; et al. Richter‘s transformation in the heart. Lancet Oncol. 2021, 22, e341. [Google Scholar] [CrossRef]
- Pudis, M.; Gràcia-Sánchez, L.; Muñoz-Palomar, A.; Sánchez-Rodríguez, I.E.; Cortés-Romera, M. Richter’s transformation with isolated cardiac involvement diagnosed by 2-[18F]FDG PET/CT scan. J. Nucl. Cardiol. 2021, 1–4. [Google Scholar] [CrossRef]
- Vanheste, R.; Vanhoenacker, P.; D’Haenens, P. Primary cardiac lymphoma. JBR-BTR 2007, 90, 109–111. [Google Scholar]
- Schoen, F.J.; Berger, B.M.; Guerina, N.G. Cardiac effects of noncardiac neoplasms. Cardiol. Clin. 1984, 2, 657–670. [Google Scholar] [CrossRef]
- Blank, N.; Castellino, R.A. The intrathoracic manifestations of the malignant lymphomas and the leukemias. Semin. Roentgenol. 1980, 15, 227–245. [Google Scholar] [CrossRef]
- Wong, D.W.; Guthaner, D.F.; Gordon, E.P.; Mitchell, R.S. Lymphoma of the heart. Cathet. Cardiovasc. Diagn. 1984, 10, 377–384. [Google Scholar] [CrossRef] [PubMed]
- El Sayed, M.J.; Gharzuddin, W.; Kharfan-Dabaja, M.A. T-cell acute lymphoblastic leukemia presenting as a cardiac tamponade. Austin J. Emerg. Crit. Care Med. 2014, 1, 4. [Google Scholar]
- McDonnell, P.J.; Mann, R.B.; Bulkley, B.H. Involvement of the heart by malignant lymphoma: A clinicopathologic study. Cancer 1982, 49, 944–951. [Google Scholar] [CrossRef]
- Jeudy, J.; Burke, A.P.; Frazier, A.A. Cardiac Lymphoma. Radiol. Clin. North Am. 2016, 54, 689–710. [Google Scholar] [CrossRef]
- Hwang, Y.Y.; Fan, K.; Lam, Y.M.; Chan, W.S.; Cheung, S.; Wang, E.P.; Au, W.Y. Primary cardiac lymphoma presenting with right heart mass and bradycardia. Ann. Hematol. 2007, 86, 685–686. [Google Scholar] [CrossRef]
- Laham, R.J.; Cohen, D.J.; Kuntz, R.E.; Baim, D.S.; Lorell, B.H.; Simons, M. Pericardial effusion in patients with cancer: Outcome with treatment for cardiac invasive Burkitt’s lymphoma. Ann. Hematol. 2007, 86, 687–690. [Google Scholar]
- Laham, R.J.; Cohen, D.J.; Kuntz, R.E.; Baim, D.S.; Lorell, B.H.; Simons, M. Pericardial effusion in patients with cancer: Outcome with contemporary management strategies. Heart 1996, 75, 67–71. [Google Scholar] [CrossRef] [PubMed]
- Nakagava, Y.; Ikeda, U.; Hirose, M.; Ubukata, S.; Katsuki, T.A.; Kaminishi, Y.; Saito, T.; Hironaka, M.; Izumi, T.; Shimada, K. Successful treatment of primary cardiac lymphoma with monoclonal CD20 antibody (rituximab). Circ. J. 2004, 68, 172–173. [Google Scholar] [CrossRef]
- Hajra, A.; Bandyopadhyay, D.; Layek, M.; Mukhopadhyay, S. Cardiac tamponade as initial presentation of Hodgkin lymphoma. J. Clin. Imaging Sci. 2015, 5, 67. [Google Scholar] [CrossRef]
- Nagamine, K.; Noda, H. Two cases of primary cardiac lymphoma presentinc with pericardial effusion and cardiac tamponade. Jpn. Circ. J. 1990, 54, 1158–1164. [Google Scholar] [CrossRef] [PubMed]
- Almagro, U.A.; Remeniuk, E. Non-Hodgkin’s lymphoma presenting as malignant pericardial effusion and cardic tamponade. Hum. Pathol. 1985, 16, 315–317. [Google Scholar] [CrossRef] [PubMed]
- Wilhite, D.B.; Quigley, R.L. Occult cardiac lymphoma presenting with cardiac tamponade. Tex. Heart Inst. J. 2003, 30, 62–64. [Google Scholar] [PubMed]
- Shareef, A.M.; Eshaq, A.M.; Alshawaf, R.; Alharthi, E.; Al Muslat, A.A.; AbuDawas, R.; AlAmodi, A.A. Case study-based systematic review of literature on lymphomaassociated cardiac tamponade. Contemp. Oncol. 2021, 25, 57–63. [Google Scholar]
- Gardiner, D.S.; Lindop, G.B. Coronary artery aneurysm due to primary cardiac lymphoma. Histopathology 1989, 15, 537–540. [Google Scholar] [CrossRef]
- Champeaux, A.L.; Blaser, J.L.; Myers, J.B.; Schachter, D.T. Multiple myeloma involving the myocardium and coronary vessels. Arch. Pathol. Lab. Med. 2000, 124, 910–912. [Google Scholar] [CrossRef]
- Gallo, G.; Goñi, F.; Boctor, F.; Vidal, R.; Kumar, A.; Stevens, F.J.; Frangione, B.; Ghiso, J. Light chain cardiomyopathy. Structural analysis of the light chain tissue deposits. Am. J. Pathol. 1996, 148, 1397–1406. [Google Scholar]
- Peng, S.K.; French, W.J.; Cohen, A.H.; Fausel, R.E. Light chain cardiomyopathy associated with small-vessel disease. Arch. Pathol. Lab. Med. 1988, 112, 844–846. [Google Scholar]
- Yalonetsky, S.; Mishaly, D.; Ben-Barak, A.; Lorber, A. Mitral valve destruction by Hodgkin’s lymphoma-associated Loefler endocarditis. Pediatr. Cardiol. 2008, 29, 983–985. [Google Scholar] [CrossRef]
- Miller, D.V.; Firchau, D.J.; Mc Clure, R.F.; Kurtin, P.J.; Feldman, A.L. Epstein-Barr virus–associated diffuse large B-cell lymphoma arising on cardiac prostheses. Am. J. Surg. Pathol. 2010, 34, 377–384. [Google Scholar] [CrossRef]
- Berrio, G.; Suryadevara, A.; Singh, N.K.; Wesly, O.H. Diffuse large B-cell lymphoma in an aortic valve allograft. Tex. Heart Inst. J. 2010, 37, 492–493. [Google Scholar] [PubMed]
- Furihata, M.; Ido, E.; Iwata, J.; Sonobe, H.; Ohtsuki, Y.; Takata, J.; Chikamori, T.; Doi, Y. Adult T cell leukemia/lymphoma with massive involvement of cardiac muscle and valves. Pathol. Int. 1998, 48, 221–224. [Google Scholar] [CrossRef] [PubMed]
- Takata, J.; Taguchi, H.; Miyoshi, I.; Doi, Y.L. Cardiac valve invasion in chronic adult T cell leukaemia. Short Cases Cardiol. 1998, 80, 311–312. [Google Scholar] [CrossRef] [PubMed]
- O’Mahony, D.; Debnath, I.; Janik, J.; Aisner, D.; Jaffe, E.; Waldmann, T.; Morris, J. Cardiac involvement with human T-cell lymphotropic virus type-1–associated adult T-cell leukemia/lymphoma: The NIH experience. Leuk. Lymphoma 2008, 49, 439–446. [Google Scholar] [CrossRef] [PubMed]



| Authors | Age/Sex | CLL/SLL Characteristics | Cardiac Manifestation | Treatment after Cardiac Diagnosis | Response to Treatment |
|---|---|---|---|---|---|
| Habboush et al., 1996 [17] | 55/F | Asymptomatic CLL for 5 months | Thickened pericardium over the right ventricle, at postmortem thickened and hemorrhagic pericardium with fibrinous exudate, histologically marked CLL/SLL involvement of the pericardium | Anterior pericardiectomy via a median sternotomy | At the post-operative period, development of supraventricular tachycardia, hypotension and cardiac arrest. |
| Danilova et al. 2015 [18] | 71/M | No previous CLL/SLL diagnosis, CBC normal | Bilateral pleural effusions, pericardial effusion with thickened pericardium, and constrictive heart physiology; histopathology—CLL/SLL in pericardium and BM, imaging studies revealed ascites, and scattered lymphadenopathy | Total pericardiectomy, subsequent treatment with FR. | Patient died from infection complication, no residual CLL/SLL in postmortem examination. |
| Ho et al. 2018 [19] | 57/M | No previous CLL/SLL diagnosis, CBC normal | CLL/SLL involvement of the pericardium, symptoms of constrictive pericarditis, CT imaging–thickening of the pericardium with pericardial effusion multiple anterior mediastinal and precarinal lymph nodes. | Radical pericardiectomy with subsequent BR treatment | Improved breathing and exercise tolerance after pericardiectomy; free of symptoms >1 year postoperatively and BR therapy |
| Lin et al. 2010 [20] | 58/W | CLL/SLL diagnosis, simultaneous with cardiac involvement | Cardiomegaly and a small left pleural effusion, mediastinal lymphadenopathy and a large pericardial effusion in CT, with evidence of right ventricular collapse, the thickened pericardium between 0.1 and 0.3 cm. | Pericardiocentesis, pericardial involvement by CLL cells, no chemotherapy | Free from symptomatic disease at one year follow-up |
| Giannini et al. 1997 [21] | 78/M | CLL (stage Rai 0), no treatment | Nausea and breathlessness after brain surgery, one year after CLL diagnosis, postmortem pericardium contained 1000 mL of serosanguineous fluid with CLL/SLL cells, generalized lymphoadenopathy, hepato-splenomegaly, and infiltrates of kidneys, lungs and liver | No specific treatment initiated | The patient died in cardiogenic shock. |
| Nnaoma et al. 2019 [22] | 61/W | No previous CLL/SLL diagnosis | Pericardial effusion with a compressed right atrium, pericardial fluid and BM biopsy consistent with a diagnosis of SLL/SLL. | Pericardiocentesis followed by BR with G-CSF | Successful outcome following percutaneous pericardiocentesis and immunochemotherapy. |
| Samara et al. 2007 [23] | 73/M | CLL Rai 0, no treatment | Tachypnea, ECG—sinus tachycardia 5 years from CLL diagnosis, moderate cardiomegaly with small pleural effusions in chest radiograph, TTE—large pericardial effusion. | Leukapheresis—initial clinical response, further management was initiated as an outpatient | No echocardiographic recurrence of pericardial fluid. |
| Morris et al. 2019 [24] | 65/W | Previous CLL diagnosis treated with fludarabine | Pleuritic chest pain, pericardial effusion with progressive lymphadenopathy, 3 years after CLL diagnosis, pericardial fluid with CLL cells, progression of prior maxillary, mediastinal, and hilar adenopathy, with mild focal consolidation at the left lung base. | Complete evacuation of pericardial effusion by catheter drainage, 6 cycles of Chl + Obi | Complete disappearance of the pericardial effusion. No recurrence of the pericardial effusion 3 years after chemotherapy. |
| Almeda et al. 2001 [25] | 64/M | Previous CLL diagnosis | 4-month history of dyspnea, malignant replacement of the pericardium and epicardium with necrotic tissue, with diffuse infiltration of B-cell immunoblastic lymphoma | Pericardiocentesis, chemotherapy with high-dose cyclophosphamide, vincristine, adriamycin, and dexamethasone. | Death with Aspergillus infection during chemotherapy |
| Authors | Age/Sex | CLL/SLL Characteristics | Cardiac Manifestation | Treatment after Cardiac Diagnosis | Response to Treatment |
|---|---|---|---|---|---|
| Applefeld et al. 1980 [26] | 42/M | CLL diagnosed 1 8 months before cardiac symptoms, splenic irradiation | Congestive heart failure postmortem examination showed endocardial fibroelastosis and leukemic infiltration of the endocardium, myocardium, and coronary arteries | No specific treatment, | Sudden death |
| Meltzer et al. 1975 [27] | 48/M | Asymptomatic CLL, no treatment | Cardiac symptoms 3 years from CLL diagnosis: mild congestive heart failure, secondary to mitral valvular dysfunction, cardiac catheterization—severe mitral regurgitation | Mitral valve replacement, no further treatment, infiltration by CLL/SLL cells in the surgically excised mitral valve | Death soon after recovery from operation. At autopsy dense infiltration of CLL/SLL cells in left atrium and ventricle. |
| Chisté et al. 2013 [28] | 77/M | History of CLL/SLL diagnosis | Worsening chest pain over 8 weeks, severe aortic stenosis and moderate mitral regurgitation, CLL/SLL infiltration in aortic valve, calcification and fibrosis | Aortic valve replacement and mitral repair | Postoperative history not reported |
| Posch et al. 2021 [29] | 75/M | CLL/SLL treated with ibrutinib | Diffuse re-stenosis of the stents and notable aortic stenosis, CLL/SLL infiltration of aortic valve, 2 years from CLL diagnosis | Replacement of aortic valve | Ibrutinib continuation |
| Bennett et al. 2020 [30] | 72/M | Diagnosis of CLL and autoimmune hemolytic anemia | Echogenic mass surrounding anterolateral left ventricular epicardial space, infiltrating myocardium, complete occlusion of marginal coronary artery, mediastinal mass, leading into downstream myocardial ischemia and subsequent necrosis | The patient managed conservatively due to reduced general health | Palliative care, patient died a month after admission. |
| Assiri 2005 [31] | 83/M | CLL diagnosed 10 years before cardiac manifestation | Acute myocardial infarction, postmortem examination showed endocardial fibroelastosis and leukemic infiltration of the endocardium, myocardium, and coronary arteries | Resuscitation | The patient died despite resuscitation. |
| Betting and Kemp 2021 [32] | 59/M | No previous CLL/SLL diagnosis | At autopsy, coronary artery with severe infiltration with CLL/SLL cells in the adventis and media of the vessels and within intimal plaques, CLL infiltration in lymph nodes and spleen | No specific treatment | Sudden death due to coronary attack |
| Htet et al. 2019 [33] | 55/W | Stable asymptomatic SLL | Acute coronary syndrome with hypokinesis in the midinterventricular septum without significant stenosis or thrombus within the coronary arteries 6 years after SLL diagnosis CLL/SLL infiltration in renal biopsy, and bone (extensive infiltration of humeral head and ribs) | Six cycles of RB every four weeks | Excellent hematologic and clinical response |
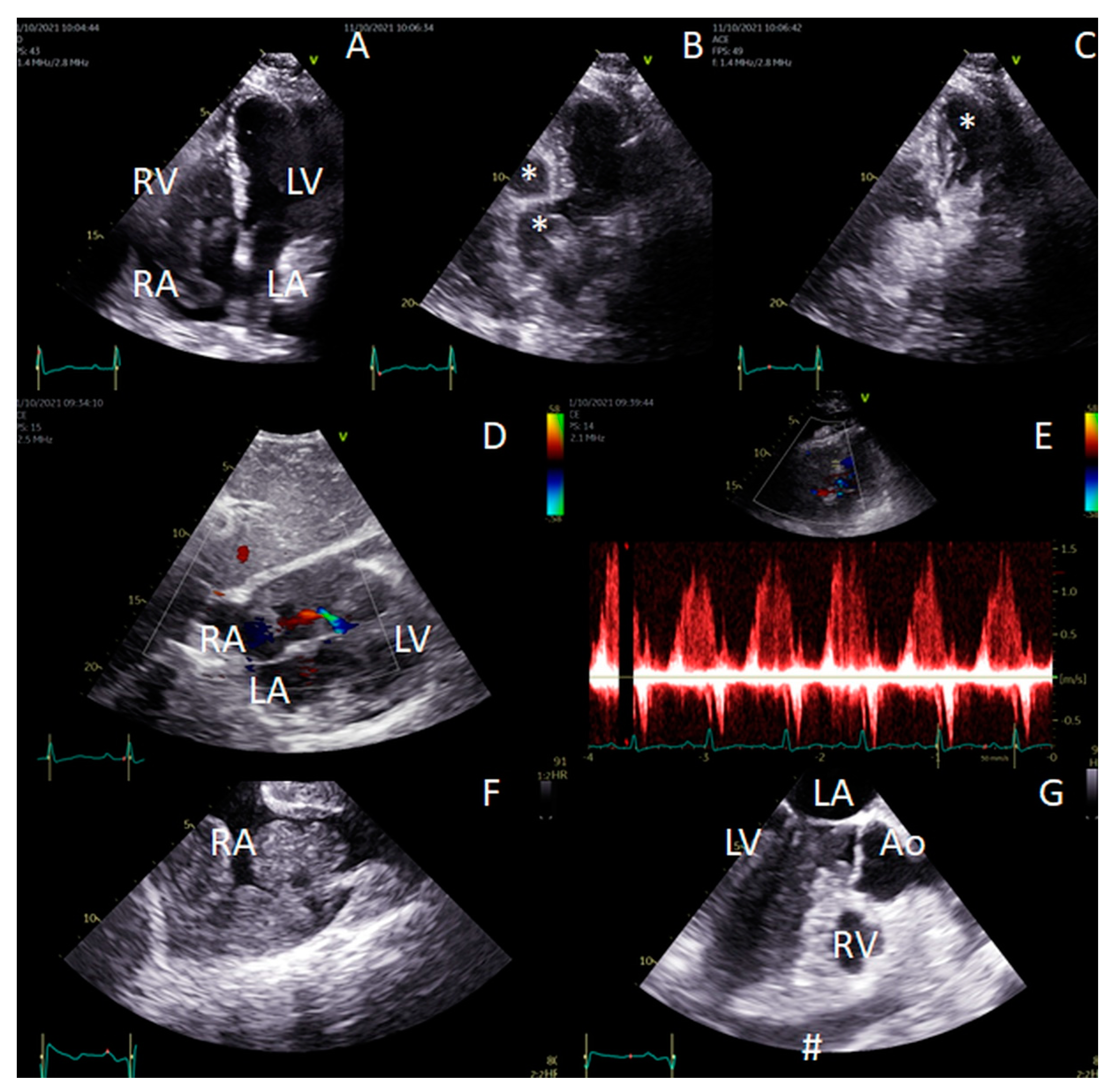
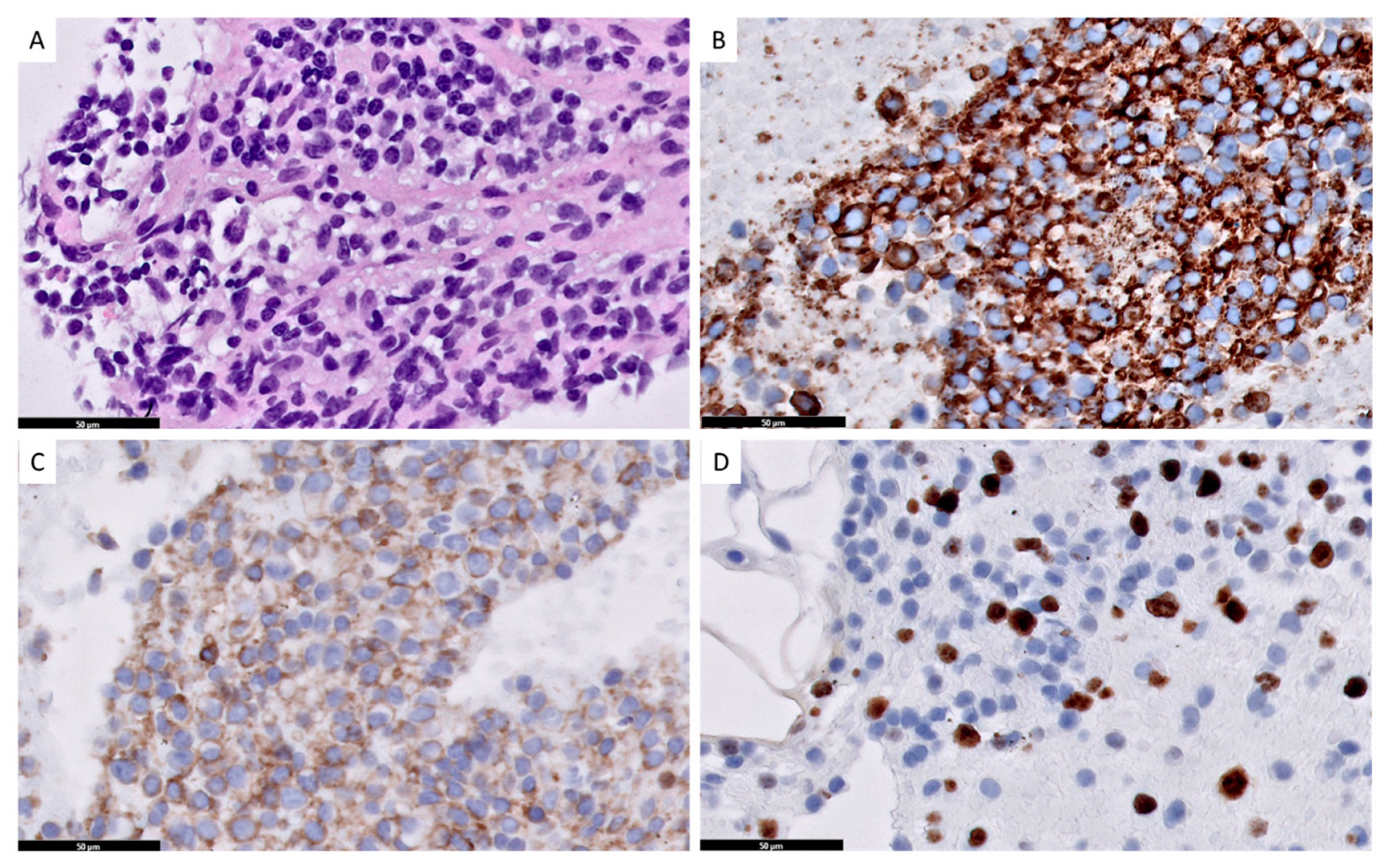
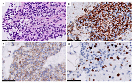
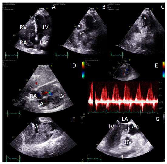
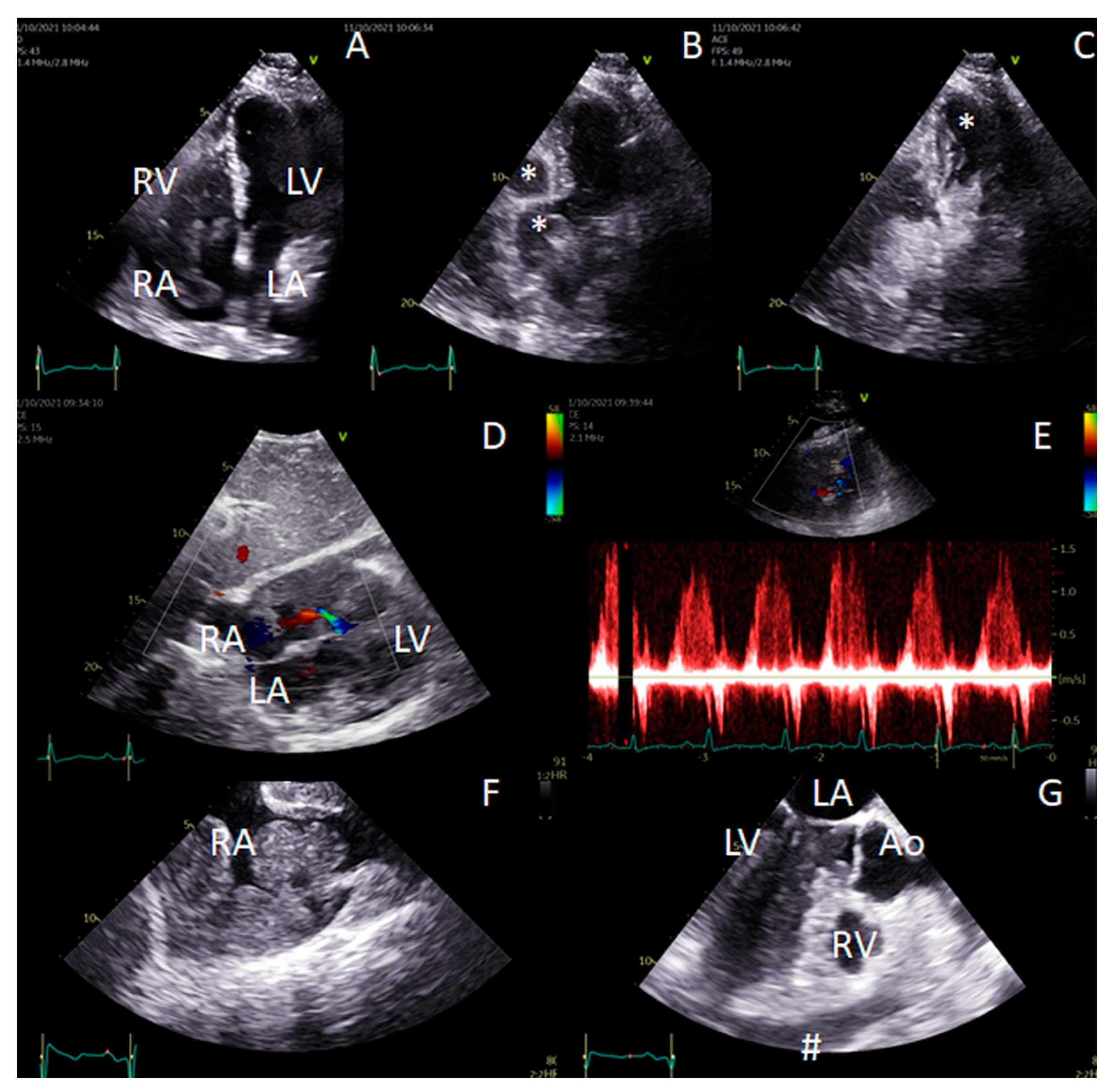
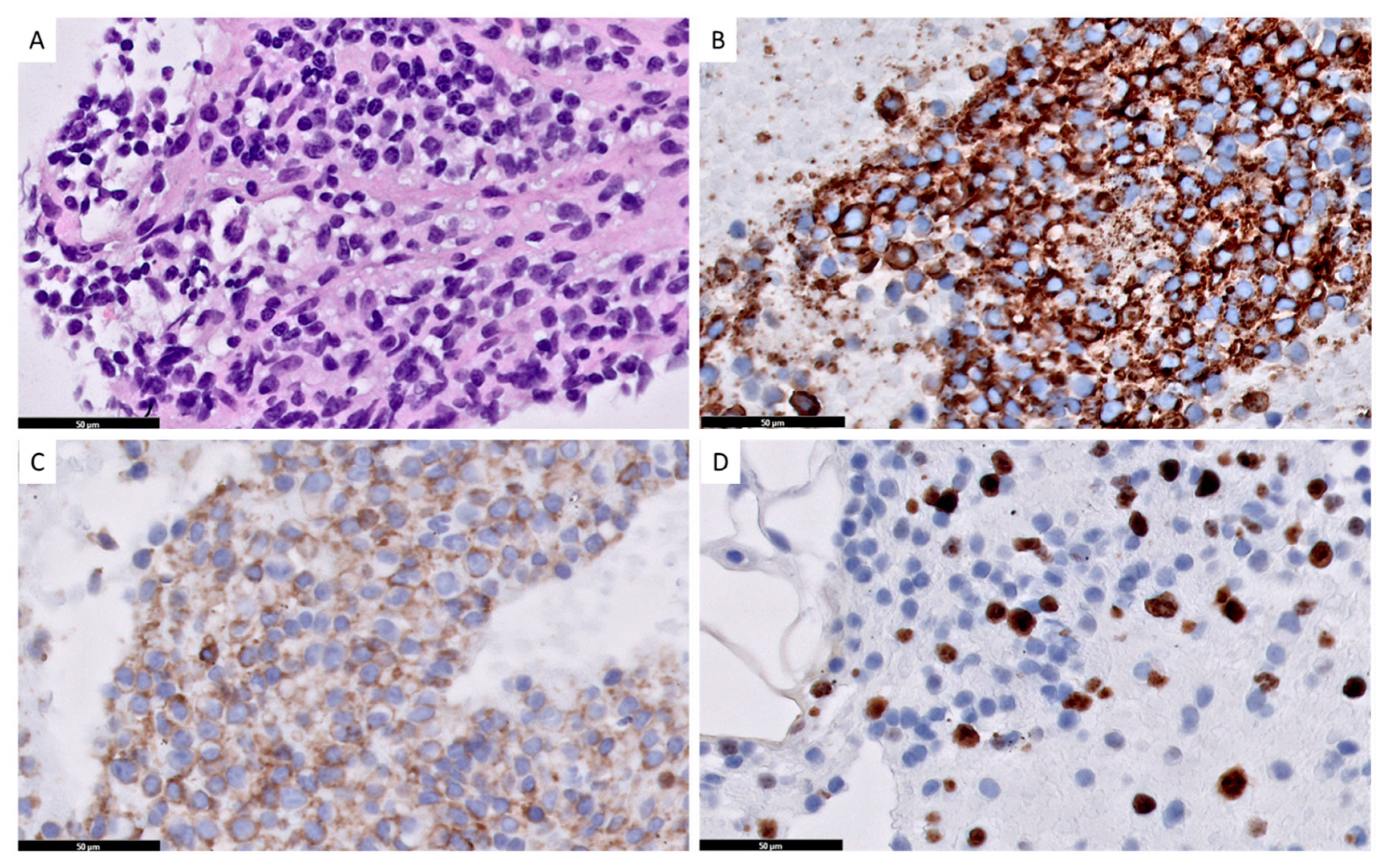
| Robak et al. 2022 [34] | 57/W | SLL diagnosed 20 yrs prior to cardiac infiltration | Increasing fatigue and tachycardia, Echocardiogram—multiple ovoid, partly mobile intracardiac masses up to 45 mm size, identified in all cardiac cavities, the CT image demonstrated adenopathy in the mediastinum, enlargement of the cardiac silhouette and hypodense areas in the right atrium, right ventricle and left ventricle. Heart biopsy and BM trephine biopsy indicated a diagnosis of SLL. | RB, venetoclax + rituximab, R-CHOP | Excellent cardiac response after BR and venetoclax plus R with RT in BM |
| Authors | Age/Sex | Patient Characteristics | Cardiac Manifestation | Treatment after RT Diagnosis | Response to Treatment |
|---|---|---|---|---|---|
| Xu et al. 2011 [35] | 65/W | CLL several years before RT | Lymphomatous infiltrates in the myocardium, epicardium and endocardium consistent with DLBCL, massive lymphomatous involvement of mediastinal, para-aortic, axillary, portal, inguinal and supraclavicular lymph nodes. | No specific treatment | Acute myocardial infarction and sudden death |
| Zdrenghea et al. 2017 [36] | 61/M | Asymptomatic CLL for 4 years | Cardiac mass (8 × 5-cm) in the right auricle, infiltrating the superior vena cava in CT, in PET-CT) intense FDG uptake of the cardiac mass, large right pleural effusion | 1 cycle of COP and 4 cycles of R-CHOP + ASCT | CR 3 m after ASCT |
| Marra et al. 2021 [37] | 69/W | PB normal, SLL in BM biopsy | Rounded hypodense mass (41 × 58 mm) invaded the right atrium and the interatrial septum revealed by cardiac ultrasound and PET/CT scan | Right atriotomy with tumor mass resection + 6 R-CHOP | Alive and in complete remission at 42 months |
| Pudis et al. 2021 [38] | 75/M | CLL/SLL diagnosed before RT symptoms | Isolated cardiac involvement, PET/CT scan revealed a large cardiac mass in the right atria with high metabolic activity. Biopsy confirmed the diagnosis of DLBCL. | Not reported | Not reported |
Publisher’s Note: MDPI stays neutral with regard to jurisdictional claims in published maps and institutional affiliations. |
© 2022 by the authors. Licensee MDPI, Basel, Switzerland. This article is an open access article distributed under the terms and conditions of the Creative Commons Attribution (CC BY) license (https://creativecommons.org/licenses/by/4.0/).
Share and Cite
Robak, T.; Kasprzak, J.D.; Jesionek-Kupnicka, D.; Chudobiński, C.; Robak, P. Cardiac Involvement in Chronic Lymphocytic Leukemia/Small Lymphocytic Lymphoma. J. Clin. Med. 2022, 11, 6983. https://doi.org/10.3390/jcm11236983
Robak T, Kasprzak JD, Jesionek-Kupnicka D, Chudobiński C, Robak P. Cardiac Involvement in Chronic Lymphocytic Leukemia/Small Lymphocytic Lymphoma. Journal of Clinical Medicine. 2022; 11(23):6983. https://doi.org/10.3390/jcm11236983
Chicago/Turabian StyleRobak, Tadeusz, Jarosław D. Kasprzak, Dorota Jesionek-Kupnicka, Cezary Chudobiński, and Paweł Robak. 2022. "Cardiac Involvement in Chronic Lymphocytic Leukemia/Small Lymphocytic Lymphoma" Journal of Clinical Medicine 11, no. 23: 6983. https://doi.org/10.3390/jcm11236983
APA StyleRobak, T., Kasprzak, J. D., Jesionek-Kupnicka, D., Chudobiński, C., & Robak, P. (2022). Cardiac Involvement in Chronic Lymphocytic Leukemia/Small Lymphocytic Lymphoma. Journal of Clinical Medicine, 11(23), 6983. https://doi.org/10.3390/jcm11236983

